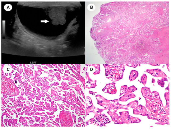
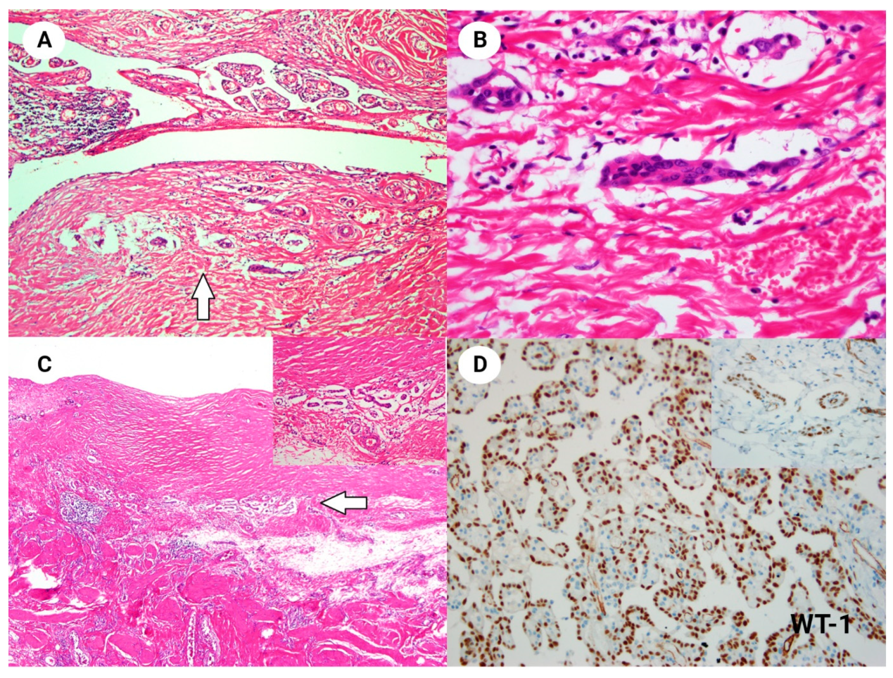
Well-Differentiated Papillary Mesothelial Tumor of the Scrotum with Suspicious Invasion
Abstract


Author Contributions
Funding
Institutional Review Board Statement
Informed Consent Statement
Data Availability Statement
Conflicts of Interest
References
- Stevers, M.; Rabban, J.T.; Garg, K.; Van Ziffle, J.; Onodera, C.; Grenert, J.P.; Yeh, I.; Bastian, B.C.; Zaloudek, C.; Solomon, D.A. Well-differentiated papillary mesothelioma of the peritoneum is genetically defined by mutually exclusive mutations in TRAF7 and CDC42. Mod. Pathol. 2019, 32, 88–99. [Google Scholar] [CrossRef] [PubMed]
- Idrees, M.T.; Comperat, E.M.; Galateau-Salle, F. Well-differentiated papillary mesothelial tumour. In WHO Classification of Tumours: Urinary and Male Genital Tumours, 5th ed.; International Agency for Research on Cancer: Lyon, France, 2022; pp. 346–347. [Google Scholar]
- Cabay, R.J.; Siddiqui, N.H.; Alam, S. Paratesticular papillary mesothelioma: A case with borderline features. Arch. Pathol. Lab Med. 2006, 130, 90–92. [Google Scholar] [CrossRef] [PubMed]
- Gan, A.M.L.; Plantinga, P.; Punjani, N.; Hussey, A.; Power, N. Images—Well-differentiated papillary mesothelioma of the tunica vaginalis. Can. Urol. Assoc. J. 2018, 12, E425–E427. [Google Scholar] [CrossRef] [PubMed]
- Tan, W.K.; Tan, M.-Y.; Gan, S.C.; Pathmanathan, R.; Tan, H.M. Well-Differentiated Papillary Mesothelioma of the Tunica Vaginalis: Case Report and Systematic Review of Literature. Clin. Genitourin. Cancer 2016, 14, e435–e439. [Google Scholar] [CrossRef] [PubMed]
- Trpkov, K.; Barr, R.; Kulaga, A.; Yilmaz, A. Mesothelioma of tunica vaginalis of “uncertain malignant potential”—An evolving concept: Case report and review of the literature. Diagn. Pathol. 2011, 6, 78. [Google Scholar] [CrossRef] [PubMed]
- Brimo, F.; Illei, P.B.; Epstein, J.I. Mesothelioma of the tunica vaginalis: A series of eight cases with uncertain malignant potential. Mod. Pathol. 2010, 23, 1165–1172. [Google Scholar] [CrossRef] [PubMed]
- Guney, N.; Basaran, M.; Karayigit, E.; Müslümanoglu, A.; Guney, S.; Kilicaslan, I.; Gulbarut, S. Malignant mesothelioma of the tunica vaginalis testis: A case report and review of the literature. Med. Oncol. 2007, 24, 449–452. [Google Scholar] [CrossRef] [PubMed]
- Churg, A.; Allen, T.; Borczuk, A.C.; Cagle, P.T.; Galateau-Sallé, F.; Hwang, H.; Murer, B.; Murty, V.V.; Ordonez, N.; Tazelaar, H.D.; et al. Well-differentiated papillary mesothelioma with invasive foci. Am. J. Surg. Pathol. 2014, 38, 990–998. [Google Scholar] [CrossRef] [PubMed]
- Shimizu, S.; Yoon, H.-E.; Ito, N.; Tsuji, T.; Funakoshi, Y.; Utsumi, T.; Sakaguchi, M.; Tsujimura, T.; Kasai, T.; Hiroshima, K.; et al. A case of solitary well-differentiated papillary mesothelioma with invasive foci in the pleura. Pathol. Int. 2017, 67, 45–49. [Google Scholar] [CrossRef] [PubMed]
- Galateau-Sallé, F.; Vignaud, J.M.; Burke, L.; Gibbs, A.; Brambilla, E.; Attanoos, R.; Goldberg, M.; Launoy, G. Well-differentiated papillary mesothelioma of the pleura: A series of 24 cases. Am J. Surg. Pathol. 2004, 28, 534–540. [Google Scholar] [CrossRef] [PubMed]
- Tufano, A.; Flammia, R.S.; Antonelli, L.; Minelli, R.; Franco, G.; Leonardno, C.; Cantisani, V. The value of contrast-enhanced ultrasound (CEUS) in differentiated testicular masses: A systematic review and meta-analysis. Appl. Sci. 2021, 11, 8990. [Google Scholar] [CrossRef]
- Jiang, Q.; Li, F.; Yu, J.; Jiang, X.-H.; Du, L.-F.; Bai, M.; Li, Z.-J.; Shi, Q.-S. Contrast-enhanced ultrasound a valuable imaging modality for characterizing testicular lesions. Asian J. Androl. 2022, 24, 201–206. [Google Scholar] [CrossRef] [PubMed]
Disclaimer/Publisher’s Note: The statements, opinions and data contained in all publications are solely those of the individual author(s) and contributor(s) and not of MDPI and/or the editor(s). MDPI and/or the editor(s) disclaim responsibility for any injury to people or property resulting from any ideas, methods, instructions or products referred to in the content. |
© 2024 by the authors. Licensee MDPI, Basel, Switzerland. This article is an open access article distributed under the terms and conditions of the Creative Commons Attribution (CC BY) license (https://creativecommons.org/licenses/by/4.0/).
Share and Cite
Im, S.; Yoo, J.M.; Cho, U. Well-Differentiated Papillary Mesothelial Tumor of the Scrotum with Suspicious Invasion. Diagnostics 2024, 14, 169. https://doi.org/10.3390/diagnostics14020169
Im S, Yoo JM, Cho U. Well-Differentiated Papillary Mesothelial Tumor of the Scrotum with Suspicious Invasion. Diagnostics. 2024; 14(2):169. https://doi.org/10.3390/diagnostics14020169
Chicago/Turabian StyleIm, Soyoung, Je Mo Yoo, and Uiju Cho. 2024. "Well-Differentiated Papillary Mesothelial Tumor of the Scrotum with Suspicious Invasion" Diagnostics 14, no. 2: 169. https://doi.org/10.3390/diagnostics14020169
APA StyleIm, S., Yoo, J. M., & Cho, U. (2024). Well-Differentiated Papillary Mesothelial Tumor of the Scrotum with Suspicious Invasion. Diagnostics, 14(2), 169. https://doi.org/10.3390/diagnostics14020169

