Case Report: A Sudden Thyroid-Related Death of a 15-Year-Old Girl
Abstract
1. Introduction
2. Case Report
2.1. Autopsy Findings
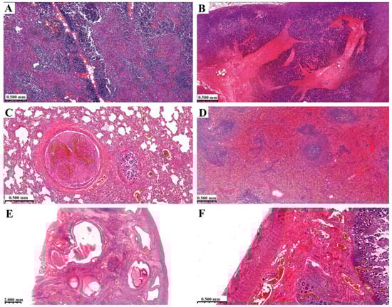
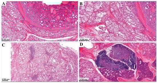
2.2. Histological Findings
2.3. Toxicological Results
3. Discussion
4. Discussion
Author Contributions
Funding
Institutional Review Board Statement
Informed Consent Statement
Data Availability Statement
Acknowledgments
Conflicts of Interest
References
- Nayak, B.; Burman, K. Thyrotoxicosis and thyroid storm. Endocrinol. Metab. Clin. N. Am. 2006, 35, 663–686. [Google Scholar] [CrossRef]
- De Leo, S.; Lee, S.Y.; Braverman, L.E. Hyperthyroidism. Lancet 2016, 388, 906–918. [Google Scholar] [CrossRef] [PubMed]
- Wartofsky, L. Thyrotoxic storm. In Werner and Ingbar’s the Thyroid, 8th ed.; Braverman, L., Utiger, R., Eds.; Lippincott Williams and Wilkins: Philadelphia, PA, USA, 2000; pp. 679–684. [Google Scholar]
- Wartofsky, L. Clinical criteria for the diagnosis of thyroid storm. Thyroid 2012, 22, 659–660. [Google Scholar] [CrossRef]
- Klein, I.; Ojamaa, K. Thyroid hormone and the cardiovascular system. N. Engl. J. Med. 2001, 344, 501–509. [Google Scholar] [CrossRef] [PubMed]
- Akamizu, T.; Satoh, T.; Isozaki, O.; Suzuki, A.; Wakino, S.; Iburi, T.; Tsuboi, K.; Monden, T.; Kouki, T.; Otani, H.; et al. Diagnostic criteria, clinical features, and incidence of thyroid storm based on nationwide surveys. Thyroid 2012, 22, 661–679. [Google Scholar] [CrossRef]
- Choudhary, A.M.; Roberts, I. Thyroid storm presenting with liver failure. J. Clin. Gastroenterol. 1999, 29, 318–321. [Google Scholar] [CrossRef] [PubMed]
- Harwood-Nuss, A.L.; Martel, T.J. An unusual cause of abdominal pain in a young woman. Ann. Emerg. Med. 1991, 20, 574–582. [Google Scholar] [CrossRef] [PubMed]
- Recommendation no. R (99) 3 of the Committee of Ministers to member states on the harmonization of medico-legal autopsy rules. Forensic Sci. Int. 2000, 111, 5–58.
- Basso, C.; Aguilera, B.; Banner, J.; Cohle, S.; d’Amati, G.; de Gouveia, R.H.; di Gioia, C.; Fabre, A.; Gallagher, P.J.; Leone, O.; et al. Association for European Cardiovascular Pathology. Guidelines for autopsy investigation of sudden cardiac death: 2017 update from the Association for European Cardiovascular Pathology. Virchows Arch. 2017, 471, 691–705. [Google Scholar] [CrossRef]
- Bahn, R.S.; Burch, H.B.; Cooper, D.S.; Garber, J.R.; Greenlee, M.C.; Klein, I.; Laurberg, P.; McDougall, I.R.; Montori, V.M.; Rivkees, S.A.; et al. Hyperthyroidism and other causes of thyrotoxicosis: Management guidelines of the American Thyroid Association and American Association of Clinical Endocrinologists. Endocr. Pract. 2011, 17, 456–520. [Google Scholar] [CrossRef]
- Blick, C.; Nguyen, M.; Jialal, I. Thyrotoxicosis. In StatPearls [Internet]; StatPearls Publishing: Treasure Island, FL, USA, 2023. [Google Scholar]
- Shahid, M.; Kiran, Z.; Sarfraz, A.; Hasan, S.M.; Adnan, S.M.; Baloch, A.A. Presentations and Outcomes of Thyroid Storm. J. Coll. Physicians Surg. Pak. 2020, 30, 330–331. [Google Scholar] [CrossRef] [PubMed]
- Burch, H.B.; Wartofsky, L. Life-threatening thyrotoxicosis. Thyroid storm. Endocrinol. Metab. Clin. N. Am. 1993, 22, 263–277. [Google Scholar] [CrossRef]
- Tankeu, A.T.; Azabji-Kenfack, M.; Nganou, C.N.; Ngassam, E.; Kuate-Mfeukeu, L.; Mba, C.; Dehayem, M.Y.; Mbanya, J.C.; Sobngwi, E. Effect of propranolol on heart rate variability in hyperthyroidism. BMC Res. Notes 2018, 11, 151. [Google Scholar] [CrossRef] [PubMed]
- Beynon, M.E.; Pinneri, K. An Overview of the Thyroid Gland and Thyroid-Related Deaths for the Forensic Pathologist. Acad. Forensic Pathol. 2016, 6, 217–236. [Google Scholar] [CrossRef] [PubMed]
- Wei, D.; Yuan, X.; Yang, T.; Chang, L.; Zhang, X.; Burke, A.; Fowler, D.; Li, L. Sudden unexpected death due to Graves’ disease during physical altercation. J. Forensic Sci. 2013, 5, 1374–1377. [Google Scholar] [CrossRef] [PubMed]
- Min, T.; Benjamin, S.; Cozma, L. Thromboembolic complications of thyroid storm. Endocrinol. Diabetes Metab. Case Rep. 2014, 2014, 130060. [Google Scholar] [CrossRef] [PubMed]
- Popoveniuc, G.; Sharma, M.; Devdhar, M.; Wexler, J.A.; Carroll, N.M.; Wartofsky, L.; Burman, K.D. Graves’ disease and thymic hyperplasia: The relationship of thymic volume to thyroid function. Thyroid 2010, 20, 1015–1018. [Google Scholar] [CrossRef] [PubMed]
- DeGroot, L.J. Graves’ Disease and the Manifestations of Thyrotoxicosis. In Endotext [Internet]; Feingold, K.R., Anawalt, B., Blackman, M.R., Boyce, A., Chrousos, G., Corpas, E., de Herder, W.W., Dhatariya, K., Dungan, K., et al., Eds.; MDText.com, Inc.: South Dartmouth, MA, USA, 2000. [Google Scholar]
- Franks, S. Polycystic ovary syndrome. N. Engl. J. Med. 1995, 333, 853–861. [Google Scholar] [CrossRef] [PubMed]
- Norman, R.J.; Dewailly, D.; Legro, R.S.; Hickey, T.E. Polycystic ovary syndrome. Lancet 2007, 370, 685–697. [Google Scholar] [CrossRef] [PubMed]
- Trolle, B.; Flyvbjerg, A.; Kesmodel, U.; Lauszus, F.F. Efficacy of metformin in obese and non-obese women with polycystic ovary syndrome: A randomized, double-blinded, placebo-controlled cross-over trial. Hum. Reprod. 2007, 22, 2967–2973. [Google Scholar] [CrossRef]
- Sahin, Y.; Unluhizarci, K.; Yilmazsoy, A.; Yikilmaz, A.; Aygen, E.; Kelestimur, F. The effects of metformin on metabolic and cardiovascular risk factors in nonobese women with polycystic ovary syndrome. Clin. Endocrinol. 2007, 67, 904–908. [Google Scholar] [CrossRef]
- Petrikova, J.; Lazurova, I.; Yehuda, S. Polycystic ovary syndrome and autoimmunity. Eur. J. Intern. Med. 2010, 21, 369–371. [Google Scholar] [CrossRef]
- Reimand, K.; Talja, I.; Metsküla, K.; Kadastik, U.; Matt, K.; Uibo, R. Autoantibody studies of female patients with reproductive failure. J. Reprod. Immunol. 2001, 51, 167–176. [Google Scholar] [CrossRef]
- Nisar, S.; Shah, P.A.; Kuchay, M.S.; Bhat, M.A.; Rashid, A.; Ahmed, S.; Ganie, M.A. Association of polycystic ovary syndrome and Graves’ disease: Is autoimmunity the link between the two diseases. Indian J. Endocrinol. Metab. 2012, 16, 982–986. [Google Scholar]
- Janssen, O.E.; Mehlmauer, N.; Hahn, S.; Offner, A.H.; Gärtner, R. High prevalence of autoimmune thyroiditis in patients with polycystic ovary syndrome. Eur. J. Endocrinol. 2004, 150, 363–369. [Google Scholar] [CrossRef]
- Garelli, S.; Masiero, S.; Plebani, M.; Chen, S.; Furmaniak, J.; Armanini, D.; Betterle, C. High prevalence of chronic thyroiditis in patients with polycystic ovary syndrome. Eur. J. Obstet. Gynecol. Reprod. Biol. 2013, 169, 248–251. [Google Scholar] [CrossRef]
- Arduc, A.; Aycicek Dogan, B.; Bilmez, S.; Imga Nasiroglu, N.; Tuna, M.M.; Isik, S.; Berker, D.; Guler, S. High prevalence of Hashimoto’s thyroiditis in patients with polycystic ovary syndrome: Does the imbalance between estradiol and progesterone play a role? Endocr. Res. 2015, 40, 204–210. [Google Scholar] [CrossRef]
- Calvar, C.E.; Bengolea, S.V.; Deutsch, S.I.; Hermes, R.; Ramos, G.; Loyato, M. Alta frecuencia de trastornos tiroideos en el síndrome de ovario poliquístico [High frequency of thyroid abnormalities in polycystic ovary syndrome]. Medicina 2015, 75, 213–217. [Google Scholar]
- Kowalczyk, K.; Franik, G.; Kowalczyk, D.; Pluta, D.; Blukacz, Ł.; Madej, P. Thyroid disorders in polycystic ovary syndrome. Eur. Rev. Med. Pharmacol. Sci. 2017, 21, 346–360. [Google Scholar]
- Thiene, G. Autopsy and sudden death. Eur. Heart J. Suppl. 2023, 25 (Suppl. C), C118–C129. [Google Scholar] [CrossRef]
- Scholz, D.G.; Kitzman, D.W.; Hagen, P.T.; Ilstrup, D.M.; Edwards, W.D. Age-related changes in normal human hearts during the first 10 decades of life. Part I (Growth): A quantitative anatomic study of 200 specimens from subjects from birth to 19 years old [published correction appears in Mayo Clin Proc 1988 Jun;63(6):637]. Mayo Clin. Proc. 1988, 63, 126–136. [Google Scholar] [CrossRef]




| Parameter | Value | Unit | Normal Range | |
|---|---|---|---|---|
| Min | Max | |||
| sCRP | 0.4 | mg/L | 0.0 | 3.0 |
| sTSH supersensitiv | <0.008 | µIU/mL | 0.510 | 4.940 |
| sFree T3 | >30.80 | pmol/L | 3.50 | 6.50 |
| sFree T4 | 88.82 | pmol/L | 11.50 | 22.70 |
| Anti-TG 1 | 2479 | IU/mL | 0.00 | <60.00 |
| Anti-TPO 1 | 135.9 | U/mL | 0.00 | <16.00 |
Disclaimer/Publisher’s Note: The statements, opinions and data contained in all publications are solely those of the individual author(s) and contributor(s) and not of MDPI and/or the editor(s). MDPI and/or the editor(s) disclaim responsibility for any injury to people or property resulting from any ideas, methods, instructions or products referred to in the content. |
© 2024 by the authors. Licensee MDPI, Basel, Switzerland. This article is an open access article distributed under the terms and conditions of the Creative Commons Attribution (CC BY) license (https://creativecommons.org/licenses/by/4.0/).
Share and Cite
Rácz, K.; Simon, G.; Kurucz, A.; Harsányi, G.T.; Török, M.; Herczeg, L.T.; Gergely, P.A. Case Report: A Sudden Thyroid-Related Death of a 15-Year-Old Girl. Diagnostics 2024, 14, 905. https://doi.org/10.3390/diagnostics14090905
Rácz K, Simon G, Kurucz A, Harsányi GT, Török M, Herczeg LT, Gergely PA. Case Report: A Sudden Thyroid-Related Death of a 15-Year-Old Girl. Diagnostics. 2024; 14(9):905. https://doi.org/10.3390/diagnostics14090905
Chicago/Turabian StyleRácz, Kálmán, Gábor Simon, Andrea Kurucz, Gergő Tamás Harsányi, Miklós Török, László Tamás Herczeg, and Péter Attila Gergely. 2024. "Case Report: A Sudden Thyroid-Related Death of a 15-Year-Old Girl" Diagnostics 14, no. 9: 905. https://doi.org/10.3390/diagnostics14090905
APA StyleRácz, K., Simon, G., Kurucz, A., Harsányi, G. T., Török, M., Herczeg, L. T., & Gergely, P. A. (2024). Case Report: A Sudden Thyroid-Related Death of a 15-Year-Old Girl. Diagnostics, 14(9), 905. https://doi.org/10.3390/diagnostics14090905

