Prevalence, Occurrence, and Characteristics of Supernumerary Teeth Among the Saudi Arabian Population Using Panoramic Radiographs
Abstract
1. Introduction
2. Methods
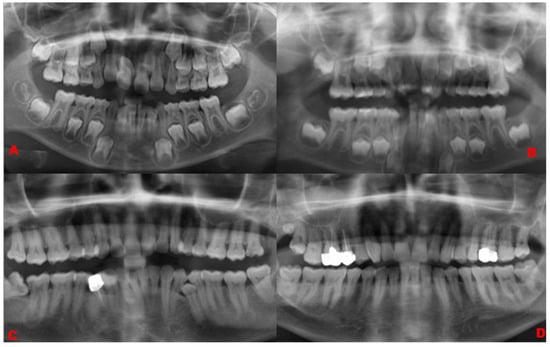
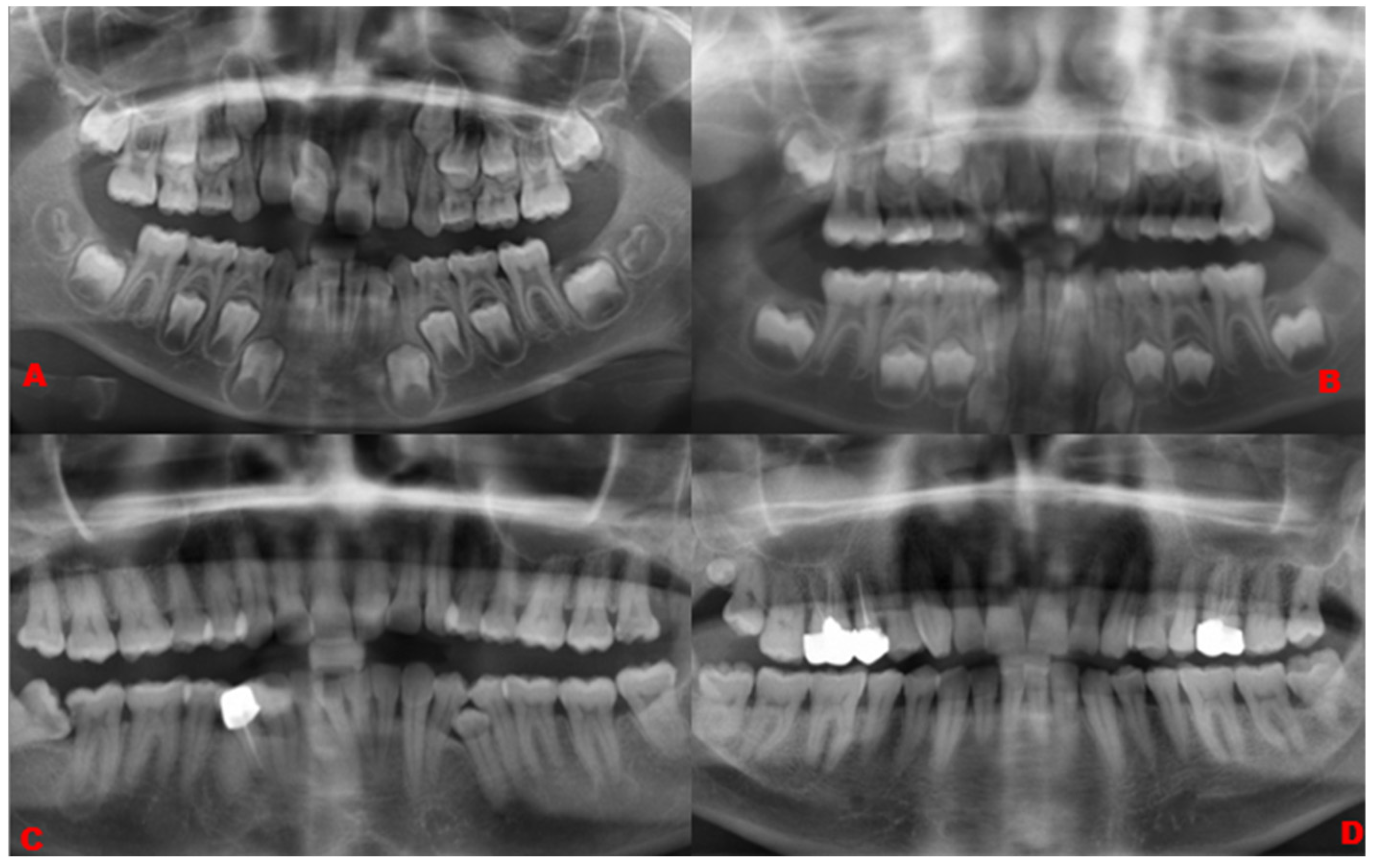
3. Results
4. Discussion
5. Conclusions
Author Contributions
Funding
Institutional Review Board Statement
Informed Consent Statement
Data Availability Statement
Acknowledgments
Conflicts of Interest
References
- Lu, X.; Yu, F.; Liu, J.; Cai, W.; Zhao, Y.; Zhao, S.; Liu, S. The epidemiology of supernumerary teeth and the associated molecular mechanism. Organogenesis 2017, 13, 71–82. [Google Scholar] [CrossRef] [PubMed]
- Omer, R.S.; Anthonappa, R.P.; King, N.M. Determination of the optimum time for surgical removal of unerupted anterior supernumerary teeth. Pediatr. Dent. 2010, 32, 14–20. [Google Scholar] [PubMed]
- Toureno, L.; Park, J.H.; Cederberg, R.A.; Hwang, E.H.; Shin, J.W. Identification of supernumerary teeth in 2D and 3D: Review of literature and a proposal. J. Dent. Educ. 2013, 77, 43–50. [Google Scholar] [CrossRef] [PubMed]
- Garvey, M.T.; Barry, H.J.; Blake, M. Supernumerary teeth—An overview of classification, diagnosis and management. J. Can. Dent. Assoc. 1999, 65, 612–616. [Google Scholar] [PubMed]
- King, N.M.; Lee, A.M.; Wan, P.K. Multiple Supernumerary Premolars: Their Occurrence in Three Patients. Aust. Dent. J. 1993, 38, 11–16. [Google Scholar] [CrossRef]
- Henninger, E.; Friedli, L.; Makrygiannakis, M.A.; Zymperdikas, V.F.; Papadopoulos, M.A.; Kanavakis, G.; Gkantidis, N. Supernumerary Tooth Patterns in Non-Syndromic White European Subjects. Dent. J. 2023, 11, 230. [Google Scholar] [CrossRef]
- Mladenovic, R.; Kalevski, K.; Davidovic, B.; Jankovic, S.; Todorovic, V.S.; Vasovic, M. The Role of Artificial Intelligence in the Accurate Diagnosis and Treatment Planning of Non-Syndromic Supernumerary Teeth: A Case Report in a Six-Year-Old Boy. Children 2023, 10, 839. [Google Scholar] [CrossRef]
- Oeschger, E.S.; Kanavakis, G.; Cocos, A.; Halazonetis, D.J.; Gkantidis, N. Number of Teeth Is Related to Craniofacial Morphology in Humans. Biology 2022, 11, 544. [Google Scholar] [CrossRef]
- Jiang, Y.; Ma, X.; Wu, Y.; Li, J.; Li, Z.; Wang, Y.; Cheng, J.; Wang, D. Epidemiological, Clinical, and 3-Dimentional CBCT Radiographic Characterizations of Supernumerary Teeth in a Non-Syndromic Adult Population: A Single-Institutional Study from 60,104 Chinese Subjects. Clin. Oral Investig. 2020, 24, 4271–4281. [Google Scholar] [CrossRef]
- Hadziabdic, N.; Haskic, A.; Mujkic, A.; Hasic-Brankovic, L.; Dzankovic, A.; Korac, S.; Tahmiscija, I. Epidemiological, Clinical and Radiographic Features of Supernumerary Teeth in Nonsyndromic Bosnian and Herzegovinian Population: A Monocentric Study. Med. Arch. 2022, 76, 348–353. [Google Scholar] [CrossRef]
- Syriac, G.; Joseph, E.; Rupesh, S.; Philip, J.; Cherian, S.A.; Mathew, J. Prevalence, Characteristics, and Complications of Supernumerary Teeth in Nonsyndromic Pediatric Population of South India: A Clinical and Radiographic Study. J. Pharm. Bioallied Sci. 2017, 9, S231–S236. [Google Scholar] [CrossRef] [PubMed]
- Brook, A.H. Dental Anomalies of Number, Form and Size: Their Prevalence in British Schoolchildren. J. Int. Assoc. Dent. Child. 1974, 5, 37–53. [Google Scholar] [PubMed]
- Anthonappa, R.P.; King, N.M.; Rabie, A.B.M. Aetiology of Supernumerary Teeth: A Literature Review. J. Eur. Acad. Paediatr. Dent. 2013, 14, 279–288. [Google Scholar] [CrossRef] [PubMed]
- Hu, Y.K.; Xie, Q.Y.; Yang, C.; Xu, G.Z. Computer-designed surgical guide template compared with free-hand operation for Mesiodens extraction in premaxilla using “trapdoor” method. Medicine 2017, 96, e7310. [Google Scholar] [CrossRef]
- von Arx, T. Anterior maxillary supernumerary teeth: A clinical and radiographic study. Aust. Dent. J. 1992, 37, 189–195. [Google Scholar] [CrossRef]
- Mallineni, S.K. Supernumerary teeth: Review of the literature with recent updates. Conf. Pap. Sci. 2014, 2014, 764050. [Google Scholar] [CrossRef]
- Al Muheiri, F.; Duarte, C. Prevalence and Characteristics of Supernumerary Teeth in Patients from Ras Al Khaimah: A Retrospective Study from a Teaching Dental Hospital in the UAE. JSM Dent. 2018, 6, 1101. [Google Scholar]
- Roslan, A.A.; Rahman, N.A.; Alam, M.K. Dental anomalies and their treatment modalities/planning in orthodontic patients. J. Orthod. Sci. 2018, 7, 16. [Google Scholar] [CrossRef]
- Lubinsky, M.; Kantaputra, P.N. Syndromes with supernumerary teeth. Am. J. Med. Genet. A 2016, 170, 2611–2616. [Google Scholar] [CrossRef]
- Cammarata-Scalisi, F.; Avendaño, A.; Callea, M. Main genetic entities associated with supernumerary teeth. Arch. Argent. Pediatr. 2018, 116, 437–444. [Google Scholar] [CrossRef]
- Ata-Ali, F.; Ata-Ali, J.; Peñarrocha-Oltra, D.; Peñarrocha-Diago, M. Prevalence, etiology, diagnosis, treatment and complications of supernumerary teeth. J. Clin. Exp. Dent. 2014, 6, e414–e418. [Google Scholar] [CrossRef] [PubMed]
- Bäckman, B.; Wahlin, Y.B. Variations in number and morphology of permanent teeth in 7-year-old Swedish children. Int. J. Paediatr. Dent. 2001, 11, 11–17. [Google Scholar] [CrossRef] [PubMed]
- Salem, G. Prevalence of selected dental anomalies in Saudi children from Gizan region. Community Dent. Oral Epidemiol. 1989, 17, 162–163. [Google Scholar] [CrossRef] [PubMed]
- Ghaznawi, H.I.; Daas, H.; Salako, N.O. A clinical and radiographic survey of selected dental anomalies and conditions in a Saudi Arabian population. Saudi Dent. J. 1999, 11, 8–13. [Google Scholar]
- Afify, A.R.; Zawawi, K.H. The Prevalence of Dental Anomalies in the Western Region of Saudi Arabia. ISRN Dent. 2012, 2012, 837270. [Google Scholar] [CrossRef]
- Al-Jabaa, A.H.; Aldrees, A.M. Prevalence of dental anomalies in Saudi orthodontic patients. J. Contemp. Dent. Pract. 2013, 14, 724–730. [Google Scholar] [CrossRef]
- Vani, N.V.; Saleh, S.M.; Tubaigy, F.M.; Idris, A.M. Prevalence of Developmental Dental Anomalies among Adult Population of Jazan, Saudi Arabia. Saudi J. Dent. Res. 2016, 7, 29–33. [Google Scholar] [CrossRef]
- Yassin, S.M. Prevalence and distribution of selected dental anomalies among saudi children in Abha, Saudi Arabia. J. Clin. Exp. Dent. 2016, 8, e485–e490. [Google Scholar] [CrossRef]
- Al-Halal, Z.A.; Khan, N.R.; Lingawi, H.S. Radiographic prevalence of selected developmental dental anomalies. Int. J. Health Sci. Res. 2017, 7, 229–234. [Google Scholar]
- Alswayyed, T.; Qutub, M.; Matrodi, A.; Alkanani, N.; Jhany, N.; Makhdoum, L.; Masud, N. Patterns of Dental Anomalies in Patients Attending for Orthodontic Treatment in King Abdul-Aziz Medical City, Riyadh Saudi Arabia. Int. J. Dent. Oral Health 2018, 4, 8–13. [Google Scholar]
- ALHumaid, J.; Buholayka, M.; Thapasum, A.; Alhareky, M.; Abdelsalam, M.; Bughsan, A. Investigating prevalence of dental anomalies in Eastern Province of Saudi Arabia through digital orthopantomogram. Saudi J. Biol. Sci. 2021, 28, 2900–2906. [Google Scholar] [CrossRef] [PubMed]
- Bakhurji, E.A.; Aldossary, F.; Aljarbo, J.; AlMuhammadi, F.; Alghamdi, M.; Nazir, M.A. Prevalence and Distribution of Nonsyndromic Dental Anomalies in Children in Eastern Saudi Arabia: A Radiographic Study. Sci. World J. 2021, 2021, 9914670. [Google Scholar] [CrossRef]
- Aljuaid, T.S.S.; Manjunatha, B.S.; Amith, H.V.; Alshehri, R.A.; Alharthi, F.B.; Kariri, A.M. Prevalence and distribution of selected developmental dental anomalies in Taif, Saudi population. J. Public Health Res. 2021, 11, 2132. [Google Scholar] [CrossRef]
- Renugalakshmi, A.; Vinothkumar, T.S.; Bokhari, A.M.; Almahdi, S.; Almalki, A.; Balla, S.B.; Tadakamadla, S.K.; Hakami, Z. Prevalence of Dental Anomalies and Its Role in Sex Estimation among Children of Jazan Region, Saudi Arabia. Children 2023, 10, 759. [Google Scholar] [CrossRef] [PubMed]
- AlHudaithi, F.S.; AlDuhayan, N.A.; AlJohani, L.N.; AlJohani, S.N.; AlQarni, H.S.; AlSawadi, M.H. Prevalence of Dental Anomalies Among Orthodontic Patients: A Retrospective Study in Saudi Arabia. Cureus 2023, 15, e49893. [Google Scholar] [CrossRef] [PubMed]
- Aldhorae, K.; Altawili, Z.; Assiry, A.; Alqadasi, B.; Al-Jawfi, K.; Hwaiti, H. Prevalence and Distribution of Dental Anomalies among a Sample of Orthodontic and Non-Orthodontic Patients: A Retrospective Study. J. Int. Oral Health 2019, 11, 309. [Google Scholar] [CrossRef]
- Bawazir, M.; Alyousef, T.; El-Housseiny, A.A. Incidental Dental Anomalies in Pediatric Dental Patients Detected by Panoramic Radiographs—A Retrospective Study. Saudi J. Oral Dent. Res. 2019, 4, 87–92. [Google Scholar]
- Lo Giudice, A. Advanced Applications in Pediatric Dentistry: A Worldwide Perspective of the Last 13 Years. Children 2023, 10, 1678. [Google Scholar] [CrossRef]
- Anthonappa, R.P.; King, N.M.; Rabie, A.B.; Mallineni, S.K. Reliability of panoramic radiographs for identifying supernumerary teeth in children. Int. J. Paediatr. Dent. 2012, 22, 37–43. [Google Scholar] [CrossRef] [PubMed]
- Mallineni, S.K.; Anthonappa, R.P.; King, N.M. Reliability of horizontal and vertical tube shift techniques in the localisation of supernumerary teeth. Eur. Arch. Paediatr. Dent. 2016, 17, 455–460. [Google Scholar] [CrossRef]
- De Oliveira Gomes, C.; Drummond, S.N.; Jham, B.C.; Abdo, E.N.; Mesquita, R.A. A survey of 460 supernumerary teeth in Brazilian children and adolescents. Int. J. Paediatr. Dent. 2008, 18, 98–106. [Google Scholar] [CrossRef] [PubMed]
- Rajab, L.D.; Hamdan, M.A.M. Supernumerary teeth: Review of the literature and a survey of 152 cases. Int. J. Paediatr. Dent. 2002, 12, 244–254. [Google Scholar] [CrossRef] [PubMed]
- Mukhopadhyay, S. Mesiodens: A clinical and radiographic study in children. J. Indian Soc. Pedod. Prev. Dent. 2011, 29, 34–38. [Google Scholar] [CrossRef]
- Kara, M.İ.; Aktan, A.M.; Ay, S.; Bereket, C.; Şener, İ.; Bülbül, M. Characteristics of 351 supernumerary molar teeth in Turkish population. Med. Oral Patol. Oral Cir. Bucal 2012, 17, e395–e400. [Google Scholar] [CrossRef]
- Mínguez-Martinez, I.; Ata-Ali, J.; Bonet-Coloma, C.; Peñarrocha-Oltra, D.; Peñarrocha-Diago, M.A.; Minguez-Sanz, J.M. Management and outcome following extraction of 303 supernumerary teeth in pediatric patients. Pediatr. Dent. 2012, 34, 136–139. [Google Scholar] [PubMed]
- Anegundi, R.T.; Tegginmani, V.S.; Battepati, P.; Tavargeri, A.; Patil, S.; Trasad, V.; Jain, G. Prevalence and characteristics of supernumerary teeth in a non-syndromic South Indian pediatric population. J. Indian Soc. Pedod. Prev. Dent. 2014, 32, 9–12. [Google Scholar] [CrossRef]
- Anthonappa, R.P.; Omer, R.S.; King, N.M. Characteristics of 283 supernumerary teeth in southern Chinese children. Oral Surg. Oral Med. Oral Pathol. Oral Radiol. Endod. 2008, 105, e48–e54. [Google Scholar] [CrossRef]
- Díaz, A.; Orozco, J.; Fonseca, M. Multiple hyperodontia: Report of a case with 17 supernumerary teeth with non syndromic association. Med. Oral Patol. Oral Cir. Bucal 2009, 14, E229–E231. [Google Scholar]
- Tetay-Salgado, S.; Arriola-Guillén, L.E.; Ruíz-Mora, G.A.; Aliaga-Del Castillo, A.; Rodríguez-Cárdenas, Y.A. Prevalence of impacted teeth and supernumerary teeth by radiographic evaluation in three Latin American countries: A cross-sectional study. J. Clin. Exp. Dent. 2021, 13, e363–e368. [Google Scholar] [CrossRef]
- Patchett, C.L.; Crawford, P.J.; Cameron, A.C.; Stephens, C.D. The management of supernumerary teeth in childhood—A retrospective study of practice in Bristol Dental Hospital, England and Westmead Dental Hospital, Sydney, Australia. Int. J. Paediatr. Dent. 2001, 11, 259–265. [Google Scholar] [CrossRef]
- Ramesh, K.; Venkataraghavan, K.; Kunjappan, S.; Ramesh, M. Mesiodens: A clinical and radiographic study of 82 teeth in 55 children below 14 years. J. Pharm. Bioallied Sci. 2013, 5, S60–S62. [Google Scholar] [CrossRef] [PubMed]
- Miyoshi, S.; Tanaka, S.; Kunimatsu, H.; Murakami, Y.; Fukami, M.; Fujisawa, S. An epidemiological study of supernumerary primary teeth in Japanese children: A review of racial differences in the prevalence. Oral Dis. 2000, 6, 99–102. [Google Scholar] [CrossRef]
- Shilpa, G.; Gokhale, N.; Mallineni, S.K.; Nuvvula, S. Prevalence of dental anomalies in deciduous dentition and its association with succedaneous dentition: A cross-sectional study of 4180 South Indian children. J. Indian Soc. Pedod. Prev. Dent. 2017, 35, 56–62. [Google Scholar] [CrossRef] [PubMed]
- Celikoglu, M.; Kamak, H.; Oktay, H. Prevalence and characteristics of supernumerary teeth in a non-syndrome Turkish population: Associated pathologies and proposed treatment. Med. Oral Patol. Oral Cir. Bucal 2010, 15, e575–e578. [Google Scholar] [CrossRef] [PubMed][Green Version]
- Tyrologou, S.; Koch, G.; Kurol, J. Location, complications and treatment of mesiodentes—A retrospective study in children. Swed. Dent. J. 2005, 29, 1–9. [Google Scholar]
- Kim, S.G.; Lee, S.H. Mesiodens: A clinical and radiographic study. J. Dent. Child. (Chic) 2003, 70, 58–60. [Google Scholar]
- Singh, V.P.; Sharma, A.; Sharma, S. Supernumerary teeth in Nepalese children. Sci. World J. 2014, 2014, 215396. [Google Scholar] [CrossRef] [PubMed] [PubMed Central]
- Liu, D.G.; Zhang, W.L.; Zhang, Z.Y.; Wu, Y.T.; Ma, X.C. Three-dimensional evaluations of supernumerary teeth using cone-beam computed tomography for 487 cases. Oral Surg. Oral Med. Oral Pathol. Oral Radiol. Endod. 2007, 103, 403–411. [Google Scholar] [CrossRef]
- Kim, Y.R.; Lee, Y.M.; Huh, K.H.; Yi, W.J.; Heo, M.S.; Lee, S.S.; Kim, J.E. Clinical and radiological features of malformed mesiodens in the nasopalatine canal: An observational study. Dentomaxillofac. Radiol. 2024, 53, 189–195. [Google Scholar] [CrossRef]
- Asaumi, J.; Shibata, Y.; Yanagi, Y.; Hisatomi, M.; Matsuzaki, H.; Konouchi, H.; Kishi, K. Radiographic examination of mesiodens and their associated complications. Dentomaxillofac Radiol. 2004, 33, 125–127. [Google Scholar] [CrossRef]
- Proff, P.; Fanghänel, J.; Allegrini, S., Jr.; Bayerlein, T.; Gedrange, T. Problems of supernumerary teeth, hyperdontia or dentes super numerarii. Ann. Anat. 2006, 188, 163–169. [Google Scholar] [CrossRef] [PubMed]
- Küchler, E.C.; Costa, A.G.; Costa Mde, C.; Vieira, A.R.; Granjeiro, J.M. Supernumerary teeth vary depending on gender. Braz. Oral Res. 2011, 25, 76–79. [Google Scholar] [CrossRef] [PubMed]
- Esenlik, E.; Sayin, M.O.; Atilla, A.O.; Ozen, T.; Altun, C.; Başak, F. Supernumerary teeth in a Turkish population. Am. J. Orthod. Dentofac. Orthop. 2009, 136, 848–852. [Google Scholar] [CrossRef] [PubMed]





| Author | Year | Sample | Region | Diagnostics Tool | Age | Prevalence | Male | Female | Common Type |
|---|---|---|---|---|---|---|---|---|---|
| Salem [23] | 1989 | 2393 | Gizan | Clinical and radiographs | 4–12 | 0.5 | 2 | 1 | - |
| Ghaznawi et al. [24] | 1999 | 1010 | Jeddah | Clinical and radiographs | 12–40 | 1.19 | 1.69 | 0.63 | - |
| Afify and Zawawi [25] | 2012 | 878 | Jeddah | Radiographs | 12–30 | 0.3 | 2.5 | 1 | - |
| Al-Jabaa and Aldrees [26] | 2013 | 602 | Riyadh | Radiographs | 5.1 | 5 | 5 | 6 | Mesiodens |
| Vani et al. [27] | 2015 | 1000 | Jazan | Radiographs | 18–40 | 1 | 1.2 | 0.8 | Parapremolars |
| Yassin [28] | 2016 | 1252 | Abha | Clinical and radiographs | 5–12 | 3.5 | 3.5 | 2 | Mesiodens |
| Al-Halal et al. [29] | 2017 | 1019 | Makkah | Radiographs | 2.3 | 2.66 | 1 | Mesiodens | |
| Alswayyed et al. [30] | 2018 | 299 | Riyadh | Radiographs | 14–30 | 0.3 | 1 | Distomolar | |
| Zakirulla et al. [31] | 2019 | 1350 | Abha | Radiographs | 5–15 | 5.2 | 4.6 | 2.5 | Mesiodens |
| ALHumaid et al. [32] | 2021 | 1189 | Dammam | Radiographs | 7–65 | 1.8 | 2.5 | 2 | - |
| Bakhurji et al. [33] | 2021 | 2226 | Dammam | Radiographs | 6–18 | 0.5 | 5 | 4 | Mesiodens |
| Aljuai et al. [34] | 2022 | 2481 | Taif | Clinical and radiographs | >18 | 15.6 | 8 | 7.4 | - |
| Renugalakshmi et al. [35] | 2023 | 1442 | Jazan | Radiographs | 5–17 | 1.24 | 1.43 | 1 | - |
Disclaimer/Publisher’s Note: The statements, opinions and data contained in all publications are solely those of the individual author(s) and contributor(s) and not of MDPI and/or the editor(s). MDPI and/or the editor(s) disclaim responsibility for any injury to people or property resulting from any ideas, methods, instructions or products referred to in the content. |
© 2024 by the authors. Licensee MDPI, Basel, Switzerland. This article is an open access article distributed under the terms and conditions of the Creative Commons Attribution (CC BY) license (https://creativecommons.org/licenses/by/4.0/).
Share and Cite
Mallineni, S.K.; Aldhuwayhi, S.; Deeban, Y.; Almutairi, K.S.; Alhabrdi, S.N.; Almidaj, M.A.; Alrumi, B.A.; Assalman, A.S.; Joseph, A.M.; Thakare, A.A.; et al. Prevalence, Occurrence, and Characteristics of Supernumerary Teeth Among the Saudi Arabian Population Using Panoramic Radiographs. Diagnostics 2024, 14, 2542. https://doi.org/10.3390/diagnostics14222542
Mallineni SK, Aldhuwayhi S, Deeban Y, Almutairi KS, Alhabrdi SN, Almidaj MA, Alrumi BA, Assalman AS, Joseph AM, Thakare AA, et al. Prevalence, Occurrence, and Characteristics of Supernumerary Teeth Among the Saudi Arabian Population Using Panoramic Radiographs. Diagnostics. 2024; 14(22):2542. https://doi.org/10.3390/diagnostics14222542
Chicago/Turabian StyleMallineni, Sreekanth Kumar, Sami Aldhuwayhi, Yahya Deeban, Khalid Saud Almutairi, Sultan Nawasir Alhabrdi, Mohammad Abdulaziz Almidaj, Bader Abdullah Alrumi, Abdurrahman Salman Assalman, Angel Mary Joseph, Amar Ashok Thakare, and et al. 2024. "Prevalence, Occurrence, and Characteristics of Supernumerary Teeth Among the Saudi Arabian Population Using Panoramic Radiographs" Diagnostics 14, no. 22: 2542. https://doi.org/10.3390/diagnostics14222542
APA StyleMallineni, S. K., Aldhuwayhi, S., Deeban, Y., Almutairi, K. S., Alhabrdi, S. N., Almidaj, M. A., Alrumi, B. A., Assalman, A. S., Joseph, A. M., Thakare, A. A., & Mustafa, M. Z. (2024). Prevalence, Occurrence, and Characteristics of Supernumerary Teeth Among the Saudi Arabian Population Using Panoramic Radiographs. Diagnostics, 14(22), 2542. https://doi.org/10.3390/diagnostics14222542

