Magnetic Resonance Imaging Liver Segmentation Protocol Enables More Consistent and Robust Annotations, Paving the Way for Advanced Computer-Assisted Analysis
Abstract
1. Introduction
2. Materials and Methods
2.1. Patient Selection
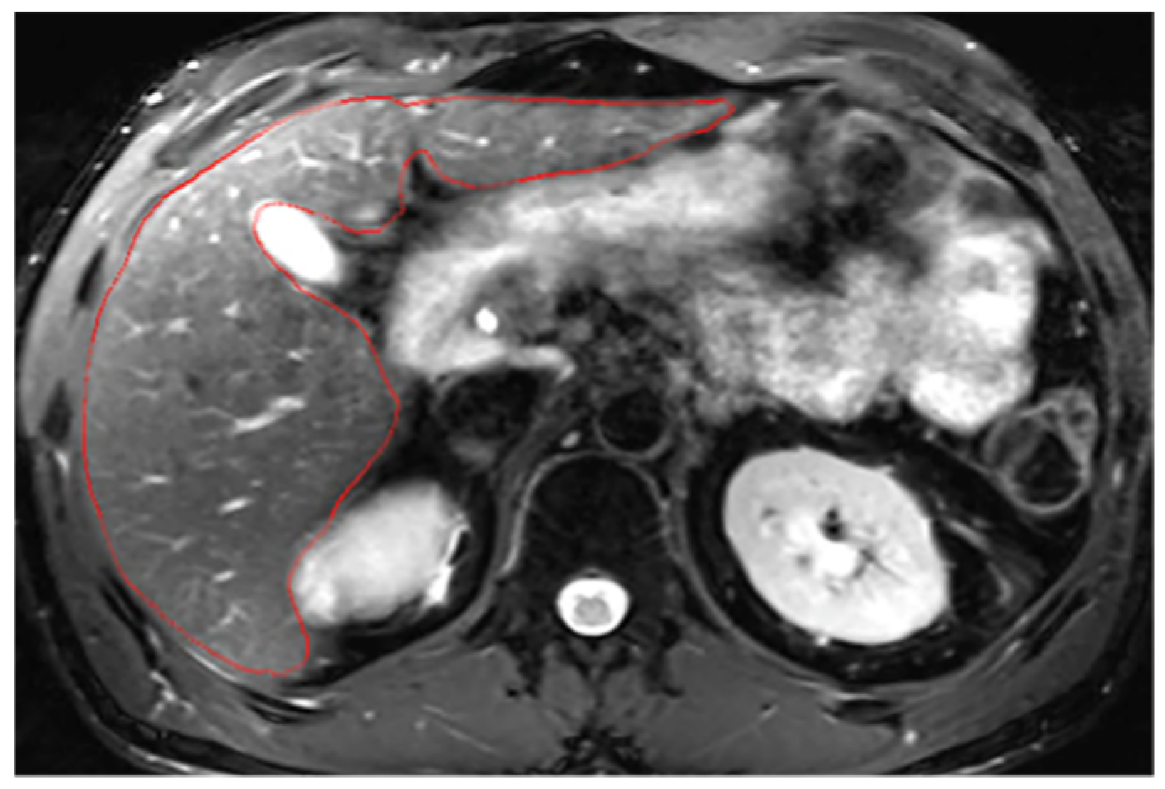
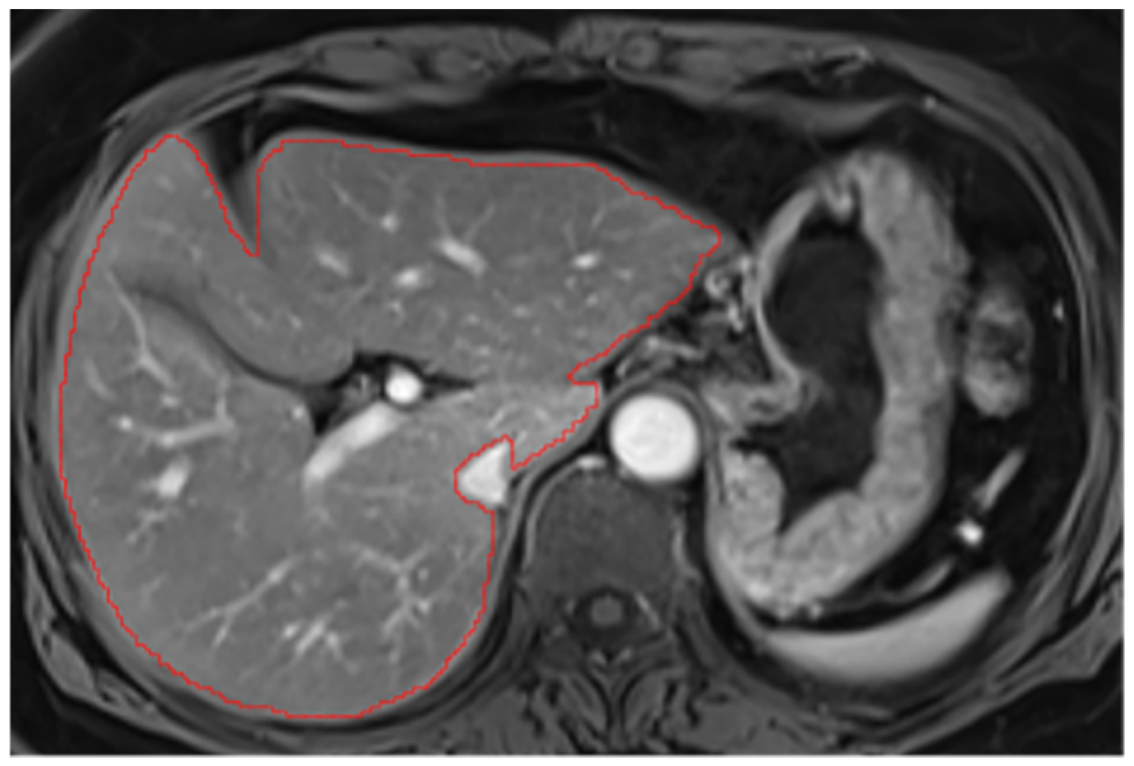
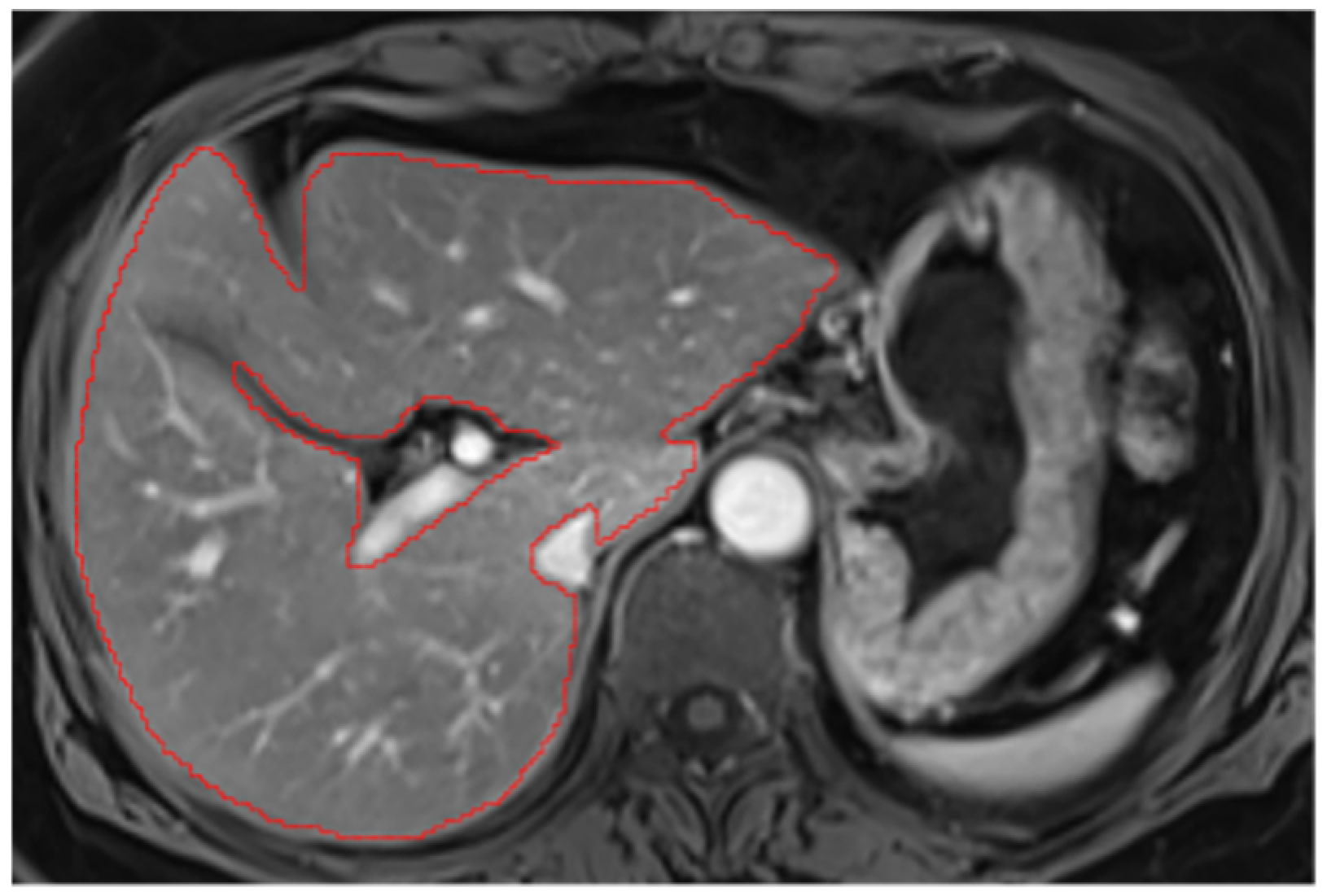
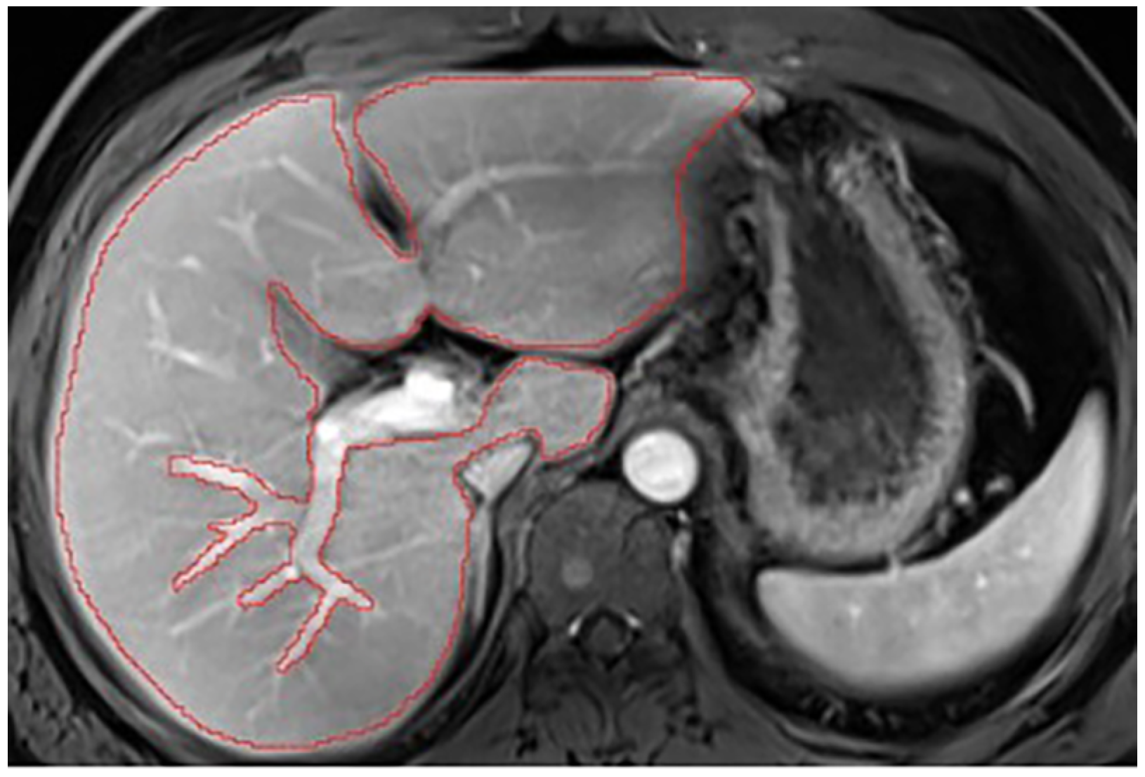
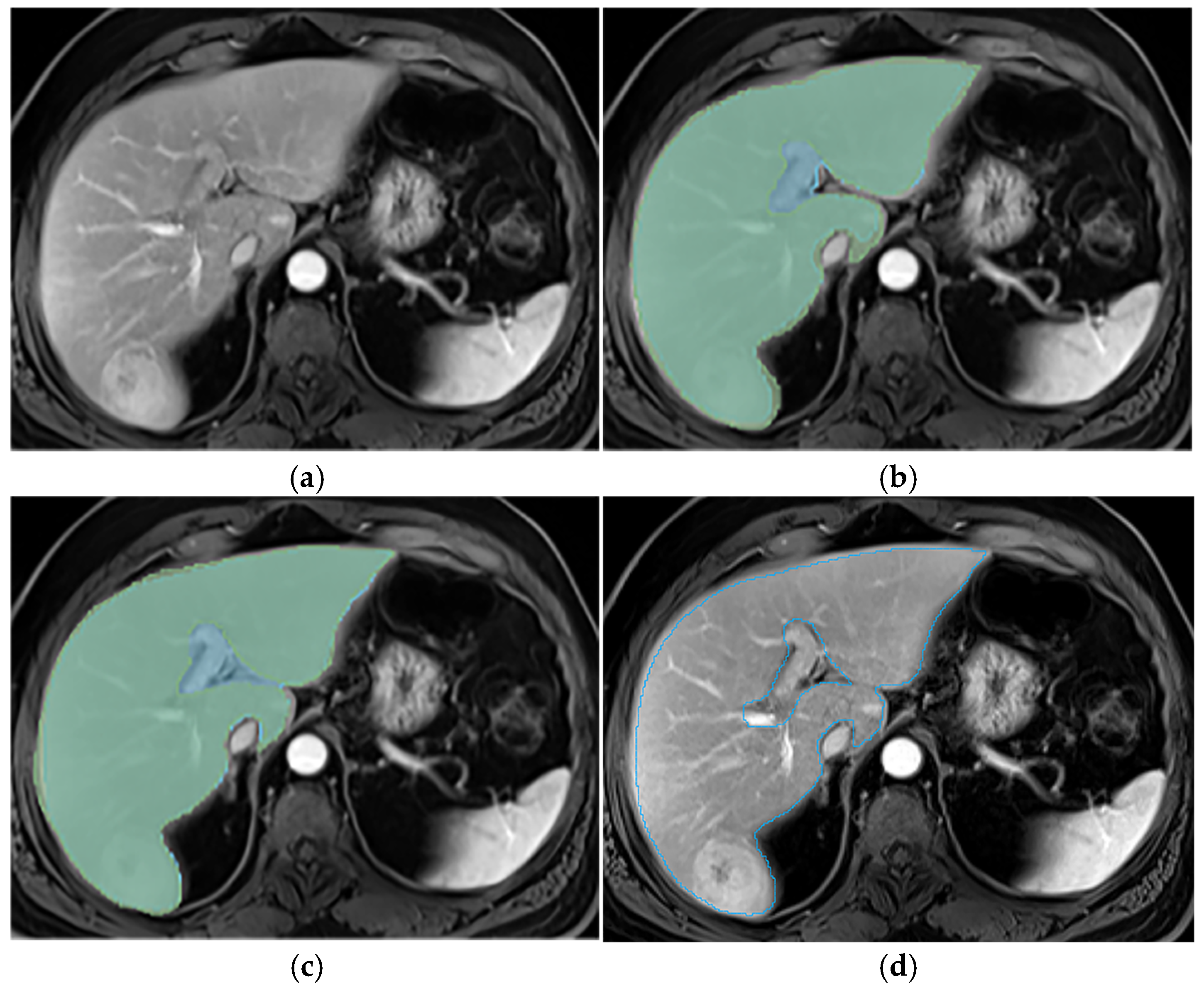
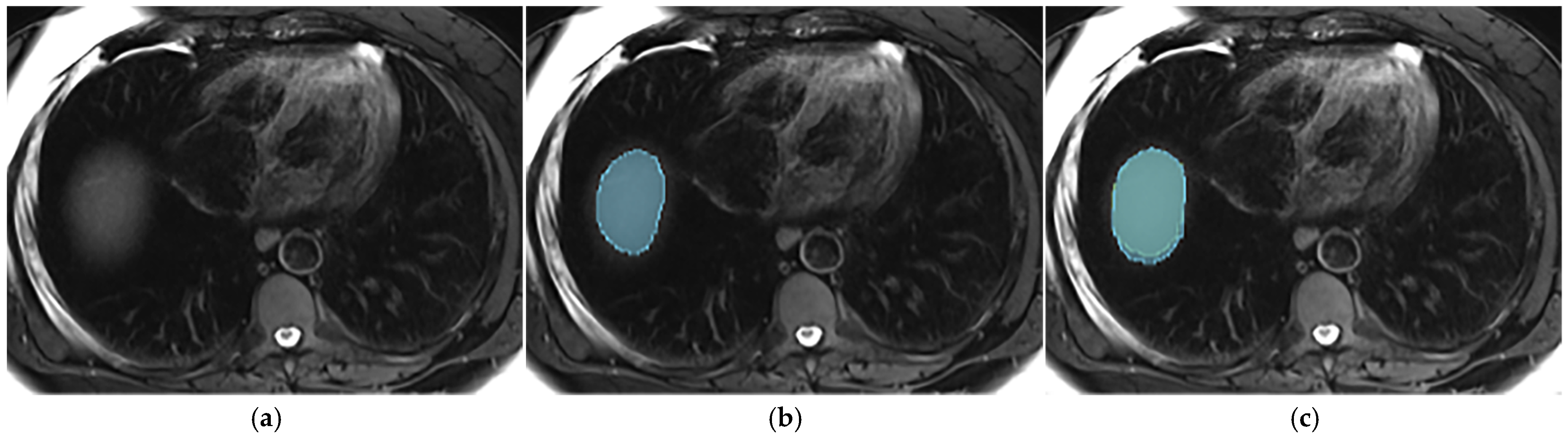
2.2. Liver Segmentations and Protocol
2.3. Statistical Analysis
3. Results
3.1. Patient Population
3.2. Liver Segmentation Correlation
3.3. Comparison of Annotations
4. Discussion
5. Conclusions
Supplementary Materials
Author Contributions
Funding
Institutional Review Board Statement
Informed Consent Statement
Data Availability Statement
Conflicts of Interest
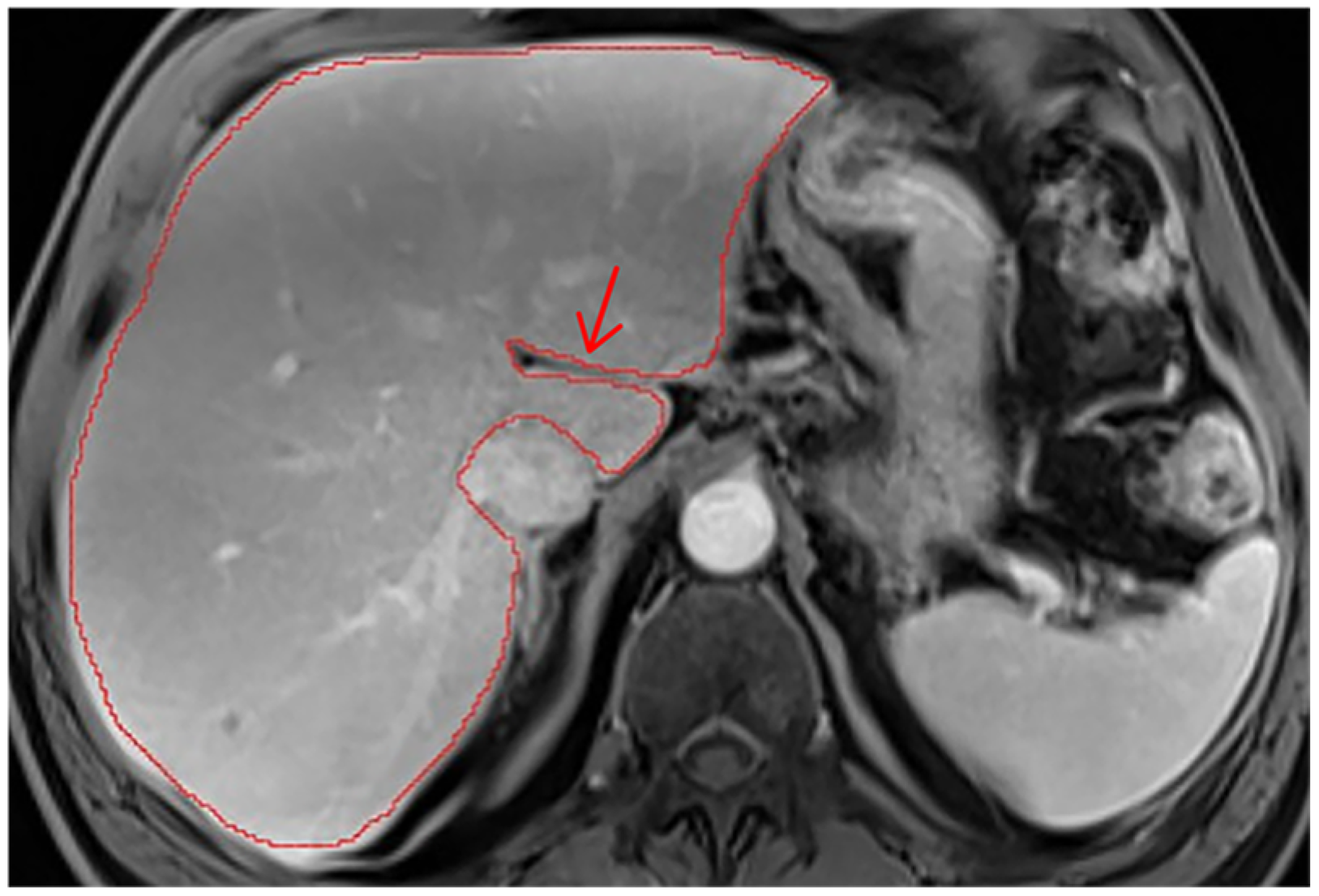
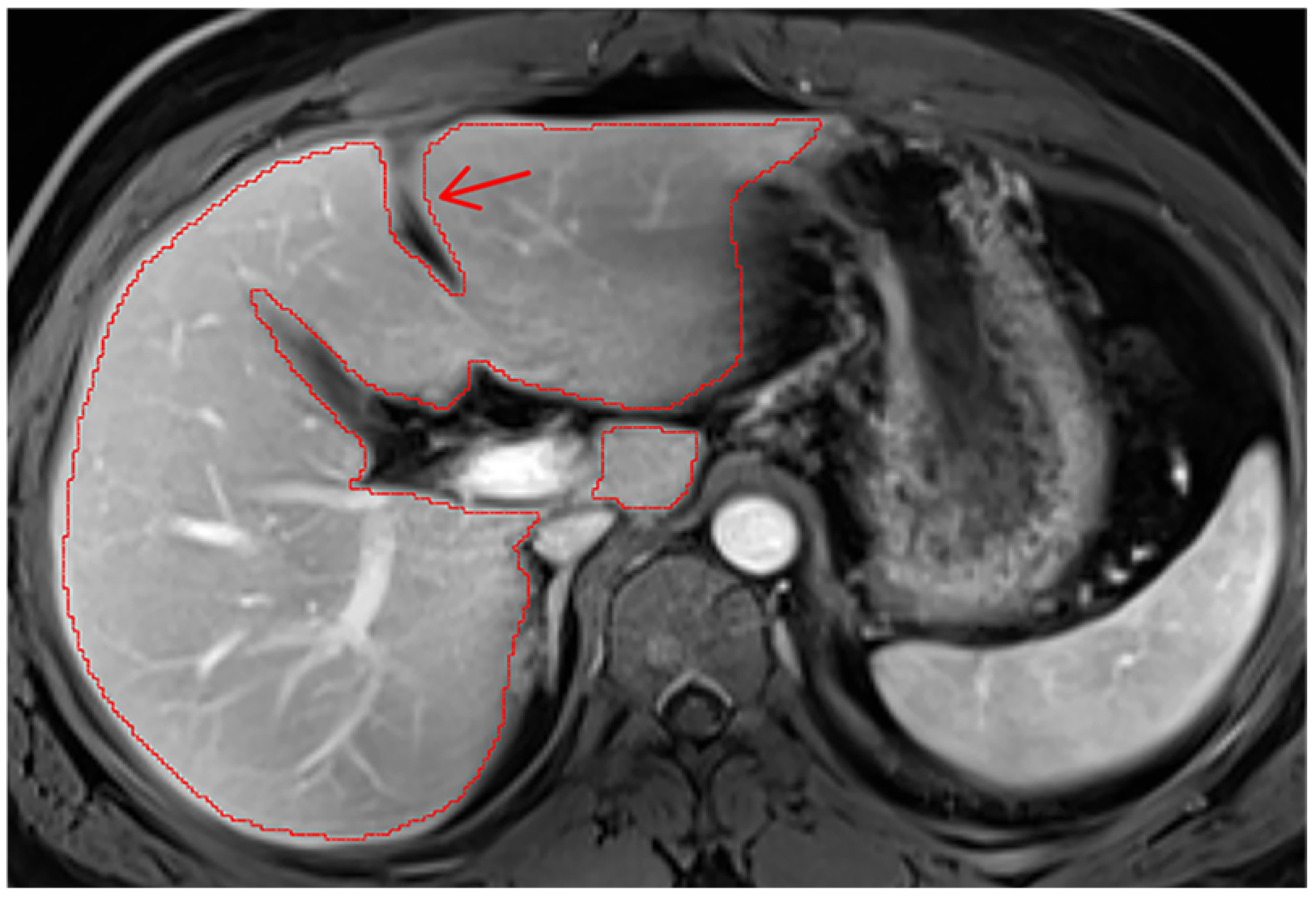
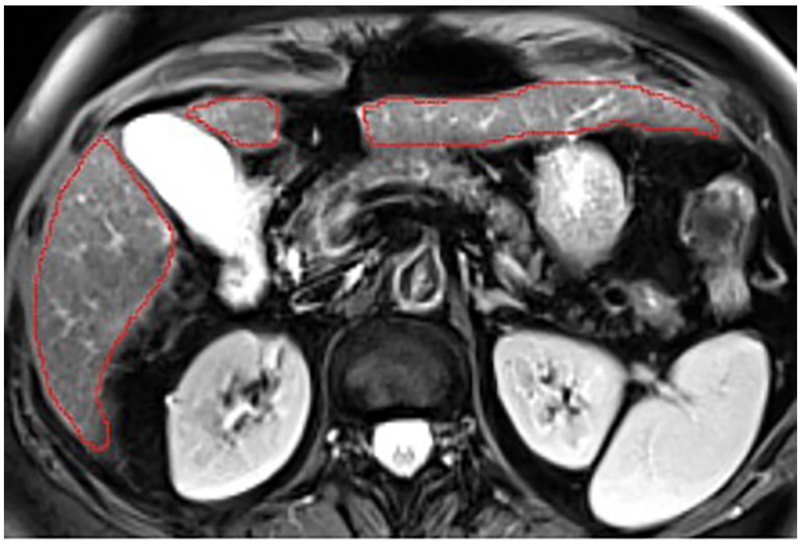
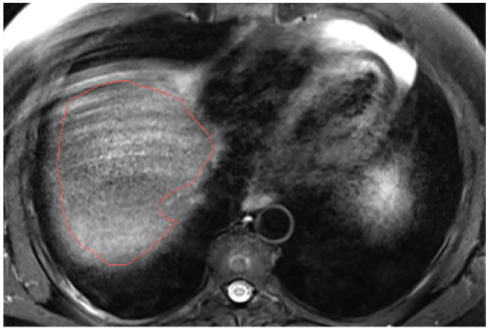
Appendix A. MRI Liver Segmentation Protocol
Appendix A.1. Select Appropriate Windowing and Magnification


Appendix A.2. Hepatic Hilum Segmentation


Appendix A.3. Vascular Segmentation


Appendix A.4. Ligaments Segmentation


Appendix A.5. Multi-Part Liver Parenchyma


Appendix A.6. Presence of Respiratory Artifacts




Appendix A.7. Ascites


References
- Ryerson, A.B.; Eheman, C.R.; Altekruse, S.F.; Ward, J.W.; Jemal, A.; Sherman, R.L.; Henley, S.J.; Holtzman, D.; Lake, A.; Noone, A.; et al. Annual Report to the Nation on the Status of Cancer, 1975–2012, featuring the increasing incidence of liver cancer: Report on Status of Cancer, 1975–2012. Cancer 2016, 122, 1312–1337. [Google Scholar] [CrossRef] [PubMed]
- Torre, L.A.; Bray, F.; Siegel, R.L.; Ferlay, J.; Lortet-Tieulent, J.; Jemal, A. Global cancer statistics, 2012: Global Cancer Statistics, 2012. CA A Cancer J. Clin. 2015, 65, 87–108. [Google Scholar] [CrossRef] [PubMed]
- Ferlay, J.; Colombet, M.; Soerjomataram, I.; Dyba, T.; Randi, G.; Bettio, M.; Gavin, A.; Visser, O.; Bray, F. Cancer incidence and mortality patterns in Europe: Estimates for 40 countries and 25 major cancers in 2018. Eur. J. Cancer 2018, 103, 356–387. [Google Scholar] [CrossRef] [PubMed]
- Parra, N.S.; Ross, H.M.; Khan, A.; Wu, M.; Goldberg, R.; Shah, L.; Mukhtar, S.; Beiriger, J.; Gerber, A.; Halegoua-DeMarzio, D.; et al. Advancements in the Diagnosis of Hepatocellular Carcinoma. Int. J. Transl. Med. 2023, 3, 51–65. [Google Scholar] [CrossRef]
- Chernyak, V.; Fowler, K.J.; Kamaya, A.; Kielar, A.Z.; Elsayes, K.M.; Bashir, M.R.; Kono, Y.; Do, R.K.; Mitchell, D.G.; Singal, A.G.; et al. Liver Imaging Reporting and Data System (LI-RADS) Version 2018: Imaging of Hepatocellular Carcinoma in At-Risk Patients. Radiology 2018, 289, 816–830. [Google Scholar] [CrossRef]
- Bluemke, D.A.; Moy, L.; Bredella, M.A.; Ertl-Wagner, B.B.; Fowler, K.J.; Goh, V.J.; Halpern, E.F.; Hess, C.P.; Schiebler, M.L.; Weiss, C.R. Assessing Radiology Research on Artificial Intelligence: A Brief Guide for Authors, Reviewers, and Readers—From the Radiology Editorial Board. Radiology 2020, 294, 487–489. [Google Scholar] [CrossRef]
- Park, H.J.; Park, B.; Lee, S.S. Radiomics and Deep Learning: Hepatic Applications. Korean J. Radiol. 2020, 21, 387–401. [Google Scholar] [CrossRef]
- Yao, S.; Ye, Z.; Wei, Y.; Jiang, H.-Y.; Song, B. Radiomics in hepatocellular carcinoma: A state-of-the-art review. World J. Gastrointest. Oncol. 2021, 13, 1599–1615. [Google Scholar] [CrossRef]
- LeCun, Y.; Bengio, Y.; Hinton, G. Deep learning. Nature 2015, 521, 436–444. [Google Scholar] [CrossRef]
- Gross, M.; Huber, S.; Arora, S.; Ze’evi, T.; Haider, S.P.; Kucukkaya, A.S.; Iseke, S.; Kuhn, T.N.; Gebauer, B.; Michallek, F.; et al. Automated MRI liver segmentation for anatomical segmentation, liver volumetry, and the extraction of radiomics. Eur. Radiol. 2024, 34, 5056–5065. [Google Scholar] [CrossRef]
- Chu, L.C.; Park, S.; Kawamoto, S.; Yuille, A.L.; Hruban, R.H.; Fishman, E.K. Current Status of Radiomics and Deep Learning in Liver Imaging. J. Comput. Assist. Tomogr. 2021, 45, 343–351. [Google Scholar] [CrossRef]
- Ibrahim, A.; Primakov, S.; Beuque, M.; Woodruff, H.; Halilaj, I.; Wu, G.; Refaee, T.; Granzier, R.; Widaatalla, Y.; Hustinx, R.; et al. Radiomics for precision medicine: Current challenges, future prospects, and the proposal of a new framework. Methods 2021, 188, 20–29. [Google Scholar] [CrossRef] [PubMed]
- Pavic, M.; Bogowicz, M.; Würms, X.; Glatz, S.; Finazzi, T.; Riesterer, O.; Roesch, J.; Rudofsky, L.; Friess, M.; Veit-Haibach, P.; et al. Influence of inter-observer delineation variability on radiomics stability in different tumor sites. Acta Oncol. 2018, 57, 1070–1074. [Google Scholar] [CrossRef] [PubMed]
- Rädsch, T.; Reinke, A.; Weru, V.; Tizabi, M.D.; Schreck, N.; Kavur, A.E.; Pekdemir, B.; Roß, T.; Kopp-Schneider, A.; Maier-Hein, L. Labelling instructions matter in biomedical image analysis. Nat. Mach. Intell. 2023, 5, 273–283. [Google Scholar] [CrossRef]
- Gotra, A.; Sivakumaran, L.; Chartrand, G.; Vu, K.-N.; Vandenbroucke-Menu, F.; Kauffmann, C.; Kadoury, S.; Gallix, B.; de Guise, J.A.; Tang, A. Liver segmentation: Indications, techniques and future directions. Insights Imaging 2017, 8, 377–392. [Google Scholar] [CrossRef] [PubMed]
- Gong, X.-Q.; Tao, Y.-Y.; Wu, Y.; Liu, N.; Yu, X.; Wang, R.; Zheng, J.; Liu, N.; Huang, X.-H.; Li, J.-D.; et al. Progress of MRI Radiomics in Hepatocellular Carcinoma. Front. Oncol. 2021, 11, 698373. [Google Scholar] [CrossRef]
- Dockès, J.; Varoquaux, G.; Poline, J.-B. Preventing dataset shift from breaking machine-learning biomarkers. GigaScience 2021, 10, giab055. [Google Scholar] [CrossRef]
- Yu, A.C.; Mohajer, B.; Eng, J. External Validation of Deep Learning Algorithms for Radiologic Diagnosis: A Systematic Review. Radiol. Artif. Intell. 2022, 4, e210064. [Google Scholar] [CrossRef]
- Xu, P.; Kim, K.; Koh, J.; Wu, D.; Lee, Y.R.; Park, S.Y.; Tak, W.Y.; Liu, H.; Li, Q. Efficient knowledge distillation for liver CT segmentation using growing assistant network. Phys. Med. Biol. 2021, 66, 235005. [Google Scholar] [CrossRef]
- Jin, R.; Wang, M.; Xu, L.; Lu, J.; Song, E.; Ma, G. Automatic 3D CT liver segmentation based on fast global minimization of probabilistic active contour. Med. Phys. 2023, 50, 2100–2120. [Google Scholar] [CrossRef]
- Senthilvelan, J.; Jamshidi, N. A pipeline for automated deep learning liver segmentation (PADLLS) from contrast enhanced CT exams. Sci. Rep. 2022, 12, 15794. [Google Scholar] [CrossRef] [PubMed]
- Wang, K.; Mamidipalli, A.; Retson, T.; Bahrami, N.; Hasenstab, K.; Blansit, K.; Bass, E.; Delgado, T.; Cunha, G.; Middleton, M.S.; et al. Automated CT and MRI Liver Segmentation and Biometry Using a Generalized Convolutional Neural Network. Radiol. Artif. Intell. 2019, 1, 180022. [Google Scholar] [CrossRef] [PubMed]
- López-Mir, F.; Naranjo, V.; Angulo, J.; Alcañiz, M.; Luna, L. Liver segmentation in MRI: A fully automatic method based on stochastic partitions. Comput. Methods Programs Biomed. 2014, 114, 11–28. [Google Scholar] [CrossRef] [PubMed]
- Quinton, F.; Popoff, R.; Presles, B.; Leclerc, S.; Meriaudeau, F.; Nodari, G.; Lopez, O.; Pellegrinelli, J.; Chevallier, O.; Ginhac, D.; et al. A Tumour and Liver Automatic Segmentation (ATLAS) Dataset on Contrast-Enhanced Magnetic Resonance Imaging for Hepatocellular Carcinoma. Data 2023, 8, 79. [Google Scholar] [CrossRef]
- Stanzione, A.; Cuocolo, R.; Ugga, L.; Verde, F.; Romeo, V.; Brunetti, A.; Maurea, S. Oncologic Imaging and Radiomics: A Walkthrough Review of Methodological Challenges. Cancers 2022, 14, 4871. [Google Scholar] [CrossRef]
- Abdalla, A.; Ansari, M.Y.; Malluhi, B.; Mohanty, S.; Mishra, S.; Singh, S.S.; Abinahed, J.; Al-Ansari, A.; Balakrishnan, S.; Dakua, S.P. Practical utility of liver segmentation methods in clinical surgeries and interventions. BMC Med. Imaging 2022, 22, 97. [Google Scholar] [CrossRef]
- Zuñiga-Aguilar, E.; Ramírez-Fernández, O. Fibrosis and hepatic regeneration mechanism. Transl. Gastroenterol. Hepatol. 2022, 7, 9. [Google Scholar] [CrossRef]
- Maier-Hein, L.; Eisenmann, M.; Reinke, A.; Onogur, S.; Stankovic, M.; Scholz, P.; Arbel, T.; Bogunovic, H.; Bradley, A.P.; Carass, A.; et al. Why rankings of biomedical image analysis competitions should be interpreted with care. Nat. Commun. 2018, 9, 5217. [Google Scholar] [CrossRef]
- Girardet, R.; Dubois, M.; Manasseh, G.; Jreige, M.; Du Pasquier, C.; Canniff, E.; Gulizia, M.; Bonvin, M.; Aleman, Y.; Taouli, B.; et al. The combination of non-contrast abbreviated MRI and alpha foetoprotein has high performance for hepatocellular carcinoma screening. Eur. Radiol. 2023, 33, 6929–6938. [Google Scholar] [CrossRef]
- Jia, J. Jingnan-Jia/Segmentation_Metrics: v1.1.3; Zenodo: Genève, Switzerland, 2022. [Google Scholar] [CrossRef]
- Virtanen, P.; Gommers, R.; Oliphant, T.E.; Haberland, M.; Reddy, T.; Cournapeau, D.; Burovski, E.; Peterson, P.; Weckesser, W.; Bright, J.; et al. SciPy 1.0: Fundamental algorithms for scientific computing in Python. Nat. Methods 2020, 17, 261–272. [Google Scholar] [CrossRef]
- Kay, M.; Elkin, L.A.; Higgins, J.J.; Wobbrock, J.O. Mjskay/ARTool: ARTool 0.11.0 (v0.11.0); Zenodo: Genève, Switzerland, 2021. [Google Scholar] [CrossRef]
- Introduction—Statsmodels. Consulté le: 1 Avril 2024. [En ligne]. Available online: https://www.statsmodels.org/v0.13.5/ (accessed on 3 January 2023).
- Lim, M.; Tan, C.; Cai, J.; Zheng, J.; Kow, A. CT volumetry of the liver: Where does it stand in clinical practice? Clin. Radiol. 2014, 69, 887–895. [Google Scholar] [CrossRef] [PubMed]
- D&Rsquo, M.; Onofrio, R.D.R. Liver volumetry: Is imaging reliable? Personal experience and review of the literature. World J. Radiol. 2014, 6, 62–71. [Google Scholar] [CrossRef]
- Nakayama, Y.; Li, Q.; Katsuragawa, S.; Ikeda, R.; Hiai, Y.; Awai, K.; Kusunoki, S.; Yamashita, Y.; Okajima, H.; Inomata, Y.; et al. Automated Hepatic Volumetry for Living Related Liver Transplantation at Multisection CT. Radiology 2006, 240, 743–748. [Google Scholar] [CrossRef] [PubMed]
- Poirot, M.G.; Caan, M.W.A.; Ruhe, H.G.; Bjørnerud, A.; Groote, I.; Reneman, L.; Marquering, H.A. Robustness of radiomics to variations in segmentation methods in multimodal brain MRI. Sci. Rep. 2022, 12, 16712. [Google Scholar] [CrossRef]
- Qiu, Q.; Duan, J.; Duan, Z.; Meng, X.; Ma, C.; Zhu, J.; Lu, J.; Liu, T.; Yin, Y. Reproducibility and non-redundancy of radiomic features extracted from arterial phase CT scans in hepatocellular carcinoma patients: Impact of tumor segmentation variability. Quant. Imaging Med. Surg. 2019, 9, 453–464. [Google Scholar] [CrossRef]
- Duan, J.; Qiu, Q.; Zhu, J.; Shang, D.; Dou, X.; Sun, T.; Yin, Y.; Meng, X. Reproducibility for Hepatocellular Carcinoma CT Radiomic Features: Influence of Delineation Variability Based on 3D-CT, 4D-CT and Multiple-Parameter MR Images. Front. Oncol. 2022, 12, 881931. [Google Scholar] [CrossRef]
- Gross, M.; Arora, S.; Huber, S.; Kücükkaya, A.S.; Onofrey, J.A. LiverHccSeg: A publicly available multiphasic MRI dataset with liver and HCC tumor segmentations and inter-rater agreement analysis. Data Brief 2023, 51, 109662. [Google Scholar] [CrossRef]
- Suman, G.; Panda, A.; Korfiatis, P.; Edwards, M.E.; Garg, S.; Blezek, D.J.; Chari, S.T.; Goenka, A.H. Development of a volumetric pancreas segmentation CT dataset for AI applications through trained technologists: A study during the COVID 19 containment phase. Abdom. Radiol. 2020, 45, 4302–4310. [Google Scholar] [CrossRef]
- Zhang, X.; Zhong, L.; Zhang, B.; Zhang, L.; Du, H.; Lu, L.; Zhang, S.; Yang, W.; Feng, Q. The effects of volume of interest delineation on MRI-based radiomics analysis: Evaluation with two disease groups. Cancer Imaging 2019, 19, 89. [Google Scholar] [CrossRef]
- Gundersen, O.E.; Kjensmo, S. State of the Art: Reproducibility in Artificial Intelligence. Proc. AAAI Conf. Artif. Intell. 2018, 32, 1644–1651. [Google Scholar] [CrossRef]
- Kocak, B.; Baessler, B.; Bakas, S.; Cuocolo, R.; Fedorov, A.; Maier-Hein, L.; Mercaldo, N.; Müller, H.; Orlhac, F.; dos Santos, D.P.; et al. CheckList for EvaluAtion of Radiomics research (CLEAR): A step-by-step reporting guideline for authors and reviewers endorsed by ESR and EuSoMII. Insights Into Imaging 2023, 14, 75. [Google Scholar] [CrossRef]
- Macdonald, J.A.; Zhu, Z.; Konkel, B.; Mazurowski, M.A.; Wiggins, W.F.; Bashir, M.R. Duke Liver Dataset: A Publicly Available Liver MRI Dataset with Liver Segmentation Masks and Series Labels. Radiol. Artif. Intell. 2023, 5, e220275. [Google Scholar] [CrossRef]





| Characteristic | Study Cohort (n = 20) |
|---|---|
| Sex (M/F) | 15/5 |
| Age (Median, Range) | 54, 29–79 |
| Ethnicity | |
| Caucasian | 13 (65%) |
| Asian | 4 (20%) |
| African | 3 (15%) |
| Liver Disease Etiology | |
| HBV | 7 (35%) |
| Alcohol Consumption | 6 (30%) |
| HCV | 4 (20%) |
| NASH | 3 (15%) |
| Cirrhosis | |
| Yes | 10 (50%) |
| No | 10 (50%) |
| Child-Pugh Class (If Cirrhosis) | |
| A | 9 (90%) |
| B | 1 (10%) |
| Before Protocol (±SD) | After Protocol (±SD) | Wilcoxon Signed-Rank Test p-Value | |
|---|---|---|---|
| T2wi | DSC = 0.944 ± 0.013 | DSC = 0.957 ± 0.008 | <0.001 |
| HD = 24.47 ± 13.01 | HD = 19.94 ± 5.38 | 0.216 | |
| T1wi | DSC = 0.953 ± 0.011 | DSC = 0.957 ± 0.009 | 0.03 |
| HD = 21.85 ± 11.15 | HD = 16.40 ± 5.68 | 0.048 |
| Cirrhosis Status | Protocol | Mean | Median | q10 | q15 | q20 | |
|---|---|---|---|---|---|---|---|
| T2wi | Cirrhosis | Before | 0.838 | 0.935 | 0.744 | 0.825 | 0.864 |
| Cirrhosis | After | 0.905 | 0.950 | 0.867 | 0.898 | 0.913 | |
| Without cirrhosis | Before | 0.909 | 0.952 | 0.873 | 0.897 | 0.916 | |
| Without cirrhosis | After | 0.928 | 0.956 | 0.879 | 0.909 | 0.929 | |
| T1wi | Cirrhosis | Before | 0.881 | 0.944 | 0.840 | 0.882 | 0.902 |
| Cirrhosis | After | 0.913 | 0.952 | 0.862 | 0.896 | 0.919 | |
| Without cirrhosis | Before | 0.918 | 0.960 | 0.879 | 0.912 | 0.927 | |
| Without cirrhosis | After | 0.929 | 0.960 | 0.885 | 0.910 | 0.924 |
| Factor | Error | F-Value | p-Value | |
|---|---|---|---|---|
| T2wi | Protocol | Patient | 1.664 | 0.215 |
| Protocol | Slice | 38.233 | <0.001 | |
| Cirrhosis | Patient | 11.797 | 0.003 | |
| Protocol and Cirrhosis | Patient | 0.767 | 0.394 | |
| Protocol and Cirrhosis | Slice | 14.262 | <0.001 | |
| T1wi | Protocol | Patient | 15.983 | 0.001 |
| Protocol | Slice | 18.008 | <0.001 | |
| Cirrhosis | Patient | 19.563 | <0.001 | |
| Protocol and Cirrhosis | Patient | 0.093 | 0.764 | |
| Protocol and Cirrhosis | Slice | 14.602 | <0.001 |
Disclaimer/Publisher’s Note: The statements, opinions and data contained in all publications are solely those of the individual author(s) and contributor(s) and not of MDPI and/or the editor(s). MDPI and/or the editor(s) disclaim responsibility for any injury to people or property resulting from any ideas, methods, instructions or products referred to in the content. |
© 2024 by the authors. Licensee MDPI, Basel, Switzerland. This article is an open access article distributed under the terms and conditions of the Creative Commons Attribution (CC BY) license (https://creativecommons.org/licenses/by/4.0/).
Share and Cite
Jeltsch, P.; Monnin, K.; Jreige, M.; Fernandes-Mendes, L.; Girardet, R.; Dromain, C.; Richiardi, J.; Vietti-Violi, N. Magnetic Resonance Imaging Liver Segmentation Protocol Enables More Consistent and Robust Annotations, Paving the Way for Advanced Computer-Assisted Analysis. Diagnostics 2024, 14, 2785. https://doi.org/10.3390/diagnostics14242785
Jeltsch P, Monnin K, Jreige M, Fernandes-Mendes L, Girardet R, Dromain C, Richiardi J, Vietti-Violi N. Magnetic Resonance Imaging Liver Segmentation Protocol Enables More Consistent and Robust Annotations, Paving the Way for Advanced Computer-Assisted Analysis. Diagnostics. 2024; 14(24):2785. https://doi.org/10.3390/diagnostics14242785
Chicago/Turabian StyleJeltsch, Patrick, Killian Monnin, Mario Jreige, Lucia Fernandes-Mendes, Raphaël Girardet, Clarisse Dromain, Jonas Richiardi, and Naik Vietti-Violi. 2024. "Magnetic Resonance Imaging Liver Segmentation Protocol Enables More Consistent and Robust Annotations, Paving the Way for Advanced Computer-Assisted Analysis" Diagnostics 14, no. 24: 2785. https://doi.org/10.3390/diagnostics14242785
APA StyleJeltsch, P., Monnin, K., Jreige, M., Fernandes-Mendes, L., Girardet, R., Dromain, C., Richiardi, J., & Vietti-Violi, N. (2024). Magnetic Resonance Imaging Liver Segmentation Protocol Enables More Consistent and Robust Annotations, Paving the Way for Advanced Computer-Assisted Analysis. Diagnostics, 14(24), 2785. https://doi.org/10.3390/diagnostics14242785

