Macular Alterations in a Cohort of Caucasian Patients Affected by Retinitis Pigmentosa
Abstract
1. Introduction
2. Materials and Methods
2.1. Patients and Clinical Evaluation
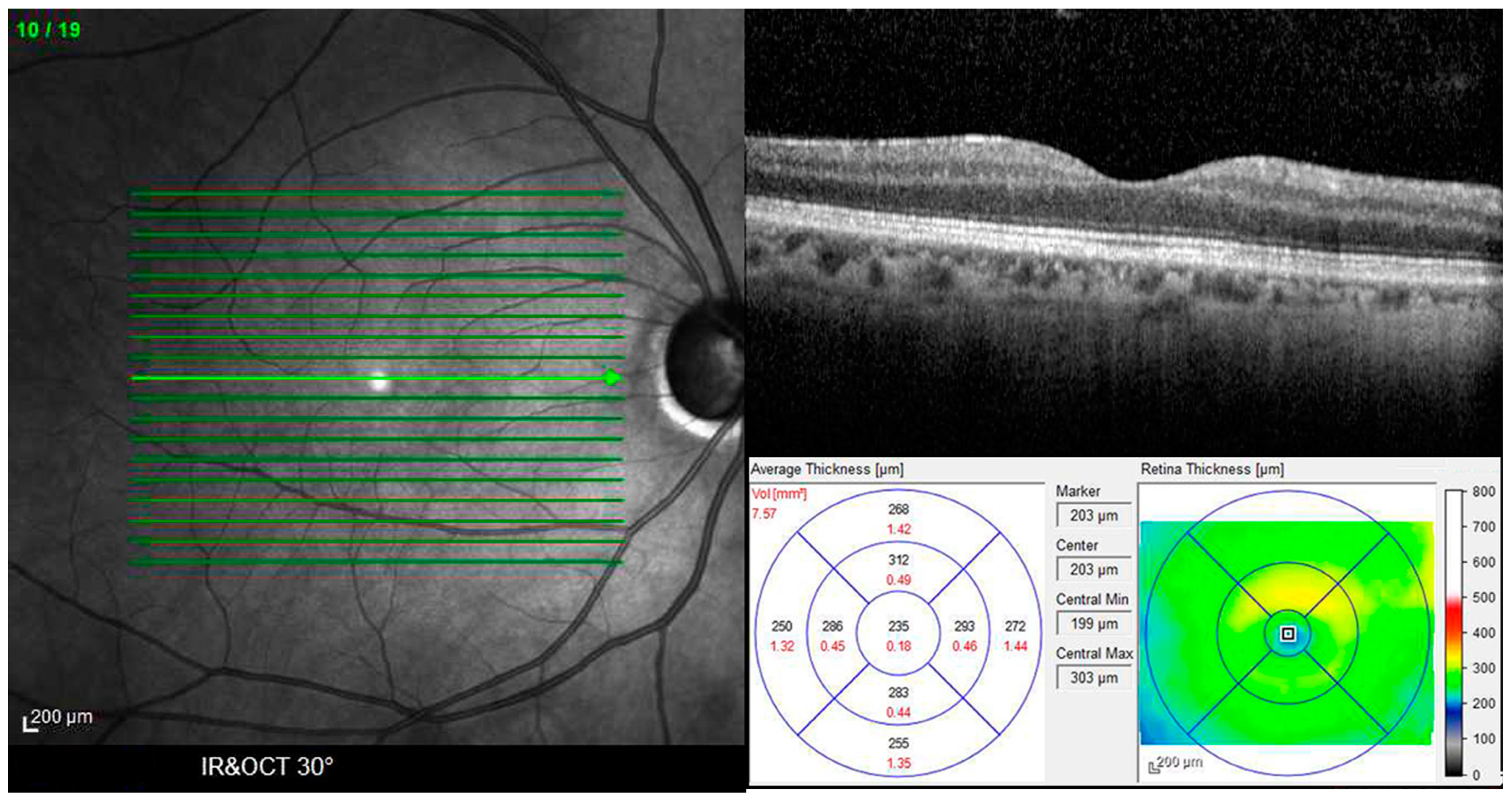
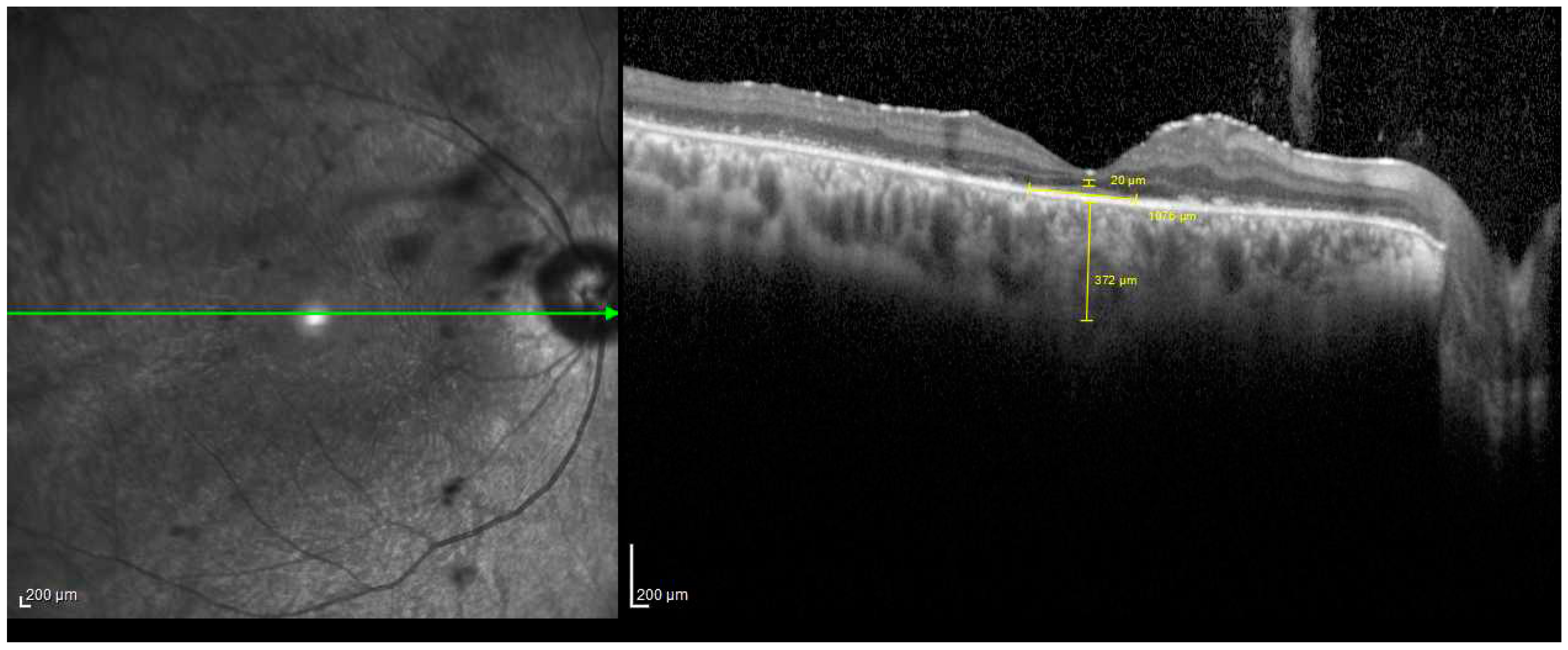
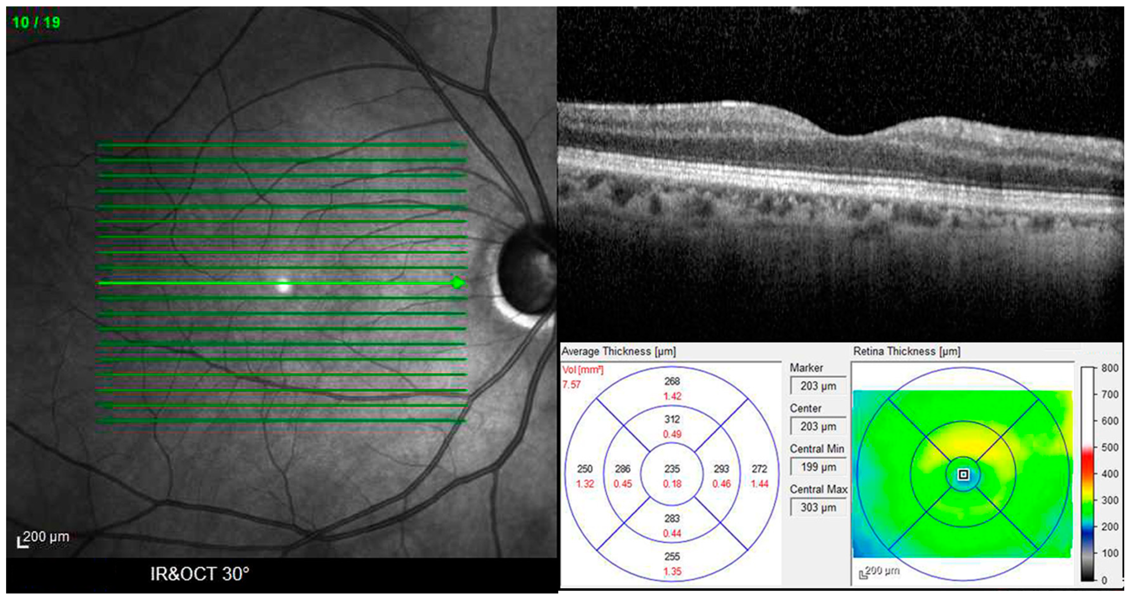
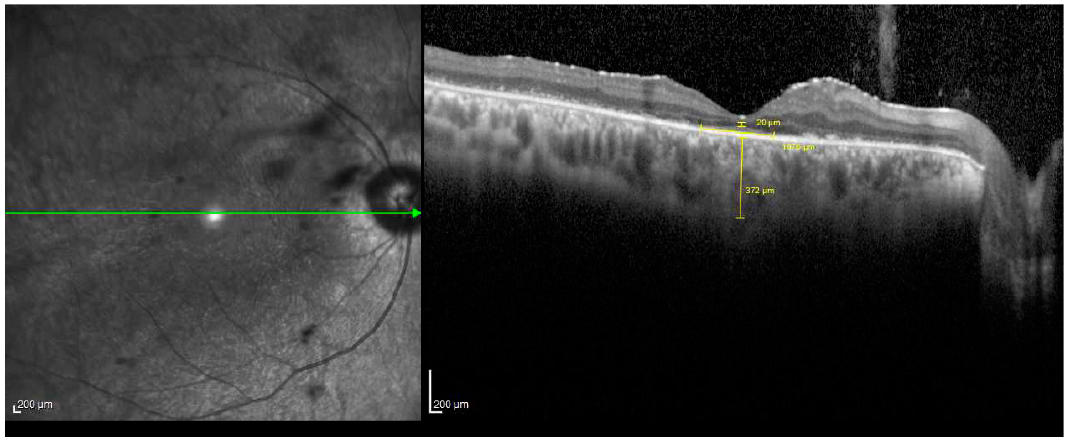
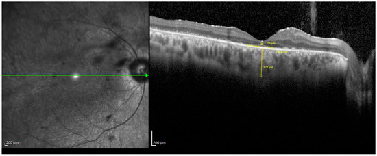
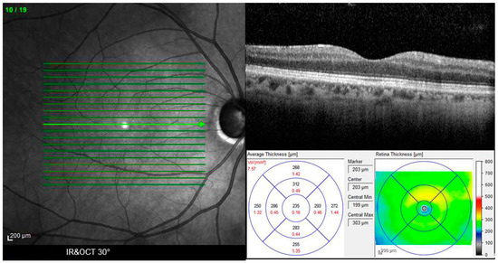
2.2. SD-OCT Measurements
- (a)
- VMT: presence of perifoveal vitreous cortex detachment from the retinal surface, with macular attachment of the vitreous cortex within a 3 mm radius of the fovea associated with distortion of the foveal surface, intraretinal structural changes, and/or elevation of the fovea above the RPE.
- (b)
- FTMH with VMT: a full-thickness foveal lesion that interrupts all macular layers.
- (c)
- The holes were classified by size as small holes (<250 μm), medium (250–400 μm), or large (>400 μm).
- (d)
- Small, medium, or large FTMH without VMT.
- (e)
- Lamellar macular hole (LMH): characterized by an irregular foveal contour, inner retina defect, intraretinal splitting (schisis), and an intact photoreceptor layer.
2.3. Statistical Analysis
3. Results
3.1. Population
3.2. OCT Measurements
3.3. A Variety of Macular Alterations in RP Patients
3.4. Visual Acuity in RP Patients with Different Macular Alterations
3.5. A Comparative Analysis of the Two Groups
4. Discussion
Study Limitations and Future Directions
5. Conclusions
Author Contributions
Funding
Institutional Review Board Statement
Informed Consent Statement
Data Availability Statement
Acknowledgments
Conflicts of Interest
References
- Verbakel, S.K.; van Huet, R.A.C.; Boon, C.J.F.; den Hollander, A.I.; Collin, R.W.J.; Klaver, C.C.W.; Hoyng, C.B.; Roepman, R.; Klevering, B.J. Non-syndromic retinitis pigmentosa. Prog. Retin. Eye Res. 2018, 66, 157–186. [Google Scholar] [CrossRef] [PubMed]
- GlobalData. Epidemiology and Market Size Retinitis Pigmentosa. Available online: https://www.globaldata.com/ (accessed on 30 April 2021).
- Pierrottet, C.O.; Zuntini, M.; Digiuni, M.; Bazzanella, I.; Ferri, P.; Paderni, R.; Rossetti, L.M.; Cecchin, S.; Orzalesi, N.; Bertelli, M. Syndromic and non-syndromic forms of retinitis pigmentosa: A comprehensive Italian clinical and molecular study reveals new mutations. Genet. Mol. Res. 2014, 13, 8815–8833. [Google Scholar] [CrossRef] [PubMed]
- Daiger, S.P.; Bowne, S.J.; Sullivan, L.S. Perspective on genes and mutations causing retinitis pigmentosa. Arch. Ophthalmol. 2007, 125, 151–158. [Google Scholar] [CrossRef] [PubMed]
- Li, Z.Y.; Possin, D.E.; Milam, A.H. Histopathology of bone spicule pigmentation in retinitis pigmentosa. Ophthalmology 1995, 102, 805–816. [Google Scholar] [CrossRef]
- Berson, E.L. Retinitis pigmentosa. The Friedenwald Lecture. Investig. Ophthalmol. Vis. Sci. 1993, 34, 1659–1676. [Google Scholar] [PubMed]
- Jaissle, G.B.; May, C.A.; van de Pavert, S.A.; Wenzel, A.; Claes-May, E.; Giessl, A.; Szurman, P.; Wolfrum, U.; Wijnholds, J.; Fischer, M.D.; et al. Bone spicule pigment formation in retinitis pigmentosa: Insights from a mouse model. Graefes Arch. Clin. Exp. Ophthalmol. 2010, 248, 1063–1070. [Google Scholar] [CrossRef]
- Cellini, M.; Strobbe, E.; Gizzi, C.; Campos, E.C. ET-1 plasma levels and ocular blood flow in retinitis pigmentosa. Can. J. Physiol. Pharmacol. 2010, 88, 630–635. [Google Scholar] [CrossRef] [PubMed]
- Hwang, Y.H.; Kim, S.W.; Kim, Y.Y.; Na, J.H.; Kim, H.K.; Sohn, Y.H. Optic nerve head, retinal nerve fiber layer, and macular thickness measurements in young patients with retinitis pigmentosa. Curr. Eye Res. 2012, 37, 914–920. [Google Scholar] [CrossRef]
- Zhou, M.; Geathers, J.S.; Grillo, S.L.; Weber, S.R.; Wang, W.; Zhao, Y.; Sundstrom, J.M. Role of Epithelial-Mesenchymal Transition in Retinal Pigment Epithelium Dysfunction. Front. Cell Dev. Biol. 2020, 8, 501. [Google Scholar] [CrossRef]
- Strong, S.; Liew, G.; Michaelides, M. Retinitis pigmentosa-associated cystoid macular oedema: Pathogenesis and avenues of intervention. Br. J. Ophthalmol. 2017, 101, 31–37. [Google Scholar] [CrossRef]
- Auffarth, G.U.; Tetz, M.R.; Krastel, H.; Blankenagel, A.; Völcker, H.E. Cataracta complicata bei verschiedenen Formen der Retinitis pigmentosa Art und Häufigkeit [Complicated cataracts in various forms of retinitis pigmentosa. Type and incidence]. Ophthalmologe 1997, 94, 642–646. [Google Scholar] [CrossRef] [PubMed]
- Fujiwara, K.; Ikeda, Y.; Murakami, Y.; Funatsu, J.; Nakatake, S.; Tachibana, T.; Yoshida, N.; Nakao, S.; Hisatomi, T.; Yoshida, S.; et al. Risk Factors for Posterior Subcapsular Cataract in Retinitis Pigmentosa. Investig. Ophthalmol. Vis. Sci. 2017, 58, 2534–2537. [Google Scholar] [CrossRef] [PubMed]
- Goldberg, N.R.; Greenberg, J.P.; Laud, K.; Tsang, S.; Freund, K.B. Outer retinal tubulation in degenerative retinal disorders. Retina 2013, 33, 1871–1876. [Google Scholar] [CrossRef] [PubMed]
- Kuroda, M.; Hirami, Y.; Hata, M.; Mandai, M.; Takahashi, M.; Kurimoto, Y. Intraretinal hyperreflective foci on spectral-domain optical coherence tomographic images of patients with retinitis pigmentosa. Clin. Ophthalmol. 2014, 8, 435–440. [Google Scholar] [CrossRef]
- Makiyama, Y.; Oishi, A.; Otani, A.; Ogino, K.; Nakagawa, S.; Kurimoto, M.; Yoshimura, N. Prevalence and spatial distribution of cystoid spaces in retinitis pigmentosa: Investigation with spectral domain optical coherence tomography. Retina 2014, 34, 981–988. [Google Scholar] [CrossRef]
- Liu, G.; Liu, X.; Li, H.; Du, Q.; Wang, F. Optical Coherence Tomographic Analysis of Retina in Retinitis Pigmentosa Patients. Ophthalmic Res. 2016, 56, 111–122. [Google Scholar] [CrossRef]
- McCulloch, D.L.; Marmor, M.F.; Brigell, M.G.; Hamilton, R.; Holder, G.E.; Tzekov, R.; Bach, M. ISCEV Standard for full-field clinical electroretinography (2015 update). Doc. Ophthalmol. 2015, 130, 1–12, Erratum in Doc. Ophthalmol. 2015, 131, 81–83. [Google Scholar] [CrossRef]
- Duker, J.S.; Kaiser, P.K.; Binder, S.; de Smet, M.D.; Gaudric, A.; Reichel, E.; Sadda, S.R.; Sebag, J.; Spaide, R.F.; Stalmans, P. The International Vitreomacular Traction Study Group classification of vitreomacular adhesion, traction, and macular hole. Ophthalmology 2013, 120, 2611–2619. [Google Scholar] [CrossRef]
- Milam, A.H.; Li, Z.Y.; Fariss, R.N. Histopathology of the human retina in retinitis pigmentosa. Prog. Retin. Eye Res. 1998, 17, 175–205. [Google Scholar] [CrossRef]
- Hood, D.C.; Lazow, M.A.; Locke, K.G.; Greenstein, V.C.; Birch, D.G. The transition zone between healthy and diseased retina in patients with retinitis pigmentosa. Investig. Ophthalmol. Vis. Sci. 2011, 52, 101–108. [Google Scholar] [CrossRef]
- Poornachandra, B.; Khurana, A.K.; Sridharan, P.; Chatterjee, P.; Jayadev, C.; Yadav, N.K.; Shetty, R. Quantifying microstructural changes in retinitis pigmentosa using spectral domain—Optical coherence tomography. Eye Vis. 2019, 6, 13. [Google Scholar] [CrossRef] [PubMed]
- Guo, X.; Zhou, Y.; Gu, C.; Wu, Y.; Liu, H.; Chang, Q.; Lei, B.; Wang, M. Characteristics and Classification of Choroidal Caverns in Patients with Various Retinal and Chorioretinal Diseases. J. Clin. Med. 2022, 11, 6994. [Google Scholar] [CrossRef] [PubMed]
- Aizawa, S.; Mitamura, Y.; Baba, T.; Hagiwara, A.; Ogata, K.; Yamamoto, S. Correlation between visual function and photoreceptor inner/outer segment junction in patients with retinitis pigmentosa. Eye 2009, 23, 304–308. [Google Scholar] [CrossRef]
- Tamaki, M.; Matsuo, T. Optical coherence tomographic parameters as objective signs for visual acuity in patients with retinitis pigmentosa, future candidates for retinal prostheses. J. Artif. Organs 2011, 14, 140–150, Erratum in J. Artif. Organs 2011, 14, 385. [Google Scholar] [CrossRef]
- Witkin, A.J.; Ko, T.H.; Fujimoto, J.G.; Chan, A.; Drexler, W.; Schuman, J.S.; Reichel, E.; Duker, J.S. Ultra-high resolution optical coherence tomography assessment of photoreceptors in retinitis pigmentosa and related diseases. Am. J. Ophthalmol. 2006, 142, 945–952. [Google Scholar] [CrossRef] [PubMed]
- Arrigo, A.; Bordato, A.; Romano, F.; Aragona, E.; Grazioli, A.; Bandello, F.; Battaglia Parodi, M. Choroidal Patterns in Retinitis Pigmentosa: Correlation with Visual Acuity and Disease Progression. Transl. Vis. Sci. Technol. 2020, 9, 17. [Google Scholar] [CrossRef] [PubMed]
- Hara, A.; Nakazawa, M.; Saito, M.; Suzuki, Y. The qualitative assessment of optical coherence tomography and the central retinal sensitivity in patients with retinitis pigmentosa. PLoS ONE 2020, 15, e0232700. [Google Scholar] [CrossRef]
- Sousa, K.; Fernandes, T.; Gentil, R.; Mendonça, L.; Falcão, M. Outer retinal layers as predictors of visual acuity in retinitis pigmentosa: A cross-sectional study. Graefes Arch. Clin. Exp. Ophthalmol. 2019, 257, 265–271. [Google Scholar] [CrossRef]
- Sayo, A.; Ueno, S.; Kominami, T.; Okado, S.; Inooka, D.; Komori, S.; Terasaki, H. Significant Relationship of Visual Field Sensitivity in Central 10° to Thickness of Retinal Layers in Retinitis Pigmentosa. Investig. Ophthalmol. Vis. Sci. 2018, 59, 3469–3475. [Google Scholar] [CrossRef]
- Xia, Y.; Feng, N.; Hua, R. “Choroidal caverns” spectrum lesions. Eye 2021, 35, 1508–1512. [Google Scholar] [CrossRef]
- Iovino, C.; Au, A.; Hilely, A.; Violanti, S.; Peiretti, E.; Gorin, M.B.; Sarraf, D. Evaluation of the Choroid in Eyes with Retinitis Pigmentosa and Cystoid Macular Edema. Investig. Ophthalmol. Vis. Sci. 2019, 60, 5000–5006. [Google Scholar] [CrossRef] [PubMed]
- Murakami, Y.; Funatsu, J.; Nakatake, S.; Fujiwara, K.; Tachibana, T.; Koyanagi, Y.; Hisatomi, T.; Yoshida, S.; Sonoda, S.; Sakamoto, T.; et al. Relations Among Foveal Blood Flow, Retinal-Choroidal Structure, and Visual Function in Retinitis Pigmentosa. Investig. Ophthalmol. Vis. Sci. 2018, 59, 1134–1143. [Google Scholar] [CrossRef] [PubMed]
- Dhoot, D.S.; Huo, S.; Yuan, A.; Xu, D.; Srivistava, S.; Ehlers, J.P.; Traboulsi, E.; Kaiser, P.K. Evaluation of choroidal thickness in retinitis pigmentosa using enhanced depth imaging optical coherence tomography. Br. J. Ophthalmol. 2013, 97, 66–69. [Google Scholar] [CrossRef] [PubMed]
- Bayat, K.; Hassanpour, K.; Sabbaghi, H.; Fekri, S.; Daftarian, N.; Motevasseli, T.; Suri, F.; Kheiri, B.; Yaseri, M.; Ahmadieh, H. Choroidal structure investigated by choroidal vascularity index in patients with inherited retinal diseases. Int. J. Retina Vitr. 2023, 9, 18. [Google Scholar] [CrossRef]
- Chebil, A.; Touati, S.; Maamouri, R.; Kort, F.; El Matri, L. Spectral domain optical coherence tomography findings in patients with retinitis pigmentosa. Tunis. Med. 2016, 94, 265–271. [Google Scholar]
- Huang, Z.Y.; Liang, L.N.; Li, Y.M.; Xu, K.; Li, X.Y. Genetic, environmental and other risk factors for progression of retinitis pigmentosa. Int. J. Ophthalmol. 2022, 15, 828–837. [Google Scholar] [CrossRef]
- Öner, A.; Kahraman, N.S. Evaluation of Full-Field Stimulus Threshold Test Results in Retinitis Pigmentosa: Relationship with Full-Field Electroretinography, Multifocal Electroretinography, Optical Coherence Tomography, and Visual Field. Turk. J. Ophthalmol. 2024, 54, 23–31. [Google Scholar] [CrossRef]
- Testa, F.; Rossi, S.; Colucci, R.; Gallo, B.; Di Iorio, V.; della Corte, M.; Azzolini, C.; Melillo, P.; Simonelli, F. Macular abnormalities in Italian patients with retinitis pigmentosa. Br. J. Ophthalmol. 2014, 98, 946–950. [Google Scholar] [CrossRef]
- Triolo, G.; Pierro, L.; Parodi, M.B.; De Benedetto, U.; Gagliardi, M.; Manitto, M.P.; Bandello, F. Spectral domain optical coherence tomography findings in patients with retinitis pigmentosa. Ophthalmic Res. 2013, 50, 160–164. [Google Scholar] [CrossRef]
- Hagiwara, A.; Yamamoto, S.; Ogata, K.; Sugawara, T.; Hiramatsu, A.; Shibata, M.; Mitamura, Y. Macular abnormalities in patients with retinitis pigmentosa: Prevalence on OCT examination and outcomes of vitreoretinal surgery. Acta Ophthalmol. 2011, 89, e122–e125. [Google Scholar] [CrossRef]
- Hajali, M.; Fishman, G.A. The prevalence of cystoid macular oedema on optical coherence tomography in retinitis pigmentosa patients without cystic changes on fundus examination. Eye 2009, 23, 915–919. [Google Scholar] [CrossRef] [PubMed]
- Liew, G.; Strong, S.; Bradley, P.; Severn, P.; Moore, A.T.; Webster, A.R.; Mitchell, P.; Kifley, A.; Michaelides, M. Prevalence of cystoid macular oedema, epiretinal membrane and cataract in retinitis pigmentosa. Br. J. Ophthalmol. 2019, 103, 1163–1166. [Google Scholar] [CrossRef] [PubMed]
- Fragiotta, S.; Rossi, T.; Carnevale, C.; Cutini, A.; Tricarico, S.; Casillo, L.; Scuderi, G.; Vingolo, E.M. Vitreo-macular interface disorders in retinitis pigmentosa. Graefes Arch. Clin. Exp. Ophthalmol. 2019, 257, 2137–2146. [Google Scholar] [CrossRef] [PubMed]
- Chavan, K.; Chhablani, J.; Jalali, S.; Padhy, S.K. Understanding the relationship between pachychoroid spectrum disorders and retinitis pigmentosa: A review of the evidence. Indian J. Ophthalmol. 2024, 72, 956–961. [Google Scholar] [CrossRef] [PubMed]
- Limoli, P.G.; Vingolo, E.M.; Limoli, C.; Nebbioso, M. Antioxidant and Biological Properties of Mesenchymal Cells Used for Therapy in Retinitis Pigmentosa. Antioxidants 2020, 9, 983. [Google Scholar] [CrossRef]
- Limoli, P.G.; Vingolo, E.M.; Limoli, C.; Nebbioso, M. Stem Cell Surgery and Growth Factors in Retinitis Pigmentosa Patients: Pilot Study after Literature Review. Biomedicines 2019, 7, 94. [Google Scholar] [CrossRef]






| Cohort Data | Patients | Controls |
|---|---|---|
| Total | 218 | 79 |
| Eye | 436 | 158 |
| Mean age (±SD) | 52.17 (±17.25) | 61.02 (±5.31) |
| Male (%) | 99 (45.41%) | 45 (56.96%) |
| Female (%) | 119 (54.59%) | 34 (43.03%) |
| ONLT (Mean ± SD) 84.73 µm ± 35.44 | Macular Sector | Mean Thickness in µm ± SD | Mean Volume in mm3 ± SD |
| Macular fovea (1 mm inner circle) | 270.91 ± 74.04 | 0.21 ± 0.05 | |
| SCT (mean ± SD) 193.03 µm ± 67.90 | Fovea (3 mm inner circle) | 300.60 ± 47.71 | 0.47 ± 0.07 |
| Superior (3 mm outer circle) | 301. 28 ± 44.38 | 0.49 ± 0.13 | |
| EZ (mean ± SD) 2741.18 µm ± 1859.76 | Inferior (3 mm outer circle) | 297.59 ± 51.12 | 0.47 ± 0.08 |
| Temporal (3 mm outer circle) | 292.02 ± 49.30 | 0.45 ± 0.07 | |
| Nasal (3 mm outer circle) | 307.11 ± 44.69 | 0.48 ± 0.07 |
| Number and Counts (%) | Number and Counts (%) | ||
|---|---|---|---|
| No complications | 137/436 eyes (31.42) | VMT + ERM | 64/436 eyes (14.68) |
| No complications | 43/218 pts (19.72) | Bilateral VMT + ERM | 14/218 pts (6.42) |
| One bilateral complication | 143/218 pts (65.59) | CME + VMT | 30/436 eyes (6.88) |
| Two mixed complications | 160/436 eyes (36.69) | Bilateral CME + VMT | 7/218 pts (3.21) |
| Two mixed complications | 39/218 pts (17.88) | CME + ERM | 56/436 eyes (12.84) |
| Three complications | 22/436 eyes (5.05) | Bilateral CME + ERM | 14/218 pts (6.42) |
| CME | 103/436 eyes (23.62) | LMH + VMT | 4/436 eyes (0.92) |
| Bilateral CME | 37/218 pts (16.97) | Bilateral LMH + VMT | 2/218 pts (0.92) |
| VMT | 123/436 eyes (28.21) | LMH + ERM | 6/436 eyes (1.38) |
| Bilateral VMT | 36/218 pts (16.51) | Bilateral LMH + ERM | 2/218 pts (0.92) |
| ERM | 199/436 eyes (45.75) | ERM + VNT + CME | 18/436 eyes (4.13) |
| Bilateral ERM | 67/218 pts (30.73) | Bilateral ERM + VMT + CME | 3/218 pts (1.38) |
| LMH | 12/436 eyes (2.75) | LMH + ERM + VMT | 4/436 eyes (0.92) |
| Bilateral LMH | 3/218 pts (1.38) | Bilateral LMH + ERM + VMT | 2/218 pts (0.92) |
| AGE Years/pts | ERM pts (Both Eyes) | CME (Both Eyes) | VMT PTS (Both Eyes) | LMH pts (Both Eyes) |
|---|---|---|---|---|
| <20/15 | 14 (5) | 5 (2) | 8 (3) | 1 (0) |
| 21–30/16 | 21 (7) | 8 (2) | 10 (4) | 2 (1) |
| 31–40/16 | 16 (5) | 10 (4) | 6 (2) | 0 (0) |
| 41–50/41 | 38 (11) | 20 (7) | 21 (4) | 1 (0) |
| 51–60/58 | 43 (14) | 25 (9) | 37 (14) | 1 (0) |
| 61–70/39 | 34 (14) | 15 (5) | 23 (5) | 5 (1) |
| 71–80/27 | 28 (8) | 17 (7) | 15 (2) | 2 (1) |
| 81–90/6 | 5 (2) | 3 (1) | 2 (0) | 0 (0) |
| BCVA | ERM | CME | VMT | LMH |
| <+1 | 9 | 6 | 11 | / |
| +1 or +0.9 | 13 | 4 | 4 | / |
| +0.8 or +0.7 | 15 | 9 | 6 | / |
| +0.6 or +0.5 | 15 | 15 | 7 | 5 |
| +0.4 | 8 | 6 | 4 | 1 |
| +0.3 | 6 | 7 | 7 | 3 |
| +0.2 | 28 | 10 | 18 | 3 |
| +0.1 | 11 | 7 | 6 | 1 |
| 0.0 | 29 | 15 | 24 | 1 |
| Means of the Variables | Patients | Controls | p Value |
|---|---|---|---|
| SCT (within 1.5 mm) | 193.03 μm ± 67.90 SD | 295 μm ± 69.04 SD | <0.001 |
| FCMT | 270.91 μm ± 74.04 SD | 221 μm ± 37.25 SD | <0.01 |
| Foveal volume (inner circle of 1 mm) | 0.21 mm3 ± 0.05 SD | 0.22 mm3 ± 0.11 SD | >0.05 |
| Foveal thickness (outer circle of 3 mm) | 300.60 μm ± 47.71 SD | 245 μm ± 38.21 SD | <0.01 |
| Foveal volume (outer circle of 3 mm) | 0.47 mm3 ± 0.07 SD | 0.42 mm3 ± 0.15 SD | <0.001 |
| Superior thickness (outer circle of 3 mm) | 301.28 μm ± 44.38 | 245.13 μm ± 19.01 | <0.01 |
| Superior volume (outer circle of 3 mm) | 0.49 mm3 ± 0.13 | 0.41 mm3 ± 0.4 | <0.001 |
| Inferior thickness (outer circle of 3 mm) | 297.59 μm ± 51.12 | 241.34 μm ± 14.52 | <0.01 |
| Inferior volume (outer circle of 3 mm) | 0.47 mm3 ± 0.08 | 0.42 mm3 ± 0.85 | <0.001 |
| Temporal thickness (outer circle of 3 mm) | 292.02 μm ± 49.30 | 233.41 μm ± 18.23 | <0.01 |
| Temporal volume (outer circle of 3 mm) | 0.45 mm3 ± 0.07 | 0.41 mm3 ± 0.91 | <0.01 |
| Nasal thickness (outer circle of 3 mm) | 307.11 μm ± 44.69 | 267.32 μm ± 20 | <0.05 |
| Nasal volume (outer circle of 3 mm) | 0.48 mm3 ± 0.07 | 0.44 mm3 ± 0.81 | <0.01 |
Disclaimer/Publisher’s Note: The statements, opinions and data contained in all publications are solely those of the individual author(s) and contributor(s) and not of MDPI and/or the editor(s). MDPI and/or the editor(s) disclaim responsibility for any injury to people or property resulting from any ideas, methods, instructions or products referred to in the content. |
© 2024 by the authors. Licensee MDPI, Basel, Switzerland. This article is an open access article distributed under the terms and conditions of the Creative Commons Attribution (CC BY) license (https://creativecommons.org/licenses/by/4.0/).
Share and Cite
Nebbioso, M.; Mastrogiuseppe, E.; Gnolfo, E.; Artico, M.; Moramarco, A.; Mallone, F.; Taurone, S.; Vestri, A.; Lambiase, A. Macular Alterations in a Cohort of Caucasian Patients Affected by Retinitis Pigmentosa. Diagnostics 2024, 14, 2409. https://doi.org/10.3390/diagnostics14212409
Nebbioso M, Mastrogiuseppe E, Gnolfo E, Artico M, Moramarco A, Mallone F, Taurone S, Vestri A, Lambiase A. Macular Alterations in a Cohort of Caucasian Patients Affected by Retinitis Pigmentosa. Diagnostics. 2024; 14(21):2409. https://doi.org/10.3390/diagnostics14212409
Chicago/Turabian StyleNebbioso, Marcella, Elvia Mastrogiuseppe, Eleonora Gnolfo, Marco Artico, Antonietta Moramarco, Fabiana Mallone, Samanta Taurone, Annarita Vestri, and Alessandro Lambiase. 2024. "Macular Alterations in a Cohort of Caucasian Patients Affected by Retinitis Pigmentosa" Diagnostics 14, no. 21: 2409. https://doi.org/10.3390/diagnostics14212409
APA StyleNebbioso, M., Mastrogiuseppe, E., Gnolfo, E., Artico, M., Moramarco, A., Mallone, F., Taurone, S., Vestri, A., & Lambiase, A. (2024). Macular Alterations in a Cohort of Caucasian Patients Affected by Retinitis Pigmentosa. Diagnostics, 14(21), 2409. https://doi.org/10.3390/diagnostics14212409

