Immunohistochemical and Morphometric Analysis of Lung Tissue in Fatal COVID-19
Abstract
1. Introduction
2. Materials and Methods
2.1. Study Design
2.2. Tissue Processing and Immunohistochemistry Staining
2.3. Microscopic Examination
2.4. Statistical Analysis
3. Results
3.1. Cohort Characteristics
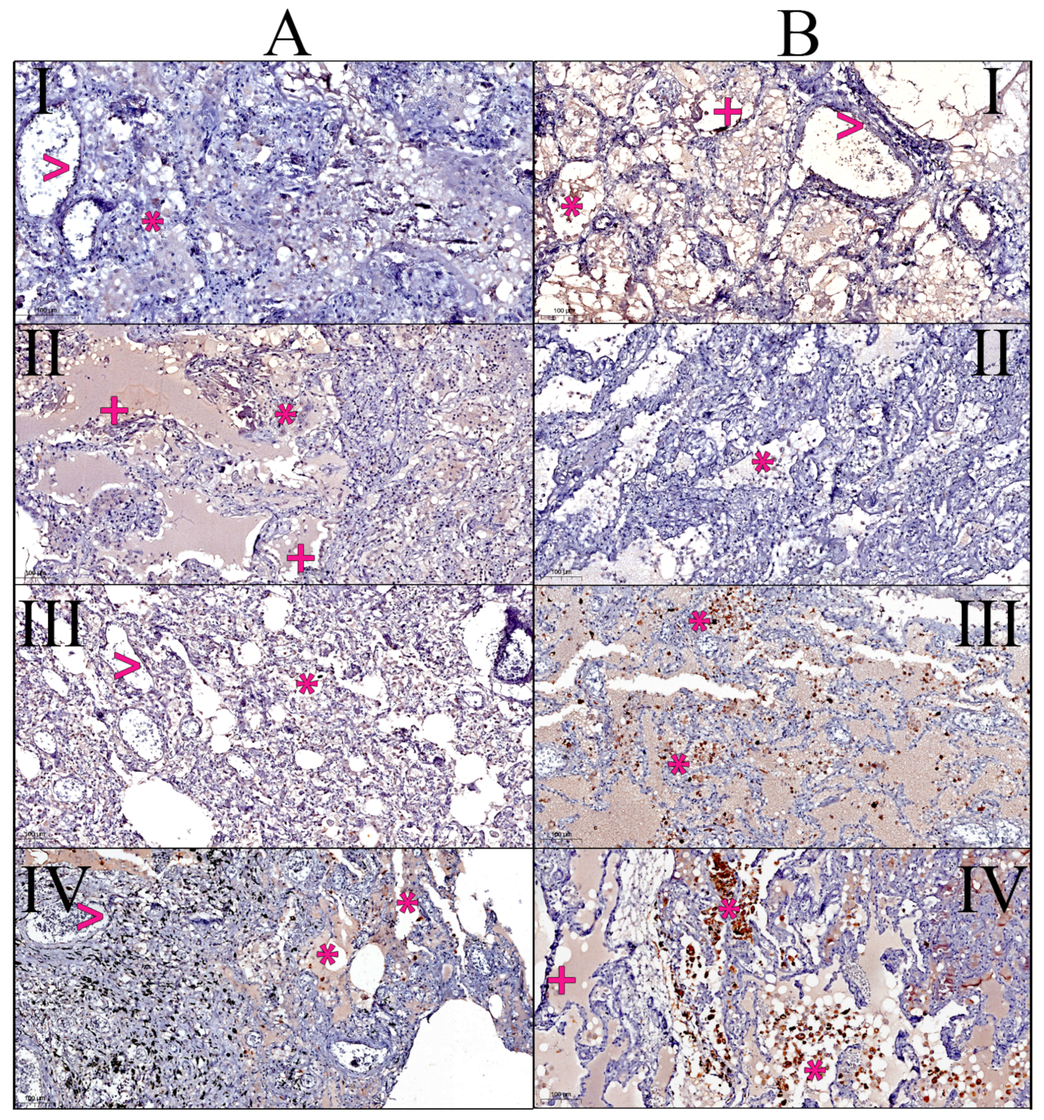
3.2. Microscopic Features
3.3. Morphometry and Immunoreactivity
4. Discussion
4.1. The Role of Evaluated Cell Type in COVID-19 Lung Disease
4.2. The Perspective of a Cytological Evaluation in a Clinical Setting
4.3. Immunohistochemistry as a Method of Virus Detection
4.4. Limitations of the Study
Author Contributions
Funding
Institutional Review Board Statement
Informed Consent Statement
Data Availability Statement
Acknowledgments
Conflicts of Interest
References
- Pagani, I.; Ghezzi, S.; Alberti, S.; Poli, G.; Vicenzi, E. Origin and evolution of SARS-CoV-2. Eur. Phys. J. Plus 2023, 138, 157. [Google Scholar] [CrossRef] [PubMed]
- Li, Y.; Li, J.Z. SARS-CoV-2 Virology. Infect. Dis. Clin. N. Am. 2022, 36, 251–265. [Google Scholar] [CrossRef] [PubMed]
- Ravi, V.; Saxena, S.; Panda, P.S. Basic virology of SARS-CoV 2. Indian J. Med. Microbiol. 2022, 40, 182–186. [Google Scholar] [CrossRef] [PubMed]
- Akcesme, B.; Erkal, B.; Donmez, Z.Y. Structural and functional characterization of SARS-CoV-2 nucleocapsid protein mutations identified in Turkey by using in silico approaches. Acta Virol. 2023, 67, 59–68. [Google Scholar] [CrossRef] [PubMed]
- Bai, Z.; Cao, Y.; Liu, W.; Li, J. The SARS-CoV-2 Nucleocapsid Protein and Its Role in Viral Structure, Biological Functions, and a Potential Target for Drug or Vaccine Mitigation. Viruses 2021, 13, 1115. [Google Scholar] [CrossRef] [PubMed]
- Scialo, F.; Daniele, A.; Amato, F.; Pastore, L.; Matera, M.G.; Cazzola, M.; Castaldo, G.; Bianco, A. ACE2: The Major Cell Entry Receptor for SARS-CoV-2. Lung 2020, 198, 867–877. [Google Scholar] [CrossRef] [PubMed]
- Hoffmann, M.; Kleine-Weber, H.; Schroeder, S.; Krüger, N.; Herrler, T.; Erichsen, S.; Schiergens, T.S.; Herrler, G.; Wu, N.H.; Nitsche, A.; et al. SARS-CoV-2 Cell Entry Depends on ACE2 and TMPRSS2 and Is Blocked by a Clinically Proven Protease Inhibitor. Cell 2020, 181, 271–280. [Google Scholar] [CrossRef] [PubMed]
- Ribeiro-Filho, H.V.; Jara, G.E.; Batista, F.A.H.; Schleder, G.R.; Costa Tonoli, C.C.; Soprano, A.S.; Guimarães, S.L.; Borges, A.C.; Cassago, A.; Bajgelman, M.C.; et al. Structural dynamics of SARS-CoV-2 nucleocapsid protein induced by RNA binding. PLoS Comput. Biol. 2022, 18, e1010121. [Google Scholar] [CrossRef]
- Zhu, N.; Zhang, D.; Wang, W.; Li, X.; Yang, B.; Song, J.; Zhao, X.; Huang, B.; Shi, W.; Lu, R.; et al. China Novel Coronavirus Investigating and Research Team. A Novel Coronavirus from Patients with Pneumonia in China, 2019. N. Engl. J. Med. 2020, 382, 727–733. [Google Scholar] [CrossRef]
- Montazersaheb, S.; Hosseiniyan Khatibi, S.M.; Hejazi, M.S.; Tarhriz, V.; Farjami, A.; Ghasemian Sorbeni, F.; Farahzadi, R.; Ghasemnejad, T. COVID-19 infection: An overview on cytokine storm and related interventions. Virol. J. 2022, 19, 92. [Google Scholar] [CrossRef]
- Frisoni, P.; Neri, M.; D’Errico, S.; Alfieri, L.; Bonuccelli, D.; Cingolani, M.; Di Paolo, M.; Gaudio, R.M.; Lestani, M.; Marti, M.; et al. Cytokine storm and histopathological findings in 60 cases of COVID-19-related death: From viral load research to immunohistochemical quantification of major players IL-1β, IL-6, IL-15 and TNF-α. Forensic Sci. Med. Pathol. 2022, 18, 4–19. [Google Scholar] [CrossRef] [PubMed]
- Scarpelli, E.M. The alveolar surface network: A new anatomy and its physiological significance. Anat. Rec. 1998, 251, 491–527. [Google Scholar] [CrossRef]
- Scarpelli, E.M. Physiology of the alveolar surface network. Comp. Biochem. Physiol. Part A Mol. Integr. Physiol. 2003, 135, 39–104. [Google Scholar] [CrossRef] [PubMed]
- Ruaro, B.; Salton, F.; Braga, L.; Wade, B.; Confalonieri, P.; Volpe, M.C.; Baratella, E.; Maiocchi, S.; Confalonieri, M. The History and Mystery of Alveolar Epithelial Type II Cells: Focus on Their Physiologic and Pathologic Role in Lung. Int. J. Mol. Sci. 2021, 22, 2566. [Google Scholar] [CrossRef] [PubMed]
- Parimon, T.; Yao, C.; Stripp, B.R.; Noble, P.W.; Chen, P. Alveolar Epithelial Type II Cells as Drivers of Lung Fibrosis in Idiopathic Pulmonary Fibrosis. Int. J. Mol. Sci. 2020, 21, 2269. [Google Scholar] [CrossRef] [PubMed]
- Guillot, L.; Nathan, N.; Tabary, O.; Thouvenin, G.; Le Rouzic, P.; Corvol, H.; Amselem, S.; Clement, A. Alveolar epithelial cells: Master regulators of lung homeostasis. Int. J. Biochem. Cell Biol. 2013, 45, 2568–2573. [Google Scholar] [CrossRef] [PubMed]
- Aegerter, H.; Lambrecht, B.N.; Jakubzick, C.V. Biology of lung macrophages in health and disease. Immunity 2022, 55, 1564–1580. [Google Scholar] [CrossRef] [PubMed]
- Hofman, P.; Copin, M.C. Les lésions histologiques pulmonaires associées à l’infection par le Sars-CoV-2 [Histological pulmonary features due to the Sars-CoV-2]. Rev. Francoph. Lab. 2021, 528, 30–35. [Google Scholar] [CrossRef] [PubMed]
- Montero-Fernandez, M.A.; Pardo-Garcia, R. Histopathology features of the lung in COVID-19 patients. Diagn. Histopathol. 2021, 27, 123–127. [Google Scholar] [CrossRef]
- Wendisch, D.; Dietrich, O.; Mari, T.; von Stillfried, S.; Ibarra, I.L.; Mittermaier, M.; Mache, C.; Chua, R.L.; Knoll, R.; Timm, S.; et al. SARS-CoV-2 infection triggers profibrotic macrophage responses and lung fibrosis. Cell 2021, 184, 6243–6261.e27. [Google Scholar] [CrossRef]
- Parra-Medina, R.; Herrera, S.; Mejia, J. Systematic Review of Microthrombi in COVID-19 Autopsies. Acta Haematol. 2021, 144, 476–483. [Google Scholar] [CrossRef] [PubMed]
- Schwab, C.; Domke, L.M.; Rose, F.; Hausser, I.; Schir-macher, P.; Longerich, T. Cell tropism and viral clearance during SARS-CoV-2 lung infection. Pathol. Res. Pract. 2022, 236, 154000. [Google Scholar] [CrossRef] [PubMed]
- Zheng, Z.; Yao, Z.; Wu, K.; Zheng, J. The diagnosis of pandemic coronavirus pneumonia: A review of radiology examination and laboratory test. J. Clin. Virol. 2020, 128, 104396. [Google Scholar] [CrossRef] [PubMed]
- Salmona, M.; Chaix, M.L.; Feghoul, L.; Mahjoub, N.; Maylin, S.; Schnepf, N.; Jacquier, H.; Walle, E.M.; Helary, M.; Mellon, G.; et al. Detection of SARS-CoV-2 in Saliva and Nasopharyngeal Swabs According to Viral Variants. Microbiol. Spectr. 2022, 10, e0213322. [Google Scholar] [CrossRef] [PubMed]
- DeMarino, C.; Lee, M.H.; Cowen, M.; Steiner, J.P.; Inati, S.; Shah, A.H.; Zaghloul, K.A.; Nath, A. Detection of SARS-CoV-2 Nucleocapsid and Microvascular Disease in the Brain: A Case Report. Neurology 2023, 100, 624–628. [Google Scholar] [CrossRef] [PubMed]
- Roden, A.C.; Vrana, J.A.; Koepplin, J.W.; Hudson, A.E.; Norgan, A.P.; Jenkinson, G.; Yamaoka, S.; Ebihara, H.; Monroe, R.; Szabolcs, M.J.; et al. Comparison of In Situ Hybridization, Immunohistochemistry, and Reverse Transcription-Droplet Digital Polymerase Chain Reaction for Severe Acute Respiratory Syndrome Coronavirus 2 (SARS-CoV-2) Testing in Tissue. Arch. Pathol. Lab. Med. 2021, 145, 785–796. [Google Scholar] [CrossRef] [PubMed]
- Prasad, S.; Potdar, V.; Cherian, S.; Abraham, P.; Basu, A. Transmission electron microscopy imaging of SARS-CoV-2. Indian J. Med. Res. 2020, 151, 241–243. [Google Scholar] [CrossRef] [PubMed]
- Gheban-Roșca, I.A.; Gheban, B.A.; Pop, B.; Mironescu, D.C.; Siserman, V.C.; Jianu, E.M.; Drugan, T.; Bolboacă, S.D. Identification of Histopathological Biomarkers in Fatal Cases of Coronavirus Disease: A Study on Lung Tissue. Diagnostics 2023, 13, 2039. [Google Scholar] [CrossRef] [PubMed]
- Rockx, B.; Kuiken, T.; Herfst, S.; Bestebroer, T.; Lamers, M.M.; Oude Munnink, B.B.; de Meulder, D.; van Amerongen, G.; van den Brand, J.; Okba, N.M.A.; et al. Comparative pathogenesis of COVID-19, MERS, and SARS in a nonhuman primate model. Science 2020, 368, 1012–1015. [Google Scholar] [CrossRef]
- Calkovska, A.; Kolomaznik, M.; Calkovsky, V. Alveolar type II cells and pulmonary surfactant in COVID-19 era. Physiol. Res. 2021, 70, S195–S208. [Google Scholar] [CrossRef]
- Knoll, R.; Schultze, J.L.; Schulte-Schrepping, J. Monocytes and Macrophages in COVID-19. Front. Immunol. 2021, 12, 720109. [Google Scholar] [CrossRef]
- Anka, A.U.; Tahir, M.I.; Abubakar, S.D.; Alsabbagh, M.; Zian, Z.; Hamedifar, H.; Sabzevari, A.; Azizi, G. Coronavirus disease 2019 (COVID-19): An overview of the immunopathology, serological diagnosis and management. Scand J. Immunol. 2021, 93, e12998. [Google Scholar] [CrossRef]
- Booz, G.W.; Altara, R.; Eid, A.H.; Wehbe, Z.; Fares, S.; Zaraket, H.; Habeichi, N.J.; Zouein, F.A. Macrophage responses associated with COVID-19: A pharmacological perspective. Eur. J. Pharmacol. 2020, 887, 173547. [Google Scholar] [CrossRef] [PubMed]
- Bain, C.C.; Lucas, C.D.; Rossi, A.G. Pulmonary macrophages and SARS-Cov2 infection. Int. Rev. Cell Mol. Biol. 2022, 367, 1–28. [Google Scholar] [CrossRef] [PubMed]
- Wang, J.; Yang, X.; Li, Y.; Huang, J.A.; Jiang, J.; Su, N. Specific cytokines in the inflammatory cytokine storm of patients with COVID-19-associated acute respiratory distress syndrome and extrapulmonary multiple-organ dysfunction. Virol. J. 2021, 18, 117. [Google Scholar] [CrossRef] [PubMed]
- Yin, S.W.; Zhou, Z.; Wang, J.L.; Deng, Y.F.; Jing, H.; Qiu, Y. Viral loads, lymphocyte subsets and cytokines in asymptomatic, mildly and critical symptomatic patients with SARS-CoV-2 infection: A retrospective study. Virol. J. 2021, 18, 126. [Google Scholar] [CrossRef] [PubMed]
- Pannone, G.; Caponio, V.C.A.; De Stefano, I.S.; Ramunno, M.A.; Meccariello, M.; Agostinone, A.; Pedicillo, M.C.; Troiano, G.; Zhurakivska, K.; Cassano, T.; et al. Lung histopathological findings in COVID-19 disease—A systematic review. Infect. Agents Cancer 2021, 16, 34. [Google Scholar] [CrossRef] [PubMed]
- Otifi, H.M.; Adiga, B.K. Endothelial Dysfunction in Covid-19 Infection. Am. J. Med. Sci. 2022, 363, 281–287. [Google Scholar] [CrossRef]
- Xu, S.W.; Ilyas, I.; Weng, J.P. Endothelial dysfunction in COVID-19: An overview of the evidence, biomarkers, mechanisms, and potential therapies. Acta Pharmacol. Sin. 2023, 44, 695–709. [Google Scholar] [CrossRef]
- Rao, S.; Rao, S.; Lal, A.; Barathi, G.; Dhanasekar, T.; Duvuru, P. Bronchial wash cytology: A study on morphology and morphometry. J. Cytol. 2014, 31, 63–67. [Google Scholar] [CrossRef]
- Roy, R.K.; Sharma, U.; Wasson, M.K.; Jain, A.; Hassan, M.I.; Prakash, H. Macrophage Activation Syndrome and COVID 19: Impact of MAPK Driven Immune-Epigenetic Programming by SARS-Cov-2. Front. Immunol. 2021, 12, 763313. [Google Scholar] [CrossRef] [PubMed]
- Pritt, B.S.; Aubry, M.C. Histopathology of viral infections of the lung. Semin. Diagn. Pathol. 2017, 34, 510–517. [Google Scholar] [CrossRef] [PubMed]
- Gelarden, I.; Nguyen, J.; Gao, J.; Chen, Q.; Morales-Nebreda, L.; Wunderink, R.; Li, L.; Chmiel, J.S.; Hrisinko, M.; Marszalek, L.; et al. A comprehensive evaluation of bronchoalveolar lavage from patients with severe COVID-19 and correlation with clinical outcomes. Hum. Pathol. 2021, 113, 92–103. [Google Scholar] [CrossRef] [PubMed]
- Tomassetti, S.; Ciani, L.; Luzzi, V.; Gori, L.; Trigiani, M.; Giuntoli, L.; Lavorini, F.; Poletti, V.; Ravaglia, C.; Torrego, A.; et al. Utility of bronchoalveolar lav-age for COVID-19: A perspective from the Dragon consortium. Front. Med. 2024, 11, 1259570. [Google Scholar] [CrossRef] [PubMed]
- Pesti, A.; Gyömörei, C.; Juhász, P.; Kálmán, E.; Kiss, A.; Kuthi, L.; Lotz, G.; Méhes, G.; Schaff, Z.; Tiszlavicz, L. SARS-CoV-2-fehérjék kimutatása immunhisztokémiai módszerrel emberi szövetekben [Detection of SARS-CoV-2 proteins by immunohistochemistry in human tissues Pathology collaborative analysis]. Orvosi Hetiltap 2022, 163, 975–983. [Google Scholar] [CrossRef] [PubMed]
- Pesti, A.; Danics, K.; Glasz, T.; Várkonyi, T.; Barbai, T.; Reszegi, A.; Kovalszky, I.; Vályi-Nagy, I.; Dobi, D.; Lotz, G.; et al. Liver alterations and detection of SARS-CoV-2 RNA and proteins in COVID-19 autopsies. Geroscience 2023, 45, 1015–1031. [Google Scholar] [CrossRef] [PubMed]
- Massoth, L.R.; Desai, N.; Szabolcs, A.; Harris, C.K.; Neyaz, A.; Crotty, R.; Chebib, I.; Rivera, M.N.; Sholl, L.M.; Stone, J.R.; et al. Comparison of RNA In Situ Hybridization and Immunohistochemistry Techniques for the Detection and Localization of SARS-CoV-2 in Human Tissues. Am. J. Surg. Pathol. 2021, 45, 14–24. [Google Scholar] [CrossRef] [PubMed]
- Lonardi, S.; Bugatti, M.; Valzelli, A.; Facchetti, F. Immunohistochemical Detection of SARS-CoV-2 Antigens by Single and Multiple Immunohistochemistry. Methods Mol. Biol. 2022, 2452, 291–303. [Google Scholar] [CrossRef]
- Lean, F.Z.X.; Lamers, M.M.; Smith, S.P.; Shipley, R.; Schipper, D.; Temperton, N.; Haagmans, B.L.; Banyard, A.C.; Bewley, K.R.; Carroll, M.W.; et al. Development of immunohistochemistry and in situ hybridisation for the detection of SARS-CoV and SARS-CoV-2 in formalin-fixed paraffin-embedded specimens. Sci. Rep. 2020, 10, 21894. [Google Scholar] [CrossRef]



| Characteristic | All n = 51 | With DAD n = 24 | Without DAD n = 27 | Stat. (p-Value) |
|---|---|---|---|---|
| Age group | n.a. (0.945) * | |||
| <50 | 4 (7.8) | 2 (8.3) | 2 (7.4) | |
| 50–59 | 7 (13.7) | 3 (12.5) | 4 (14.8) | |
| 60–69 | 13 (25.5) | 7 (29.2) | 6 (22.2) | |
| ≥70 | 27 (52.9) | 12 (50) | 15 (55.6) | |
| Sex | 1.5 (0.226) | |||
| female | 13 (25.5) | 8 (33.3) | 5 (18.5) | |
| male | 38 (74.5) | 16 (66.7) | 22 (81.5) | |
| Weight status | n.a. (0.400) | |||
| underweight | 9 (17.6) | 3 (12.5) | 6 (22.2) | |
| normal | 13 (25.5) | 8 (33.3) | 5 (18.5) | |
| obesity | 29 (56.9) | 13 (54.2) | 16 (59.3) |
| Feature | All n = 51 | With DAD n = 24 | Without DAD n = 27 | Stat. (p-Value) |
|---|---|---|---|---|
| Alveolar edema | 44 (86.3) | 23 (95.8) | 21 (77.8) | n.a. (0.061) * |
| Interstitial pneumonia | 37 (72.5) | 21 (87.5) | 16 (59.3) | 3.1 (0.024) |
| Microthrombi | 25 (49.0) | 11 (45.8) | 14 (51.9) | 0.2 (0.668) |
| Antrachotic pigment | 20 (39.2) | 6 (25.0) | 14 (51.9) | 3.8 (0.050) |
| Epithelial desquamation | 17 (33.3) | 13 (54.2) | 4 (14.8) | 8.9 (0.003) |
| Characteristics | All n = 51 | With DAD n = 24 | Without DAD n = 27 | Stat. (p-Value) |
|---|---|---|---|---|
| Type I pneumocytes | 0.5 (0.653) # | |||
| median [Q1 to Q3] | 4 [0 to 11] | 4 [1 to 11] | 4 [0 to 10] | |
| {min to max} | {0 to 44} | {0 to 44} | {0 to 37} | |
| IRS type I Pn * | n.a. (0.633) | |||
| low | 18 (35.3) | 7 (29.2) | 11 (40.7) | |
| moderate | 28 (54.9) | 14 (58.3) | 14 (51.9) | |
| intense | 5 (9.8) | 3 (12.5) | 2 (7.4) | |
| Macrophages | 0.2 (0.836) | |||
| median [Q1 to Q3] | 51 [23 to 108] | 58 [22 to 129] | 50 [25 to 95] | |
| {min to max} | {5 to 304} | {6 to 304} | {5 to 297} | |
| IRS Macrophage * | n.a. (0.773) | |||
| low | 3 (5.9) | 1 (4.2) | 2 (7.4) | |
| moderate | 45 (88.2) | 22 (91.7) | 23 (85.2) | |
| intense | 3 (5.9) | 1 (4.2) | 2 (7.4) | |
| Endothelial cells | −0.5 (0.604) | |||
| median [Q1 to Q3] | 2 [0 to 6] | 5 [0 to 8] | 1 [0 to 4] | |
| {min to max} | {0 to 40} | {0 to 24} | {0 to 40} | |
| IRS Endothelium * | n.a. (0.737) | |||
| absent | 21 (41.2) | 8 (33.3) | 13 (48.1) | |
| low | 4 (7.8) | 2 (8.3) | 2 (7.4) | |
| moderate | 21 (41.2) | 11 (45.8) | 10 (37.0) | |
| intense | 5 (9.8) | 3 (12.5) | 2 (7.4) | |
| Nucleus | −0.3 (0.763) | |||
| median [Q1 to Q3] | 7 [6 to 9] | 7 [6 to 8] | 9 [7 to 9] | |
| {min to max} | {4 to 13} | {4 to 11} | {5 to 13} | |
| N/C ratio | −1.7 (0.083) | |||
| median [Q1 to Q3] | 0.32 [0.22 to 0.54] | 0.29 [0.21 to 0.47] | 0.35 [0.23 to 0.55] | |
| {min to max} | {0.07 to 2.54} | {0.07 to 1.5} | {0.09 to 2.54} |
Disclaimer/Publisher’s Note: The statements, opinions and data contained in all publications are solely those of the individual author(s) and contributor(s) and not of MDPI and/or the editor(s). MDPI and/or the editor(s) disclaim responsibility for any injury to people or property resulting from any ideas, methods, instructions or products referred to in the content. |
© 2024 by the authors. Licensee MDPI, Basel, Switzerland. This article is an open access article distributed under the terms and conditions of the Creative Commons Attribution (CC BY) license (https://creativecommons.org/licenses/by/4.0/).
Share and Cite
Gheban-Roșca, I.-A.; Gheban, B.-A.; Pop, B.; Mironescu, D.-C.; Siserman, V.C.; Jianu, E.M.; Drugan, T.; Bolboacă, S.D. Immunohistochemical and Morphometric Analysis of Lung Tissue in Fatal COVID-19. Diagnostics 2024, 14, 914. https://doi.org/10.3390/diagnostics14090914
Gheban-Roșca I-A, Gheban B-A, Pop B, Mironescu D-C, Siserman VC, Jianu EM, Drugan T, Bolboacă SD. Immunohistochemical and Morphometric Analysis of Lung Tissue in Fatal COVID-19. Diagnostics. 2024; 14(9):914. https://doi.org/10.3390/diagnostics14090914
Chicago/Turabian StyleGheban-Roșca, Ioana-Andreea, Bogdan-Alexandru Gheban, Bogdan Pop, Daniela-Cristina Mironescu, Vasile Costel Siserman, Elena Mihaela Jianu, Tudor Drugan, and Sorana D. Bolboacă. 2024. "Immunohistochemical and Morphometric Analysis of Lung Tissue in Fatal COVID-19" Diagnostics 14, no. 9: 914. https://doi.org/10.3390/diagnostics14090914
APA StyleGheban-Roșca, I.-A., Gheban, B.-A., Pop, B., Mironescu, D.-C., Siserman, V. C., Jianu, E. M., Drugan, T., & Bolboacă, S. D. (2024). Immunohistochemical and Morphometric Analysis of Lung Tissue in Fatal COVID-19. Diagnostics, 14(9), 914. https://doi.org/10.3390/diagnostics14090914

