Cutting-Edge Strategies for Renal Tumour-like Lesions in Granulomatosis with Polyangiitis: A Systematic Review
Abstract
1. Introduction
2. Methods
2.1. Information Sources and Search Strategy
2.2. Inclusion and Exclusion Criteria
2.3. Data Extraction
2.4. Risk of Bias Assessment
3. Results
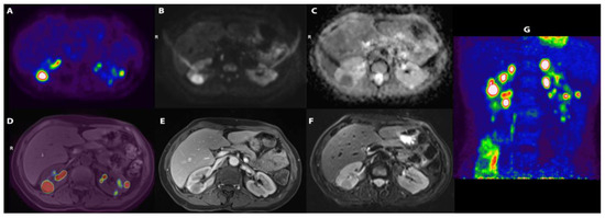
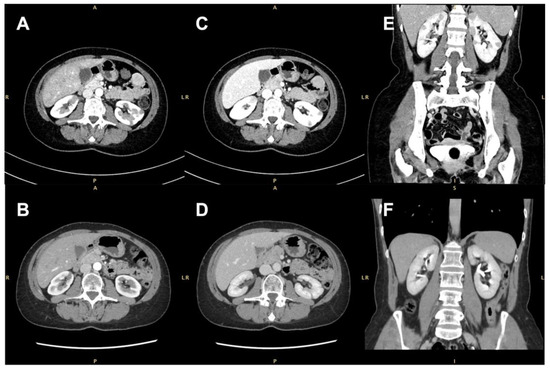
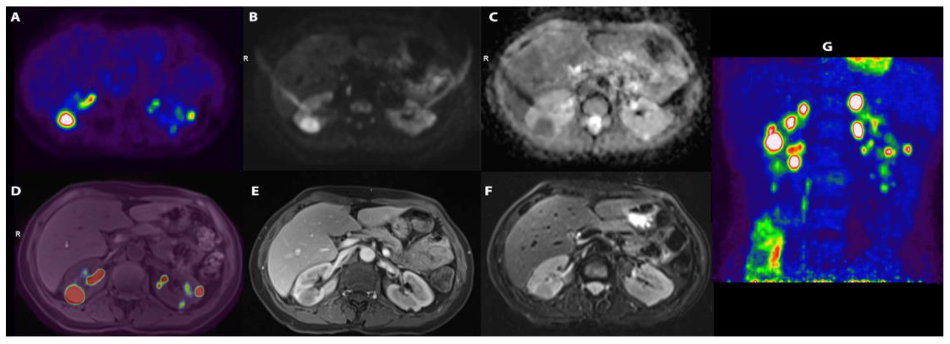
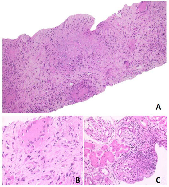
3.1. Personal Case Report
3.2. Characteristics of the Included Studies
3.3. Risk of Bias of Included Studies
3.4. Synthesis of the Results
4. Discussion
4.1. Epidemiology of the GPA Renal Masses
4.2. Pathophysiology of Granuloma
4.3. Clinical Presentation and Diagnosis
4.4. Treatment and Outcome
5. Conclusions
Supplementary Materials
Author Contributions
Funding
Institutional Review Board Statement
Informed Consent Statement
Data Availability Statement
Conflicts of Interest
References
- Greco, A.; Marinelli, C.; Fusconi, M.; Macri, G.F.; Gallo, A.; De Virgilio, A.; Zambetti, G.; de Vincentiis, M. Clinic manifestations in granulomatosis with polyangiitis. Int. J. Immunopathol. Pharmacol. 2016, 29, 151–159. [Google Scholar] [CrossRef]
- Jennette, J.C.; Falk, R.J.; Bacon, P.A.; Basu, N.; Cid, M.C.; Ferrario, F.; Flores-Suarez, L.F.; Gross, W.L.; Guillevin, L.; Hagen, E.C.; et al. 2012 revised International Chapel Hill Consensus Conference Nomenclature of Vasculitides. Arthritis Rheum 2013, 65, 1–11. [Google Scholar] [CrossRef] [PubMed]
- Padoan, R.; Campaniello, D.; Gatto, M.; Schiavon, F.; Doria, A. Current clinical and therapeutic approach to tumour-like mass lesions in granulomatosis with polyangiitis. Autoimmun. Rev. 2022, 21, 103018. [Google Scholar] [CrossRef] [PubMed]
- Sinico, R.A.; Di Toma, L.; Radice, A. Renal involvement in anti-neutrophil cytoplasmic autoantibody associated vasculitis. Autoimmun. Rev. 2013, 12, 477–482. [Google Scholar] [CrossRef] [PubMed]
- Felicetti, M.; Gasparotto, M.; Frigo, A.C.; Ortolan, A.; Padoan, R.; Lorenzin, M.; Ramonda, R.; Doria, A.; Schiavon, F. Renal involvement at baseline can predict major renal relapse in anti-neutrophil cytoplasmic antibody (ANCA)-associated vasculitis. Clin. Exp. Rheumatol. 2020, 38 (Suppl. S124), 201–206. [Google Scholar] [PubMed]
- Nicolau, C.; Antunes, N.; Paño, B.; Sebastia, C. Imaging Characterization of Renal Masses. Medicina 2021, 57, 51. [Google Scholar] [CrossRef]
- Moher, D.; Liberati, A.; Tetzlaff, J.; Altman, D.G. Preferred reporting items for systematic reviews and meta-analyses: The PRISMA statement. BMJ 2009, 339, b2535. [Google Scholar] [CrossRef]
- Murad, M.H.; Sultan, S.; Haffar, S.; Bazerbachi, F. Methodological quality and synthesis of case series and case reports. BMJ Evid. Based Med. 2018, 23, 60–63. [Google Scholar] [CrossRef]
- Riley, D.S.; Barber, M.S.; Kienle, G.S.; Aronson, J.K.; von Schoen-Angerer, T.; Tugwell, P.; Kiene, H.; Helfand, M.; Altman, D.G.; Sox, H.; et al. CARE guidelines for case reports: Explanation and elaboration document. J. Clin. Epidemiol. 2017, 89, 218–235. [Google Scholar] [CrossRef]
- Tiwari, V.; Raman, A.; Gupta, A.; Gupta, P.; Joshi, A.; Bhargava, V.; Malik, M.; Bhalla, A.K.; Rana, D.S. Granulomatosis with Polyangiitis Masquerading as Renal Mass: Case Report and Literature Review. Indian J. Nephrol. 2021, 31, 406–409. [Google Scholar] [CrossRef] [PubMed]
- Maguire, R.; Fauci, A.S.; Doppman, J.L.; Wolff, S.M. Unusual radiographic features of Wegener′s granulomatosis. AJR Am. J. Roentgenol. 1978, 130, 233–238. [Google Scholar] [CrossRef] [PubMed]
- Schapira, H.E.; Kapner, J.; Szporn, A.H. Wegener granulomatosis presenting as renal mass. Urology 1986, 28, 307–309. [Google Scholar] [CrossRef] [PubMed]
- Schydlowsky, P.; Rosenkilde, P.; Skriver, E.; Helin, P.; Braendstrup, O. Wegener’s granulomatosis presenting with a tumor-like lesion in the kidney. Scand. J. Rheumatol. 1992, 21, 204–205. [Google Scholar] [CrossRef] [PubMed]
- Smith, D.J.; Milroy, C.M.; Chapple, C.R. An unusual renal mass? Wegener′s granulomatosis. Br. J. Urol. 1993, 72, 980–981. [Google Scholar] [CrossRef]
- Boubenider, S.A.; Akhtar, M.; Nyman, R. Wegener′s granulomatosis limited to the kidney as a masslike lesion. Nephron 1994, 68, 500–504. [Google Scholar] [CrossRef]
- Fairbanks, K.D.; Hellmann, D.B.; Fishman, E.K.; Ali, S.Z.; Stone, J.H. Wegener’s granulomatosis presenting as a renal mass. AJR Am. J. Roentgenol. 2000, 174, 1597–1598. [Google Scholar] [CrossRef]
- Dufour, J.F.; Le Gallou, T.; Cordier, J.F.; Aumaître, O.; Pinède, L.; Aslangul, E.; Pagnoux, C.; Marie, I.; Puéchal, X.; Decaux, O.; et al. Urogenital manifestations in Wegener granulomatosis: A study of 11 cases and review of the literature. Medicine 2012, 91, 67–74. [Google Scholar] [CrossRef]
- Thomas, B.; Houssin, A.; Saint-André, J.P.; Lavenet, F.; Penneau, D. Tumorous form of Wegener’s granulomatosis following a malignant facial granuloma. Diagnostic value. Rev. Med. Interne 1983, 4, 155–158. [Google Scholar] [CrossRef]
- Verswijvel, G.; Eerens, I.; Messiaen, T.; Oyen, R. Granulomatous renal pseudotumor in Wegener’s granulomatosis: Imaging findings in one case. Eur. Radiol. 2000, 10, 1265–1267. [Google Scholar] [CrossRef]
- Ruiz Carazo, E.; Medina Benitez, A.; López Milena, G.; Rabaza Espigares, J.; León, L.; Marquez, B. Multiple renal masses as initial manifestation of Wegener’s granulomatosis. AJR Am. J. Roentgenol. 2001, 176, 116–118. [Google Scholar] [CrossRef]
- Kapoor, A.; Balfour-Dorsey, R.A.; George, D.L. Wegener’s granulomatosis presenting as multiple kidney masses. Am. J. Med. 2002, 112, 82–83. [Google Scholar] [CrossRef]
- Leung, N.; Ytterberg, S.R.; Blute, M.L.; Lager, D.J.; Specks, U.; Fervenza, F.C. Wegener′s granulomatosis presenting as multiple bilateral renal masses. Nephrol. Dial. Transplant. 2004, 19, 984–987. [Google Scholar] [CrossRef]
- D′Hauwe, R.; Lerut, E.; Breysem, L.; Smet, M. A rare presentation of renal Wegener granulomatosis in a child. Pediatr. Radiol. 2011, 41, 1212–1215. [Google Scholar] [CrossRef] [PubMed]
- Krambeck, A.E.; Miller, D.V.; Blute, M.L. Wegener′s granulomatosis presenting as renal mass: A case for nephron-sparing surgery. Urology 2005, 65, 798. [Google Scholar] [CrossRef] [PubMed]
- Vandergheynst, F.; Van Gansbeke, D.; Cogan, E. Wegener’s granulomatosis masquerading as a renal cancer: A case report and review of the literature. Clin. Exp. Rheumatol. 2006, 24, 584–586. [Google Scholar] [PubMed]
- Vandergheynst, F.; Kazakou, P.; Couturier, B.; Dumarey, N.; Ghanooni, R.; Pozdzik, A.; Rorive, S.; Van Gansbeke, D.; Burniat, A. From polyuria to renal mass: An unexpected link. Am. J. Med. 2015, 128, e15–e18. [Google Scholar] [CrossRef] [PubMed][Green Version]
- Mohammadi Sichani, M.; Hadi, M.; Talebi, A.; Khalighinejad, P. Renal Solid Mass as a Rare Presentation of Wagener’s Granulomatosis: A Case Report. Case Rep. Urol. 2012, 2012, 793014. [Google Scholar] [CrossRef] [PubMed]
- Negi, A.; Camilleri, J.P.; Matthews, P.N.; Crane, M.D. Wegener′s granulomatosis presenting as a disappearing renal mass. Rheumatology 2006, 45, 1554. [Google Scholar] [CrossRef]
- Lo Gullo, A.; Bajocchi, G.; Cassone, G.; Cavazza, A.; Zanichelli, M.; Salvarani, C. Granulomatosis with polyangiitis presenting as a renal mass successfully treated with rituximab. Clin. Exp. Rheumatol. 2014, 32, S138. [Google Scholar] [PubMed]
- Frigui, M.; Ben Hmida, M.; Kechaou, M.; Jlidi, R.; Bahloul, Z. Wegener’s granulomatosis presenting as multiple bilateral renal masses: Case report and literature review. Rheumatol. Int. 2009, 29, 679–683. [Google Scholar] [CrossRef]
- Xu, H.; Zhang, J.; Wang, Y.; Yu, S.; Zhou, R. Clinicopathological analysis of renal inflammatory pseudotumors presenting as the unilateral solitary masses. Int. J. Clin. Exp. Pathol. 2017, 10, 7734–7742. [Google Scholar]
- Roussou, M.; Dimopoulos, S.K.; Dimopoulos, M.A.; Anastasiou-Nana, M.I. Wegener′s granulomatosis presenting as a renal mass. Urology 2008, 71, 547.e1–547.e2. [Google Scholar] [CrossRef]
- Ahmed, N.; Feest, T.; McKee, C.; de Zoysa, J. A young woman with fever, weight loss and a renal mass. Nephrology 2011, 16, 681–682. [Google Scholar] [CrossRef]
- Ward, A.; Konya, C.; Mark, E.J.; Rosen, S. Granulomatosis with polyangiitis presenting as a renal tumor. Am. J. Surg. Pathol. 2014, 38, 1444–1448. [Google Scholar] [CrossRef] [PubMed]
- Yamamoto, T.; Maruchi, Y.; Asai, A.; Takehara, Y.; Koshikawa, Y.; Ikeda, S.; Kajikawa, K.; Banno, S.; Suzuki, K. Granulomatosis with polyangiitis presenting as multiple renal masses: A case report with MRI findings. Radiol. Case Rep. 2023, 18, 1292–1296. [Google Scholar] [CrossRef]
- Fu, Z.; Liu, M.; Li, Z.; Zhang, J.; Li, Q. Occult Renal Granulomatous Inflammatory Lesions in Granulomatosis with Polyangiitis Detected by 18F-FDG PET/CT. Clin. Nucl. Med. 2017, 42, 707–708. [Google Scholar] [CrossRef]
- Higashihara, M.; Kawamura, T.; Miyazaki, Y.; Yokoo, T.; Joh, K. Granulomatosis with polyangiitis presenting as a solitary renal mass: A case report. BMC Nephrol. 2023, 24, 223. [Google Scholar] [CrossRef]
- Dai, H.; Li, F.; Huang, R. Unusual unilateral renal mass with pulmonary multiple nodules as the initial presentation of granulomatosis with polyangiitis. Hell. J. Nucl. Med. 2021, 24, 161–162. [Google Scholar] [CrossRef]
- Guo, S.; Domingo, M.A.R.; Chang, Q.; Swensson, J.K. Vasculitis manifested with multiple mass lesions in kidneys, lungs and soft tissue, mimicking malignant tumors. Human. Pathol. Case Rep. 2019, 17, 200312. [Google Scholar] [CrossRef]
- Kumar, M.; Barwal, K.C.; Sharma, S.; Chauhan, S.; Raina, P. Granulomatosis with Polyangiitis Presenting as a Renal Mass: A Scarce Case Report with a Review of the Literature. Ann. Natl. Acad. Med. Sci. 2023, 59, 055–059. [Google Scholar] [CrossRef]
- Reeders, J.; Mani, A. Granulomatosis with polyangiitis presenting as a renal mass mimicking immunoglobulin G4-related disease. Human. Pathol. Case Rep. 2017, 10, 69–73. [Google Scholar] [CrossRef]
- Villa-Forte, A.; Hoffman, G.S. Wegener′s granulomatosis presenting with a renal mass. J. Rheumatol. 1999, 26, 457–458. [Google Scholar] [PubMed]
- Boncoraglio, M.T.; Prieto-Gonzalez, S.; Fernandes-Serodio, J.; Corral-Molina, J.M.; Sole, M.; Hernandez-Rodriguez, J. Simultaneous presentation of granulomatosis with polyangiitis (GPA) and immunoglobulin G4-related disease (IgG4-RD). Leaving an open question: Widening the spectrum of a single disease or real overlap? Mod. Rheumatol. Case Rep. 2021, 5, 108–112. [Google Scholar] [CrossRef] [PubMed]
- Abudaff, N.N.; Patel, S.; Fogo, A.B.; Sanghani, N.S. Granulomatosis With Polyangiitis (GPA) Presenting as a Renal Mass in a Young Man with a Solitary Kidney. J. Am. Soc. Nephrol. 2022, 33, 168. [Google Scholar]
- Bicakcigil, M.; Kalayci, M.; Demirag, A.; Aksit, Z.; Ozdogan, E.S.; Ozkan, F.; Pata, Y.S. An unusual case of Wegener′s granulomatosis presenting with mass lesions of breast, spleen and kidney. APMIS 2009, 117, 93–94. [Google Scholar]
- Gregorini, G.; Jeannin, G.; Salviani, C.; Gaggiotti, M. Multiple kidney masses in a young man. Rheumatology 2019, 58, kez058.020. [Google Scholar] [CrossRef]
- Kaikoi, D.; Sato, K.; Ogura, H.; Miyagawa, T.; Toyama, T.; Kitajima, S.; Hara, A.; Iwata, Y.; Sakai, N.; Shimizu, M.; et al. A case of granulomatosis with polyangiitis complicated by renal mass-like lesion. J. Am. Soc. Nephrol. 2020, 31, 549. [Google Scholar]
- Nketiah Sarpong, K.S.; Andoh-Duku, A.; Pednekar, P.; Ding, N.; Alam, M.; Muralidharan, K. The Bugs Were Not to Blame; Granulomatosis with Polyangiitis Camouflaging as a Renal Abscess. Am. J. Respir. Crit. Care Med. 2022, 205, A5130. [Google Scholar] [CrossRef]
- Ramasamy, A.; Ghani, F.A.; Mokhtar, E.M.; Salleh, A.A. Granulomatosis with polyangiitis (GPA) presenting as renal mass lesion: A case report. Malays. J. Pathol. 2021, 43, 493. [Google Scholar]
- Varkala, S.; Yuan, C.; Garcia, L.B.; Shah, N.; Gunasekharan, S.; Doumit, E. Endocarditis and kidney mass in Wegener′s granulomatosis. Am. J. Kidney Dis. 2010, 55, A109. [Google Scholar] [CrossRef]
- Korkmaz, C.; Yıldırım, R.; Dinler, M.; Cansu, D.U. Coexistence of IgG4-related disease and ANCA-associated vasculitis: Case report and review of the literature. Rheumatol. Int. 2023, 44, 572. [Google Scholar] [CrossRef]
- Salvarani, C.; Brown, R.D., Jr.; Christianson, T.J.H.; Huston, J., 3rd; Morris, J.M.; Giannini, C.; Hunder, G.G. Primary central nervous system vasculitis mimicking brain tumor: Comprehensive analysis of 13 cases from a single institutional cohort of 191 cases. J. Autoimmun. 2019, 97, 22–28. [Google Scholar] [CrossRef]
- Kariv, R.; Sidi, Y.; Gur, H. Systemic vasculitis presenting as a tumorlike lesion. Four case reports and an analysis of 79 reported cases. Medicine 2000, 79, 349–359. [Google Scholar] [CrossRef] [PubMed]
- Atzeni, F.; Sarzi-Puttini, P.; Doria, A.; Boiardi, L.; Pipitone, N.; Salvarani, C. Behçet′s disease and cardiovascular involvement. Lupus 2005, 14, 723–726. [Google Scholar] [CrossRef] [PubMed]
- Deger, S.M.; Mutluay, R.; Ebinc, F.A.; Arinsoy, T.; Sindel, S. Renal cell carcinoma associated immunosuppressive therapy: A case report with Wegener′s granulomatosis. Rheumatol. Int. 2009, 30, 119–121. [Google Scholar] [CrossRef] [PubMed]
- Odeh, M. Renal cell carcinoma associated with cyclophosphamide therapy for Wegener′s granulomatosis. Scand. J. Rheumatol. 1996, 25, 391–393. [Google Scholar] [CrossRef] [PubMed]
- Fawad, S.; Gokden, N.; Krause, M.; Singh, M. Granulomatosis with polyangiitis and renal cell cancer: A sinister association—Case report and review of literature. Nephrol. Renal. Dis. 2021, 6, 2. [Google Scholar] [CrossRef]
- Bumbasirevic, U.; Dragicevic, D.; Janicic, A.; Cemerikic-Martinovic, V.; Cekerevac, M.; Aleksic, V.; Tulic, C. Renal cancer and Wegener′s granulomatosis: A case report. World J. Surg. Oncol. 2011, 9, 165. [Google Scholar] [CrossRef] [PubMed]
- Tatsis, E.; Reinhold-Keller, E.; Steindorf, K.; Feller, A.C.; Gross, W.L. Wegener′s granulomatosis associated with renal cell carcinoma. Arthritis Rheum. 1999, 42, 751–756. [Google Scholar] [CrossRef]
- Faurschou, M.; Mellemkjaer, L.; Sorensen, I.J.; Thomsen, B.S.; Dreyer, L.; Baslund, B. Cancer preceding Wegener′s granulomatosis: A case-control study. Rheumatology 2009, 48, 421–424. [Google Scholar] [CrossRef]
- Jennette, J.C.; Falk, R.J. Pathogenesis of antineutrophil cytoplasmic autoantibody-mediated disease. Nat. Rev. Rheumatol. 2014, 10, 463–473. [Google Scholar] [CrossRef] [PubMed]
- Schilder, A.M. Wegener′s Granulomatosis vasculitis and granuloma. Autoimmun. Rev. 2010, 9, 483–487. [Google Scholar] [CrossRef] [PubMed]
- Voswinkel, J.; Kerkdijk, A.J.; Mueller, A.; Assmann, G.; Pfreundschuh, M.; Held, G. A novel system to test for specificity of B cell receptors from tissue of Wegener′s granulomatosis patients. Clin. Exp. Rheumatol. 2008, 26, S90–S96. [Google Scholar] [PubMed]
- Kerstein, A.; Schüler, S.; Cabral-Marques, O.; Fazio, J.; Häsler, R.; Müller, A.; Pitann, S.; Moosig, F.; Klapa, S.; Haas, C.; et al. Environmental factor and inflammation-driven alteration of the total peripheral T-cell compartment in granulomatosis with polyangiitis. J. Autoimmun. 2017, 78, 79–91. [Google Scholar] [CrossRef] [PubMed]
- Nakazawa, D.; Masuda, S.; Tomaru, U.; Ishizu, A. Pathogenesis and therapeutic interventions for ANCA-associated vasculitis. Nat. Rev. Rheumatol. 2019, 15, 91–101. [Google Scholar] [CrossRef]
- Onuora, S. PR3 triggers granuloma formation in GPA. Nat. Rev. Rheumatol. 2023, 19, 194. [Google Scholar] [CrossRef]
- Henderson, S.R.; Horsley, H.; Frankel, P.; Khosravi, M.; Goble, T.; Carter, S.; Antonelou, M.; Evans, R.D.R.; Zhang, X.; Chu, T.Y.; et al. Proteinase 3 promotes formation of multinucleated giant cells and granuloma-like structures in patients with granulomatosis with polyangiitis. Ann. Rheum. Dis. 2023, 82, 848–856. [Google Scholar] [CrossRef]
- Aberle, D.R.; Gamsu, G.; Lynch, D. Thoracic manifestations of Wegener granulomatosis: Diagnosis and course. Radiology 1990, 174, 703–709. [Google Scholar] [CrossRef]
- Hellmich, B.; Sanchez-Alamo, B.; Schirmer, J.H.; Berti, A.; Blockmans, D.; Cid, M.C.; Holle, J.U.; Hollinger, N.; Karadag, O.; Kronbichler, A.; et al. EULAR recommendations for the management of ANCA-associated vasculitis: 2022 update. Ann. Rheum. Dis. 2023, 83, 30–47. [Google Scholar] [CrossRef]
- Chung, S.A.; Langford, C.A.; Maz, M.; Abril, A.; Gorelik, M.; Guyatt, G.; Archer, A.M.; Conn, D.L.; Full, K.A.; Grayson, P.C.; et al. 2021 American College of Rheumatology/Vasculitis Foundation Guideline for the Management of Antineutrophil Cytoplasmic Antibody-Associated Vasculitis. Arthritis Rheumatol 2021, 73, 1366–1383. [Google Scholar] [CrossRef]
- Unizony, S.; Villarreal, M.; Miloslavsky, E.M.; Lu, N.; Merkel, P.A.; Spiera, R.; Seo, P.; Langford, C.A.; Hoffman, G.S.; Kallenberg, C.M.; et al. Clinical outcomes of treatment of anti-neutrophil cytoplasmic antibody (ANCA)-associated vasculitis based on ANCA type. Ann. Rheum. Dis. 2016, 75, 1166–1169. [Google Scholar] [CrossRef] [PubMed]
- Pérez-Jacoiste Asín, M.A.; Charles, P.; Rothschild, P.-R.; Terrier, B.; Brézin, A.; Mouthon, L.; Guillevin, L.; Puéchal, X. Ocular involvement in granulomatosis with polyangiitis: A single-center cohort study on 63 patients. Autoimmun. Rev. 2019, 18, 493–500. [Google Scholar] [CrossRef] [PubMed]
- Starr, M.R.; Salabati, M.; Mahmoudzadeh, R.; Patel, L.G.; Ammar, M.J.; Hsu, J.; Garg, S.; Ho, A.C.; Kuriyan, A.E. Fluctuations in Central Subfield Thickness Associated with Worse Visual Outcomes in Patients with Diabetic Macular Edema in Clinical Trial Setting. Am. J. Ophthalmol. 2021, 232, 90–97. [Google Scholar] [CrossRef] [PubMed]
- Samson, M.; Devilliers, H.; Thietart, S.; Charles, P.; Pagnoux, C.; Cohen, P.; Karras, A.; Mouthon, L.; Terrier, B.; Puéchal, X.; et al. Score to assess the probability of relapse in granulomatosis with polyangiitis and microscopic polyangiitis. RMD Open 2023, 9, e002953. [Google Scholar] [CrossRef]




| Author | Sex/Age (y) | Extra-Renal Organ Involvement | ANCA | Kidney Tests | Imaging | Localisation | Biopsy | Kidney Removal | Histology | Treatment | Outcome |
|---|---|---|---|---|---|---|---|---|---|---|---|
| Tiwari [10] | F/60 | ENT, eye | MPO | Normal | US, CECT, PET | Unilateral | Yes | No | Granuloma | MTX | Remission |
| Maguire [11] | F/27 | ENT, lung | PR3 | NA | Renal arteriography | Unilateral | NA | Partial | Granuloma/Vasculitis | CYC | Remission |
| Schapira [12] | M/45 | ENT, lung | NA | UP | Gallium scan, US | Unilateral | No | Partial | Granuloma/Vasculitis | CYC | Remission |
| Schydlowsky [13] | M/47 | ENT, lung | Positive | Normal | US, CECT | Unilateral | No | Radical | Granuloma/Vasculitis | CYC | Remission |
| Smith [14] | F/52 | Eye | NA | WBCs | US, CT | Unilateral | No | Radical | Granuloma/Vasculitis | AZA | Remission |
| Boubenider [15] | F/45 | ENT, skin | PR3 | Renal failure, RBCs, UP | US, CT | Unilateral | Yes | Radical | Granuloma/Vasculitis | None | ESRD |
| Fairbanks [16] | M/68 | ENT, lung | MPO | Normal | CECT | Unilateral | Yes | No | Granuloma/Vasculitis | MTX | Remission |
| Dufour [17] | M/70 | ENT, PNS, lung | MPO | Renal failure | CT | Unilateral | No | Radical | Granuloma/Vasculitis | CYC | Relapsing disease |
| Dufour [17] | M/67 | MSK, lung, CNS | PR3 | Renal failure | CT | Unilateral | NA | No | NA | CYC | Death |
| Thomas [18] | F/48 | ENT, PNS, eye | NA | Renal failure | IVU, CT | Unilateral | Yes | Radical | Granuloma/Vasculitis | CYC | Remission |
| Verswijvel [19] | M/24 | ENT, spleen | PR3 | Renal failure, RBCs | US, CECT, MRI | Unilateral | Yes | No | Vasculitis | CYC | Remission |
| Carazo [20] | M/29 | Eye | PR3 | Normal | US, IVU, CECT | Bilateral | Yes | Radical | Granuloma/Vasculitis | CYC | Relapsing disease |
| Kapoor [21] | M/22 | - | PR3 | Renal failure, RBCs, UP | US, MRI | Bilateral | Yes | No | Vasculitis | - | ESRD |
| Leung [22] | M/66 | ENT, skin | MPO | Normal | US, CT | Bilateral | Yes | No | Granuloma | MTX | Remission |
| D’Hauwe [23] | F/14 | ENT, MSK | Negative | WBCs | US, CECT | Unilateral | Yes | No | Granuloma | RTX+MTX | Remission |
| Krambeck [24] | M/61 | ENT, CNS | Negative | Normal | CECT | Unilateral | No | Partial | Granuloma | AZA | Remission |
| Vandergheynst [25] | M/32 | PNS | PR3 | UP | CT | Unilateral | Yes | Partial | Granuloma/Vasculitis | CYC | Remission |
| Vandergheynst [26] | F/23 | ENT, skin, endocrine system | MPO | Normal | PET, CEUS | Bilateral | Yes | No | Granuloma/Vasculitis | RTX | Remission |
| Sichani [27] | F/22 | ENT, lung, DAH | Positive | UP, RBCs | US, CECT | Unilateral | Yes | No | Granuloma/Vasculitis | - | Death |
| Negi [28] | M/40 | ENT | PR3 | Renal failure | CT | Bilateral | No | No | NA | NA | Remission |
| Lo Gullo [29] | M/38 | ENT, lung | PR3 | Normal | US, CECT, PET | Unilateral | Yes | No | Granuloma | RTX | Remission |
| Frigui [30] | F/59 | ENT, eye | PR3 | UP | US, CECT | Bilateral | Yes | No | Granuloma/Vasculitis | CYC | Remission |
| Xu [31] | M/55 | - | PR3 | RBCs | CT | Unilateral | No | Radical | Vasculitis | NA | Remission |
| Roussou [32] | F/72 | ENT | MPO | Normal | CECT, MRI | Unilateral | No | Radical | Granuloma/Vasculitis | CYC | Remission |
| Ahmed [33] | F/28 | Lung | PR3 | RBCs | US, CT | Bilateral | Yes | No | Granuloma/Vasculitis | CYC | Remission |
| Ward [34] | F/48 | ENT, CNS, lung | PR3 | NA | CT | Unilateral | Yes | Radical | Granuloma/Vasculitis | CYC+RTX | Remission |
| Yamamoto [35] | M/60 | - | MPO | Normal | CECT, MRI | Unilateral | Yes | Radical | Granuloma/Vasculitis | - | Remission |
| Fu [36] | F/33 | ENT | Negative | Normal | US, PET | Bilateral | Yes | No | Granuloma/Vasculitis | CYC | Remission |
| Higashihara [37] | F/75 | - | Negative | Renal failure | CECT | Unilateral | No | Radical | Granuloma/Vasculitis | - | Remission |
| Dai [38] | M/32 | ENT, lung | PR3 | Normal | MRI, PET | Unilateral | Yes | No | Granuloma | CYC | Remission |
| Guo [39] | F/71 | Lung, eye | PR3 | Normal | CT | Bilateral | Yes | No | Granuloma | RTX | Remission |
| Kumar [40] | F/27 | ENT | PR3 | Normal | US, CECT, IVU | Unilateral | Yes | No | Granuloma | RTX | Remission |
| Reeders [41] | M/46 | Lung, skin, MSK | PR3 | Renal failure | CT | Unilateral | No | Radical | Granuloma/Vasculitis | RTX+CYC | Remission |
| Villa-Forte [42] | M/45 | ENT, lung | NA | NA | NA | Unilateral | No | Radical | Granuloma/Vasculitis | CYC | ESRD |
| Boncoraglio [43] | M/47 | ENT | PR3 | Renal failure, RBCs, UP | US, CT, MRI | Unilateral | No | Partial | Granuloma/Vasculitis | RTX | Remission |
| Abudaff [44] | M/20 | ENT | PR3 | Renal failure, RBCs, UP | US, CT | Unilateral | Yes | No | Vasculitis | RTX | Remission |
| Bicakcigil [45] | F/47 | ENT, breast, spleen | NA | NA | CT | Bilateral | Yes | No | NA | CYC | Remission |
| Gregorini [46] | M/46 | ENT, CNS | PR3 | Normal | CT | Unilateral | Yes | No | Granuloma | RTX+CYC | Remission |
| Kaikoi [47] | F/76 | ENT, eye | PR3 | Minimal UP | CECT | Unilateral | Yes | No | Granuloma/Vasculitis | CYC | Remission |
| Nketiah Sarpong [48] | M/57 | Lung, DAH | PR3 | Renal failure, RBCs, UP | NA | Unilateral | Yes | No | Granuloma/Vasculitis | RTX | Remission |
| Ramasamy [49] | F/39 | NA | Negative | Renal failure | NA | Unilateral | No | Radical | Granuloma/Vasculitis | NA | ESRD |
| Varkala [50] | M/22 | Lung, DAH, heart, skin | PR3 | Renal failure, RBCs, WBCs, granular casts | CECT | Unilateral | Yes | No | Vasculitis | CYC | Remission |
| Present case | F/49 | - | PR3 | Normal | US, CECT, PET-MR | Bilateral | Yes | No | Granuloma | RTX | Remission |
Disclaimer/Publisher’s Note: The statements, opinions and data contained in all publications are solely those of the individual author(s) and contributor(s) and not of MDPI and/or the editor(s). MDPI and/or the editor(s) disclaim responsibility for any injury to people or property resulting from any ideas, methods, instructions or products referred to in the content. |
© 2024 by the authors. Licensee MDPI, Basel, Switzerland. This article is an open access article distributed under the terms and conditions of the Creative Commons Attribution (CC BY) license (https://creativecommons.org/licenses/by/4.0/).
Share and Cite
Iorio, L.; Pizzi, M.; Cecchin, D.; Davanzo, F.; Ghirardello, A.; Dei Tos, A.P.; Doria, A.; Padoan, R. Cutting-Edge Strategies for Renal Tumour-like Lesions in Granulomatosis with Polyangiitis: A Systematic Review. Diagnostics 2024, 14, 566. https://doi.org/10.3390/diagnostics14050566
Iorio L, Pizzi M, Cecchin D, Davanzo F, Ghirardello A, Dei Tos AP, Doria A, Padoan R. Cutting-Edge Strategies for Renal Tumour-like Lesions in Granulomatosis with Polyangiitis: A Systematic Review. Diagnostics. 2024; 14(5):566. https://doi.org/10.3390/diagnostics14050566
Chicago/Turabian StyleIorio, Luca, Marco Pizzi, Diego Cecchin, Federica Davanzo, Anna Ghirardello, Angelo Paolo Dei Tos, Andrea Doria, and Roberto Padoan. 2024. "Cutting-Edge Strategies for Renal Tumour-like Lesions in Granulomatosis with Polyangiitis: A Systematic Review" Diagnostics 14, no. 5: 566. https://doi.org/10.3390/diagnostics14050566
APA StyleIorio, L., Pizzi, M., Cecchin, D., Davanzo, F., Ghirardello, A., Dei Tos, A. P., Doria, A., & Padoan, R. (2024). Cutting-Edge Strategies for Renal Tumour-like Lesions in Granulomatosis with Polyangiitis: A Systematic Review. Diagnostics, 14(5), 566. https://doi.org/10.3390/diagnostics14050566

