Blood Eosinophils Matter in Post-COVID-19 Pneumonia
Abstract
1. Introduction
2. Materials and Methods
2.1. Study Population and Study Design
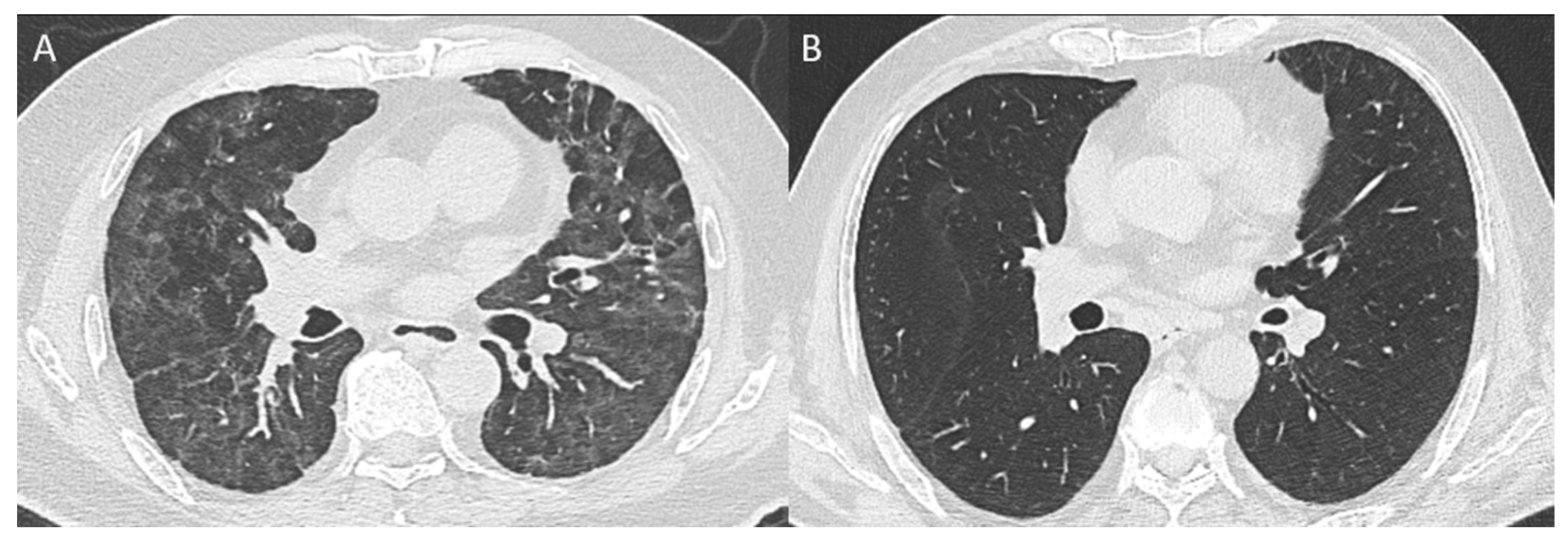
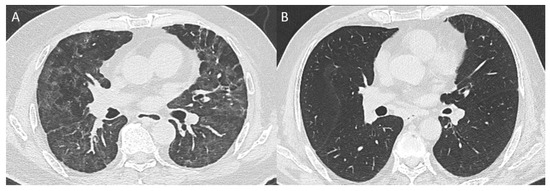
2.2. Radiological Evaluation
2.3. Statistical Analysis
3. Results
4. Discussion
5. Conclusions
Author Contributions
Funding
Institutional Review Board Statement
Informed Consent Statement
Data Availability Statement
Conflicts of Interest
References
- Cocconcelli, E.; Biondini, D.; Giraudo, C.; Lococo, S.; Bernardinello, N.; Fichera, G.; Barbiero, G.; Castelli, G.; Cavinato, S.; Ferrari, A.; et al. Clinical Features and Chest Imaging as Predictors of Intensity of Care in Patients with COVID-19. J. Clin. Med. 2020, 9, 2990. [Google Scholar] [CrossRef] [PubMed]
- Huang, C.; Wang, Y.; Li, X.; Ren, L.; Zhao, J.; Hu, Y.; Zhang, L.; Fan, G.; Xu, J.; Gu, X.; et al. Clinical features of patients infected with 2019 novel coronavirus in Wuhan, China. Lancet 2020, 395, 497–506. [Google Scholar] [CrossRef] [PubMed]
- Zhang, X.-B.; Hu, L.; Ming, Q.; Wei, X.-J.; Zhang, Z.-Y.; Chen, L.-D.; Wang, M.-H.; Yao, W.-Z.; Huang, Q.-F.; Ye, Z.-Q.; et al. Risk factors for mortality of coronavirus disease-2019 (COVID-19) patients in two centers of Hubei province, China: A retrospective analysis. PLoS ONE 2021, 16, e0246030. [Google Scholar] [CrossRef] [PubMed]
- Jimeno, S.; Ventura, P.S.; Castellano, J.M.; García-Adasme, S.I.; Miranda, M.; Touza, P.; Lllana, I.; López-Escobar, A. Prognostic implications of neutrophil-lymphocyte ratio in COVID-19. Eur. J. Clin. Investig. 2021, 51, e13404. [Google Scholar] [CrossRef] [PubMed]
- Chen, R.; Sang, L.; Jiang, M.; Yang, Z.; Jia, N.; Fu, W.; Xie, J.; Guan, W.; Liang, W.; Ni, Z.; et al. Longitudinal hematologic and immunologic variations associated with the progression of COVID-19 patients in China. J. Allergy Clin. Immunol. 2020, 146, 89–100. [Google Scholar] [CrossRef]
- Yan, B.; Yang, J.; Xie, Y.; Tang, X. Relationship between blood eosinophil levels and COVID-19 mortality. World Allergy Organ J. 2021, 14, 100521. [Google Scholar] [CrossRef]
- Palladino, M. Complete blood count alterations in COVID-19 patients: A narrative review. Biochem. Med. 2021, 31, 030501. [Google Scholar] [CrossRef]
- Lavezzo, E.; Pacenti, M.; Manuto, L.; Boldrin, C.; Cattai, M.; Grazioli, M.; Bianca, F.; Sartori, M.; Caldart, F.; Castelli, G.; et al. Neutralising reactivity against SARS-CoV-2 Delta and Omicron variants by vaccination and infection history. Genome Med. 2022, 14, 61. [Google Scholar] [CrossRef]
- Cocconcelli, E.; Bernardinello, N.; Giraudo, C.; Castelli, G.; Giorgino, A.; Leoni, D.; Petrarulo, S.; Ferrari, A.; Saetta, M.; Cattelan, A.; et al. Characteristics and Prognostic Fac-tors of Pulmonary Fibrosis After COVID-19 Pneumonia. Front. Med. 2022, 8, 823600. [Google Scholar] [CrossRef]
- Lagunas-Rangel, F.A. Neutrophil-to-lymphocyte ratio and lymphocyte- C-reactive protein ratio in patients with severe coronavirus disease 2019 (COVID-19): A meta-analysis. J. Med. Virol. 2020, 92, 1733–1734. [Google Scholar] [CrossRef]
- Seyit, M.; Avci, E.; Nar, R.; Senol, H.; Yilmaz, A.; Ozen, M.; Oskay, A.; Aybek, H. Neutrophil to lymphocyte ratio, lym-phocyte to monocyte ratio, and platelet to lymphocyte ratio to predict the severity of COVID-19. Am. J. Emerg. Med. 2021, 40, 110–114. [Google Scholar] [CrossRef] [PubMed]
- Davoine, F.; Lacy, P. Eosinophil cytokines, chemokines, and growth factors: Emerging roles in immunity. Front. Immunol. 2014, 5, 570. [Google Scholar] [CrossRef] [PubMed]
- Spencer, L.A.; Szela, C.T.; Perez, S.A.C.; Kirchhoffer, C.L.; Neves, J.S.; Radke, A.L.; Weller, P.F. Human eosinophils constitutively express multiple Th1, Th2, and immunoregulatory cytokines that are secreted rapidly and differentially. J. Leukoc. Biol. 2008, 85, 117–123. [Google Scholar] [CrossRef] [PubMed]
- Chitkara, R.K.; Krishna, G. Parasitic pulmonary eosinophilia. Semin. Respir Crit Care Med. 2006, 27, 171–184. [Google Scholar] [CrossRef] [PubMed]
- Rodrigo-Muñoz, J.; Sastre, B.; Cañas, J.; Gil-Martínez, M.; Redondo, N.; del Pozo, V. Eosinophil response against classical and emerging respiratory viruses: COVID-19. J. Investig. Allergol. Clin. Immunol. 2021, 31, 94–107. [Google Scholar] [CrossRef]
- Wechsler, M.E.; Munitz, A.; Ackerman, S.J.; Drake, M.G.; Jackson, D.J.; Wardlaw, A.J.; Dougan, S.K.; Berdnikovs, S.; Schleich, F.; Matucci, A.; et al. Eosinophils in Health and Disease: A State-of-the-Art Review. Mayo Clin. Proc. 2021, 96, 2694–2707. [Google Scholar] [CrossRef]
- Siddiqui, S.; Bachert, C.; Bjermer, L.; Buchheit, K.M.; Castro, M.; Qin, Y.; Rupani, H.; Sagara, H.; Howarth, P.; Taillé, C. Eosinophils and tissue remodeling: Relevance to airway disease. J. Allergy Clin. Immunol. 2023, 152, 841–857. [Google Scholar] [CrossRef]
- Fraiss’e, M.; Logre, E.; Mentec, H.; Cally, R.; Plantef, G.; Contou, D. Eosinophilia in critically ill COVID-19 patients: A French monocenter retrospective study. Crit. Care 2020, 24, e13404. [Google Scholar] [CrossRef]
- Du, Y.; Tu, L.; Zhu, P.; Mu, M.; Wang, R.; Yang, P.; Wang, X.; Hu, C.; Ping, R.; Hu, P.; et al. Clinical features of 85 fatal cases of COVID-19 from Wuhan. A ret-rospective observational study. Am. J. Respir. Crit. Care Med. 2020, 201, 1372–1379. [Google Scholar] [CrossRef]
- Tanni, F.; Akker, E.; Zaman, M.M.; Figueroa, N.; Tharian, B.; Hupart, K.H. Eosinopenia and COVID-19. J. Am. Osteopath. Assoc. 2016, 20, 091. [Google Scholar] [CrossRef]
- Tan, Y.; Zhou, J.; Zhou, Q.; Hu, L.; Long, Y. Role of eosinophils in the diagnosis and prognostic evaluation of COVID-19. J. Med. Virol. 2020, 93, 1105–1110. [Google Scholar] [CrossRef] [PubMed]
- Macchia, I.; La Sorsa, V.; Urbani, F.; Moretti, S.; Antonucci, C.; Afferni, C.; Schiavoni, G. Eosinophils as potential biomarkers in respiratory viral infections. Front. Immunol. 2023, 14, 1170035. [Google Scholar] [CrossRef] [PubMed]
- Gieseck, R.L., 3rd; Wilson, M.S.; Wynn, T.A. Type 2 immunity in tissue repair and fibrosis. Nat. Rev. Immunol. 2018, 18, 62–76. [Google Scholar] [CrossRef] [PubMed]
- Kolahian, S.; Fernandez, I.E.; Eickelberg, O.; Hartl, D. Immune mechanisms in pulmonary fibrosis. Am. J. Respir. Cell Mol. Biol. 2016, 55, 309–322. [Google Scholar] [CrossRef] [PubMed]
- Yang, Z.L.; Chen, C.; Huang, L.; Zhou, S.C.; Hu, Y.N.; Xia, L.M.; Li, Y. Fibrotic changes depicted by thin-section CT in patients with COVID-19 at the early recovery stage: Preliminary experience. Front. Med. 2020, 7, 605088. [Google Scholar] [CrossRef]
- Toraldo, D.M.; Satriano, F.; Rollo, R.; Verdastro, G.; Imbriani, G.; Rizzo, E.; Argentiero, A.; Falco, A.; Ambrosino, P.; Miani, A.; et al. COVID-19 IgG/IgM patterns, early IL-6 elevation and long-term radiological sequelae in 75 patients hospitalized due to interstitial pneumonia followed up from 3 to 12 months. PLoS ONE 2022, 17, e0262911. [Google Scholar] [CrossRef]
- Lucas, C.; Wong, P.; Klein, J.; Castro, T.B.R.; Silva, J.; Sundaram, M.; Ellingson, M.K.; Mao, T.; Oh, J.E.; Israelow, B.; et al. Longitudinal analyses reveal immunological misfiring in severe COVID-19. Nature 2020, 584, 463–469. [Google Scholar] [CrossRef]
- Huaux, F.; Liu, T.; McGarry, B.; Ullenbruch, M.; Xing, Z.; Phan, S.H. Eosinophils and T Lymphocytes Possess Distinct Roles in Bleomycin-Induced Lung Injury and Fibrosis. J. Immunol. 2003, 171, 5470–5481. [Google Scholar] [CrossRef]
- Shock, A.; Rabe, K.F.; Dent, G.; Chambers, R.C.; Gray, A.J.; Chung, K.F.; Barnes, P.J.; Laurent, G.J. Eosinophils adhere to and stimulate replication of lung fibroblasts ‘in vitro’. Clin. Exp. Immunol. 1991, 86, 185–190. [Google Scholar] [CrossRef] [PubMed] [PubMed Central]
- Nguyen, J.; Armstrong, B.S.; Cowman, S.; Tomer, Y.; Veerabhadraiah, S.R.; Beers, M.F.; Venosa, A. Immunophenotyping of Acute Inflammatory Exacerba-tions of Lung Injury Driven by Mutant Surfactant Protein-C: A Role for Inflammatory Eosinophils. Front. Pharmacol. 2022, 13, 875887. [Google Scholar] [CrossRef]
- Biondini, D.; Balestro, E.; Sverzellati, N.; Cocconcelli, E.; Bernardinello, N.; Ryerson, C.J.; Spagnolo, P. Acute exacerbations of idiopathic pulmonary fibrosis (AE-IPF): An overview of current and future therapeutic strategies. Expert Rev. Respir. Med. 2020, 14, 405–414. [Google Scholar] [CrossRef] [PubMed]
- Kakugawa, T.; Sakamoto, N.; Sato, S.; Yura, H.; Harada, T.; Nakashima, S.; Hara, A.; Oda, K.; Ishimoto, H.; Yatera, K.; et al. Risk factors for an acute exacerbation of idiopathic pulmonary fibrosis. Respir. Res. 2016, 17, 79. [Google Scholar] [CrossRef] [PubMed]
- Jukema, B.N.; Smit, K.; Hopman, M.T.E.; Bongers, C.C.W.G.; Pelgrim, T.C.; Rijk, M.H.; Platteel, T.N.; Venekamp, R.P.; Zwart, D.L.M.; Rutten, F.H.; et al. Neutrophil and Eo-sinophil Responses Remain Abnormal for Several Months in Primary Care Patients With COVID-19 Disease. Front. Allergy 2022, 3, 942699. [Google Scholar] [CrossRef] [PubMed]
- Costa, V.; Gal, A.; De Menezes, D.C.; De Lima, L.; Regina, V.; Pal, M.; Vasconcelos, P.F.d.C.; Quaresma, J.A.S.; Falcão, L.F.M. Evaluation of the hematological patterns from up to 985 days. Viruses 2023, 15, 879. [Google Scholar] [CrossRef]
- Greenhalgh, T.; Sivan, M.; Perlowski, A.; Nikolich, J.Ž. Long COVID: A clinical update. Lancet 2024, 404, 707–724. [Google Scholar] [CrossRef]


| Overall (n = 327) | LIMC (n = 214) | HIMC (n = 113) | p | |
|---|---|---|---|---|
| Age (years) | 62 (22–88) | 60 (22–87) | 65 (25–88) | 0.01 |
| Sex—male, n° (%) | 210 (64%) | 137 (64%) | 73 (65%) | 0.92 |
| BMI (kg/m2) | 27 (16–57) | 26 (16–57) | 27 (19–48) | 0.19 |
| Pack-years—n° | 10 (0.5–90) | 11 (1–66) | 10 (0.5–90) | 0.78 |
| Smoking History—n° | 126 (39%) | 75 (35%) | 51 (45%) | 0.09 |
| Comorbidities | ||||
| 162 (50%) | 92 (43%) | 70 (62%) | 0.001 |
| 51 (16%) | 37 (21%) | 14 (12%) | 0.24 |
| 45 (14%) | 29 (16%) | 16 (16%) | 0.88 |
| 151 (46%) | 85 (40%) | 66 (58%) | 0.001 |
| 54 (17%) | 31 (14%) | 23 (20%) | 0.17 |
| Symptoms at admission | ||||
| 303 (93%) | 194 (91%) | 109 (96%) | 0.06 |
| 117 (36%) | 81 (38%) | 36 (32%) | 0.28 |
| 156 (48%) | 84 (39%) | 72 (64%) | 0.0003 |
| 184 (56%) | 120 (56%) | 64 (57%) | 0.92 |
| 71 (22%) | 44 (21%) | 27 (24%) | 0.39 |
| P/F | 283 (40–542) | 309 (121–542) | 224 (40–461) | <0.0001 |
| FiO2 at admission | 21 (21–100) | 21 (21–88) | 29 (21–100) | <0.0001 |
| Hospitalization—days | 11 (2–67) | 8 (2–49) | 18 (3–67) | <0.0001 |
| CT scan at admission | ||||
| 7 (0–62) | 5 (0–38) | 18 (0–62) | 0.01 |
| 1 (0–26) | 0.8 (0–10) | 4 (0–26) | 0.001 |
| 1.6 (0–29) | 0.8 (0–29) | 10 (0–23) | 0.001 |
| Not-Rec patients—n° | 159 (49%) | 87 (41%) | 72 (64%) | 0.0007 |
| ∆ eosinophils | 0.05 (−0.15–0.72) | 0.04 (−0.15–0.3) | 0.1 (−0.03–0.72) | <0.0001 |
| Univariable | Multivariable | |||
|---|---|---|---|---|
| OD (0.95CI) | p | OD (0.95Cl) | p | |
| Age ≥ 62 Years | 2.04 (1.3–3.2) | 0.002 | 1.75 (1.05–2.94) | 0.03 |
| Sex—Male | 1.37 (0.87–2.16) | 0.17 | - | - |
| BMI ≥ 27 (kg/m2) | 0.95 (0.59–1.50) | 0.82 | - | - |
| Severity—HIMC (yes) | 2.56 (1.60–4.10) | 0.0001 | 1.53 (0.86–2.72) | 0.15 |
| Pre-Admission Hematological Values | ||||
| LM Ratio ≥ 2.16 | 1.23 (0.79–1.91) | 0.35 | - | - |
| NL Ratio ≥ 4.64 | 1.66 (1.07–2.58) | 0.02 | 0.87 (0.47–1.62) | 0.66 |
| Neutrophils ≥ 4.25 (×109/L) | 2.03 (1.31–3.16) | 0.002 | 1.40 (0.78–2.53) | 0.26 |
| Lymphocytes ≥ 0.92 (×109/L) | 0.89 (0.58–1.39) | 0.62 | - | - |
| Monocytes ≥ 0.43 (×109/L) | 0.87 (0.57–1.35) | 0.55 | - | - |
| Eosinophils ≥ 0 (×109/L) | 0.78 (0.49–1.23) | 0.28 | - | - |
| CRP ≥ 59.5 (mg/dL) | 1.85 (1.18–2.89) | 0.007 | 1.04 (0.57–1.88) | 0.89 |
| D-Dimer ≥ 169 (mcg/mL) | 1.21 (0.77–1.90) | 0.42 | - | - |
| Ferritin ≥ 589 (ng/mL) | 1.66 (1.03–2.66) | 0.04 | 1.50 (0.84–2.49) | 0.18 |
| Pre-Discharge Hematological Values | ||||
| LM Ratio ≥ 2.63 | 1.2 (0.78–1.86) | 0.40 | - | - |
| NL Ratio ≥ 2.45 | 0.92 (0.59–1.42) | 0.70 | - | - |
| Neutrophils ≥ 4.58 (×109/L) | 1.36 (0.88–2.10) | 0.17 | - | - |
| Lymphocytes ≥ 1.17 (×109/L) | 1.39 (0.90–2.16) | 0.13 | - | - |
| Monocytes ≥ 0.66 (×109/L) | 1.54 (0.99–2.39) | 0.051 | - | - |
| Δ Eosinophils ≥ 0.05 | 2.03(1.30–3.17) | 0.002 | 1.75 (1.05–2.9) | 0.03 |
| CRP ≥ 6.00 (mg/dl) | 0.92 (0.58–1.46) | 0.72 | - | - |
| D-Dimer ≥ 191 (mcg/mL) | 1.27 (0.73–2.2) | 0.39 | - | - |
| Ferritin ≥ 723 (ng/mL) | 2.25 (0.68–7.41) | 0.18 | - | - |
| Cardiological—yes | 1.29 (0.84–1.99) | 0.25 | - | - |
| Oncological—yes | 2.44 (1.32–4.51) | 0.04 | 1.8 (0.9–3.7) | 0.09 |
| Pneumological—yes | 1.12 (0.61–2.03) | 0.71 | - | - |
| Metabolic—yes | 1.03 (0.67–1.59) | 0.89 | - | - |
| Autoimmunity—yes | 1.53 (0.81–2.89) | 0.19 | - | - |
Disclaimer/Publisher’s Note: The statements, opinions and data contained in all publications are solely those of the individual author(s) and contributor(s) and not of MDPI and/or the editor(s). MDPI and/or the editor(s) disclaim responsibility for any injury to people or property resulting from any ideas, methods, instructions or products referred to in the content. |
© 2024 by the authors. Licensee MDPI, Basel, Switzerland. This article is an open access article distributed under the terms and conditions of the Creative Commons Attribution (CC BY) license (https://creativecommons.org/licenses/by/4.0/).
Share and Cite
Bernardinello, N.; Castelli, G.; Pasin, D.; Grisostomi, G.; Cola, M.; Giraudo, C.; Cocconcelli, E.; Cattelan, A.; Spagnolo, P.; Balestro, E. Blood Eosinophils Matter in Post-COVID-19 Pneumonia. Diagnostics 2024, 14, 2320. https://doi.org/10.3390/diagnostics14202320
Bernardinello N, Castelli G, Pasin D, Grisostomi G, Cola M, Giraudo C, Cocconcelli E, Cattelan A, Spagnolo P, Balestro E. Blood Eosinophils Matter in Post-COVID-19 Pneumonia. Diagnostics. 2024; 14(20):2320. https://doi.org/10.3390/diagnostics14202320
Chicago/Turabian StyleBernardinello, Nicol, Gioele Castelli, Dylan Pasin, Giulia Grisostomi, Marco Cola, Chiara Giraudo, Elisabetta Cocconcelli, Annamaria Cattelan, Paolo Spagnolo, and Elisabetta Balestro. 2024. "Blood Eosinophils Matter in Post-COVID-19 Pneumonia" Diagnostics 14, no. 20: 2320. https://doi.org/10.3390/diagnostics14202320
APA StyleBernardinello, N., Castelli, G., Pasin, D., Grisostomi, G., Cola, M., Giraudo, C., Cocconcelli, E., Cattelan, A., Spagnolo, P., & Balestro, E. (2024). Blood Eosinophils Matter in Post-COVID-19 Pneumonia. Diagnostics, 14(20), 2320. https://doi.org/10.3390/diagnostics14202320

