Hyoid Bone Fracture Pattern Assessment in the Forensic Field: The Importance of Post Mortem Radiological Imaging
Abstract
1. Introduction
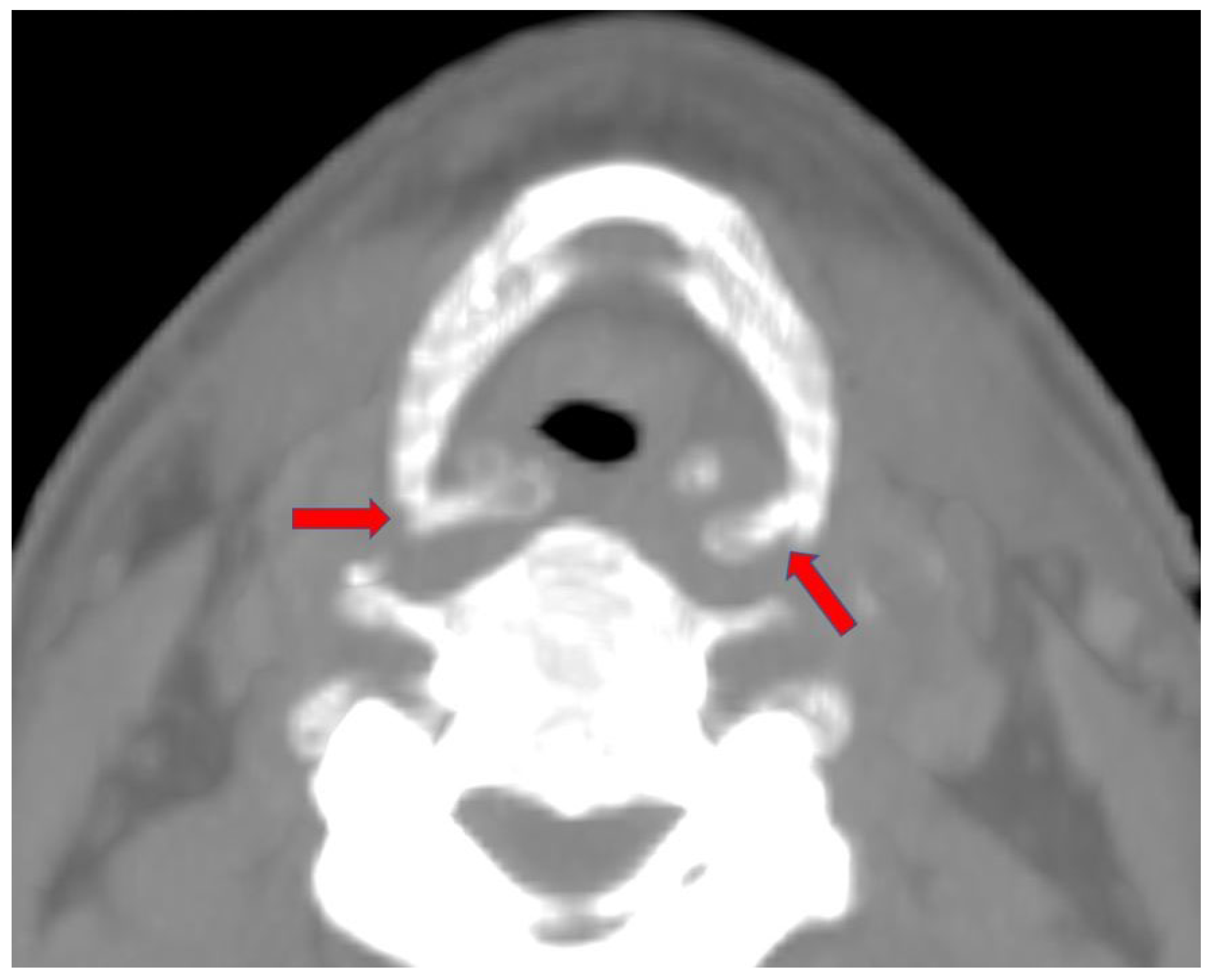
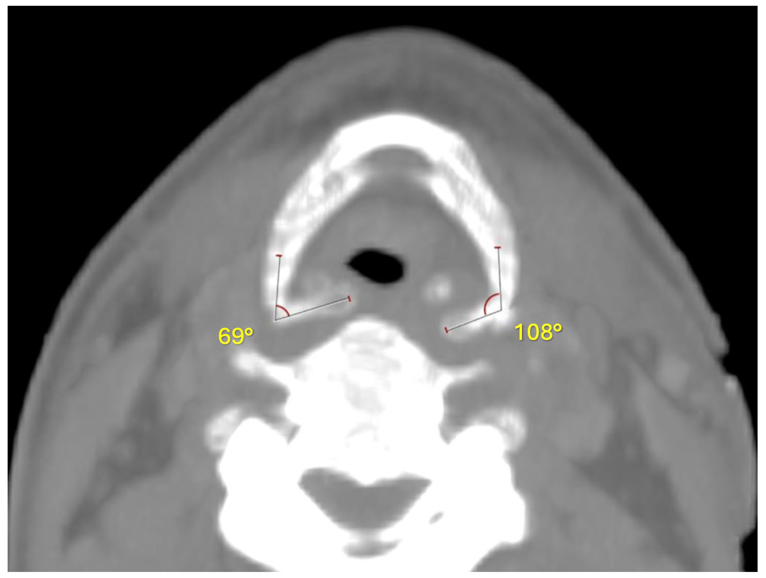
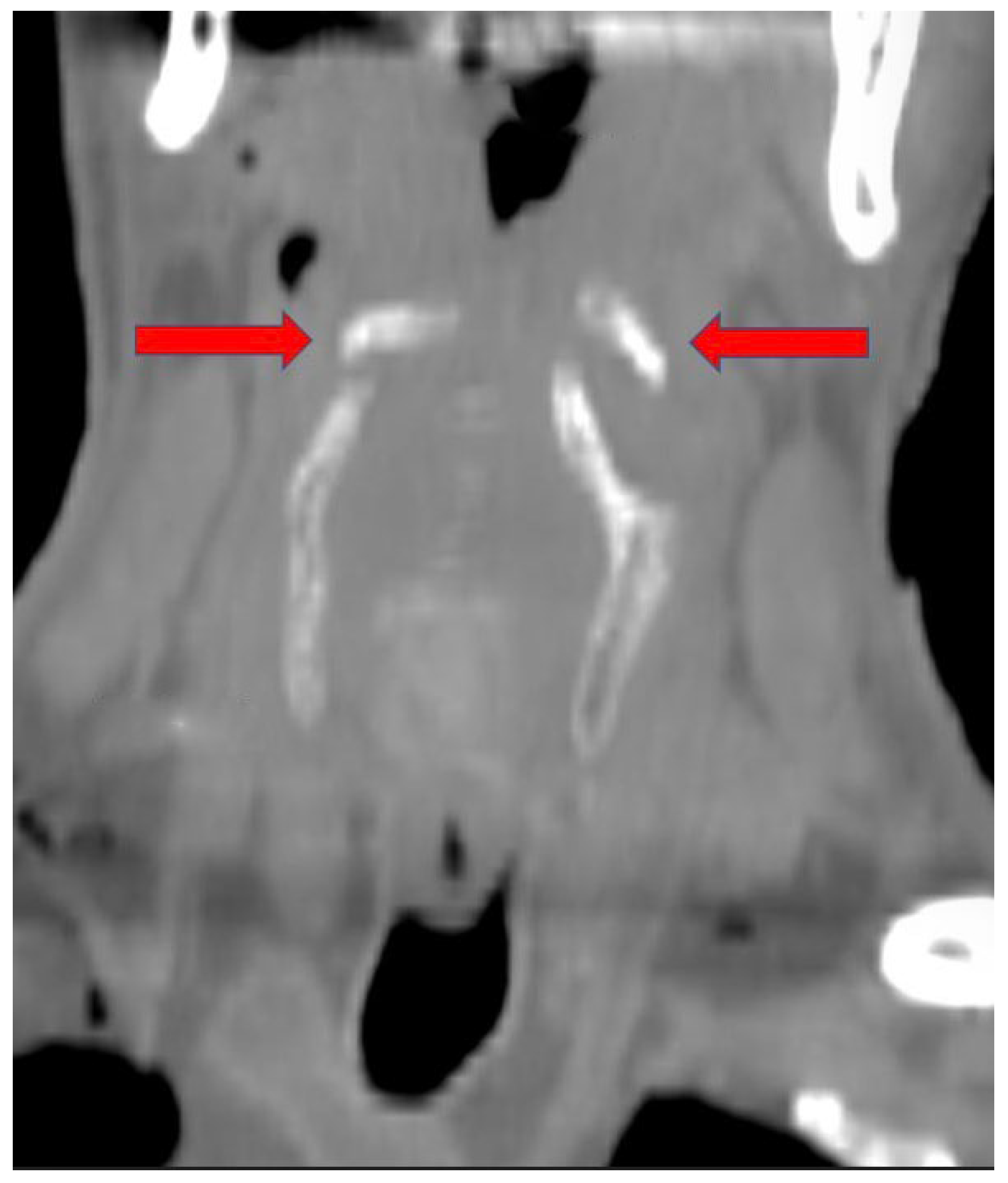
2. Case Report
3. Discussion
4. Conclusions
Author Contributions
Funding
Institutional Review Board Statement
Informed Consent Statement
Data Availability Statement
Conflicts of Interest
References
- Thomsen, A.H.; Leth, P.M.; Hougen, H.P.; Villesen, P. Asphyxia homicides in Denmark 1992–2016. Int. J. Legal Med. 2022, 136, 1773–1780. [Google Scholar] [CrossRef] [PubMed]
- Maiese, A.; Ciallella, C.; Dell’Aquila, M.; De Matteis, A.; Toni, C.; Scatena, A.; La Russa, R.; Mezzetti, E.; Di Paolo, M.; Turillazzi, E.; et al. Cause of Death in Charred Bodies: Reflections and Operational Insights Based on a Large Cases Study. Diagnostics 2022, 12, 1986. [Google Scholar] [CrossRef] [PubMed]
- Sauvageau, A.; Boghossian, E. Classification of asphyxia: The need for standardization. J. Forensic Sci. 2010, 55, 1259–1267. [Google Scholar] [CrossRef] [PubMed]
- Douglas, H.; Fitzgerald, R. Strangulation, domestic violence and the legal response. Syd. Law Rev. 2014, 36, 231–254. [Google Scholar]
- Clément, R.; Redpath, M.; Sauvageau, A. Mechanism of death in hanging: A historical review of the evolution of pathophysiological hypotheses. J. Forensic Sci. 2010, 55, 1268–1271. [Google Scholar] [CrossRef]
- Lee, G.; Hu, K.S. A rare case of ligature strangulation using a dental unit: Distinguishing suicide from homicide in a death scene investigation. J. Forensic Sci. 2022, 67, 2487–2491. [Google Scholar] [CrossRef]
- Yen, K.; Thali, M.J.; Aghayev, E.; Jackowski, C.; Schweitzer, W.; Boesch, C.; Vock, P.; Dirnhofer, R.; Sonnenschein, M. Strangulation signs: Initial correlation of MRI, MSCT, and forensic neck findings. J. Magn. Reason. Imaging 2005, 22, 501–510. [Google Scholar] [CrossRef]
- Tatsumi, S.; Noda, H.; Sugiyama, S. An autopsy case of a charred body which committed suicide after arson. Leg. Med. 2020, 2, 110–114. [Google Scholar] [CrossRef]
- Sano, R.; Hirawasa, S.; Kobayashi, S.; Shimada, T.; Awata, S.; Takei, H.; Otake, H.; Takahashi, K.; Takahashi, Y.; Kominato, Y. Use of postmortem computed tomography to reveal an intraoral gunshot injuries in a charred body. Leg. Med. 2011, 13, 286–288. [Google Scholar] [CrossRef]
- Bohnert, M.; Rost, T.; Pollak, S. The degree of destruction of human bodies in relation to the duration of the fire. Forensic Sci. Int. 1998, 95, 11–21. [Google Scholar] [CrossRef]
- Gascho, D.; Heimer, J.; Tappero, C.; Schaerli, S. Relevant findings on postmortem CT and postmortem MRI in hanging, ligature strangulation and manual strangulation and their additional value compared to autopsy—A systematic review. Forensic Sci. Med. Pathol. 2019, 15, 84–92. [Google Scholar] [CrossRef]
- Auvenshine, R.C.; Pettit, N.J. The hyoid bone: An overview. Cranio 2020, 38, 6–14. [Google Scholar] [CrossRef]
- Grabherr, S.; Egger, C.; Vilarino, R.; Campana, L.; Jotterand, M.; Dedouit, F. Modern post-mortem imaging: An update on recent developments. Forensic Sci. Res. 2017, 2, 52–64. [Google Scholar] [CrossRef]
- Cartocci, G.; Santurro, A.; Neri, M.; Zaccagna, F.; Catalano, C.; La Russa, R.; Turillazzi, E.; Panebianco, V.; Frati, P.; Fineschi, V. Post-mortem computed tomography (PMCT) radiological findings and assessment in advanced decomposed bodies. Radiol. Med. 2019, 124, 1018–1027. [Google Scholar] [CrossRef]
- Mondello, C.; Baldino, G.; Cianci, V.; Gualniera, P.; Sapienza, D.; Asmundo, A.; Ventura Spagnolo, E. Professional liability due to complete esophagus section during thyroidectomy: A rare case report. Gland Surg. 2023, 12, 716–722. [Google Scholar] [CrossRef] [PubMed]
- Ishida, R.; Palmer, J.B.; Hiiemae, K.M. Hyoid motion during swallowing: Factors affecting forward and upward displacement. Dysphagia 2002, 17, 262–272. [Google Scholar] [CrossRef] [PubMed]
- Takahashi, S.; Ono, T.; Ishiwata, Y.; Kuroda, T. Breathing modes, body positions, and suprahyoid muscle activity. J. Orthod. 2002, 29, 307–313. [Google Scholar] [CrossRef][Green Version]
- Sakuma, T.; Kida, I. Relationship between ease of swallowing and deglutition-related muscle activity in various postures. J. Oral Rehabil. 2010, 37, 583–589. [Google Scholar] [CrossRef] [PubMed]
- Ito, K.; Ando, S.; Akiba, N.; Watanabe, Y.; Okuyama, Y.; Moriguchi, H.; Yoshikawa, K.; Takahashi, T.; Shimada, M. Morphological study of the human hyoid bone with three-dimensional CT images—Gender difference and age-related changes. Okajimas Folia Anat. Jpn. 2012, 89, 83–92. [Google Scholar] [CrossRef] [PubMed]
- Lebreton-Chakour, C.; Godio-Raboutet, Y.; Torrents, R.; Chaumoitre, K.; Boval, C.; Bartoli, C.; Adalian, P.; Piercecchi-Marti, M.D.; Thollon, L. Manual strangulation: Experimental approach to the genesis of hyoid bone fractures. Forensic Sci. Int. 2013, 228, 47–51. [Google Scholar] [CrossRef]
- Simonit, F.; Da Broi, U.; Angeli, F.; Innocenti, D.; Desinan, L. A charred body inside a burning car with a garden hose connected to the exhaust pipe: Post-mortem self-immolation, a complex or a complicated suicide after the ingestion of alcohol? The importance of an interdisciplinary approach. J. Forensic Sci. 2024, 69, 341–345. [Google Scholar] [CrossRef] [PubMed]
- Hejna, P.; Bohnert, M.; Janík, M. Unique thermal destruction of the body following suicidal burning. Forensic Sci. Med. Pathol. 2019, 15, 262–266. [Google Scholar] [CrossRef] [PubMed]
- Sully, C.J.; Walker, G.S.; Langlois, N.E.I. Investigation into the potential for post-mortem formation of carboxyhemoglobin in bodies retrieved from fires. Forensic Sci. Med. Pathol. 2018, 14, 342–348. [Google Scholar] [CrossRef] [PubMed]
- Vreman, H.J.; Wong, R.J.; Stevenson, D.K.; Smialek, J.E.; Fowler, D.R.; Li, L.; Vigorito, R.D.; Zielke, H.R. Concentration of carbon monoxide (CO) in postmortem human tissues: Effect of environmental CO exposure. J. Forensic Sci. 2006, 51, 1182–1190. [Google Scholar] [CrossRef]
- Bohnert, M.; Weinmann, W.; Pollak, S. Problems associated with the diagnosis the of vitality in burned bodies. Forensic Sci. Int. 2003, 135, 197–205. [Google Scholar] [CrossRef]
- Zhu, B.L.; Ishikawa, T.; Quan, L.; Oritani, S.; Li, D.R.; Zhao, D.; Michiue, T.; Tsuda, K.; Kamikodai, Y.; Okazaki, S.; et al. Possible factors contributing to the postmortem lung weight in fire fatalities. Leg. Med. 2005, 7, 139–143. [Google Scholar] [CrossRef]
- Wirthwein, D.P.; Pless, J.E. Carboxyhemoglobin levels in a series of automobile fires. Death due to crash or fire? Am. J. Forensic Med. Pathol. 1996, 17, 117–123. [Google Scholar] [CrossRef] [PubMed]
- DiMaio, V.J. Homicidal asphyxia. Am. J. Forensic Med. Pathol. 2000, 21, 1–4. [Google Scholar] [CrossRef] [PubMed]
- Pollanen, M.S.; McAuliffe, D.N. Intra-cartilaginous laryngeal haemorrhages and strangulation. Forensic Sci. Int. 1998, 93, 13–20. [Google Scholar] [CrossRef] [PubMed]





Disclaimer/Publisher’s Note: The statements, opinions and data contained in all publications are solely those of the individual author(s) and contributor(s) and not of MDPI and/or the editor(s). MDPI and/or the editor(s) disclaim responsibility for any injury to people or property resulting from any ideas, methods, instructions or products referred to in the content. |
© 2024 by the authors. Licensee MDPI, Basel, Switzerland. This article is an open access article distributed under the terms and conditions of the Creative Commons Attribution (CC BY) license (https://creativecommons.org/licenses/by/4.0/).
Share and Cite
Cianci, V.; Mondello, C.; Cracò, A.; Cianci, A.; Bottari, A.; Gualniera, P.; Gaeta, M.; Asmundo, A.; Sapienza, D. Hyoid Bone Fracture Pattern Assessment in the Forensic Field: The Importance of Post Mortem Radiological Imaging. Diagnostics 2024, 14, 674. https://doi.org/10.3390/diagnostics14070674
Cianci V, Mondello C, Cracò A, Cianci A, Bottari A, Gualniera P, Gaeta M, Asmundo A, Sapienza D. Hyoid Bone Fracture Pattern Assessment in the Forensic Field: The Importance of Post Mortem Radiological Imaging. Diagnostics. 2024; 14(7):674. https://doi.org/10.3390/diagnostics14070674
Chicago/Turabian StyleCianci, Vincenzo, Cristina Mondello, Annalisa Cracò, Alessio Cianci, Antonio Bottari, Patrizia Gualniera, Michele Gaeta, Alessio Asmundo, and Daniela Sapienza. 2024. "Hyoid Bone Fracture Pattern Assessment in the Forensic Field: The Importance of Post Mortem Radiological Imaging" Diagnostics 14, no. 7: 674. https://doi.org/10.3390/diagnostics14070674
APA StyleCianci, V., Mondello, C., Cracò, A., Cianci, A., Bottari, A., Gualniera, P., Gaeta, M., Asmundo, A., & Sapienza, D. (2024). Hyoid Bone Fracture Pattern Assessment in the Forensic Field: The Importance of Post Mortem Radiological Imaging. Diagnostics, 14(7), 674. https://doi.org/10.3390/diagnostics14070674

