Next Article in Journal
Diffusion-Weighted Imaging for Skin Pathologies of the Breast—A Feasibility Study
Next Article in Special Issue
Ultrasonography of Widespread Metastases in Advanced Gastric Signet Ring Cell Carcinoma
Previous Article in Journal
Influence of Achalasia on the Spirometry Flow–Volume Curve and Peak Expiratory Flow
Previous Article in Special Issue
Imaging Techniques and Clinical Application of the Marrow–Blood Barrier in Hematological Malignancies
 
 
Font Type:
Arial Georgia Verdana
Font Size:
Aa Aa Aa
Line Spacing:
Column Width:
Background:
Interesting Images

The Riddle of the Double Vision—A Rare Case of Intracranial Tumor: When Imaging Resolves the Mystery

1
Department of Ophthalmology, Vita-Salute San Raffaele University, 20132 Milan, Italy
2
Eye Clinic Zrenieto, 1000 Sofia, Bulgaria
3
Diagnostic Imaging Department, National Cardiology Hospital, 1000 Sofia, Bulgaria
4
Imaging Department, Medical University of Sofia, 1000 Sofia, Bulgaria
5
Department of Biomedical Sciences, Humanitas University, 20090 Milan, Italy
6
Department of Ophthalmology, IRCCS Humanitas Research Hospital, 20089 Milan, Italy
*
Author to whom correspondence should be addressed.
Diagnostics 2024, 14(9), 932; https://doi.org/10.3390/diagnostics14090932
Submission received: 28 January 2024 / Revised: 25 April 2024 / Accepted: 25 April 2024 / Published: 29 April 2024
(This article belongs to the Collection Advances in Cancer Imaging)

Abstract

A 77-year-old-man with arterial hypertension, diabetes mellitus type II presented at our clinic for a routine ophthalmological exam. He complained of intermittent double vision. The ophthalmic examination revealed paralysis of III (n. oculomotorius) and VI (n. abducens) cranial nerves with ptosis, deficit in elevation and abduction of the left eye. The patient underwent urgent MRI imaging of the brain/orbits and paranasal sinuses, and urgent neurological assessment. MRI revealed a volume-occupying process, starting from the posterior wall of the left maxillary sinus with perineural diffusion and involvement of the homolateral trigeminal nerve, intracranial spread in the medial cranial fossa and involvement of the cavernous, sphenoidal sinuses and the orbital apex on the left side. Biopsy was performed, and the histology resulted in sinonasal squamous cell carcinoma with intracranial spread.

A 77-year-old-man with arterial hypertension, diabetes mellitus type II presented at our clinic for a routine ophthalmological exam. He reported a history of a 5-month-old left maxillary sinusitis and complained of intermittent double vision for 2 weeks. From a general health point of view, he suffered from a significant weight loss in the last month. There was no history of trauma.
The best corrected visual acuity was 0.95 in the right eye and 0.7 in his left eye.
The ophthalmic examination revealed paralysis of III (n. oculomotorius) and VI (n. abducens) cranial nerves with ptosis, deficit in elevation and abduction of the left eye. The extrinsic ocular motility of the right eye was normal. The anterior segment of both eyes showed no significant alterations, except for early-stage cataracts without particular relevance in relationship to his age. It is of note that the pupillary reflexes were preserved. The posterior segment examination did not display any sign of diabetic retinopathy, nor were any other retinal alterations found.
In light of the neurological symptoms, we requested urgent computed axial tomography (CT), followed by magnetic resonance imaging (MRI) of the encephalon and the orbits. The systemic evaluation was completed by routine blood tests and by neurologic, ENT, and endocrinologic visits.
The CT and MRI (Figure 1) revealed a volume-occupying process, from the posterior wall of the left maxillary sinus with perineural infiltration and involvement of the homolateral trigeminal nerve, intracranial spread in medial cranial fossa and involvement of the cavernous, sphenoidal sinuses and the orbital apex on the left side. The imaging raises a serious suspicion of a more distant origin of the malignant process (Figure 2A—tongue, indicated with a blue arrow), which after a tooth extraction can easily spread to the maxillary sinus.
For precision of the diagnosis, baseline staging of the process and planning of the therapeutic approach an FDG-PET/CT scan was required (Figure 4). FDG-PET/CT has the advantage of assessing morphologic as well as molecular information on cellular disease activity. It is also useful in detecting the primary lesion in tumors of unknown origin. In our case, the FDG-PET/CT did not reveal extension of the malign process outside the borders defined with the other imaging modalities, and the results of all imaging modalities were compatible.
In order to obtain the histological diagnosis, an endonasal biopsy was performed, which resulted in sinonasal squamous cell carcinoma.
Sinonasal SCC (SNSCC) is a rare, aggressive malignancy that represents 0.2% of the malignant tumors in the human body [1]. It is believed to arise from the Schneiderian membrane, that covers the sinuses and the nasal cavity, and it mostly affects male patients in the sixth decade of life [2]. According to the American Cancer Society, the risk factors associated with the disease include human papilloma virus infection (HPV), smoking, and occupational risks such dust from textiles, leather and woods, flour, nickel and chromium exposure, glues, formaldehyde, organic solvents, mustard gas, and radiation. HPV-positive cases are associated with patients of a younger age (58 years) [3]. SCC has the tendency to mimic various banal conditions in its initial stages (such as sinusitis), and a relatively high number (up to 12%) of the patients are asymptomatic until the late stages of the disease [4]. In our case, the process started mimicking left maxillary sinusitis. External ocular motility is rarely affected in the course of maxillary sinusitis.
Since our patient has diabetes mellitus, it was crucial to make a differential diagnosis with cranial nerve palsy due to diabetic microangiopathy. Glucose blood levels were within normal limits; the endocrinologist confirmed the lack of alterations.
After the CT was performed, it revealed a volume-occupying lesion in the left maxillary sinus with perineural spread and invasion in the orbit, other sinuses and medial cranial fossa. Sinusitis does not have invasive characteristics, so it was excluded as a diagnostic option. In such cases an endonasal biopsy is the key point to the diagnosis. In our case, the histological result was classified as squamous cell carcinoma G1 (Figure 2).
SCC of the central nervous system is usually due to the invasion of a primary tumor of the head–neck area. Primary intracranial squamous cell carcinoma (PISCC) is extremely uncommon, and only nine cases have been reported in the literature up to date [5]. When primary, it usually arises from a benign epidermoid or dermoid cyst [6]. In our case, we possess CT images made six months prior to the patient’s first visit with us, in which it was described only as “left maxillary sinusitis”, without a description of a dermoid cyst. As it does not meet the criteria of Garcia and Hamlat for malignant transformation, we believe that the primary lesion was in the maxillary sinus [7].
The local invasion of the tumor is well registered chronologically on the CT scans and demonstrates the aggressivity and fast progression of the tumor.
Endonasal endoscopic biopsy was performed. The histology resulted in squamous cell carcinoma G1.
A “gold” standard for the treatment of SCC with intracranial invasion is up to be defined. It depends on the complexity of the case and includes surgery, chemotherapy, or radiotherapy.
The patient underwent an FDG-PET total body scan, MRI, echography of local lymph nodes and a multidisciplinary consultation to establish a therapeutic strategy. FDG-PET is an extremely useful and precious method in determining the systemic extension of the process and has a crucial role in the planning of the therapeutic approach if systemic metastases are detected. The method has a higher diagnostic performance compared to CT and MRI alone. Since the tumor process in our case was very invasive with distorted normal structures, the interpretation of CT and MRI scans was quite problematic. The FDG-PET/CT was extremely useful in defining the exact borders of the process and searching of distant metastases. There were no metastases and no involvement of the lymph nodes. Because of the large dimensions of the tumor process, its proximity to vital centers, and difficult surgery approach, a decision for performing radiotherapy was made. The patient received treatment doses of 12 Gy. Nagasawa et al. reported a 29.2-month average survival rate in patients with advanced intracranial SCC, who underwent radiotherapy with doses varying from 12 Gy to 15 Gy [8].
After 11 cycles of radiotherapy and a follow-up period of 11 months (MRI, PET), the tumor process is stable with no extension, no metastasis, and no progression of the functional deficits.
SCC with such an impressive volume-occupying intracranial spread is a rare clinical finding. The diagnosis is often a mystery, and the ophthalmologist must remember that every hint of variation in the neuro-ophthalmological examination leads to the necessity of CT or MRI. FDG-PET/CT has a unique role in staging, therapy planning, and following-up in neuro-oncological cases. It is a highly informative and rapidly expanding imaging modality because of the innovation in radiopharmaceuticals, which allow diagnostic precision and better tumor coverage (for example, radiotracers for tumor perfusion, angiogenesis, neuroinflammation, etc.). Managing patients like these is a challenge for clinicians and requires a multi-disciplinary approach, because of the wide extension of the process and the involvement of various structures from different competences and vital significance. Treating every single patient depends on the individual characteristics of the malignant process and it is a state of the art; very often, a combination of therapeutic strategies is needed when possible (chemotherapy, radiotherapy, surgery, and gamma-knife radiosurgery).

Author Contributions

Conceptualization, R.K. and A.D.M.; methodology, R.K. and I.T.; software, S.D. and E.S.; validation, A.D.M. and I.T.; formal analysis, R.K.; investigation, R.K. and A.D.M.; resources, R.K., E.S. and A.D.M.; data curation, R.K. and A.D.M.; writing—original draft preparation, R.K., I.T. and S.D.; writing—review and editing, R.K. and S.D.; visualization, R.K. and S.D.; supervision, R.K. and A.D.M.; project administration, A.D.M.; funding acquisition, A.D.M. All authors have read and agreed to the published version of the manuscript.

Funding

This research received no external funding.

Institutional Review Board Statement

The case was presented in accordance with the ethical standards of the institutional and/or national research committee and with the 1964 Helsinki declaration and its later amendments or comparable ethical standards.

Informed Consent Statement

The patient’s consent was obtained for this submission and publication.

Data Availability Statement

Data are available upon reasonable request to the corresponding author.

Conflicts of Interest

The authors declare no conflict of interests.

References

  1. Turner, J.H.; Reh, D.D. Incidence and survival in patients with sinonasal cancer: A historical analysis of population-based data. Head Neck 2012, 34, 877–885. [Google Scholar] [CrossRef] [PubMed]
  2. Jain, S.; Li, Y.; Kuan, E.C.; Tajudeen, B.A.; Batra, P.S.; Batra, S. Prognostic factors in paranasal sinus squamous cell carcinoma and adenocarcinoma: A SEER database analysis. J. Neurol. Surg. Part B Skull Base 2019, 80, 258–263. [Google Scholar] [CrossRef] [PubMed]
  3. Elgart, K.; Faden, D.L. Sinonasal Squamous Cell Carcinoma: Etiology, Pathogenesis, and the Role of Human Papilloma Virus. Curr. Otorhinolaryngol. Rep. 2020, 8, 111–119. [Google Scholar] [CrossRef] [PubMed]
  4. Sanghvi, S.; Khan, M.N.; Patel, N.R.; Yeldandi, S.; Baredes, S.; Eloy, J.A. Epidemiology of sinonasal squamous cell carcinoma: A comprehensive analysis of 4994 patients. Laryngoscope 2014, 124, 76–83. [Google Scholar] [CrossRef] [PubMed]
  5. Pisano, P.; Lombardi, F.; Bongetta, D.; La Rocca, G.; Della Pepa, G.M.; Zoia, C. Primary Intracranial Squamous Cell Carcinoma with a Fatal Course. Asian J. Neurosurg. 2020, 15, 722–725. [Google Scholar] [CrossRef] [PubMed]
  6. Busch, C.M.; Prickett, J.T.; Stein, R.; Cuoco, J.A.; Marvin, E.A.; Witcher, M.R. Meckel’s cave epidermoid cyst presenting as multiple cranial nerve deficits due to indirect tumoral compression of the cavernous sinus: A case report and literature review. World Neurosurg. 2019, 121, 88–94. [Google Scholar] [CrossRef] [PubMed]
  7. Hamlat, A.; Hua, Z.F.; Saikali, S.; Laurent, J.F.; Gedouin, D.; Ben-Hassel, M.; Guegan, Y. Malignant transformation of intra-cranial epithelial cysts: Systematic article review. J. Neurooncol. 2005, 74, 187–194. [Google Scholar] [CrossRef] [PubMed]
  8. Nagasawa, D.T.; Choy, W.; Spasic, M.; Yew, A.; Trang, A.; Garcia, H.M.; Yang, I. An analysis of intracranial epidermoid tumors with malignant transformation: Treatment and outcomes. Clin. Neurol. Neurosurg. 2013, 115, 1071–1078. [Google Scholar] [CrossRef] [PubMed]
Figure 1. Coronal and axial CT images at the level of maxillary sinuses (A,B). The lateral wall of maxillary sinus is presented with local osteolytic defect (blue arrow) and infiltration of adjacent soft tissue structures (C). 12 months later (D), the process has advanced with extensive bone destruction of a larger area (arrows). White—left orbit. Green—left maxillary sinus. Red—left masticator space.
Figure 1. Coronal and axial CT images at the level of maxillary sinuses (A,B). The lateral wall of maxillary sinus is presented with local osteolytic defect (blue arrow) and infiltration of adjacent soft tissue structures (C). 12 months later (D), the process has advanced with extensive bone destruction of a larger area (arrows). White—left orbit. Green—left maxillary sinus. Red—left masticator space.
Diagnostics 14 00932 g001
Figure 2. Axial post-contrast enhanced T1-weighted fat-saturated (fs) MRI (A) at the basis of the maxillary sinuses where extensive surrounding tissue involvement is present (arrows). Axial contrast-enhanced T1-weighted (B) and coronal and axial contrast-enhanced T1-weighted fat-saturated (C,D) MRI images of the affected area on the left. Arrows are pointing at the area of intracranial involvement of mid-cerebral fossa. Yellow—left parapharyngeal space. Green—left maxillary sinus. Red—left masticator space. Purple—highly suspicious area for primary neoplasm at the level of left lingual surface.
Figure 2. Axial post-contrast enhanced T1-weighted fat-saturated (fs) MRI (A) at the basis of the maxillary sinuses where extensive surrounding tissue involvement is present (arrows). Axial contrast-enhanced T1-weighted (B) and coronal and axial contrast-enhanced T1-weighted fat-saturated (C,D) MRI images of the affected area on the left. Arrows are pointing at the area of intracranial involvement of mid-cerebral fossa. Yellow—left parapharyngeal space. Green—left maxillary sinus. Red—left masticator space. Purple—highly suspicious area for primary neoplasm at the level of left lingual surface.
Diagnostics 14 00932 g002
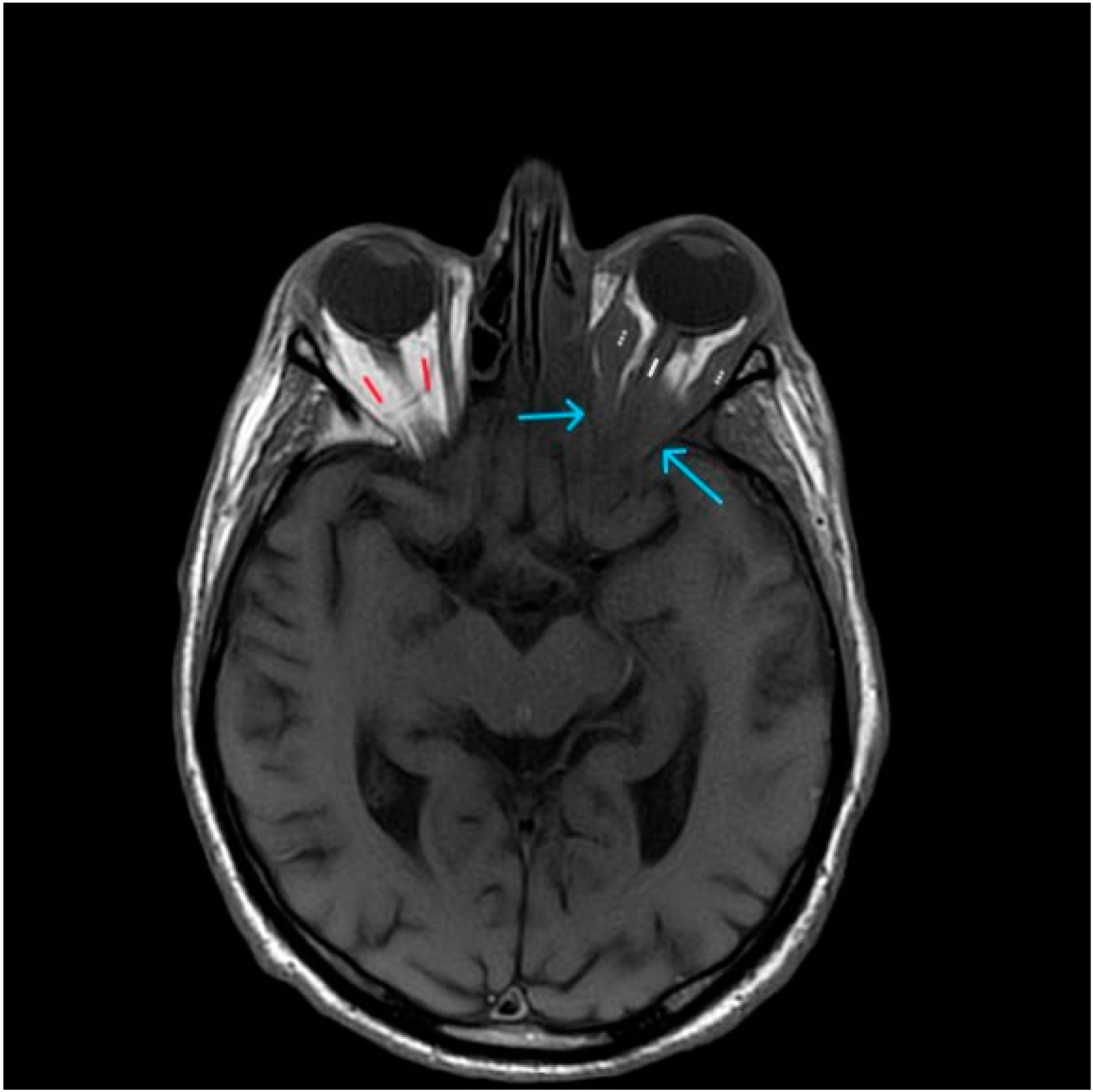
Figure 3. Axial T1-weighted image at the level of the orbits. Arrows are pointing at the reduced intraconal fat tissue due to intracranial extension of the pathological process in the left maxillary sinus. White line—optic nerve. Dots—medial and lateral oculomotor muscles. Red—normal hyperintense (white) fat tissue of the intact orbit.
Figure 3. Axial T1-weighted image at the level of the orbits. Arrows are pointing at the reduced intraconal fat tissue due to intracranial extension of the pathological process in the left maxillary sinus. White line—optic nerve. Dots—medial and lateral oculomotor muscles. Red—normal hyperintense (white) fat tissue of the intact orbit.
Diagnostics 14 00932 g003
Figure 4. Axial CT (A), axial (C), and sagittal (D) FDG-PET and axial-fused PET-CT (B) image showing higher tumor metabolic activity, compared to the brains physiological one, extensive bone destruction, and extensive intracranial involvement by the primary pathological process. Green—intact bony borders of right orbit. Red—lytic bony borders of infiltrated left orbit. Yellow—normal brain metabolic activity.
Figure 4. Axial CT (A), axial (C), and sagittal (D) FDG-PET and axial-fused PET-CT (B) image showing higher tumor metabolic activity, compared to the brains physiological one, extensive bone destruction, and extensive intracranial involvement by the primary pathological process. Green—intact bony borders of right orbit. Red—lytic bony borders of infiltrated left orbit. Yellow—normal brain metabolic activity.
Diagnostics 14 00932 g004
Figure 5. Hematoxylin and eosin staining, original magnification ×40. The histology result confirms SCC with focal acantholytic aspects and hyperkeratosis.
Figure 5. Hematoxylin and eosin staining, original magnification ×40. The histology result confirms SCC with focal acantholytic aspects and hyperkeratosis.
Diagnostics 14 00932 g005
Disclaimer/Publisher’s Note: The statements, opinions and data contained in all publications are solely those of the individual author(s) and contributor(s) and not of MDPI and/or the editor(s). MDPI and/or the editor(s) disclaim responsibility for any injury to people or property resulting from any ideas, methods, instructions or products referred to in the content.

Share and Cite

MDPI and ACS Style

Kirkova, R.; Dineva, S.; Stradiotto, E.; Tanev, I.; Di Maria, A. The Riddle of the Double Vision—A Rare Case of Intracranial Tumor: When Imaging Resolves the Mystery. Diagnostics 2024, 14, 932. https://doi.org/10.3390/diagnostics14090932

AMA Style

Kirkova R, Dineva S, Stradiotto E, Tanev I, Di Maria A. The Riddle of the Double Vision—A Rare Case of Intracranial Tumor: When Imaging Resolves the Mystery. Diagnostics. 2024; 14(9):932. https://doi.org/10.3390/diagnostics14090932

Chicago/Turabian Style

Kirkova, Radina, Svetla Dineva, Elisa Stradiotto, Ivan Tanev, and Alessandra Di Maria. 2024. "The Riddle of the Double Vision—A Rare Case of Intracranial Tumor: When Imaging Resolves the Mystery" Diagnostics 14, no. 9: 932. https://doi.org/10.3390/diagnostics14090932

APA Style

Kirkova, R., Dineva, S., Stradiotto, E., Tanev, I., & Di Maria, A. (2024). The Riddle of the Double Vision—A Rare Case of Intracranial Tumor: When Imaging Resolves the Mystery. Diagnostics, 14(9), 932. https://doi.org/10.3390/diagnostics14090932

Note that from the first issue of 2016, this journal uses article numbers instead of page numbers. See further details here.

Article Metrics

Back to TopTop