Recurrent Metastatic Pulmonary Synovial Sarcoma during Pregnancy: A Case Report and Literature Review
Abstract
1. Introduction
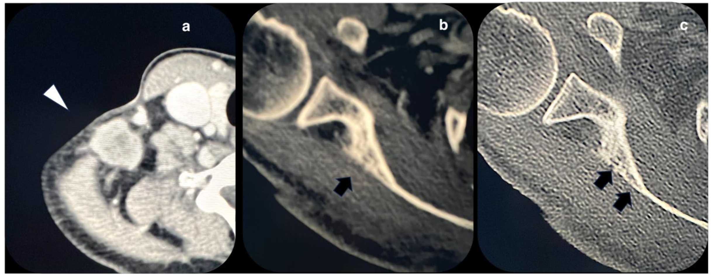
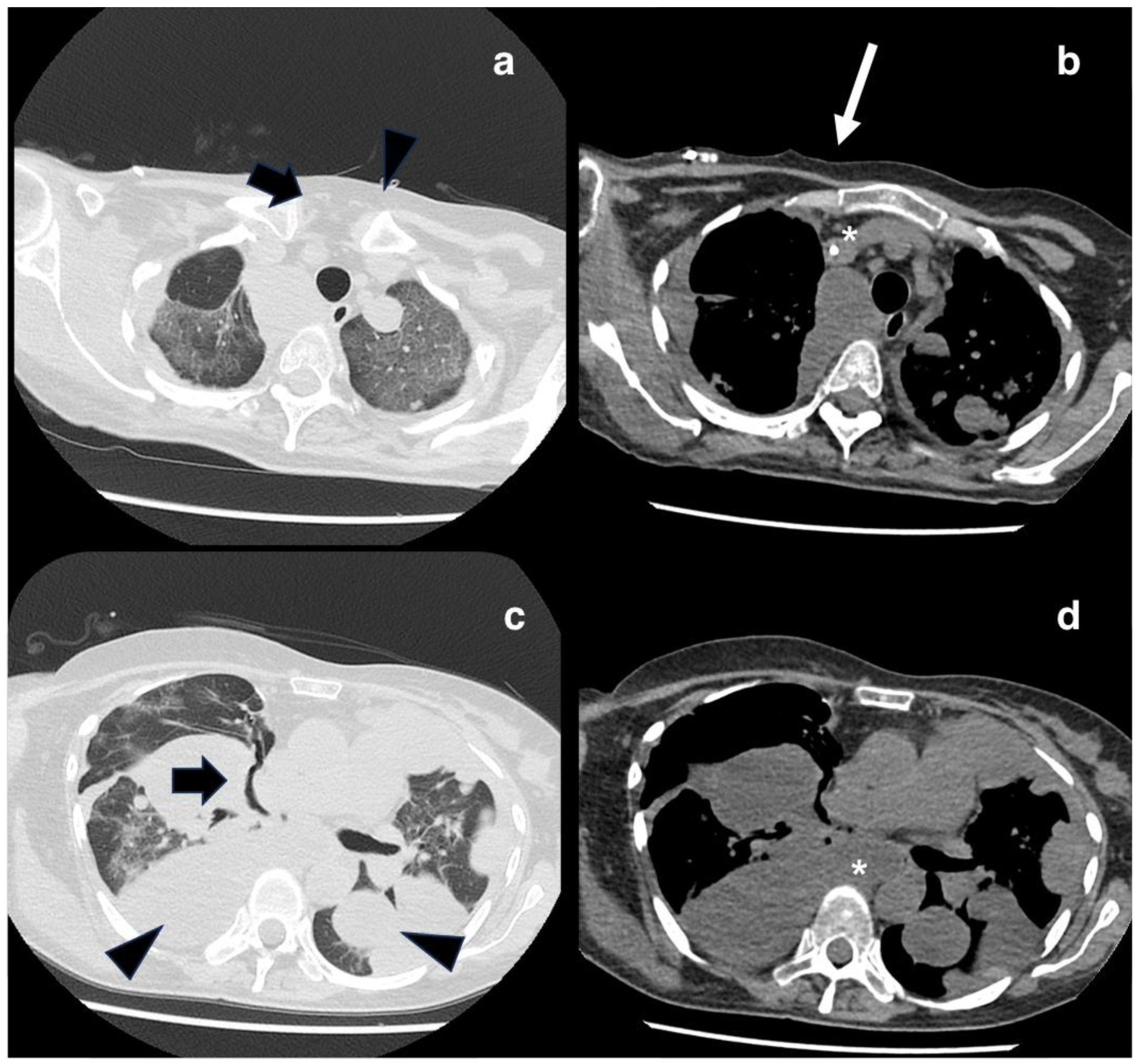
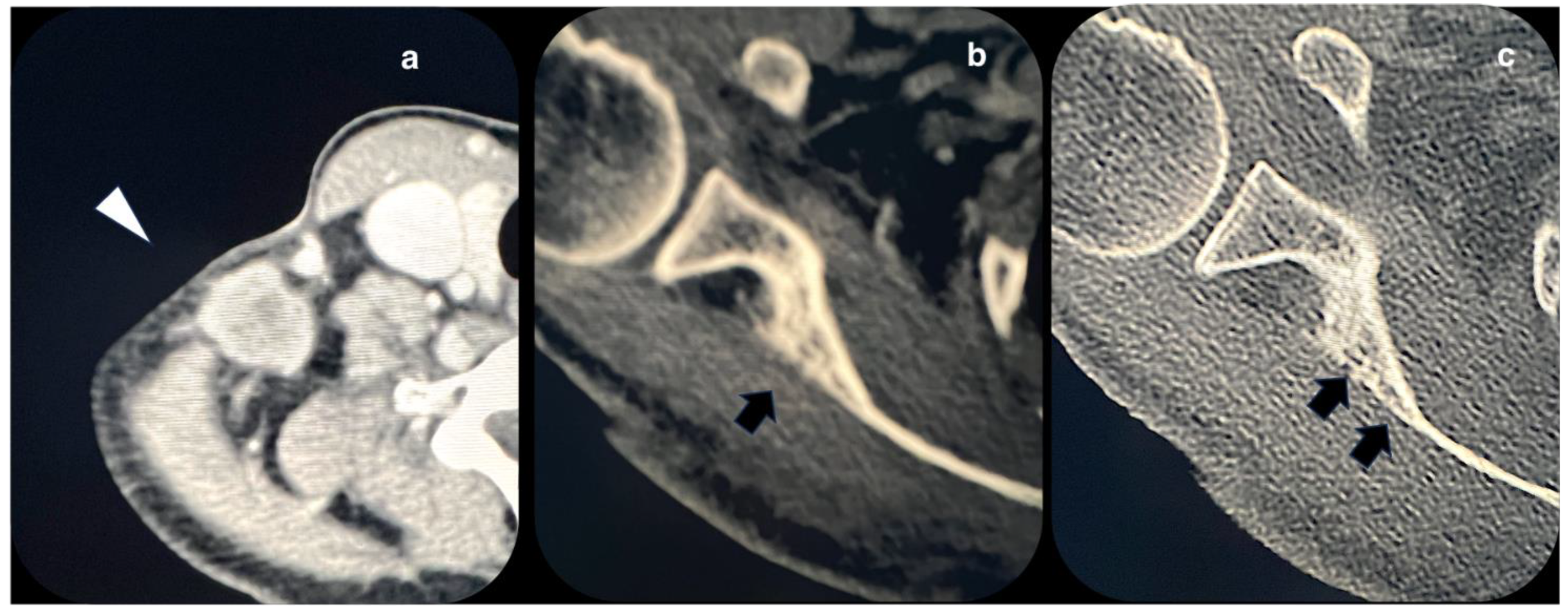
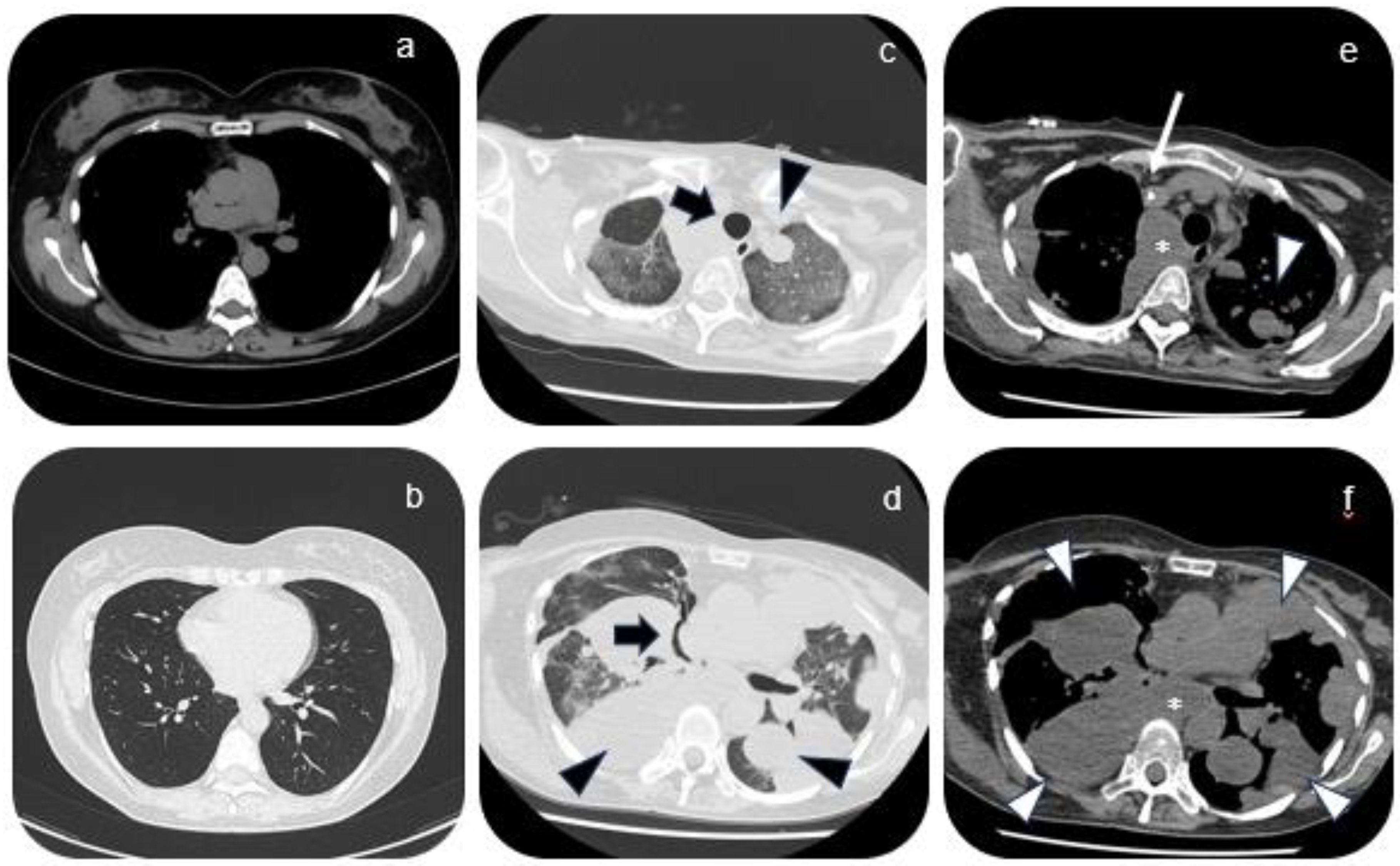
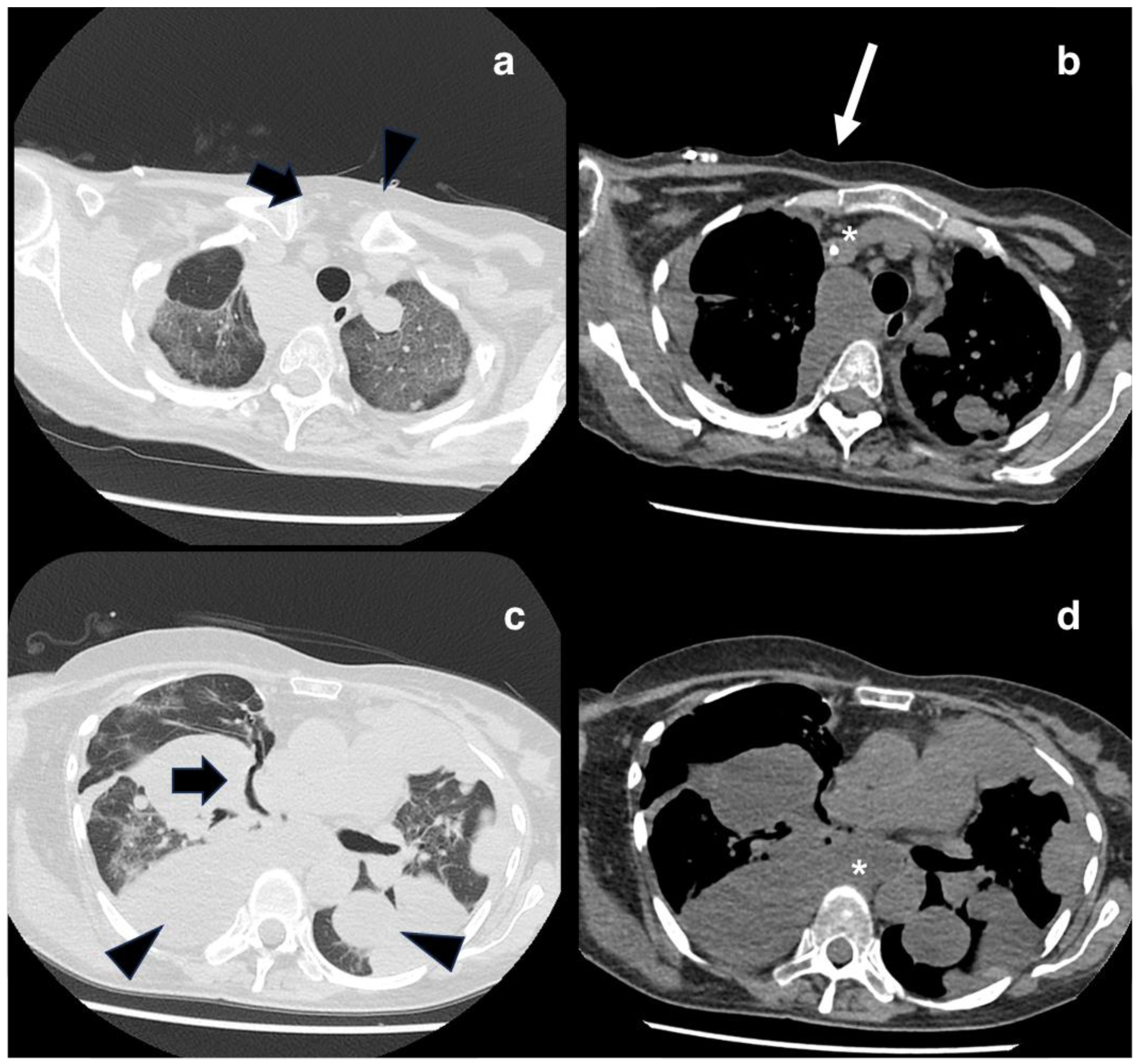
2. Case Presentation
3. Discussion
4. Conclusions
Author Contributions
Funding
Institutional Review Board Statement
Informed Consent Statement
Data Availability Statement
Conflicts of Interest
References
- AIOM. I Numeri del Cancro in Italia 2022; AIOM: Milan, Italy, 2022. [Google Scholar]
- Panigrahi, M.K.; Pradhan, G.; Sahoo, N.; Mishra, P.; Patra, S.; Mohapatra, P.R. Primary pulmonary synovial sarcoma: A reappraisal. J. Cancer Res. Ther. 2018, 14, 481–489. [Google Scholar] [CrossRef] [PubMed]
- Weiss, S.W.; Goldblum, J.R. Enzinger and Weiss’s Soft Tissue Tumors; Mosby: St Louis, MI, USA, 2008; pp. 1161–1182. [Google Scholar]
- Esaka, E.J.; Celebrezze, J.U.; Golde, S.H.; Chiossi, G.; Thomas, R.L. Pulmonary synovial sarcoma presenting as a pneumothorax during pregnancy. Obstet. Gynecol. 2008, 111, 555–558. [Google Scholar] [CrossRef] [PubMed]
- Harris, E.M.; Allan, R.W.; Riggs, C.E., Jr. Primary Pulmonary Synovial Sarcoma during Pregnancy: A Diagnostic and Therapeutic Dilemma. Case Rep. Oncol. 2014, 7, 139–143. [Google Scholar] [CrossRef] [PubMed]
- Bunch, K.; Deering, S.H. Primary pulmonary synovial sarcoma in pregnancy. Case Rep. Obstet. Gynecol. 2012, 2012, 326031. [Google Scholar] [CrossRef] [PubMed]
- Sakurai, H.; Hosokawa, H.; Hada, M.; Miyashita, Y.; Oyama, T.; Ashizawa, I. Spontaneous hemothorax caused by intrathoracic synovial sarcoma. Jpn. J. Thorac. Cardiovasc. Surg. 2006, 54, 217–220. [Google Scholar] [CrossRef] [PubMed]
- Spillane, A.J.; A’Hern, R.; Judson, I.R.; Fisher, C.; Thomas, J.M. Synovial sarcoma: A clinicopathologic, staging, and prognostic assessment. J. Clin. Oncol. 2000, 18, 3794–3803. [Google Scholar] [CrossRef] [PubMed]
- Dimitriadis, E.; Rontogianni, D.; Kyriazoglou, A.; Takou, A.; Frangia, K.; Pandis, N.; Trangas, T. Novel SYT-SSX fusion transcript variants in synovial sarcoma. Cancer Genet Cytogenet. 2009, 195, 54–58. [Google Scholar] [CrossRef] [PubMed]
- Fisher, C.; de Bruijn, D.R.H.; Geurts van Kessel, A. Synovial sarcoma. In World Health Organization Classification of Tumours: Pathology and Genetics of Tumours of Soft Tissue and Bone; Fletcher, C.D.M., Unni, K.K., Mertens, F., Eds.; IARC Press: Lyons, France, 2002; pp. 200–204. [Google Scholar]
- Fisher, C. Synovial sarcoma. Ann. Diagn. Pathol. 1998, 2, 401–421. [Google Scholar] [CrossRef] [PubMed]
- Colwell, A.S.; D’Cunha, J.; Vargas, S.O.; Parker, B.; Cin, P.D.; Maddaus, M.A. Synovial sarcoma of the pleura: A clinical and pathologic study of three cases. J. Thorac. Cardiovasc. Surg. 2002, 124, 828–832. [Google Scholar] [CrossRef] [PubMed]
- Gaertner, E.; Zeren, E.H.; Fleming, M.Y.; Colby, T.V.; Travis, W.D. Biphaic synovial sarcomas arising in the pleural cavity. A clinicopathologic study of five cases. Am. J. Surg. Pathol. 1996, 20, 36–45. [Google Scholar] [CrossRef] [PubMed]
- O’Sullivan, P.J.; Harris, A.C.; Munk, P.L. Radiological features of synovial cell sarcoma. BJR 2008, 81, 346–356. [Google Scholar] [CrossRef] [PubMed]
- Roy, P.; Das, A.; Sarkar, A.; Dwari, A.; Datta, S. A primary synovial sarcoma of lung. N. Am. J. Med. Sci. 2012, 4, 241–243. [Google Scholar] [PubMed]
- Mirzoyan, M.; Muslimani, A.; Setrakian, S.; Swedeh, M.; Daw, H.A. Primary pleuropulmonary synovial sarcoma. Clin. Lung Cancer 2008, 9, 257–261. [Google Scholar] [CrossRef] [PubMed]
- Canter, R.J.; Qin, L.X.; Maki, R.G.; Brennan, M.F.; Ladanyi, M.; Singer, S. A synovial sarcoma-specific preoperative nomogram supports a survival benefit to ifosfamide-based chemotherapy and improves risk stratification for patients. Clin. Cancer Res. 2008, 14, 8191–8197. [Google Scholar] [CrossRef] [PubMed]
- Krieg, A.H.; Hefti, F.; Speth, B.M.; Jundt, G.; Guillou, L.; Exner, U.G.; von Hochstetter, A.R.; Cserhati, M.D.; Fuchs, B.; Mouhsine, E.; et al. Synovial sarcomas usually metastasize after >5 years: A multicenter retrospective analysis with a minimum follow-up of 10 years for survivors. Ann. Oncol. 2011, 22, 458–467. [Google Scholar] [CrossRef] [PubMed]
- ten Heuvel, S.E.; Hoekstra, H.J.; Bastiaannet, E.; Suurmeijer, A.J. The classic prognostic factors tumor stage, tumor size, and tumor grade are the strongest predictors of outcome in synovial sarcoma: No role for SSX fusion type or ezrin expression. Appl. Immunohistochem. Mol. Morphol. 2009, 17, 189–195. [Google Scholar] [CrossRef] [PubMed]
- Wang, W.; Guo, J.; Bao, M.; Liu, X.; Wang, H.; Ye, C. Primary pulmonary synovial sarcoma. JTCVS Open 2022, 10, 404–414. [Google Scholar] [CrossRef] [PubMed]
- Hobel, C.J.; Goldstein, A.; Barrett, E.S. Psychosocial stress and pregnancy outcome. Clin. Obstet. Gynecol. 2008, 51, 333–348. [Google Scholar] [CrossRef] [PubMed]
- Henry, M.; Huang, L.N.; Sproule, B.J.; Cardonick, E.H. The psychological impact of a cancer diagnosed during pregnancy: Determinants of long-term distress. Psychooncology 2012, 21, 444–450. [Google Scholar] [CrossRef] [PubMed]



| Authors | Primary | Diagnosis | Treatments | Pregnancy Outcome | GA at Delivery | Mode of Delivery | Maternal Outcome after Diagnosis | Maternal Outcome after Delivery |
|---|---|---|---|---|---|---|---|---|
| Sakurai H et al., 2006 [7] | Yes | During pregnancy | Refused | Miscarriage | 20 weeks | / | Unknown | Unknown |
| Esaka EJ et al., 2008 [4] | Yes | During pregnancy | Performed | Live birth | 34 weeks | Spontaneous | Death after 13 months of diagnosis | Death after 13 months of delivery |
| Bunch K et al., 2012 [6] | Yes | During pregnancy | Performed | Live birth | 32 weeks | CS for fetal conditions | Death after 12 weeks of diagnosis | Death after 6 weeks of delivery |
| Harris EM et al., 2014 [5] | Yes | During pregnancy | Performed | Live birth | 31 weeks | CS for fetal conditions | Death after 12 weeks of diagnosis | Death after 6 weeks of delivery |
| Present case | Recurrence | Before pregnancy | Refused | Live birth | 34 weeks | CS for maternal conditions | Death 13 years after diagnosis | Death after 3 months of delivery |
Disclaimer/Publisher’s Note: The statements, opinions and data contained in all publications are solely those of the individual author(s) and contributor(s) and not of MDPI and/or the editor(s). MDPI and/or the editor(s) disclaim responsibility for any injury to people or property resulting from any ideas, methods, instructions or products referred to in the content. |
© 2024 by the authors. Licensee MDPI, Basel, Switzerland. This article is an open access article distributed under the terms and conditions of the Creative Commons Attribution (CC BY) license (https://creativecommons.org/licenses/by/4.0/).
Share and Cite
De Rocco, S.; Di Biasi, J.; Fantasia, I.; Tabacco, S.; Ricevuto, E.; Palumbo, P.; Imbergamo, I.; Ludovisi, M.; Guido, M. Recurrent Metastatic Pulmonary Synovial Sarcoma during Pregnancy: A Case Report and Literature Review. Diagnostics 2024, 14, 424. https://doi.org/10.3390/diagnostics14040424
De Rocco S, Di Biasi J, Fantasia I, Tabacco S, Ricevuto E, Palumbo P, Imbergamo I, Ludovisi M, Guido M. Recurrent Metastatic Pulmonary Synovial Sarcoma during Pregnancy: A Case Report and Literature Review. Diagnostics. 2024; 14(4):424. https://doi.org/10.3390/diagnostics14040424
Chicago/Turabian StyleDe Rocco, Silvia, Jasmine Di Biasi, Ilaria Fantasia, Sara Tabacco, Enrico Ricevuto, Pierpaolo Palumbo, Ilenia Imbergamo, Manuela Ludovisi, and Maurizio Guido. 2024. "Recurrent Metastatic Pulmonary Synovial Sarcoma during Pregnancy: A Case Report and Literature Review" Diagnostics 14, no. 4: 424. https://doi.org/10.3390/diagnostics14040424
APA StyleDe Rocco, S., Di Biasi, J., Fantasia, I., Tabacco, S., Ricevuto, E., Palumbo, P., Imbergamo, I., Ludovisi, M., & Guido, M. (2024). Recurrent Metastatic Pulmonary Synovial Sarcoma during Pregnancy: A Case Report and Literature Review. Diagnostics, 14(4), 424. https://doi.org/10.3390/diagnostics14040424

