Early Effects of Bronchoscopic Cryotherapy in Metastatic Non-Small Cell Lung Cancer Patients Receiving Immunotherapy: A Single-Center Prospective Study
Abstract
1. Introduction
2. Materials and Methods
2.1. Study Design
2.2. Procedure
2.3. Assessment
2.4. Statistical Analysis
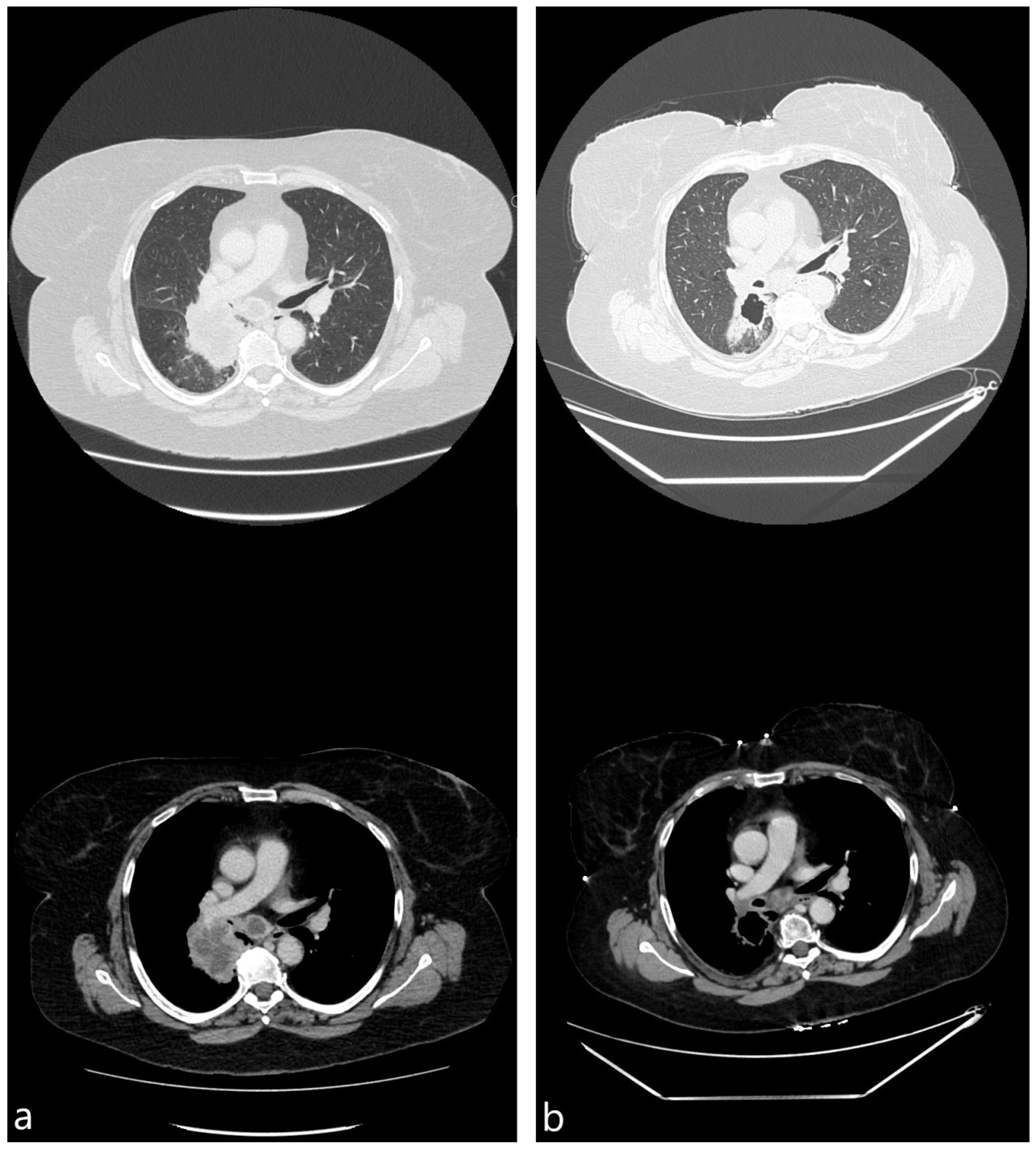
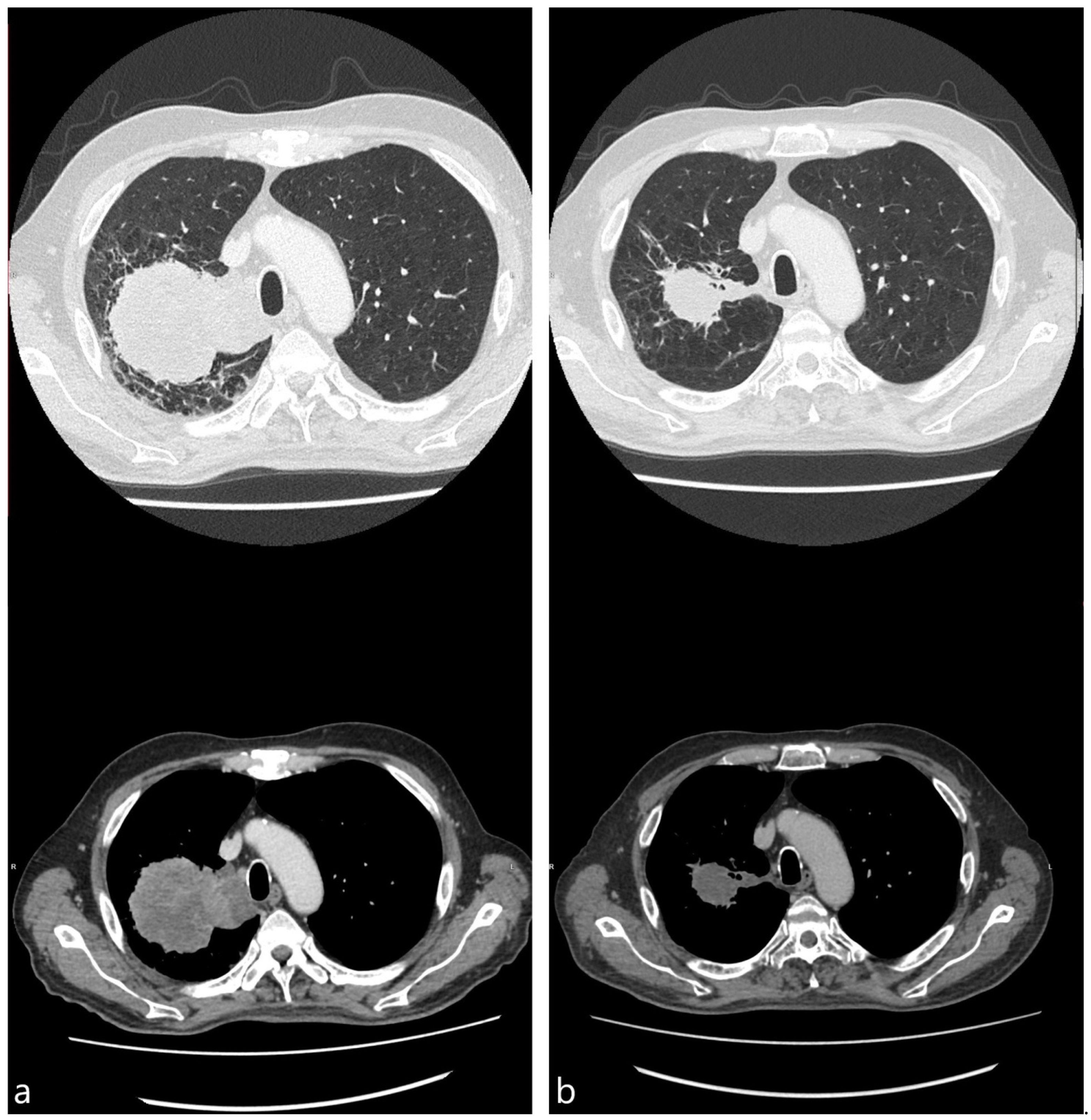
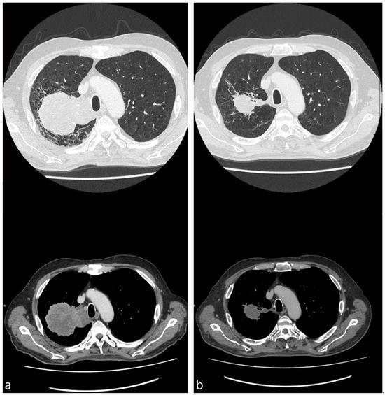
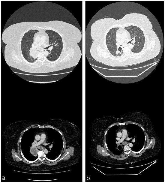
3. Results
4. Discussion
5. Limitations
6. Conclusions
Author Contributions
Funding
Institutional Review Board Statement
Informed Consent Statement
Data Availability Statement
Conflicts of Interest
References
- Bray, F.; Laversanne, M.; Sung, H.; Ferlay, J.; Siegel, R.L.; Soerjomataram, I.; Jemal, A. Global Cancer Statistics 2022: GLOBOCAN Estimates of Incidence and Mortality Worldwide for 36 Cancers in 185 Countries. CA Cancer J. Clin. 2024, 74, 229–263. [Google Scholar] [CrossRef] [PubMed]
- Araghi, M.; Fidler-Benaoudia, M.; Arnold, M.; Rutherford, M.; Bardot, A.; Ferlay, J.; Bucher, O.; De, P.; Engholm, G.; Gavin, A.; et al. International Differences in Lung Cancer Survival by Sex, Histological Type and Stage at Diagnosis: An ICBP SURVMARK-2 Study. Thorax 2022, 77, 378–390. [Google Scholar] [CrossRef] [PubMed]
- Binnewies, M.; Roberts, E.W.; Kersten, K.; Chan, V.; Fearon, D.F.; Merad, M.; Coussens, L.M.; Gabrilovich, D.I.; Ostrand-Rosenberg, S.; Hedrick, C.C.; et al. Understanding the Tumor Immune Microenvironment (TIME) for Effective Therapy. Nat. Med. 2018, 24, 541–550. [Google Scholar] [CrossRef]
- O’Donnell, J.S.; Teng, M.W.L.; Smyth, M.J. Cancer Immunoediting and Resistance to T Cell-Based Immunotherapy. Nat. Rev. Clin. Oncol. 2019, 16, 151–167. [Google Scholar] [CrossRef] [PubMed]
- Reck, M.; Rodríguez-Abreu, D.; Robinson, A.G.; Hui, R.; Csőszi, T.; Fülöp, A.; Gottfried, M.; Peled, N.; Tafreshi, A.; Cuffe, S.; et al. Pembrolizumab versus Chemotherapy for PD-L1-Positive Non-Small-Cell Lung Cancer. N. Engl. J. Med. 2016, 375, 1823–1833. [Google Scholar] [CrossRef] [PubMed]
- Gandhi, L.; Rodríguez-Abreu, D.; Gadgeel, S.; Esteban, E.; Felip, E.; De Angelis, F.; Domine, M.; Clingan, P.; Hochmair, M.J.; Powell, S.F.; et al. Pembrolizumab plus Chemotherapy in Metastatic Non-Small-Cell Lung Cancer. N. Engl. J. Med. 2018, 378, 2078–2092. [Google Scholar] [CrossRef] [PubMed]
- Yang, B.; Wang, B.; Chen, Y.; Wan, N.; Xie, F.; Yang, N.; Lu, L.; Xiao, W.; Yuan, J.; Li, J.; et al. Effectiveness and Safety of Pembrolizumab for Patients with Advanced Non-Small Cell Lung Cancer in Real-World Studies and Randomized Controlled Trials: A Systematic Review and Meta-Analysis. Front. Oncol. 2023, 13, 1044327. [Google Scholar] [CrossRef]
- DiBardino, D.M.; Lanfranco, A.R.; Haas, A.R. Bronchoscopic Cryotherapy. Clinical Applications of the Cryoprobe, Cryospray, and Cryoadhesion. Ann. Am. Thorac. Soc. 2016, 13, 1405–1415. [Google Scholar] [CrossRef]
- Yakkala, C.; Chiang, C.L.-L.; Kandalaft, L.; Denys, A.; Duran, R. Cryoablation and Immunotherapy: An Enthralling Synergy to Confront the Tumors. Front. Immunol. 2019, 10, 2283. [Google Scholar] [CrossRef]
- Katzman, D.; Wu, S.; Sterman, D.H. Immunological Aspects of Cryoablation of Non-Small Cell Lung Cancer: A Comprehensive Review. J. Thorac. Oncol. 2018, 13, 624–635. [Google Scholar] [CrossRef] [PubMed]
- Baust, J.G.; Snyder, K.K.; Santucci, K.L.; Robilotto, A.T.; Van Buskirk, R.G.; Baust, J.M. Cryoablation: Physical and Molecular Basis with Putative Immunological Consequences. Int. J. Hyperth. 2019, 36, 10–16. [Google Scholar] [CrossRef] [PubMed]
- Zhu, C.; Lin, S.; Liang, J.; Zhu, Y. PD-1 Blockade Enhances the Anti-Tumor Immune Response Induced by Cryoablation in a Murine Model of Renal Cell Carcinoma. Cryobiology 2019, 87, 86–90. [Google Scholar] [CrossRef]
- Liu, Q.; Chen, X.; Qi, M.; Li, Y.; Chen, W.; Zhang, C.; Wang, J.; Han, Z.; Zhang, C. Combined Cryoablation and PD-1 Inhibitor Synergistically Enhance Antitumor Immune Responses in Lewis Lung Adenocarcinoma Mice via the PI3K/AKT/mTOR Pathway. Biochim. Biophys. Acta Mol. Basis Dis. 2024, 1870, 167262. [Google Scholar] [CrossRef] [PubMed]
- Adam, L.C.; Raja, J.; Ludwig, J.M.; Adeniran, A.; Gettinger, S.N.; Kim, H.S. Cryotherapy for Nodal Metastasis in NSCLC with Acquired Resistance to Immunotherapy. J. Immunother. Cancer 2018, 6, 147. [Google Scholar] [CrossRef] [PubMed]
- Nian, J.; Zhu, Y.; Fu, Q.; Yang, G.; Wang, X. Significant Response of Pulmonary Sarcomatoid Carcinoma with Obstructive Atelectasis to Treatment with the PD-1 Inhibitor Camrelizumab Combined with Transbronchial Cryoablation: A Case Report and Literature Review. Front. Oncol. 2022, 12, 1013047. [Google Scholar] [CrossRef] [PubMed]
- Gu, C.; Wang, X.; Wang, K.; Xie, F.; Chen, L.; Ji, H.; Sun, J. Cryoablation Triggers Type I Interferon-Dependent Antitumor Immunity and Potentiates Immunotherapy Efficacy in Lung Cancer. J. Immunother. Cancer 2024, 12, e008386. [Google Scholar] [CrossRef] [PubMed]
- Feng, J.; Guiyu, D.; Xiongwen, W. The Clinical Efficacy of Argon-Helium Knife Cryoablation Combined with Nivolumab in the Treatment of Advanced Non-Small Cell Lung Cancer. Cryobiology 2021, 102, 92–96. [Google Scholar] [CrossRef]
- Oken, M.M.; Creech, R.H.; Tormey, D.C.; Horton, J.; Davis, T.E.; McFadden, E.T.; Carbone, P.P. Toxicity and Response Criteria of the Eastern Cooperative Oncology Group. Am. J. Clin. Oncol. 1982, 5, 649–655. [Google Scholar] [CrossRef]
- Eisenhauer, E.A.; Therasse, P.; Bogaerts, J.; Schwartz, L.H.; Sargent, D.; Ford, R.; Dancey, J.; Arbuck, S.; Gwyther, S.; Mooney, M.; et al. New Response Evaluation Criteria in Solid Tumours: Revised RECIST Guideline (Version 1. 1). Eur. J. Cancer 2009, 45, 228–247. [Google Scholar] [CrossRef] [PubMed]
- U.S. Department of Health and Human Services. National Institutes of Health Common Terminology Criteria for Adverse Events (CTCAE) Version 5.0; U.S. Department of Health and Human Services: Washington, DC, USA, 2017. [Google Scholar]
- Wen, J.; Duan, Y.; Zou, Y.; Nie, Z.; Feng, H.; Lugnani, F.; Baust, J.G. Cryoablation Induces Necrosis and Apoptosis in Lung Adenocarcinoma in Mice. Technol. Cancer Res. Treat. 2007, 6, 635–640. [Google Scholar] [CrossRef] [PubMed]
- Liu, Q.; Zhang, C.; Chen, X.; Han, Z. Modern Cancer Therapy: Cryoablation Meets Immune Checkpoint Blockade. Front. Oncol. 2024, 14, 1323070. [Google Scholar] [CrossRef] [PubMed]
- den Brok, M.H.M.G.M.; Sutmuller, R.P.M.; Nierkens, S.; Bennink, E.J.; Frielink, C.; Toonen, L.W.J.; Boerman, O.C.; Figdor, C.G.; Ruers, T.J.M.; Adema, G.J. Efficient Loading of Dendritic Cells Following Cryo and Radiofrequency Ablation in Combination with Immune Modulation Induces Anti-Tumour Immunity. Br. J. Cancer 2006, 95, 896–905. [Google Scholar] [CrossRef] [PubMed]
- Sánchez-Paulete, A.R.; Teijeira, A.; Cueto, F.J.; Garasa, S.; Pérez-Gracia, J.L.; Sánchez-Arráez, A.; Sancho, D.; Melero, I. Antigen Cross-Presentation and T-Cell Cross-Priming in Cancer Immunology and Immunotherapy. Ann. Oncol. 2017, 28, xii44–xii55. [Google Scholar] [CrossRef]
- Hasegawa, H.; Matsumoto, T. Mechanisms of Tolerance Induction by Dendritic Cells In Vivo. Front. Immunol. 2018, 9, 350. [Google Scholar] [CrossRef]
- Yu, Z.-P.; Sun, X.-W.; He, Y.-P.; Gu, J.; Jin, Y. PD-1 Monoclonal Antibodies Enhance the Cryoablation-Induced Antitumor Immune Response: A Breast Cancer Murine Model Research. Int. J. Hyperth. 2023, 40, 2164625. [Google Scholar] [CrossRef] [PubMed]
- Desilets, A.; Pinheiro, G.; Belkaid, W.; Salko, O.; Malo, J.; Zarour, E.; Jouquan, A.; Thibaudeau, A.J.; Nolin, M.A.; Stagg, J.; et al. CRYOVATE: A Pilot Study of Lung Cancer Cryoactivation in Combination With Immunotherapy in Advanced NSCLC. JTO Clin. Res. Rep. 2024, 5, 100737. [Google Scholar] [CrossRef]
- Kolodziejski, L.S.; Dyczek, S.; Duda, K.; Góralczyk, J.; Wysocki, W.M.; Lobaziewicz, W. Cavitated Tumor as a Clinical Subentity in Squamous Cell Lung Cancer Patients. Neoplasma 2003, 50, 66–73. [Google Scholar]
- Chen, C.; Fu, S.; Ni, Q.; Yiyang, W.; Pan, X.; Jing, J.; Zhao, H.; Rui, W. Cavity Formation Is a Prognostic Indicator for Pathologic Stage I Invasive Lung Adenocarcinoma of ≥3 Cm in Size. Med. Sci. Monit. 2019, 25, 9003–9011. [Google Scholar] [CrossRef] [PubMed]
- Nguyen, N.C.; Abhishek, K.; Nyon, S.; Farghaly, H.R.S.; Osman, M.M.; Reimers, H.-J. Are There Radiographic, Metabolic, and Prognostic Differences Between Cavitary and Noncavitary Nonsmall Cell Lung Carcinoma? A Retrospective Fluorodeoxyglucose Positron Emission Tomography/Computed Tomography Study. Ann. Thorac. Med. 2016, 11, 49–54. [Google Scholar] [CrossRef] [PubMed]
- Chaudhry, A.; Grechushkin, V.; Hoshmand, M.; Kim, C.W.; Pena, A.; Huston, B.; Chaya, Y.; Bilfinger, T.; Moore, W. Characteristic CT Findings After Percutaneous Cryoablation Treatment of Malignant Lung Nodules. Medicine 2015, 94, e1672. [Google Scholar] [CrossRef] [PubMed]
- Sabel, M.S.; Su, G.; Griffith, K.A.; Chang, A.E. Rate of Freeze Alters the Immunologic Response after Cryoablation of Breast Cancer. Ann. Surg. Oncol. 2010, 17, 1187–1193. [Google Scholar] [CrossRef] [PubMed]
- Theelen, W.S.M.E.; Chen, D.; Verma, V.; Hobbs, B.P.; Peulen, H.M.U.; Aerts, J.G.J.V.; Bahce, I.; Niemeijer, A.L.N.; Chang, J.Y.; de Groot, P.M.; et al. Pembrolizumab with or without Radiotherapy for Metastatic Non-Small-Cell Lung Cancer: A Pooled Analysis of Two Randomised Trials. Lancet Respir. Med. 2021, 9, 467–475. [Google Scholar] [CrossRef] [PubMed]
- Velez, A.; DeMaio, A.; Sterman, D. Cryoablation and Immunity in Non-Small Cell Lung Cancer: A New Era of Cryo-Immunotherapy. Front. Immunol. 2023, 14, 1203539. [Google Scholar] [CrossRef] [PubMed]
- Brahmer, J.R.; Long, G.V.; Hamid, O.; Garon, E.B.; Herbst, R.S.; Andre, T.; Armand, P.; Bajorin, D.; Bellmunt, J.; Burtness, B.; et al. Safety Profile of Pembrolizumab Monotherapy Based on an Aggregate Safety Evaluation of 8937 Patients. Eur. J. Cancer 2024, 199, 113530. [Google Scholar] [CrossRef]





| Cryotherapy (n = 24) | Control (n = 30) | Exact Significance | |
|---|---|---|---|
| Median age—years (range) | 64 (62–71) | 64 (60–72) | 0.841 |
| Male—n (%) | 19 (79.2) | 23 (76.7) | 1.000 |
| Smokers—n (%) | 21 (87.5) | 27 (90.0) | 1.000 |
| Performance status—n (%) | |||
| 0 | 5 (20.8) | 7 (23.3) | 1.000 |
| 1 | 19 (79.2) | 23 (76.7) | |
| Histology—n (%) | |||
| Squamous | 11 (45.8) | 13 (43.3) | 1.000 |
| Adenocarcinoma | 13 (54.2) | 17 (56.7) | |
| PD-L1 tumor proportion score—n (%) | |||
| <1% | 11 (45.8) | 12 (40.0) | 0.940 |
| 1–49% | 7 (29.2) | 9 (30.0) | |
| ≥50% | 6 (25.0) | 9 (30.0) | |
| Brain metastases—n (%) | 3 (12.5) | 5 (16.7) | 0.720 |
| Pembrolizumab monotherapy—n (%) | 6 (25.0) | 9 (30.0) | 0.766 |
| Partial Response | Stable Disease | Progressive Disease | |
|---|---|---|---|
| Cryotherapy—n (%) | 6 (28.6) | 14 (66.7) | 1 (4.7) |
| Control—n (%) | 6 (23.1) | 13 (50.0) | 7 (26.9) |
| Total—n (%) | 12 (25.5) | 27 (57.5) | 8 (17.0) |
| Cryotherapy (n = 24) | Control (n = 30) | Total (n = 54) | ||||
|---|---|---|---|---|---|---|
| Immune-related adverse events | Any grade | Grade ≥ 3 | Any grade | Grade ≥ 3 | Any grade | Grade ≥ 3 |
| Number of patients (%) | ||||||
| Any | 6 (25.0) | 1 (4.2) | 9 (30.0) | 2 (6.7) | 15 (27.3) | 3 (5.5) |
| Hepatitis | 2 (8.3) | 1 (4.2) | 2 (6.7) | 1 (3.3) | 4 (7.3) | 2 (3.6) |
| Hyperthyroidism | 2 (8.3) | 0 (0.0) | 1 (3.3) | 1 (3.3) | 3 (5.5) | 1 (1.8) |
| Hypophysitis | 1 (4.2) | 0 (0.0) | 0 (0.0) | 0 (0.0) | 1 (1.8) | 0 (0.0) |
| Nephritis | 1 (4.2) | 0 (0.0) | 2 (6.7) | 0 (0.0) | 3 (5.5) | 0 (0.0) |
| Colitis | 0 (0.0) | 0 (0.0) | 2 (6.7) | 0 (0.0) | 2 (3.6) | 0 (0.0) |
| Hyperparathyroidism | 0 (0.0) | 0 (0.0) | 1 (3.3) | 0 (0.0) | 1 (1.8) | 0 (0.0) |
| Neuropathy | 0 (0.0) | 0 (0.0) | 1 (3.3) | 0 (0.0) | 1 (1.8) | 0 (0.0) |
Disclaimer/Publisher’s Note: The statements, opinions and data contained in all publications are solely those of the individual author(s) and contributor(s) and not of MDPI and/or the editor(s). MDPI and/or the editor(s) disclaim responsibility for any injury to people or property resulting from any ideas, methods, instructions or products referred to in the content. |
© 2025 by the authors. Licensee MDPI, Basel, Switzerland. This article is an open access article distributed under the terms and conditions of the Creative Commons Attribution (CC BY) license (https://creativecommons.org/licenses/by/4.0/).
Share and Cite
Vasiliauskas, G.; Žemaitė, E.; Skrodenienė, E.; Poškienė, L.; Maziliauskienė, G.; Mačionis, A.; Miliauskas, S.; Vajauskas, D.; Žemaitis, M. Early Effects of Bronchoscopic Cryotherapy in Metastatic Non-Small Cell Lung Cancer Patients Receiving Immunotherapy: A Single-Center Prospective Study. Diagnostics 2025, 15, 201. https://doi.org/10.3390/diagnostics15020201
Vasiliauskas G, Žemaitė E, Skrodenienė E, Poškienė L, Maziliauskienė G, Mačionis A, Miliauskas S, Vajauskas D, Žemaitis M. Early Effects of Bronchoscopic Cryotherapy in Metastatic Non-Small Cell Lung Cancer Patients Receiving Immunotherapy: A Single-Center Prospective Study. Diagnostics. 2025; 15(2):201. https://doi.org/10.3390/diagnostics15020201
Chicago/Turabian StyleVasiliauskas, Gediminas, Evelina Žemaitė, Erika Skrodenienė, Lina Poškienė, Gertrūda Maziliauskienė, Aurimas Mačionis, Skaidrius Miliauskas, Donatas Vajauskas, and Marius Žemaitis. 2025. "Early Effects of Bronchoscopic Cryotherapy in Metastatic Non-Small Cell Lung Cancer Patients Receiving Immunotherapy: A Single-Center Prospective Study" Diagnostics 15, no. 2: 201. https://doi.org/10.3390/diagnostics15020201
APA StyleVasiliauskas, G., Žemaitė, E., Skrodenienė, E., Poškienė, L., Maziliauskienė, G., Mačionis, A., Miliauskas, S., Vajauskas, D., & Žemaitis, M. (2025). Early Effects of Bronchoscopic Cryotherapy in Metastatic Non-Small Cell Lung Cancer Patients Receiving Immunotherapy: A Single-Center Prospective Study. Diagnostics, 15(2), 201. https://doi.org/10.3390/diagnostics15020201

