New Prospects on Neuroimaging in Von Hippel Lindau Disease—A Narrative Review
Abstract
1. Introduction
2. Materials and Methods
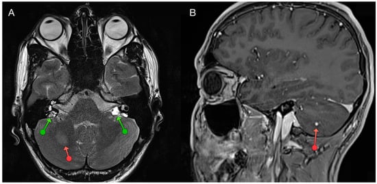
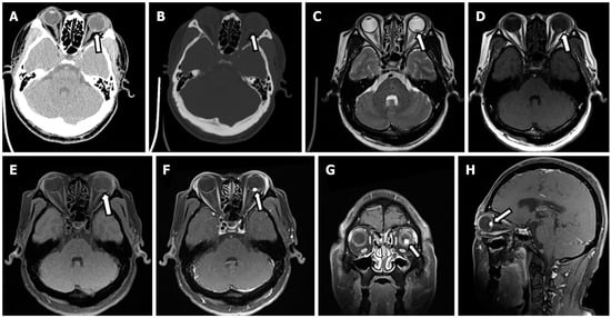
3. Results/Discussion
4. Conclusions
Author Contributions
Funding
Institutional Review Board Statement
Informed Consent Statement
Data Availability Statement
Conflicts of Interest
References
- Chittiboina, P.; Lonser, R.R. Von Hippel–Lindau Disease. Handb. Clin. Neurol. 2015, 132, 139–156. [Google Scholar] [PubMed]
- Varshney, N.; Kebede, A.A.; Owusu-Dapaah, H.; Lather, J.; Kaushik, M.; Bhullar, J.S. A Review of von Hippel-Lindau Syndrome. J. Kidney Cancer VHL 2017, 4, 20–29. [Google Scholar] [CrossRef]
- Daniels, A.B.; Tirosh, A.; Huntoon, K.; Mehta, G.U.; Spiess, P.E.; Friedman, D.L.; Waguespack, S.G.; Kilkelly, J.E.; Rednam, S.; Pruthi, S.; et al. Guidelines for Surveillance of Patients with von Hippel-Lindau Disease: Consensus Statement of the International VHL Surveillance Guidelines Consortium and VHL Alliance. Cancer 2023, 129, 2927–2940. [Google Scholar] [CrossRef] [PubMed]
- Binderup, M.L.M.; Stendell, A.-S.; Galanakis, M.; Møller, H.U.; Kiilgaard, J.F.; Bisgaard, M.L. Retinal Hemangioblastoma: Prevalence, Incidence and Frequency of Underlying von Hippel-Lindau Disease. Br. J. Ophthalmol. 2018, 102, 942–947. [Google Scholar] [CrossRef]
- Wong, W.T.; Agrón, E.; Coleman, H.R.; Tran, T.; Reed, G.F.; Csaky, K.; Chew, E.Y. Clinical characterization of retinal capillary hemangioblastomas in a large population of patients with von Hippel-Lindau disease. Ophthalmology 2008, 115, 181–188. [Google Scholar] [CrossRef] [PubMed]
- Al-Essa, R.S.; Helmi, H.A.; Alkatan, H.M.; Maktabi, A.M.Y. Juxtapapillary retinal capillary hemangioma: A clinical and histopathological case report. Int. J. Surg. Case Rep. 2021, 79, 227–230. [Google Scholar] [CrossRef] [PubMed]
- Wiley, H.E.; Krivosic, V.; Gaudric, A.; Gorin, M.B.; Shields, C.; Shields, J.; Aronow, M.E.; Chew, E.Y. Management of Retinal Hemangioblastoma in von Hippel–Lindau Disease. Retina 2019, 39, 2254–2263. [Google Scholar] [CrossRef]
- Huang, Y.; Hu, W.; Huang, X. Retinal Hemangioblastoma in a Patient with Von Hippel-Lindau Disease: A Case Report and Literature Review. Front. Oncol. 2022, 12, 963469. [Google Scholar] [CrossRef] [PubMed]
- Gläsker, S.; Vergauwen, E.; Koch, C.A.; Kutikov, A.; Vortmeyer, A.O. Von Hippel-Lindau Disease: Current Challenges and Future Prospects. Onco Targets Ther. 2020, 13, 5669–5690. [Google Scholar] [CrossRef] [PubMed]
- Aronow, M.E.; Wiley, H.E.; Gaudric, A.; Krivosic, V.; Gorin, M.B.; Shields, C.L.; Shields, J.A.; Jonasch, E.W.; Singh, A.D.; Chew, E.Y. Von Hippel–Lindau Disease. Retina 2019, 39, 2243–2253. [Google Scholar] [CrossRef]
- Huntoon, K.; Shepard, M.J.; Lukas, R.V.; McCutcheon, I.E.; Daniels, A.B.; Asthagiri, A.R. Hemangioblastoma Diagnosis and Surveillance in von Hippel–Lindau Disease: A Consensus Statement. J. Neurosurg. 2022, 136, 1511–1516. [Google Scholar] [CrossRef] [PubMed]
- Vergauwen, E.; Vanbinst, A.-M.; Brussaard, C.; Janssens, P.; De Clerck, D.; Van Lint, M.; Houtman, A.C.; Michel, O.; Keymolen, K.; Lefevere, B.; et al. Central Nervous System Gadolinium Accumulation in Patients Undergoing Periodical Contrast MRI Screening for Hereditary Tumor Syndromes. Hered. Cancer Clin. Pract. 2018, 16, 2. [Google Scholar] [CrossRef] [PubMed]
- Page, M.J.; McKenzie, J.E.; Bossuyt, P.M.; Boutron, I.; Hoffmann, T.C.; Mulrow, C.D.; Shamseer, L.; Tetzlaff, J.M.; Akl, E.A.; Brennan, S.E.; et al. The PRISMA 2020 Statement: An Updated Guideline for Reporting Systematic Reviews. BMJ 2021, 372, n71. [Google Scholar] [CrossRef]
- Marvin, E.; Akhter, A.; Coppens, J. Recurrent Hemorrhage in Hemangioblastoma Involving the Posterior Fossa: Case Report. Surg. Neurol. Int. 2017, 8, 122. [Google Scholar] [CrossRef]
- Tang, X.; Ji, H.-M.; Li, W.-W.; Ding, Z.-X.; Ye, S.-L. Imaging Features of Retinal Hemangioblastoma: A Case Report. World J. Clin. Cases 2023, 11, 692–699. [Google Scholar] [CrossRef]
- Takahashi, A.; Muraoka, Y.; Koyasu, S.; Arakawa, Y.; Nakamura, E.; Tsujikawa, A. Novel Manifestation of Retinal Hemangioblastomas Detected by OCT Angiography in von Hippel-Lindau Disease. Ophthalmology 2023, 130, 748–755. [Google Scholar] [CrossRef]
- Pilotto, E.; Nacci, E.B.; De Mojà, G.; Ferrara, A.M.; Parrozzani, R.; Londei, D.; Zovato, S.; Midena, E. Structural and Microvascular Changes of the Peripapillary Retinal Nerve Fiber Layer in Von Hippel–Lindau Disease: An OCT and OCT Angiography Study. Sci. Rep. 2021, 11, 25. [Google Scholar] [CrossRef] [PubMed]
- Pilotto, E.; Torresin, T.; Bacelle, M.L.; De Mojà, G.; Ferrara, A.M.; Zovato, S.; Midena, G.; Midena, E. Hyper-Reflective Retinal Foci as Possible in Vivo Imaging Biomarker of Microglia Activation in von Hippel-Lindau Disease. PLoS ONE 2022, 17, e0272318. [Google Scholar] [CrossRef]
- Halefoglu, A.M. Von Hippel-Lindau Disease Presenting with Cranial and Spinal Hemangioblastomas: MRI Findings. Acta Med. Iran 2023, 61, 115–117. [Google Scholar] [CrossRef]
- Takami, H.; Graffeo, C.S.; Perry, A.; Brown, D.A.; Meyer, F.B.; Burns, T.C.; Parney, I.F. Presentation, Imaging, Patterns of Care, Growth, and Outcome in Sporadic and von Hippel–Lindau-Associated Central Nervous System Hemangioblastomas. J. Neurooncol. 2022, 159, 221–231. [Google Scholar] [CrossRef]
- Mehta, G.U.; Kim, H.J.; Gidley, P.W.; Daniels, A.B.; Miller, M.E.; Lekovic, G.P.; Butman, J.A.; Lonser, R.R. Endolymphatic Sac Tumor Screening and Diagnosis in von Hippel-Lindau Disease: A Consensus Statement. J. Neurol. Surg. B Skull Base 2022, 83, e225–e231. [Google Scholar] [CrossRef]
- Vanbinst, A.-M.; Brussaard, C.; Vergauwen, E.; Van Velthoven, V.; Kuijpers, R.; Michel, O.; Foulon, I.; Jansen, A.C.; Lefevere, B.; Bohler, S.; et al. A Focused 35-Minute Whole Body MRI Screening Protocol for Patients with von Hippel-Lindau Disease. Hered. Cancer Clin. Pract. 2019, 17, 22. [Google Scholar] [CrossRef]
- Sizdahkhani, S.; Feldman, M.J.; Piazza, M.G.; Ksendzovsky, A.; Edwards, N.A.; Ray-Chaudhury, A.; Maric, D.; Merrill, M.J.; Pacak, K.; Zhuang, Z.; et al. Somatostatin Receptor Expression on von Hippel-Lindau-Associated Hemangioblastomas Offers Novel Therapeutic Target. Sci. Rep. 2017, 7, 40822. [Google Scholar] [CrossRef] [PubMed]
- Cleary, J.O.; Yeung, J.; Mcmeekin, H.; Wilhelm, T.; Wagner, T. The Significance of Incidental Brain Uptake on 68Ga-DOTATATE PET-CT in Neuroendocrine Tumour Patients. Nucl. Med. Commun. 2016, 37, 1197–1205. [Google Scholar] [CrossRef] [PubMed]
- Prasad, V.; Tiling, N.; Denecke, T.; Brenner, W.; Plöckinger, U. Potential Role of 68Ga-DOTATOC PET/CT in Screening for Pancreatic Neuroendocrine Tumour in Patients with von Hippel-Lindau Disease. Eur. J. Nucl. Med. Mol. Imaging 2016, 43, 2014–2020. [Google Scholar] [CrossRef] [PubMed]
- Shamim, S.A.; Arora, G.; Kumar, N.; Hussain, J.; Gupta, S.D.; St, A.R.; Shankar, K.; Goyal, A.; Khadgawat, R.; Sagar, S.; et al. 68Ga-DOTANOC PET/CT for Screening and Surveillance of von Hippel-Lindau (VHL) Disease. Nucl. Med. Mol. Imaging 2023, 57, 235–242. [Google Scholar] [CrossRef]
- Shell, J.; Tirosh, A.; Millo, C.; Sadowski, S.M.; Assadipour, Y.; Green, P.; Patel, D.; Nilubol, N.; Kebebew, E. The Utility of 68Gallium-DOTATATE PET/CT in the Detection of von Hippel-Lindau Disease Associated Tumors. Eur. J. Radiol. 2019, 112, 130–135. [Google Scholar] [CrossRef]
- Tirosh, A.; Journy, N.; Folio, L.R.; Lee, C.; Leite, C.; Yao, J.; Kovacs, W.; Linehan, W.M.; Malayeri, A.; Kebebew, E.; et al. Cumulative Radiation Exposures from CT Screening and Surveillance Strategies for von Hippel-Lindau–Associated Solid Pancreatic Tumors. Radiology 2019, 290, 116–124. [Google Scholar] [CrossRef]
- Papadakis, G.Z.; Millo, C.; Jassel, I.S.; Bagci, U.; Sadowski, S.M.; Karantanas, A.H.; Patronas, N.J. 18F-FDG and 68Ga-DOTATATE PET/CT in von Hippel-Lindau Disease-Associated Retinal Hemangioblastoma. Clin. Nucl. Med. 2017, 42, 189–190. [Google Scholar] [CrossRef]
- Dev, I.D.; Rangarajan, V.; Puranik, A.D.; Agrawal, A.; Shah, S.; Sahay, A.; Purandare, N.C. Sporadic Cerebellar Hemangioblastoma with Strong SSTR Expression on 68Ga-DOTANOC PET/CT. Clin. Nucl. Med. 2023, 48, E28–E30. [Google Scholar] [CrossRef] [PubMed]
- Oosting, S.F.; Van Asselt, S.J.; Brouwers, A.H.; Bongaerts, A.H.H.; Steinberg, J.D.J.; De Jong, J.R.; Hooge, M.N.L.; Van Der Horst-Schrivers, A.N.A.; Walenkamp, A.M.E.; Hoving, E.W.; et al. 89Zr-Bevacizumab Pet Visualizes Disease Manifestations in Patients with von Hippel-Lindau Disease. J. Nucl. Med. 2016, 57, 1244–1250. [Google Scholar] [CrossRef] [PubMed]



| Guidelines for Screening Procedures of Patients with/at Risk of VHL [3] | ||
|---|---|---|
| Tumor | Age/Clinical Status | Methods/Procedures |
| All patients from birth | The most important element of patient screening is a thorough medical history and physical examination; at least annually | |
| CNS (Hemangiomas) | 11–65 years 1 | MRI with and without gadolinium-based contrast agents every 2 years; new symptoms should trigger immediate MRI |
| Pregnancy | MRI before pregnancy; Routine imaging without contrast agent; new symptoms should trigger MRI with contrast agents | |
| Eye (RH) | <1–30 years | Binocular funduscopic examination (DFE) every 6–12 months |
| >30 years | DFE annually | |
| Pregnancy | DFE before pregnancy | |
| Kidney (RCC) | 15–65 years 1 | MRI of the abdomen with and without gadolinium-based contrast agents; Every two years if no tumor is found; Every 3–6 months if small (<3 cm) renal masses; Referral to a urologist if renal mass >3 cm found |
| Pregnancy | MRI before pregnancy; if required during pregnancy avoid gadolinium-based contrast agents | |
| Pancreas (PNET) | 15–65 years 1 | MRI with and without gadolinium-based contrast agents; Every 2 years, if small (<15 mm) or stable PNET; Referral to an expert in the management of PNETs if PNET >15 mm or enlargement |
| Pregnancy | MRI before pregnancy; if required during pregnancy avoid gadolinium-based contrast agents | |
| Ear (ELST) | 11–65 years 1 | Audiometric hearing test every 2 years |
| 15–20 years | Single baseline high-resolution MRI of the cerebellopotine angle and inner ear with and without contrast | |
| Endocrine (PPGL) | At age 2 (symptomatic patients) | Clinical screening, blood-pressure monitoring |
| 5–65 years 1 | Annual biochemical screening—plasma-free metanephrines | |
Disclaimer/Publisher’s Note: The statements, opinions and data contained in all publications are solely those of the individual author(s) and contributor(s) and not of MDPI and/or the editor(s). MDPI and/or the editor(s) disclaim responsibility for any injury to people or property resulting from any ideas, methods, instructions or products referred to in the content. |
© 2024 by the authors. Licensee MDPI, Basel, Switzerland. This article is an open access article distributed under the terms and conditions of the Creative Commons Attribution (CC BY) license (https://creativecommons.org/licenses/by/4.0/).
Share and Cite
Pietrzak, N.; Jankowska, K.; Rosiak, O.; Konopka, W. New Prospects on Neuroimaging in Von Hippel Lindau Disease—A Narrative Review. Diagnostics 2024, 14, 309. https://doi.org/10.3390/diagnostics14030309
Pietrzak N, Jankowska K, Rosiak O, Konopka W. New Prospects on Neuroimaging in Von Hippel Lindau Disease—A Narrative Review. Diagnostics. 2024; 14(3):309. https://doi.org/10.3390/diagnostics14030309
Chicago/Turabian StylePietrzak, Nikodem, Katarzyna Jankowska, Oskar Rosiak, and Wieslaw Konopka. 2024. "New Prospects on Neuroimaging in Von Hippel Lindau Disease—A Narrative Review" Diagnostics 14, no. 3: 309. https://doi.org/10.3390/diagnostics14030309
APA StylePietrzak, N., Jankowska, K., Rosiak, O., & Konopka, W. (2024). New Prospects on Neuroimaging in Von Hippel Lindau Disease—A Narrative Review. Diagnostics, 14(3), 309. https://doi.org/10.3390/diagnostics14030309

