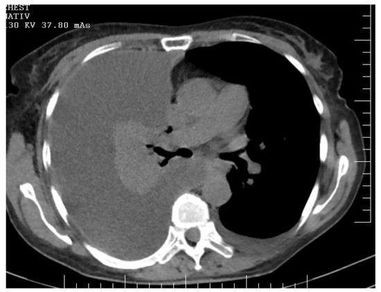
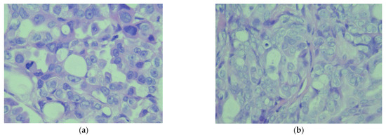
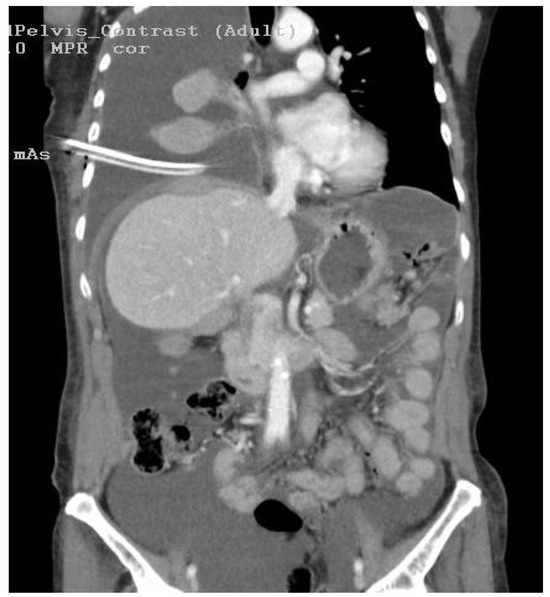
Successful Implementation of HITOC and HIPEC in the Management of Advanced Ovarian Carcinoma with Pleural and Peritoneal Carcinomatosis
Abstract
Author Contributions
Funding
Institutional Review Board Statement
Informed Consent Statement
Data Availability Statement
Conflicts of Interest
References
- Mishra, M.; Singh, N.; Ghatage, P. Past, Present, and Future of Hyperthermic Intraperitoneal Chemotherapy (HIPEC) in Ovarian Cancer. Cureus 2021, 13, e15563. [Google Scholar] [CrossRef] [PubMed]
- Skitzki, J.J.; Repasky, E.A.; Evans, S.S. Hyperthermia as an immunotherapy strategy for cancer. Curr. Opin. Investig. Drugs 2009, 10, 550–558. [Google Scholar] [PubMed]
- Hakeam, H.; Ayman, A.; Waleed, A.T.; Amen, T. Systemic complications of the bidirectional intraoperative chemotherapy with intravenous ifosfamide and hyperthermic intraperitoneal chemotherapy (HIPEC) using cisplatin plus doxorubicin. Pleura Peritoneum 2019, 4, 20190025. [Google Scholar] [CrossRef]
- Neuwirth, M.G.; Alexander, H.R.; Karakousis, G.C. Then and now: Cytoreductive surgery with hyperthermic intraperitoneal chemotherapy (HIPEC), a historical perspective. J. Gastrointest. Oncol. 2016, 7, 18–28. [Google Scholar] [CrossRef]
- Bryant, J.; Clegg, A.J.; Sidhu, M.K.; Brodin, H.; Royle, P.; Davidson, P. Clinical effectiveness and costs of the Sugarbaker procedure for the treatment of pseudomyxoma peritonei. Health Technol. Assess. 2004, 8, 1–54. [Google Scholar] [CrossRef] [PubMed]
- Moldovan, B.; Pescaru, F.; Pocreaţă, D.; Biriş, P.; Moldovan, A.; Căpîlna, M.E. Multimodal oncosurgery approach to treat peritoneal carcinomatosis in a patient with occlusive ovarian carcinoma. Eur. J. Gynaecol. Oncol. 2016, 37, 251–253. [Google Scholar] [PubMed]
- Moldovan, B.; Moldovan, D.; Capilna, A. The St. Constantin Hospital’s initial experience with CRS-HIPEC. J. Transl. Med. Res. 2015, 20, 246–252. [Google Scholar] [CrossRef]
- Moldovan, B.; Makkai-Popa, S.-T.; Rad, C.; Pisica, R.; Untaru, V.; Stoica, D. Cytoreductive Procedures and HIPEC in the Treatment of Advanced Ovarian Cancer. In Ovarian Cancer-Updates in Tumour Biology and Therapeutics; IntechOpen: London, UK, 2021. [Google Scholar] [CrossRef]
- Vecerzan, L.; Mihăilă, R.G. Ovarian Adenocarcinoma with Serous Effusions Appeared after a Mammary Adenocarcinoma: A Case Report. J. Adenocarcinoma 2016, 1, 4. [Google Scholar] [CrossRef][Green Version]
- Jost, E.; Mack, L.A.; Sideris, L.; Dube, P.; Temple, W.; Bouchard-Fortier, A. Evaluation of repeat cytoreductive surgery and heated intraperitoneal chemotherapy for patients with recurrent peritoneal carcinomatosis from appendiceal and colorectal cancers: A multicentre Canadian study. Can. J. Surg. 2020, 63, E71–E79. [Google Scholar] [CrossRef] [PubMed]
- Aprile, V.; Bacchin, D.; Korasidis, S.; Ricciardi, R.; Petrini, I.; Ambrogi, M.C.; Lucchi, M. Hypertermic Intrathoracic Chemotherapy (HITHOC) for thymoma: A narrative review on indications and results. Ann. Transl. Med. 2021, 9, 957. [Google Scholar] [CrossRef] [PubMed]
- Ried, M.; Kovács, J.; Markowiak, T.; Müller, K.; Huppertz, G.; Koller, M.; Winter, H.; Klotz, L.V.; Hatz, R.; Zimmermann, J.; et al. Hyperthermic Intrathoracic Chemotherapy (HITOC) after Cytoreductive Surgery for Pleural Malignancies—A Retrospective, Multicentre Study. Cancers 2021, 12, 4580. [Google Scholar] [CrossRef] [PubMed]
- Morris, D.L. Peritonectomy HIPEC-contemporary results, indications. Chin. J. Cancer Res. 2013, 25, 373–374. [Google Scholar] [CrossRef] [PubMed]
- Sugarbaker, P.H.; Chang, D.; Stuart, O.A. Hyperthermic intraoperative thoracoabdominal chemotherapy. Gastroenterol. Res. Pract. 2012, 2012, 623417. [Google Scholar] [CrossRef] [PubMed]
- Mikkelsen, M.S.; Blaakaer, J.; Petersen, L.K.; Schleiss, L.G.; Iversen, L.H. Pharmacokinetics and toxicity of carboplatin used for hyperthermic intraperitoneal chemotherapy (HIPEC) in treatment of epithelial ovarian cancer. Pleura Peritoneum 2020, 5, 20200137. [Google Scholar] [CrossRef] [PubMed]
- Lim, M.C.; Chang, S.J.; Park, B.; Yoo, H.J.; Yoo, C.W.; Nam, B.H.; Park, S.Y.; HIPEC for Ovarian Cancer Collaborators. Survival After Hyperthermic Intraperitoneal Chemotherapy and Primary or Interval Cytoreductive Surgery in Ovarian Cancer: A Randomized Clinical Trial. JAMA Surg. 2022, 157, 374–383. [Google Scholar] [CrossRef] [PubMed]
- Karampinis, I.; Dionysopoulou, A.; Galata, C.; Almstedt, K.; Grilli, M.; Hasenburg, A.; Roessner, E.D. Hyperthermic intrathoracic chemotherapy for the treatment of malignant pleural effusion caused by breast and ovarian cancer: A systematic literature review and pooled analysis. Thorac. Cancer 2022, 13, 883–888. [Google Scholar] [CrossRef] [PubMed]
- Sugarbaker, P.H.; Stuart, O.A.; Eger, C. Pharmacokinetics of Hyperthermic Intrathoracic Chemotherapy following Pleurectomy and Decortication. Gastroenterol. Res. Pract. 2012, 2012, 471205. [Google Scholar] [CrossRef] [PubMed][Green Version]
- Filis, P.; Mauri, D.; Markozannes, G.; Tolia, M.; Filis, N.; Tsilidis, K. Hyperthermic intraperitoneal chemotherapy (HIPEC) for the management of primary advanced and recurrent ovarian cancer: A systematic review and meta-analysis of randomized trials. ESMO Open 2022, 7, 100586. [Google Scholar] [CrossRef] [PubMed]
- González Gil, A.; Cerezuela Fernández-de Palencia, Á.; Gómez Ruiz, Á.J.; Gil Gómez, E.; López Hernández, F.; Nieto Ruiz, A.; Martínez, J.; Marhuenda, I.; Cascales Campos, P.A. HIPEC in Ovarian Cancer Is the Future… and Always Will Be? Results from a Spanish Multicentric Survey. Cancers 2023, 15, 3481. [Google Scholar] [CrossRef] [PubMed]
- Della Corte, L.; Conte, C.; Palumbo, M.; Guerra, S.; Colacurci, D.; Riemma, G.; De Franciscis, P.; Giampaolino, P.; Fagotti, A.; Bifulco, G.; et al. Hyperthermic Intraperitoneal Chemotherapy (HIPEC): New Approaches and Controversies on the Treatment of Advanced Epithelial Ovarian Cancer-Systematic Review and Meta-Analysis. J. Clin. Med. 2023, 12, 7012. [Google Scholar] [CrossRef] [PubMed]









Disclaimer/Publisher’s Note: The statements, opinions and data contained in all publications are solely those of the individual author(s) and contributor(s) and not of MDPI and/or the editor(s). MDPI and/or the editor(s) disclaim responsibility for any injury to people or property resulting from any ideas, methods, instructions or products referred to in the content. |
© 2024 by the authors. Licensee MDPI, Basel, Switzerland. This article is an open access article distributed under the terms and conditions of the Creative Commons Attribution (CC BY) license (https://creativecommons.org/licenses/by/4.0/).
Share and Cite
Moldovan, B.; Saon, C.T.; Adam, I.-I.; Pisica, R.-M.; Silaghi, V.T.; Untaru, V.; Stoica, D.; Crisan, M.; Popianas, A.; Pescaru, F.; et al. Successful Implementation of HITOC and HIPEC in the Management of Advanced Ovarian Carcinoma with Pleural and Peritoneal Carcinomatosis. Diagnostics 2024, 14, 455. https://doi.org/10.3390/diagnostics14050455
Moldovan B, Saon CT, Adam I-I, Pisica R-M, Silaghi VT, Untaru V, Stoica D, Crisan M, Popianas A, Pescaru F, et al. Successful Implementation of HITOC and HIPEC in the Management of Advanced Ovarian Carcinoma with Pleural and Peritoneal Carcinomatosis. Diagnostics. 2024; 14(5):455. https://doi.org/10.3390/diagnostics14050455
Chicago/Turabian StyleMoldovan, Bogdan, Codin Theodor Saon, Iris-Iuliana Adam, Radu-Mihai Pisica, Vlad Teodor Silaghi, Vlad Untaru, Doly Stoica, Madalina Crisan, Andreea Popianas, Florentina Pescaru, and et al. 2024. "Successful Implementation of HITOC and HIPEC in the Management of Advanced Ovarian Carcinoma with Pleural and Peritoneal Carcinomatosis" Diagnostics 14, no. 5: 455. https://doi.org/10.3390/diagnostics14050455
APA StyleMoldovan, B., Saon, C. T., Adam, I.-I., Pisica, R.-M., Silaghi, V. T., Untaru, V., Stoica, D., Crisan, M., Popianas, A., Pescaru, F., Zolog, A., & Vecerzan, L. (2024). Successful Implementation of HITOC and HIPEC in the Management of Advanced Ovarian Carcinoma with Pleural and Peritoneal Carcinomatosis. Diagnostics, 14(5), 455. https://doi.org/10.3390/diagnostics14050455

