Combined Use of External Iliac Lymph Node Count and Bone Scintigraphy for PJI Diagnosis: A Prospective Study
Abstract
1. Introduction
2. Materials and Methods
2.1. Patient Cohort and Characteristics
2.2. Image Acquisition and Analysis
2.2.1. Dual-Energy CT (DECT)
2.2.2. Bone Scintigraphy Image Acquisition
2.3. Statistical Analysis
3. Results
3.1. Baseline Characteristics of Patients
3.2. Laboratory Test Results
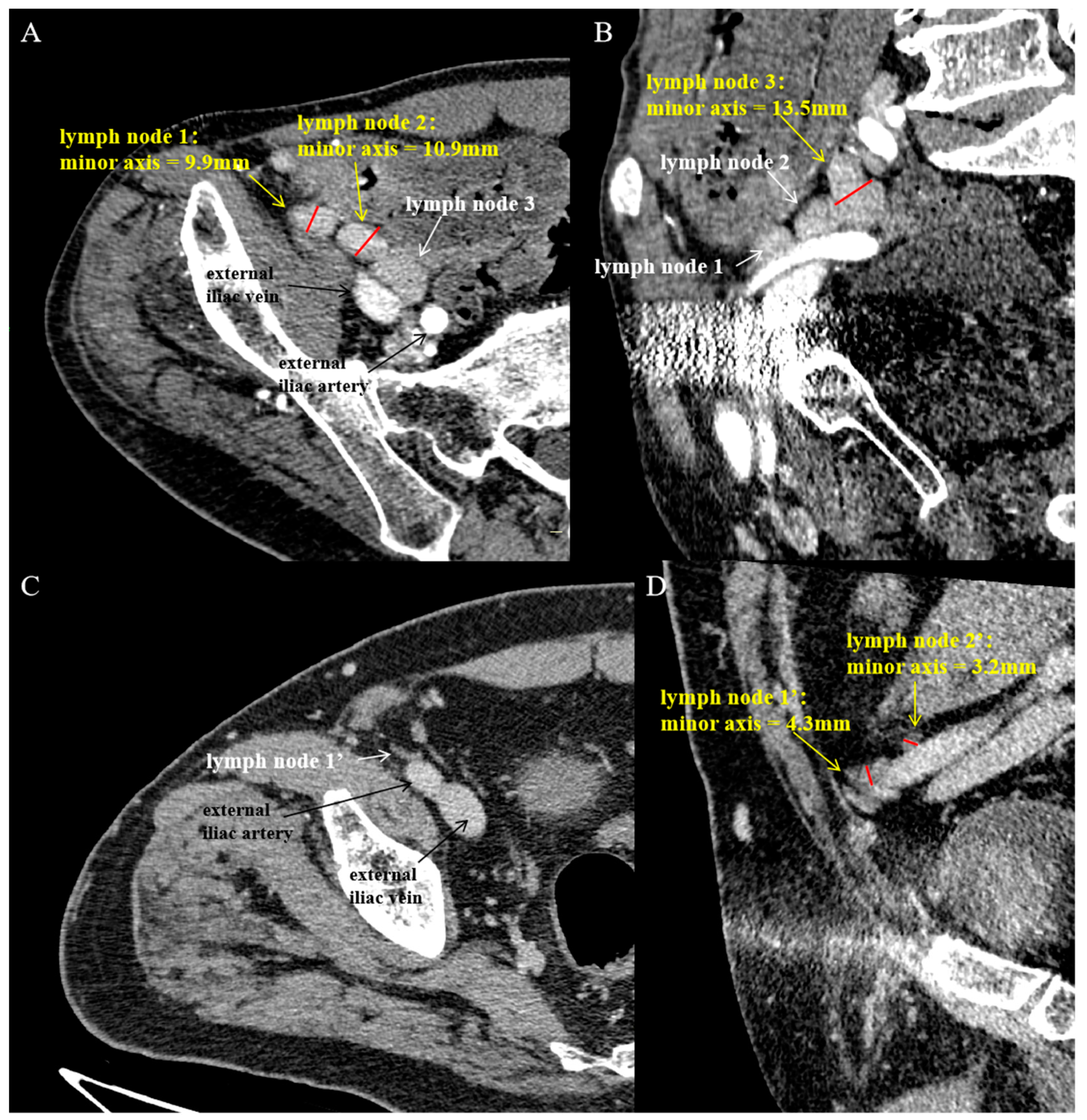
3.3. Counting Enlarged External Iliac Lymph Nodes on DECT
3.4. Bone Scintigraphy
4. Discussion
5. Conclusions
Author Contributions
Funding
Institutional Review Board Statement
Informed Consent Statement
Data Availability Statement
Acknowledgments
Conflicts of Interest
References
- Qin, L.; Yang, S.; Zhao, C.; Yang, J.; Li, F.; Xu, Z.; Yang, Y.; Zhou, H.; Li, K.; Xiong, C.; et al. Prospects and challenges for the application of tissue engineering technologies in the treatment of bone infections. Bone Res. 2024, 12, 28. [Google Scholar] [CrossRef] [PubMed]
- Zhou, H.; Yang, Y.; Zhang, Y.; Li, F.; Shen, Y.; Qin, L.; Huang, W. Current Status and Perspectives of Diagnosis and Treatment of Periprosthetic Joint Infection. Infect. Drug Resist. 2024, 17, 2417–2429. [Google Scholar] [CrossRef] [PubMed]
- Bingham, J.S.; Hassebrock, J.D.; Christensen, A.L.; Beauchamp, C.P.; Clarke, H.D.; Spangehl, M.J. Screening for Periprosthetic Joint Infections with ESR and CRP: The Ideal Cutoffs. J. Arthroplast. 2020, 35, 1351–1354. [Google Scholar] [CrossRef]
- Huerfano, E.; Bautista, M.; Huerfano, M.; Bonilla, G.; Llinas, A. Screening for Infection Before Revision Hip Arthroplasty: A Meta-analysis of Likelihood Ratios of Erythrocyte Sedimentation Rate and Serum C-reactive Protein Levels. J. Am. Acad. Orthop. Surg. 2017, 25, 809–817. [Google Scholar] [CrossRef]
- Wouthuyzen-Bakker, M. Cultures in periprosthetic joint infections, the imperfect gold standard? EFORT Open Rev. 2023, 8, 175–179. [Google Scholar] [CrossRef]
- Hong, H.-L.; Flurin, L.; Thoendel, M.J.; Wolf, M.J.; Abdel, M.P.; E Greenwood-Quaintance, K.; Patel, R. Targeted Versus Shotgun Metagenomic Sequencing-based Detection of Microorganisms in Sonicate Fluid for Periprosthetic Joint Infection Diagnosis. Clin. Infect. Dis. 2023, 76, e1456–e1462. [Google Scholar] [CrossRef]
- Mei, J.; Hu, H.; Zhu, S.; Ding, H.; Huang, Z.; Li, W.; Yang, B.; Zhang, W.; Fang, X. Diagnostic Role of mNGS in Polymicrobial Periprosthetic Joint Infection. J. Clin. Med. 2023, 12, 1838. [Google Scholar] [CrossRef]
- Melo-Silva, C.R.; Sigal, L.J. Innate and adaptive immune responses that control lymph-borne viruses in the draining lymph node. Cell. Mol. Immunol. 2024, 21, 999–1007. [Google Scholar] [CrossRef]
- Grasso, C.; Pierie, C.; Mebius, R.; van Baarsen, L. Lymph node stromal cells: Subsets and functions in health and disease. Trends Immunol. 2021, 42, 920–936. [Google Scholar] [CrossRef]
- Wong, E.; Montoya, B.; Stotesbury, C.; Ferez, M.; Xu, R.-H.; Sigal, L.J. Langerhans Cells Orchestrate the Protective Antiviral Innate Immune Response in the Lymph Node. Cell Rep. 2019, 29, 3047–3059.e3. [Google Scholar] [CrossRef]
- Wong, E.; Xu, R.-H.; Rubio, D.; Lev, A.; Stotesbury, C.; Fang, M.; Sigal, L.J. Migratory Dendritic Cells, Group 1 Innate Lymphoid Cells, and Inflammatory Monocytes Collaborate to Recruit NK Cells to the Virus-Infected Lymph Node. Cell Rep. 2018, 24, 142–154. [Google Scholar] [CrossRef] [PubMed]
- Piersma, S.J. Tissue-specific features of innate lymphoid cells in antiviral defense. Cell. Mol. Immunol. 2024, 21, 1036–1050. [Google Scholar] [CrossRef] [PubMed]
- Ghirardelli, M.L.; Jemos, V.; Gobbi, P.G. Diagnostic approach to lymph node enlargement. Haematologica 1999, 84, 242–247. [Google Scholar]
- Qin, L.; Zhao, C.; Wang, H.; Yang, J.; Chen, L.; Su, X.; Wei, L.; Zhang, T.; Li, J.; Jian, C.; et al. Detection of inguinal lymph nodes is promising for the diagnosis of periprosthetic joint infection. Front. Cell. Infect. Microbiol. 2023, 13, 1129072. [Google Scholar] [CrossRef]
- Xiao, Y.-T.; Zhao, X.; Chang, Y.; Lu, X.; Wang, Y.; Zhang, H.; Ren, S. Assessing the safety and feasibility of neoadjuvant hormone and radiation therapy followed by robot-assisted radical prostatectomy for treating locally advanced prostate cancer: Protocol for an open-label, dose-escalation, single-centre, phase I clinical trial. BMJ Open 2020, 10, e038678. [Google Scholar] [CrossRef]
- Qu, Y.; Frazer, L.C.; O’Connell, C.M.; Tarantal, A.F.; Andrews, C.W.; O’Connor, S.L.; Russell, A.N.; Sullivan, J.E.; Poston, T.B.; Vallejo, A.N.; et al. Comparable Genital Tract Infection, Pathology, and Immunity in Rhesus Macaques Inoculated with Wild-Type or Plasmid-Deficient Chlamydia trachomatis Serovar D. Infect. Immun. 2015, 83, 4056–4067. [Google Scholar] [CrossRef]
- Isern-Kebschull, J.; Tomas, X.; García-Díez, A.I.; Morata, L.; Ríos, J.; Soriano, A. Accuracy of Computed Tomography–Guided Joint Aspiration and Computed Tomography Findings for Prediction of Infected Hip Prosthesis. J. Arthroplast. 2019, 34, 1776–1782. [Google Scholar] [CrossRef]
- Bontumasi, N.; Jacobson, J.A.; Caoili, E.; Brandon, C.; Kim, S.M.; Jamadar, D. Inguinal lymph nodes: Size, number, and other characteristics in asymptomatic patients by CT. Surg. Radiol. Anat. 2014, 36, 1051–1055. [Google Scholar] [CrossRef]
- de Casas, P.C.; Knöpper, K.; Sarkar, R.D.; Kastenmüller, W. Same yet different—How lymph node heterogeneity affects immune responses. Nat. Rev. Immunol. 2023, 24, 358–374. [Google Scholar] [CrossRef]
- Ouyang, Z.; Li, H.; Liu, X.; Zhai, Z.; Li, X. Prosthesis infection: Diagnosis after total joint arthroplasty with three-phase bone scintigraphy. Ann. Nucl. Med. 2014, 28, 994–1003. [Google Scholar] [CrossRef]
- Romanò, C.L.; Petrosillo, N.; Argento, G.; Sconfienza, L.M.; Treglia, G.; Alavi, A.; Glaudemans, A.W.J.M.; Gheysens, O.; Maes, A.; Lauri, C.; et al. The Role of Imaging Techniques to Define a Peri-Prosthetic Hip and Knee Joint Infection: Multidisciplinary Consensus Statements. J. Clin. Med. 2020, 9, 2548. [Google Scholar] [CrossRef] [PubMed]
- Araki, Y.; Yamamoto, N.; Hayashi, K.; Takeuchi, A.; Miwa, S.; Igarashi, K.; Higuchi, T.; Abe, K.; Taniguchi, Y.; Yonezawa, H.; et al. A Viability Analysis of Tumor-Bearing Frozen Autograft for the Reconstruction After Resection of Malignant Bone Tumors Using 99mTc-MDP Scintigraphy. Clin. Nucl. Med. 2023, 48, 25–34. [Google Scholar] [CrossRef] [PubMed]
- Parvizi, J.; Gehrke, T.; International Consensus Group on Periprosthetic Joint Infection. Definition of Periprosthetic Joint Infection. J. Arthroplast. 2014, 29, 1331. [Google Scholar] [CrossRef] [PubMed]
- On behalf of the EANM Bone & Joint Committee and the Oncology Committee; Wyngaert, T.V.D.; Strobel, K.; Kampen, W.U.; Kuwert, T.; van der Bruggen, W.; Mohan, H.K.; Gnanasegaran, G.; Delgado-Bolton, R.; Weber, W.A.; et al. The EANM practice guidelines for bone scintigraphy. Eur. J. Nucl. Med. 2016, 43, 1723–1738. [Google Scholar] [CrossRef]
- Saavedra-Lozano, J.; Falup-Pecurariu, O.; Faust, S.N.; Girschick, H.; Hartwig, N.; Kaplan, S.; Lorrot, M.; Mantadakis, E.; Peltola, H.; Rojo, P.; et al. Bone and Joint Infections. Pediatr. Infect. Dis. J. 2017, 36, 788–799. [Google Scholar] [CrossRef]
- Qin, L.; Hu, N.; Zhang, Y.; Yang, J.; Zhao, L.; Zhang, X.; Yang, Y.; Zhang, J.; Zou, Y.; Wei, K.; et al. Antibody-antibiotic conjugate targeted therapy for orthopedic implant-associated intracellular S. aureus infections. J. Adv. Res. 2023, 65, 239–255. [Google Scholar] [CrossRef]
- Qin, L.; Li, F.; Gong, X.; Wang, J.; Huang, W.; Hu, N. Combined Measurement of D-Dimer and C-Reactive Protein Levels: Highly Accurate for Diagnosing Chronic Periprosthetic Joint Infection. J. Arthroplast. 2020, 35, 229–234. [Google Scholar] [CrossRef]
- Tamburini, B.A.; Burchill, M.A.; Kedl, R.M. Antigen capture and archiving by lymphatic endothelial cells following vaccination or viral infection. Nat. Commun. 2014, 5, 3989. [Google Scholar] [CrossRef]
- Dupuy, A.; Benchikhi, H.; Roujeau, J.-C.; Bernard, P.; Vaillant, L.; Chosidow, O.; Sassolas, B.; Guillaume, J.-C.; Grob, J.-J.; Bastuji-Garin, S. Risk factors for erysipelas of the leg (cellulitis): Case-control study. BMJ 1999, 318, 1591–1594. [Google Scholar] [CrossRef]
- Lange, J.R.; Palis, B.E.; Chang, D.C.; Soong, S.-J.; Balch, C.M. Melanoma in Children and Teenagers: An Analysis of Patients from the National Cancer Data Base. J. Clin. Oncol. 2007, 25, 1363–1368. [Google Scholar] [CrossRef]
- Picchio, M.; Mapelli, P.; Panebianco, V.; Castellucci, P.; Incerti, E.; Briganti, A.; Gandaglia, G.; Kirienko, M.; Barchetti, F.; Nanni, C.; et al. Imaging biomarkers in prostate cancer: Role of PET/CT and MRI. Eur. J. Nucl. Med. Mol. Imaging 2015, 42, 644–655. [Google Scholar] [CrossRef] [PubMed]
- Di Muzio, N.; Fodor, A.; Berardi, G.; Mapelli, P.; Gianolli, L.; Messa, C.; Picchio, M. Lymph nodal metastases: Diagnosis and treatment. Q. J. Nucl. Med. Mol. Imaging 2012, 56, 421–429. [Google Scholar] [PubMed]
- Jardon, M.; Fritz, J.; Samim, M. Imaging approach to prosthetic joint infection. Skelet. Radiol. 2024, 53, 2023–2037. [Google Scholar] [CrossRef] [PubMed]
- Moore, J.; Remy, J.; Altschul, E.; Chusid, J.; Flohr, T.; Raoof, S.; Remy-Jardin, M. Thoracic Applications of Spectral CT Scan. Chest 2024, 165, 417–430. [Google Scholar] [CrossRef] [PubMed]
- Boudabbous, S.; Paulin, E.N.; Delattre, B.M.A.; Hamard, M.; Vargas, M.I. Spinal disorders mimicking infection. Insights Imaging 2021, 12, 176. [Google Scholar] [CrossRef]
- Cheng, Q.; Yang, Y.; Li, F.; Li, X.; Qin, L.; Huang, W. Dual-Energy Computed Tomography Iodine Maps: Application in the Diagnosis of Periprosthetic Joint Infection in Total Hip Arthroplasty. J. Arthroplast. 2024; Online ahead of print. [Google Scholar] [CrossRef]
- Senger, J.-L.B.; Kadle, R.L.; Skoracki, R.J. Current Concepts in the Management of Primary Lymphedema. Medicina 2023, 59, 894. [Google Scholar] [CrossRef]
- Gemmel, F.; van den Wyngaert, H.; Love, C.; Welling, M.M.; Gemmel, P.; Palestro, C.J. Prosthetic joint infections: Radionuclide state-of-the-art imaging. Eur. J. Nucl. Med. Mol. Imaging 2012, 39, 892–909. [Google Scholar] [CrossRef]
- Jutte, P.; Lazzeri, E.; Sconfienza, L.M.; Cassar-Pullicino, V.; Trampuz, A.; Petrosillo, N.; Signore, A. Diagnostic flowcharts in osteomyelitis, spondylodiscitis and prosthetic joint infection. Q. J. Nucl. Med. Mol. Imaging 2014, 58, 2–19. [Google Scholar]
- Palestro, C.J. Molecular Imaging of Periprosthetic Joint Infections. Semin. Nucl. Med. 2023, 53, 167–174. [Google Scholar] [CrossRef]
- Gandsman, E.; McCullough, R. Dynamic bone imaging in the differential diagnosis of skeletal lesions. Int. J. Radiat. Appl. Instrum. Part B Nucl. Med. Biol. 1990, 17, 533–541. [Google Scholar] [CrossRef]
- Glaudemans, A.W.; De Vries, E.F.; Vermeulen, L.E.; Slart, R.H.; Dierckx, R.A.; Signore, A. A large retrospective single-centre study to define the best image acquisition protocols and interpretation criteria for white blood cell scintigraphy with 99mTc-HMPAO-labelled leucocytes in musculoskeletal infections. Eur. J. Nucl. Med. Mol. Imaging 2013, 40, 1760–1769. [Google Scholar] [CrossRef]




| Characteristic | PJI Group (N = 38) | Aseptic Failure (N = 72) | p-Value |
|---|---|---|---|
| Age (years) | 65.29 ± 12.79 | 66.29 ± 12.68 | 0.695 |
| Weight (kg) | 60.77 ± 10.99 | 59.45 ± 11.20 | 0.554 |
| Height (cm) | 161.31 ± 8.69 | 160.65 ± 9.45 | 0.720 |
| BMI (kg/m2) | 23.23 ± 2.99 | 22.92 ± 3.55 | 0.640 |
| Gender | 0.756 | ||
| Male | 22 (57.89%) | 38 (52.78%) | |
| Female | 16 (42.11%) | 34 (47.22%) |
| Inflammatory Marker | PJI Group (N = 38) | Aseptic Failure (N = 72) | p-Value |
|---|---|---|---|
| CRP (mg/L) | 1.49 (1.29, 1.81) | 1.04 (0.98, 1.15) | <0.001 |
| ESR (mm/h) | 1.84 (1.38, 2.89) | 1.58 (1.26, 2.28) | <0.001 |
| PMN% | 65.65 (59.67, 70.15) | 61.65 (54.52, 69.10) | <0.05 |
| Imaging Examination | PJI Group (N = 38) | Aseptic Failure (N = 72) | p-Value |
|---|---|---|---|
| Blood phase (Ratio) | 1.49 (1.29, 1.81) | 1.04 (0.98, 1.15) | <0.001 |
| Delay phase (Ratio) | 1.84 (1.38, 2.89) | 1.58 (1.26, 2.28) | 0.142 |
| Lymph node (N) | 4.0 (3.0, 5.0) | 1.5(1.0, 2.0) | <0.001 |
| Diagnosis Method | AUC | Sensitivity, % (95% CI) | Specificity, % (95% CI) | Cutoff Value | PPV, % | NPV, % | Accuracy, % |
|---|---|---|---|---|---|---|---|
| Blood pool phase (ratio) | 0.89 (0.83 to 0.96) | 84.72 (74.68 to 91.25) | 89.47 (75.87 to 95.83) | 1.236 | 75.56 | 93.85 | 86.36 |
| Enlarged lymph nodes | 0.91 (0.85 to 0.98) | 88.89 (79.58 to 94.26) | 86.84 (72.67 to 94.25) | 2.500 | 80.49 | 94.12 | 88.18 |
| Combined diagnosis | 0.95 (0.91 to 0.99) | 95.83 (88.45 to 98.86) | 86.84(72.67 to 94.25) | \ | 91.67 | 93.24 | 92.73 |
| ESR | 0.83 (0.75 to 0.91) | 72.22 (60.95 to 81.58) | 81.58 (66.58 to 90.78) | 42.50 | 60.00 | 86.67 | 74.55 |
| CRP | 0.76 (0.68 to 0.85) | 68.06 (56.61 to 77.67) | 81.58 (66.58 to 90.78) | 7.995 | 57.41 | 87.50 | 72.73 |
| PMN% | 0.62 (0.51 to 0.72) | 59.72 (48.18 to 70.28) | 65.79 (49.89 to 78.79) | 63.05 | 46.30 | 75.44 | 61.82 |
Disclaimer/Publisher’s Note: The statements, opinions and data contained in all publications are solely those of the individual author(s) and contributor(s) and not of MDPI and/or the editor(s). MDPI and/or the editor(s) disclaim responsibility for any injury to people or property resulting from any ideas, methods, instructions or products referred to in the content. |
© 2024 by the authors. Licensee MDPI, Basel, Switzerland. This article is an open access article distributed under the terms and conditions of the Creative Commons Attribution (CC BY) license (https://creativecommons.org/licenses/by/4.0/).
Share and Cite
Zhou, H.; Yang, Y.; Li, J.; Hu, Q.; Li, F.; Qin, L.; Huang, W.; Wang, H.; Cheng, Q. Combined Use of External Iliac Lymph Node Count and Bone Scintigraphy for PJI Diagnosis: A Prospective Study. Diagnostics 2024, 14, 2502. https://doi.org/10.3390/diagnostics14222502
Zhou H, Yang Y, Li J, Hu Q, Li F, Qin L, Huang W, Wang H, Cheng Q. Combined Use of External Iliac Lymph Node Count and Bone Scintigraphy for PJI Diagnosis: A Prospective Study. Diagnostics. 2024; 14(22):2502. https://doi.org/10.3390/diagnostics14222502
Chicago/Turabian StyleZhou, Haotian, Yaji Yang, Jia Li, Qianshui Hu, Feilong Li, Leilei Qin, Wei Huang, Hai Wang, and Qiang Cheng. 2024. "Combined Use of External Iliac Lymph Node Count and Bone Scintigraphy for PJI Diagnosis: A Prospective Study" Diagnostics 14, no. 22: 2502. https://doi.org/10.3390/diagnostics14222502
APA StyleZhou, H., Yang, Y., Li, J., Hu, Q., Li, F., Qin, L., Huang, W., Wang, H., & Cheng, Q. (2024). Combined Use of External Iliac Lymph Node Count and Bone Scintigraphy for PJI Diagnosis: A Prospective Study. Diagnostics, 14(22), 2502. https://doi.org/10.3390/diagnostics14222502
