Multi-Modality Imaging in Vasculitis
Abstract
1. Introduction
2. Classification of Vasculitides
2.1. Large-Vesel Vasculitis
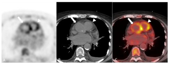
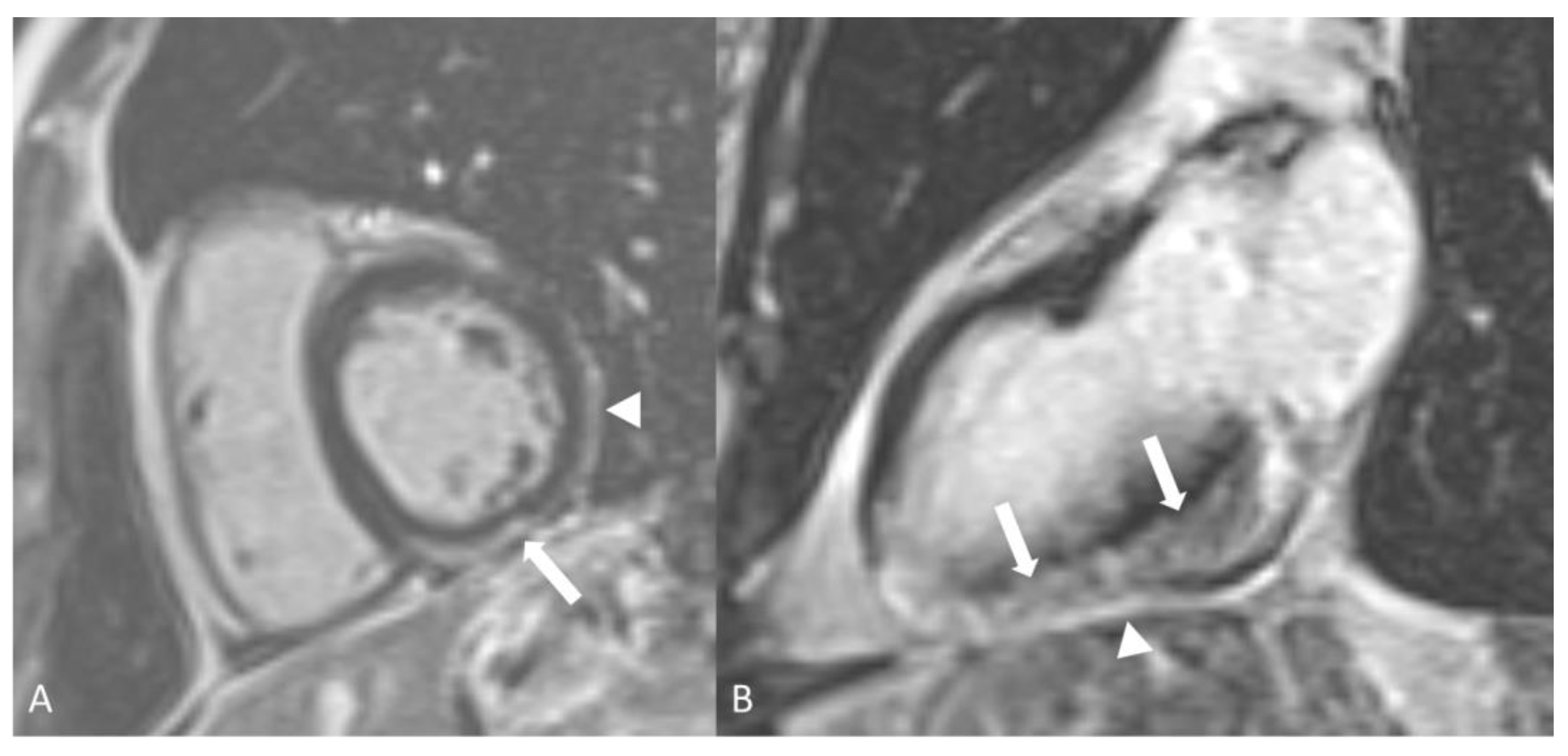
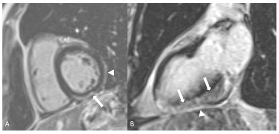
2.1.1. Giant Cell Arteritis
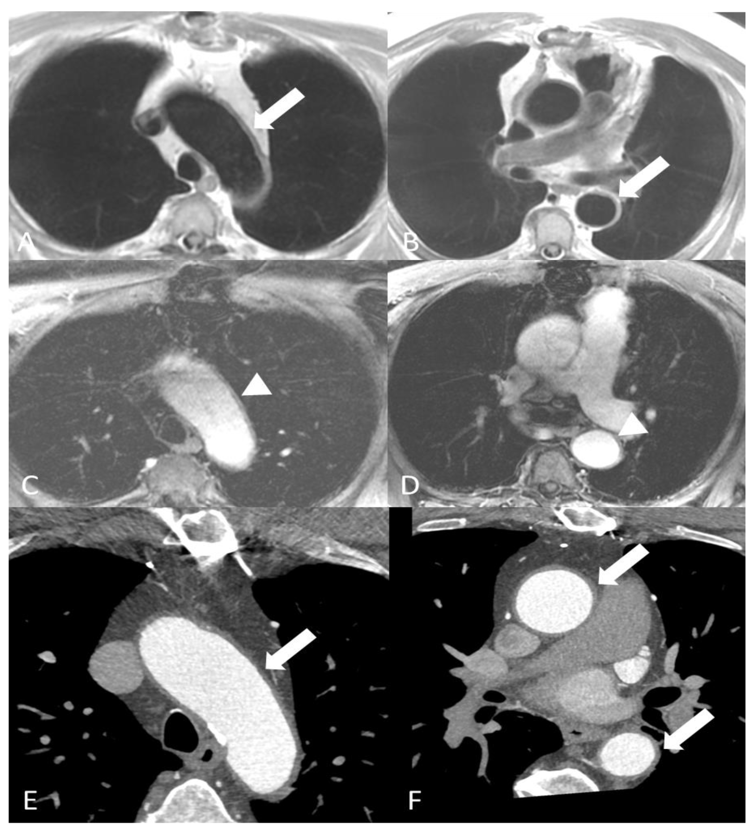
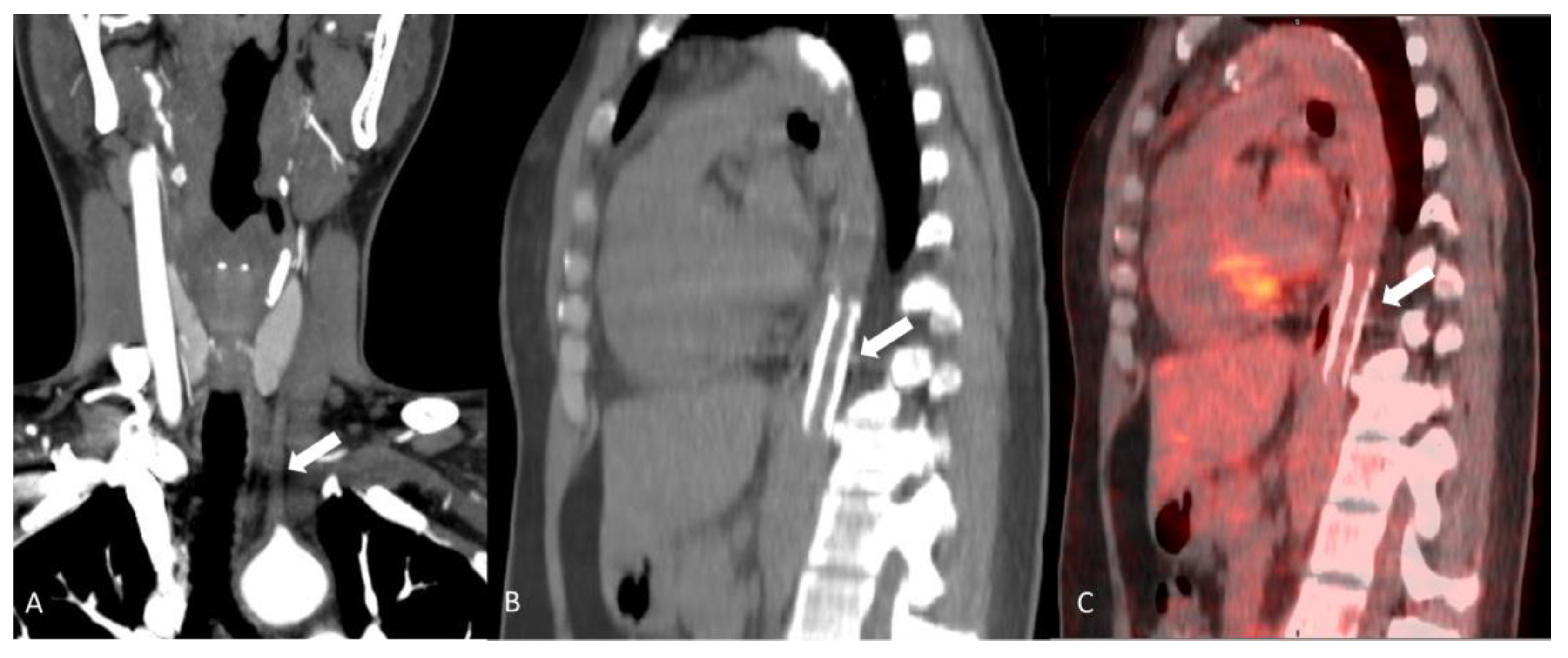
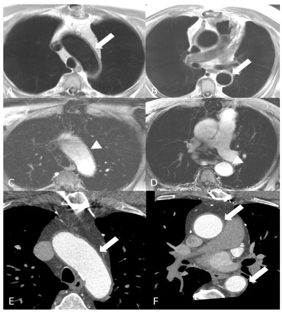
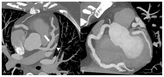
2.1.2. Takayasu’s Arteritis
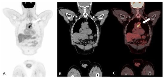
2.1.3. Clinically Isolated Aortitis (Idiopathic Aortitis)
2.2. Medium-Vessel Vasculitis
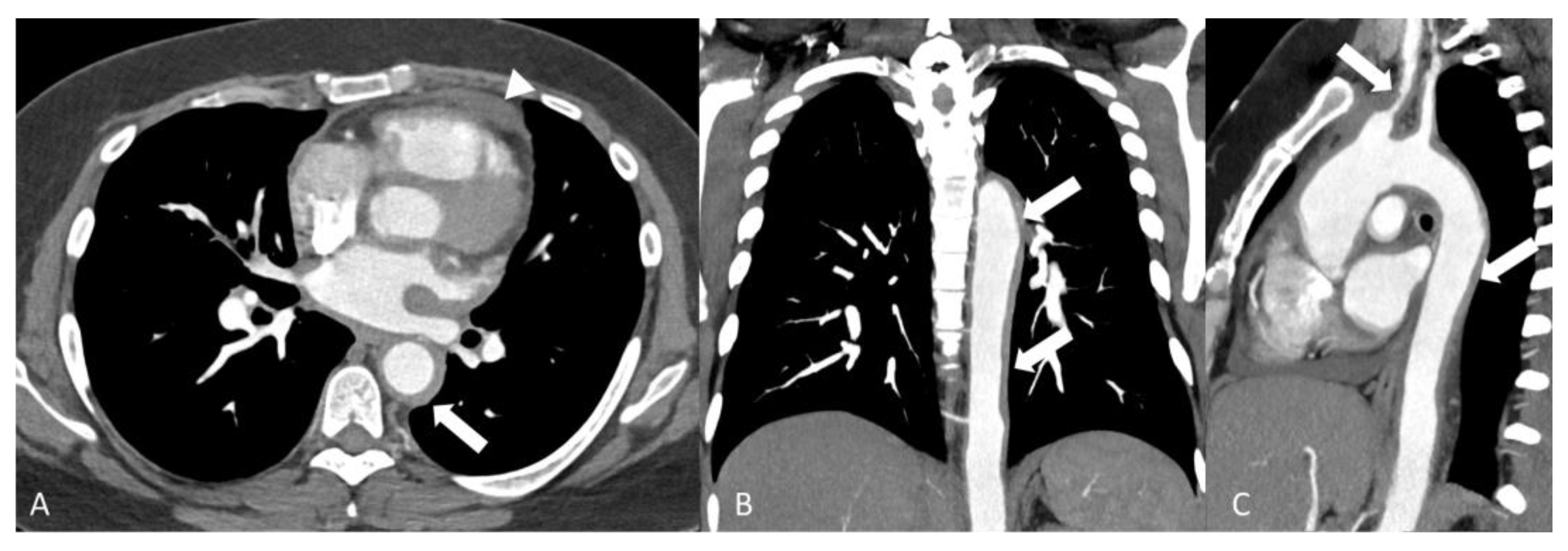
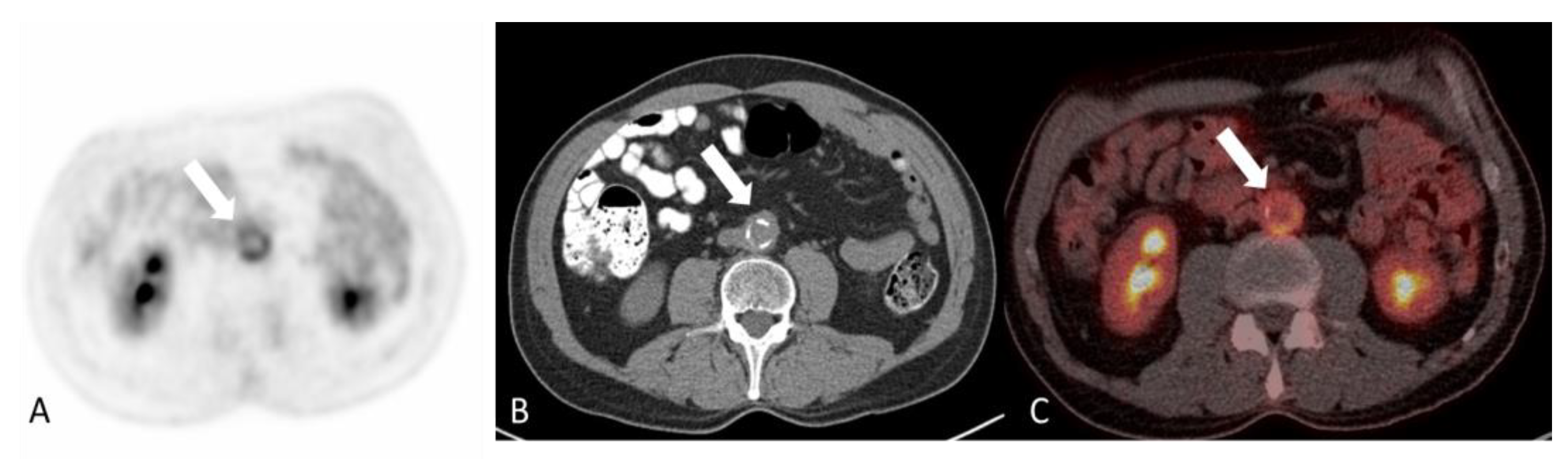
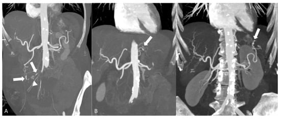
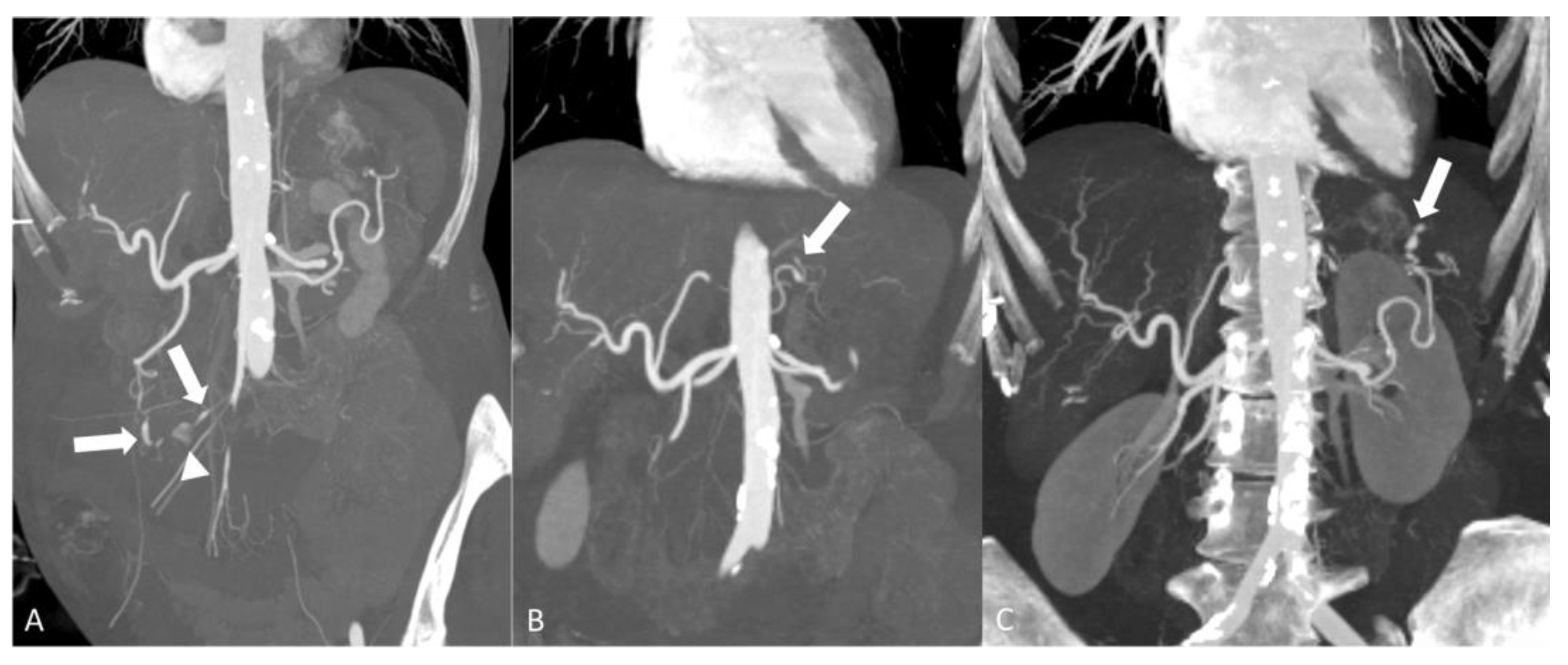
2.2.1. Polyarteritis Nodosa
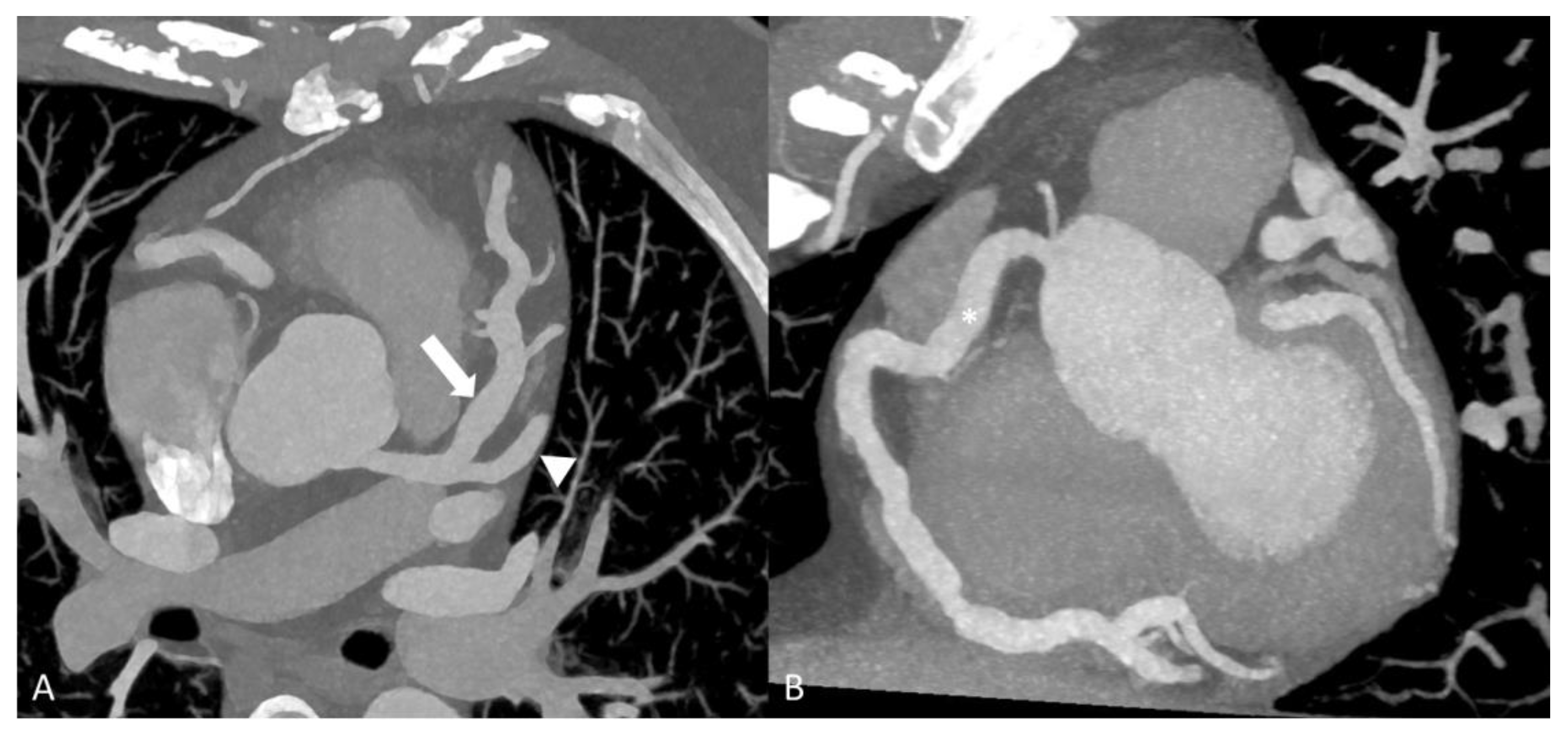
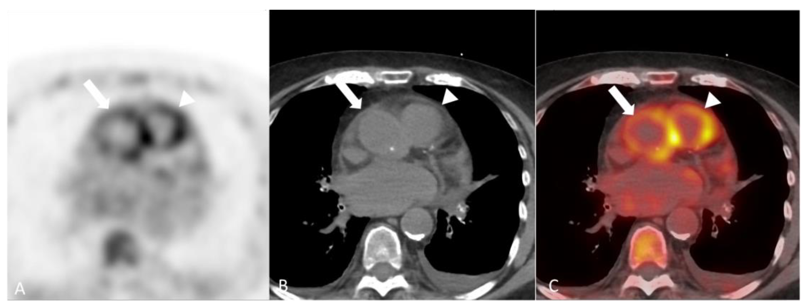
2.2.2. Kawasaki Disease
2.3. Small-Vessel Vasculitis
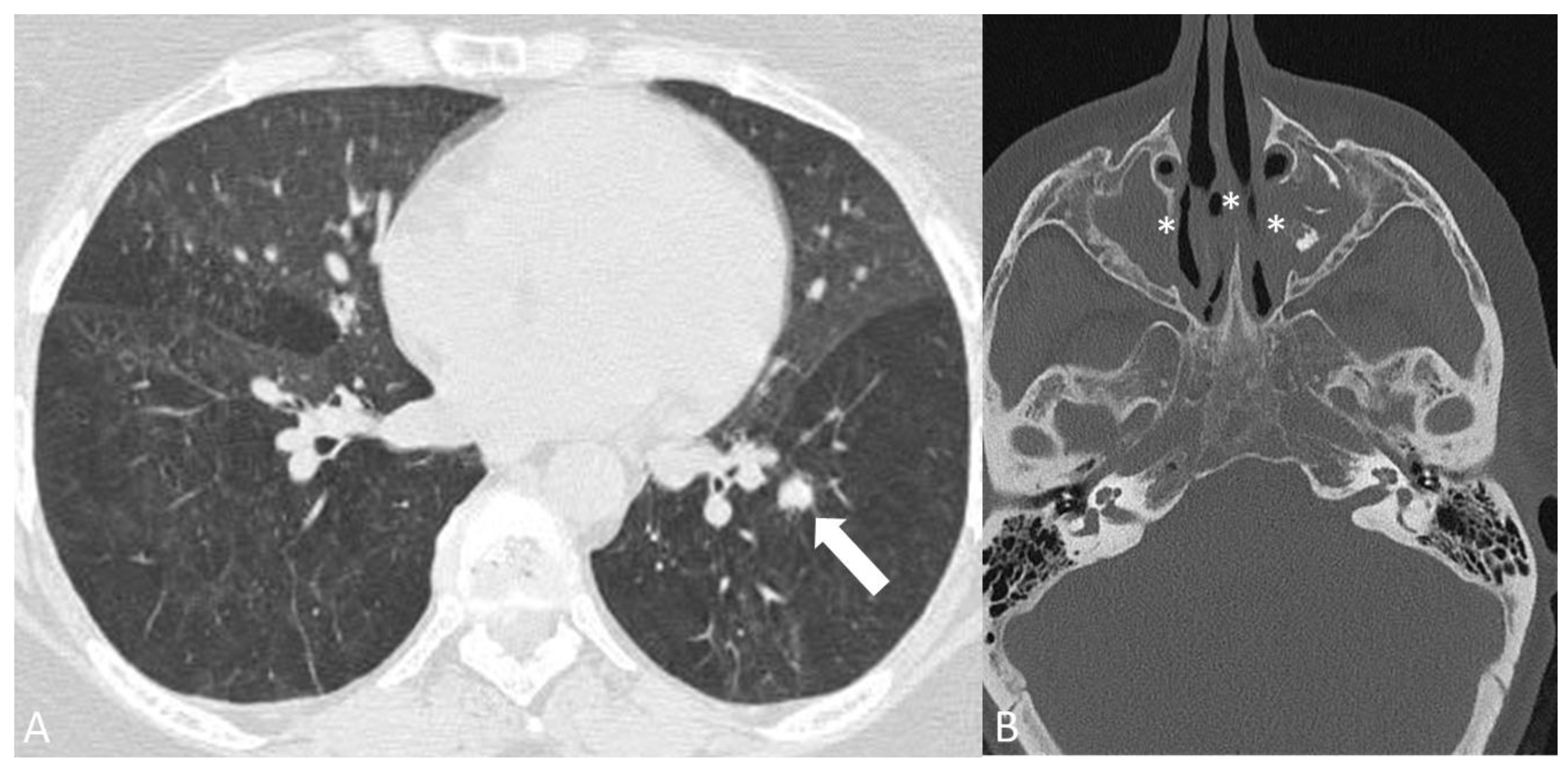
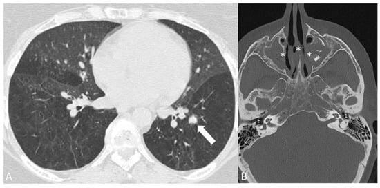
2.3.1. Granulomatosis with Polyangiitis
2.3.2. Eosinophilic Granulomatosis with Polyangiitis
2.4. Miscellaneous
2.4.1. Behçet’s Disease
2.4.2. Cogan Syndrome
2.4.3. Immunoglobulin G4-Related Disease
3. Conclusions
Author Contributions
Funding
Institutional Review Board Statement
Informed Consent Statement
Data Availability Statement
Conflicts of Interest
References
- Jennette, J.C.; Falk, R.J.; Bacon, P.A.; Basu, N.; Cid, M.C.; Ferrario, F.; Flores-Suarez, L.F.; Gross, W.L.; Guillevin, L.; Hagen, E.C.; et al. 2012 Revised International Chapel Hill Consensus Conference Nomenclature of Vasculitides. Arthritis Rheum. 2013, 65, 1–11. [Google Scholar] [CrossRef] [PubMed]
- Watts, R.A.; Robson, J. Introduction, epidemiology and classification of vasculitis. Best Pract. Res. Clin. Rheumatol. 2018, 32, 3–20. [Google Scholar] [CrossRef] [PubMed]
- Cid, M.C.; Campo, E.; Ercilla, G.; Palacin, A.; Vilaseca, J.; Villalta, J.; Ingelmo, M. Immunohistochemical analysis of lymphoid and macrophage cell subsets and their immunologic activation markers in temporal arteritis: Influence of Corticosteroid Treatment. Arthritis Rheumatol. 1989, 32, 884–893. [Google Scholar] [CrossRef]
- Maz, M.; Chung, S.A.; Abril, A.; Langford, C.A.; Gorelik, M.; Guyatt, G.; Archer, A.M.; Conn, D.L.; Full, K.A.; Grayson, P.C.; et al. 2021 American College of Rheumatology/Vasculitis Foundation Guideline for the Management of Giant Cell Arteritis and Takayasu Arteritis. Arthritis Rheumatol. 2021, 73, 1349–1365. [Google Scholar] [CrossRef] [PubMed]
- Sugihara, T.; Hasegawa, H.; Uchida, H.A.; Yoshifuji, H.; Watanabe, Y.; Amiya, E.; Maejima, Y.; Konishi, M.; Murakawa, Y.; Ogawa, N.; et al. Associated factors of poor treatment outcomes in patients with giant cell arteritis: Clinical implication of large vessel lesions. Arthritis Res. Ther. 2020, 22, 72. [Google Scholar] [CrossRef] [PubMed]
- Ghinoi, A.; Pipitone, N.; Nicolini, A.; Boiardi, L.; Silingardi, M.; Germanò, G.; Salvarani, C. Large-vessel involvement in recent-onset giant cell arteritis: A case-control colour—Doppler sonography study. Rheumatology 2012, 51, 730–734. [Google Scholar] [CrossRef] [PubMed]
- Duftner, C.; Dejaco, C.; Sepriano, A.; Falzon, L.; Schmidt, W.A.; Ramiro, S. Imaging in diagnosis, outcome prediction and monitoring of large vessel vasculitis: A systematic literature review and meta-analysis informing the EULAR recommendations. RMD Open 2018, 4, e000612. [Google Scholar] [CrossRef] [PubMed]
- Blockmans, D.; Bley, T.; Schmidt, W. Imaging for large-vessel vasculitis. Curr. Opin. Rheumatol. 2009, 21, 19–28. [Google Scholar] [CrossRef] [PubMed]
- Dejaco, C.; Duftner, C.; Buttgereit, F.; Matteson, E.L.; Dasgupta, B. The spectrum of giant cell arteritis and polymyalgia rheumatica: Revisiting the concept of the disease. Rheumatology 2016, 56, 506–515. [Google Scholar] [CrossRef]
- Muratore, F.; Boiardi, L.; Cavazza, A.; Tiengo, G.; Galli, E.; Aldigeri, R.; Pipitone, N.; Cimino, L.; Bonacini, M.; Croci, S.; et al. Association Between Specimen Length and Number of Sections and Diagnostic Yield of Temporal Artery Biopsy for Giant Cell Arteritis. Arthritis Care Res. 2021, 73, 402–408. [Google Scholar] [CrossRef]
- Dejaco, C.; Ramiro, S.; Duftner, C.; Besson, F.L.; Bley, T.A.; Blockmans, D.; Brouwer, E.; Cimmino, M.A.; Clark, E.; Dasgupta, B.; et al. EULAR recommendations for the use of imaging in large vessel vasculitis in clinical practice. Ann. Rheum. Dis. 2018, 77, 636–643. [Google Scholar] [CrossRef] [PubMed]
- Ponte, C.; Grayson, P.C.; Robson, J.C.; Suppiah, R.; Gribbons, K.B.; Judge, A.; Craven, A.; Khalid, S.; Hutchings, A.; Watts, R.A.; et al. 2022 American College of Rheumatology/EULAR Classification Criteria for Giant Cell Arteritis. Arthritis Rheumatol. 2022, 74, 1881–1889. [Google Scholar] [CrossRef] [PubMed]
- Nesher, G.; Shemesh, D.; Mates, M.; Sonnenblick, M.; Abramowitz, H.B. The predictive value of the halo sign in color Doppler ultrasonography of the temporal arteries for diagnosing giant cell arteritis. J. Rheumatol. 2002, 29, 1224–1226. [Google Scholar] [PubMed]
- Schmidt, W.A.; Kraft, H.E.; Vorpahl, K.; Völker, L.; Gromnica-Ihle, E.J. Color Duplex Ultrasonography in the Diagnosis of Temporal Arteritis. N. Engl. J. Med. 1997, 337, 1336–1342. [Google Scholar] [CrossRef] [PubMed]
- Salvarani, C.; Silingardi, M.; Ghirarduzzi, A.; Lo Scocco, G.; Macchioni, P.; Bajocchi, G.; Vinceti, M.; Cantini, F.; Iori, I.; Boiardi, L. Is Duplex Ultrasonography Useful for the Diagnosis of Giant-Cell Arteritis? Ann. Intern. Med. 2002, 137, 232–238. [Google Scholar] [CrossRef] [PubMed]
- Reinhard, M.; Schmidt, D.; Hetzel, A. Color-coded sonography in suspected temporal arteritis—Experiences after 83 cases. Rheumatol. Int. 2004, 24, 340–346. [Google Scholar] [CrossRef] [PubMed]
- Karahaliou, M.; Vaiopoulos, G.; Papaspyrou, S.; Kanakis, M.A.; Revenas, K.; Sfikakis, P.P. Colour duplex sonography of temporal arteries before decision for biopsy: A prospective study in 55 patients with suspected giant cell arteritis. Arthritis Res. Ther. 2006, 8, R116. [Google Scholar] [CrossRef] [PubMed]
- Habib, H.M.; Essa, A.A.; Hassan, A.A. Color duplex ultrasonography of temporal arteries: Role in diagnosis and follow-up of suspected cases of temporal arteritis. Clin. Rheumatol. 2012, 31, 231–237. [Google Scholar] [CrossRef] [PubMed]
- Aschwanden, M.; Daikeler, T.; Kesten, F.; Baldi, T.; Benz, D.; Tyndall, A.; Imfeld, S.; Staub, D.; Hess, C.; Jaeger, K.A. Temporal Artery Compression Sign—A Novel Ultrasound Finding for the Diagnosis of Giant Cell Arteritis. Ultraschall. Med. 2013, 34, 47–50. [Google Scholar] [CrossRef]
- Diamantopoulos, A.P.; Haugeberg, G.; Hetland, H.; Soldal, D.M.; Bie, R.; Myklebust, G. Diagnostic Value of Color Doppler Ultrasonography of Temporal Arteries and Large Vessels in Giant Cell Arteritis: A Consecutive Case Series. Arthritis Care Res. 2014, 66, 113–119. [Google Scholar] [CrossRef]
- Hop, H.; Mulder, D.J.; Sandovici, M.; Glaudemans, A.W.J.M.; van Roon, A.M.; Slart, R.H.J.A.; Brouwer, E. Diagnostic value of axillary artery ultrasound in patients with suspected giant cell arteritis. Rheumatology 2020, 59, 3676–3684. [Google Scholar] [CrossRef] [PubMed]
- Jianu, D.C.; Jianu, S.N.; Dan, T.F.; Munteanu, G.; Bîrdac, C.D.; Motoc, A.G.M.; Docu Axelerad, A.; Petrica, L.; Gogu, A.E. Ultrasound Technologies and the Diagnosis of Giant Cell Arteritis. Biomedicines 2021, 9, 1801. [Google Scholar] [CrossRef] [PubMed]
- Alberts, M.S.; Mosen, D.M. Diagnosing temporal arteritis: Duplex vs. biopsy. QJM Int. J. Med. 2007, 100, 785–789. [Google Scholar] [CrossRef] [PubMed]
- Bley, T.A.; Wieben, O.; Uhl, M.; Thiel, J.; Schmidt, D.; Langer, M. High-Resolution MRI in Giant Cell Arteritis: Imaging of the Wall of the Superficial Temporal Artery. Am. J. Roentgenol. 2005, 184, 283–287. [Google Scholar] [CrossRef] [PubMed]
- Bley, T.A.; Reinhard, M.; Hauenstein, C.; Markl, M.; Warnatz, K.; Hetzel, A.; Uhl, M.; Vaith, P.; Langer, M. Comparison of duplex sonography and high-resolution magnetic resonance imaging in the diagnosis of giant cell (temporal) arteritis. Arthritis Rheum. 2008, 58, 2574–2578. [Google Scholar] [CrossRef] [PubMed]
- Goldstein, K.M.; Lunyera, J.; Mohottige, D.; Amrhein, T.J.; Alexopoulos, A.S.; Campbell, H.; Cameron, C.B.; Sagalla, N.; Crowley, M.J.; Dietch, J.R.; et al. VA Evidence-based Synthesis Program Reports. In Risk of Nephrogenic Systemic Fibrosis after Exposure to Newer Gadolinium Agents; Department of Veterans Affairs (US): Washington, DC, USA, 2019. [Google Scholar]
- Murphy, D.J.; Aghayev, A.; Steigner, M.L. Vascular CT and MRI: A practical guide to imaging protocols. Insights Imaging 2018, 9, 215–236. [Google Scholar] [CrossRef] [PubMed]
- Hartlage, G.R.; Palios, J.; Barron, B.J.; Stillman, A.E.; Bossone, E.; Clements, S.D.; Lerakis, S. Multimodality Imaging of Aortitis. JACC Cardiovasc. Imaging 2014, 7, 605–619. [Google Scholar] [CrossRef] [PubMed]
- Lariviere, D.; Benali, K.; Coustet, B.; Pasi, N.; Hyafil, F.; Klein, I.; Chauchard, M.; Alexandra, J.F.; Goulenok, T.; Dossier, A.; et al. Positron emission tomography and computed tomography angiography for the diagnosis of giant cell arteritis: A real-life prospective study. Medicine 2016, 95, e4146. [Google Scholar] [CrossRef] [PubMed]
- Hofman, M.S.; Hicks, R.J. How We Read Oncologic FDG PET/CT. Cancer Imaging 2016, 16, 35. [Google Scholar] [CrossRef]
- Bertagna, F.; Bosio, G.; Caobelli, F.; Motta, F.; Biasiotto, G.; Giubbini, R. Role of 18F-fluorodeoxyglucose positron emission tomography/computed tomography for therapy evaluation of patients with large-vessel vasculitis. Jpn. J. Radiol. 2010, 28, 199–204. [Google Scholar] [CrossRef]
- Slart, R.H.J.A.; Slart, R.H.J.A.; Glaudemans, A.W.J.M.; Chareonthaitawee, P.; Treglia, G.; Besson, F.L.; Bley, T.A.; Blockmans, D.; Boellaard, R.; Bucerius, J.; et al. FDG-PET/CT(A) imaging in large vessel vasculitis and polymyalgia rheumatica: Joint procedural recommendation of the EANM, SNMMI, and the PET Interest Group (PIG), and endorsed by the ASNC. Eur. J. Nucl. Med. Mol. Imaging 2018, 45, 1250–1269. [Google Scholar] [CrossRef]
- Soussan, M.; Nicolas, P.; Schramm, C.; Katsahian, S.; Pop, G.; Fain, O.; Mekinian, A. Management of large-vessel vasculitis with FDG-PET: A systematic literature review and meta-analysis. Medicine 2015, 94, e622. [Google Scholar] [CrossRef]
- Kermani, T.A.; Warrington, K.J.; Cuthbertson, D.; Carette, S.; Hoffman, G.S.; Khalidi, N.A.; Koening, C.L.; Langford, C.A.; Maksimowicz-McKinnon, K.; McAlear, C.A.; et al. Disease Relapses among Patients with Giant Cell Arteritis: A Prospective, Longitudinal Cohort Study. J. Rheumatol. 2015, 42, 1213–1217. [Google Scholar] [CrossRef]
- Meller, J.; Strutz, F.; Siefker, U.; Scheel, A.; Sahlmann, C.O.; Lehmann, K.; Conrad, M.; Vosshenrich, R. Early diagnosis and follow-up of aortitis with [18F]FDG PET and MRI. Eur. J. Nucl. Med. Mol. Imaging 2003, 30, 730–736. [Google Scholar] [CrossRef]
- Nielsen, B.D.; Gormsen, L.C.; Hansen, I.T.; Keller, K.K.; Therkildsen, P.; Hauge, E.-M. Three days of high-dose glucocorticoid treatment attenuates large-vessel 18F-FDG uptake in large-vessel giant cell arteritis but with a limited impact on diagnostic accuracy. Eur. J. Nucl. Med. Mol. Imaging 2018, 45, 1119–1128. [Google Scholar] [CrossRef]
- Tatsumi, M.; Cohade, C.; Nakamoto, Y.; Wahl, R.L. Fluorodeoxyglucose Uptake in the Aortic Wall at PET/CT: Possible Finding for Active Atherosclerosis. Radiology 2003, 229, 831–837. [Google Scholar] [CrossRef]
- Brauner, J.-F.; Rasul, S.; Berzaczy, D.; Beitzke, D.; Wollenweber, T.; Beitzke, D. Hybrid PET/MRI of large vessel vasculitis. In Wiener Klinische Wochenschrift; Springer: Berlin/Heidelberg, Germany, 2024. [Google Scholar] [CrossRef]
- Miloslavsky, E.; Unizony, S. The heart in vasculitis. Rheum. Dis. Clin. N. Am. 2014, 40, 11–26. [Google Scholar] [CrossRef]
- Sanchez-Alvarez, C.; Crowson, C.S.; Koster, M.J.; Warrington, K.J. Prevalence of Takayasu Arteritis: A Population-based Study. J. Rheumatol. 2021, 48, 952. [Google Scholar] [CrossRef]
- Seko, Y.; Minota, S.; Kawasaki, A.; Shinkai, Y.; Maeda, K.; Yagita, H.; Okumura, K.; Sato, O.; Takagi, A.; Tada, Y.; et al. Perforin-secreting killer cell infiltration and expression of a 65-kD heat-shock protein in aortic tissue of patients with Takayasu’s arteritis. J. Clin. Investig. 1994, 93, 750–758. [Google Scholar] [CrossRef] [PubMed]
- Ortiz-Fernández, L.; Saruhan-Direskeneli, G.; Alibaz-Oner, F.; Kaymaz-Tahra, S.; Coit, P.; Kong, X.; Kiprianos, A.P.; Maughan, R.T.; Aydin, S.Z.; Aksu, K.; et al. Identification of susceptibility loci for Takayasu arteritis through a large multi-ancestral genome-wide association study. Am. J. Hum. Genet. 2021, 108, 84–99. [Google Scholar] [CrossRef] [PubMed]
- de Souza, A.W.S.; de Carvalho, J.F. Diagnostic and classification criteria of Takayasu arteritis. J. Autoimmun. 2014, 48–49, 79–83. [Google Scholar] [CrossRef] [PubMed]
- Cavalli, G.; Tomelleri, A.; Di Napoli, D.; Baldissera, E.; Dagna, L. Prevalence of Takayasu arteritis in young women with acute ischemic heart disease. Int. J. Cardiol. 2018, 252, 21–23. [Google Scholar] [CrossRef] [PubMed]
- Rav-Acha, M.; Plot, L.; Peled, N.; Amital, H. Coronary involvement in Takayasu’s arteritis. Autoimmun. Rev. 2007, 6, 566–571. [Google Scholar] [CrossRef] [PubMed]
- Chaubal, N.; Dighe, M.; Shah, M. Sonographic and Color Doppler Findings in Aortoarteritis (Takayasu Arteritis). J. Ultrasound Med. 2004, 23, 937–944. [Google Scholar] [CrossRef] [PubMed]
- Ghembaza, M.E.A.; Boulenouar, F.; Lounici, A. “Macaroni Sign” in Takayasu Arteritis. J. Cardiovasc. Imaging 2018, 26, 186–187. [Google Scholar] [CrossRef]
- Barra, L.; Kanji, T.; Malette, J.; Pagnoux, C. Imaging modalities for the diagnosis and disease activity assessment of Takayasu’s arteritis: A systematic review and meta-analysis. Autoimmun. Rev. 2018, 17, 175–187. [Google Scholar] [CrossRef] [PubMed]
- Zhao, C.; Yu, D.; Kang, K.; Liu, Y.; Li, S.; Wang, Z.; Ji, H.; Zhao, B.; Ji, L.; Leng, X.; et al. Role of Contrast-Enhanced Ultrasound Sonography in the Medical Diagnostics of the Disease Activity in Patients With Takayasu Arteritis. IEEE Access 2019, 7, 23240–23248. [Google Scholar] [CrossRef]
- Goudot, G.; Jimenez, A.; Mohamedi, N.; Sitruk, J.; Khider, L.; Mortelette, H.; Papadacci, C.; Hyafil, F.; Tanter, M.; Messas, E.; et al. Assessment of Takayasu’s arteritis activity by ultrasound localization microscopy. eBioMedicine 2023, 90, 104502. [Google Scholar] [CrossRef] [PubMed]
- Papa, M.; Cobelli, F.D.; Baldissera, E.; Dagna, L.; Schiani, E.; Sabbadini, M.; Maschio, A.D. Takayasu Arteritis: Intravascular Contrast Medium for MR Angiography in the Evaluation of Disease Activity. Am. J. Roentgenol. 2012, 198, W279–W284. [Google Scholar] [CrossRef]
- Stone, J.R.; Bruneval, P.; Angelini, A.; Bartoloni, G.; Basso, C.; Batoroeva, L.; Buja, L.M.; Butany, J.; d’Amati, G.; Fallon, J.T.; et al. Consensus statement on surgical pathology of the aorta from the Society for Cardiovascular Pathology and the Association for European Cardiovascular Pathology: I. Inflammatory diseases. Cardiovasc. Pathol. 2015, 24, 267–278. [Google Scholar] [CrossRef]
- Schmidt, J.; Sunesen, K.; Kornum, J.B.; Duhaut, P.; Thomsen, R.W. Predictors for pathologically confirmed aortitis after resection of the ascending aorta: A 12-year Danish nationwide population-based cross-sectional study. Arthritis Res. Ther. 2011, 13, R87. [Google Scholar] [CrossRef]
- Kaymakci, M.; Elfishawi, M.; Langenfeld, H.E.; Crowson, C.S.; Weyand, C.M.; Koster, M.J.; Warrington, K.J. The epidemiology of pathologically confirmed clinically isolated aortitis: A North American population-based study. Clin. Exp. Rheumatol. 2023, 41, 956–960. [Google Scholar] [CrossRef]
- Pipitone, N.; Salvarani, C. Idiopathic aortitis: An underrecognized vasculitis. Arthritis Res. Ther. 2011, 13, 119. [Google Scholar] [CrossRef] [PubMed]
- Kermani, T.A.; Byram, K. Isolated Aortitis: Workup and Management. Rheum. Dis. Clin. N. Am. 2023, 49, 523–543. [Google Scholar] [CrossRef] [PubMed]
- Mayer, A.; Sperry, A.; Quimson, L.; Rhee, R.L. Long-Term Clinical and Radiographic Outcomes in Patients with Clinically Isolated Aortitis. ACR Open Rheumatol. 2022, 4, 1013–1020. [Google Scholar] [CrossRef] [PubMed]
- Forbess, L.; Bannykh, S. Polyarteritis nodosa. Rheum. Dis. Clin. N. Am. 2015, 41, 33–46. [Google Scholar] [CrossRef] [PubMed]
- Watts, R.A.; Lane, S.E.; Scott, D.G.I.; Koldingsnes, W.; Nossent, H.; Gonzalez-Gay, M.A.; Garcia-Porrua, C.; Bentham, G.A. Epidemiology of vasculitis in Europe. Ann. Rheum. Dis. 2001, 60, 1156–1157. [Google Scholar] [CrossRef]
- Hasler, P.; Kistler, H.; Gerber, H. Vasculitides in hairy cell leukemia. Semin. Arthritis Rheum. 1995, 25, 134–142. [Google Scholar] [CrossRef] [PubMed]
- Guillevin, L.; Mahr, A.; Callard, P.; Godmer, P.; Pagnoux, C.; Leray, E.; Cohen, P.; French Vasculitis Study Group. Hepatitis B Virus-Associated Polyarteritis Nodosa: Clinical Characteristics, Outcome, and Impact of Treatment in 115 Patients. Medicine 2005, 84, 313–322. [Google Scholar] [CrossRef]
- Matsumoto, T.; Kobayashi, S.; Ogishima, D.; Aoki, Y.; Sonoue, H.; Abe, H.; Fukumura, Y.; Nobukawa, B.; Kumasaka, T.; Mori, S.; et al. Isolated necrotizing arteritis (localized polyarteritis nodosa): Examination of the histological process and disease entity based on the histological classification of stage and histological differences from polyarteritis nodosa. Cardiovasc. Pathol. 2007, 16, 92–97. [Google Scholar] [CrossRef]
- Hernández-Rodríguez, J.; Alba, M.A.; Prieto-González, S.; Cid, M.C. Diagnosis and classification of polyarteritis nodosa. J. Autoimmun. 2014, 48–49, 84–89. [Google Scholar] [CrossRef] [PubMed]
- Pagnoux, C.; Mahr, A.; Cohen, P.; Guillevin, L. Presentation and outcome of gastrointestinal involvement in systemic necrotizing vasculitides: Analysis of 62 patients with polyarteritis nodosa, microscopic polyangiitis, Wegener granulomatosis, Churg-Strauss syndrome, or rheumatoid arthritis-associated vasculitis. Medicine 2005, 84, 115–128. [Google Scholar] [CrossRef] [PubMed]
- Morgan, A.J.; Schwartz, R.A. Cutaneous polyarteritis nodosa: A comprehensive review. Int. J. Dermatol. 2010, 49, 750–756. [Google Scholar] [CrossRef] [PubMed]
- Singhal, M.; Gupta, P.; Sharma, A.; Lal, A.; Rathi, M.; Khandelwal, N. Role of multidetector abdominal CT in the evaluation of abnormalities in polyarteritis nodosa. Clin. Radiol. 2016, 71, 222–227. [Google Scholar] [CrossRef] [PubMed]
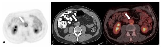
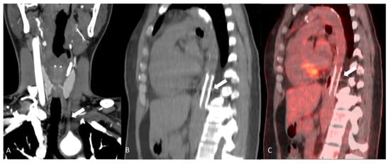
- Chen, Z.; Zhao, Y.; Wang, Q.; Li, Y.; Li, H.; Zhou, Y. Imaging features of 18F-FDG PET/CT in different types of systemic vasculitis. Clin. Rheumatol. 2022, 41, 1499–1509. [Google Scholar] [CrossRef] [PubMed]
- Chung, S.A.; Gorelik, M.; Langford, C.A.; Maz, M.; Abril, A.; Guyatt, G.; Archer, A.M.; Conn, D.L.; Full, K.A.; Grayson, P.C.; et al. 2021 American College of Rheumatology/Vasculitis Foundation Guideline for the Management of Polyarteritis Nodosa. Arthritis Rheumatol. 2021, 73, 1384–1393. [Google Scholar] [CrossRef] [PubMed]
- Burns, J.C. The Riddle of Kawasaki Disease. N. Engl. J. Med. 2007, 356, 659–661. [Google Scholar] [CrossRef] [PubMed]
- Uehara, R.; Belay, E.D. Epidemiology of Kawasaki disease in Asia, Europe, and the United States. J. Epidemiol. 2012, 22, 79–85. [Google Scholar] [CrossRef] [PubMed]
- Gomard-Mennesson, E.; Landron, C.; Dauphin, C.; Epaulard, O.; Petit, C.; Green, L.; Roblot, P.; Lusson, J.-R.; Broussolle, C.; Sève, P. Kawasaki Disease in Adults: Report of 10 Cases. Medicine 2010, 89, 149–158. [Google Scholar] [CrossRef]
- Sève, P.; Lega, J.C. Maladie de Kawasaki de l’adulte. La Rev. Méd. Interne 2011, 32, 17–25. [Google Scholar] [CrossRef]
- Yeung, R.S. Kawasaki disease: Update on pathogenesis. Curr. Opin. Rheumatol. 2010, 22, 551–560. [Google Scholar] [CrossRef]
- Fujita, Y.; Nakamura, Y.; Sakata, K.; Hara, N.; Kobayashi, M.; Nagai, M.; Yanagawa, H.; Kawasaki, T. Kawasaki disease in families. Pediatrics 1989, 84, 666–669. [Google Scholar] [CrossRef]
- McCrindle, B.W.; Rowley, A.H.; Newburger, J.W.; Burns, J.C.; Bolger, A.F.; Gewitz, M.; Baker, A.L.; Jackson, M.A.; Takahashi, M.; Shah, P.B.; et al. Diagnosis, Treatment, and Long-Term Management of Kawasaki Disease: A Scientific Statement for Health Professionals From the American Heart Association. Circulation 2017, 135, e927–e999. [Google Scholar] [CrossRef]
- Newburger, J.W.; Takahashi, M.; Burns, J.C. Kawasaki Disease. J. Am. Coll. Cardiol. 2016, 67, 1738–1749. [Google Scholar] [CrossRef]
- Furusho, K.; Nakano, H.; Shinomiya, K.; Tamura, T.; Manabe, Y.; Kawarano, M.; Baba, K.; Kamiya, T.; Kiyosawa, N.; Hayashidera, T.; et al. High-dose intravenous gammaglobulin for kawasaki disease. Lancet 1984, 324, 1055–1058. [Google Scholar] [CrossRef]
- Kato, H.; Sugimura, T.; Akagi, T.; Sato, N.; Hashino, K.; Maeno, Y.; Kazue, T.; Eto, G.; Yamakawa, R. Long-term Consequences of Kawasaki Disease. Circulation 1996, 94, 1379–1385. [Google Scholar] [CrossRef]
- Duarte, R.; Cisneros, S.; Fernandez, G.; Castellon, D.; Cattani, C.; Melo, C.A.; Apocada, A. Kawasaki disease: A review with emphasis on cardiovascular complications. Insights Imaging 2010, 1, 223–231. [Google Scholar] [CrossRef]
- Greil, G.F.; Stuber, M.; Botnar, R.M.; Kissinger, K.V.; Geva, T.; Newburger, J.W.; Manning, W.J.; Powell, A.J. Coronary Magnetic Resonance Angiography in Adolescents and Young Adults with Kawasaki Disease. Circulation 2002, 105, 908–911. [Google Scholar] [CrossRef]
- van Stijn, D.; Planken, R.N.; Groenink, M.; Streekstra, G.J.; Kuijpers, T.W.; Kuipers, I.M. Coronary artery assessment in Kawasaki disease with dual-source CT angiography to uncover vascular pathology. Eur. Radiol. 2020, 30, 432–441. [Google Scholar] [CrossRef] [PubMed]
- Noto, N.; Kamiyama, H.; Karasawa, K.; Ayusawa, M.; Sumitomo, N.; Okada, T.; Takahashi, S. Long-Term Prognostic Impact of Dobutamine Stress Echocardiography in Patients with Kawasaki Disease and Coronary Artery Lesions. J. Am. Coll. Cardiol. 2014, 63, 337–344. [Google Scholar] [CrossRef] [PubMed]
- Wykrzykowska, J.; Lehman, S.; Williams, G.; Parker, J.A.; Palmer, M.R.; Varkey, S.; Kolodny, G.; Laham, R. Imaging of Inflamed and Vulnerable Plaque in Coronary Arteries with 18F-FDG PET/CT in Patients with Suppression of Myocardial Uptake Using a Low-Carbohydrate, High-Fat Preparation. J. Nucl. Med. 2009, 50, 563–568. [Google Scholar] [CrossRef] [PubMed]
- Danchin, M.H.; Abo, Y.; Akikusa, J.; Francis, P.; Burgner, D. FDG-PET imaging in a child with Kawasaki disease: Systemic and coronary artery inflammation without dilatation. Arch. Dis. Child. 2022, 107, 619. [Google Scholar] [CrossRef] [PubMed]
- Jan, S.L.; Hwang, B.; Fu, Y.C.; Lee, P.C.; Kao, C.H.; Liu, R.S.; Chi, C.S. Comparison of 201Tl SPET and treadmill exercise testing in patients with Kawasaki disease. Nucl. Med. Commun. 2000, 21, 431–435. [Google Scholar] [CrossRef]
- Tee, Q.X.; Wong, A.; Nambiar, M.; Lau, K.K. Granulomatosis with polyangiitis: Common and uncommon presentations. J. Med. Imaging Radiat. Oncol. 2022, 66, 1089–1096. [Google Scholar] [CrossRef] [PubMed]
- Fijolek, J.; Radzikowska, E. Eosinophilic granulomatosis with polyangiitis—Advances in pathogenesis, diagnosis, and treatment. Front. Med. 2023, 10, 1145257. [Google Scholar] [CrossRef] [PubMed]
- Guneyli, S.; Ceylan, N.; Bayraktaroglu, S.; Gucenmez, S.; Aksu, K.; Kocacelebi, K.; Acar, T.; Savas, R.; Alper, H. Imaging findings of pulmonary granulomatosis with polyangiitis (Wegener’s granulomatosis): Lesions invading the pulmonary fissure, pleura or diaphragm mimicking malignancy. Wien. Klin. Wochenschr. 2016, 128, 809–815. [Google Scholar] [CrossRef] [PubMed]
- Greco, A.; Marinelli, C.; Fusconi, M.; Macri, G.F.; Gallo, A.; De Virgilio, A.; Zambetti, G.; de Vincentiis, M. Clinic manifestations in granulomatosis with polyangiitis. Int. J. Immunopathol. Pharmacol. 2016, 29, 151–159. [Google Scholar] [CrossRef]
- Morgan, M.D.; Turnbull, J.; Selamet, U.; Kaur-Hayer, M.; Nightingale, P.; Ferro, C.J.; Savage, C.O.; Harper, L. Increased incidence of cardiovascular events in patients with antineutrophil cytoplasmic antibody-associated vasculitides: A matched-pair cohort study. Arthritis Rheum. 2009, 60, 3493–3500. [Google Scholar] [CrossRef] [PubMed]
- Castaner, E.; Alguersuari, A.; Andreu, M.; Gallardo, X.; Spinu, C.; Mata, J.M. Imaging findings in pulmonary vasculitis. In Seminars in Ultrasound, CT and MRI; WB Saunders: Philadelphia, PA, USA, 2012; Volume 33, pp. 567–579. [Google Scholar] [CrossRef]
- Adams, T.N.; Zhang, D.; Batra, K.; Fitzgerald, J.E. Pulmonary manifestations of large, medium, and variable vessel vasculitis. Respir. Med. 2018, 145, 182–191. [Google Scholar] [CrossRef]
- Mohammad, A.J.; Mortensen, K.H.; Babar, J.; Smith, R.; Jones, R.B.; Nakagomi, D.; Sivasothy, P.; Jayne, D.R.W. Pulmonary Involvement in Antineutrophil Cytoplasmic Antibodies (ANCA)-associated Vasculitis: The Influence of ANCA Subtype. J. Rheumatol. 2017, 44, 1458–1467. [Google Scholar] [CrossRef]
- Soussan, M.; Abisror, N.; Abad, S.; Nunes, H.; Terrier, B.; Pop, G.; Eder, V.; Valeyre, D.; Sberro-Soussan, R.; Guillevin, L.; et al. FDG-PET/CT in patients with ANCA-associated vasculitis: Case-series and literature review. Autoimmun. Rev. 2014, 13, 125–131. [Google Scholar] [CrossRef]
- Schollhammer, R.; Schwartz, P.; Jullie, M.L.; Pham-Ledard, A.; Mercie, P.; Fernandez, P.; Pinaquy, J.B. 18F-FDG PET/CT Imaging of Popliteal Vasculitis Associated with Polyarteritis Nodosa. Clin. Nucl. Med. 2017, 42, e385–e387. [Google Scholar] [CrossRef] [PubMed]
- Kemna, M.J.; Vandergheynst, F.; Voo, S.; Blocklet, D.; Nguyen, T.; Timmermans, S.; van Paassen, P.; Cogan, E.; van Kroonenburgh, M.; Tervaert, J.W.C. Positron emission tomography scanning in anti-neutrophil cytoplasmic antibodies-associated vasculitis. Medicine 2015, 94, e747. [Google Scholar] [CrossRef] [PubMed]
- White, J.; Dubey, S. Eosinophilic granulomatosis with polyangiitis: A review. Autoimmun. Rev. 2023, 22, 103219. [Google Scholar] [CrossRef]
- Romero Gomez, C.; Hernandez Negrin, H.; Ayala Gutierrez, M.D.M. Eosinophilic granulomatosis with polyangiitis. Med. Clin. 2023, 160, 310–317. [Google Scholar] [CrossRef]
- Dennert, R.M.; van Paassen, P.; Schalla, S.; Kuznetsova, T.; Alzand, B.S.; Staessen, J.A.; Velthuis, S.; Crijns, H.J.; Tervaert, J.W.C.; Heymans, S. Cardiac involvement in Churg-Strauss syndrome. Arthritis Rheum. 2010, 62, 627–634. [Google Scholar] [CrossRef]
- Zerizer, I.; Tan, K.; Khan, S.; Barwick, T.; Marzola, M.C.; Rubello, D.; Al-Nahhas, A. Role of FDG-PET and PET/CT in the diagnosis and management of vasculitis. Eur. J. Radiol. 2010, 73, 504–509. [Google Scholar] [CrossRef]
- Scherrer, M.A.R.; Rocha, V.B.; Garcia, L.C. Behcet’s disease: Review with emphasis on dermatological aspects. An. Bras. Dermatol. 2017, 92, 452–464. [Google Scholar] [CrossRef] [PubMed]
- Giannessi, C.; Smorchkova, O.; Cozzi, D.; Zantonelli, G.; Bertelli, E.; Moroni, C.; Cavigli, E.; Miele, V. Behcet’s Disease: A Radiological Review of Vascular and Parenchymal Pulmonary Involvement. Diagnostics 2022, 12, 2868. [Google Scholar] [CrossRef]
- Seyahi, E. Behcet’s disease: How to diagnose and treat vascular involvement. Best Pract. Res. Clin. Rheumatol. 2016, 30, 279–295. [Google Scholar] [CrossRef]
- Sarica-Kucukoglu, R.; Akdag-Kose, A.; Kayabalı, M.; Yazganoglu, K.D.; Disci, R.; Erzengin, D.; Azizlerli, G. Vascular involvement in Behçet’s disease: A retrospective analysis of 2319 cases. Int. J. Dermatol. 2006, 45, 919–921. [Google Scholar] [CrossRef] [PubMed]
- Farhat, S.B.; Slim, M. A coronary artery aneurysm revealing a Behcet’s disease: A case report. Pan. Afr. Med. J. 2020, 36, 3. [Google Scholar] [CrossRef] [PubMed]
- Mangal, V.; Mishra, Y.; Atal, A.T.; Kochhar, D.; Tripathy, D.M.; Manrai, M. Fever, Uveitis, and Myocarditis as the Initial Presentation of Behcet’s Disease: A Case Report and Review of the Literature. Indian J. Rheumatol. 2021, 16, 338–344. [Google Scholar] [CrossRef]
- Espinoza, G.M.; Wheeler, J.; Temprano, K.K.; Keller, A.P. Cogan’s Syndrome: Clinical Presentations and Update on Treatment. Curr. Allergy Asthma. Rep. 2020, 20, 46. [Google Scholar] [CrossRef] [PubMed]
- Kessel, A.; Vadasz, Z.; Toubi, E. Cogan syndrome—Pathogenesis, clinical variants and treatment approaches. Autoimmun. Rev. 2014, 13, 351–354. [Google Scholar] [CrossRef] [PubMed]
- Singer, O. Cogan and Behcet syndromes. Rheum. Dis. Clin. N. Am. 2015, 41, 75–91. [Google Scholar] [CrossRef] [PubMed]
- Katz, G.; Stone, J.H. Clinical Perspectives on IgG4-Related Disease and Its Classification. Annu. Rev. Med. 2022, 73, 545–562. [Google Scholar] [CrossRef] [PubMed]
- Kamisawa, T.; Zen, Y.; Pillai, S.; Stone, J.H. IgG4-related disease. Lancet 2015, 385, 1460–1471. [Google Scholar] [CrossRef] [PubMed]
- Zhang, W.; Stone, J.H. Management of IgG4-related disease. Lancet Rheumatol. 2019, 1, e55–e65. [Google Scholar] [CrossRef]
- Perugino, C.A.; Stone, J.H. IgG4-related disease: An update on pathophysiology and implications for clinical care. Nat. Rev. Rheumatol. 2020, 16, 702–714. [Google Scholar] [CrossRef]
- Diamond, J.E.; Marboe, C.; Palmeri, N.; Cook, J.R.; Bijou, R.; Restaino, S.; Lin, E. Isolated Immunoglobulin G4-Related Disease Myocarditis Treated with Heart Transplantation. Circ. Heart Fail. 2020, 13, e007204. [Google Scholar] [CrossRef] [PubMed]














| Modality | Findings | Advantages | Disadvantages |
|---|---|---|---|
| Ultrasound |
|
|
|
| MRI/MRA |
|
|
|
| CTA |
|
|
|
| FDG-PET/CT |
|
|
|
Disclaimer/Publisher’s Note: The statements, opinions and data contained in all publications are solely those of the individual author(s) and contributor(s) and not of MDPI and/or the editor(s). MDPI and/or the editor(s) disclaim responsibility for any injury to people or property resulting from any ideas, methods, instructions or products referred to in the content. |
© 2024 by the authors. Licensee MDPI, Basel, Switzerland. This article is an open access article distributed under the terms and conditions of the Creative Commons Attribution (CC BY) license (https://creativecommons.org/licenses/by/4.0/).
Share and Cite
Allam, M.N.; Baba Ali, N.; Mahmoud, A.K.; Scalia, I.G.; Farina, J.M.; Abbas, M.T.; Pereyra, M.; Kamel, M.A.; Awad, K.A.; Wang, Y.; et al. Multi-Modality Imaging in Vasculitis. Diagnostics 2024, 14, 838. https://doi.org/10.3390/diagnostics14080838
Allam MN, Baba Ali N, Mahmoud AK, Scalia IG, Farina JM, Abbas MT, Pereyra M, Kamel MA, Awad KA, Wang Y, et al. Multi-Modality Imaging in Vasculitis. Diagnostics. 2024; 14(8):838. https://doi.org/10.3390/diagnostics14080838
Chicago/Turabian StyleAllam, Mohamed N., Nima Baba Ali, Ahmed K. Mahmoud, Isabel G. Scalia, Juan M. Farina, Mohammed Tiseer Abbas, Milagros Pereyra, Moaz A. Kamel, Kamal A. Awad, Yuxiang Wang, and et al. 2024. "Multi-Modality Imaging in Vasculitis" Diagnostics 14, no. 8: 838. https://doi.org/10.3390/diagnostics14080838
APA StyleAllam, M. N., Baba Ali, N., Mahmoud, A. K., Scalia, I. G., Farina, J. M., Abbas, M. T., Pereyra, M., Kamel, M. A., Awad, K. A., Wang, Y., Barry, T., Huang, S. S., Nguyen, B. D., Yang, M., Jokerst, C. E., Martinez, F., Ayoub, C., & Arsanjani, R. (2024). Multi-Modality Imaging in Vasculitis. Diagnostics, 14(8), 838. https://doi.org/10.3390/diagnostics14080838

