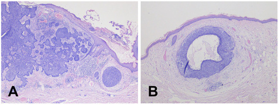
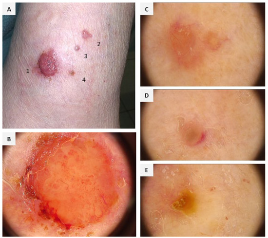
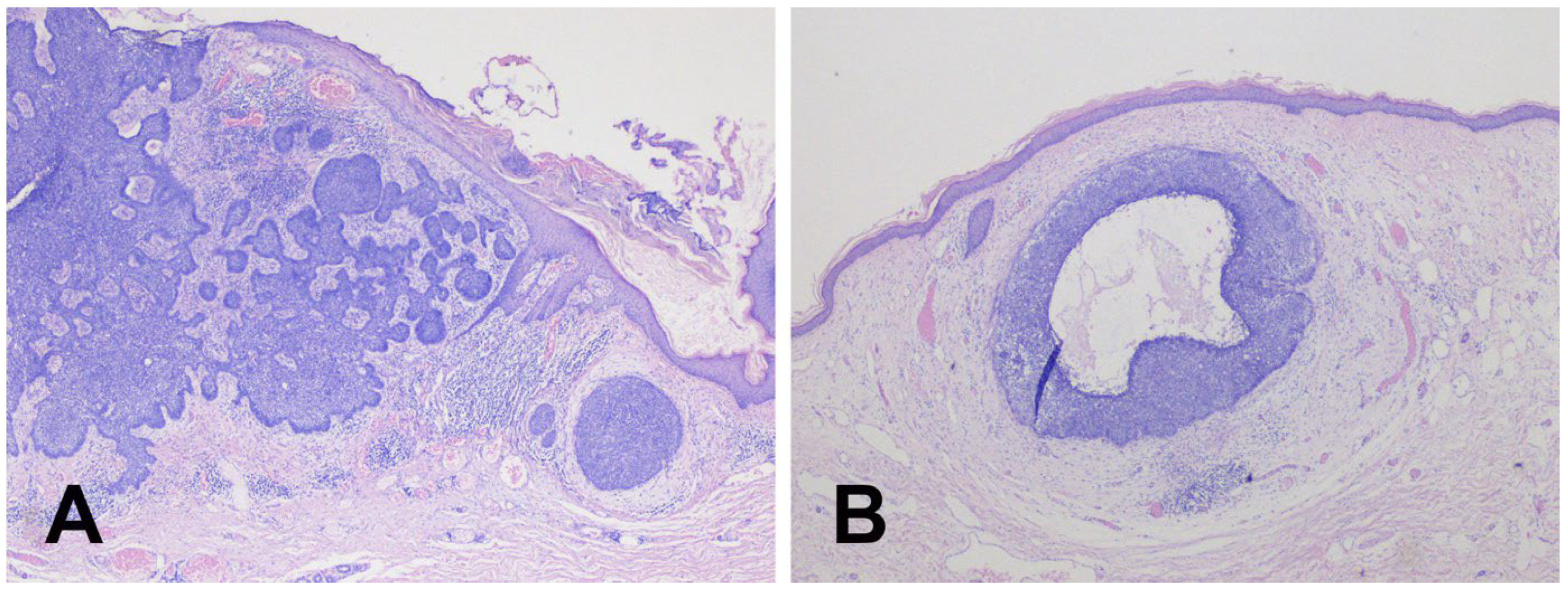
Multiple, Segmental, Non-Syndromic Basal Cell Carcinomas—Clinical, Dermoscopic and Histopathological Features †
Abstract


Supplementary Materials
Author Contributions
Funding
Institutional Review Board Statement
Informed Consent Statement
Data Availability Statement
Conflicts of Interest
References
- Lallas, A.; Apalla, Z.; Argenziano, G.; Longo, C.; Moscarella, E.; Specchio, F.; Raucci, M.; Zalaudek, I. The dermatoscopic universe of basal cell carcinoma. Dermatol. Pract. Concept. 2014, 4, 11–24. [Google Scholar] [CrossRef] [PubMed]
- Krajewski, P.; Chlebicka, I.; Hryncewicz-Gwóźdź, A.; Szepietowski, J.C. Non-syndromic Unilateral Basal Cell Carcinomas: A Case Report and Literature Review. Acta Derm. Venereol. 2020, 100, adv00101. [Google Scholar] [CrossRef] [PubMed]
- Moulin, G.; Guillaud, V.; Ferrier, E.; Marcellin, X. Unilateral basal cell epitheliomatosis. Ann. Dermatol. Venereol. 1988, 115, 1188–1190. [Google Scholar] [PubMed]
- Bouscarat, F.; Avril, M.F.; Prade, M.; Aurias, A.; Guillaume, J.C. Unilateral basal cell epitheliomatosis. Ann. Dermatol. Venereol. 1990, 117, 864–866. [Google Scholar] [PubMed]
- Guarneri, B.; Borgia, F.; Cannavò, S.P.; Vaccaro, M.; Happle, R. Multiple familial basal cell carcinomas including a case of segmental manifestation. Dermatology 2000, 200, 299–302. [Google Scholar] [CrossRef] [PubMed]
- Weiss, J.; Van Driessche, F.; Wei, E.X.; Shabbir, A. Resident Rounds: Part III—Case Report: A Non-Syndromic Case of Multiple Unilateral Nodular and Pigmented Basal Cell Carcinomas. J. Drugs Dermatol. 2015, 14, 641–642. [Google Scholar] [PubMed]
- Yoshikawa, Y.; Takahata, Y.; Ichimiya, M.; Hamamoto, Y.; Muto, M. A case of multiple unilateral localized basal cell carcinomas. J. Dermatol. 2005, 32, 66–68. [Google Scholar] [CrossRef] [PubMed]
- Lane, J.E.; Allen, J.H.; Lane, T.N.; Lesher, J.L. Unilateral basal cell carcinomas: An unusual entity treated with photodynamic therapy. J. Cutan. Med. Surg. 2005, 9, 336–340. [Google Scholar] [CrossRef] [PubMed]
- Kelly, S.C.; Ermolovich, T.; Purcell, S.M. Nonsyndromic segmental multiple infundibulocystic basal cell carcinomas in an adolescent female. Dermatol. Surg. 2006, 32, 1202–1208, Erratum in Dermatol. Surg. 2006, 32, 1308. [Google Scholar] [CrossRef] [PubMed]
- Al Aboud, A.; Hakim, M.; Aljohani, F.; Alehibi, I.; Alotaibi, H.; Bindogji, Y.; Al Zaidi, R.; Alehibi, T.; Almalki, A. Multiple, non-syndromic BCCs involving a hypopigmented patch. Our Dermatol. Online 2022, 13, e58. [Google Scholar] [CrossRef]
- Plachouri, K.M.; Mulita, F.; Georgiou, S.; Spiliopoulos, T. Unexpected case of non-syndromic neighbouring basal cell carcinomas. BMJ Case Rep. 2020, 13, e240037. [Google Scholar] [CrossRef] [PubMed]
- Shin, J.; Kim, Y.C. Multiple agminated acquired melanocytic nevi. Ann. Dermatol. 2013, 25, 251–252. [Google Scholar] [CrossRef] [PubMed]
- Happle, R. Segmental lesions are not always agminated. Arch. Dermatol. 2002, 138, 838. [Google Scholar] [CrossRef] [PubMed]
- Saeidian, A.H.; Cohen-Nowak, A.; O’Donnell, M.; Shalabi, D.; McGuinn, K.P.; Youssefian, L.; Vahidnezhad, H.; Niaziorimi, F.; Dasgeb, B.; Kasper, D.A.; et al. Linear basal cell nevus with a novel mosaic PTCH1 mutation. Exp. Dermatol. 2020, 29, 531–534. [Google Scholar] [CrossRef] [PubMed]
- de la Fouchardière, A.; Cabaret, O.; Savin, L.; Combemale, P.; Schvartz, H.; Penet, C.; Bonadona, V.; Soufir, N.; Paillerets, B.B. Germline BAP1 mutations predispose also to multiple basal cell carcinomas. Clin. Genet. 2015, 88, 273–277. [Google Scholar] [CrossRef] [PubMed]
- Madden, C.; D’Angelo, J.; Blackcloud, P. A case of multiple basal cell carcinomas in a patient with MUTYH gene mutation. JAAD Case Rep. 2025, 59, 85–86. [Google Scholar] [CrossRef] [PubMed]
Disclaimer/Publisher’s Note: The statements, opinions and data contained in all publications are solely those of the individual author(s) and contributor(s) and not of MDPI and/or the editor(s). MDPI and/or the editor(s) disclaim responsibility for any injury to people or property resulting from any ideas, methods, instructions or products referred to in the content. |
© 2025 by the authors. Licensee MDPI, Basel, Switzerland. This article is an open access article distributed under the terms and conditions of the Creative Commons Attribution (CC BY) license (https://creativecommons.org/licenses/by/4.0/).
Share and Cite
Sławińska, M.; Zagórska, B.; Biernat, W.; Sobjanek, M. Multiple, Segmental, Non-Syndromic Basal Cell Carcinomas—Clinical, Dermoscopic and Histopathological Features. Diagnostics 2025, 15, 2739. https://doi.org/10.3390/diagnostics15212739
Sławińska M, Zagórska B, Biernat W, Sobjanek M. Multiple, Segmental, Non-Syndromic Basal Cell Carcinomas—Clinical, Dermoscopic and Histopathological Features. Diagnostics. 2025; 15(21):2739. https://doi.org/10.3390/diagnostics15212739
Chicago/Turabian StyleSławińska, Martyna, Beata Zagórska, Wojciech Biernat, and Michał Sobjanek. 2025. "Multiple, Segmental, Non-Syndromic Basal Cell Carcinomas—Clinical, Dermoscopic and Histopathological Features" Diagnostics 15, no. 21: 2739. https://doi.org/10.3390/diagnostics15212739
APA StyleSławińska, M., Zagórska, B., Biernat, W., & Sobjanek, M. (2025). Multiple, Segmental, Non-Syndromic Basal Cell Carcinomas—Clinical, Dermoscopic and Histopathological Features. Diagnostics, 15(21), 2739. https://doi.org/10.3390/diagnostics15212739

