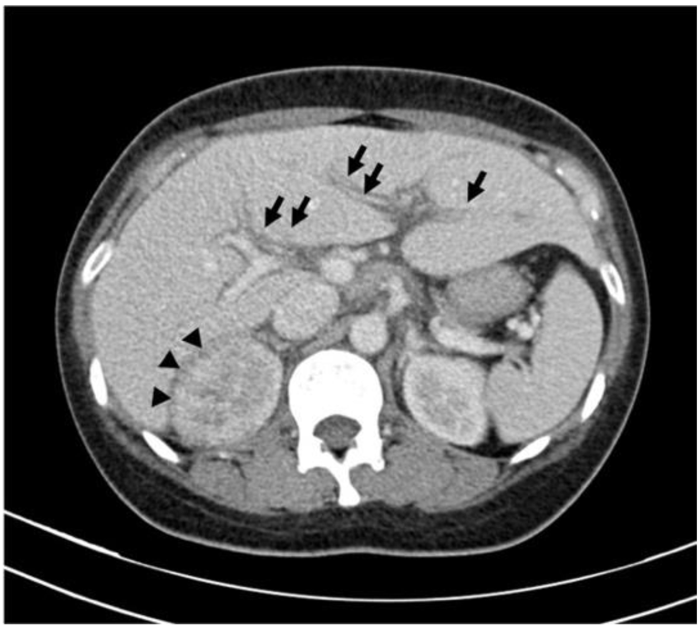
Periportal Edema as an Extrarenal Manifestation of Acute Pyelonephritis
Abstract

Funding
Institutional Review Board Statement
Informed Consent Statement
Data Availability Statement
Conflicts of Interest
References
- El-Ghar, M.A.; Farg, H.; Sharaf, D.E.; El-Diasty, T. CT and MRI in Urinary Tract Infections: A Spectrum of Different Imaging Findings. Medicina 2021, 57, 32. [Google Scholar] [CrossRef] [PubMed]
- Campos, F.d.A.; Rosas, G.d.Q.; Goldenberg, D.; Szarf, G.; D’Ippolito, G. Acute pyelonephritis: Frequency of findings in patients submitted to computed tomography*. Radiol. Bras. 2007, 40, 309–314. [Google Scholar] [CrossRef]
- Zissin, R.; Osadchy, A.; Gayer, G.; Kitay-Cohen, Y. Extrarenal manifestations of severe acute pyelonephritis: CT findings in 21 cases. Emerg. Radiol. 2006, 13, 73–77. [Google Scholar] [CrossRef] [PubMed]
- Karcaaltincaba, M.; Haliloglu, M.; Akpinar, E.; Akata, D.; Ozmen, M.; Ariyurek, M.; Akhan, O. Multidetector CT and MRI findings in periportal space pathologies. Eur. J. Radiol. 2007, 61, 3–10. [Google Scholar] [CrossRef] [PubMed]
- Shin, J.S.; Sung, D.J.; Park, B.J.; Kim, M.J.; Cho, S.B.; Han, N.Y.; Lee, N.J. Gallbladder Wall Thickening and Periportal Tracking on CT in Patients with Acute Pyelonephritis. J. Korean Soc. Radiol. 2012, 67, 381–386. [Google Scholar] [CrossRef]
- Vollmann, R.; Schaffler, G.J.; Spreizer, C.; Quehenberger, F.; Schoellnast, H. Clinical significance of periportal tracking as an extrarenal manifestation of acute pyelonephritis. Abdom. Imaging 2011, 36, 557–560. [Google Scholar] [CrossRef] [PubMed]
Disclaimer/Publisher’s Note: The statements, opinions and data contained in all publications are solely those of the individual author(s) and contributor(s) and not of MDPI and/or the editor(s). MDPI and/or the editor(s) disclaim responsibility for any injury to people or property resulting from any ideas, methods, instructions or products referred to in the content. |
© 2024 by the authors. Licensee MDPI, Basel, Switzerland. This article is an open access article distributed under the terms and conditions of the Creative Commons Attribution (CC BY) license (https://creativecommons.org/licenses/by/4.0/).
Share and Cite
Chang, Y.-Y.; Kuo, K.-H. Periportal Edema as an Extrarenal Manifestation of Acute Pyelonephritis. Diagnostics 2024, 14, 638. https://doi.org/10.3390/diagnostics14060638
Chang Y-Y, Kuo K-H. Periportal Edema as an Extrarenal Manifestation of Acute Pyelonephritis. Diagnostics. 2024; 14(6):638. https://doi.org/10.3390/diagnostics14060638
Chicago/Turabian StyleChang, Yu-Yun, and Kuei-Hong Kuo. 2024. "Periportal Edema as an Extrarenal Manifestation of Acute Pyelonephritis" Diagnostics 14, no. 6: 638. https://doi.org/10.3390/diagnostics14060638
APA StyleChang, Y.-Y., & Kuo, K.-H. (2024). Periportal Edema as an Extrarenal Manifestation of Acute Pyelonephritis. Diagnostics, 14(6), 638. https://doi.org/10.3390/diagnostics14060638

