CT-Based Radiomic Models in Biopsy-Proven Liver Fibrosis Staging: Direct Comparison of Segmentation Types and Organ Inclusion
Abstract
1. Introduction
2. Materials and Methods
2.1. Study Population
2.2. Histopathological Evaluation
2.3. Vibration-Controlled Transient Elastography (VCTE) Evaluation
2.4. CT Imaging Protocol
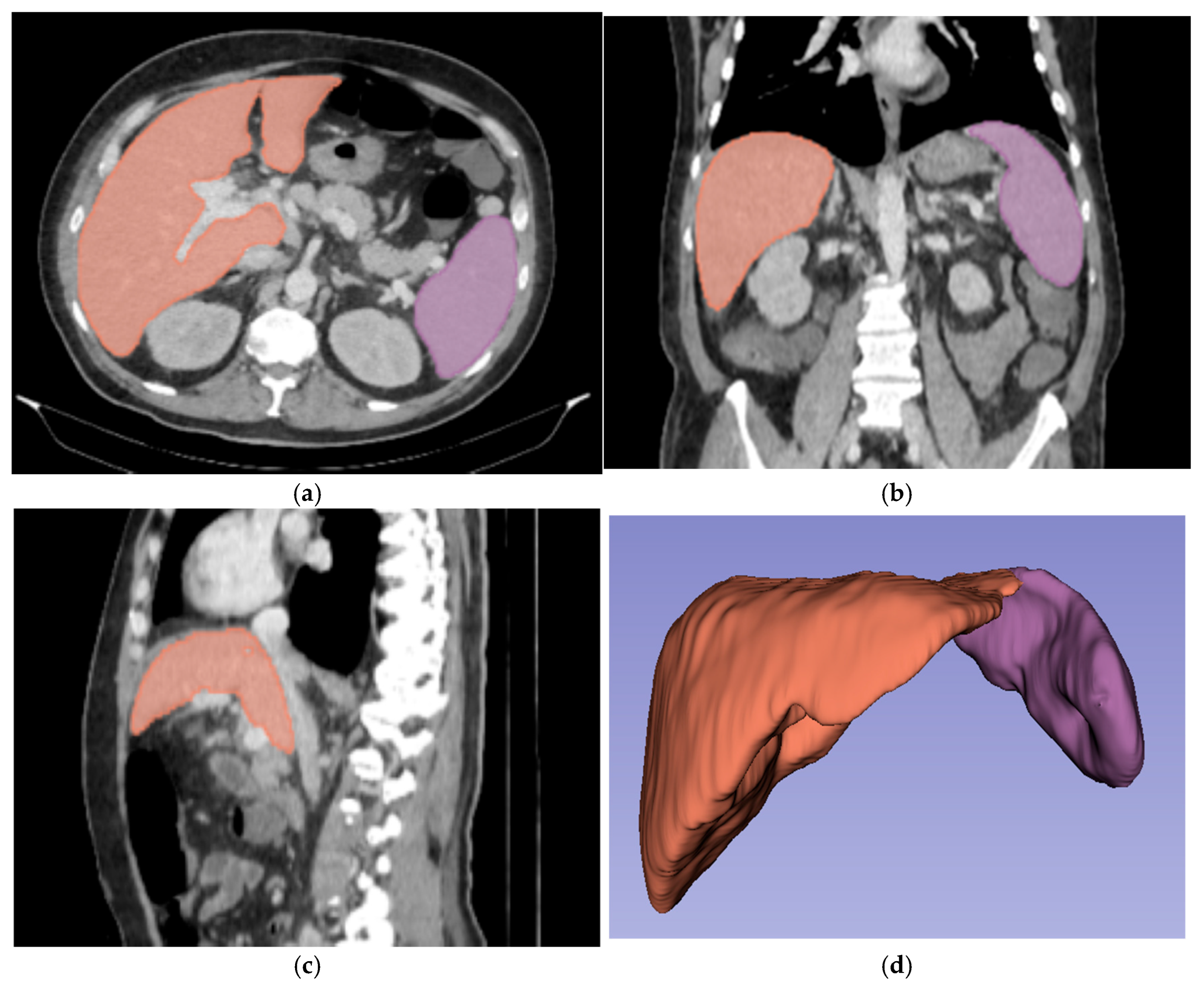
2.4.1. Image Segmentation and Radiomic Feature Extraction
2.4.2. Radiomic Model Development for Liver Fibrosis Prediction
2.4.3. Radiomic Model Development for Liver Steatosis Prediction
2.5. Statistical Analysis
2.6. Ethical Considerations
3. Results
3.1. Assessment of Liver Fibrosis
3.1.1. Performance of CT-Based Radiomic Models in Prediction of Biopsy-Proven Liver Fibrosis
3.1.2. Performance of VCTE Liver Stiffness Measurements (LSM) in Prediction of Biopsy-Proven Liver Fibrosis
3.2. Assessment of Liver Steatosis
3.2.1. Performance of CT-Based Radiomic Models in Prediction of Biopsy-Proven Liver Steatosis Grades
3.2.2. Performance of Controlled Attenuated Parameter (VCTE-CAP) in Prediction of Biopsy-Proven Liver Steatosis Grades
4. Discussion
4.1. Liver Fibrosis Staging
4.2. Liver Steatosis Grading
5. Conclusions
Supplementary Materials
Author Contributions
Funding
Institutional Review Board Statement
Informed Consent Statement
Data Availability Statement
Conflicts of Interest
Abbreviations
| CLD | Chronic liver disease |
| CT | Computed tomography |
| 2D | Two-dimensional |
| 3D | Three-dimensional |
| VCTE | Vibration-controlled transient elastography |
| MLP | Multilayer perceptron |
| AUROC | Area Under the Receiver Operating Characteristic curve |
| CAP | Controlled attenuation parameter |
| p-SWE | Point shear-wave elastography |
| 2D-SWE | Two-dimensional shear-wave elastography |
| MRE | Magnetic resonance elastography |
| MRI | Magnetic resonance imaging |
| LSM | Liver stiffness measurements |
| ROI | Region of interest |
| DICOM | Digital Imaging and Communications in Medicine |
| PACS | Picture Archiving and Communication System |
| GLCM | Gray-level co-occurrence matrix |
| GLRLM | Gray-level run length matrix |
| GLSZM | Gray-level size zone matrix |
| GLDM | Gray-level dependence matrix |
| NGTDM | Neighboring gray tone difference matrix |
| ALD | Alcohol-related liver disease |
| PSVD | Porto-sinusoidal vascular disease |
| MASLD | Metabolic-associated steatotic liver disease |
References
- Huang, D.Q.; Terrault, N.A.; Tacke, F.; Gluud, L.L.; Arrese, M.; Bugianesi, E.; Loomba, R. Global epidemiology of cirrhosis—Aetiology, trends and predictions. Nat. Rev. Gastroenterol. Hepatol. 2023, 20, 388–398. [Google Scholar] [CrossRef]
- Devarbhavi, H.; Asrani, S.K.; Arab, J.P.; Nartey, Y.A.; Pose, E.; Kamath, P.S. Global burden of liver disease: 2023 update. J. Hepatol. 2023, 79, 516–537. [Google Scholar] [CrossRef]
- Sterling, R.K.; Duarte-Rojo, A.; Patel, K.; Asrani, S.K.; Alsawas, M.; Dranoff, J.A.; Fiel, M.I.; Murad, M.H.; Leung, D.H.; Levine, D.; et al. AASLD Practice Guideline on imaging-based noninvasive liver disease assessment of hepatic fibrosis and steatosis. Hepatology 2025, 81, 672–724. [Google Scholar] [CrossRef]
- Angulo, P.; Kleiner, D.E.; Dam-Larsen, S.; Adams, L.A.; Bjornsson, E.S.; Charatcharoenwitthaya, P.; Mills, P.R.; Keach, J.C.; Lafferty, H.D.; Stahler, A.; et al. Liver Fibrosis, but No Other Histologic Features, Is Associated with Long-term Outcomes of Patients with Nonalcoholic Fatty Liver Disease. Gastroenterology 2015, 149, 389–397. [Google Scholar] [CrossRef]
- European Association for the Study of the Liver. EASL Clinical Practice Guidelines: Management of hepatocellular carcinoma. J. Hepatol. 2025, 82, 315–374. [Google Scholar] [CrossRef]
- Chowdhury, A.B.; Mehta, K.J. Liver biopsy for assessment of chronic liver diseases: A synopsis. Clin. Exp. Med. 2023, 23, 273–285. [Google Scholar] [CrossRef] [PubMed]
- Davison, B.A.; Harrison, S.A.; Cotter, G.; Alkhouri, N.; Sanyal, A.; Edwards, C.; Colca, J.R.; Iwashita, J.; Koch, G.G.; Dittrich, H.C. Suboptimal reliability of liver biopsy evaluation has implications for randomized clinical trials. J. Hepatol. 2020, 73, 1322–1332. [Google Scholar] [CrossRef] [PubMed]
- Neuberger, J.; Cain, O. The Need for Alternatives to Liver Biopsies: Non-Invasive Analytics and Diagnostics. Hepat. Med. 2021, 13, 59–69. [Google Scholar] [CrossRef] [PubMed]
- European Association for the Study of the Liver. EASL Clinical Practice Guidelines on non-invasive tests for evaluation of liver disease severity and prognosis—2021 update. J. Hepatol. 2021, 75, 659–689. [Google Scholar] [CrossRef]
- Imajo, K.; Honda, Y.; Kobayashi, T.; Nagai, K.; Ozaki, A.; Iwaki, M.; Kessoku, T.; Ogawa, Y.; Takahashi, H.; Saigusa, Y.; et al. Direct Comparison of US and MR Elastography for Staging Liver Fibrosis in Patients with Nonalcoholic Fatty Liver Disease. Clin. Gastroenterol. Hepatol. 2022, 20, 908–917.e11. [Google Scholar] [CrossRef]
- Mahesh, M.; Ansari, A.J.; Mettler, F.A., Jr. Patient Exposure from Radiologic and Nuclear Medicine Procedures in the United States and Worldwide: 2009–2018. Radiology 2023, 307, e221263. [Google Scholar] [CrossRef]
- Smith, A.D.; Porter, K.K.; Elkassem, A.A.; Sanyal, R.; Lockhart, M.E. Current Imaging Techniques for Noninvasive Staging of Hepatic Fibrosis. AJR. Am. J. Roentgenol. 2019, 213, 77–89. [Google Scholar] [CrossRef]
- Pickhardt, P.J. Value-added Opportunistic CT Screening: State of the Art. Radiology 2022, 303, 241–254. [Google Scholar] [CrossRef]
- Hu, N.; Yan, G.; Tang, M.; Wu, Y.; Song, F.; Xia, X.; Chan, L.W.; Lei, P. CT-based methods for assessment of metabolic dysfunction associated with fatty liver disease. Eur. Radiol. Exp. 2023, 7, 72. [Google Scholar] [CrossRef] [PubMed]
- Wang, X.M.; Zhang, X.J. Role of radiomics in staging liver fibrosis: A meta-analysis. BMC Med. Imaging 2024, 24, 87. [Google Scholar] [CrossRef] [PubMed]
- Wang, J.; Tang, S.; Mao, Y.; Wu, J.; Xu, S.; Yue, Q.; Chen, J.; He, J.; Yin, Y. Radiomics analysis of contrast-enhanced CT for staging liver fibrosis: An update for image biomarker. Hepatol. Int. 2022, 16, 627–639. [Google Scholar] [CrossRef]
- Wang, J.C.; Fu, R.; Tao, X.W.; Mao, Y.F.; Wang, F.; Zhang, Z.C.; Yu, W.W.; Chen, J.; He, J.; Sun, B.C. A radiomics-based model on non-contrast CT for predicting cir-rhosis: Make the most of image data. Biomark. Res. 2020, 8, 47. [Google Scholar] [CrossRef]
- Hu, P.; Chen, L.; Zhong, Y.; Lin, Y.; Yu, X.; Hu, X.; Tao, X.; Lin, S.; Niu, T.; Chen, R.; et al. Effects of slice thickness on CT radiomics features and models for staging liver fibrosis caused by chronic liver disease. Jpn. J. Radiol. 2022, 40, 1061–1068. [Google Scholar] [CrossRef]
- Yin, Y.; Yakar, D.; Dierckx, R.A.J.O.; Mouridsen, K.B.; Kwee, T.C.; de Haas, R.J. Combining Hepatic and Splenic CT Radiomic Features Improves Radiomic Analysis Performance for Liver Fibrosis Staging. Diagnostics 2022, 12, 550. [Google Scholar] [CrossRef] [PubMed]
- Tang, M.; Wu, Y.; Hu, N.; Lin, C.; He, J.; Xia, X.; Yang, M.; Lei, P.; Luo, P. A combination model of CT-based radiomics and clinical biomarkers for staging liver fi-brosis in the patients with chronic liver disease. Sci. Rep. 2022, 14, 20230. [Google Scholar] [CrossRef]
- Lupsor-Platon, M. Noninvasive Assessment of Diffuse Liver Diseases Using Vibration-Controlled Transient Elastography (VCTE). In Ultrasound Elastography; IntechOpen: Rijeka, Croatia, 2020; Volume 1, pp. 1–17. [Google Scholar] [CrossRef]
- Karlas, T.; Petroff, D.; Sasso, M.; Fan, J.G.; Mi, Y.Q.; de Lédinghen, V.; Kumar, M.; Lupsor-Platon, M.; Han, K.H.; Cardoso, A.C.; et al. Individual patient data meta-analysis of controlled attenuation parameter (CAP) technology for assessing steatosis. J. Hepatol. 2017, 66, 1022–1030. [Google Scholar] [CrossRef]
- Wang, J.; Tang, S.; Wu, J.; Xu, S.; Sun, Q.; Zhou, Z.; Xu, X.; Liu, Y.; Liu, Q.; Mao, Y.; et al. Radiomic Features at Contrast-Enhanced CT Predict Virus-Driven Liver Fibrosis: A Multi-Institutional Study. Clin. Transl. Gastroenterol. 2024, 15, e1. [Google Scholar] [CrossRef]
- Ferraioli, G.; Barr, R.G.; Berzigotti, A.; Sporea, I.; Wong, V.W.; Reiberger, T.; Karlas, T.; Thiele, M.; Cardoso, A.C.; Ayonrinde, O.T.; et al. WFUMB Guideline/Guidance on Liver Multiparametric Ultrasound: Part 1. Update to 2018 Guidelines on Liver Ultrasound Elastography. Ultrasound Med. Biol. 2024, 50, 1071–1087. [Google Scholar] [CrossRef]
- Younossi, Z.M.; Kalligeros, M.; Henry, L. Epidemiology of metabolic dysfunction-associated steatotic liver disease. Clin. Mol. Hepatol. 2025, 31, S32–S50. [Google Scholar] [CrossRef]
- Tang, S.; Wu, J.; Xu, S.; Li, Q.; He, J. Clinical-radiomic analysis for non-invasive prediction of liver steatosis on non-contrast CT: A pilot study. Front. Genet. 2023, 14, 1071085. [Google Scholar] [CrossRef] [PubMed]
- Zhang, H.; Liu, J.; Su, D.; Bai, Z.; Wu, Y.; Ma, Y.; Miao, Q.; Wang, M.; Yang, X. Diagnostic of fatty liver using radiomics and deep learning models on non-contrast abdominal CT. PLoS ONE 2025, 20, e0310938. [Google Scholar] [CrossRef] [PubMed]
- Haghshomar, M.; Antonacci, D.; Smith, A.D.; Thaker, S.; Miller, F.H.; Borhani, A.A. Diagnostic Accuracy of CT for the Detection of Hepatic Steatosis: A Systematic Review and Meta-Analysis. Radiology 2024, 313, e241171. [Google Scholar] [CrossRef] [PubMed]






| Category | Variable | Value (Number, Mean, %) |
|---|---|---|
| Demographics | Age | Median 58 years |
| Sex | 37 males (55%) 30 females (45%) | |
| Liver disease etiology | Viral hepatitis | 29% |
| Alcohol-related liver disease (ALD) | 26% | |
| Porto-sinusoidal vascular disorder (PSVD) | 10% | |
| Metabolic-associated steatotic liver disease (MASLD) | 9% | |
| Autoimmune hepatitis | 5% | |
| Histological fibrosis stages (METAVIR score) | F0 | 4 (6.9%) |
| F1 | 14 (24.1%) | |
| F2 | 7 (12.1%) | |
| F3 | 7 (12.1%) | |
| F4 | 26 (44.8%) | |
| Histological steatosis grades (% of fat-containing hepatocytes) | S0 | 17 (32%) |
| S1 | 23 (43.3%) | |
| S2 | 10 (18.8%) | |
| S3 | 3 (5.6%) | |
| VCTE results | Liver stiffness (LS), kPa | Mean 24.5 (3.0–75.0) |
| Controlled attenuation parameter (CAP), dB/m | Mean 246 (126–374) |
| Portal-Venous-Phase Segmentation | Organ | F ≥ 1 | F ≥ 2 | F ≥ 3 | F4 | ||||
|---|---|---|---|---|---|---|---|---|---|
| AUROC | Accuracy | AUROC | Accuracy | AUROC | Accuracy | AUROC | Accuracy | ||
| 3D radiomic model | Liver | 0.898 | 92% | 0.804 | 60% | 0.831 | 68% | 0.835 | 72% |
| Spleen | 0.665 | 82.4% | 0.635 | 52.9% | 0.567 | 58.8% | 0.590 | 58.8% | |
| Liver and Spleen | 0.974 | 95% | 0.929 | 75% | 0.928 | 75% | 0.898 | 65% | |
| 2D radiomic model | Liver | 0.811 | 80% | 0.692 | 60% | 0.660 | 45% | 0.625 | 80% |
| Spleen | 0.830 | 91.3% | 0.731 | 60.9% | 0.570 | 69.6% | 0.614 | 52.2% | |
| Liver and Spleen | 0.722 | 82.4% | 0.767 | 70.6% | 0.828 | 64.7% | 0.674 | 52.9% | |
| Fibrosis Stage | F ≥ 1 | F ≥ 2 | F ≥ 3 | F4 | ||||
|---|---|---|---|---|---|---|---|---|
| VCTE-LSM (kPa) | AUROC | Accuracy | AUROC | Accuracy | AUROC | Accuracy | AUROC | Accuracy |
| 0.921 | 88.2% | 0.957 | 94.1% | 0.968 | 88.2% | 0.909 | 82.5% | |
| Portal-Venous-Phase Segmentation | Organ | S ≥ 1 | S ≥ 2 | S3 | |||
|---|---|---|---|---|---|---|---|
| AUROC | Accuracy | AUROC | Accuracy | AUROC | Accuracy | ||
| 3D radiomic model | Liver | 0.680 | 70.4% | 0.574 | 66.7% | 0.642 | 88.5% |
| Spleen | 0.693 | 71.4% | 0.674 | 66.7% | 0.458 | 79.2% | |
| Liver and Spleen | 0.646 | 70.6% | 0.532 | 52.9% | 0.669 | 94.4% | |
| 2D radiomic model | Liver | 0.440 | 66.7% | 0.561 | 80% | 0.613 | 86.4% |
| Spleen | 0.695 | 68.8% | 0.658 | 50% | 0.627 | 85% | |
| Liver and Spleen | 0.632 | 68.4% | 0.607 | 52.6% | 0.630 | 90.5% | |
| Steatosis Stage | S ≥ 1 | S ≥ 2 | S3 | |||
|---|---|---|---|---|---|---|
| VCTE-CAP (dB/m) | AUROC | Accuracy | AUROC | Accuracy | AUROC | Accuracy |
| 0.847 | 83.3% | 0.798 | 77.8% | 0.917 | 72.2% | |
Disclaimer/Publisher’s Note: The statements, opinions and data contained in all publications are solely those of the individual author(s) and contributor(s) and not of MDPI and/or the editor(s). MDPI and/or the editor(s) disclaim responsibility for any injury to people or property resulting from any ideas, methods, instructions or products referred to in the content. |
© 2025 by the authors. Licensee MDPI, Basel, Switzerland. This article is an open access article distributed under the terms and conditions of the Creative Commons Attribution (CC BY) license (https://creativecommons.org/licenses/by/4.0/).
Share and Cite
Morariu-Barb, A.M.; Drugan, T.; Socaciu, M.A.; Stefanescu, H.; Morariu, A.D.; Lupsor-Platon, M. CT-Based Radiomic Models in Biopsy-Proven Liver Fibrosis Staging: Direct Comparison of Segmentation Types and Organ Inclusion. Diagnostics 2025, 15, 2671. https://doi.org/10.3390/diagnostics15212671
Morariu-Barb AM, Drugan T, Socaciu MA, Stefanescu H, Morariu AD, Lupsor-Platon M. CT-Based Radiomic Models in Biopsy-Proven Liver Fibrosis Staging: Direct Comparison of Segmentation Types and Organ Inclusion. Diagnostics. 2025; 15(21):2671. https://doi.org/10.3390/diagnostics15212671
Chicago/Turabian StyleMorariu-Barb, Andreea Mihaela, Tudor Drugan, Mihai Adrian Socaciu, Horia Stefanescu, Andrei Demirel Morariu, and Monica Lupsor-Platon. 2025. "CT-Based Radiomic Models in Biopsy-Proven Liver Fibrosis Staging: Direct Comparison of Segmentation Types and Organ Inclusion" Diagnostics 15, no. 21: 2671. https://doi.org/10.3390/diagnostics15212671
APA StyleMorariu-Barb, A. M., Drugan, T., Socaciu, M. A., Stefanescu, H., Morariu, A. D., & Lupsor-Platon, M. (2025). CT-Based Radiomic Models in Biopsy-Proven Liver Fibrosis Staging: Direct Comparison of Segmentation Types and Organ Inclusion. Diagnostics, 15(21), 2671. https://doi.org/10.3390/diagnostics15212671

