Conventional Radiology Evaluation of Neonatal Intravascular Devices (NIVDs): A Case Series
Abstract
1. Introduction
- -
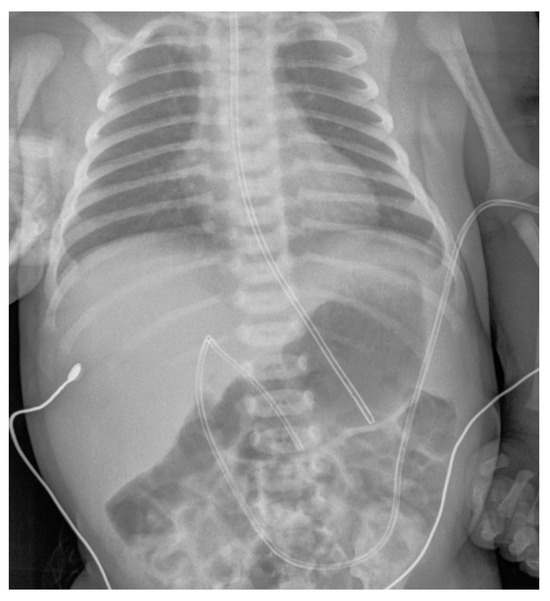
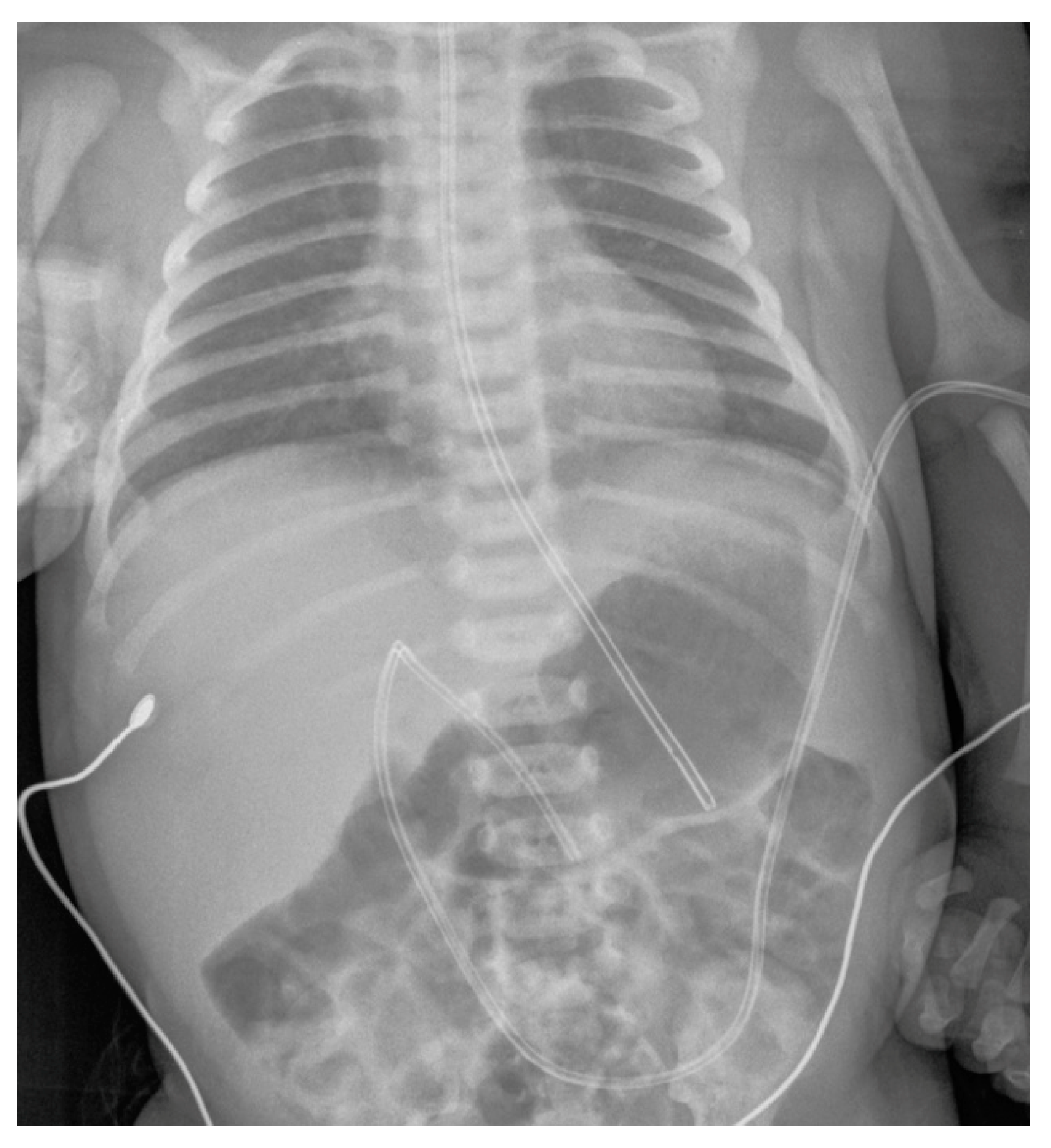
- An insertion too low in the umbilical vein, which can impede appropriate drug delivery;
- -
- An insertion at the level of the right or left portal venous system, superior mesenteric or splenic vein, which can increase the risk of venous thrombosis, portal perforation resulting in liver abscesses and hemorrhage, necrotizing enterocolitis (NEC), and portal hypertension;
- -
- An insertion too high in the right or left atrium (depending on the patency of the foramen ovale), which can lead to cardiac arrhythmias, pericardial effusions with cardiac tamponade, pleural effusion, and endocavitary thrombosis.
2. Materials and Methods
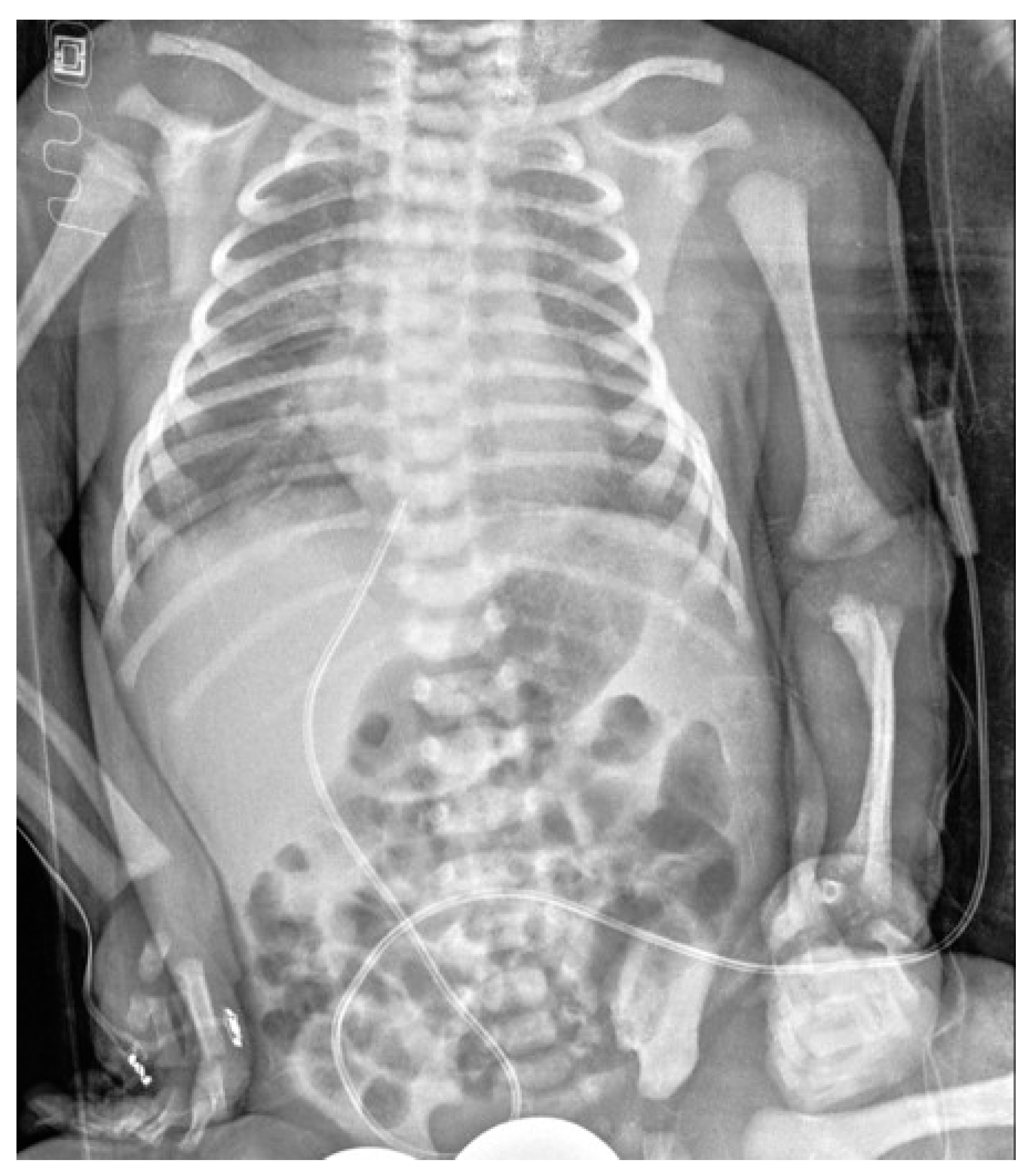
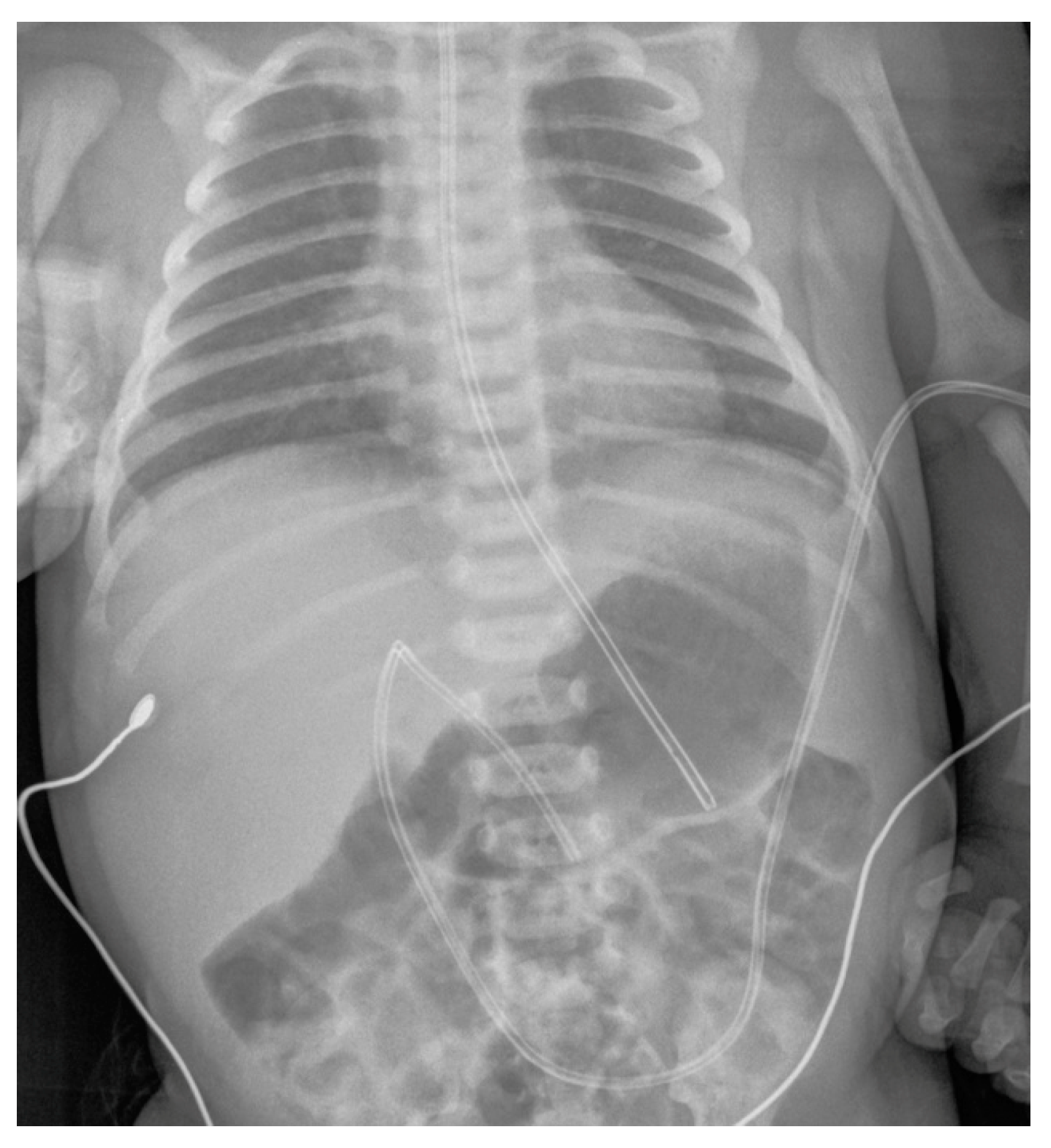
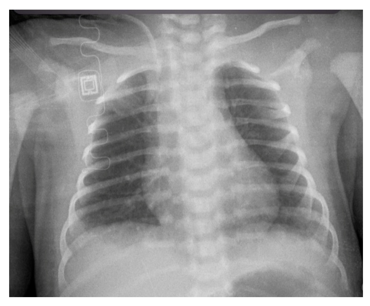
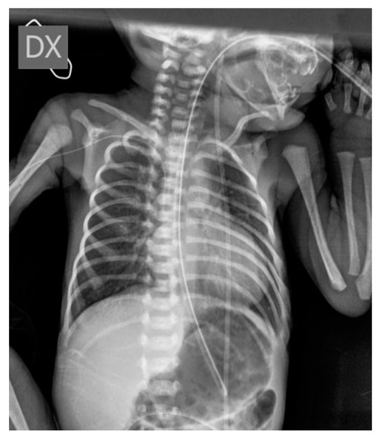
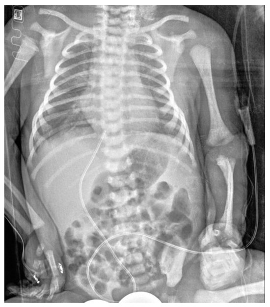
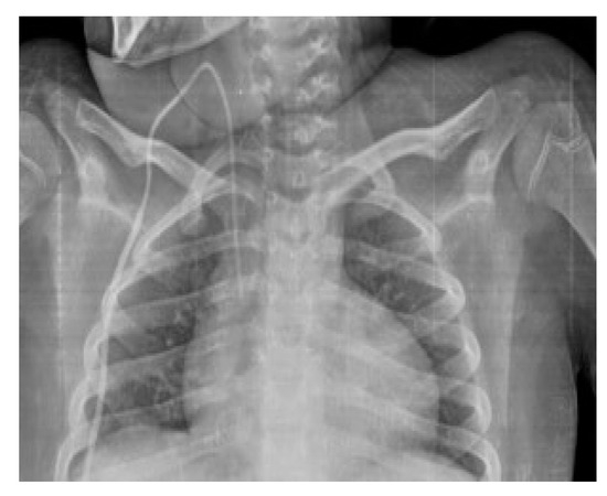
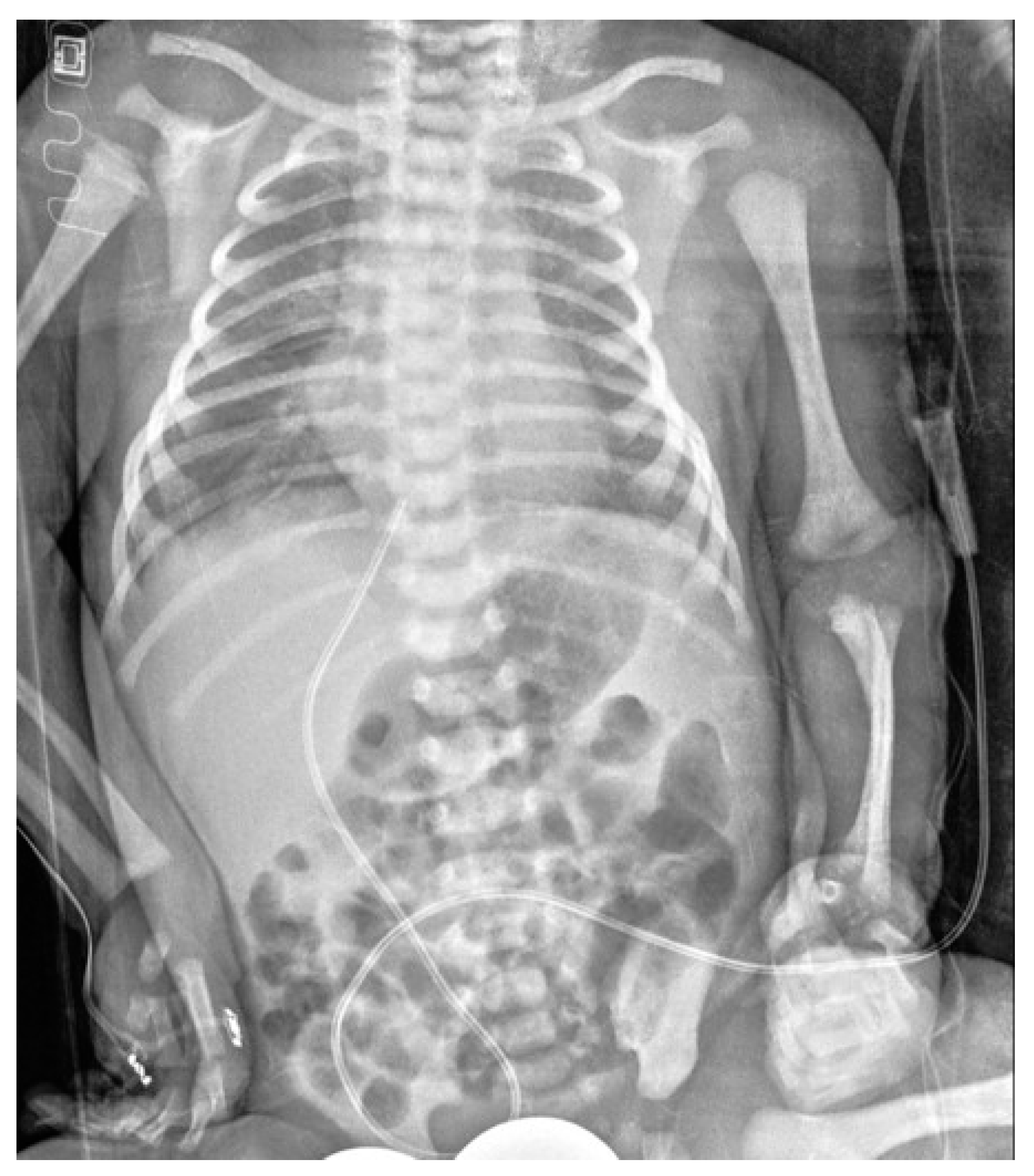
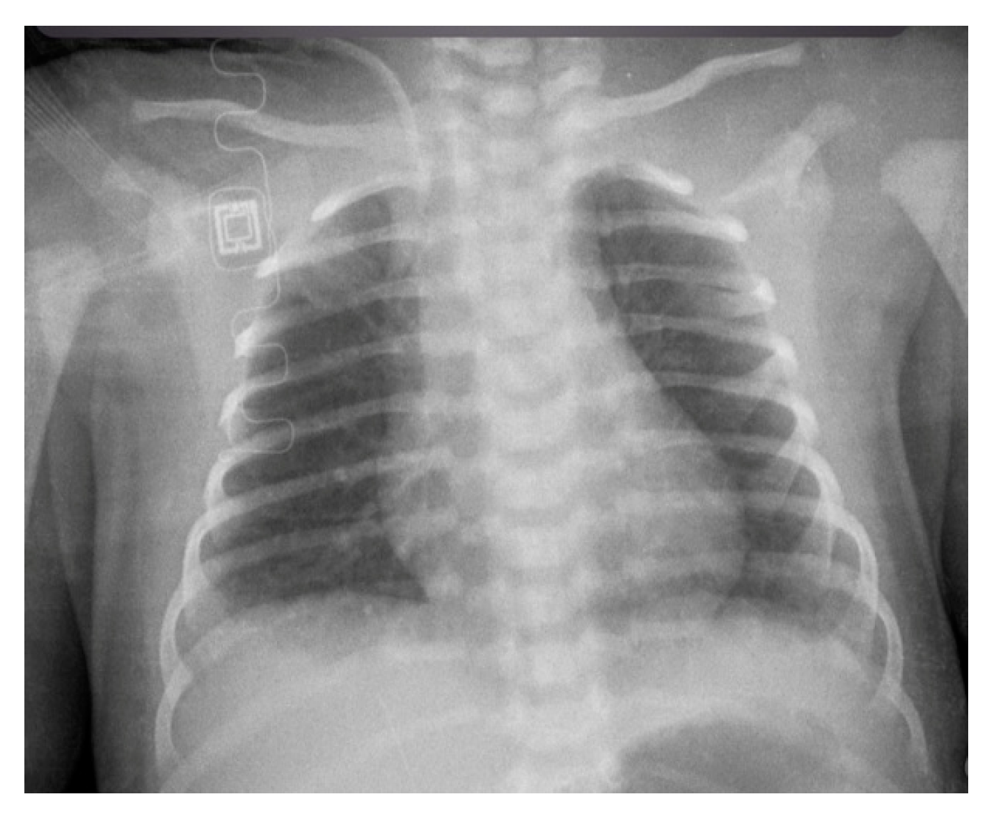
3. Results
4. Discussion
5. Conclusions
Author Contributions
Funding
Institutional Review Board Statement
Informed Consent Statement
Data Availability Statement
Conflicts of Interest
References
- New, K.A.; Webster, J.; Marsh, N.M.; Hewer, B. Intravascular device use, management, documentation and complications: A point prevalence survey. Aust. Health Rev. 2014, 38, 345–349. [Google Scholar] [CrossRef] [PubMed]
- Anderson, J.; Leonard, D.; Braner, D.A.; Lai, S.; Tegtmeyer, K. Videos in clinical medicine. Umbilical vascular catheterization. N. Engl. J. Med. 2008, 359, e18. [Google Scholar] [CrossRef] [PubMed]
- Wrightson, D.D. Peripherally inserted central catheter complications in neonates with upper versus lower extremity insertion sites. Adv. Neonatal. Care 2013, 13, 198–204. [Google Scholar] [CrossRef]
- Alshafei, A.; Farouk, S.; Khan, A.; Ahmed, M.; Elsaba, Y.; Aldoky, Y. Association of umbilical venous catheters vs peripherally inserted central catheters with death or severe intraventricular hemorrhage among preterm infants < 30 weeks: A randomized clinical trial. J. Neonatal. Perinat. Med. 2023, 16, 247–255. [Google Scholar] [CrossRef]
- Dale, M.; Higgins, A.; Carolan-Rees, G. Sherlock 3CG(®) Tip Confirmation System for Placement of Peripherally Inserted Central Catheters: A NICE Medical Technology Guidance. Appl. Health Econ. Health Policy 2016, 14, 41–49. [Google Scholar] [CrossRef] [PubMed]
- Baskin, K.M.; Jimenez, R.M.; Cahill, A.M.; Jawad, A.F.; Towbin, R.B. Cavoatrial junction and central venous anatomy: Implications for central venous access tip position. J. Vasc. Interv. Radiol. 2008, 19, 359–365. [Google Scholar] [CrossRef] [PubMed]
- Arrigoni, F.; Bruno, F.; Zugaro, L.; Natella, R.; Cappabianca, S.; Russo, U.; Papapietro, V.R.; Splendiani, A.; Di Cesare, E.; Masciocchi, C.; et al. Developments in the management of bone metastases with interventional radiology. Acta Bio-Medica Atenei Parm. 2018, 89, 166–174. [Google Scholar] [CrossRef]
- Connolly, B.; Mawson, J.B.; MacDonald, C.E.; Chait, P.; Mikailian, H. Fluoroscopic landmark for SVC-RA junction for central venous catheter placement in children. Pediatr. Radiol. 2000, 30, 692–695. [Google Scholar] [CrossRef]
- Scialpi, M.; Cappabianca, S.; Rotondo, A.; Scalera, G.B.; Barberini, F.; Cagini, L.; Donato, S.; Brunese, L.; Piscioli, I.; Lupattelli, L. Pulmonary congenital cystic disease in adults. Spiral computed tomography findings with pathologic correlation and management. Radiol. Med. 2010, 115, 539–550. [Google Scholar] [CrossRef]
- Gabelloni, M.; Faggioni, L.; Cioni, D.; Mendola, V.; Falaschi, Z.; Coppola, S.; Corradi, F.; Isirdi, A.; Brandi, N.; Coppola, F.; et al. Extracorporeal membrane oxygenation (ECMO) in COVID-19 patients: A pocket guide for radiologists. Radiol. Med. 2022, 127, 369–382. [Google Scholar] [CrossRef]
- Loveday, H.P.; Wilson, J.A.; Pratt, R.J.; Golsorkhi, M.; Tingle, A.; Bak, A.; Browne, J.; Prieto, J.; Wilcox, M.; Health, U.K.D.o. epic3: National evidence-based guidelines for preventing healthcare-associated infections in NHS hospitals in England. J. Hosp. Infect. 2014, 86 (Suppl. S1), S1–S70. [Google Scholar] [CrossRef]
- Mandato, Y.; Reginelli, A.; Galasso, R.; Iacobellis, F.; Berritto, D.; Cappabianca, S. Errors in the radiological evaluation of the alimentary tract: Part I. Semin. Ultrasound CT MR 2012, 33, 300–307. [Google Scholar] [CrossRef] [PubMed]
- Keir, A.; Giesinger, R.; Dunn, M. How long should umbilical venous catheters remain in place in neonates who require long-term (>/=5–7 days) central venous access? J. Paediatr. Child Health 2014, 50, 649–652. [Google Scholar] [CrossRef]
- Guimaraes, A.F.; Souza, A.A.; Bouzada, M.C.; Meira, Z.M. Accuracy of chest radiography for positioning of the umbilical venous catheter. J. Pediatr. 2017, 93, 172–178. [Google Scholar] [CrossRef] [PubMed]
- Faggian, A.; Berritto, D.; Iacobellis, F.; Reginelli, A.; Cappabianca, S.; Grassi, R. Imaging Patients with Alimentary Tract Perforation: Literature Review. Semin. Ultrasound CT MR 2016, 37, 66–69. [Google Scholar] [CrossRef]
- Galdo, F.; Trappan, A.; Cossovel, F.; Rodriguez-Perez, C.; Ronfani, L.; Montaldo, P.; Bibalo, C.; Travan, L.; Risso, F.M. Ultrasonographic measurements of the inferior vena cava diameter in newborns: Is it a useful tool for choosing an umbilical venous catheter? Front. Pediatr. 2023, 11, 1268622. [Google Scholar] [CrossRef] [PubMed]
- Barrington, K.J. Umbilical artery catheters in the newborn: Effects of position of the catheter tip. Cochrane Database Syst. Rev. 2000, 1999, CD000505. [Google Scholar] [CrossRef]
- Kim, J.H.; Lee, Y.S.; Kim, S.H.; Lee, S.K.; Lim, M.K.; Kim, H.S. Does umbilical vein catheterization lead to portal venous thrombosis? Prospective US evaluation in 100 neonates. Radiology 2001, 219, 645–650. [Google Scholar] [CrossRef]
- Salerno, S.; Tudisca, C.; Murmura, E.; Matranga, D.; La Tona, G.; Lo Re, G.; Lo Casto, A. Umbilical venous catheters placement evaluation on frontal radiogram: Application of a simplified flow-chart for radiology residents. Radiol. Med. 2017, 122, 386–391. [Google Scholar] [CrossRef]
- Gupta, A.O.; Peesay, M.R.; Ramasethu, J. Simple measurements to place umbilical catheters using surface anatomy. J. Perinatol. 2015, 35, 476–480. [Google Scholar] [CrossRef]
- Gibson, K.; Sharp, R.; Ullman, A.; Morris, S.; Kleidon, T.; Esterman, A. Adverse events associated with umbilical catheters: A systematic review and meta-analysis. J. Perinatol. 2021, 41, 2505–2512. [Google Scholar] [CrossRef]
- Sulemanji, M.; Vakili, K.; Zurakowski, D.; Tworetzky, W.; Fishman, S.J.; Kim, H.B. Umbilical Venous Catheter Malposition Is Associated with Necrotizing Enterocolitis in Premature Infants. Neonatology 2017, 111, 337–343. [Google Scholar] [CrossRef] [PubMed]
- Vesely, T.M. Central venous catheter tip position: A continuing controversy. J. Vasc. Interv. Radiol. 2003, 14, 527–534. [Google Scholar] [CrossRef] [PubMed]
- Hasbini, J.; Safawi, N.; Mneimneh, S.; Rajab, M.; Berjaoui, C.; Naous, A. Pericardial effusion complicated by umbilical vein catheter in a preterm infant with respiratory distress syndrome: A case report. Radiol. Case Rep. 2024, 19, 741–744. [Google Scholar] [CrossRef]
- Reginelli, A.; Russo, A.; Turrizziani, F.; Picascia, R.; Micheletti, E.; Galeazzi, V.; Russo, U.; Sica, A.; Cioce, F.; Aliprandi, A.; et al. Imaging of pediatric foot disorders. Acta Bio-Medica Atenei Parm. 2018, 89, 34–47. [Google Scholar] [CrossRef]
- Bailey, S.H.; Shapiro, S.B.; Mone, M.C.; Saffle, J.R.; Morris, S.E.; Barton, R.G. Is immediate chest radiograph necessary after central venous catheter placement in a surgical intensive care unit? Am. J. Surg. 2000, 180, 517–521; discussion 512–521. [Google Scholar] [CrossRef] [PubMed]
- Cappabianca, S.; Scuotto, A.; Iaselli, F.; Pignatelli di Spinazzola, N.; Urraro, F.; Sarti, G.; Montemarano, M.; Grassi, R.; Rotondo, A. Computed tomography and magnetic resonance angiography in the evaluation of aberrant origin of the external carotid artery branches. Surg. Radiol. Anat. 2012, 34, 393–399. [Google Scholar] [CrossRef]
- Sigakis, C.J.G.; Mathai, S.K.; Suby-Long, T.D.; Restauri, N.L.; Ocazionez, D.; Bang, T.J.; Restrepo, C.S.; Sachs, P.B.; Vargas, D. Radiographic Review of Current Therapeutic and Monitoring Devices in the Chest. Radiographics 2018, 38, 1027–1045. [Google Scholar] [CrossRef]
- Tarr, G.P.; Pak, N.; Taghavi, K.; Iwan, T.; Dumble, C.; Davies-Payne, D.; Mirjalili, S.A. Defining the surface anatomy of the central venous system in children. Clin. Anat. 2016, 29, 157–164. [Google Scholar] [CrossRef]
- Hinton, L.R.; Fischer, N.J.; Taghavi, K.; O’Hagan, L.A.; Mirjalili, S.A. Pediatric central venous catheterization: The Role of the Aortic Valve in Defining the Superior Vena Cava-Right Atrium Junction. Clin. Anat. 2019, 32, 778–782. [Google Scholar] [CrossRef]
- Schlesinger, A.E.; Braverman, R.M.; DiPietro, M.A. Pictorial essay. Neonates and umbilical venous catheters: Normal appearance, anomalous positions, complications, and potential aid to diagnosis. AJR Am. J. Roentgenol. 2003, 180, 1147–1153. [Google Scholar] [CrossRef] [PubMed]
- Mutlu, M.; Aslan, Y.; Kul, S.; Yilmaz, G. Umbilical venous catheter complications in newborns: A 6-year single-center experience. J. Matern. Fetal. Neonatal. Med. 2016, 29, 2817–2822. [Google Scholar] [CrossRef]
- Javeri, Y.; Jagathkar, G.; Dixit, S.; Chaudhary, D.; Zirpe, K.G.; Mehta, Y.; Govil, D.; Mishra, R.C.; Samavedam, S.; Pandit, R.A.; et al. Indian Society of Critical Care Medicine Position Statement for Central Venous Catheterization and Management 2020. Indian J. Crit. Care Med. 2020, 24, S6–S30. [Google Scholar] [CrossRef] [PubMed]
- D’Andrea, V.; Prontera, G.; Pinna, G.; Cota, F.; Fattore, S.; Costa, S.; Migliorato, M.; Barone, G.; Pittiruti, M.; Vento, G. Umbilical venous catheter: Focus on proper indication and proper securement. J. Pediatr. 2023, in press. [CrossRef]
- Bandeira, I.D.; Guimaraes-Silva, P.; Cedro-Filho, R.L.; de Almeida, V.R.P.; Bittencourt, A.L.; Brites, C. Primary cutaneous nocardiosis. J. Dtsch. Dermatol. Ges. 2019, 17, 327–329. [Google Scholar] [CrossRef] [PubMed]
- Echefu, G.; Stowe, I.; Lukan, A.; Sharma, G.; Basu-Ray, I.; Guidry, L.; Schellack, J.; Kumbala, D. Central vein stenosis in hemodialysis vascular access: Clinical manifestations and contemporary management strategies. Front. Nephrol. 2023, 3, 1280666. [Google Scholar] [CrossRef]
- Zheng, X.; He, D.; Yang, Z.; Chen, L.; Jiang, M.; Qi, Y.; Qin, F.; Yu, J.; Peng, Y.; Liu, L.; et al. Dwell time and bloodstream infection incidence of umbilical venous catheterization in China. Pediatr. Investig. 2023, 7, 239–246. [Google Scholar] [CrossRef]
- Narla, L.D.; Hom, M.; Lofland, G.K.; Moskowitz, W.B. Evaluation of umbilical catheter and tube placement in premature infants. Radiographics 1991, 11, 849–863. [Google Scholar] [CrossRef]
- Schummer, W.; Schummer, C.; Steenbeck, J. Central venous catheter in the left hemithorax--malpositioned? J. Cardiothorac. Vasc. Anesth. 2004, 18, 529–531. [Google Scholar] [CrossRef]
- Zhang, P.; Jia, M.; Li, W.Y.; Li, J.; Niu, J.L.; Ding, H.; Zhou, W.M. Cannulation via the external jugular vein--An alternative to conventional peripherally inserted central catheterisation for paediatric patients. BMC Pediatr. 2023, 23, 579. [Google Scholar] [CrossRef]







Disclaimer/Publisher’s Note: The statements, opinions and data contained in all publications are solely those of the individual author(s) and contributor(s) and not of MDPI and/or the editor(s). MDPI and/or the editor(s) disclaim responsibility for any injury to people or property resulting from any ideas, methods, instructions or products referred to in the content. |
© 2024 by the authors. Licensee MDPI, Basel, Switzerland. This article is an open access article distributed under the terms and conditions of the Creative Commons Attribution (CC BY) license (https://creativecommons.org/licenses/by/4.0/).
Share and Cite
Russo, A.; Patanè, V.; Faggioni, L.; Pinto, A.; Fusco, L.; Urraro, F.; Neri, E.; Reginelli, A. Conventional Radiology Evaluation of Neonatal Intravascular Devices (NIVDs): A Case Series. Diagnostics 2024, 14, 157. https://doi.org/10.3390/diagnostics14020157
Russo A, Patanè V, Faggioni L, Pinto A, Fusco L, Urraro F, Neri E, Reginelli A. Conventional Radiology Evaluation of Neonatal Intravascular Devices (NIVDs): A Case Series. Diagnostics. 2024; 14(2):157. https://doi.org/10.3390/diagnostics14020157
Chicago/Turabian StyleRusso, Anna, Vittorio Patanè, Lorenzo Faggioni, Alessandro Pinto, Luigia Fusco, Fabrizio Urraro, Emanuele Neri, and Alfonso Reginelli. 2024. "Conventional Radiology Evaluation of Neonatal Intravascular Devices (NIVDs): A Case Series" Diagnostics 14, no. 2: 157. https://doi.org/10.3390/diagnostics14020157
APA StyleRusso, A., Patanè, V., Faggioni, L., Pinto, A., Fusco, L., Urraro, F., Neri, E., & Reginelli, A. (2024). Conventional Radiology Evaluation of Neonatal Intravascular Devices (NIVDs): A Case Series. Diagnostics, 14(2), 157. https://doi.org/10.3390/diagnostics14020157

