Colorectal Cancer Risk Prediction Using the rs4939827 Polymorphism of the SMAD7 Gene in the Romanian Population
Abstract
1. Introduction
2. Materials and Methods
2.1. Study Population Characteristics
2.2. DNA Isolation and Genotyping
2.3. Statistical Analysis
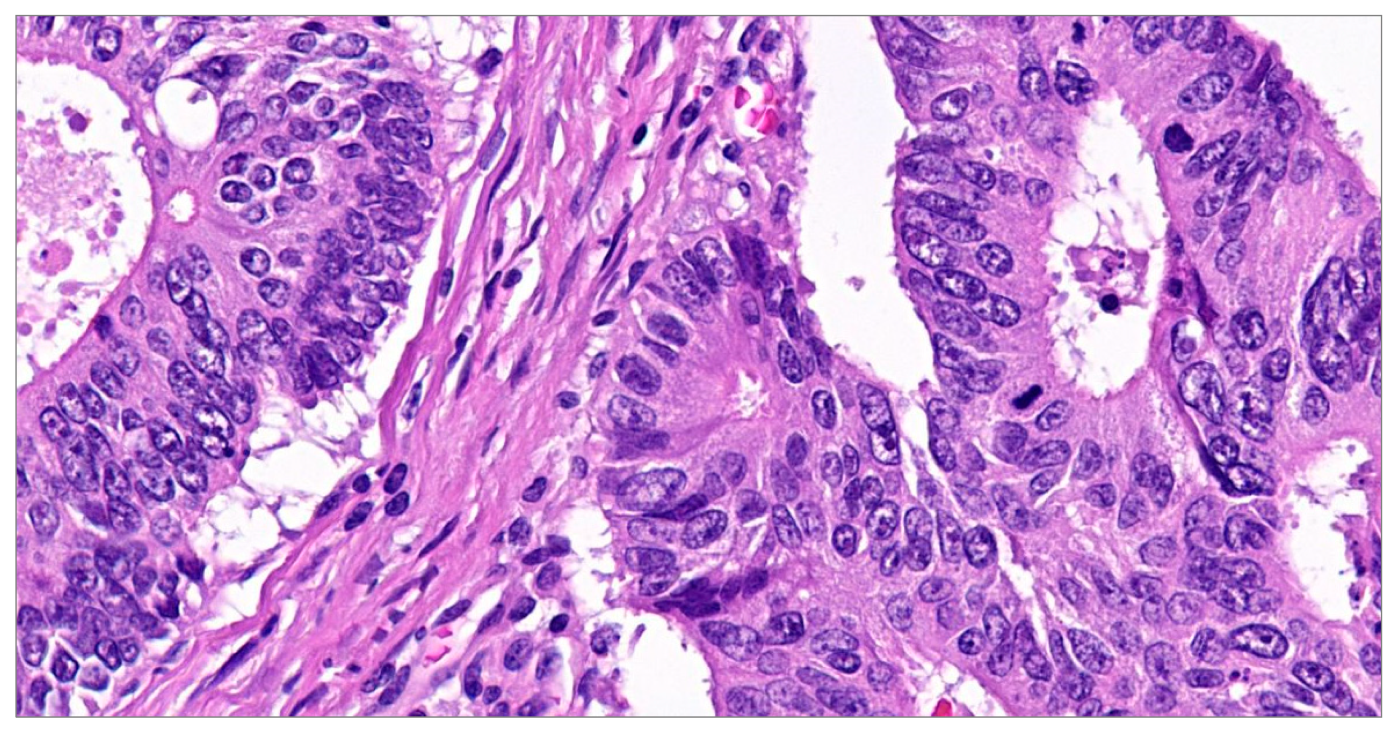
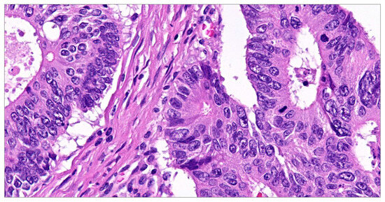
3. Results
- OR = 1. Odds of outcome are unaffected by exposure (age).
- Exposure is linked to increased outcome odds (OR > 1) (genotype CC–CT).
- Exposure at OR < 1 is linked to decreased outcome chances.
| 95% CI | |||||||
|---|---|---|---|---|---|---|---|
| Predictor | Estimate | SE | Z | p | OR | Lower | Upper | 
| Intercept | 1.40283 | 1.1675 | 1.2016 | 0.23 | 4.0667 | 0.4125 | 40.089 | 
| Age | 0.0046 | 0.0178 | 0.2592 | 0.796 | 1.0046 | 0.9702 | 1.04 | 
| Genotype | |||||||
| TT–CC | −0.34751 | 0.4581 | −0.7586 | 0.448 | 0.7064 | 0.2878 | 1.734 | 
| CC–CT | 0.55494 | 0.5923 | 0.9369 | 0.1139 | 2.78 | 0.5455 | 5.561 | 
| Gender | |||||||
| F–F | −1.35978 | 0.7672 | −1.7725 | 0.076 | 0.2567 | 0.0571 | 1.155 | 
| M–F | −0.32688 | 0.3979 | −0.8216 | 0.411 | 0.7212 | 0.3306 | 1.573 | 
Association between Colorectal Cancer (CRC) Risk and Genetic Polymorphisms
4. Discussion
5. Conclusions
Author Contributions
Funding
Institutional Review Board Statement
Informed Consent Statement
Data Availability Statement
Conflicts of Interest
References
- European Cancer Information System (ECIS). Cancer Cases and Deaths on the Rise in the EU. 2023. Available online: https://joint-research-centre.ec.europa.eu/jrc-news-and-updates/cancer-cases-and-deaths-rise-eu-2023-10-02_en (accessed on 6 January 2024).
- Latcu, S.C.; Novacescu, D.; Buciu, V.-B.; Dumitru, C.-S.; Ceausu, R.A.; Raica, M.; Cut, T.G.; Ilina, R.; Malita, D.C.; Tarta, C.; et al. The Cavernous Nerve Injury Rat Model: A Pictorial Essay on Post-Radical Prostatectomy Erectile Dysfunction Research. Life 2023, 13, 2337. [Google Scholar] [CrossRef] [PubMed]
- Colorectal Cancer. 11 July 2023. Available online: https://www.who.int/news-room/fact-sheets/detail/colorectal-cancer?gclid=CjwKCAiA7t6sBhAiEiwAsaieYvTyBWiUfKw-x2oUgCWsyuocMZlutvo-uHBc1LlH7NhcVWwroqHjFBoC6VYQAvD_BwE (accessed on 11 January 2024).
- Keum, N.; Giovannucci, E. Global burden of colorectal cancer: Emerging trends, risk factors and prevention strategies. Nat. Rev. Gastroenterol. Hepatol. 2019, 16, 713–732. [Google Scholar] [CrossRef] [PubMed]
- Ionescu, E.M.; Tieranu, C.G.; Maftei, D.; Grivei, A.; Olteanu, A.O.; Arbanas, T.; Calu, V.; Musat, S.; Mihaescu-Pintia, C.; Cucu, I.C. Colorectal Cancer Trends of 2018 in Romania-an Important Geographical Variation between Northern and Southern Lands and High Mortality Versus European Averages. J. Gastrointest. Cancer 2021, 52, 222–228. [Google Scholar] [CrossRef] [PubMed]
- Zauber, A.G.; O’Brien, M.J.; Winawer, S.J. On finding flat adenomas: Is the search worth the gain? Gastroenterology 2002, 122, 839–840. [Google Scholar] [CrossRef]
- Bosetti, C.; Levi, F.; Rosato, V.; Bertuccio, P.; Lucchini, F.; Negri, E.; La Vecchia, C. Recent trends in colorectal cancer mortality in Europe. Int. J. Cancer 2011, 129, 180–191. [Google Scholar] [CrossRef]
- Low, E.E.; Demb, J.; Liu, L.; Earles, A.; Bustamante, R.; Williams, C.D.; Provenzale, D.; Kaltenbach, T.; Gawron, A.J.; Martinez, M.E.; et al. Risk Factors for Early-Onset Colorectal Cancer. Gastroenterology 2020, 159, 492–501.e7. [Google Scholar] [CrossRef]
- Ma, X.; Zhang, B.; Zheng, W. Genetic variants associated with colorectal cancer risk: Comprehensive research synopsis, meta-analysis, and epidemiological evidence. Gut 2014, 63, 326–336. [Google Scholar] [CrossRef]
- Zeng, C.; Matsuda, K.; Jia, W.-H.; Chang, J.; Kweon, S.-S.; Xiang, Y.-B.; Shin, A.; Jee, S.H.; Kim, D.-H.; Zhang, B.; et al. Identification of Susceptibility Loci and Genes for Colorectal Cancer Risk. Gastroenterology 2016, 150, 1633–1645. [Google Scholar] [CrossRef]
- Mocellin, S.; Verdi, D.; Pooley, K.A.; Nitti, D. Genetic variation and gastric cancer risk: A field synopsis and meta-analysis. Gut 2015, 64, 1209–1219. [Google Scholar] [CrossRef]
- Vinson, K.E.; George, D.C.; Fender, A.W.; Bertrand, F.E.; Sigounas, G. The Notch pathway in colorectal cancer. Int. J. Cancer 2016, 138, 1835–1842. [Google Scholar] [CrossRef]
- De Rosa, M.; Pace, U.; Rega, D.; Costabile, V.; Duraturo, F.; Izzo, P.; Delrio, P. Genetics, diagnosis and management of colorectal cancer (Review). Oncol. Rep. 2015, 34, 1087–1096. [Google Scholar] [CrossRef] [PubMed]
- Barras, D.; Missiaglia, E.; Wirapati, P.; Sieber, O.M.; Jorissen, R.N.; Love, C.; Molloy, P.L.; Jones, I.T.; McLaughlin, S.; Gibbs, P.; et al. BRAF V600E Mutant Colorectal Cancer Subtypes Based on Gene Expression. Clin. Cancer Res. 2017, 23, 104–115. [Google Scholar] [CrossRef] [PubMed]
- Center, M.M.; Jemal, A.; Smith, R.A.; Ward, E. Worldwide variations in colorectal cancer. CA Cancer J. Clin. 2009, 59, 366–378. [Google Scholar] [CrossRef] [PubMed]
- Center, M.M.; Jemal, A.; Smith, R.A.; Ward, E. Genome-wide association studies, field synopses, and the development of the knowledge base on genetic variation and human diseases. Am. J. Epidemiol. 2009, 170, 269–279. [Google Scholar] [CrossRef]
- Thorsteinsson, M.; Jess, P. The clinical significance of circulating tumor cells in non-metastatic colorectal cancer—A review. Eur. J. Surg. Oncol. (EJSO) 2011, 37, 459–465. [Google Scholar] [CrossRef] [PubMed]
- Mahmoudi, T.; Karimi, K.; Karimi, N.; Farahani, H.; Nobakht, H.; Dabiri, R.; Vahedi, M.; Zali, M.R. Association of adiponectin receptor 1 gene −106 C > T variant with susceptibility to colorectal cancer. Meta Gene 2016, 9, 210–214. [Google Scholar] [CrossRef][Green Version]
- Zhao, L.; Li, K.; Li, W.; Yang, Z. Association between the C3435T polymorphism of ABCB1/MDR1 gene (rs1045642) and colorectal cancer susceptibility: A meta-analysis based on 11,339 subjects. Tumor Biol. 2013, 34, 1949–1957. [Google Scholar] [CrossRef]
- European Colorectal Cancer Screening Guidelines Working Group. European guidelines for quality assurance in colorectal cancer screening and diagnosis: Overview and introduction to the full supplement publication. Endoscopy 2013, 45, 51–59. [Google Scholar] [CrossRef]
- Shaukat, A.; Kahi, C.J.; Burke, C.A.; Rabeneck, L.; Sauer, B.G.; Rex, D.K. ACG Clinical Guidelines: Colorectal Cancer Screening 2021. Am. J. Gastroenterol. 2021, 116, 458–479. [Google Scholar] [CrossRef]
- Shaukat, A.; Kahi, C.J.; Burke, C.A.; Rabeneck, L.; Sauer, B.G.; Rex, D.K. Association studies on 11 published colorectal cancer risk loci. Br. J. Cancer 2010, 103, 575–580. [Google Scholar] [CrossRef]
- Troncone, E.; Marafini, I.; Stolfi, C.; Monteleone, G. Transforming Growth Factor-β1/Smad7 in Intestinal Immunity, Inflammation, and Cancer. Front. Immunol. 2018, 9, 1407. [Google Scholar] [CrossRef]
- UICC. Available online: www.uicc.org (accessed on 22 September 2023).
- Tenesa, A.; Farrington, S.M.; Prendergast, J.G.D.; E Porteous, M.; Walker, M.; Haq, N.; A Barnetson, R.; Theodoratou, E.; Cetnarskyj, R.; Cartwright, N.; et al. Genome-wide association scan identifies a colorectal cancer susceptibility locus on 11q23 and replicates risk loci at 8q24 and 18q21. Nat. Genet. 2008, 40, 631–637. [Google Scholar] [CrossRef]
- Li, C.; Li, Y.; Gao, L.-B.; Wang, Y.-Y.; Zhou, B.; Lv, M.-L.; Lu, H.-M.; Zhang, L. Vitamin D receptor gene polymorphisms and the risk of colorectal cancer in a Chinese population. Dig. Dis. Sci. 2009, 54, 634–639. [Google Scholar] [CrossRef]
- Yan, X.; Chen, Y.G. Smad7: Not only a regulator, but also a cross-talk mediator of TGF-β signalling. Biochem. J. 2011, 434, 1–10. [Google Scholar] [CrossRef]
- Li, Z.; Zhang, L.-J.; Zhang, H.-R.; Tian, G.-F.; Tian, J.; Mao, X.-L.; Jia, Z.-H.; Meng, Z.-Y.; Zhao, L.-Q.; Yin, Z.-N.; et al. Tumor-derived transforming growth factor-β is critical for tumor progression and evasion from immune surveillance. Asian Pac. J. Cancer Prev. 2014, 15, 5181–5186. [Google Scholar] [CrossRef][Green Version]
- Nurmik, M.; Ullmann, P.; Rodriguez, F.; Haan, S.; Letellier, E. In search of definitions: Cancer-associated fibroblasts and their markers. Int. J. Cancer 2020, 146, 895–905. [Google Scholar] [CrossRef]
- Song, Q.; Zhu, B.; Hu, W.; Cheng, L.; Gong, H.; Xu, B.; Zheng, X.; Zou, L.; Zhong, R.; Duan, S.; et al. A common SMAD7 variant is associated with risk of colorectal cancer: Evidence from a case-control study and a meta-analysis. PLoS ONE 2012, 7, e33318. [Google Scholar] [CrossRef]
- Boulay, J.; Mild, G.; Lowy, A.; Reuter, J.; Lagrange, M.; Terracciano, L.; Laffer, U.; Herrmann, R.; Rochlitz, C. SMAD7 is a prognostic marker in patients with colorectal cancer. Int. J. Cancer 2003, 104, 446–449. [Google Scholar] [CrossRef]
- Dumache, R.; Enache, A.; Cut, T.; Paul, C.; Mihailescu, A.; Ionescu, A.; Novacescu, D.; Marinescu, A.; Ciocan, V.; Muresan, C.; et al. Deficiency of Vitamin D, a Major Risk Factor for SARS-CoV-2 Severity. Clin. Lab. 2022, 68, 455–462. [Google Scholar] [CrossRef]
- Bende, F.; Tudoran, C.; Sporea, I.; Fofiu, R.; Bâldea, V.; Cotrău, R.; Popescu, A.; Sirli, R.; Ungureanu, B.S.; Tudoran, M. A Multidisciplinary Approach to Evaluate the Presence of Hepatic and Cardiac Abnormalities in Patients with Post-Acute COVID-19 Syndrome—A Pilot Study. J. Clin. Med. 2021, 10, 2507. [Google Scholar] [CrossRef]
- Dumache, R.; Enache, A.; Macasoi, I.; Dehelean, C.A.; Dumitrascu, V.; Mihailescu, A.; Popescu, R.; Vlad, D.; Vlad, C.S.; Muresan, C. SARS-CoV-2: An Overview of the Genetic Profile and Vaccine Effectiveness of the Five Variants of Concern. Pathogens 2022, 11, 516. [Google Scholar] [CrossRef] [PubMed]
- Broderick, P.; Members of the CORGI Consortium; Carvajal-Carmona, L.; Pittman, A.M.; Webb, E.; Howarth, K.; Rowan, A.; Lubbe, S.; Spain, S.; Sullivan, K.; et al. A genome-wide association study shows that common alleles of SMAD7 influence colorectal cancer risk. Nat. Genet. 2007, 39, 1315–1317. [Google Scholar] [CrossRef] [PubMed]
- Phipps, A.I.; Newcomb, P.A.; Garcia-Albeniz, X.; Hutter, C.M.; White, E.; Fuchs, C.S.; Hazra, A.; Ogino, S.; Nan, H.; Ma, J.; et al. Association between colorectal cancer susceptibility loci and survival time after diagnosis with colorectal cancer. Gastroenterology 2012, 143, 51–54.e4. [Google Scholar] [CrossRef] [PubMed]
- Thompson, C.L.; Plummer, S.J.; Acheson, L.S.; Tucker, T.C.; Casey, G.; Li, L. Association of common genetic variants in SMAD7 and risk of colon cancer. Carcinogenesis 2009, 30, 982–986. [Google Scholar] [CrossRef] [PubMed]
- Xiong, F.; Wu, C.; Bi, X.; Yu, D.; Huang, L.; Xu, J.; Zhang, T.; Zhai, K.; Chang, J.; Tan, W.; et al. Risk of genome-wide association study-identified genetic variants for colorectal cancer in a Chinese population. Cancer Epidemiol. Biomark. Prev. 2010, 19, 1855–1861. [Google Scholar] [CrossRef] [PubMed]
- Ho, J.W.; Choi, S.-C.; Lee, Y.-F.; Hui, T.C.; Cherny, S.S.; Garcia-Barceló, M.-M.; Carvajal-Carmona, L.; Liu, R.; To, S.-H.; Yau, T.-K.; et al. Replication study of SNP associations for colorectal cancer in Hong Kong Chinese. Br. J. Cancer 2011, 104, 369–375. [Google Scholar] [CrossRef] [PubMed][Green Version]
- Alidoust, M.; Hamzehzadeh, L.; Shamshiri, A.K.; Afzaljavan, F.; Kerachian, M.A.; Fanipakdel, A.; Aledavood, S.A.; Allahyari, A.; Bari, A.; Mozaffari, H.M.; et al. Association of SMAD7 genetic markers and haplotypes with colorectal cancer risk. BMC Med. Genom. 2022, 15, 8. [Google Scholar] [CrossRef] [PubMed]
- Huang, Y.; Wu, W.; Nie, M.; Li, C.; Wang, L. SMAD7 polymorphisms and colorectal cancer risk: A meta-analysis of case-control studies. Oncotarget 2016, 7, 75561–75570. [Google Scholar] [CrossRef]
- Xiao, Q.; Chen, J.; Zhu, J.; Zeng, S.; Cai, H.; Zhu, G. Association of several loci of SMAD7 with colorectal cancer: A meta-analysis based on case-control studies. Medicine 2023, 102, e32631. [Google Scholar] [CrossRef]
- Sahoo, B.; Nayak, I.; Parameswaran, C.; Kesawat, M.S.; Sahoo, K.K.; Subudhi, H.N.; Balasubramaniasai, C.; Prabhukarthikeyan, S.R.; Katara, J.L.; Dash, S.K.; et al. A Comprehensive Genome-Wide Investigation of the Cytochrome 71 (OsCYP71) Gene Family: Revealing the Impact of Promoter and Gene Variants (Ser33Leu) of OsCYP71P6 on Yield-Related Traits in Indica Rice (Oryza sativa L.). Plants 2023, 12, 3035. [Google Scholar] [CrossRef]
- Butrick, M.N.; Vanhusen, L.; Leventhal, K.-G.; Hooker, G.W.; Nusbaum, R.; Peshkin, B.N.; Salehizadeh, Y.; Pavlick, J.; Schwartz, M.D.; Graves, K.D. Discussing Race-Related Limitations of Genomic Testing for Colon Cancer Risk: Implications for Education and Counseling. Soc. Sci. Med. 2014, 114, 26–37. [Google Scholar] [CrossRef] [PubMed]


| Parameters | Colorectal Cancer Cases | Controls | 
|---|---|---|
| Number | 170 | 170 | 
| Sex | ||
| Male | 105 (61.76%) | 85 (50%) | 
| Female | 65 (38.23%) | 85 (50%) | 
| Age (years) | 59.57 + 28.09 | 61.36 + 23.10 | 
| AJCC stage | ||
| I | 86 | - | 
| II | 35 | - | 
| III | 45 | - | 
| IV | 4 | - | 
| Tumor Size (cm) | 4.5 + 12.8 | - | 
| Location | ||
| colon | 132 (77.64%) | - | 
| rectum | 27 (15.88%) | - | 
| rectosigmoid | 11 (6.48%) | - | 
| Genotype | CRC | Counts | % of Total | Cumulative % | 
|---|---|---|---|---|
| CC | 0 | 21 | 12.6% | 12.6% | 
| 1 | 18 | 10.8% | 23.4% | |
| CT | 0 | 57 | 34.1% | 57.5% | 
| 1 | 45 | 26.9% | 84.4% | |
| TT | 0 | 12 | 7.2% | 91.6% | 
| 1 | 14 | 8.4% | 100.0% | 
| Gene | rs Chr Position GR Ch38 | AA/AB/BB | AA% | AB% | BB% | 
|---|---|---|---|---|---|
| SAMD7 | rs 4939827 | CC/CT/TT | 69 (42.6%) | 77 (39.7%) | 24 (17.7%) | 
| Disclaimer/Publisher’s Note: The statements, opinions and data contained in all publications are solely those of the individual author(s) and contributor(s) and not of MDPI and/or the editor(s). MDPI and/or the editor(s) disclaim responsibility for any injury to people or property resulting from any ideas, methods, instructions or products referred to in the content. | 
© 2024 by the authors. Licensee MDPI, Basel, Switzerland. This article is an open access article distributed under the terms and conditions of the Creative Commons Attribution (CC BY) license (https://creativecommons.org/licenses/by/4.0/).
Share and Cite
Herlo, L.-F.; Dumache, R.; Duta, C.; Vita, O.; Mercioni, A.M.; Stelea, L.; Sirli, R.; Iurciuc, S. Colorectal Cancer Risk Prediction Using the rs4939827 Polymorphism of the SMAD7 Gene in the Romanian Population. Diagnostics 2024, 14, 220. https://doi.org/10.3390/diagnostics14020220
Herlo L-F, Dumache R, Duta C, Vita O, Mercioni AM, Stelea L, Sirli R, Iurciuc S. Colorectal Cancer Risk Prediction Using the rs4939827 Polymorphism of the SMAD7 Gene in the Romanian Population. Diagnostics. 2024; 14(2):220. https://doi.org/10.3390/diagnostics14020220
Chicago/Turabian StyleHerlo, Lucian-Flavius, Raluca Dumache, Ciprian Duta, Octavia Vita, Adriana Marina Mercioni, Lavinia Stelea, Roxana Sirli, and Stela Iurciuc. 2024. "Colorectal Cancer Risk Prediction Using the rs4939827 Polymorphism of the SMAD7 Gene in the Romanian Population" Diagnostics 14, no. 2: 220. https://doi.org/10.3390/diagnostics14020220
APA StyleHerlo, L.-F., Dumache, R., Duta, C., Vita, O., Mercioni, A. M., Stelea, L., Sirli, R., & Iurciuc, S. (2024). Colorectal Cancer Risk Prediction Using the rs4939827 Polymorphism of the SMAD7 Gene in the Romanian Population. Diagnostics, 14(2), 220. https://doi.org/10.3390/diagnostics14020220
 
        



 
       