ARID1A-Deficient and 11q13-Amplified Metastatic Pancreatic Cancer Initially Presenting as Retroperitoneal Fibrosis in a Patient with Familial CHEK2 Variant
Abstract
1. Introduction
2. Case Presentation
2.1. Clinical Findings
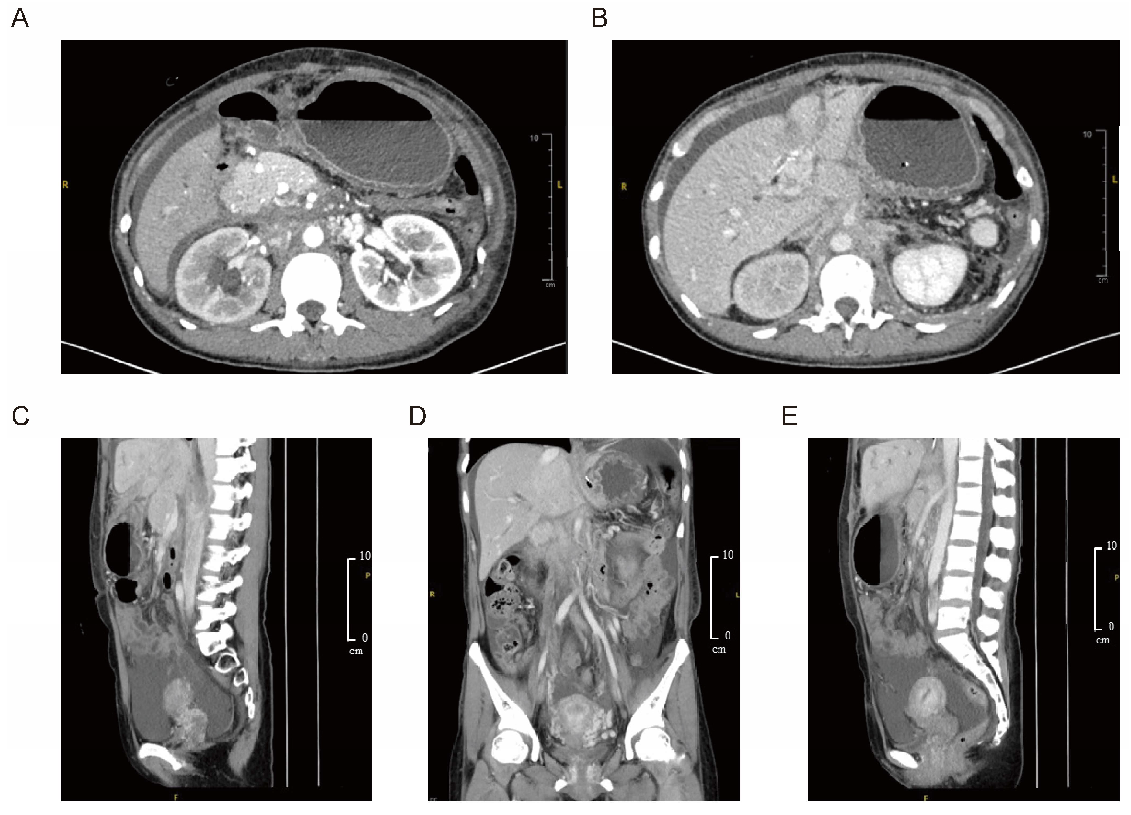
2.2. Radiologic Assessment
2.3. Operative and Histopathologic Evaluation
2.4. Tumor Origin Detection, Gene Mutation Identification, and Prognosis Assessment
2.5. Clinical Diagnostic Pathway and Outcome
3. Discussion
3.1. Limitations of Routine Clinical Pathway in Differential Diagnosis
3.2. Considerations Regarding Cancer of Unknown Primary (CUP)
3.3. Considerations Regarding Prognosis and Targeted Therapy
3.4. Limitations of the Current Case Report and Future Direction
4. Methods
4.1. Study Approval
4.2. Sample Processing and DNA Extraction
4.3. Library Preparation and Targeted Sequencing
4.4. Next-Generation Sequencing Data Processing and Variant Calling
4.5. 90-Gene Panel Test (Canhelp-Origin)
4.6. CCND1/FGF3/FGF4/FGF19 Co-Amplification and Survival Analysis in TCGA
5. Conclusions
Supplementary Materials
Author Contributions
Funding
Institutional Review Board Statement
Informed Consent Statement
Data Availability Statement
Acknowledgments
Conflicts of Interest
References
- Kermani, T.A.; Crowson, C.S.; Achenbach, S.J.; Luthra, H.S. Idiopathic Retroperitoneal Fibrosis: A Retrospective Review of Clinical Presentation, Treatment, and Outcomes. Mayo Clin. Proc. 2011, 86, 297–303. [Google Scholar] [CrossRef]
- Tzou, M.; Gazeley, D.J.; Mason, P.J. Retroperitoneal fibrosis. Vasc. Med. 2014, 19, 407–414. [Google Scholar] [CrossRef]
- Urban, M.; Palmisano, A.; Nicastro, M.; Corradi, D.; Buzio, C.; Vaglio, A. Idiopathic and secondary forms of retroperitoneal fibrosis: A diagnostic approach. La Revue de Médecine Interne 2015, 36, 15–21. [Google Scholar] [CrossRef] [PubMed]
- Wallace, Z.S.; Deshpande, V.; Mattoo, H.; Mahajan, V.S.; Kulikova, M.; Pillai, S.; Stone, J.H. IgG4-Related Disease: Clinical and Laboratory Features in One Hundred Twenty-Five Patients. Arthritis Rheumatol. 2015, 67, 2466–2475. [Google Scholar] [CrossRef] [PubMed]
- Kardar, A.; Kattan, S.; Lindstedt, E.; Hanash, K. Steroid Therapy for idiopathic retroperitoneal fibrosis: Dose and duration. J. Urol. 2002, 168, 550–555. [Google Scholar] [CrossRef]
- Murakami, N.; Arai, Y.; Takagawa, Y.; Okuma, K.; Takahashi, K.; Inaba, K.; Igaki, H.; Nakayama, Y.; Itami, J. Inferior vena cava syndrome caused by retroperitoneal fibrosis after pelvic irradiation: A case report. Gynecol. Oncol. Rep. 2019, 27, 19–21. [Google Scholar] [CrossRef]
- Tanaka, T.; Masumori, N. Current approach to diagnosis and management of retroperitoneal fibrosis. Int. J. Urol. 2020, 27, 387–394. [Google Scholar] [CrossRef]
- Fenaroli, P.; Maritati, F.; Vaglio, A. Into Clinical Practice: Diagnosis and Therapy of Retroperitoneal Fibrosis. Curr. Rheumatol. Rep. 2021, 23, 18. [Google Scholar] [CrossRef]
- Peixoto, R.D. Gastroesophageal cancer and retroperitoneal fibrosis: Two case reports and review of the literature. World J. Gastrointest. Oncol. 2013, 5, 68–70. [Google Scholar] [CrossRef]
- Shetty, N.S.; Calhoun, A.; Sunjaya, D.; Greer, A.; Willingham, F.F. Retroperitoneal Fibrosis with Skeletal Muscle Invasion as an Early Manifestation of Metastatic Gastric Cancer. ACG Case Rep. J. 2021, 8, e00553. [Google Scholar] [CrossRef]
- Zheng, L.-H.; Cai, F.-F.; Ge, I.; Biskup, E.; Cheng, Z.-P. Stromal fibroblast activation and their potential association with uterine fibroids (Review). Oncol. Lett. 2014, 8, 479–486. [Google Scholar] [CrossRef]
- van Bommel, E.F.H.; Jansen, I.; Hendriksz, T.R.; Aarnoudse, A.L.H.J. Idiopathic Retroperitoneal Fibrosis Prospective Evaluation of Incidence and Clinicoradiologic Presentation. Medicine 2009, 88, 193–201. [Google Scholar] [CrossRef]
- Gulati, V.; Swarup, M.S.; Kumar, J. Solid Primary Retroperitoneal Masses in Adults: An Imaging Approach. Indian J. Radiol. Imaging 2022, 32, 235–252. [Google Scholar] [CrossRef]
- Cronin, C.G.; Lohan, D.G.; Blake, M.A.; Roche, C.; McCarthy, P.; Murphy, J.M. Retroperitoneal Fibrosis: A Review of Clinical Features and Imaging Findings. Am. J. Roentgenol. 2008, 191, 423–431. [Google Scholar] [CrossRef] [PubMed]
- Wang, Y.; Guan, Z.; Gao, D.; Luo, G.; Li, K.; Zhao, Y.; Wang, X.; Zhang, J.; Jin, J.; Zhao, Z.; et al. The value of 18 F-FDG PET/CT in the distinction between retroperitoneal fibrosis and its malignant mimics. Semin. Arthritis Rheum. 2018, 47, 593–600. [Google Scholar] [CrossRef]
- Duhan, S.; Keisham, B.; Bazigh, K.; Duhan, C.; Alhamdan, N. Retroperitoneal Fibrosis: Still a Diagnostic Challenge. Cureus 2023, 15, e33998. [Google Scholar] [CrossRef] [PubMed]
- I Bangolo, A.; Gupta, K.; Atoot, A. IgG4-Related Disease Retroperitoneal Fibrosis: An Unusual Cause of Low Back Pain. Cureus 2021, 13, e13608. [Google Scholar] [CrossRef] [PubMed]
- Qiao, Y.; Wang, M.; Hui, K.; Jiang, X. Diagnosis progress of carcinoma of unknown primary. Front. Oncol. 2024, 14, 1510443. [Google Scholar] [CrossRef]
- Ullah, H.; Khan, I.; Khan, A.; Tangri, A.; Lamichhane, S.; Maqbool, S.; Nashwan, A.J. The Pleural Origin of Retiform Hemangioendothelioma: An Unusual Origin of a Rare Diagnosis. Case Rep. Oncol. 2024, 17, 741–746. [Google Scholar] [CrossRef]
- Sun, W.; Wu, W.; Wang, Q.; Yao, Q.; Feng, Q.; Wang, Y.; Sun, Y.; Liu, Y.; Lai, Q.; Zhang, G.; et al. Clinical validation of a 90-gene expression test for tumor tissue of origin diagnosis: A large-scale multicenter study of 1417 patients. J. Transl. Med. 2022, 20, 114. [Google Scholar] [CrossRef]
- Ye, Q.; Wang, Q.; Qi, P.; Chen, J.; Sun, Y.; Jin, S.; Ren, W.; Chen, C.; Liu, M.; Xu, M.; et al. Development and Clinical Validation of a 90-Gene Expression Assay for Identifying Tumor Tissue Origin. J. Mol. Diagn. 2020, 22, 1139–1150. [Google Scholar] [CrossRef]
- Zhang, Y.; Xia, L.; Ma, D.; Wu, J.; Xu, X.; Xu, Y. 90-Gene Expression Profiling for Tissue Origin Diagnosis of Cancer of Unknown Primary. Front. Oncol. 2021, 11, 722808. [Google Scholar] [CrossRef]
- Formisano, L.; Stauffer, K.M.; Young, C.D.; Bhola, N.E.; Guerrero-Zotano, A.L.; Jansen, V.M.; Estrada, M.M.; Hutchinson, K.E.; Giltnane, J.M.; Schwarz, L.J.; et al. Association of FGFR1 with ERα Maintains Ligand-Independent ER Transcription and Mediates Resistance to Estrogen Deprivation in ER+ Breast Cancer. Clin. Cancer Res. 2017, 23, 6138–6150. [Google Scholar] [CrossRef] [PubMed]
- Zhou, R.; Zhu, X.; Peng, Y.; Zhong, L.; Peng, L.; Yang, B.; Meng, Y.; Chen, X.; Lu, Y. Clinical Impact of 11q13.3 Amplification on Immune Cell Infiltration and Prognosis in Breast Cancer. Int. J. Gen. Med. 2022, 15, 4037–4052. [Google Scholar] [CrossRef] [PubMed]
- Jardim, D.L.F.; Millis, S.Z.; Ross, J.S.; Lippman, S.; Ali, S.M.; Kurzrock, R. Comprehensive Landscape of Cyclin Pathway Gene Alterations and Co-occurrence with FGF/FGFR Aberrations Across Urinary Tract Tumors. Oncologist 2023, 28, e82–e91. [Google Scholar] [CrossRef] [PubMed]
- Parish, A.; Schwaederle, M.; Daniels, G.; Piccioni, D.; Fanta, P.; Schwab, R.; Shimabukuro, K.; Parker, B.; Helsten, T.; Kurzrock, R. Fibroblast growth factor family aberrations in cancers: Clinical and molecular characteristics. Cell Cycle 2015, 14, 2121–2128. [Google Scholar] [CrossRef]
- Wang, L.; Jia, Y.-M.; Zuo, J.; Wang, Y.-D.; Fan, Z.-S.; Feng, L.; Zhang, X.; Han, J.; Lyu, W.-J.; Ni, Z.-Y. Gene mutations of esophageal squamous cell carcinoma based on next-generation sequencing. Chin. Med. J. 2021, 134, 708–715. [Google Scholar] [CrossRef]
- Zuo, W.; He, Y.; Li, W.; Wu, H.; Zhao, Z.; Zhang, Y.; Chen, S.; Yin, Y. Landscape of FGF/FGFR Alterations in 12,372 Chinese Cancer Patients. J. Cancer 2020, 11, 6695–6699. [Google Scholar] [CrossRef]
- McGenity, C.; Clarke, E.L.; Jennings, C.; Matthews, G.; Cartlidge, C.; Freduah-Agyemang, H.; Stocken, D.D.; Treanor, D. Artificial intelligence in digital pathology: A systematic review and meta-analysis of diagnostic test accuracy. NPJ Digit. Med. 2024, 7, 114. [Google Scholar] [CrossRef]




Disclaimer/Publisher’s Note: The statements, opinions and data contained in all publications are solely those of the individual author(s) and contributor(s) and not of MDPI and/or the editor(s). MDPI and/or the editor(s) disclaim responsibility for any injury to people or property resulting from any ideas, methods, instructions or products referred to in the content. |
© 2025 by the authors. Licensee MDPI, Basel, Switzerland. This article is an open access article distributed under the terms and conditions of the Creative Commons Attribution (CC BY) license (https://creativecommons.org/licenses/by/4.0/).
Share and Cite
Kong, S.; Cao, T.; Liu, Y.; Wang, X.; Wang, M.; Luo, T.; Wang, Y.; Wang, P.; Bai, H. ARID1A-Deficient and 11q13-Amplified Metastatic Pancreatic Cancer Initially Presenting as Retroperitoneal Fibrosis in a Patient with Familial CHEK2 Variant. Diagnostics 2025, 15, 1998. https://doi.org/10.3390/diagnostics15161998
Kong S, Cao T, Liu Y, Wang X, Wang M, Luo T, Wang Y, Wang P, Bai H. ARID1A-Deficient and 11q13-Amplified Metastatic Pancreatic Cancer Initially Presenting as Retroperitoneal Fibrosis in a Patient with Familial CHEK2 Variant. Diagnostics. 2025; 15(16):1998. https://doi.org/10.3390/diagnostics15161998
Chicago/Turabian StyleKong, Siming, Tongxin Cao, Yakun Liu, Xuedong Wang, Mingshuo Wang, Tianzi Luo, Yunfang Wang, Pengfei Wang, and Hui Bai. 2025. "ARID1A-Deficient and 11q13-Amplified Metastatic Pancreatic Cancer Initially Presenting as Retroperitoneal Fibrosis in a Patient with Familial CHEK2 Variant" Diagnostics 15, no. 16: 1998. https://doi.org/10.3390/diagnostics15161998
APA StyleKong, S., Cao, T., Liu, Y., Wang, X., Wang, M., Luo, T., Wang, Y., Wang, P., & Bai, H. (2025). ARID1A-Deficient and 11q13-Amplified Metastatic Pancreatic Cancer Initially Presenting as Retroperitoneal Fibrosis in a Patient with Familial CHEK2 Variant. Diagnostics, 15(16), 1998. https://doi.org/10.3390/diagnostics15161998

