Fetal MRI Analysis of Corpus Callosal Abnormalities: Classification, and Associated Anomalies
Abstract
1. Introduction
2. Methods
2.1. Study Population and Design
2.2. Data Collection and Management
2.3. Fetal Magnetic Resonance Imaging
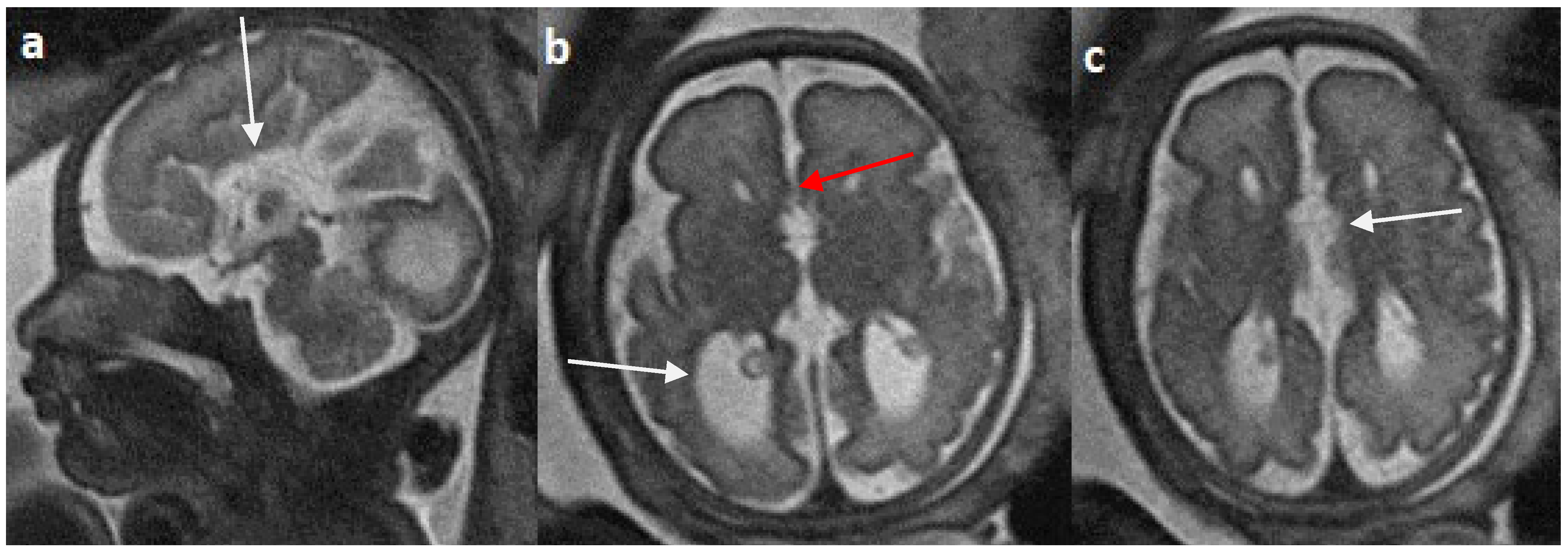
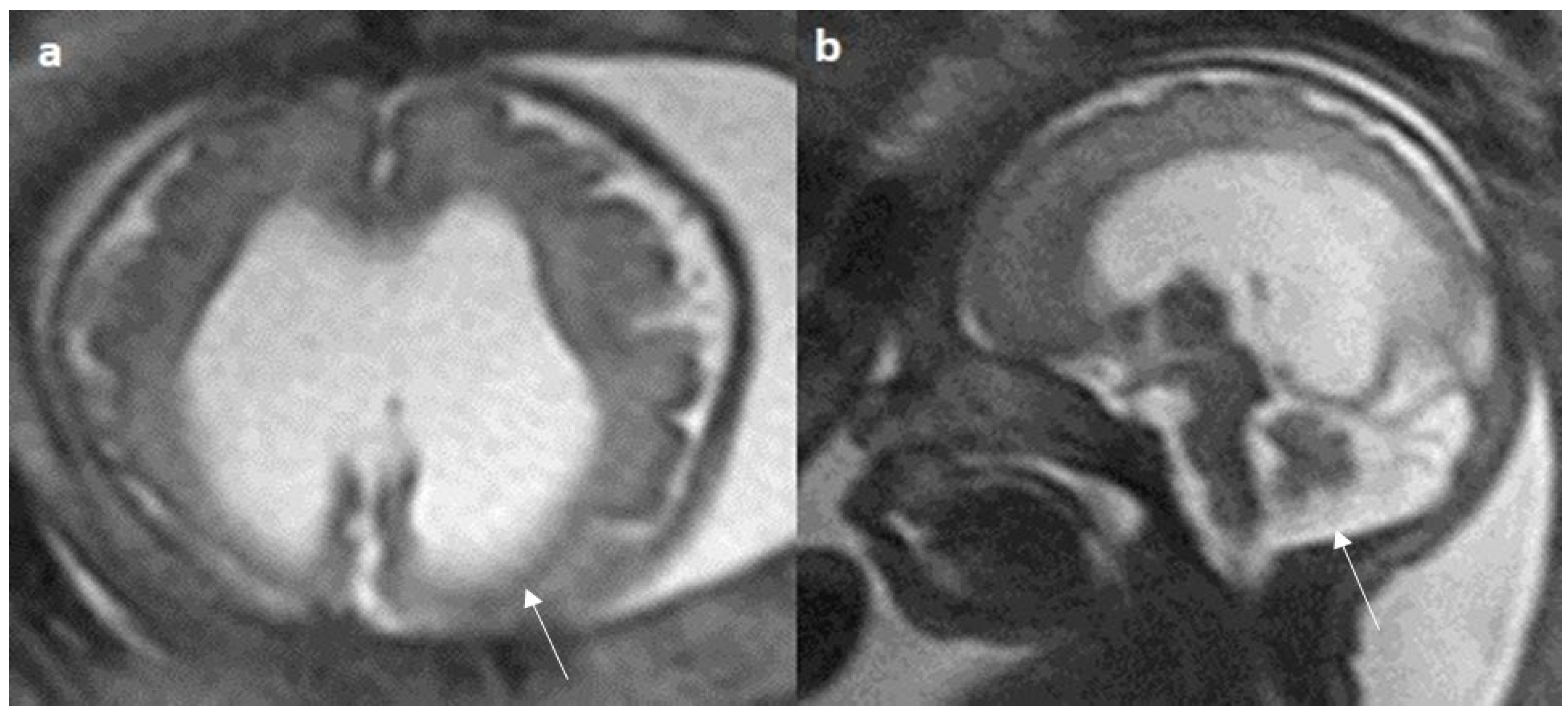
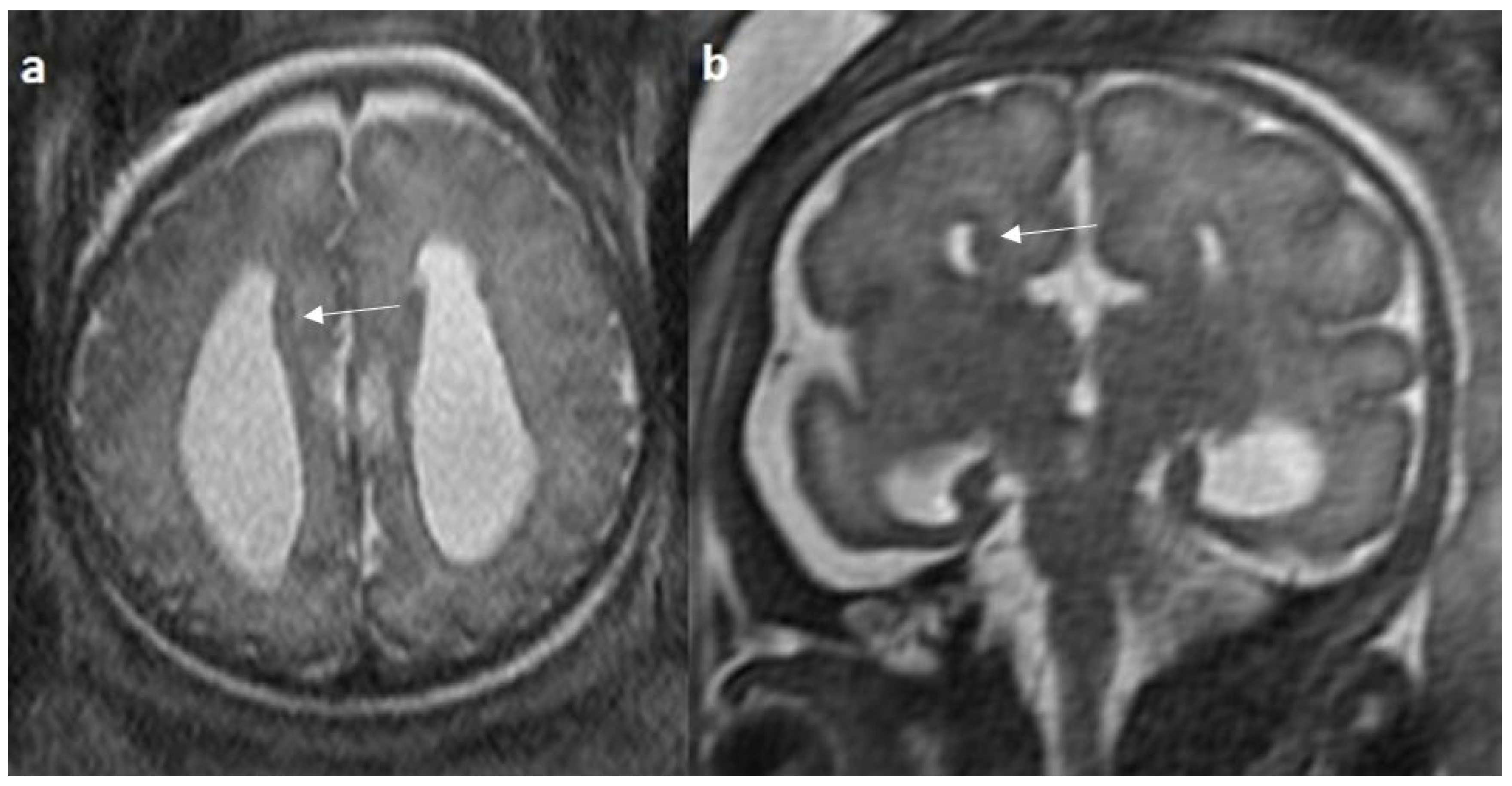
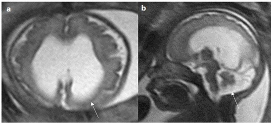
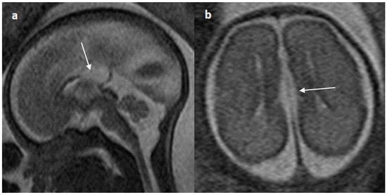
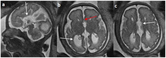
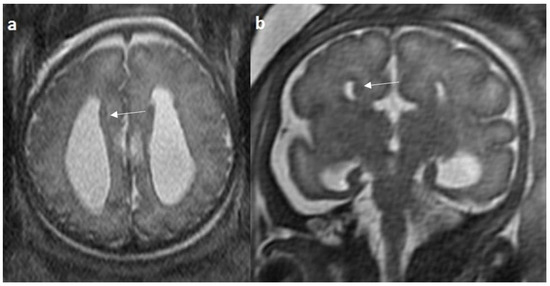
2.4. Classification of CCA on Fetal MRI
2.5. Statistical Analysis
3. Results
4. Discussion
5. Conclusions
Author Contributions
Funding
Institutional Review Board Statement
Informed Consent Statement
Data Availability Statement
Conflicts of Interest
References
- Hetts, S.W.; Sherr, E.H.; Chao, S.; Gobuty, S.; Barkovich, A.J. Anomalies of the corpus callosum: An MR analysis of the phenotypic spectrum of associated malformations. AJR Am. J. Roentgenol. 2006, 187, 1343–1348. [Google Scholar] [CrossRef]
- Fitsiori, A.; Nguyen, D.; Karentzos, A.; Delavelle, J.; Vargas, M.I. The corpus callosum: White matter or terra incognita. Br. J. Radiol. 2011, 84, 5–18. [Google Scholar] [CrossRef] [PubMed]
- Richards, L.J.; Plachez, C.; Ren, T. Mechanisms regulating the development of the corpus callosum and its agenesis in mouse and human. Clin. Genet. 2004, 66, 276–289. [Google Scholar] [CrossRef]
- Kier, E.L.; Truwit, C.L. The normal and abnormal genu of the corpus callosum: An evolutionary, embryologic, anatomic, and MR analysis. AJNR Am. J. Neuroradiol. 1996, 17, 1631–1641. [Google Scholar] [PubMed]
- Ren, T.; Anderson, A.; Shen, W.B.; Huang, H.; Plachez, C.; Zhang, J.; Mori, S.; Kinsman, S.L.; Richards, L.J. Imaging, anatomical, and molecular analysis of callosal formation in the developing human fetal brain. Anat. Rec. Part A Discov. Mol. Cell. Evol. Biol. 2006, 288, 191–204. [Google Scholar] [CrossRef] [PubMed]
- Georgy, B.A.; Hesselink, J.R.; Jernigan, T.L. MR imaging of the corpus callosum. AJR Am. J. Roentgenol. 1993, 160, 949–955. [Google Scholar] [CrossRef] [PubMed]
- Lee, S.K.; Kim, D.I.; Kim, J.; Kim, D.J.; Kim, H.D.; Kim, D.S.; Mori, S. Diffusion-tensor MR imaging and fiber tractography: A new method of describing aberrant fiber connections in developmental CNS anomalies. Radiographics 2005, 25, 53–65; discussion 66–68. [Google Scholar] [CrossRef] [PubMed]
- Rakic, P.; Yakovlev, P.I. Development of the corpus callosum and cavum septi in man. J. Comp. Neurol. 1968, 132, 45–72. [Google Scholar] [CrossRef]
- Paul, L.K.; Brown, W.S.; Adolphs, R.; Tyszka, J.M.; Richards, L.J.; Mukherjee, P.; Sherr, E.H. Agenesis of the corpus callosum: Genetic, developmental and functional aspects of connectivity. Nat. Rev. Neurosci. 2007, 8, 287–299. [Google Scholar] [CrossRef]
- Edwards, T.J.; Sherr, E.H.; Barkovich, A.J.; Richards, L.J. Clinical, genetic and imaging findings identify new causes for corpus callosum development syndromes. Brain 2014, 137 Pt 6, 1579–1613. [Google Scholar] [CrossRef]
- Glass, H.C.; Shaw, G.M.; Ma, C.; Sherr, E.H. Agenesis of the corpus callosum in California 1983-2003: A population-based study. Am. J. Med. Genet. A 2008, 146A, 2495–2500. [Google Scholar] [CrossRef]
- Jeret, J.S.; Serur, D.; Wisniewski, K.; Fisch, C. Frequency of agenesis of the corpus callosum in the developmentally disabled population as determined by computerized tomography. Pediatr. Neurosci. 1985, 12, 101–103. [Google Scholar] [CrossRef] [PubMed]
- Grogono, J.L. Children with agenesis of the corpus callosum. Dev. Med. Child Neurol. 1968, 10, 613–616. [Google Scholar] [CrossRef] [PubMed]
- Nagwa, S.; Saran, S.; Sharma, Y.; Kharbanda, A. Imaging features of complete agenesis of corpus callosum in a 3-year-old child. Sudan. J. Paediatr. 2018, 18, 69–71. [Google Scholar] [CrossRef] [PubMed]
- Hofman, J.; Hutny, M.; Sztuba, K.; Paprocka, J. Corpus Callosum Agenesis: An Insight into the Etiology and Spectrum of Symptoms. Brain Sci. 2020, 10, 625. [Google Scholar] [CrossRef] [PubMed]
- Barkovich, A.J. Pediatric Neuroimaging; Lippincott Williams & Wilkins: Philadelphia, PA, USA, 2005. [Google Scholar]
- Santo, S.; D’Antonio, F.; Homfray, T.; Rich, P.; Pilu, G.; Bhide, A.; Thilaganathan, B.; Papageorghiou, A.T. Counseling in fetal medicine: Agenesis of the corpus callosum. Ultrasound Obstet. Gynecol. 2012, 40, 513–521. [Google Scholar] [CrossRef] [PubMed]
- Witelson, S.F. Hand and sex differences in the isthmus and genu of the human corpus callosum. A postmortem morphological study. Brain 1989, 112 Pt 3, 799–835. [Google Scholar] [CrossRef] [PubMed]
- Al-Hashim, A.H.; Blaser, S.; Raybaud, C.; MacGregor, D. Corpus callosum abnormalities: Neuroradiological and clinical correlations. Dev. Med. Child Neurol. 2016, 58, 475–484. [Google Scholar] [CrossRef] [PubMed]
- Hanna, R.M.; Marsh, S.E.; Swistun, D.; Al-Gazali, L.; Zaki, M.S.; Abdel-Salam, G.M.; Al-Tawari, A.; Bastaki, L.; Kayserili, H.; Rajab, A.; et al. Distinguishing 3 classes of corpus callosal abnormalities in consanguineous families. Neurology 2011, 76, 373–382. [Google Scholar] [CrossRef]
- Neal, J.B.; Filippi, C.G.; Mayeux, R. Morphometric variability of neuroimaging features in Children with Agenesis of the Corpus Callosum. BMC Neurol. 2015, 15, 116. [Google Scholar] [CrossRef][Green Version]
- Wang-Leandro, A.; Dennler, M.; Beckmann, K.M. Presence of Probst Bundles Indicates White Matter Remodeling in a Dog With Corpus Callosum Hypoplasia and Dysplasia. Front. Vet. Sci. 2018, 5, 260. [Google Scholar] [CrossRef] [PubMed]
- Byrd, S.E.; Radkowski, M.A.; Flannery, A.; McLone, D.G. The clinical and radiological evaluation of absence of the corpus callosum. Eur. J. Radiol. 1990, 10, 65–73. [Google Scholar] [CrossRef] [PubMed]
- Volpe, P.; Campobasso, G.; De Robertis, V.; Rembouskos, G. Disorders of prosencephalic development. Prenat. Diagn. 2009, 29, 340–354. [Google Scholar] [CrossRef] [PubMed]
- Chaudhari, B.P.; Ho, M.L. Congenital Brain Malformations: An Integrated Diagnostic Approach. Semin. Pediatr. Neurol. 2022, 42, 100973. [Google Scholar] [CrossRef] [PubMed]
- Manor, C.; Rangasami, R.; Suresh, I.; Suresh, S. Magnetic Resonance Imaging Findings in Fetal Corpus Callosal Developmental Abnormalities: A Pictorial Essay. J. Pediatr. Neurosci. 2020, 15, 352–357. [Google Scholar] [CrossRef] [PubMed]
- Hyun Yoo, J.; Hunter, J. Imaging spectrum of pediatric corpus callosal pathology: A pictorial review. J. Neuroimaging 2013, 23, 281–295. [Google Scholar] [CrossRef]
- Glenn, O.A.; Goldstein, R.B.; Li, K.C.; Young, S.J.; Norton, M.E.; Busse, R.F.; Goldberg, J.D.; Barkovich, A.J. Fetal Magnetic Resonance Imaging in the Evaluation of Fetuses Referred for Sonographically Suspected Abnormalities of the Corpus Callosum. J. Ultrasound Med. 2005, 24, 791–804. [Google Scholar] [CrossRef]
- Vergani, P.; Ghidini, A.; Strobelt, N.; Locatelli, A.; Mariani, S.; Bertalero, C.; Cavallone, M. Prognostic indicators in the prenatal diagnosis of agenesis of the corpus callosum. Am. J. Obstet. Gynecol. 1994, 170, 753–758. [Google Scholar] [CrossRef]
- Gupta, J.K.; Lilford, R.J. Assessment and management of fetal agenesis of the corpus callosum. Prenat. Diagn. 1995, 15, 301–312. [Google Scholar] [CrossRef]
- Serur, D.; Jeret, J.S.; Wisniewski, K. Agenesis of the corpus callosum: Clinical, neuroradiological and cytogenetic studies. Neuropaediatrics 1988, 19, 87–91. [Google Scholar] [CrossRef]
- Cohen, M.M., Jr.; Kreiborg, S. Agenesis of the corpus callosum: Its associated anomalies and syndromes with special reference to the Apert syndrome. Neurosurg. Clin. N. Am. 1991, 2, 565–568. [Google Scholar] [CrossRef]
- Geoffrey, G. Other syndromes frequently associated with callosal agenesis. In Callosal Agenesis: A Natural Split Brain? Lassonde, M., Jeeves, M.A., Eds.; Plenum Press: New York, NY, USA, 1994; pp. 55–62. [Google Scholar] [CrossRef]
- Aicardi, J.; Chevrie, J.J. The Aicardi syndrome. In Callosal Agenesis: A Natural Split Brain? Lassonde, M., Jeeves, M.A., Eds.; Plenum Press: New York, NY, USA, 1994; pp. 7–15. [Google Scholar] [CrossRef]
- Sotiriadis, A.; Makrydimas, G. Neurodevelopment after prenatal diagnosis of isolated agenesis of the corpus callosum: An integrative review. Am. J. Obstet. Gynecol. 2012, 206, 337.e1–337.e5. [Google Scholar] [CrossRef]
- Bedeschi, M.F.; Bonaglia, M.C.; Grasso, R.; Pellegri, A.; Garghentino, R.R.; Battaglia, M.A.; Panarisi, A.M.; Di Rocco, M.; Balottin, U.; Bresolin, N.; et al. Agenesis of the corpus callosum: Clinical and genetic study in 63 young patients. Pediatr. Neurol. 2006, 34, 186–193. [Google Scholar] [CrossRef]
- Parazzini, C.; Righini, A.; Rustico, M.; Consonni, D.; Triulzi, F. Prenatal magnetic resonance imaging: Brain normal linear biometric values below 24 gestational weeks. Neuroradiology 2008, 50, 877–883. [Google Scholar] [CrossRef]
- Garel, C. MRI of the Fetal Brain: Normal Development and Cerebral Pathologies, Pathology of the Midline Cap; Springer: Berlin, Germany, 2004; pp. 131–149. [Google Scholar]
- Harreld, J.H.; Bhore, R.; Chason, D.P.; Twickler, D.M. Corpus callosum length by gestational age as evaluated by fetal MR imaging. AJNR Am. J. Neuroradiol. 2011, 32, 490–494. [Google Scholar] [CrossRef]
- Sira, L.B.; Kozyrev, D.A.; Bashat, D.B.; Constantini, S.; Roth, J.; Shiran, S. Fetal ventriculomegaly and hydrocephalus-What shouldn’t be missed on imaging? Neurol. India 2021, 69 (Suppl. S2), S298–S304. [Google Scholar] [CrossRef]
- Yeh, H.R.; Park, H.K.; Kim, H.J.; Ko, T.S.; Won, H.S.; Lee, M.Y.; Shim, J.Y.; Yum, M.S. Neurodevelopmental outcomes in children with prenatally diagnosed corpus callosal abnormalities. Brain Dev. 2018, 40, 634–641. [Google Scholar] [CrossRef] [PubMed]
- Manganaro, L.; Bernardo, S.; DeVito, C.; Antonelli, A.; Marchionni, E.; Vinci, V.; Saldari, M.; Di Meglio, L.; Giancotti, A.; Silvestri, E.; et al. Role of fetal MRI in the evaluation of isolated and non-isolated corpus callosum dysgenesis: Results of a cross-sectional study. Prenat. Diagn. 2017, 37, 244–252. [Google Scholar] [CrossRef] [PubMed]
- Tang, P.H.; Bartha, A.I.; Norton, M.E.; Barkovich, A.J.; Sherr, E.H.; Glenn, O.A. Agenesis of the corpus callosum: An MR imaging analysis of associated abnormalities in the fetus. AJNR Am. J. Neuroradiol. 2009, 30, 257–263. [Google Scholar] [CrossRef] [PubMed]
- Ibrahim, R.S.M.; Emad-Eldin, S. Beyond fetal magnetic resonance diagnosis of corpus callosum agenesis. Egypt. J. Radiol. Nucl. Med. 2020, 51, 75. [Google Scholar] [CrossRef]
- Settimo, C.; Bonanno, L.; Tresoldi, M.; Muratore, R.; Cucinotta, F.; Tripodi, E.; Piccolo, A.; Anchesi, S.; Impallomeni, C. Early and Innovative Rehabilitation in Warkany Syndrome 2 Associated with Agenesis of the Corpus Callosum: A Case Report. Children 2022, 9, 722. [Google Scholar] [CrossRef] [PubMed]
- Cereda, A.; Carey, J.C. The trisomy 18 syndrome. Orphanet J. Rare Dis. 2012, 7, 81. [Google Scholar] [CrossRef] [PubMed]
- Nicita, F.; Di Giacomo, M.; Palumbo, O.; Ferri, E.; Maiorani, D.; Vigevano, F.; Carella, M.; Capuano, A. Neurological features of 14q24-q32 interstitial deletion: Report of a new case. Mol. Cytogenet. 2015, 8, 93. [Google Scholar] [CrossRef]
- Li, R.; Fu, F.; Zhang, Y.-L.; Li, D.-Z.; Liao, C. Prenatal diagnosis of 17q12 duplication and deletion syndrome in two fetuses with congenital anomalies. Taiwan J. Obstet. Gynecol. 2014, 53, 579–582. [Google Scholar] [CrossRef] [PubMed]
- Kamath, A.; Linden, S.C.; Evans, F.M.; Hall, J.; Jose, S.F.; Spillane, S.A.; Hardie, A.D.R.; Morgan, S.M.; Pilz, D.T. Chromosome 17q12 duplications: Further delineation of the range of psychiatric and clinical phenotypes. Am. J. Med. Genet. Part B Neuropsychiatr. Genet. 2018, 177, 520–528. [Google Scholar] [CrossRef] [PubMed]
- Schell-Apacik, C.C.; Wagner, K.; Bihler, M.; Ertl-Wagner, B.; Heinrich, U.; Klopocki, E.; Kalscheuer, V.M.; Muenke, M.; von Voss, H. Agenesis and dysgenesis of the corpus callosum: Clinical, genetic and neuroimaging findings in a series of 41 patients. Am. J. Med. Genet. A 2008, 146A, 2501–2511. [Google Scholar] [CrossRef]
- Li, X.; Wang, Q. Magnetic Resonance Imaging (MRI) Diagnosis of Fetal Corpus Callosum Abnormalities and Follow-up Analysis. J Child Neurol. 2021, 36, 1017–1026. [Google Scholar] [CrossRef]
- Sztriha, L. Spectrum of corpus callosum agenesis. Pediatr. Neurol. 2005, 32, 94–101. [Google Scholar] [CrossRef]
- Vahedifard, F.; Adepoju, J.O.; Supanich, M.; Ai, H.A.; Liu, X.; Kocak, M.; Marathu, K.K.; Byrd, S.E. Review of deep learning and artificial intelligence models in fetal brain magnetic resonance imaging. World J. Clin. Cases 2023, 11, 3725–3735. [Google Scholar] [CrossRef] [PubMed]
- Vahedifard, F.; Liu, X.; Adepoju, J.O.; Zhao, S.; Ai, H.A.; Marathu, K.K.; Supanich, M.; Byrd, S.E.; Deng, J. Automatic Localization of the Pons and Vermis on Fetal Brain MR Imaging Using a U-Net Deep Learning Model. AJNR Am. J. Neuroradiol. 2023, 44, 1191–1200. [Google Scholar] [CrossRef] [PubMed]
- Da Silva, N.A.; Vassallo, J.; Sarian, L.O.; Cognard, C.H.; Sevely, A. Magnetic resonance imaging of the fetal brain at 3 Tesla. Preliminary experience from a single series. Medicine 2018, 97, 1–6. [Google Scholar] [CrossRef]
- El Ameen, N.F.; Ibrahim, M.A.; Mouner, S.M. Fiber Tractography and Diffusion Tensor Imaging in Children with Agenesis and Dysgenesis of Corpus Callosum: A Clinico-Radiological Correlation. Int. J. Pediatr. 2019, 7, 9903–9915. [Google Scholar] [CrossRef]
- Rüland, A.M.; Berg, C.; Gembruch, U.; Geipel, A. Prenatal diagnosis of anomalies of the corpus callosum over a 13-year period. Ultraschall Med. 2016, 37, 598–603. [Google Scholar] [CrossRef] [PubMed]
- Barkovich, A.J.; Norman, D. Anomalies of the corpus callosum: Correlation with further anomalies of the brain. AJR Am. J. Roentgenol. 1988, 151, 171–179. [Google Scholar] [CrossRef]
- Kidron, D.; Shapira, D.; Ben Sira, L.; Malinger, G.; Lev, D.; Cioca, A.; Sharony, R.; Lerman Sagie, T. Agenesis of the corpus callosum. An autopsy study in fetuses. Virchows Arch. 2016, 468, 219–230. [Google Scholar] [CrossRef] [PubMed]
- Kitova, T.T.; Kitov, B.; Milkov, D.; Gaigi, S. Postnatally diagnosed agenesis of corpus callosum in fetuses. Fetal Pediatr. Pathol. 2014, 33, 239–243. [Google Scholar] [CrossRef] [PubMed]
- Alby, C.; Malan, V.; Boutaud, L.; Marangoni, M.A.; Bessières, B.; Bonniere, M.; Ichkou, A.; Elkhartoufi, N.; Bahi-Buisson, N.; Sonigo, P.; et al. Clinical, genetic and neuropathological findings in a series of 138 fetuses with a corpus callosum malformation. Birth Defects Res. Part A Clin. Mol. Teratol. 2016, 106, 36–46. [Google Scholar] [CrossRef]
- Taylor, M.; David, A.S. Agenesis of the corpus callosum: A United Kingdom series of 56 cases. J. Neurol. Neurosurg. Psychiatry 1998, 64, 131–134. [Google Scholar] [CrossRef]
- Jacobson, I.; Jeeves, M.A. A New Syndrome: Familial Fronto-Nasal Dermoid Cysts with Agenesis of the Corpus Callosum. In Callosal Agenesis: A Natural Split Brain? Advances in Behavioral Biology; Lassonde, M., Jeeves, M.A., Eds.; Springer: Boston, MA, USA, 1994; Volume 42. [Google Scholar]
- Di Trani, M.G.; Manganaro, L.; Antonelli, A.; Guerreri, M.; De Feo, R.; Catalano, C.; Capuani, S. Apparent diffusion coefficient assessment of brain development in normal fetuses and ventriculomegaly. Front. Phys. 2019, 7, 160. [Google Scholar] [CrossRef]










| Fetuses with Corpus Callosal Abnormalities (N = 24) | Mean ± SD or N (%) |
|---|---|
| Mean maternal age at delivery (years) | 30 ± 7 |
| Mean WG (weeks) at the time of fetal MRI | 26 ± 5 |
| Maternal comorbid diagnoses | |
| Preeclampsia | 5 (21%) |
| Gestational or chronic hypertension | 3 (13%) |
| Gestational diabetes | 3 (13%) |
| Maternal cancer | 1 (4%) |
| Teen pregnancy | 4 (17%) |
| Elderly pregnancy | 5 (21%) |
| Amniocentesis | |
| Normal karyotype, CMA and WES | 17 (71%) |
| Abnormal results | 7 (29%) |
| Birth Weight (g) | 2947 ± 951 |
| Birth WG (week) | 36 ± 5 |
| Male | 13 (55%) |
| Disposition | |
| Inborn live birth | 20 (83%) |
| MTP | 2 (8%) |
| Stillbirths | 2 (8%) |
| No. | WG/Sex | Delivery History | CCA Subclass | Associated CNS Anomaly | Associated Non-CNS Anomaly | Genetic Analysis |
|---|---|---|---|---|---|---|
| 1 | 36/M | Full term | Complete Agenesis | colpocephaly | 46XY | |
| 2 | 34/F | Full term | Complete Agenesis | ventriculomegaly, heterotopia | 46XX | |
| 3 | 24/M | Full term | Complete Agenesis | IHC, Arachnoid cyst, colpocephaly, ventriculomegaly | Thick nuchal fold, hydronephrosis | Trisomy 8 |
| 4 | 22/F | Full term | Complete Agenesis | colpocephaly, ventriculomegaly | 46XX | |
| 5 | 20/M | Preterm | Complete Agenesis | IHC, absent septum pellucidum, blake pouch cyst, vermian hypoplasia | Trisomy 18 | |
| 6 | 23/M | Preterm | Complete Agenesis | IHC, colpocephaly | 46XY | |
| 7 | 31/F | N/A | Complete Agenesis | IHC, colpocephaly | 46XY | |
| 8 | 22/F | Full term | Complete Agenesis | Heterotopia | 46XX | |
| 9 | 25/M | Full term | Complete Agenesis | IHC, colpocephaly | 8q partial trisomy syndrome | |
| 10 | 20/M | Full term | Complete Agenesis | IHC | 46XY | |
| 11 | 24/M | Full term | Complete Agenesis | Large IHC with incorporation of left ventricle into cyst | 46XY | |
| 12 | 19/F | N/A | Complete Agenesis | Dandy walker variant with distorted medulla, cerebellar hypoplasia | 46XX, 47XX + sSMCs | |
| 13 | 27/F | Full term | Complete Agenesis | Sphenoidal meningoencephalocele | Cleft lip, cleft palate | 46XX del 17q12 |
| 14 | 25/M | Full term | Complete Agenesis | Colpocephaly | Nasal dermoid cyst | 46XY |
| 15 | 29/M (twin) | Full term | Complete Agenesis | IHC, colpocephaly | 46XY | |
| 16 | 26/M | N/A | Complete Agenesis | IHC, colpocephaly, ventriculomegaly | 46XY | |
| 17 | 33/M | Full term | Complete Agenesis | Colpocephaly, Absent septum pellucidum, ventriculomegaly | T12 hemivertebrae, thoracic bodies fusion | 46XY |
| 18 | 27/F | Full term | Complete Agenesis | Colpocephaly, Absent septum pellucidum, ventriculomegaly | 46XX | |
| 19 | 28/M | Preterm | Complete Agenesis | Colpocephaly, Absent septum pellucidum, heterotopia | Renal anomaly (hydroureteronephrosis) | Trisomy 8 mosaicism |
| 20 | 27/F | Full term | Hypoplasia of splenium | Colpocephaly | 46XX | |
| 21 | 26/M | N/A | Hypoplasia of splenium | IHC, blake pouch cyst | 46XY | |
| 22 | 29/F | Preterm | Complete Hypoplasia | Absent septum pellucidum, ventriculomegaly, vermian hypoplasia, aqueductal stenosis | 46XX del 14q24.3 and q32.1. | |
| 23 | 22/F | Preterm | Dysplasia | Hemimegalencephaly, germinolytic cyst, schizencephaly | Facial dysmorphism with fused eyes | 46XX |
| 24 | 26/F | Preterm | Hypoplasia with Dysplasia | Ventriculomegaly, Reduced white matter | 46XX |
Disclaimer/Publisher’s Note: The statements, opinions and data contained in all publications are solely those of the individual author(s) and contributor(s) and not of MDPI and/or the editor(s). MDPI and/or the editor(s) disclaim responsibility for any injury to people or property resulting from any ideas, methods, instructions or products referred to in the content. |
© 2024 by the authors. Licensee MDPI, Basel, Switzerland. This article is an open access article distributed under the terms and conditions of the Creative Commons Attribution (CC BY) license (https://creativecommons.org/licenses/by/4.0/).
Share and Cite
Marathu, K.K.; Vahedifard, F.; Kocak, M.; Liu, X.; Adepoju, J.O.; Bowker, R.M.; Supanich, M.; Cosme-Cruz, R.M.; Byrd, S. Fetal MRI Analysis of Corpus Callosal Abnormalities: Classification, and Associated Anomalies. Diagnostics 2024, 14, 430. https://doi.org/10.3390/diagnostics14040430
Marathu KK, Vahedifard F, Kocak M, Liu X, Adepoju JO, Bowker RM, Supanich M, Cosme-Cruz RM, Byrd S. Fetal MRI Analysis of Corpus Callosal Abnormalities: Classification, and Associated Anomalies. Diagnostics. 2024; 14(4):430. https://doi.org/10.3390/diagnostics14040430
Chicago/Turabian StyleMarathu, Kranthi K., Farzan Vahedifard, Mehmet Kocak, Xuchu Liu, Jubril O. Adepoju, Rakhee M. Bowker, Mark Supanich, Rosario M. Cosme-Cruz, and Sharon Byrd. 2024. "Fetal MRI Analysis of Corpus Callosal Abnormalities: Classification, and Associated Anomalies" Diagnostics 14, no. 4: 430. https://doi.org/10.3390/diagnostics14040430
APA StyleMarathu, K. K., Vahedifard, F., Kocak, M., Liu, X., Adepoju, J. O., Bowker, R. M., Supanich, M., Cosme-Cruz, R. M., & Byrd, S. (2024). Fetal MRI Analysis of Corpus Callosal Abnormalities: Classification, and Associated Anomalies. Diagnostics, 14(4), 430. https://doi.org/10.3390/diagnostics14040430

