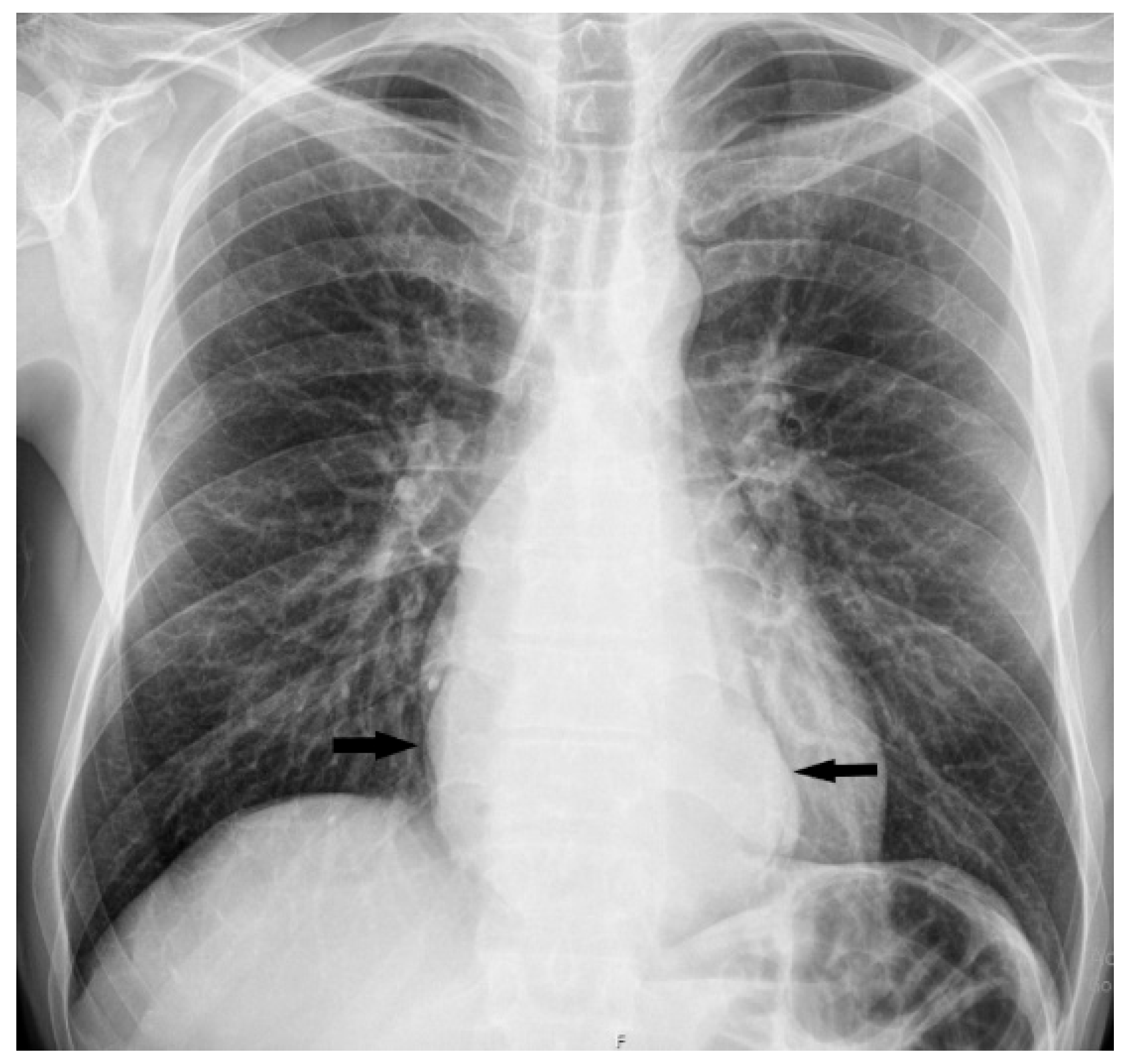
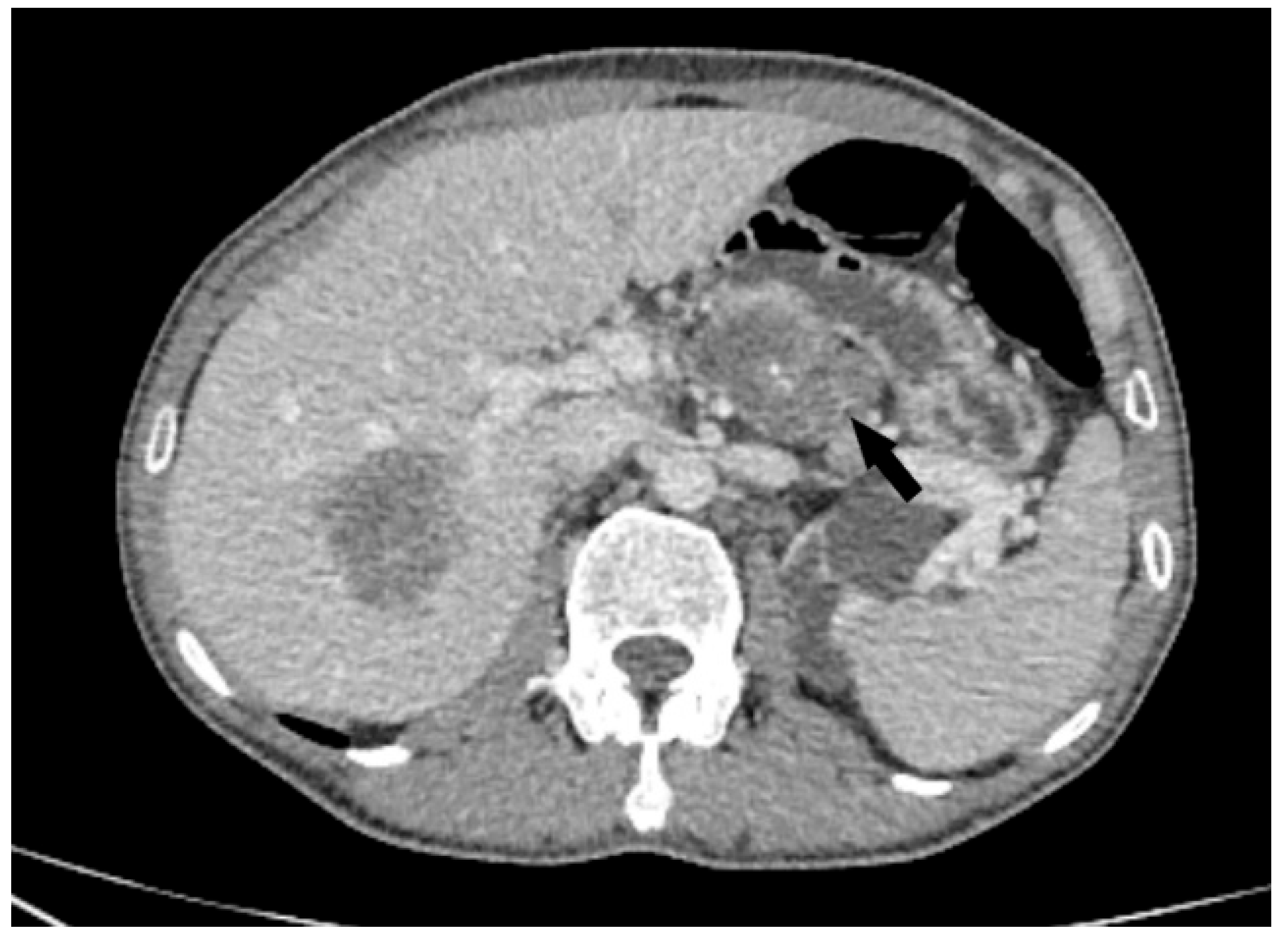
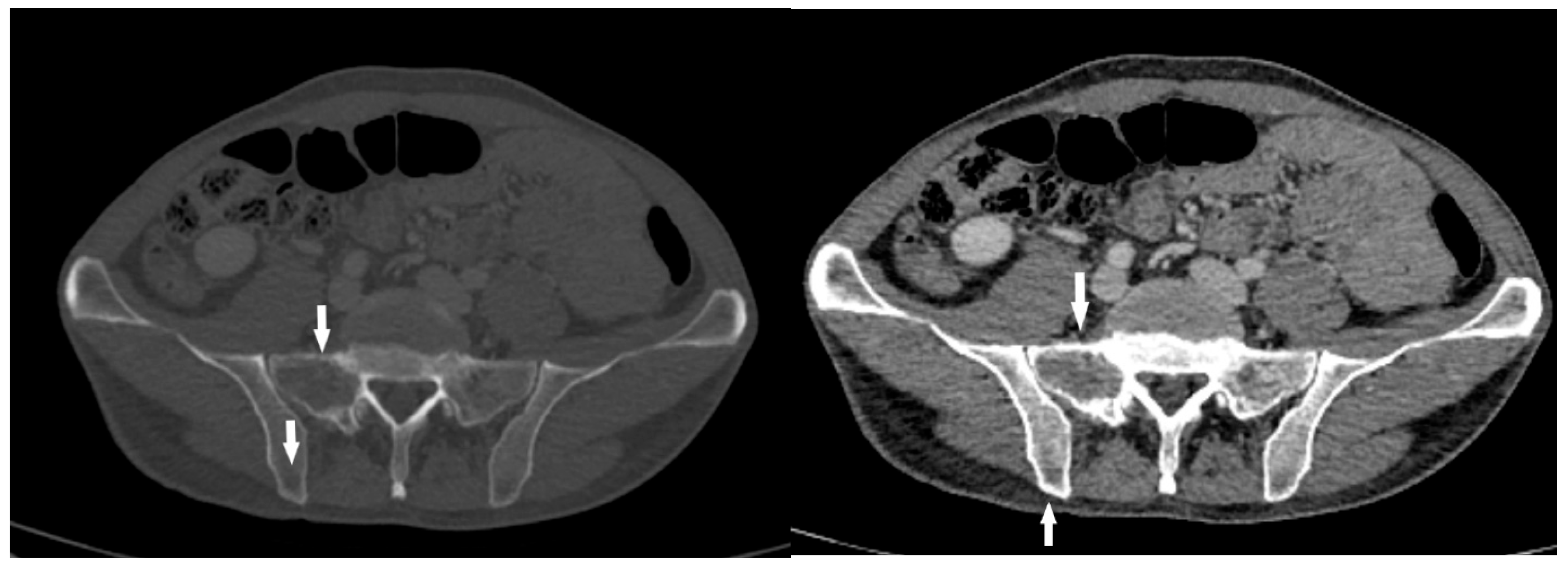
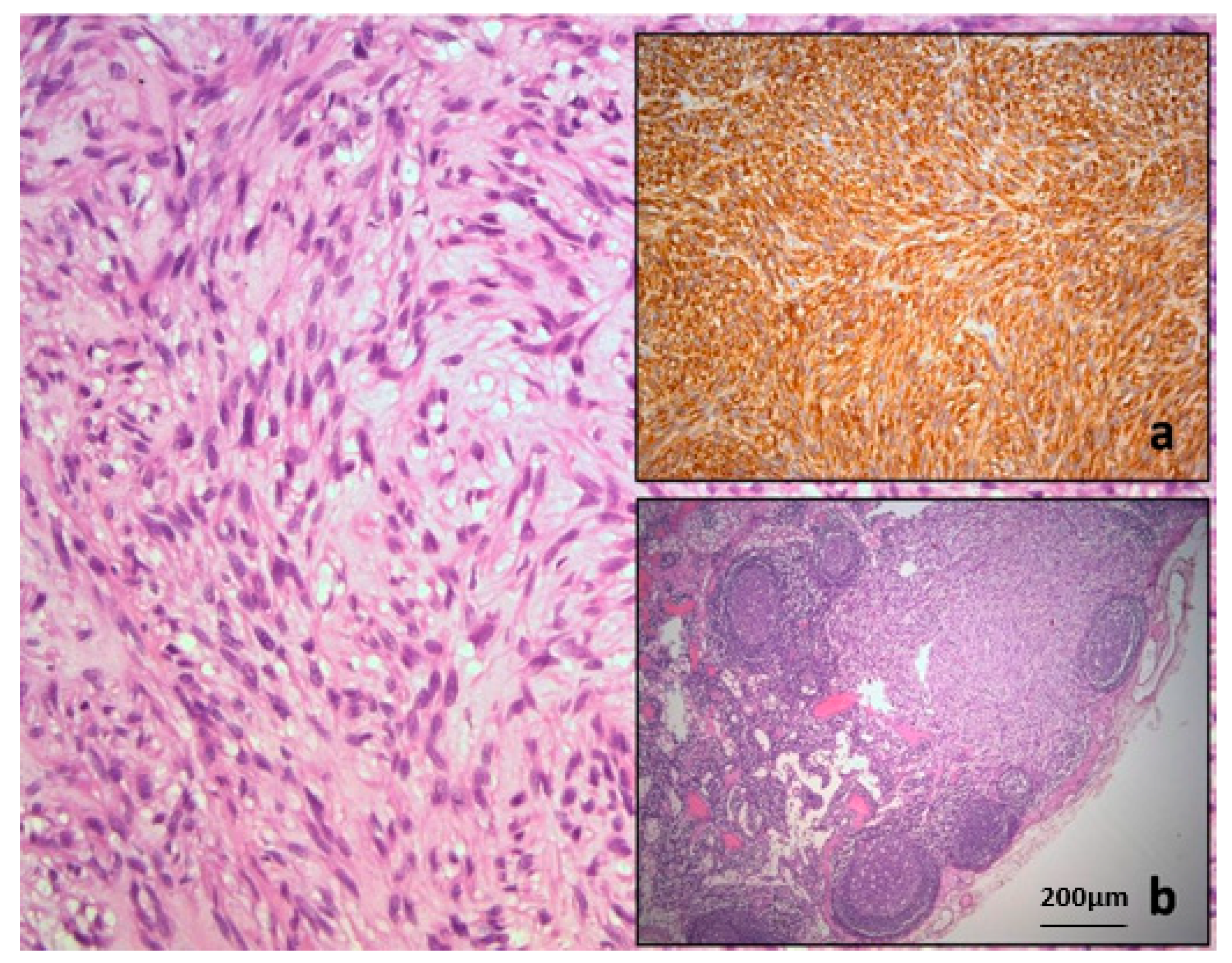
High-Risk Esophageal GIST: Imaging and Therapeutic Impact on Atypical Metastatic Lesions
Abstract









Author Contributions
Funding
Institutional Review Board Statement
Informed Consent Statement
Data Availability Statement
Conflicts of Interest
References
- Hirota, S. Differential diagnosis of gastrointestinal stromal tumor by histopathology and immunohistochemistry. Transl. Gastroenterol. Hepatol. 2018, 3, 27. [Google Scholar] [CrossRef] [PubMed]
- Liu, Z.; Zhang, Z.; Sun, J.; Li, J.; Zeng, Z.; Ma, M.; Ye, X.; Feng, F.; Kang, W. Comparison of prognosis between neoadjuvant imatinib and upfront surgery for GIST: A systematic review and meta-analysis. Front. Pharmacol. 2022, 13, 966486. [Google Scholar] [CrossRef] [PubMed]
- Su, W.C.; Huang, C.W.; Chen, Y.C.; Chang, T.K.; Chen, P.J.; Yeh, Y.S.; Yin, T.C.; Tsai, H.L.; Wang, J.Y. Effects of first-line therapies in patients with locally advanced gastrointestinal stromal tumors with KIT and PDGFRα gene mutations: A single-center study. Oncol. Lett. 2025, 29, 299. [Google Scholar] [CrossRef] [PubMed]
- Blanke, C.D.; Demetri, G.D.; von Mehren, M.; Heinrich, M.C.; Eisenberg, B.; Fletcher, J.A.; Corless, C.L.; Fletcher, C.D.M.; Roberts, P.J.; Heinz, D.; et al. Long-term results from a randomized phase II trial of standard- versus higher-dose imatinib mesylate for patients with unresectable or metastatic gastrointestinal stromal tumors expressing KIT. J. Clin. Oncol. 2008, 26, 620–625. [Google Scholar] [CrossRef] [PubMed]
- Casali, P.G.; Blay, J.Y.; Abecassis, N.; Bajpai, J.; Bauer, S.; Biagini, R.; Bielack, S.; Bonvalot, S.; Boukovinas, I.; Bovee, J.V.M.G.; et al. Gastrointestinal stromal tumours: ESMO-EURACAN-GENTURIS Clinical Practice Guidelines for diagnosis, treatment and follow-up. Ann. Oncol. 2022, 33, 20–33. [Google Scholar] [CrossRef] [PubMed]
- Yu, X.; Liang, X.; Wen, K. Clinical characteristics and prognosis of gastrointestinal stromal tumors with rare site metastasis (Review). Oncol. Lett. 2022, 24, 453. [Google Scholar] [CrossRef] [PubMed]
- Slimack, N.P.; Liu, J.C.; Koski, T.; McClendon, J., Jr.; O’Shaughnessy, B.A. Metastatic gastrointestinal stromal tumor to the thoracic and lumbar spine: First reported case and surgical treatment. Spine J. 2012, 12, 7–12. [Google Scholar] [CrossRef] [PubMed]
- Canda, A.E.; Ozsoy, Y.; Nalbant, O.A.; Sagol, O. Gastrointestinal stromal tumor of the stomach with lymph node metastasis. World J. Surg. Oncol. 2008, 6, 97. [Google Scholar] [CrossRef] [PubMed]
- Yilmaz, M.T.; Gultekin, M.; Yalcin, S.; Tuncel, M.; Gedikoglu, G.; Yildiz, F.; Cengiz, M. Stereotactic ablative radiotherapy for bone metastasis of gastrointestinal stromal tumor: Case report and review of the literature. Rep. Pract. Oncol. Radiother. 2020, 25, 331–335. [Google Scholar] [CrossRef] [PubMed]
- Yang, D.Y.; Wang, X.; Yuan, W.J.; Chen, Z.H. Metastatic pattern and prognosis of gastrointestinal stromal tumor (GIST): A SEER-based analysis. Clin. Transl. Oncol. 2019, 21, 1654–1662. [Google Scholar] [CrossRef] [PubMed]
- Yang, J.; Yan, J.; Zeng, M.; Wan, W.; Liu, T.; Xiao, J.R. Bone Metastases of Gastrointestinal Stromal Tumor: A Review of Published Literature. Cancer Manag. Res. 2020, 12, 1411–1417. [Google Scholar] [CrossRef] [PubMed]
- Le Cesne, A.; Ray-Coquard, I.; Bui, B.N.; Adenis, A.; Rios, M.; Bertucci, F.; Duffaud, F.; Chevreau, C.; Cupissol, D.; Cioffi, A.; et al. Discontinuation of imatinib in patients with advanced gastrointestinal stromal tumours after 3 years of treatment: An open-label multicentre randomised phase 3 trial. Lancet Oncol. 2010, 11, 942–949. [Google Scholar] [CrossRef] [PubMed]
- Casali, P.G.; Abecassis, N.; Aro, H.T.; Bauer, S.; Biagini, R.; Bielack, S.; Bonvalot, S.; Boukovinas, I.; Bovee, J.V.M.G.; Brodowicz, T.; et al. Gastrointestinal stromal tumours: ESMO-EURACAN Clinical Practice Guidelines for diagnosis, treatment and follow-up. Ann. Oncol. Off. J. Eur. Soc. Med. Oncol. 2018, 29 (Suppl. S4), 267. [Google Scholar] [CrossRef] [PubMed]
- Kelly, C.M.; Gutierrez, S.L.; Chi, P. The management of metastatic GIST: Current standard and investigational therapeutics. J. Hematol. Oncol. 2021, 14, 2. [Google Scholar] [CrossRef] [PubMed]
- Suzuki, K.; Yasuda, T.; Nagao, K.; Hori, T.; Watanabe, K.; Kanamori, M.; Kimura, T. Bone metastasis of a gastrointestinal stromal tumor: A report of two cases. Oncol. Lett. 2015, 9, 1814–1818. [Google Scholar] [CrossRef] [PubMed]
- Farag, S.; Geus-Oei, L.F.; van der Graaf, W.T.; van Coevorden, F.; Grunhagen, D.; Reyners, A.K.L.; Boonstra, P.A.; Desar, I.; Gelderblom, H.; Steeghs, N. Early evaluation of response using 18F-FDG PET influences management in gastrointestinal stromal tumor patients treated with neoadjuvant imatinib. J. Nucl. Med. 2018, 59, 194–196. [Google Scholar] [CrossRef] [PubMed]
- Antonescu, C.R. The GIST paradigm: Lessons for other kinase-driven cancers. J. Pathol. 2011, 223, 251–261. [Google Scholar] [CrossRef] [PubMed]
Disclaimer/Publisher’s Note: The statements, opinions and data contained in all publications are solely those of the individual author(s) and contributor(s) and not of MDPI and/or the editor(s). MDPI and/or the editor(s) disclaim responsibility for any injury to people or property resulting from any ideas, methods, instructions or products referred to in the content. |
© 2025 by the authors. Licensee MDPI, Basel, Switzerland. This article is an open access article distributed under the terms and conditions of the Creative Commons Attribution (CC BY) license (https://creativecommons.org/licenses/by/4.0/).
Share and Cite
Sabljak, P.; Djuric-Stefanovic, A.; Bubanja, M.; Odalovic, S.; Ivanovic, N.; Mitrovic-Jovanovic, M.; Skrobic, O. High-Risk Esophageal GIST: Imaging and Therapeutic Impact on Atypical Metastatic Lesions. Diagnostics 2025, 15, 1802. https://doi.org/10.3390/diagnostics15141802
Sabljak P, Djuric-Stefanovic A, Bubanja M, Odalovic S, Ivanovic N, Mitrovic-Jovanovic M, Skrobic O. High-Risk Esophageal GIST: Imaging and Therapeutic Impact on Atypical Metastatic Lesions. Diagnostics. 2025; 15(14):1802. https://doi.org/10.3390/diagnostics15141802
Chicago/Turabian StyleSabljak, Predrag, Aleksandra Djuric-Stefanovic, Miljana Bubanja, Strahinja Odalovic, Nenad Ivanovic, Milica Mitrovic-Jovanovic, and Ognjan Skrobic. 2025. "High-Risk Esophageal GIST: Imaging and Therapeutic Impact on Atypical Metastatic Lesions" Diagnostics 15, no. 14: 1802. https://doi.org/10.3390/diagnostics15141802
APA StyleSabljak, P., Djuric-Stefanovic, A., Bubanja, M., Odalovic, S., Ivanovic, N., Mitrovic-Jovanovic, M., & Skrobic, O. (2025). High-Risk Esophageal GIST: Imaging and Therapeutic Impact on Atypical Metastatic Lesions. Diagnostics, 15(14), 1802. https://doi.org/10.3390/diagnostics15141802

