Radiomics Signature of Aging Myocardium in Cardiac Photon-Counting Computed Tomography
Abstract
1. Introduction
2. Material and Methods
2.1. Patients Collective
2.2. Cardiac CT Imaging
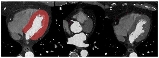
2.3. Cardiac CT Image Analysis
2.4. Radiomics Feature Extraction
2.5. Statistical Analysis
3. Results
3.1. Patient Population
3.2. EAT Analysis
3.3. Radiomics Analysis
4. Discussion
5. Conclusions
Key Points
Author Contributions
Funding
Institutional Review Board Statement
Informed Consent Statement
Data Availability Statement
Conflicts of Interest
Correction Statement
Abbreviations
| CCTA | coronary computed tomography angiography |
| CT | computed tomography |
| DICOM | digital imaging and communication in medicine |
| EAT | epicardial adipose tissue |
| ECG | electrocardiography |
| EICT | energy-integrating computed tomography |
| GLCM | gray level co-occurrence matrix |
| GLDM | gray level dependence matrix |
| GLSZM | gray level size zone matrix |
| GLRLM | gray level run length matrix |
| IBSI | image biomarker standardization initiative |
| NGTDM | neighboring gray tone difference |
| NIFTI | neuroimaging informatics technology initiative |
| RF | random forest |
| PCCT | photon-counting computed tomography |
| ROC | receiver operating characteristic |
| ROI | region of interest |
References
- Mundt, P.; Hertel, A.; Tharmaseelan, H.; Nörenberg, D.; Papavassiliu, T.; Schoenberg, S.O.; Froelich, M.F.; Ayx, I. Analysis of Epicardial Adipose Tissue Texture in Relation to Coronary Artery Calcification in PCCT: The EAT Signature! Diagnostics 2024, 14, 277. [Google Scholar] [CrossRef] [PubMed]
- Ciumărnean, L.; Milaciu, M.V.; Negrean, V.; Orășan, O.H.; Vesa, S.C.; Sălăgean, O.; Iluţ, S.; Vlaicu, S.I. Cardiovascular Risk Factors and Physical Activity for the Prevention of Cardiovascular Diseases in the Elderly. Int. J. Environ. Res. Public. Health 2021, 19, 207. [Google Scholar] [CrossRef] [PubMed]
- Go, A.S.; Mozaffarian, D.; Roger, V.L.; Benjamin, E.J.; Berry, J.D.; Borden, W.B.; Bravata, D.M.; Dai, S.; Ford, E.S.; Fox, C.S.; et al. Heart Disease and Stroke Statistics—2013 Update: A Report From the American Heart Association. Circulation 2013, 127, e6–e245. [Google Scholar] [CrossRef] [PubMed]
- Meijboom, W.B.; Meijs, M.F.L.; Schuijf, J.D.; Cramer, M.J.; Mollet, N.R.; Van Mieghem, C.A.G.; Nieman, K.; Van Werkhoven, J.M.; Pundziute, G.; Weustink, A.C.; et al. Diagnostic Accuracy of 64-Slice Computed Tomography Coronary Angiography. J. Am. Coll. Cardiol. 2008, 52, 2135–2144. [Google Scholar] [CrossRef] [PubMed]
- Budoff, M.J.; Dowe, D.; Jollis, J.G.; Gitter, M.; Sutherland, J.; Halamert, E.; Scherer, M.; Bellinger, R.; Martin, A.; Benton, R.; et al. Diagnostic Performance of 64-Multidetector Row Coronary Computed Tomographic Angiography for Evaluation of Coronary Artery Stenosis in Individuals Without Known Coronary Artery Disease. J. Am. Coll. Cardiol. 2008, 52, 1724–1732. [Google Scholar] [CrossRef] [PubMed]
- Knuuti, J.; Wijns, W.; Saraste, A.; Capodanno, D.; Barbato, E.; Funck-Brentano, C.; Prescott, E.; Storey, R.F.; Deaton, C.; Cuisset, T.; et al. 2019 ESC Guidelines for the diagnosis and management of chronic coronary syndromes. Eur. Heart J. 2020, 41, 407–477. [Google Scholar] [CrossRef] [PubMed]
- Thomas, K.E.; Fotaki, A.; Botnar, R.M.; Ferreira, V.M. Imaging Methods: Magnetic Resonance Imaging. Circ. Cardiovasc. Imaging 2023, 16, e014068. [Google Scholar] [CrossRef] [PubMed]
- Palmisano, A.; Vignale, D.; Benedetti, G.; Del Maschio, A.; De Cobelli, F.; Esposito, A. Late iodine enhancement cardiac computed tomography for detection of myocardial scars: Impact of experience in the clinical practice. Radiol. Med. 2020, 125, 128–136. [Google Scholar] [CrossRef] [PubMed]
- Gillies, R.J.; Kinahan, P.E.; Hricak, H. Radiomics: Images Are More than Pictures, They Are Data. Radiology 2016, 278, 563–577. [Google Scholar] [CrossRef] [PubMed]
- Tharmaseelan, H.; Hertel, A.; Rennebaum, S.; Nörenberg, D.; Haselmann, V.; Schoenberg, S.O.; Froelich, M.F. The Potential and Emerging Role of Quantitative Imaging Biomarkers for Cancer Characterization. Cancers 2022, 14, 3349. [Google Scholar] [CrossRef] [PubMed]
- Tharmaseelan, H.; Vellala, A.K.; Hertel, A.; Tollens, F.; Rotkopf, L.T.; Rink, J.; Woźnicki, P.; Ayx, I.; Bartling, S.; Nörenberg, D.; et al. Tumor classification of gastrointestinal liver metastases using CT-based radiomics and deep learning. Cancer Imaging Off. Publ. Int. Cancer Imaging Soc. 2023, 23, 95. [Google Scholar] [CrossRef] [PubMed]
- Antunes, S.; Esposito, A.; Palmisanov, A.; Colantoni, C.; De Cobelli, F.; Del Maschio, A. Characterization of normal and scarred myocardium based on texture analysis of cardiac computed tomography images. In Proceedings of the 2016 38th Annual International Conference of the IEEE Engineering in Medicine and Biology Society (EMBC), Orlando, FL, USA, 16–20 August 2016; IEEE: Piscataway, NJ, USA, 2016; pp. 4161–4164. [Google Scholar]
- Hinzpeter, R.; Wagner, M.W.; Wurnig, M.C.; Seifert, B.; Manka, R.; Alkadhi, H. Texture analysis of acute myocardial infarction with CT: First experience study. PLoS ONE 2017, 12, e0186876. [Google Scholar] [CrossRef] [PubMed]
- Mannil, M.; Von Spiczak, J.; Manka, R.; Alkadhi, H. Texture Analysis and Machine Learning for Detecting Myocardial Infarction in Noncontrast Low-Dose Computed Tomography: Unveiling the Invisible. Investig. Radiol. 2018, 53, 338–343. [Google Scholar] [CrossRef] [PubMed]
- Esposito, A.; Palmisano, A.; Antunes, S.; Maccabelli, G.; Colantoni, C.; Rancoita, P.M.V.; Baratto, F.; Di Serio, C.; Rizzo, G.; De Cobelli, F.; et al. Cardiac CT With Delayed Enhancement in the Characterization of Ventricular Tachycardia Structural Substrate. JACC Cardiovasc. Imaging 2016, 9, 822–832. [Google Scholar] [CrossRef] [PubMed]
- Ayx, I.; Tharmaseelan, H.; Hertel, A.; Nörenberg, D.; Overhoff, D.; Rotkopf, L.T.; Riffel, P.; Schoenberg, S.O.; Froelich, M.F. Myocardial Radiomics Texture Features Associated with Increased Coronary Calcium Score-First Results of a Photon-Counting CT. Diagnostics 2022, 12, 1663. [Google Scholar] [CrossRef] [PubMed]
- Cetin, I.; Raisi-Estabragh, Z.; Petersen, S.E.; Napel, S.; Piechnik, S.K.; Neubauer, S.; Gonzalez Ballester, M.A.; Camara, O.; Lekadir, K. Radiomics Signatures of Cardiovascular Risk Factors in Cardiac MRI: Results From the UK Biobank. Front. Cardiovasc. Med. 2020, 7, 591368. [Google Scholar] [CrossRef] [PubMed]
- Kim, H.; Park, C.M.; Park, S.J.; Song, Y.S.; Lee, J.H.; Hwang, E.J.; Goo, J.M. Temporal Changes of Texture Features Extracted From Pulmonary Nodules on Dynamic Contrast-Enhanced Chest Computed Tomography: How Influential Is the Scan Delay? Investig. Radiol. 2016, 51, 569–574. [Google Scholar] [CrossRef] [PubMed]
- Mayerhoefer, M.E.; Szomolanyi, P.; Jirak, D.; Berg, A.; Materka, A.; Dirisamer, A.; Trattnig, S. Effects of Magnetic Resonance Image Interpolation on the Results of Texture-Based Pattern Classification: A Phantom Study. Investig. Radiol. 2009, 44, 405–411. [Google Scholar] [CrossRef] [PubMed]
- Mackin, D.; Fave, X.; Zhang, L.; Fried, D.; Yang, J.; Taylor, B.; Rodriguez-Rivera, E.; Dodge, C.; Jones, A.K.; Court, L. Measuring Computed Tomography Scanner Variability of Radiomics Features. Investig. Radiol. 2015, 50, 757–765. [Google Scholar] [CrossRef] [PubMed]
- Kim, H.; Park, C.M.; Gwak, J.; Hwang, E.J.; Lee, S.Y.; Jung, J.; Hong, H.; Goo, J.M. Effect of CT Reconstruction Algorithm on the Diagnostic Performance of Radiomics Models: A Task-Based Approach for Pulmonary Subsolid Nodules. Am. J. Roentgenol. 2019, 212, 505–512. [Google Scholar] [CrossRef] [PubMed]
- Kufel, J.; Bargieł-Łączek, K.; Kocot, S.; Koźlik, M.; Bartnikowska, W.; Janik, M.; Czogalik, Ł.; Dudek, P.; Magiera, M.; Lis, A.; et al. What Is Machine Learning, Artificial Neural Networks and Deep Learning?—Examples of Practical Applications in Medicine. Diagnostics 2023, 13, 2582. [Google Scholar] [CrossRef] [PubMed]
- Willemink, M.J.; Persson, M.; Pourmorteza, A.; Pelc, N.J.; Fleischmann, D. Photon-counting CT: Technical Principles and Clinical Prospects. Radiology 2018, 289, 293–312. [Google Scholar] [CrossRef] [PubMed]
- Flohr, T.; Schmidt, B. Technical Basics and Clinical Benefits of Photon-Counting CT. Investig. Radiol. 2023, 58, 441–450. [Google Scholar] [CrossRef] [PubMed]
- Esquivel, A.; Ferrero, A.; Mileto, A.; Baffour, F.; Horst, K.; Rajiah, P.S.; Inoue, A.; Leng, S.; McCollough, C.; Fletcher, J.G. Photon-Counting Detector CT: Key Points Radiologists Should Know. Korean J. Radiol. 2022, 23, 854–865. [Google Scholar] [CrossRef] [PubMed]
- Hertel, A.; Tharmaseelan, H.; Rotkopf, L.T.; Nörenberg, D.; Riffel, P.; Nikolaou, K.; Weiss, J.; Bamberg, F.; Schoenberg, S.O.; Froelich, M.F.; et al. Phantom-based radiomics feature test–retest stability analysis on photon-counting detector CT. Eur. Radiol. 2023, 33, 4905–4914. [Google Scholar] [CrossRef] [PubMed]
- Liu, J.; Fan, W.; Liu, Y.; Bu, H.; Song, J.; Sun, L. Association of Epicardial and Pericardial Adipose Tissue Volumes with Coronary Artery Calcification. Int. Heart. J. 2022, 63, 1019–1025. [Google Scholar] [CrossRef] [PubMed]
- Gao, Z.; Zuo, Y.; Jia, L.; Yin, Y.; Yang, X.; Fan, Y.; Liu, H. Association between epicardial adipose tissue density and characteristics of coronary plaques assessed by coronary computed tomographic angiography. Int. J. Cardiovasc. Imaging 2022, 38, 673–681. [Google Scholar] [CrossRef] [PubMed]
- Liu, Z.; Wang, S.; Wang, Y.; Zhou, N.; Shu, J.; Stamm, C.; Jiang, M.; Luo, F. Association of epicardial adipose tissue attenuation with coronary atherosclerosis in patients with a high risk of coronary artery disease. Atherosclerosis 2019, 284, 230–236. [Google Scholar] [CrossRef] [PubMed]
- Scott, A.J. The longevity society. Lancet Healthy Longev. 2021, 2, e820–e827. [Google Scholar] [CrossRef] [PubMed]
- Vrints, C.; Andreotti, F.; Koskinas, K.C.; Rossello, X.; Adamo, M.; Ainslie, J.; Banning, A.P.; Budaj, A.; Buechel, R.R.; Chiariello, G.A.; et al. 2024 ESC Guidelines for the management of chronic coronary syndromes. Eur. Heart J. 2024, 45, 3415–3537. [Google Scholar] [CrossRef] [PubMed]
- Bittencourt, M.S.; Blaha, M.J.; Blankstein, R.; Budoff, M.; Vargas, J.D.; Blumenthal, R.S.; Agatston, A.S.; Nasir, K. Polypill Therapy, Subclinical Atherosclerosis, and Cardiovascular Events—Implications for the Use of Preventive Pharmacotherapy. J. Am. Coll. Cardiol. 2014, 63, 434–443. [Google Scholar] [CrossRef] [PubMed]
- Zwanenburg, A.; Vallières, M.; Abdalah, M.A.; Aerts, H.J.W.L.; Andrearczyk, V.; Apte, A.; Ashrafinia, S.; Bakas, S.; Beukinga, R.J.; Boellaard, R.; et al. The Image Biomarker Standardization Initiative: Standardized Quantitative Radiomics for High-Throughput Image-based Phenotyping. Radiology 2020, 295, 328–338. [Google Scholar] [CrossRef] [PubMed]
- R Studio, Version 1.3.1093; R Studio Team: Boston, MA, USA, 2020. Available online: https://www.rstudio.com (accessed on 21 June 2025).
- Parmar, C.; Grossmann, P.; Bussink, J.; Lambin, P.; Aerts, H.J.W.L. Machine Learning methods for Quantitative Radiomic Biomarkers. Sci. Rep. 2015, 5, 13087. [Google Scholar] [CrossRef] [PubMed]
- Baeßler, B.; Mannil, M.; Maintz, D.; Alkadhi, H.; Manka, R. Texture analysis and machine learning of non-contrast T1-weighted MR images in patients with hypertrophic cardiomyopathy—Preliminary results. Eur. J. Radiol. 2018, 102, 61–67. [Google Scholar] [CrossRef] [PubMed]
- Sangaralingham, S.J.; Ritman, E.L.; McKie, P.M.; Ichiki, T.; Lerman, A.; Scott, C.G.; Martin, F.L.; Harders, G.E.; Bellavia, D.; Burnett, J.C. Cardiac Micro–Computed Tomography Imaging of the Aging Coronary Vasculature. Circ. Cardiovasc. Imaging 2012, 5, 518–524. [Google Scholar] [CrossRef] [PubMed]
- Boluyt, M.O.; Converso, K.; Hwang, H.S.; Mikkor, A.; Russell, M.W. Echocardiographic assessment of age-associated changes in systolic and diastolic function of the female F344 rat heart. J. Appl. Physiol. 2004, 96, 822–828. [Google Scholar] [CrossRef] [PubMed]
- Siemens Healthineers Introduces Photon-Counting CT Scanners. Modern Healthcare. Published 23 June 2021. Available online: https://www.modernhealthcare.com/digital-health/siemens-healthineers-photon-counting-ct-scanners/ (accessed on 8 July 2025).





| Overall | Age 50–60 Years | Age 70–80 Years | p-Value | |
|---|---|---|---|---|
| Number | 90 | 54 | 36 | 0.074 |
| Sex | 42 male | 30 male | 12 male | 0.052 |
| 48 female | 24 female | 24 female | ||
| Age | 63.6 | 56.5 | 74.2 | <0.001 |
| (51–79) | (51–60) | (70–79) | ||
| Agatston Score | 28.9 | 29.1 | 28.5 | 0.921 |
| (0–99.2) | (0–98.3) | (0–99.2) | ||
| Hypertonia | 22/42 | 12/24 | 10/18 | 0.764 |
| (52.4%) | (50.0%) | (55.6%) | ||
| Hypercholesterinemia | 22/42 | 14/24 | 8/18 | 0.537 |
| (52.4%) | (58.3%) | (44.4%) | ||
| Diabetes mellitus | 6/42 | 1/24 | 5/18 | 0.068 |
| (14.3%) | (4.2%) | (27.8%) | ||
| Nicotine abuse | 12/42 | 8/24 | 4/18 | 0.506 |
| (28.6%) | (33.3%) | (22.2%) |
| Overall (Mean ± SD; Median (IQR)) | Age 50–60 Years (Mean ± SD; Median (IQR)) | Age 70–80 Years (Mean ± SD; Median (IQR)) | p-Value | |
|---|---|---|---|---|
| Number | 90 | 54 | 36 | 0.074 |
| Epicardial Fat Mean (HU) | −105.18 ± 20.95; −109.21 (29.25) | −104.99 ± 21.55; −108.62 (23.48) | −105.48 ± 20.03; −110.01 (33.26) | 0.914 |
| Epicardial Fat SD (HU) | 38.81 ± 10.74; 36.54 (14.17) | 39.96 ± 11.86; 36.34 (14.58) | 37.1 ± 8.52; 38.75 (11.10) | 0.454 |
| Epicardial Fat Min (HU) | −199.90 ± 32.34; −195 (36.25) | −199.72 ± 33.94; −191.5 (31) | −200.17 ± 29.76; −204.5 (40.50) | 0.561 |
| Epicardial Fat Max (HU) | 2.57 ± 40.96; −5 (54) | 6.87 ± 42.73; −3.5 (57.25) | −3.89 ± 37.23; −9 (50.75) | 0.227 |
| Mean Diameter of epicardial adipose tissue (mm) Position 1 | 0.96 ± 0.38; 0.89 (0.41) | 0.9 ± 0.38; 0.87 (0.43) | 1.04 ± 0.37; 0.95 (0.4) | 0.231 |
| Mean Diameter of epicardial adipose tissue (mm) Position 2 | 0.7 ± 0.22; 0.66 (0.32) | 0.7 ± 0.22; 0.63 (0.25) | 0.71 ± 0.23; 0.72 (0.36) | 0.613 |
| Mean Diameter of epicardial adipose tissue (mm) Position 3 | 0.73 ± 0.25; 0.73 (0.35 | 0.74 ± 0.25; 0.74 (0.34) | 0.71 ± 0.24; 0.71 (0.38) | 0.664 |
| Train Data | ||||
| Precision | Recall | F1-Score | Support | |
| Age Group 1 | 1 | 0.92 | 0.96 | 38 |
| Age Group 2 | 0.89 | 1 | 0.94 | 25 |
| accuracy | 0.95 | 63 | ||
| macro avg | 0.95 | 0.96 | 0.95 | 63 |
| weighted avg | 0.96 | 0.95 | 0.95 | 63 |
| Test Data | ||||
| Precision | Recall | F1-Score | Support | |
| Age Group 1 | 0.74 | 0.88 | 0.8 | 16 |
| Age Group 2 | 0.75 | 0.55 | 0.63 | 11 |
| accuracy | 0.74 | 27 | ||
| macro avg | 0.74 | 0.71 | 0.72 | 27 |
| weighted avg | 0.74 | 0.74 | 0.73 | 27 |
Disclaimer/Publisher’s Note: The statements, opinions and data contained in all publications are solely those of the individual author(s) and contributor(s) and not of MDPI and/or the editor(s). MDPI and/or the editor(s) disclaim responsibility for any injury to people or property resulting from any ideas, methods, instructions or products referred to in the content. |
© 2025 by the authors. Licensee MDPI, Basel, Switzerland. This article is an open access article distributed under the terms and conditions of the Creative Commons Attribution (CC BY) license (https://creativecommons.org/licenses/by/4.0/).
Share and Cite
Hertel, A.; Kuru, M.; Rink, J.S.; Haag, F.; Vellala, A.; Papavassiliu, T.; Froelich, M.F.; Schoenberg, S.O.; Ayx, I. Radiomics Signature of Aging Myocardium in Cardiac Photon-Counting Computed Tomography. Diagnostics 2025, 15, 1796. https://doi.org/10.3390/diagnostics15141796
Hertel A, Kuru M, Rink JS, Haag F, Vellala A, Papavassiliu T, Froelich MF, Schoenberg SO, Ayx I. Radiomics Signature of Aging Myocardium in Cardiac Photon-Counting Computed Tomography. Diagnostics. 2025; 15(14):1796. https://doi.org/10.3390/diagnostics15141796
Chicago/Turabian StyleHertel, Alexander, Mustafa Kuru, Johann S. Rink, Florian Haag, Abhinay Vellala, Theano Papavassiliu, Matthias F. Froelich, Stefan O. Schoenberg, and Isabelle Ayx. 2025. "Radiomics Signature of Aging Myocardium in Cardiac Photon-Counting Computed Tomography" Diagnostics 15, no. 14: 1796. https://doi.org/10.3390/diagnostics15141796
APA StyleHertel, A., Kuru, M., Rink, J. S., Haag, F., Vellala, A., Papavassiliu, T., Froelich, M. F., Schoenberg, S. O., & Ayx, I. (2025). Radiomics Signature of Aging Myocardium in Cardiac Photon-Counting Computed Tomography. Diagnostics, 15(14), 1796. https://doi.org/10.3390/diagnostics15141796

