Fatal Deterioration of a Respiratory Syncytial Virus Infection in an Infant with Abnormal Muscularization of Intra-Acinar Pulmonary Arteries: Autopsy and Histological Findings
Abstract
1. Introduction
2. Case Report
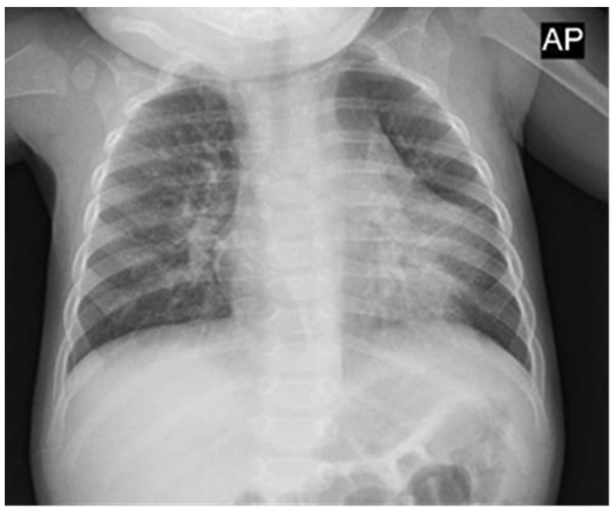
2.1. Clinical Evolution
2.2. Autopsy Findings
2.3. Histological Findings
3. Discussion
4. Conclusions
Author Contributions
Funding
Institutional Review Board Statement
Informed Consent Statement
Data Availability Statement
Conflicts of Interest
References
- Griffiths, C.; Drews, S.J.; Marchant, D.J. Respiratory Syncytial Virus: Infection, Detection, and New Options for Prevention and Treatment. Clin. Microbiol. Rev. 2017, 30, 277–319. [Google Scholar] [CrossRef]
- Obando-Pacheco, P.; Justicia-Grande, A.J.; Rivero-Calle, I.; Rodríguez-Tenreiro, C.; Sly, P.; Ramilo, O.; Mejías, A.; Baraldi, E.; Papadopoulos, N.G.; Nair, H.; et al. Respiratory Syncytial Virus Seasonality: A Global Overview. J. Infect. Dis. 2018, 217, 1356–1364. [Google Scholar] [CrossRef]
- Bawage, S.S.; Tiwari, P.M.; Pillai, S.; Dennis, V.; Singh, S.R. Recent advances in diagnosis, prevention, and treatment of human respiratory syncytial virus. Adv. Virol. 2013, 2013, 595768. [Google Scholar] [CrossRef]
- Chatterjee, A.; Mavunda, K.; Krilov, L.R. Current State of Respiratory Syncytial Virus Disease and Management. Infect. Dis. Ther. 2021, 10 (Suppl. S1), 5–16. [Google Scholar] [CrossRef]
- Barr, R.; Green, C.A.; Sande, C.J.; Drysdale, S.B. Respiratory syncytial virus: Diagnosis, prevention and management. Ther. Adv. Infect. Dis. 2019, 6, 2049936119865798. [Google Scholar] [CrossRef] [PubMed]
- Stein, R.T.; Bont, L.J.; Zar, H.; Polack, F.P.; Park, C.; Claxton, A.; Borok, G.; Butylkova, Y.; Wegzyn, C. Respiratory syncytial virus hospitalization and mortality: Systematic review and meta-analysis. Pediatr. Pulmonol. 2017, 52, 556–569. [Google Scholar] [CrossRef] [PubMed]
- Murray, J.; Bottle, A.; Sharland, M.; Modi, N.; Aylin, P.; Majeed, A.; Saxena, S.; Medicines for Neonates Investigator Group. Risk factors for hospital admission with RSV bronchiolitis in England: A population-based birth cohort study. PLoS ONE 2014, 9, e89186. [Google Scholar] [CrossRef] [PubMed]
- Hall, C.B.; Weinberg, G.A.; Blumkin, A.K.; Edwards, K.M.; Staat, M.A.; Schultz, A.F.; Poehling, K.A.; Szilagyi, P.G.; Griffin, M.R.; Williams, J.V.; et al. Respiratory syncytial virus-associated hospitalizations among children less than 24 months of age. Pediatrics 2013, 132, e341–e348. [Google Scholar] [CrossRef] [PubMed]
- Ikeda, T.; Tani, N.; Aoki, Y.; Shida, A.; Morioka, F.; Ishikawa, T. Immunohistochemical detection of respiratory syncytial virus at autopsy. Pediatr. Int. 2019, 61, 781–791. [Google Scholar] [CrossRef] [PubMed]
- Tanabe, M.; Maeda, K.; Usumoto, Y.; Kuninaka, H.; Mukai, M.; Nasu, A.; Fuke, C.; Ihama, Y. Quantitative analysis of respiratory viral distribution in forensic autopsy cases. Forensic Sci. Int. 2022, 339, 111419. [Google Scholar] [CrossRef] [PubMed]
- Samuels, M. Viruses and sudden infant death. Paediatr. Respir. Rev. 2003, 4, 178–183. [Google Scholar] [CrossRef]
- Kakimoto, Y.; Seto, Y.; Ochiai, E.; Satoh, F.; Osawa, M. Cytokine Elevation in Sudden Death With Respiratory Syncytial Virus: A Case Report of 2 Children. Pediatrics 2016, 138, e20161293. [Google Scholar] [CrossRef] [PubMed]
- Xu, L.; Gao, H.; Zeng, J.; Liu, J.; Lu, C.; Guan, X.; Qian, S.; Xie, Z. A fatal case associated with respiratory syncytial virus infection in a young child. BMC Infect. Dis. 2018, 18, 217. [Google Scholar] [CrossRef] [PubMed]
- Bottino, P.; Miglino, R.; Pastrone, L.; Barbui, A.M.; Botta, G.; Zanotto, E.; Sidoti, F.; Costa, C.; Cavallo, R. Clinical features of respiratory syncytial virus bronchiolitis in an infant: Rapid and fatal brain involvement. BMC Pediatr. 2021, 21, 556. [Google Scholar] [CrossRef] [PubMed]
- Joshi, A.; Mittal, P.; Rai, A.M.; Verma, R.; Bhandari, B.; Razdan, S. Variations in Pulmonary Fissure: A Source of Collateral Ventilation and Its Clinical Significance. Cureus 2022, 14, e23121. [Google Scholar] [CrossRef]
- West, C.T.; Slim, N.; Steele, D.; Chowdhury, A.; Brassett, C. Are textbook lungs really normal? A cadaveric study on the anatomical and clinical importance of variations in the major lung fissures, and the incomplete right horizontal fissure. Clin. Anat. 2021, 34, 387–396. [Google Scholar] [CrossRef]
- Tarver, R.D. How common are incomplete pulmonary fissures, and what is their clinical significance? AJR Am. J. Roentgenol. 1995, 164, 761. [Google Scholar] [CrossRef]
- Haworth, S.G.; Hislop, A.A. Lung development—The effects of chronic hypoxia. Semin. Neonatol. 2003, 8, 1–8. [Google Scholar] [CrossRef]
- Steurer, M.A.; Jelliffe-Pawlowski, L.L.; Baer, R.J.; Partridge, J.C.; Rogers, E.E.; Keller, R.L. Persistent Pulmonary Hypertension of the Newborn in Late Preterm and Term Infants in California. Pediatrics 2017, 139, e20161165. [Google Scholar] [CrossRef] [PubMed]
- Konduri, G.G.; Vohr, B.; Robertson, C.; Sokol, G.M.; Solimano, A.; Singer, J.; Ehrenkranz, R.A.; Singhal, N.; Wright, L.L.; Van Meurs, K.; et al. Early inhaled nitric oxide therapy for term and near-term newborn infants with hypoxic respiratory failure: Neurodevelopmental follow-up. J. Pediatr. 2007, 150, 235–240.e1. [Google Scholar] [CrossRef] [PubMed]
- Mandell, E.; Kinsella, J.P.; Abman, S.H. Persistent pulmonary hypertension of the newborn. Pediatr. Pulmonol. 2021, 56, 661–669. [Google Scholar] [CrossRef]
- Zainun, K.; Hope, K.; Nicholson, A.G.; Cohen, M.C. Abnormal muscularization of intra-acinar pulmonary arteries in two cases presenting as sudden infant death. Pediatr. Dev. Pathol. 2017, 20, 49–53. [Google Scholar] [CrossRef]
- Singh, Y.; Lakshminrusimha, S. Pathophysiology and Management of Persistent Pulmonary Hypertension of the Newborn. Clin. Perinatol. 2021, 48, 595–618. [Google Scholar] [CrossRef] [PubMed]
- Ohara, T.; Ogata, H.; Tezuka, F. Histological study of pulmonary vasculature in fatal cases of persistent pulmonary hypertension of the newborn. Tohoku J. Exp. Med. 1991, 164, 59–66. [Google Scholar] [CrossRef] [PubMed][Green Version]
- Krous, H.F.; Haas, E.; Hampton, C.F.; Chadwick, A.E.; Stanley, C.; Langston, C. Pulmonary arterial medial smooth muscle thickness in sudden infant death syndrome: An analysis of subsets of 73 cases. Forensic Sci. Med. Pathol. 2009, 5, 261–268. [Google Scholar] [CrossRef] [PubMed][Green Version]









Disclaimer/Publisher’s Note: The statements, opinions and data contained in all publications are solely those of the individual author(s) and contributor(s) and not of MDPI and/or the editor(s). MDPI and/or the editor(s) disclaim responsibility for any injury to people or property resulting from any ideas, methods, instructions or products referred to in the content. |
© 2024 by the authors. Licensee MDPI, Basel, Switzerland. This article is an open access article distributed under the terms and conditions of the Creative Commons Attribution (CC BY) license (https://creativecommons.org/licenses/by/4.0/).
Share and Cite
Salfi, N.C.M.; Vergine, G.; Poloni, M.; Metalli, S.; Bigucci, B.; Facondini, F.; Pedrazzi, G.; Masciopinto, F.; Bernabè, L.; Sambri, V.; et al. Fatal Deterioration of a Respiratory Syncytial Virus Infection in an Infant with Abnormal Muscularization of Intra-Acinar Pulmonary Arteries: Autopsy and Histological Findings. Diagnostics 2024, 14, 601. https://doi.org/10.3390/diagnostics14060601
Salfi NCM, Vergine G, Poloni M, Metalli S, Bigucci B, Facondini F, Pedrazzi G, Masciopinto F, Bernabè L, Sambri V, et al. Fatal Deterioration of a Respiratory Syncytial Virus Infection in an Infant with Abnormal Muscularization of Intra-Acinar Pulmonary Arteries: Autopsy and Histological Findings. Diagnostics. 2024; 14(6):601. https://doi.org/10.3390/diagnostics14060601
Chicago/Turabian StyleSalfi, Nunzio Cosimo Mario, Gianluca Vergine, Maurizio Poloni, Sara Metalli, Barbara Bigucci, Francesca Facondini, Gianmatteo Pedrazzi, Francesca Masciopinto, Laura Bernabè, Vittorio Sambri, and et al. 2024. "Fatal Deterioration of a Respiratory Syncytial Virus Infection in an Infant with Abnormal Muscularization of Intra-Acinar Pulmonary Arteries: Autopsy and Histological Findings" Diagnostics 14, no. 6: 601. https://doi.org/10.3390/diagnostics14060601
APA StyleSalfi, N. C. M., Vergine, G., Poloni, M., Metalli, S., Bigucci, B., Facondini, F., Pedrazzi, G., Masciopinto, F., Bernabè, L., Sambri, V., & Bonasoni, M. P. (2024). Fatal Deterioration of a Respiratory Syncytial Virus Infection in an Infant with Abnormal Muscularization of Intra-Acinar Pulmonary Arteries: Autopsy and Histological Findings. Diagnostics, 14(6), 601. https://doi.org/10.3390/diagnostics14060601

