Case Report of Placenta Accreta Spectrum and Arteriovenous Malformations with Successful Preservation of Fertility After Birth
Abstract
1. Introduction
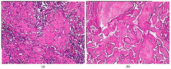
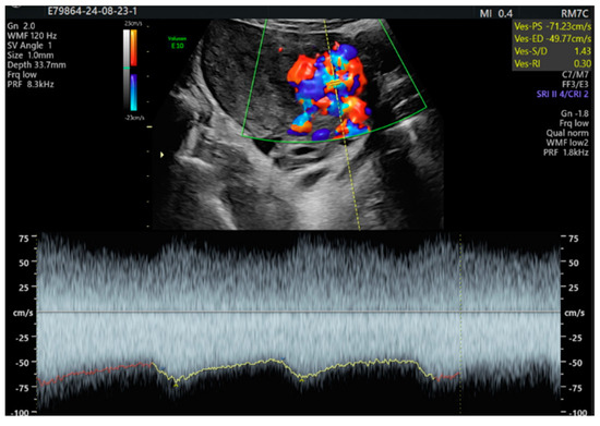
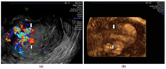
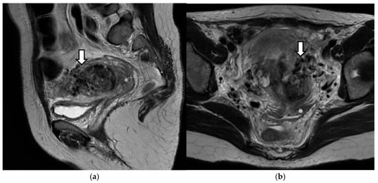
2. Case Presentation
3. Discussion
3.1. Physiopathology
3.2. UAVM Diagnosis
3.3. Differential Diagnosis
3.4. Treatment
4. Conclusions
Author Contributions
Funding
Institutional Review Board Statement
Informed Consent Statement
Data Availability Statement
Conflicts of Interest
References
- Morlando, M.; Collins, S. Placenta Accreta Spectrum Disorders: Challenges, Risks, and Management Strategies. Int. J. Womens Health 2020, 12, 1033–1045. [Google Scholar] [CrossRef] [PubMed]
- Cunningham, F.G.; Leveno, K.J.; Dashe, J.S.; Hoffman, B.L.; Spong, C.Y.; Casey, B.M. Causes of Obstetrical Hemorrhage. In Williams Obstetrics, 26th ed.; McGraw Hill: New York, NY, USA, 2022. [Google Scholar]
- Silver, R.M. Abnormal Placentation: Placenta Previa, Vasa Previa, and Placenta Accreta. Obstet. Gynecol. 2015, 126, 654–668. [Google Scholar] [CrossRef] [PubMed]
- Wortman, A.C.; Alexander, J.M. Placenta Accreta, Increta, and Percreta. Obstet. Gynecol. Clin. 2013, 40, 137–154. [Google Scholar] [CrossRef] [PubMed]
- Yazawa, H.; Soeda, S.; Hiraiwa, T.; Takaiwa, M.; Hasegawa-Endo, S.; Kojima, M.; Fujimori, K. Prospective Evaluation of the Incidence of Uterine Vascular Malformations Developing After Abortion or Delivery. J. Minim. Invasive Gynecol. 2013, 20, 360–367. [Google Scholar] [CrossRef] [PubMed]
- Iraha, Y.; Okada, M.; Toguchi, M.; Azama, K.; Mekaru, K.; Kinjo, T.; Kudaka, W.; Aoki, Y.; Aoyama, H.; Matsuzaki, A.; et al. Multimodality imaging in secondary postpartum or postabortion hemorrhage: Retained products of conception and related conditions. Jpn. J. Radiol. 2018, 36, 12–22. [Google Scholar] [CrossRef]
- Roach, M.K.; Thomassee, M.S. Acquired Uterine Arteriovenous Malformation and Retained Placenta Increta. Obstet. Gynecol. 2015, 126, 642–644. [Google Scholar] [CrossRef]
- Sharashchandra, K.V.; Shivaraj, S.P. Intra operative allowable blood loss: Estimation made easy. MedPulse Int. J. Anesthesiol. 2020, 14, 27–31. [Google Scholar] [CrossRef]
- Vaduva, C.C.; Dira, L.; Carp-Veliscu, A.; Goganau, A.M.; Ofiteru, A.M.; Siminel, M.A. Ovarian reserve after treatment of ovarian endometriomas by ethanolic sclerotherapy compared to surgical treatment. Eur. Rev. Med. Pharmacol. Sci. 2023, 27, 5575–5582. [Google Scholar]
- Albu, D.F.; Albu, C.C.; Gogănău, A.M.; Albu, Ş.D.; Mogoantă, L.; Edu, A.; DiŢescu, D.; Văduva, C.C. Borderline Brenner tumors associated with ovarian cyst—Case presentation. Rom. J. Morphol. Embryol. 2016, 57 (Suppl. 2), 893–898. [Google Scholar]
- Irving, F.C.; Hertig, A.T. A study of placenta acreta. Surg. Gynecol. Obstet. Year 1937, 64, 178–200. [Google Scholar]
- Alonso-Burgos, A.; Díaz-Lorenzo, I.; Muñoz-Saá, L.; Gallardo, G.; Castellanos, T.; Cardenas, R.; de Agustín, L.C. Primary and Secondary Postpartum Haemorrhage: A Review for a Rationale Endovascular Approach; Springer Nature B.V.: Cham, Switzerland, 2024; p. 17. [Google Scholar]
- Jauniaux, E.; Collins, S.; Burton, G.J. Placenta accreta spectrum: Pathophysiology and evidence-based anatomy for prenatal ultrasound imaging. Am. J. Obstet. Gynecol. 2018, 218, 75–87. [Google Scholar] [CrossRef] [PubMed]
- Volkov, A.E.; Rymashevskiy, M.A.; Andrusenko, I.V. Placenta accreta spectrum. Current diagnostic issues. Med. Her. South Russ. 2023, 13, 58–65. [Google Scholar] [CrossRef]
- Palacios-Jaraquemada, J.M.; D’Antonio, F.; Buca, D.; Fiorillo, A.; Larraza, P. Systematic review on near miss cases of placenta accreta spectrum disorders: Correlation with invasion topography, prenatal imaging, and surgical outcome. J. Matern.-Fetal Neonatal Med. 2020, 33, 3377–3384. [Google Scholar] [CrossRef] [PubMed]
- Barber, J.T., Jr.; Tressler, T.B.; Willis, G.S.; Martinez, F.J.; Peisner, D.B.; Goodman, J.D.; Taboada, C.D. Arteriovenous malformation identification after conservative management of placenta percreta with uterine artery embolization and adjunctive therapy. Am. J. Obstet. Gynecol. 2011, 204, e4–e8. [Google Scholar] [CrossRef]
- Tudor, B.; Balan, R.A.; Socolov, R.; Ioanid, N.; Socolov, D.; Dumitru, G. Retained Placenta Percreta with Acquired Uterine Arteriovenous Malformation—Case Report and Short Review of the Literature; MDPI AG: Basel, Switzerland, 2022; p. 904. [Google Scholar]
- Kulshrestha, V.; Shivhare, S.; Meena, J.; Gamanagatti, S.; Singhal, S.; Singh, N.; Kumar, S.; Dadhwal, V. Outcome in women undergoing uterine artery embolization for arterio-venous malformation diagnosed post-pregnancy—A retrospective study. Turk. J. Obstet. Gynecol. 2022, 19, 111–117. [Google Scholar] [CrossRef]
- Weydert, J.A.; Benda, J.A. Subinvolution of the placental site as an anatomic cause of postpartum uterine bleeding: A review. Arch. Pathol. Lab. Med. 2006, 130, 1538–1542. [Google Scholar] [CrossRef]
- Timmerman, D.; Van den Bosch, T.; Peeraer, K.; Debrouwere, E.; Van Schoubroeck, D.; Stockx, L.; Spitz, B. Vascular malformations in the uterus: Ultrasonographic diagnosis and conservative management. Eur. J. Obstet. Gynecol. Reprod. Biol. 2000, 92, 171–178. [Google Scholar] [CrossRef]
- Larcombe, J.; Stuart, A. Acquired uterine arteriovenous malformation—Does it really exist? A case report. Radiol. Case Rep. 2023, 18, 3872–3875. [Google Scholar] [CrossRef]
- Shiina, Y. Overview of Neo-Vascular Lesions After Delivery or Miscarriage; MDPI AG: Basel, Switzerland, 2021; p. 1084. [Google Scholar]
- Laganà, A.S.; Garzon, S.; Franchi, M.; Ghezzi, F. Ultrasonographic Evaluation of Normal and Pathologic Puerperium. In Intrapartum Ultrasonography for Labor Management: Labor, Delivery and Puerperium; Malvasi, A., Ed.; Springer International Publishing: Cham, Switzerland, 2021; pp. 615–631. [Google Scholar]
- Istrate-Ofiţeru, A.-M.; Mogoantă, C.A.; Zorilă, G.-L.; Roşu, G.-C.; Drăguşin, R.C.; Berbecaru, E.-I.-A.; Zorilă, M.V.; Comănescu, C.M.; Mogoantă, S.; Vaduva, C.-C.; et al. Clinical Characteristics and Local Histopathological Modulators of Endometriosis and Its Progression. Int. J. Mol. Sci. 2024, 25, 1789. [Google Scholar] [CrossRef]
- Melinte-Popescu, A.-S.; Popa, R.-F.; Harabor, V.; Nechita, A.; Harabor, A.; Adam, A.-M.; Vasilache, I.-A.; Melinte-Popescu, M.; Vaduva, C.; Socolov, D. Managing Fetal Ovarian Cysts: Clinical Experience with a Rare Disorder. Medicina 2023, 59, 715. [Google Scholar] [CrossRef]
- Szpera-Goździewicz, A.; Gruca-Stryjak, K.; Bręborowicz, G.; Ropacka-Lesiak, M. Uterine arteriovenous malformation—diagnosis and management. Ginekol. Polska 2018, 89, 276–279. [Google Scholar] [CrossRef]
- Salmeri, N.; Papale, M.; Montresor, C.; Candiani, M.; Garavaglia, E. Uterine Arteriovenous Malformation (UAVM) as a Rare Cause of Postpartum Hemorrhage (PPH): A Literature Review; Springer Nature B.V.: Berlin/Heidelberg, Germany, 2022; pp. 1873–1884. [Google Scholar]
- Moynihan, H.V.; Richardson, J.; Loveridge, K. Fertility-Preserving Management of Uterine Arteriovenous Malformation in a 16-Year-Old Female. Cureus 2021, 13, e18162. [Google Scholar] [CrossRef]
- Ore, R.M.; Lynch, D.; Rumsey, C. Uterine arteriovenous malformation, images, and management. Mil. Med. 2015, 180, e177–e180. [Google Scholar] [CrossRef]
- Aiyappan, S.K.; Ranga, U.; Veeraiyan, S. Doppler Sonography and 3D CT Angiography of Acquired Uterine Arteriovenous Malformations (AVMs): Report of Two Cases. J. Clin. Diagn. Res. 2014, 8, 187–189. [Google Scholar]
- Davis, B.; Royalty, K.; Kowarschik, M.; Rohkohl, C.; Oberstar, E.; Aagaard-Kienitz, B.; Niemann, D.; Ozkan, O.; Strother, C.; Mistretta, C. 4D Digital Subtraction Angiography: Implementation and Demonstration of Feasibility. Am. J. Neuroradiol. 2013, 34, 1914. [Google Scholar] [CrossRef]
- Menon, B.E.; Kaufman, C.S.; Kennedy, A.M.; Ingraham, C.R.; Monroe, E.J. Postpartum hemorrhage—What the interventional radiologist should know. CVIR Endovasc. 2021, 4, 86. [Google Scholar] [CrossRef]
- Haddout, S.; Agman, A.; Ceccaldi, P.F. Uterine Arteriovenous Malformations: Therapeutic Strategies and the Place of Hysteroscopy. Open J. Obstet. Gynecol. 2021, 11, 1565–1580. [Google Scholar] [CrossRef]
- Dillon, E.H.; Case, C.Q.; Ramos, I.M.; Holland, C.K.; Taylor, K.J. Endovaginal US and Doppler findings after first-trimester abortion. Radiology 1993, 186, 87–91. [Google Scholar] [CrossRef]
- Hui, P.; Parkash, V.; Perkins, A.S.; Carcangiu, M.-L. Pathogenesis of Placental Site Trophoblastic Tumor May Require the Presence of a Paternally Derived X Chromosome. Lab. Investig. 2000, 80, 965–972. [Google Scholar] [CrossRef]
- Groszmann, Y.S.; Healy Murphy, A.L.; Benacerraf, B.R. Diagnosis and management of patients with enhanced myometrial vascularity associated with retained products of conception. Ultrasound Obstet. Gynecol. 2018, 52, 396–399. [Google Scholar] [CrossRef]
- Van den Bosch, T.; Van Schoubroeck, D.; Timmerman, D. Maximum Peak Systolic Velocity and Management of Highly Vascularized Retained Products of Conception. J. Ultrasound Med. 2015, 34, 1577–1582. [Google Scholar] [CrossRef]
- Matsubara, S.; Kuwata, T.; Usui, R.; Ohkuchi, A. Uterine artery pseudoaneurysm: A master of deception. Arch. Gynecol. Obstet. 2014, 289, 469–470. [Google Scholar] [CrossRef]
- Mulliken, J.B.; Glowacki, J. Hemangiomas and Vascular Malformations in Infants and Children: A Classification Based on Endothelial Characteristics. Plast. Reconstr. Surg. 1982, 69, 412–420. [Google Scholar] [CrossRef]
- Timmerman, D.; Wauters, J.; Van Calenbergh, S.; Van Schoubroeck, D.; Maleux, G.; Van Den Bosch, T.; Spitz, B. Color Doppler imaging is a valuable tool for the diagnosis and management of uterine vascular malformations. Ultrasound Obstet. Gynecol. 2003, 21, 570–577. [Google Scholar] [CrossRef]
- Mungen, E. Vascular abnormalities of the uterus: Have we recently over-diagnosed them? Ultrasound Obstet. Gynecol. 2003, 21, 529–531. [Google Scholar] [CrossRef]
- Kido, A.; Togashi, K.; Koyama, T.; Ito, H.; Tatsumi, K.; Fujii, S.; Konishi, J. Retained Products of Conception Masquerading as Acquired Arteriovenous Malformation. J. Comput. Assist. Tomogr. 2003, 27, 88–92. [Google Scholar] [CrossRef]
- Goldrath, M.H. Uterine tamponade for the control of acute uterine bleeding. Am. J. Obstet. Gynecol. 1983, 147, 869–872. [Google Scholar] [CrossRef]
- Takeuchi, K.; Yamada, T.; Iwasa, M.; Maruo, T. Successful medical treatment with danazol after failed embolization of uterine arteriovenous malformation. Obstet. Gynecol. 2003, 102, 843–844. [Google Scholar]
- Taneja, A.; Chopra, I.; Kaur, H.; Naik, S.S.; Aggarwal, R.; Sachdeva, E.; Kaur, P. Successful management of abnormal uterine bleeding from uterine arteriovenous malformations with progesterone in postabortal patients. J. Obstet. Gynaecol. Res. 2019, 45, 1114–1117. [Google Scholar] [CrossRef]
- Rosen, A.; Chan, W.V.; Matelski, J.; Walsh, C.; Murji, A. Medical treatment of uterine arteriovenous malformation: A systematic review and meta-analysis. Fertil. Steril. 2021, 116, 1107–1116. [Google Scholar] [CrossRef]
- Flynn, M.K.; Levine, D. The noninvasive diagnosis and management of a uterine arteriovenous malformation. Obstet. Gynecol. 1996, 88, 650–652. [Google Scholar] [CrossRef]
- Kelly, S.M.; Belli, A.M.; Campbell, S. Arteriovenous malformation of the uterus associated with secondary postpartum hemorrhage. Ultrasound Obstet. Gynecol. 2003, 21, 602–605. [Google Scholar] [CrossRef]
- Kole, M.; Keerthy, M.; Fotouhi, A.; Sangha, R. Incidence of Pregnancy Following Uterine Artery Embolization Performed for Uterine Arteriovenous Malformations [22N]. Obstet. Gynecol. 2020, 135, 151S. [Google Scholar] [CrossRef]
- Barral, P.A.; Saeed-Kilani, M.; Tradi, F.; Dabadie, A.; Izaaryene, J.; Soussan, J.; Bartoli, J.-M.; Vidal, V. Transcatheter arterial embolization with ethylene vinyl alcohol copolymer (Onyx) for the treatment of hemorrhage due to uterine arteriovenous malformations. Diagn. Interv. Imaging 2017, 98, 415–421. [Google Scholar] [CrossRef]
- Ciftci, E.; Cakir, O.; Yucel Cicek, O.S.; Cam, I. Selective Arterial Embolisation of Uterine Arteriovenous Malformation in an Infertile Patient, subsequent Term Pregnancy and Postpartum Recurrence. J. Coll. Physicians Surg. Pak. 2022, 32, 239–241. [Google Scholar]
- Plowman, R.S.; Javidan-Nejad, C.; Raptis, C.A.; Katz, D.S.; Mellnick, V.M.; Bhalla, S.; Cornejo, P.; Menias, C.O. Imaging of Pregnancy-related Vascular Complications. RadioGraphics 2017, 37, 1270–1289. [Google Scholar] [CrossRef]
- Damiani, G.R.; Dellino, M.; Cascardi, E.; Xuamin, H.; Di Gennaro, D.; Vimercati, A.; Vitagliano, A.; Malvasi, A.; Loizzi, V.; Paniga, C.; et al. Uterine venous malformations in the puerperium: 2 Atypical cases and literature review. Eur. J. Obstet. Gynecol. Reprod. Biol. X 2023, 19, 100220. [Google Scholar] [CrossRef]
- Takeda, A.; Koike, W.; Springer Nature, B.V. Conservative Endovascular Management of Retained Placenta Accreta with Marked Vascularity After Abortion or Delivery; Springer Nature B.V.: Berlin/Heidelberg, Germany, 2017; pp. 1189–1198. [Google Scholar]
- Ruiz Labarta, F.J.; Pintado Recarte, M.P.; González Leyte, M.; Arribas, C.B.; Álvarez Luque, A.; Cuñarro López, Y.; García-Montero, C.; Fraile-Martinez, O.; Ortega, M.A.; De León-Luis, J.A. Uterine Artery Embolization of Uterine Arteriovenous Malformation: A Systematic Review of Success Rate, Complications, and Posterior Pregnancy Outcomes. J. Pers. Med. 2022, 12, 1098. [Google Scholar] [CrossRef]
- Clavero Bertomeu, L.; Castro Portillo, L.; Fernández-Conde de Paz, C. Uterine Arteriovenous Malformation: Diagnostic and Therapeutic Challenges. Diagnostics 2024, 14, 1084. [Google Scholar] [CrossRef]
- Gopal, M.; Goldberg, J.; Klein, T.A.; Fossum, G.T. Embolization of a uterine arteriovenous malformation followed by a twin pregnancy. Obstet. Gynecol. 2003, 102, 696–698. [Google Scholar]
- Javed, A.; Sana, S. Pregnancy after embolization for arteriovenous malformation: An uncommon successful outcome. J. Pak. Med. Assoc. 2020, 71, 1020–1021. [Google Scholar] [CrossRef]
- McLucas, B.; Voorhees, W.D.; Elliott, S., 3rd. Fertility after uterine artery embolization: A review. Minim. Invasive Ther. Allied Technol. 2016, 25, 1–7. [Google Scholar] [CrossRef]
- Yang, J.J.; Xiang, Y.; Wan, X.R.; Yang, X.Y. Diagnosis and management of uterine arteriovenous fistulas with massive vaginal bleeding. Int. J. Gynaecol. Obstet. 2005, 89, 114–119. [Google Scholar] [CrossRef]
- Kim, J.Y.; Kim, D.I.; Do, Y.S.; Lee, B.B.; Kim, Y.W.; Shin, S.W.; Byun, H.; Roh, H.; Choo, I.; Hyon, W.; et al. Surgical treatment for congenital arteriovenous malformation: 10 years’ experience. Eur. J. Vasc. Endovasc. Surg. 2006, 32, 101–106. [Google Scholar] [CrossRef]
- O’Brien, P.; Neyastani, A.; Buckley, A.R.; Chang, S.D.; Legiehn, G.M. Uterine Arteriovenous Malformations. J. Ultrasound Med. 2006, 25, 1387–1392. [Google Scholar] [CrossRef]
- Oppenheimer, L.; Maternal Fetal Medicine, C. RETIRED: Diagnosis and management of placenta previa. J. Obstet. Gynaecol. Can. 2007, 29, 261–266. [Google Scholar] [CrossRef]
- Lu, T.-F.; Shih, Y.-H.; Lu, C.-H.; Sun, L. A new fertility-preserving treatment modality for life-threatening bleeding caused by acquired uterine arteriovenous malformation (AVM): Combination laparoscopic ligation of uterine arteries and AVM suture. Taiwan J. Obstet. Gynecol. 2022, 61, 703–707. [Google Scholar] [CrossRef]










Disclaimer/Publisher’s Note: The statements, opinions and data contained in all publications are solely those of the individual author(s) and contributor(s) and not of MDPI and/or the editor(s). MDPI and/or the editor(s) disclaim responsibility for any injury to people or property resulting from any ideas, methods, instructions or products referred to in the content. |
© 2024 by the authors. Licensee MDPI, Basel, Switzerland. This article is an open access article distributed under the terms and conditions of the Creative Commons Attribution (CC BY) license (https://creativecommons.org/licenses/by/4.0/).
Share and Cite
Vaduva, C.-C.; Dira, L.; Sandulescu, S.M.; Constantin, C.; Bernad, E.S.; Albulescu, D.M.; Serbanescu, M.-S.; Boldeanu, L. Case Report of Placenta Accreta Spectrum and Arteriovenous Malformations with Successful Preservation of Fertility After Birth. Diagnostics 2024, 14, 2538. https://doi.org/10.3390/diagnostics14222538
Vaduva C-C, Dira L, Sandulescu SM, Constantin C, Bernad ES, Albulescu DM, Serbanescu M-S, Boldeanu L. Case Report of Placenta Accreta Spectrum and Arteriovenous Malformations with Successful Preservation of Fertility After Birth. Diagnostics. 2024; 14(22):2538. https://doi.org/10.3390/diagnostics14222538
Chicago/Turabian StyleVaduva, Constantin-Cristian, Laurentiu Dira, Sidonia Maria Sandulescu, Cristian Constantin, Elena Silvia Bernad, Dana Maria Albulescu, Mircea-Sebastian Serbanescu, and Lidia Boldeanu. 2024. "Case Report of Placenta Accreta Spectrum and Arteriovenous Malformations with Successful Preservation of Fertility After Birth" Diagnostics 14, no. 22: 2538. https://doi.org/10.3390/diagnostics14222538
APA StyleVaduva, C.-C., Dira, L., Sandulescu, S. M., Constantin, C., Bernad, E. S., Albulescu, D. M., Serbanescu, M.-S., & Boldeanu, L. (2024). Case Report of Placenta Accreta Spectrum and Arteriovenous Malformations with Successful Preservation of Fertility After Birth. Diagnostics, 14(22), 2538. https://doi.org/10.3390/diagnostics14222538

