Unselective Measurement of Tumor-to-Stroma Proportion in Colon Cancer at the Invasion Front—An Elusive Prognostic Factor: Original Patient Data and Review of the Literature
Abstract
1. Introduction
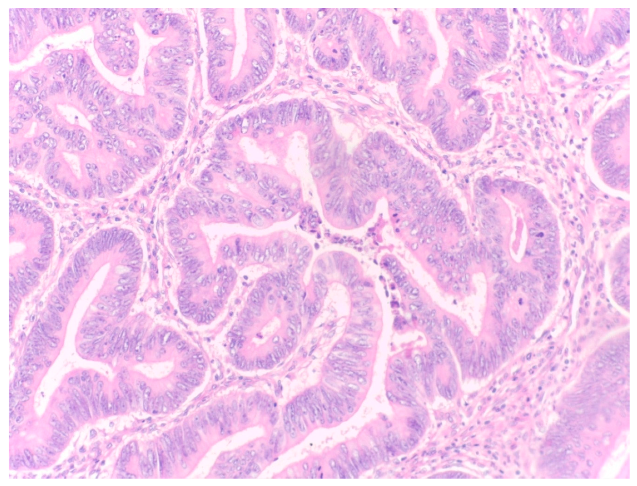
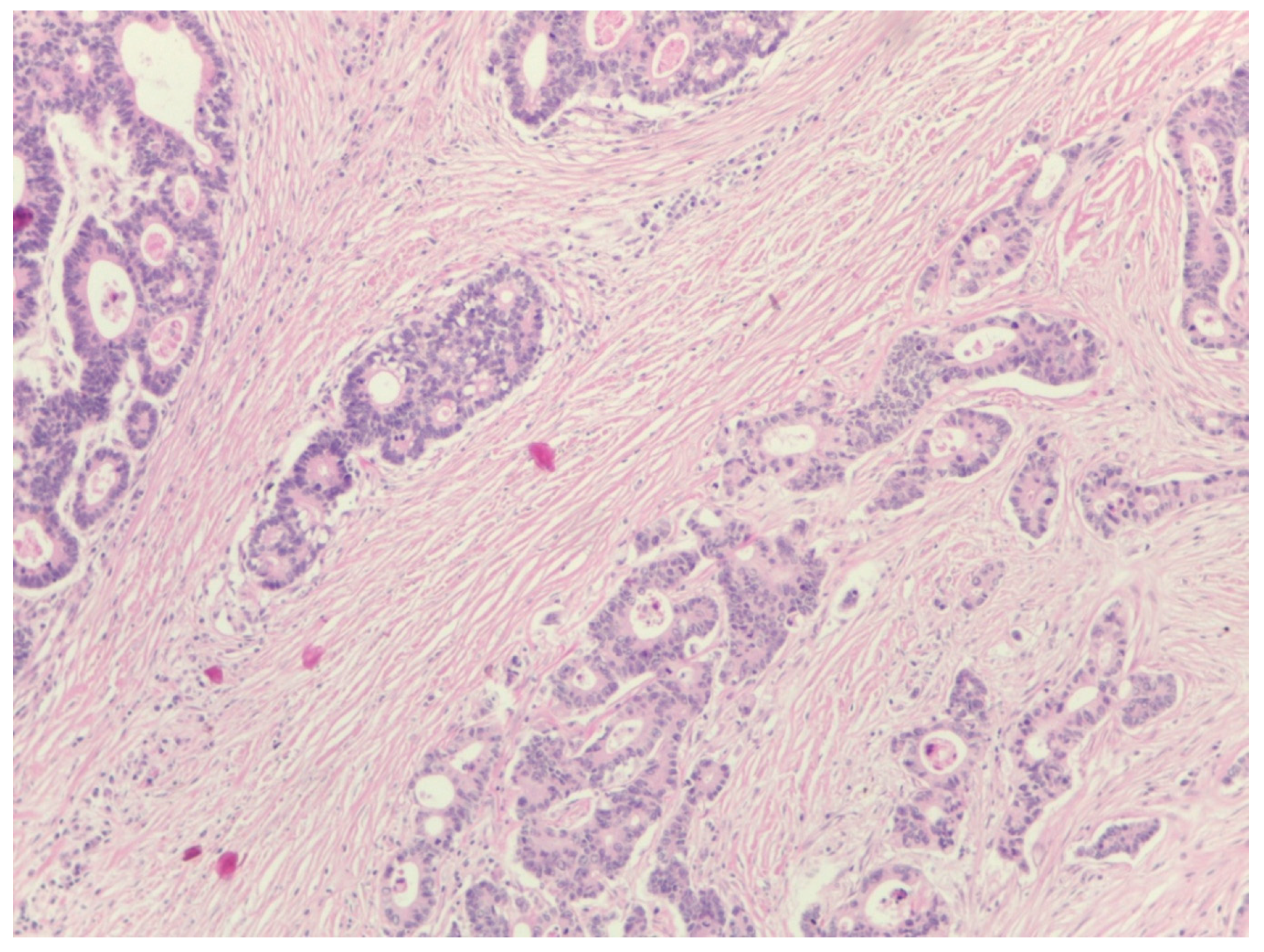
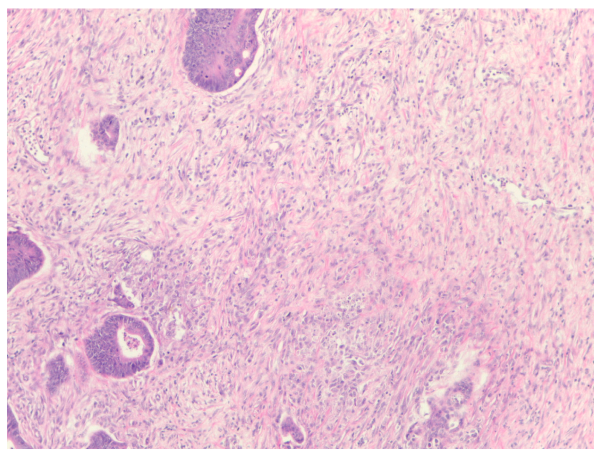
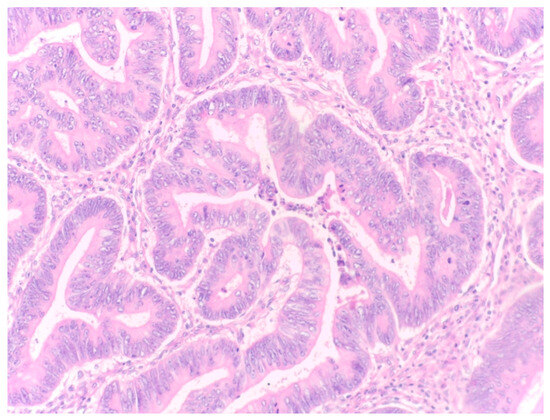
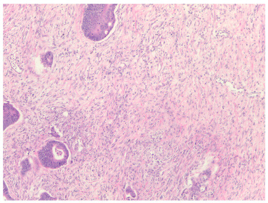
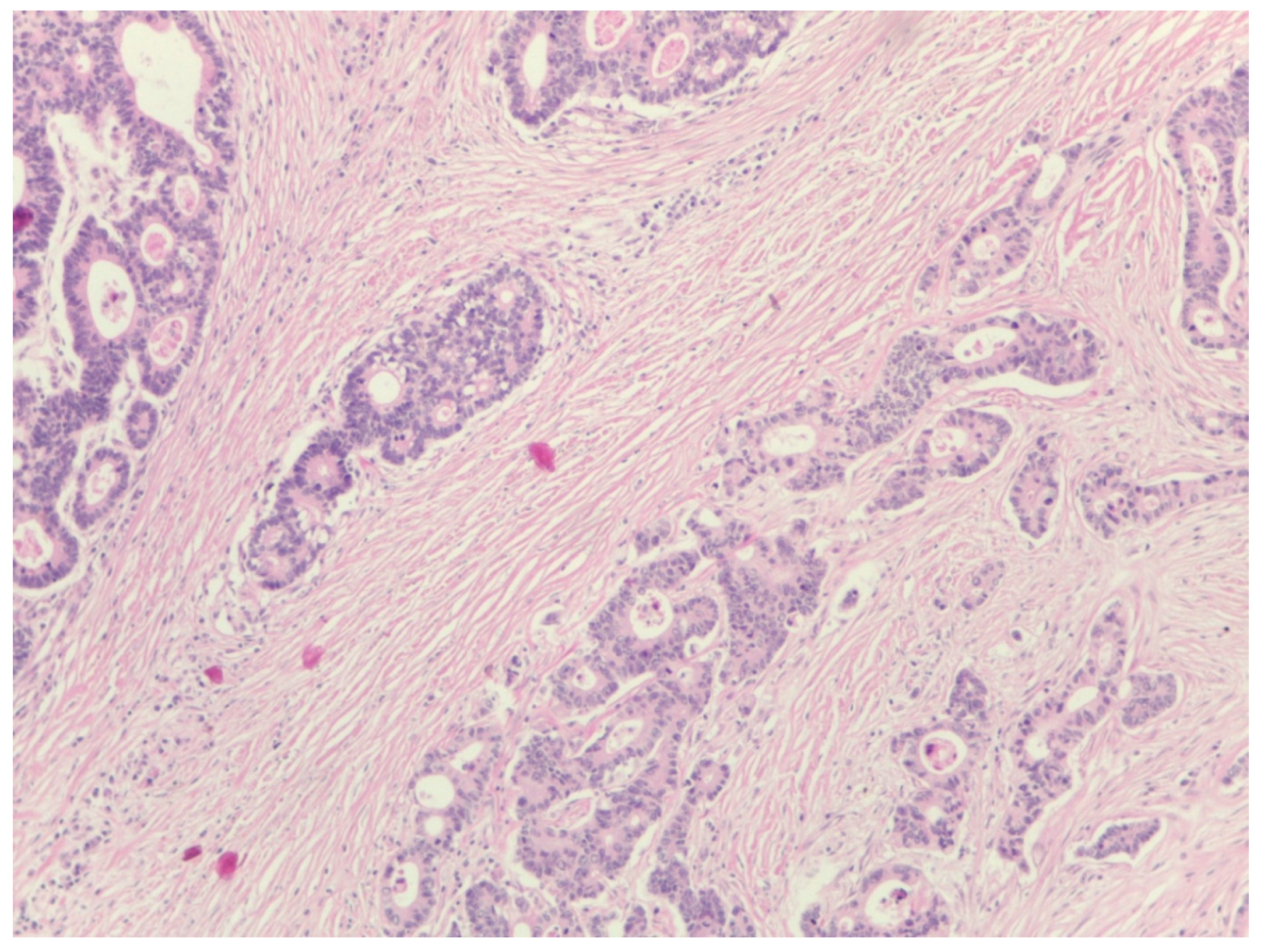
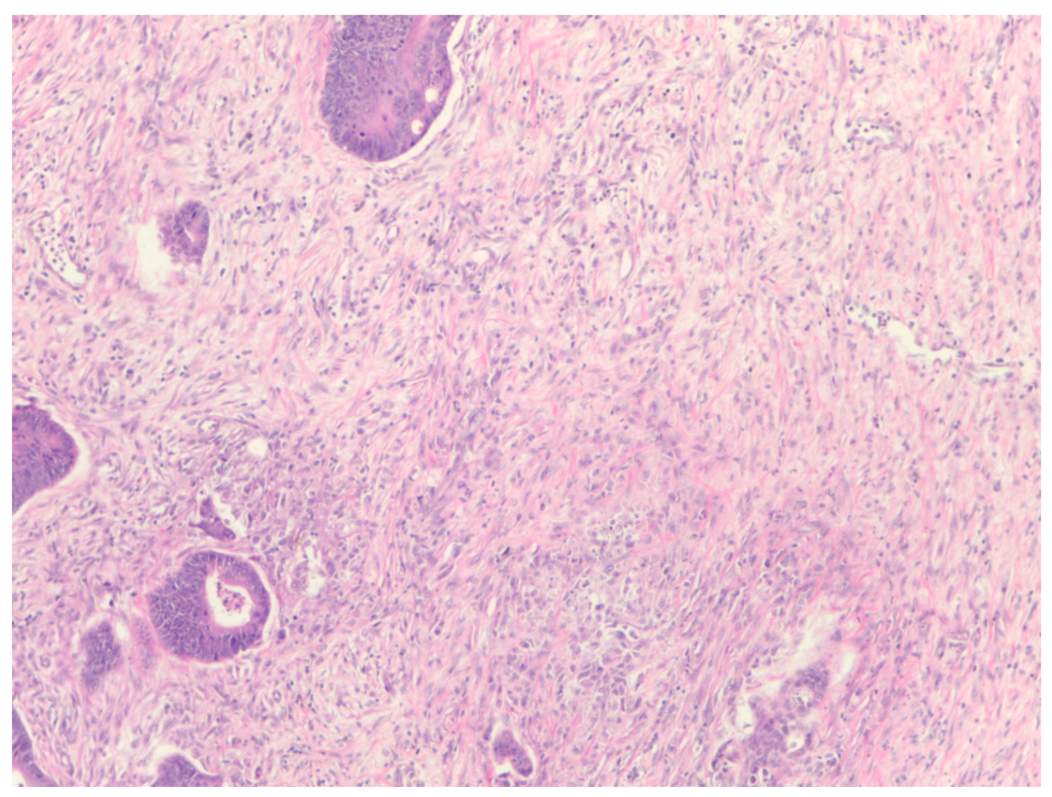
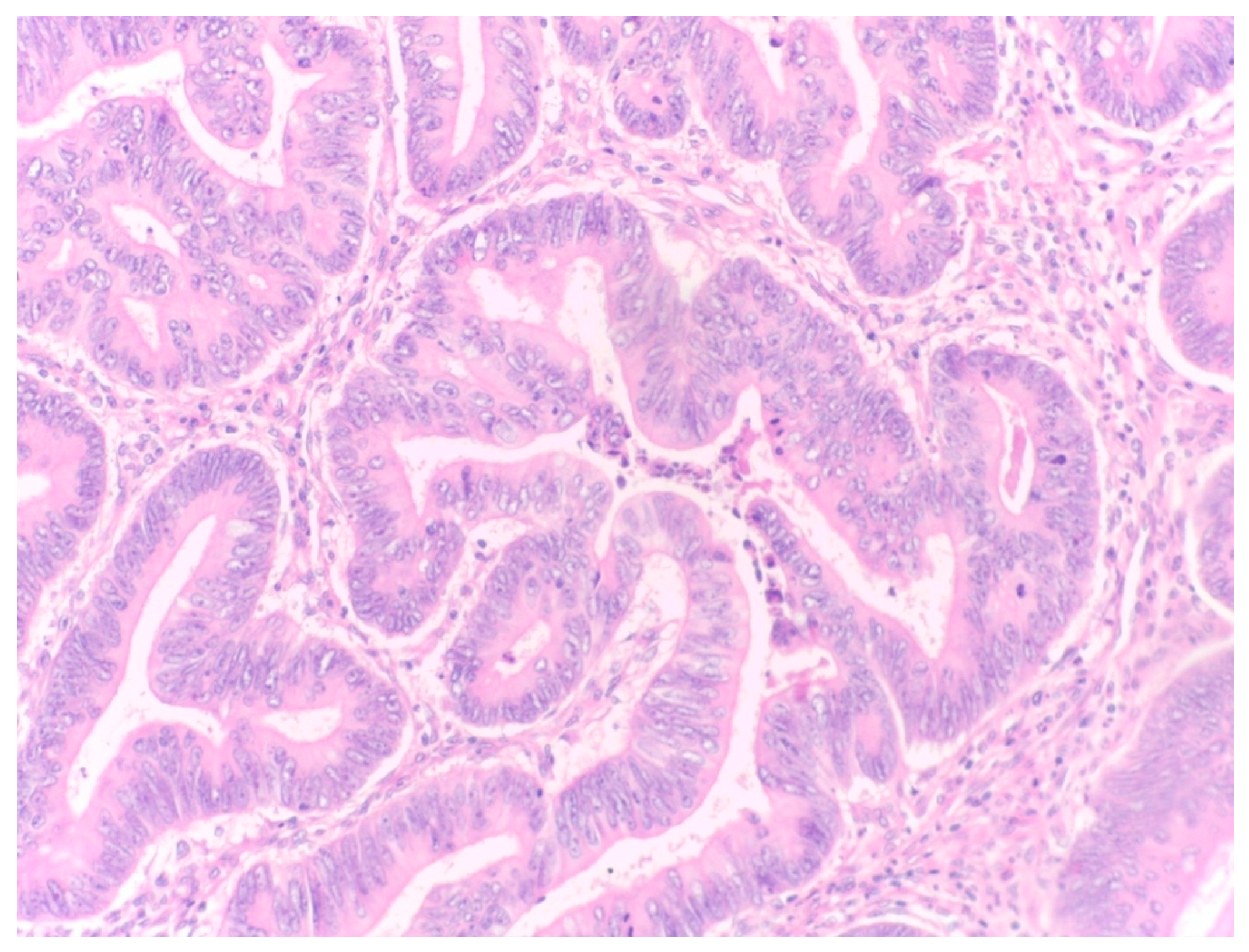
2. Materials and Methods
3. Results
4. Discussion
| Study Team/Author | Negative/Positive Study or Opposite Results | Number of Patients | Comments |
|---|---|---|---|
| The current study, Fekete et al. | Negative | 74 | -cut-off for stroma was 50% and 10%, but analysis was performed at any cut-off -visual analysis at invasion front, one FOV |
| Huijbers et al. [6] | Positive | 710 | -cut-off for stroma was 50% -visual analysis at invasion front, one FOV |
| West et al. [7] | Positive | 145 | -cut-off for stroma was 53% -visual analysis at invasion front, one FOV |
| Park et al. [8] | Positive | 330 | -cut-off for stroma was 50% -visual analysis at invasion front, multiple FOV |
| Micke et al. [9] | Negative | 351 | -analysis performed at any cut-off -machine learning image analysis of whole specimen |
| Dang et al. [17] | Negative | 261 | -only stage pT1, non-pedunculated tumors |
| Martin et al. (1) [19] | Positive and opposite | 206 | -higher than 53% stroma percentage associated with better survival, whereas very high stroma percentage is associated with lower survival |
| Martin et al. (2) [18] | Negative | 445 | -cut-off for stroma was 50% -visual analysis at invasion front |
| Strous et al. [12] | Positive | 201 | -cut-off for stroma was 50% -visual analysis at invasion front |
| Aboelnasr et al. [13] | Positive | 103 | -cut-off for stroma was 50% -visual analysis at invasion front |
| Smit et al. [14] | Positive | 246 | -cut-off for stroma was 50% -visual analysis at invasion front |
| Schiele et al. [15] | Positive | 291 | -cut-off for stroma was 50% -visual and automated analysis -only pT3 and pT4 tumors |
| Kang et al. [16] | Positive | 266 | -cut-off for stroma was 50% -visual analysis at invasion front -included mucinous tumors |
| Zhao et al. [20] | Positive | 814 | -cut-off for stroma was 48.8% -both human and automated measurements |
| Eriksen et al. [21] | Positive | 573 | -cut-off for stroma was 50% and 75% -visual analysis at invasion front |
5. Conclusions
Author Contributions
Funding
Institutional Review Board Statement
Informed Consent Statement
Data Availability Statement
Acknowledgments
Conflicts of Interest
References
- Bremnes, R.M.; Dønnem, T.; Al-Saad, S.; Al-Shibli, K.; Andersen, S.; Sirera, R.; Camps, C.; Marinez, I.; Busund, L.-T. The role of tumor stroma in cancer progression and prognosis: Emphasis on carcinoma-associated fibroblasts and non-small cell lung cancer. J. Thorac. Oncol. 2011, 6, 209–217. [Google Scholar] [CrossRef] [PubMed]
- Sung, H.; Ferlay, J.; Siegel, R.L.; Laversanne, M.; Soerjomataram, I.; Jemal, A.; Bray, F. Global cancer statistics 2020: GLOBOCAN estimates of incidence and mortality worldwide for 36 cancers in 185 countries. CA Cancer J. Clin. 2021, 71, 209–249. [Google Scholar] [CrossRef] [PubMed]
- Gao, J.; Shen, Z.; Deng, Z.; Mei, L. Impact of Tumor-Stroma Ratio on the Prognosis of Colorectal Cancer: A Systematic Review. Front. Oncol. 2021, 11, 738080. [Google Scholar] [CrossRef] [PubMed]
- Wu, J.-P.; Huang, W.-B.; Zhou, H.; Xu, L.-W.; Zhao, J.-H.; Zhu, J.-G.; Su, J.-H.; Sun, H.-B. Intensity of stromal changes is associated with tumor relapse in clinically advanced prostate cancer after castration therapy. Asian J. Androl. 2014, 16, 710–714. [Google Scholar] [CrossRef] [PubMed]
- Togano, S.; Yashiro, M.; Miki, Y.; Yamamoto, Y.; Sera, T.; Kushitani, Y.; Sugimoto, A.; Kushiyama, S.; Nishimura, S.; Kuroda, K.; et al. Microscopic distance from tumor invasion front to serosa might be a useful predictive factor for peritoneal recurrence after curative resection of T3-gastric cancer. PLoS ONE 2020, 15, e0225958. [Google Scholar] [CrossRef]
- Huijbers, A.; Tollenaar, R.A.E.M.; v Pelt, G.W.; Zeestraten, E.C.M.; Dutton, S.; McConkey, C.C.; Domingo, E.; Smit, V.T.H.B.M.; Midgley, R.; Warren, B.F.; et al. The proportion of tumor-stroma as a strong prognosticator for stage II and III colon cancer patients: Validation in the VICTOR trial. Ann Oncol. 2013, 24, 179–185. [Google Scholar] [CrossRef] [PubMed]
- West, N.P.; Dattani, M.; McShane, P.; Hutchins, G.; Grabsch, J.; Mueller, W.; Treanor, D.; Quirke, P.; Grabsch, H. The proportion of tumour cells is an independent predictor for survival in colorectal cancer patients. Br. J. Cancer 2010, 102, 1519–1523. [Google Scholar] [CrossRef] [PubMed]
- Park, J.H.; Richards, C.H.; McMillan, D.C.; Horgan, P.G.; Roxburgh, C.S.D. The relationship between tumour stroma percentage, the tumour microenvironment and survival in patients with primary operable colorectal cancer. Ann. Oncol. 2014, 25, 644–651. [Google Scholar] [CrossRef]
- Micke, P.; Strell, C.; Mattsson, J.; Martín-Bernabé, A.; Brunnström, H.; Huvila, J.; Sund, M.; Wärnberg, F.; Ponten, F.; Glimelius, B.; et al. The prognostic impact of the tumour stroma fraction: A machine learning-based analysis in 16 human solid tumour types. EBioMedicine 2021, 65, 103269. [Google Scholar] [CrossRef]
- Rani, P.; Gupta, A.; Mehrol, C.; Singh, M.; Khurana, N.; Passey, J. Clinicopathological correlation of tumor-stroma ratio and inflammatory cell infiltrate with tumor grade and lymph node metastasis in squamous cell carcinoma of buccal mucosa and tongue in 41 cases with review of literature. J. Cancer Res. Ther. 2020, 16, 45–451. [Google Scholar] [CrossRef]
- van Pelt, G.W.; Kjær-Frifeldt, S.; van Krieken, J.H.J.M.; Al Dieri, R.; Morreau, H.; Tollenaar, R.A.E.M.; Sørensen, F.B.; Mesker, W.E. Scoring the tumor-stroma ratio in colon cancer: Procedure and recommendations. Virchows Arch. 2018, 473, 405–412. [Google Scholar] [CrossRef] [PubMed]
- Strous, M.T.A.; van der Linden, R.L.A.; Gubbels, A.L.H.M.; Faes, T.K.E.; Bosscha, K.; Bronkhorst, C.M.; Janssen-Heijnen, M.L.G.; de Bruïne, A.P.; Vogelaar, F.J. Node-negative colon cancer: Histological, molecular, and stromal features predicting disease recurrence. Mol. Med. 2023, 29, 77. [Google Scholar] [CrossRef] [PubMed]
- Aboelnasr, L.S.; El-Rebey, H.S.; Mohamed, A.; Abdou, A.G. The Prognostic Impact of Tumor Border Configuration, Tumor Budding and Tumor Stroma Ratio in Colorectal Carcinoma. Turk. Patoloji Derg. 2023, 39, 83–93. [Google Scholar] [CrossRef] [PubMed]
- Smit, M.A.; van Pelt, G.W.; Terpstra, V.; Putter, H.; Tollenaar, R.A.E.M.; Mesker, W.E.; van Krieken, J.H.J.M. Tumour-stroma ratio outperforms tumour budding as biomarker in colon cancer: A cohort study. Int. J. Colorectal Dis. 2021, 36, 2729–2737. [Google Scholar] [CrossRef] [PubMed]
- Schiele, S.; Arndt, T.T.; Martin, B.; Miller, S.; Bauer, S.; Banner, B.M.; Brendel, E.-M.; Schenkirsch, G.; Anthuber, M.; Huss, R.; et al. Deep Learning Prediction of Metastasis in Locally Advanced Colon Cancer Using Binary Histologic Tumor Images. Cancers 2021, 13, 2074. [Google Scholar] [CrossRef] [PubMed]
- Kang, G.; Pyo, J.S.; Kim, N.Y.; Kang, D.W. Clinicopathological Significances of Tumor-Stroma Ratio (TSR) in Colorectal Cancers: Prognostic Implication of TSR Compared to Hypoxia-Inducible Factor-1α Expression and Microvessel Density. Curr. Oncol. 2021, 28, 1314–1324. [Google Scholar] [CrossRef] [PubMed]
- Dang, H.; van Pelt, G.W.; Haasnoot, K.J.; Backes, Y.; Elias, S.G.; Seerden, T.C.J.; Schwartz, M.P.; Spanier, B.W.M.; de Vos Tot Nederveen Cappel, W.H.; van Bergeijk, J.D.; et al. Tumour-stroma ratio has poor prognostic value in non-pedunculated T1 colorectal cancer: A multi-centre case-cohort study. United Eur. Gastroenterol. J. 2020, 9, 2050640620975324. [Google Scholar] [CrossRef]
- Martin, B.; Grosser, B.; Kempkens, L.; Miller, S.; Bauer, S.; Dhillon, C.; Banner, B.M.; Brendel, E.-M.; Sipos, É.; Vlasenko, D.; et al. Stroma AReactive Invasion Front Areas (SARIFA)-A New Easily to Determine Biomarker in Colon Cancer-Results of a Retrospective Study. Cancers 2021, 13, 4880. [Google Scholar] [CrossRef] [PubMed]
- Martin, B.; Banner, B.M.; Schäfer, E.M.; Mayr, P.; Anthuber, M.; Schenkirsch, G.; Märkl, B. Tumor proportion in colon cancer: Results from a semiautomatic image analysis approach. Virchows Arch. 2020, 477, 185–193. [Google Scholar] [CrossRef]
- Zhao, K.; Li, Z.; Yao, S.; Wang, Y.; Wu, X.; Xu, Z.; Wu, L.; Huang, Y.; Liang, C.; Liu, Z. Artificial intelligence quantified tumour-stroma ratio is an independent predictor for overall survival in resectable colorectal cancer. EBioMedicine 2020, 61, 103054. [Google Scholar] [CrossRef]
- Eriksen, A.C.; Sørensen, F.B.; Lindebjerg, J.; Hager, H.; Christensen, R.D.; Kjær-Frifeldt, S.; Hansen, T.F. The prognostic value of tumour stroma ratio and tumour budding in stage II colon cancer. A nationwide population-based study. Int. J. Colorectal Dis. 2018, 33, 1115–1124. [Google Scholar] [CrossRef] [PubMed]
- Catteau, X.; Simon, P.; Jondet, M.; Vanhaeverbeek, M.; Noël, J.C. Quantification of stromal reaction in breast carcinoma and its correlation with tumor grade and free progression survival. PLoS ONE 2019, 14, e0210263. [Google Scholar] [CrossRef] [PubMed]
- Isella, C.; Terrasi, A.; Bellomo, S.E.; Petti, C.; Galatola, G.; Muratore, A.; Mellano, A.; Senetta, R.; Cassenti, A.; Sonetto, C.; et al. Stromal contribution to the colorectal cancer transcriptome. Nat. Genet. 2015, 47, 312–319. [Google Scholar] [CrossRef] [PubMed]
- Mezheyeuski, A.; Segersten, U.; Leiss, L.W.; Malmström, P.-U.; Hatina, J.; Östman, A.; Strell, C. Fibroblasts in urothelial bladder cancer define stroma phenotypes that are associated with clinical outcome. Sci. Rep. 2020, 10, 281. [Google Scholar] [CrossRef] [PubMed]
- Herrera, M.; Berral-González, A.; López-Cade, I.; Galindo-Pumariño, C.; Bueno-Fortes, S.; Martín-Merino, M.; Carrato, A.; Ocaña, A.; De La Pinta, C.; López-Alfonso, A.; et al. Cancer-associated fibroblast-derived gene signatures determine prognosis in colon cancer patients. Mol. Cancer 2021, 20, 73. [Google Scholar] [CrossRef] [PubMed]
- Huang, C.; Chen, Y. Lymphangiogenesis and colorectal cancer. Saudi Med. J. 2017, 38, 237–244. [Google Scholar] [CrossRef] [PubMed]
- Benias, P.C.; Wells, R.G.; Sackey-Aboagye, B.; Klavan, H.; Reidy, J.; Buonocore, D.; Miranda, M.; Kornacki, S.; Wayne, M.; Carr-Locke, D.L.; et al. Structure and distribution of an unrecognized interstitium in human tissues. Sci. Rep. 2018, 8, 4947. [Google Scholar] [CrossRef]
- Cenaj, O.; Allison, D.H.R.; Imam, R.; Zeck, B.; Drohan, L.M.; Chiriboga, L.; Llewellyn, J.; Liu, C.Z.; Park, Y.N.; Wells, R.G.; et al. Evidence for continuity of interstitial spaces across tissue and organ boundaries in humans. Commun. Biol. 2021, 4, 436. [Google Scholar] [CrossRef]
- Liu, B.; Polack, M.; Coudray, N.; Quiros, A.C.; Sakellaropoulos, T.; Crobach, A.S.L.P.; van Krieken, J.H.J.M.; Yuan, K.; Tollenaar, R.A.E.M.; Mesker, W.E.; et al. Self-Supervised Learning Reveals Clinically Relevant Histomorphological Patterns for Therapeutic Strategies in Colon Cancer. bioRxiv 2024. [Google Scholar] [CrossRef]








| Variable | Classifier | Number | (%) |
|---|---|---|---|
| Stage (pTNM, surgical) | IIA | 19 | 25.7 |
| IIB | 3 | 4.1 | |
| IIC | 2 | 2.7 | |
| IIIA | 4 | 5.4 | |
| IIIB | 36 | 48.6 | |
| IIIC | 10 | 13.5 | |
| Subsite | Rectal | 60 | 81.1 |
| Non-rectal | 14 | 18.9 | |
| Adjuvant chemotherapy | Yes | 58 | 78.4 |
| No | 16 | 21.6 | |
| Adjuvant radiotherapy | Yes | 44 | 59.5 |
| No | 30 | 40.5 | |
| Grading | G1 | 17 | 23 |
| G2 | 35 | 47 | |
| G3 | 22 | 30 | |
| Lymphatic invasion | L0 | 36 | 48.6 |
| L1 | 38 | 51.4 | |
| Vascular invasion | V0 | 69 | 93.2 |
| V1 | 5 | 6.8 | |
| Perineural invasion | pNi0 | 58 | 52.4 |
| pNi+ | 16 | 21.6 |
Disclaimer/Publisher’s Note: The statements, opinions and data contained in all publications are solely those of the individual author(s) and contributor(s) and not of MDPI and/or the editor(s). MDPI and/or the editor(s) disclaim responsibility for any injury to people or property resulting from any ideas, methods, instructions or products referred to in the content. |
© 2024 by the authors. Licensee MDPI, Basel, Switzerland. This article is an open access article distributed under the terms and conditions of the Creative Commons Attribution (CC BY) license (https://creativecommons.org/licenses/by/4.0/).
Share and Cite
Fekete, Z.; Ignat, P.; Resiga, A.C.; Todor, N.; Muntean, A.-S.; Resiga, L.; Curcean, S.; Lazar, G.; Gherman, A.; Eniu, D. Unselective Measurement of Tumor-to-Stroma Proportion in Colon Cancer at the Invasion Front—An Elusive Prognostic Factor: Original Patient Data and Review of the Literature. Diagnostics 2024, 14, 836. https://doi.org/10.3390/diagnostics14080836
Fekete Z, Ignat P, Resiga AC, Todor N, Muntean A-S, Resiga L, Curcean S, Lazar G, Gherman A, Eniu D. Unselective Measurement of Tumor-to-Stroma Proportion in Colon Cancer at the Invasion Front—An Elusive Prognostic Factor: Original Patient Data and Review of the Literature. Diagnostics. 2024; 14(8):836. https://doi.org/10.3390/diagnostics14080836
Chicago/Turabian StyleFekete, Zsolt, Patricia Ignat, Amelia Cristina Resiga, Nicolae Todor, Alina-Simona Muntean, Liliana Resiga, Sebastian Curcean, Gabriel Lazar, Alexandra Gherman, and Dan Eniu. 2024. "Unselective Measurement of Tumor-to-Stroma Proportion in Colon Cancer at the Invasion Front—An Elusive Prognostic Factor: Original Patient Data and Review of the Literature" Diagnostics 14, no. 8: 836. https://doi.org/10.3390/diagnostics14080836
APA StyleFekete, Z., Ignat, P., Resiga, A. C., Todor, N., Muntean, A.-S., Resiga, L., Curcean, S., Lazar, G., Gherman, A., & Eniu, D. (2024). Unselective Measurement of Tumor-to-Stroma Proportion in Colon Cancer at the Invasion Front—An Elusive Prognostic Factor: Original Patient Data and Review of the Literature. Diagnostics, 14(8), 836. https://doi.org/10.3390/diagnostics14080836

