Computer-Aided Diagnosis in Spontaneous Abortion: A Histopathology Dataset and Benchmark for Products of Conception
Abstract
1. Introduction
- We curated a unique publicly available dataset, HistoPoC, comprising 5666 annotated histopathology images collected from 120 patients at Atia Hospital, Karachi, Pakistan. HistoPoC is believed to be the first of its kind that focuses on spontaneous abortion in early pregnancy, providing a valuable resource for researchers and clinicians working in this domain. This publicly available dataset offers a competitive environment and a benchmarking platform to the related research community;
- This research investigates the application of advanced AI techniques for the detection and classification of various tissue phenotypes in products of conception. We aimed to improve the accuracy and reliability of histopathological assessments compared to traditional manual methods, addressing the subjectivity and inter-observer variability inherent in human examinations;
- For the benefit of the research community, we have made the code, trained models, and dataset publicly available. This facilitates reproducibility, encourages further research, and supports the development of additional AI-based diagnostic tools in medical imaging.
2. Related Work
3. Materials and Methods
3.1. Dataset Acquisition and Annotation
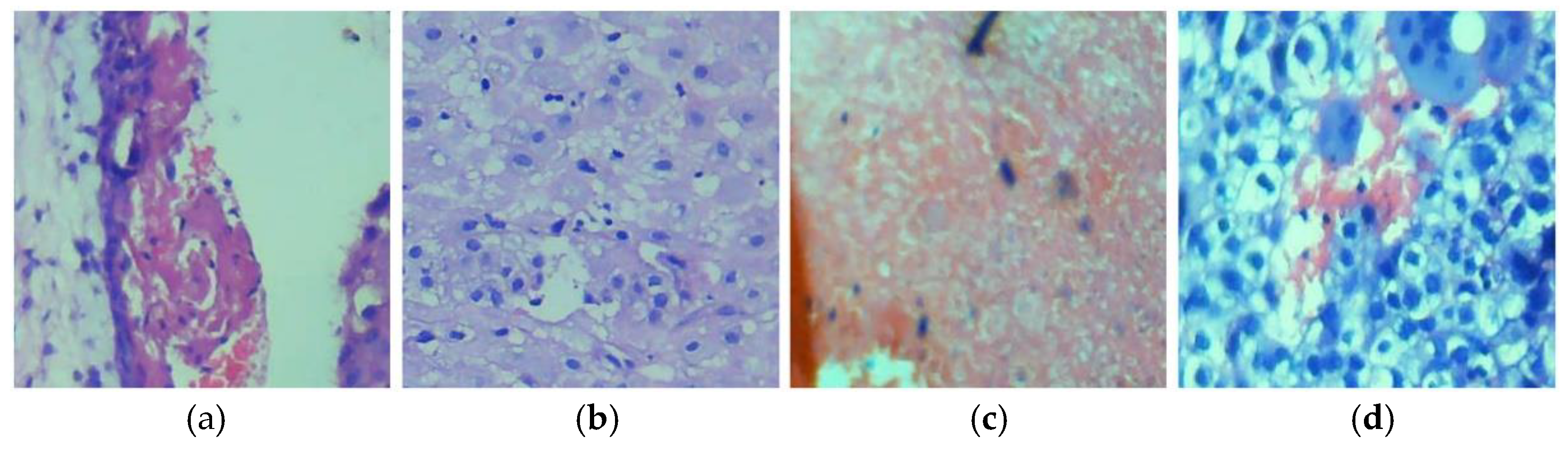
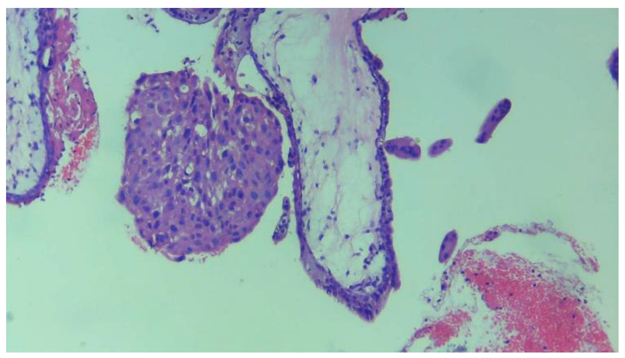
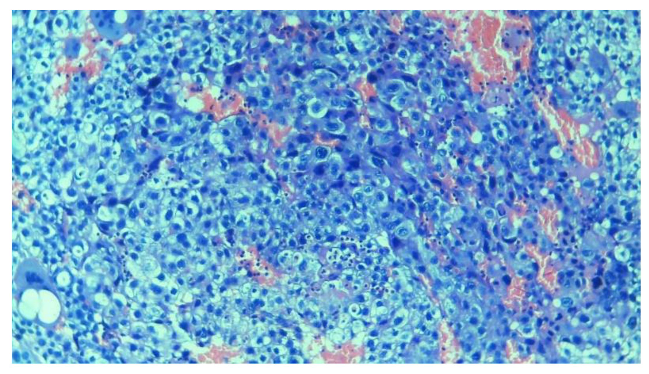
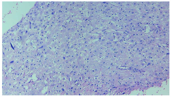
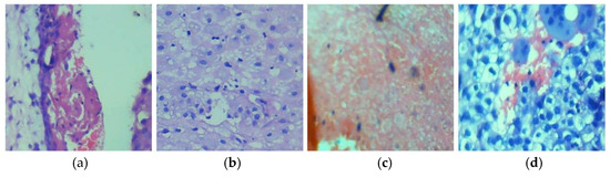
3.2. Dataset Description
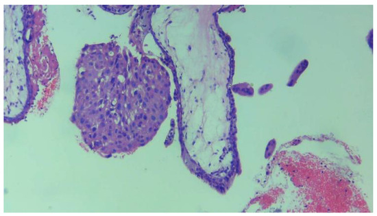
3.2.1. Chorionic Villi
3.2.2. Decidual Tissues
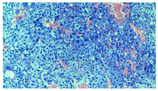
3.2.3. Hemorrhage Tissues
3.2.4. Trophoblastic Tissues
3.3. Baseline Models
3.3.1. GoogleNet
- Inception Modules: combine multiple convolution layers with different kernel sizes;
- Global Average Pooling: reduces the spatial dimensions of the output, aiding in efficient parameter usage;
- Auxiliary Classifiers: used to prevent overfitting by providing additional gradients during backpropagation.
3.3.2. VGGNet
- Deep Architecture: stacks many layers to learn hierarchical features;
- Small 3 × 3 Filters: efficient for capturing fine-grained features in images;
- Max-Pooling Layers: used to reduce spatial dimensions and control overfitting.
3.3.3. AlexNet
- Group Convolution: divides input and kernel channels into separate groups, significantly reducing the number of parameters;
- Multiple Convolutional Layers: help capture spatial features across different regions of the image;
- GPU Utilization: AlexNet was one of the first models to leverage GPUs for training deep neural networks, which enabled the training of deeper models on large datasets.
3.3.4. ShuffleNet
- Group Convolutions: split convolutions into smaller groups, reducing computation;
- Channel Shuffle Operation: enhances information flow between feature channels;
- Depthwise Convolutions: applied to the 3 × 3 convolution layers to reduce computational costs;
- ShuffleNet is suitable for devices with limited computational power while maintaining reasonable accuracy.
3.3.5. DenseNet
- Dense Blocks: every layer receives input from all preceding layers;
- Fewer Parameters: each layer only needs to learn new features, as it can use features from previous layers;
- Better Gradient Flow: makes it easier to train deeper networks;
- DenseNet-169 optimizes both depth and efficiency while reducing the number of parameters compared to traditional CNNs.
3.3.6. ConvNet
- Depthwise Separable Convolutions: reduce the number of parameters and computation;
- Interpretability and Robustness: built to ensure that the network can provide interpretable results, making it suitable for medical applications;
- Efficient Feature Extraction: balances computation and feature.
3.3.7. Vision Transformer
- Image Patches: the image is split into fixed-size patches, which are then linearly embedded;
- Transformer Architecture: captures long-range dependencies in images;
- Scaling: Demonstrates superior performance when trained on large datasets, making it effective for complex image recognition tasks.
3.3.8. ResNet
- Residual Connections: skip connections allow gradients to flow more effectively during backpropagation;
- Deep Architecture: enables networks with up to 152 layers to be trained effectively;
- Identity Mapping: helps preserve information across layers.
3.3.9. DLA
- Iterative Deep Aggregation (IDA): combines features starting from the shallowest layers and progressively merges deeper features;
- Hierarchical Deep Aggregation (HDA): merges blocks and stages in a hierarchical manner, enhancing feature learning;
- Improved Accuracy: allows the network to learn richer feature combinations with fewer parameters;
- DLA is efficient in both accuracy and computational cost.
3.3.10. MobileNet
- Depthwise Separable Convolutions: reduces computational cost;
- Trade-off Between Latency and Accuracy: two global hyperparameters allow for model size customization based on application constraints;
- Versatility: suitable for applications such as object detection, fine-grained classification, and geo-localization;
- MobileNet is well suited for mobile and embedded systems that require efficient processing.
3.3.11. EfficientNet
- Compound Scaling: balances width, depth, and resolution to optimize performance;
- Better Accuracy: outperforms previous models on benchmarks like ImageNet;
- Efficiency: designed for resource-constrained settings, making it suitable for mobile and embedded applications;
- EfficientNet provides a better balance of performance and computational efficiency compared to previous architectures.
4. Results
4.1. Training
4.2. Key Metrics for Performance Analysis
4.3. Results of State-of-the-Art Models
5. Discussion
- The results of this study demonstrate the significant potential of artificial intelligence (AI) in assisting the histological diagnosis of products of conception. AI techniques can assist histopathologists in accurately identifying tissue phenotypes, particularly chorionic villi, which are crucial for diagnosing miscarriages or abortions;
- The application of AI in histopathological examinations has been shown to improve diagnostic accuracy by reducing subjectivity and inter-observer variability. The use of AI-driven models can provide consistent assessments, thereby enhancing the reliability of the diagnostic process;
- Given the frequency with which tissue specimens from miscarriages and abortions are received by pathology laboratories, the integration of AI can streamline the workflow, allowing for more efficient processing and analysis of these specimens. This is especially important in high-throughput environments;
- The study highlights the capacity of AI systems to learn and improve automatically from experience and available data. This capability enables continuous enhancement of the diagnostic process, making AI an invaluable tool for pathologists in the long term;
- AI can serve as an effective decision-support system for histopathologists, assisting them in the microscopic assessment of slides and improving their overall diagnostic capabilities. This collaborative approach between human expertise and AI can lead to better patient outcomes;
- The findings underscore AI’s role in the ongoing digital revolution within medical imaging and diagnostics. By integrating AI into histopathology, the study contributes to a broader movement toward more advanced, automated, and data-driven medical practices;
- This research lays the groundwork for future studies exploring the full potential of AI in histopathology. The dataset and models developed can serve as a basis for further investigations into other tissue phenotypes and applications in different medical contexts;
- The insights gained from this study have the potential to help clinical decision-making, enhance the understanding of spontaneous abortion causes, and guide the development of novel treatments and interventions.
- Our study also has some potential weaknesses, which can be listed as follows:
- The study primarily focuses on internal validation of the AI models. External validation using independent datasets from different institutions would provide a more robust assessment of the models’ generalizability and real-world applicability;
- While the dataset comprises 5666 annotated images, it is sourced from a single institution. This limited geographical and demographic diversity may affect the generalizability of the findings to other populations or clinical settings;
- The accuracy of the AI models is heavily reliant on the quality of annotations provided by the three expert pathologists. Any potential biases or discrepancies in their classification could impact the training and performance of the models, leading to inconsistencies in diagnostic accuracy;
- Depending on the distribution of different tissue phenotypes in the dataset, there may be an imbalance in the number of images representing each phenotype. This imbalance can affect the model’s ability to learn effectively from underrepresented classes, potentially leading to suboptimal performance in identifying those tissue types;
- The study primarily focuses on identifying chorionic villi and other specific tissue phenotypes, which may limit the broader applicability of the findings to other histological diagnoses or conditions.
6. Conclusions
Author Contributions
Funding
Institutional Review Board Statement
Informed Consent Statement
Data Availability Statement
Acknowledgments
Conflicts of Interest
References
- Katz, V.L. Work and Work-Related Stress in Pregnancy. Clin. Obs. Gynecol. 2012, 55, 765–773. [Google Scholar] [CrossRef] [PubMed]
- Jeve, Y.B.; Davies, W. Evidence-Based Management of Recurrent Miscarriages. J. Hum. Reprod. Sci. 2014, 7, 159–169. [Google Scholar] [CrossRef] [PubMed]
- Cohain, J.S.; Buxbaum, R.E.; Mankuta, D. Spontaneous First Trimester Miscarriage Rates per Woman among Parous Women with 1 or More Pregnancies of 24 Weeks or More. BMC Pregnancy Childbirth 2017, 17, 437. [Google Scholar] [CrossRef] [PubMed]
- Shmatko, A.; Ghaffari Laleh, N.; Gerstung, M.; Kather, J.N. Artificial Intelligence in Histopathology: Enhancing Cancer Research and Clinical Oncology. Nat. Cancer 2022, 3, 1026–1038. [Google Scholar] [CrossRef]
- Donaghue, C.; Davies, N.; Ahn, J.W.; Thomas, H.; Ogilvie, C.M.; Mann, K. Efficient and Cost-Effective Genetic Analysis of Products of Conception and Fetal Tissues Using a QF-PCR/Array CGH Strategy; Five Years of Data. Mol. Cytogenet. 2017, 10, 12. [Google Scholar] [CrossRef]
- Jauniaux, E.; Hustin, J. Histological Examination of First Trimester Spontaneous Abortions: The Impact of Materno-Embryonic Interface Features. Histopathology 1992, 21, 409–414. [Google Scholar] [CrossRef]
- Jindal, P.; Regan, L.; Fourkala, E.O.; Rai, R.; Moore, G.; Goldin, R.D.; Sebire, N.J. Placental Pathology of Recurrent Spontaneous Abortion: The Role of Histopathological Examination of Products of Conception in Routine Clinical Practice: A Mini Review. Hum. Reprod. 2007, 22, 313–316. [Google Scholar] [CrossRef]
- Mahmood, T.; Kim, S.G.; Koo, J.H.; Park, K.R. Artificial Intelligence-Based Tissue Phenotyping in Colorectal Cancer Histopathology Using Visual and Semantic Features Aggregation. Mathematics 2022, 10, 1909. [Google Scholar] [CrossRef]
- Bukhari, S.U.K.; Bokhari, S.K.A.; Mehtab, U.; Syed, A.; Shah, S.S.H. The Application of Artificial Intelligence for the Detection of Chorionic Villi in the Biopsy Specimens. J. Clin. Anal. Med. 2021, 12, 358–361. [Google Scholar] [CrossRef]
- Palee, P.; Sharp, B.; Noriega, L.; Sebire, N.J.; Platt, C. Image Analysis of Histological Features in Molar Pregnancies. Expert Syst. Appl. 2013, 40, 7151–7158. [Google Scholar] [CrossRef]
- Kohut, K.G.; Anthony, M.-N.A.; Salafia, C.M. Decidual and Placental Histologic Findings in Patients Experiencing Spontaneous Abortions in Relation to Pregnancy Order. Am. J. Reprod. Immunol. 1997, 37, 257–261. [Google Scholar] [CrossRef] [PubMed]
- Ushakov, E.; Naumov, A.; Fomberg, V.; Vishnyakova, P.; Asaturova, A.; Badlaeva, A.; Tregubova, A.; Karpulevich, E.; Sukhikh, G.; Fatkhudinov, T. EndoNet: A Model for the Automatic Calculation of H-Score on Histological Slides. Informatics 2023, 10, 90. [Google Scholar] [CrossRef]
- Zehra, T.; Shaikh, A.; Jamal, N.; Shabbir, A.; Arif, B.; Ferozuddin, N. Use of artificial intelligence in health diagnostics—A validation study on chorionic villi. Pak. J. Pathol. 2021, 32, 147–151. [Google Scholar]
- Yin, Z.; Su, J.; Lu, L.; Yang, L.; Su, S.; Jiang, X. Visual Identification of Three Kinds of Human Decidual Tissues from Elective Termination of Pregnancy. Placenta 2024, 146, 89–100. [Google Scholar] [CrossRef]
- Zheng, Y.; Li, D.; Li, X.; Zheng, A.; Wang, F. Spontaneous Massive Fetomaternal Hemorrhage: Two Case Reports and a Literature Review of Placental Pathology. BMC Pregnancy Childbirth 2023, 23, 530. [Google Scholar] [CrossRef]
- Moffett, A.; Shreeve, N. Local Immune Recognition of Trophoblast in Early Human Pregnancy: Controversies and Questions. Nat. Rev. Immunol. 2023, 23, 222–235. [Google Scholar] [CrossRef]
- Yang, L.; Yu, X.; Zhang, S.; Long, H.; Zhang, H.; Xu, S.; Liao, Y. GoogLeNet Based on Residual Network and Attention Mechanism Identification of Rice Leaf Diseases. Comput. Electron. Agric. 2023, 204, 107543. [Google Scholar] [CrossRef]
- Goswami, A.D.; Bhavekar, G.S.; Chafle, P.V. Electrocardiogram Signal Classification Using VGGNet: A Neural Network Based Classification Model. Int. J. Inf. Tecnol. 2023, 15, 119–128. [Google Scholar] [CrossRef]
- Eldem, H.; Ülker, E.; Işıklı, O.Y. Alexnet Architecture Variations with Transfer Learning for Classification of Wound Images. Eng. Sci. Technol. Int. J. 2023, 45, 101490. [Google Scholar] [CrossRef]
- Ullah, N.; Khan, J.A.; El-Sappagh, S.; El-Rashidy, N.; Khan, M.S. A Holistic Approach to Identify and Classify COVID-19 from Chest Radiographs, ECG, and CT-Scan Images Using ShuffleNet Convolutional Neural Network. Diagnostics 2023, 13, 162. [Google Scholar] [CrossRef]
- Liao, T.; Li, L.; Ouyang, R.; Lin, X.; Lai, X.; Cheng, G.; Ma, J. Classification of Asymmetry in Mammography via the DenseNet Convolutional Neural Network. Eur. J. Radiol. Open 2023, 11, 100502. [Google Scholar] [CrossRef]
- Hou, Q.; Lu, C.-Z.; Cheng, M.-M.; Feng, J. Conv2Former: A Simple Transformer-Style ConvNet for Visual Recognition. IEEE Trans. Pattern Anal. Mach. Intell. 2024, 46, 8274–8283. [Google Scholar] [CrossRef] [PubMed]
- Xu, H.; Xu, Q.; Cong, F.; Kang, J.; Han, C.; Liu, Z.; Madabhushi, A.; Lu, C. Vision Transformers for Computational Histopathology. IEEE Rev. Biomed. Eng. 2024, 17, 63–79. [Google Scholar] [CrossRef]
- Xu, W.; Fu, Y.-L.; Zhu, D. ResNet and Its Application to Medical Image Processing: Research Progress and Challenges. Comput. Methods Programs Biomed. 2023, 240, 107660. [Google Scholar] [CrossRef] [PubMed]
- Qu, L.; Wang, C.; Yang, T.; Zhang, L.; Sun, Y. Enhanced Through-the-Wall Radar Imaging Based on Deep Layer Aggregation. IEEE Geosci. Remote Sens. Lett. 2022, 19, 4023705. [Google Scholar] [CrossRef]
- Elfatimi, E.; Eryigit, R.; Elfatimi, L. Beans Leaf Diseases Classification Using MobileNet Models. IEEE Access 2022, 10, 9471–9482. [Google Scholar] [CrossRef]
- Marques, G.; Agarwal, D.; de la Torre Díez, I. Automated Medical Diagnosis of COVID-19 through EfficientNet Convolutional Neural Network. Appl. Soft Comput. 2020, 96, 106691. [Google Scholar] [CrossRef]
- PyTorch. Available online: https://pytorch.org/ (accessed on 10 April 2023).
- NVIDIA GeForce 10 Series Graphics Cards. Available online: https://www.nvidia.com/en-us/geforce/10-series/ (accessed on 15 October 2024).
- Khaire, U.M.; Dhanalakshmi, R. High-Dimensional Microarray Dataset Classification Using an Improved Adam Optimizer (iAdam). J. Ambient. Intell. Hum. Comput. 2020, 11, 5187–5204. [Google Scholar] [CrossRef]






| Attribute | Details |
|---|---|
| Dataset Name | HistoPoC |
| Source | Atia Hospital, Karachi, Pakistan |
| IRB Approval | AGH/IRB/2024/01 |
| Sample Collection Method | Histopathological samples obtained by curetting sent by clinicians, labeled as POC |
| Magnification | 10× magnification using a camera-connected microscope |
| Pathological Features | Chorionic villi, trophoblastic tissue, hemorrhage, and decidual tissue |
| Data Exclusion Criteria | Cases with discrepancies among pathologists were excluded from the dataset |
| Total Number of Cases | 550 (204 chorionic villi, 109 decidual tissue, 136 hemorrhage, and 101 trophoblastic tissue) |
| Image Dimensions | 1280 × 729 pixels |
| Dataset Split | 70/30 training-to-testing ratio at the patient level, ensuring no data leakage |
| Patch Size | 224 × 224 pixels |
| Patch Extraction Process | Patches were extracted to standardize input size, filtering out patches with less than 50% tissue coverage |
| Post-Extraction Verification | Pathologists cross-checked extracted patches for validity and accuracy before inclusion in the dataset |
| Training Set | 1391 chorionic villi, 926 decidual, 1138 hemorrhage, and 700 trophoblastic tissues |
| Testing Set | 390 chorionic villi, 349 decidual, 421 hemorrhage, and 350 trophoblastic tissues |
| Methods | Precision | Recall | F1-Score |
|---|---|---|---|
| GoogleNet [17] | 0.6046 | 0.6612 | 0.6075 |
| VGG-19 [18] | 0.7585 | 0.7313 | 0.7060 |
| AlexNet [19] | 0.7194 | 0.7313 | 0.7147 |
| ShuffleNet [20] | 0.7322 | 0.7201 | 0.7167 |
| DenseNet-121 [21] | 0.7304 | 0.7346 | 0.7237 |
| ConvNet [22] | 0.7364 | 0.7439 | 0.7314 |
| Vision Transformer [23] | 0.7418 | 0.7439 | 0.7393 |
| EfficientNet [27] | 0.7612 | 0.7684 | 0.7570 |
| DenseNet-169 [21] | 0.7622 | 0.7624 | 0.7575 |
| ResNet-50 [24] | 0.7641 | 0.7704 | 0.7623 |
| DLA [25] | 0.7795 | 0.7829 | 0.7771 |
| MobileNet [26] | 0.7864 | 0.7856 | 0.7788 |
Disclaimer/Publisher’s Note: The statements, opinions and data contained in all publications are solely those of the individual author(s) and contributor(s) and not of MDPI and/or the editor(s). MDPI and/or the editor(s) disclaim responsibility for any injury to people or property resulting from any ideas, methods, instructions or products referred to in the content. |
© 2024 by the authors. Licensee MDPI, Basel, Switzerland. This article is an open access article distributed under the terms and conditions of the Creative Commons Attribution (CC BY) license (https://creativecommons.org/licenses/by/4.0/).
Share and Cite
Mahmood, T.; Ullah, Z.; Latif, A.; Sultan, B.A.; Zubair, M.; Ullah, Z.; Ansari, A.; Zehra, T.; Ahmed, S.; Dilshad, N. Computer-Aided Diagnosis in Spontaneous Abortion: A Histopathology Dataset and Benchmark for Products of Conception. Diagnostics 2024, 14, 2877. https://doi.org/10.3390/diagnostics14242877
Mahmood T, Ullah Z, Latif A, Sultan BA, Zubair M, Ullah Z, Ansari A, Zehra T, Ahmed S, Dilshad N. Computer-Aided Diagnosis in Spontaneous Abortion: A Histopathology Dataset and Benchmark for Products of Conception. Diagnostics. 2024; 14(24):2877. https://doi.org/10.3390/diagnostics14242877
Chicago/Turabian StyleMahmood, Tahir, Zeeshan Ullah, Atif Latif, Binish Arif Sultan, Muhammad Zubair, Zahid Ullah, AbuZar Ansari, Talat Zehra, Shahzad Ahmed, and Naqqash Dilshad. 2024. "Computer-Aided Diagnosis in Spontaneous Abortion: A Histopathology Dataset and Benchmark for Products of Conception" Diagnostics 14, no. 24: 2877. https://doi.org/10.3390/diagnostics14242877
APA StyleMahmood, T., Ullah, Z., Latif, A., Sultan, B. A., Zubair, M., Ullah, Z., Ansari, A., Zehra, T., Ahmed, S., & Dilshad, N. (2024). Computer-Aided Diagnosis in Spontaneous Abortion: A Histopathology Dataset and Benchmark for Products of Conception. Diagnostics, 14(24), 2877. https://doi.org/10.3390/diagnostics14242877

