A Case of Castleman’s Disease with a Marked Infiltration of IgG4-Positive Cells in the Renal Interstitium
Abstract
1. Introduction
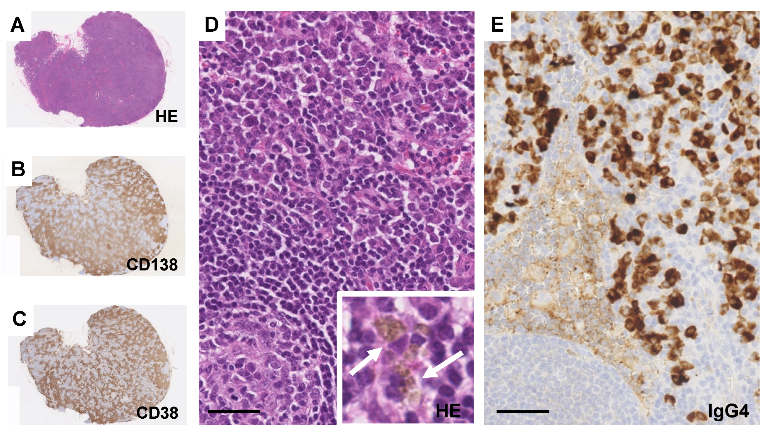
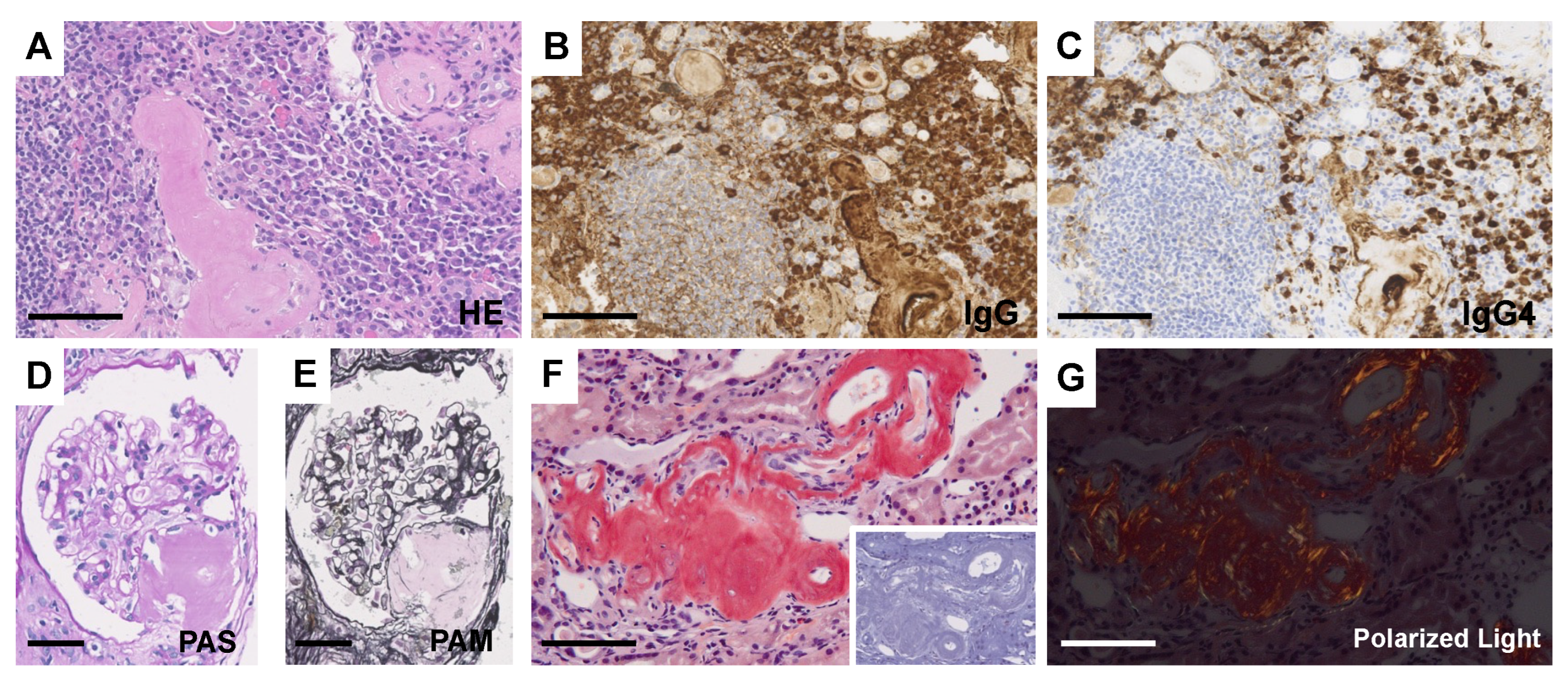
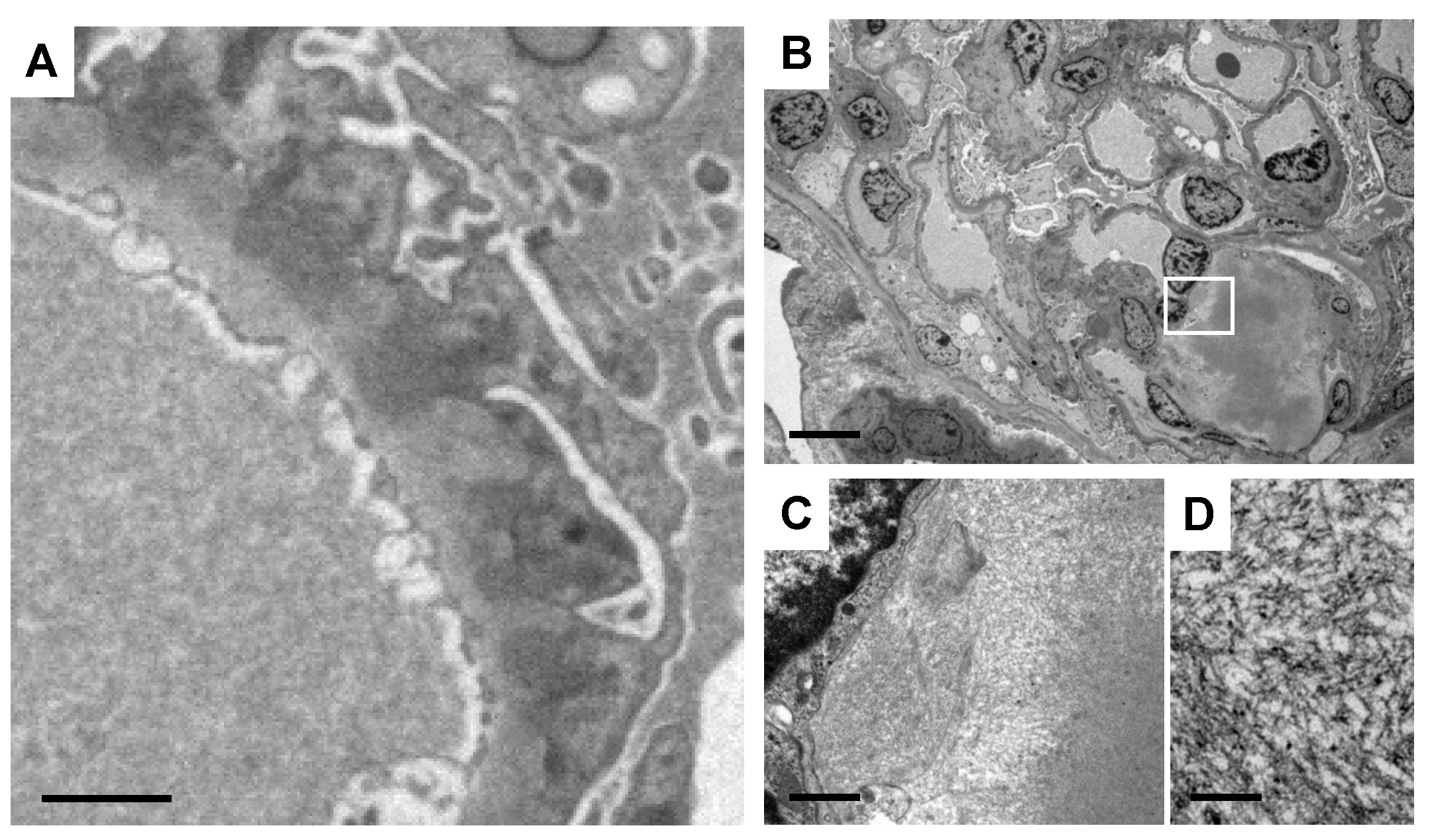
2. Case Presentation
3. Discussion
4. Conclusions
Author Contributions
Funding
Institutional Review Board Statement
Informed Consent Statement
Data Availability Statement
Acknowledgments
Conflicts of Interest
References
- Castleman, B.; Iverson, L.; Menendez, V.P. Localized mediastinal lymph-node hyperplasia resembling thymoma. Cancer 1956, 9, 822–830. [Google Scholar] [CrossRef]
- Fajgenbaum, D.C.; Uldrick, T.S.; Bagg, A.; Frank, D.; Wu, D.; Srkalovic, G.; Simpson, D.; Liu, A.Y.; Menke, D.; Chandrakasan, S. International, evidence-based consensus diagnostic criteria for HHV-8–negative/idiopathic multicentric Castleman disease. Blood J. Am. Soc. Hematol. 2017, 129, 1646–1657. [Google Scholar] [CrossRef]
- Zhou, T.; Wang, H.W.; Pittaluga, S.; Jaffe, E.S. Multicentric Castleman disease and the evolution of the concept. Pathologica 2021, 113, 339–353. [Google Scholar] [CrossRef]
- Fajgenbaum, D.C.; van Rhee, F.; Nabel, C.S. HHV-8-negative, idiopathic multicentric Castleman disease: Novel insights into biology, pathogenesis, and therapy. Blood J. Am. Soc. Hematol. 2014, 123, 2924–2933. [Google Scholar] [CrossRef]
- Liu, A.Y.; Nabel, C.S.; Finkelman, B.S.; Ruth, J.R.; Kurzrock, R.; van Rhee, F.; Krymskaya, V.P.; Kelleher, D.; Rubenstein, A.H.; Fajgenbaum, D.C. Idiopathic multicentric Castleman’s disease: A systematic literature review. Lancet Haematol. 2016, 3, e163–e175. [Google Scholar] [CrossRef]
- Dispenzieri, A.; Fajgenbaum, D.C. Overview of Castleman disease. Blood 2020, 135, 1353–1364. [Google Scholar] [CrossRef] [PubMed]
- Nishimoto, N.; Kanakura, Y.; Aozasa, K.; Johkoh, T.; Nakamura, M.; Nakano, S.; Nakano, N.; Ikeda, Y.; Sasaki, T.; Nishioka, K. Humanized anti–interleukin-6 receptor antibody treatment of multicentric Castleman disease. Blood 2005, 106, 2627–2632. [Google Scholar] [CrossRef] [PubMed]
- Van Rhee, F.; Wong, R.S.; Munshi, N.; Rossi, J.-F.; Ke, X.-Y.; Fosså, A.; Simpson, D.; Capra, M.; Liu, T.; Hsieh, R.K. Siltuximab for multicentric Castleman’s disease: A randomised, double-blind, placebo-controlled trial. Lancet Oncol. 2014, 15, 966–974. [Google Scholar] [CrossRef] [PubMed]
- Van Rhee, F.; Voorhees, P.; Dispenzieri, A.; Fosså, A.; Srkalovic, G.; Ide, M.; Munshi, N.; Schey, S.; Streetly, M.; Pierson, S.K. International, evidence-based consensus treatment guidelines for idiopathic multicentric Castleman disease. Blood J. Am. Soc. Hematol. 2018, 132, 2115–2124. [Google Scholar] [CrossRef] [PubMed]
- Wu, Y.J.; Su, K.Y. Updates on the diagnosis and management of multicentric Castleman disease. Tzu Chi Med. J. 2021, 33, 22–28. [Google Scholar] [PubMed]
- Zen, Y.; Nakanuma, Y. IgG4-related disease: A cross-sectional study of 114 cases. Am. J. Surg. Pathol. 2010, 34, 1812–1819. [Google Scholar] [CrossRef]
- Sato, Y.; Kojima, M.; Takata, K.; Morito, T.; Asaoku, H.; Takeuchi, T.; Mizobuchi, K.; Fujihara, M.; Kuraoka, K.; Nakai, T.; et al. Systemic IgG4-related lymphadenopathy: A clinical and pathologic comparison to multicentric Castleman’s disease. Mod. Pathol. 2009, 22, 589–599. [Google Scholar] [CrossRef]
- Kamisawa, T.; Zen, Y.; Pillai, S.; Stone, J.H. IgG4-related disease. Lancet 2015, 385, 1460–1471. [Google Scholar] [CrossRef]
- Stone, J.H.; Zen, Y.; Deshpande, V. IgG4-related disease. N. Engl. J. Med. 2012, 366, 539–551. [Google Scholar] [CrossRef]
- Kamisawa, T.; Anjiki, H.; Egawa, N.; Kubota, N. Allergic manifestations in autoimmune pancreatitis. Eur. J. Gastroenterol. Hepatol. 2009, 21, 1136–1139. [Google Scholar] [CrossRef]
- Kamisawa, T.; Shimosegawa, T.; Okazaki, K.; Nishino, T.; Watanabe, H.; Kanno, A.; Okumura, F.; Nishikawa, T.; Kobayashi, K.; Ichiya, T. Standard steroid therapy for autoimmune pancreatitis. Gut 2009, 58, 1438–1439. [Google Scholar] [CrossRef]
- Sun, D.-P.; Chen, W.-M.; Wang, L.; Wang, Z.; Liang, J.-H.; Zhu, H.-Y.; Fan, L.; Wu, Y.-J.; Xu, W.; Li, J.-Y. Clinical characteristics and immunological abnormalities of Castleman disease complicated with autoimmune diseases. J. Cancer Res. Clin. Oncol. 2021, 147, 2107–2115. [Google Scholar] [CrossRef]
- Masaki, Y.; Matsui, S.; Saeki, T.; Tsuboi, H.; Hirata, S.; Izumi, Y.; Miyashita, T.; Fujikawa, K.; Dobashi, H.; Susaki, K. A multicenter phase II prospective clinical trial of glucocorticoid for patients with untreated IgG4-related disease. Mod. Rheumatol. 2017, 27, 849–854. [Google Scholar] [CrossRef]
- Sasaki, T.; Akiyama, M.; Kaneko, Y.; Takeuchi, T. Immunoglobulin G4-related disease and idiopathic multicentric Castleman’s disease: Confusable immune-mediated disorders. Rheumatology 2022, 61, 490–501. [Google Scholar] [CrossRef]
- Otani, K.; Inoue, D.; Fujikura, K.; Komori, T.; Abe-Suzuki, S.; Tajiri, T.; Itoh, T.; Zen, Y. Idiopathic multicentric Castleman’s disease: A clinicopathologic study in comparison with IgG4-related disease. Oncotarget 2018, 9, 6691. [Google Scholar] [CrossRef]
- Sato, Y.; Kojima, M.; Takata, K.; Morito, T.; Mizobuchi, K.; Tanaka, T.; Inoue, D.; Shiomi, H.; Iwao, H.; Yoshino, T. Multicentric Castleman’s disease with abundant IgG4-positive cells: A clinical and pathological analysis of six cases. J. Clin. Pathol. 2010, 63, 1084–1089. [Google Scholar] [CrossRef]
- Kojima, M.; Nakamura, N.; Tsukamoto, N.; Otuski, Y.; Shimizu, K.; Itoh, H.; Kobayashi, S.; Kobayashi, H.; Murase, T.; Masawa, N. Clinical implications of idiopathic multicentric castleman disease among Japanese: A report of 28 cases. Int. J. Surg. Pathol. 2008, 16, 391–398. [Google Scholar] [CrossRef] [PubMed]
- Xu, D.; Lv, J.; Dong, Y.; Wang, S.; Su, T.; Zhou, F.; Zou, W.; Zhao, M.; Zhang, H. Renal involvement in a large cohort of Chinese patients with Castleman disease. Nephrol. Dial. Transplant. 2012, 27 (Suppl. 3), iii119–iii125. [Google Scholar] [CrossRef] [PubMed]
- El Karoui, K.; Vuiblet, V.; Dion, D.; Izzedine, H.; Guitard, J.; Frimat, L.; Delahousse, M.; Remy, P.; Boffa, J.-J.; Pillebout, E. Renal involvement in Castleman disease. Nephrol. Dial. Transplant. 2011, 26, 599–609. [Google Scholar] [CrossRef] [PubMed]
- Saeki, T.; Kawano, M. IgG4-related kidney disease. Kidney Int. 2014, 85, 251–257. [Google Scholar] [CrossRef] [PubMed]
- Yuan, X.-G.; Hu, W.; Chen, F.-F.; Huang, B.-F.; Zhao, X.-Y. Renal complications of Castleman’s disease: Report of two cases and analysis of 75 cases. Clin. Exp. Nephrol. 2011, 15, 921–926. [Google Scholar] [CrossRef]
- Saiki, R.; Katayama, K.; Hirabayashi, Y.; Oda, K.; Fujimoto, M.; Murata, T.; Nakajima, A.; Dohi, K. Membranous nephropathy associated with multicentric Castleman’s disease that was successfully treated with tocilizumab: A case report and review of the literature. BMC Nephrol. 2021, 22, 216. [Google Scholar] [CrossRef]
- Masaki, Y.; Dong, L.; Kurose, N.; Kitagawa, K.; Morikawa, Y.; Yamamoto, M.; Takahashi, H.; Shinomura, Y.; Imai, K.; Saeki, T. Proposal for a new clinical entity, IgG4-positive multi-organ lymphoproliferative syndrome: Analysis of 64 cases of IgG4-related disorders. Ann. Rheum. Dis. 2008, 68, 1310–1315. [Google Scholar] [CrossRef] [PubMed]
- Sasaki, T.; Akiyama, M.; Kaneko, Y.; Mori, T.; Yasuoka, H.; Suzuki, K.; Yamaoka, K.; Okamoto, S.; Takeuchi, T. Distinct features distinguishing IgG4-related disease from multicentric Castleman’s disease. RMD Open 2017, 3, e000432. [Google Scholar] [CrossRef]
- Zoshima, T.; Yamada, K.; Hara, S.; Mizushima, I.; Yamagishi, M.; Harada, K.; Sato, Y.; Kawano, M. Multicentric Castleman Disease With Tubulointerstitial Nephritis Mimicking IgG4-related Disease: Two Case Reports. Am. J. Surg. Pathol. 2016, 40, 495–501. [Google Scholar] [CrossRef]
- Izumi, Y.; Takeshita, H.; Moriwaki, Y.; Hisatomi, K.; Matsuda, M.; Yamashita, N.; Kawahara, C.; Shigemitsu, Y.; Iwanaga, N.; Kawakami, A.; et al. Multicentric Castleman disease mimicking IgG4-related disease: A case report. Mod. Rheumatol. 2017, 27, 174–177. [Google Scholar] [CrossRef] [PubMed]
- Mochizuki, H.; Kato, M.; Higuchi, T.; Koyamada, R.; Arai, S.; Okada, S.; Eto, H. Overlap of IgG4-related disease and multicentric Castleman’s disease in a patient with skin lesions. Intern. Med. 2017, 56, 1095–1099. [Google Scholar] [CrossRef]
- Satou, A.; Notohara, K.; Zen, Y.; Nakamura, S.; Yoshino, T.; Okazaki, K.; Sato, Y. Clinicopathological differential diagnosis of IgG4-related disease: A historical overview and a proposal of the criteria for excluding mimickers of IgG4-related disease. Pathol. Int. 2020, 70, 391–402. [Google Scholar] [CrossRef]
- Nishikori, A.; Nishimura, M.F.; Nishimura, Y.; Notohara, K.; Satou, A.; Moriyama, M.; Nakamura, S.; Sato, Y. Investigation of IgG4-positive cells in idiopathic multicentric Castleman disease and validation of the 2020 exclusion criteria for IgG4-related disease. Pathol. Int. 2022, 72, 43–52. [Google Scholar] [CrossRef]








| Blood Count | Biochemistry | Immunology | ||||||
|---|---|---|---|---|---|---|---|---|
| WBC | 7500 | /μL | TP | 10.9 | g/dL | IgG | 7132 | mg/dL |
| RBC | 324 × 104 | /μL | Alb | 2.5 | g/dL | IgG4 | 2130 | mg/dL |
| Hb | 8.7 | g/dL | AST | 11 | U/L | IgA | 238 | mg/dL |
| Plt | 27.1 × 104 | /μL | ALT | 8 | U/L | IgM | 93 | mg/dL |
| ESR | 80 | mm/h | BUN | 28 | mg/dL | C3 | 99 | mg/dL |
| Cr | 1.96 | mg/dL | C4 | 16 | mg/dL | |||
| Urinalysis | eGFR | 29.4 | mL/min/1.73 m2 | ANA | 40 | times | ||
| Specific gravity | 1.011 | UA | 9.8 | mg/dL | M protein | (-) | ||
| pH | 5.5 | Na | 135 | mEq/L | sIL-2R | 3991 | U/mL | |
| Sugar | (-) | Cl | 106 | mEq/L | Amyloid A | 35 | mg/L | |
| Proteinuria | (±) | K | 4.7 | mEq/L | IL-6 | 21.1 | pg/mL | |
| Occult blood | (±) | CRP | 4.98 | mg/dL | VEGF | 1044.4 | pg/mL | |
| Sediment RBC | 1–4 | /HPF | Fe | 26 | μg/dL | HHV-8 | (-) | |
| Urinary Protein | 0.44 | g/gCr | TIBC | 188 | μg/dL | |||
| NAG | 11.9 | IU/L | ferritin | 92 | ng/mL | |||
| β2MG | 3406 | μg/L | ||||||
| BJP | (-) | |||||||
Disclaimer/Publisher’s Note: The statements, opinions and data contained in all publications are solely those of the individual author(s) and contributor(s) and not of MDPI and/or the editor(s). MDPI and/or the editor(s) disclaim responsibility for any injury to people or property resulting from any ideas, methods, instructions or products referred to in the content. |
© 2024 by the authors. Licensee MDPI, Basel, Switzerland. This article is an open access article distributed under the terms and conditions of the Creative Commons Attribution (CC BY) license (https://creativecommons.org/licenses/by/4.0/).
Share and Cite
Sawada, E.; Shioda, Y.; Ogawa, K.; Iwashita, T.; Ono, Y.; Hasegawa, H.; Maeshima, A. A Case of Castleman’s Disease with a Marked Infiltration of IgG4-Positive Cells in the Renal Interstitium. Diagnostics 2024, 14, 476. https://doi.org/10.3390/diagnostics14050476
Sawada E, Shioda Y, Ogawa K, Iwashita T, Ono Y, Hasegawa H, Maeshima A. A Case of Castleman’s Disease with a Marked Infiltration of IgG4-Positive Cells in the Renal Interstitium. Diagnostics. 2024; 14(5):476. https://doi.org/10.3390/diagnostics14050476
Chicago/Turabian StyleSawada, Erika, Yuya Shioda, Kohki Ogawa, Takatsugu Iwashita, Yuko Ono, Hajime Hasegawa, and Akito Maeshima. 2024. "A Case of Castleman’s Disease with a Marked Infiltration of IgG4-Positive Cells in the Renal Interstitium" Diagnostics 14, no. 5: 476. https://doi.org/10.3390/diagnostics14050476
APA StyleSawada, E., Shioda, Y., Ogawa, K., Iwashita, T., Ono, Y., Hasegawa, H., & Maeshima, A. (2024). A Case of Castleman’s Disease with a Marked Infiltration of IgG4-Positive Cells in the Renal Interstitium. Diagnostics, 14(5), 476. https://doi.org/10.3390/diagnostics14050476

