Pancreatic Metastases of Esophageal Squamous Cell Carcinoma: A Case Report and Review of the Literature
Abstract
1. Introduction
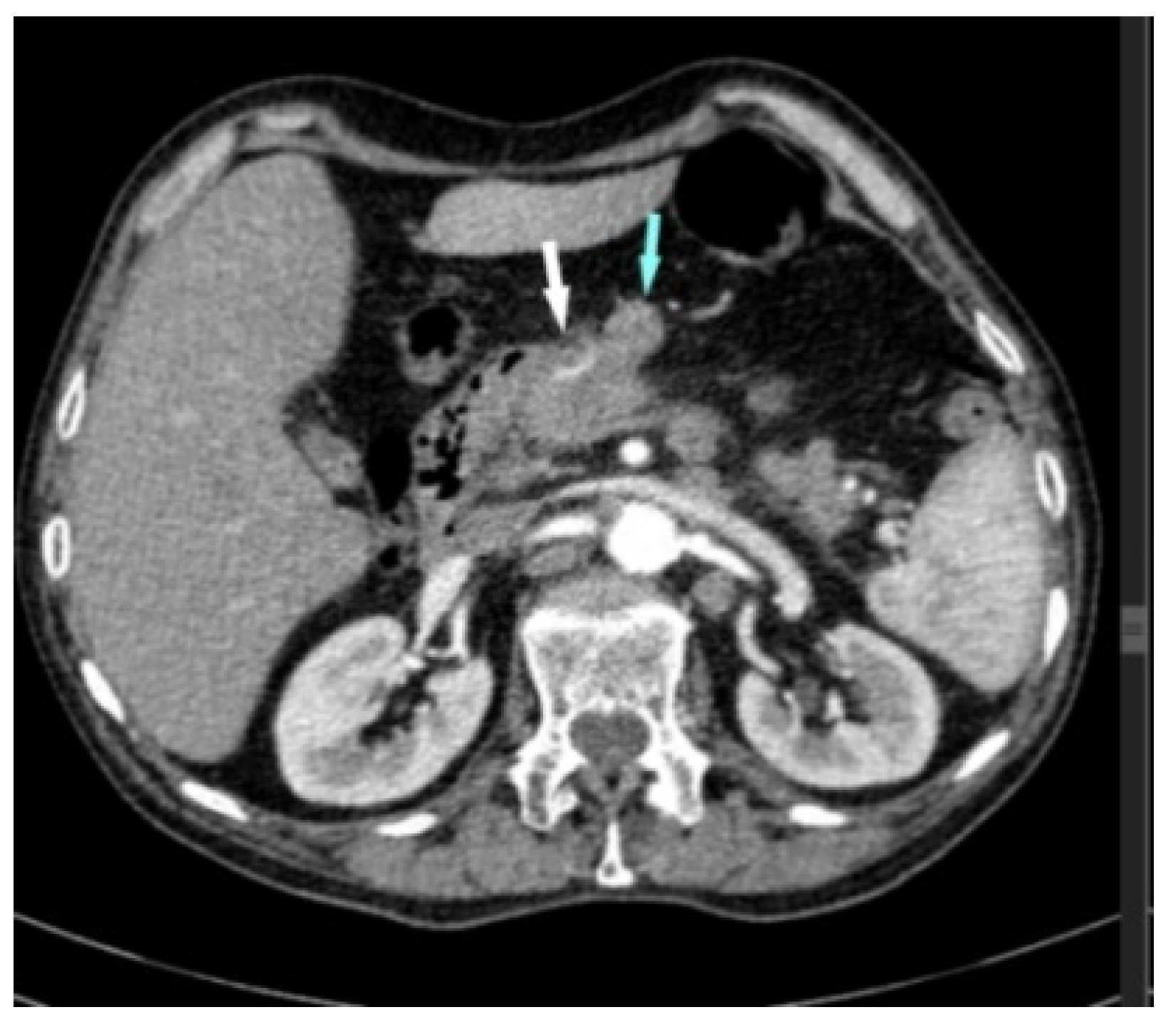
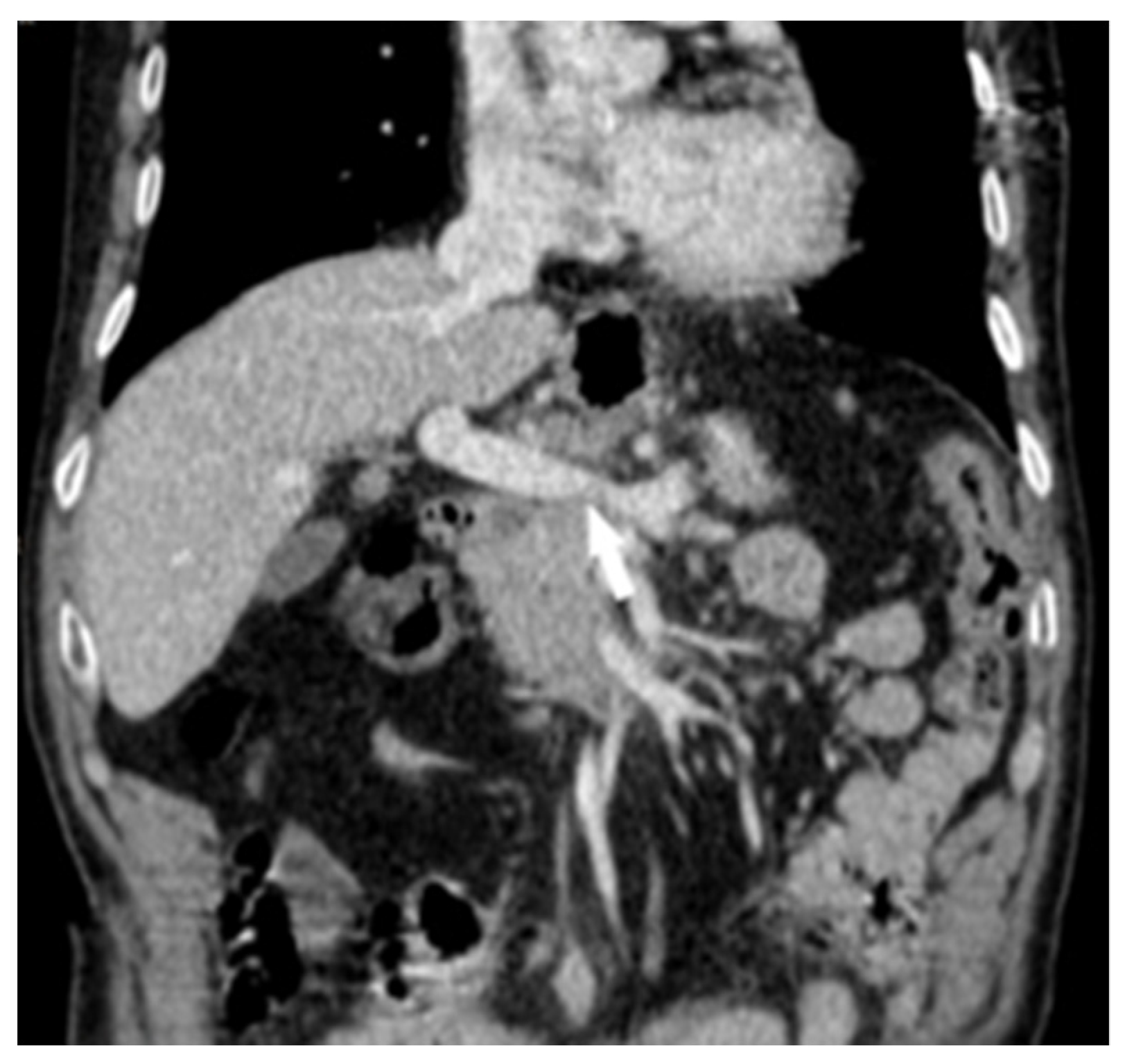
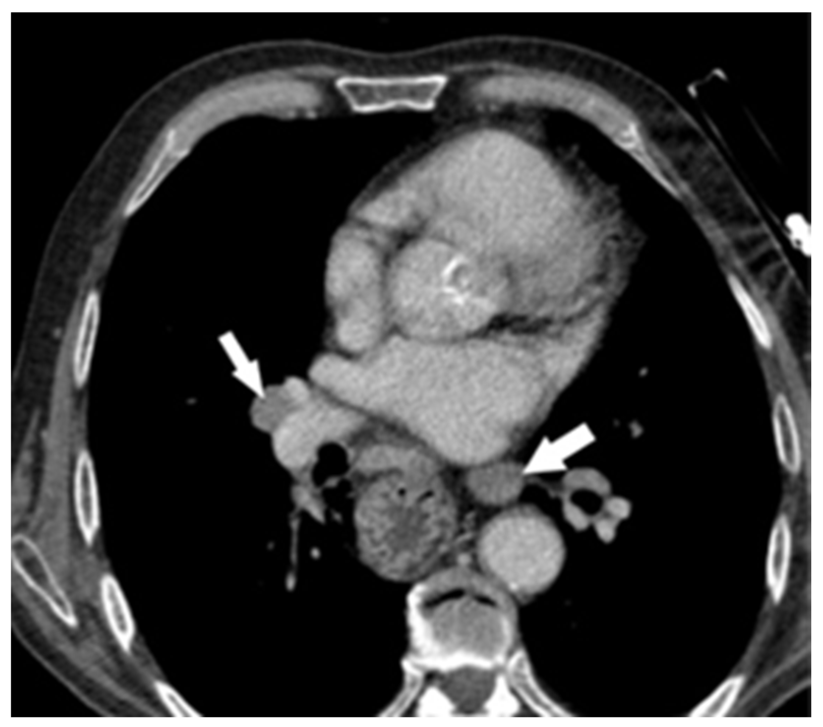
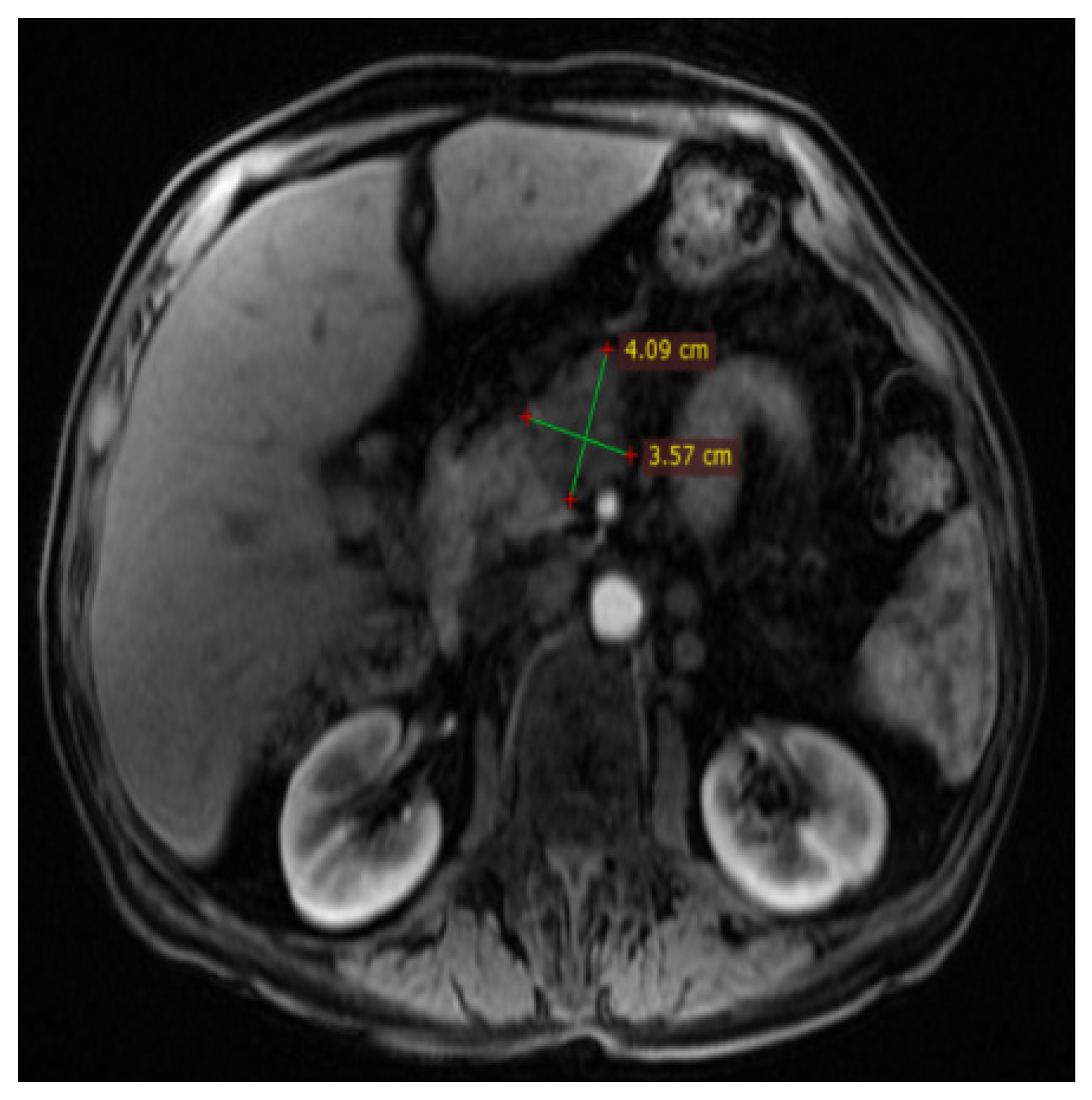
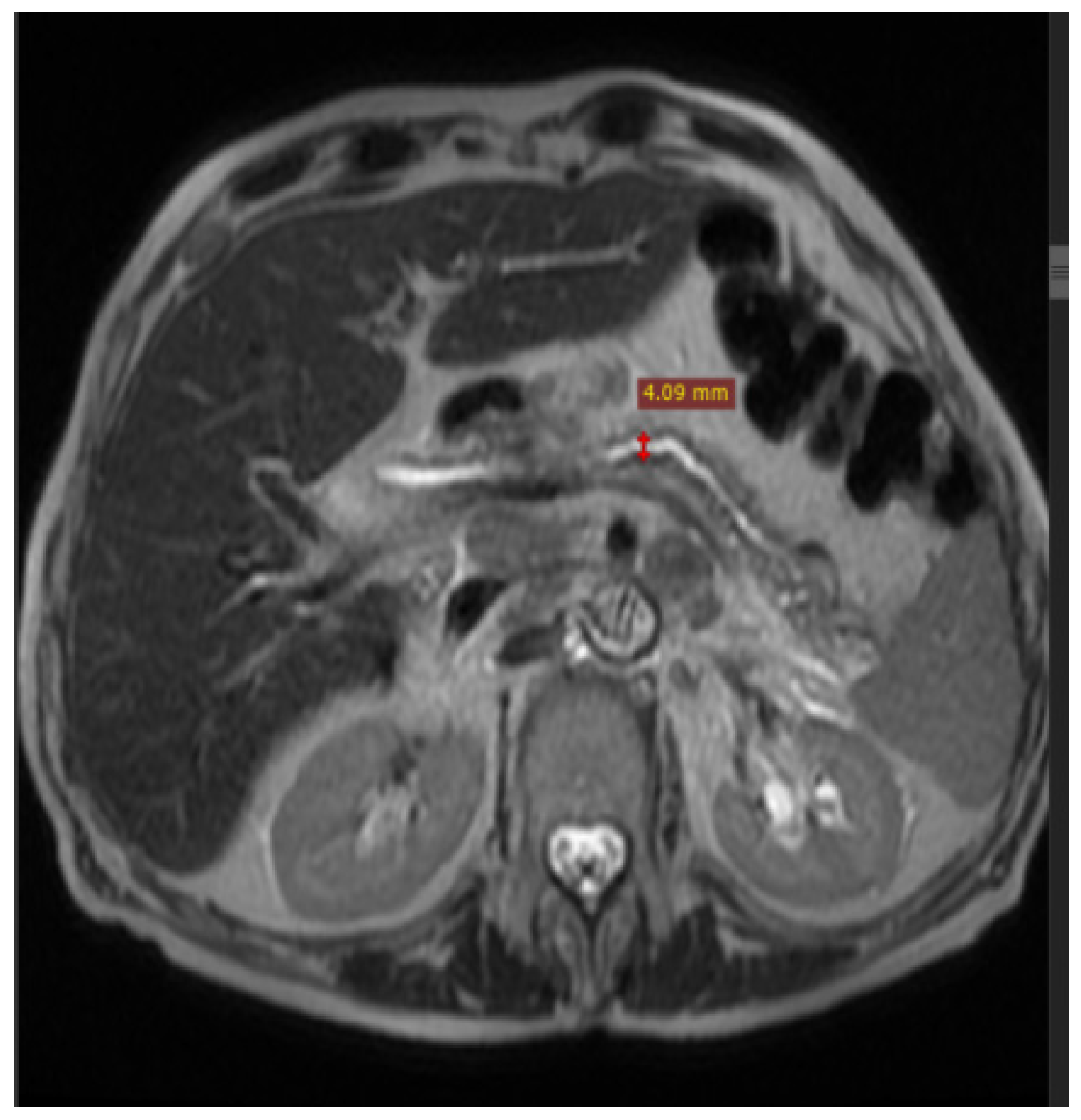
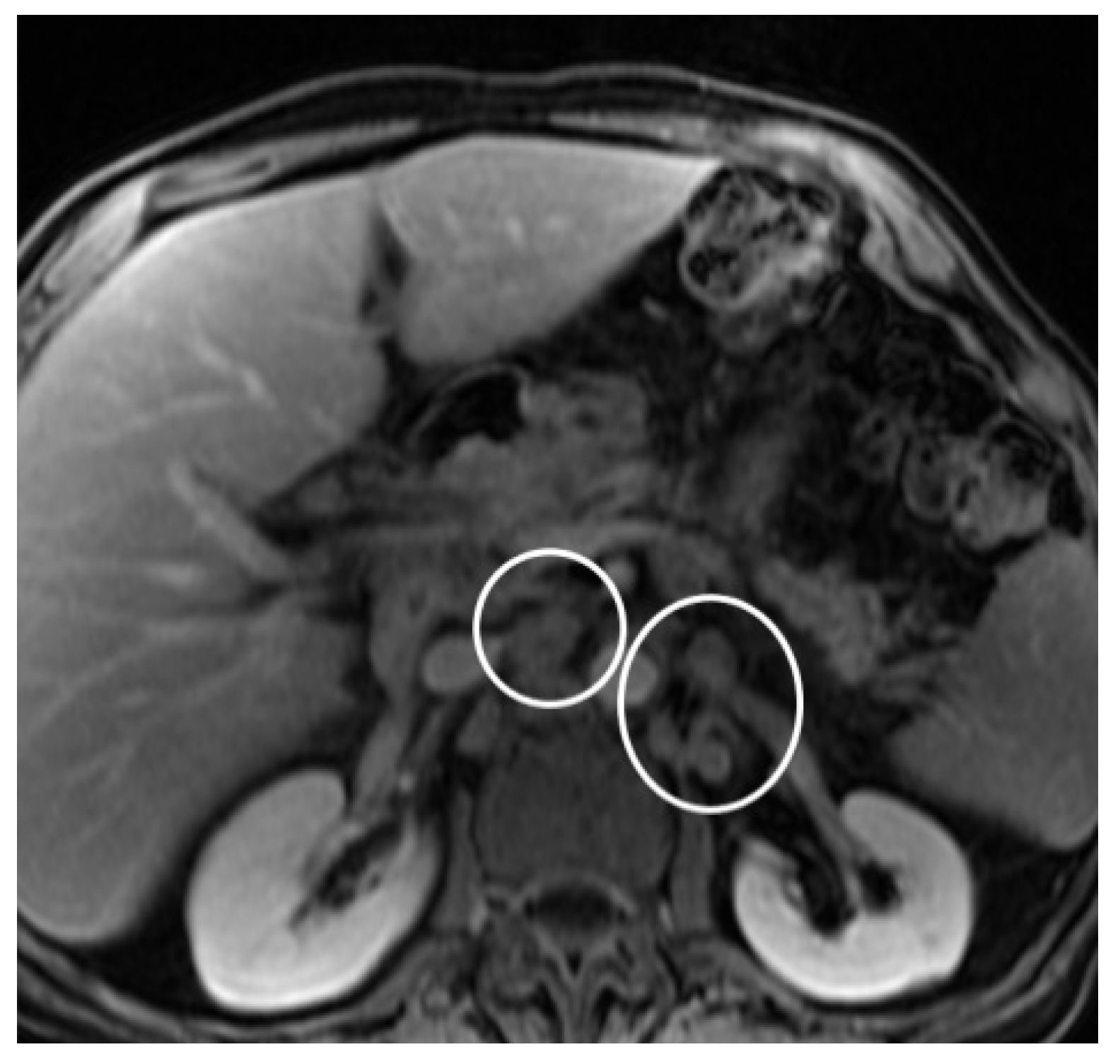
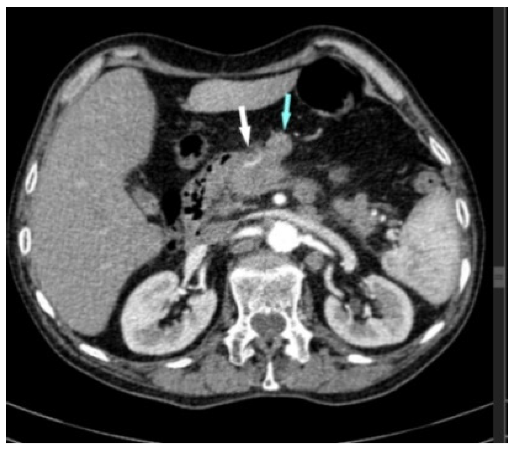
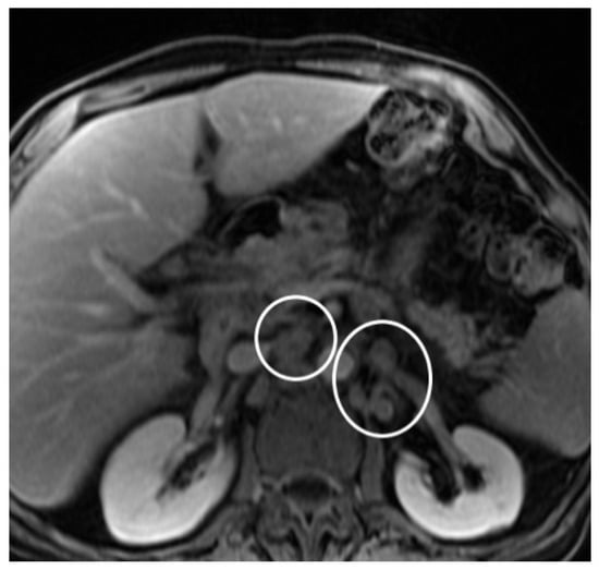
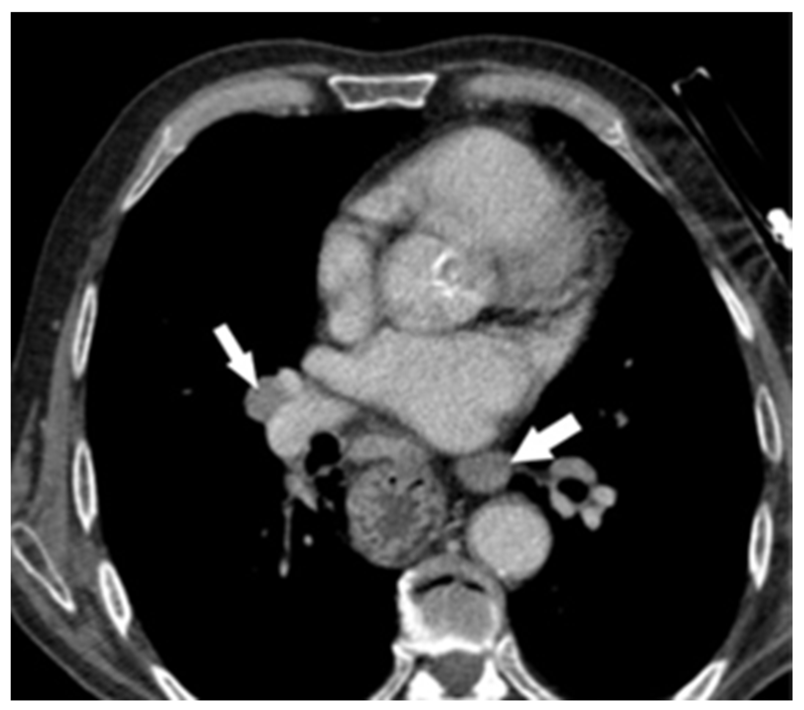
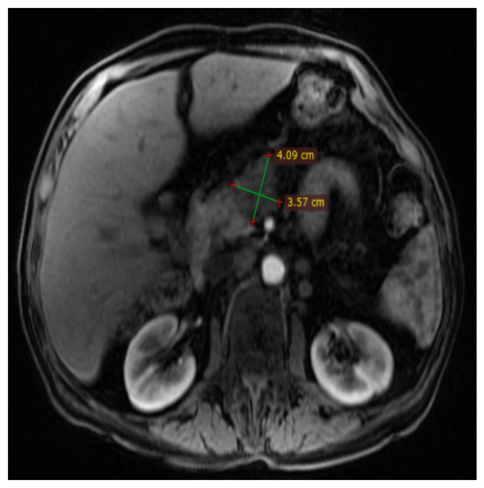
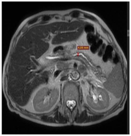
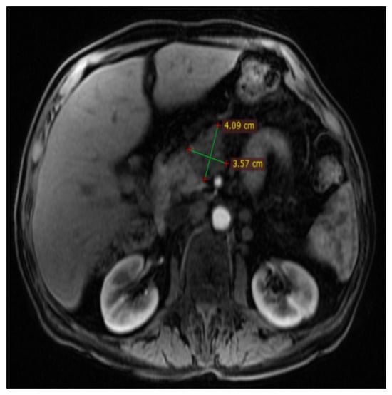
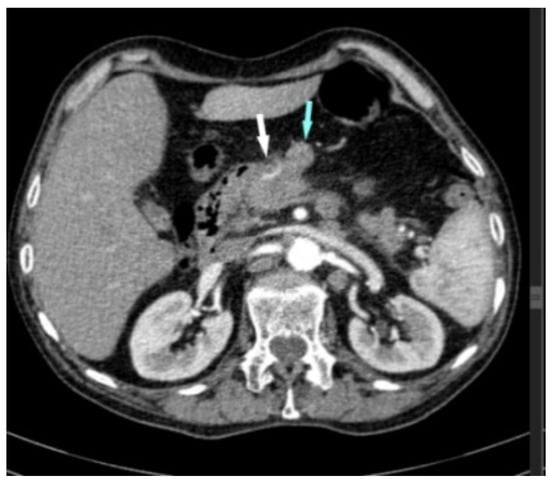
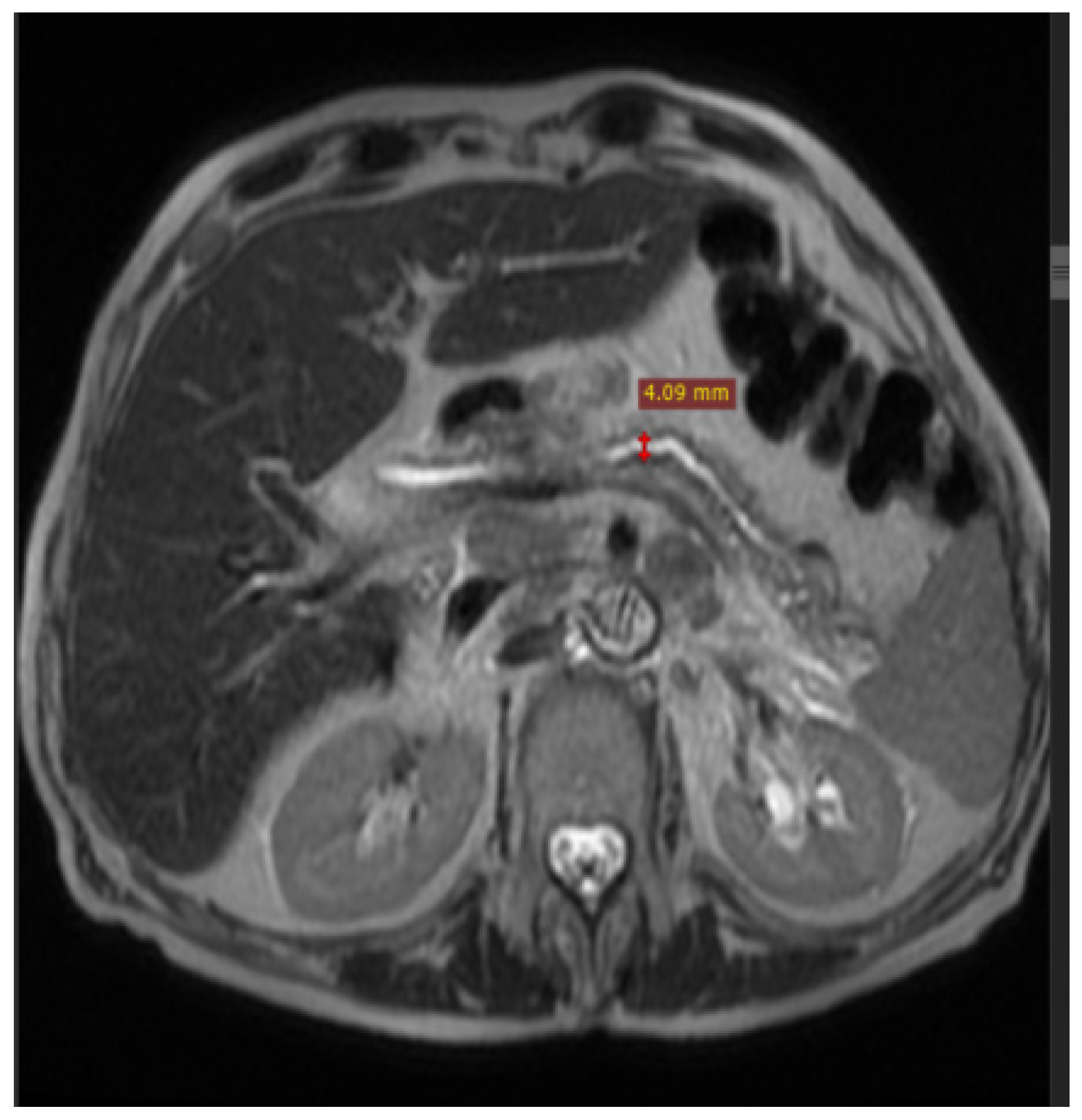
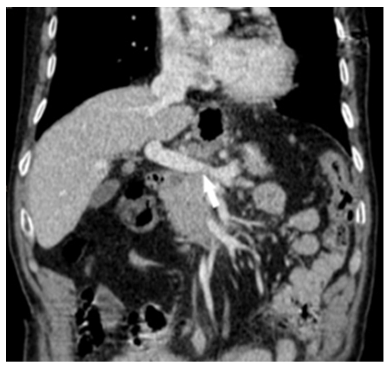
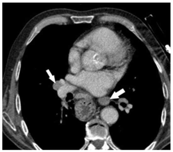
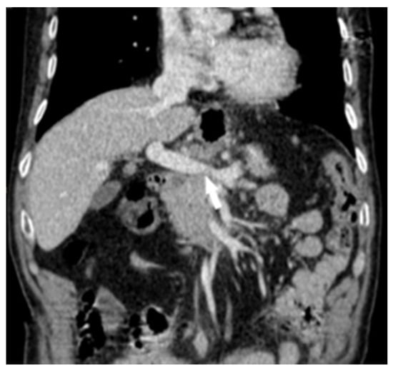
2. Case Report
Search Strategy
3. Discussions
4. Conclusions
Author Contributions
Funding
Institutional Review Board Statement
Informed Consent Statement
Data Availability Statement
Conflicts of Interest
References
- Shaheen, O.; Ghibour, A.; Alsaid, B. Esophageal Cancer Metastases to Unexpected Sites: A Systematic Review. Gastroenterol. Res. Prac. 2017, 2017, 1657310. [Google Scholar] [CrossRef] [PubMed]
- Okamoto, H.; Hara, Y.; Chin, M.; Hagiwara, M.; Onodera, Y.; Horii, S.; Shirahata, Y.; Kamei, T.; Hashizume, E.; Ohuchi, N. An extremely rare case of pancreatic metastasis of esophageal squamous cell carcinoma. World J. Gastroenterol. 2014, 20, 593–597. [Google Scholar] [CrossRef] [PubMed]
- Park, C.; Jang, J.Y.; Kim, Y.H.; Hwang, E.J.; Na, K.Y.; Kim, K.Y.; Park, J.H.; Chang, Y.W. A case of esophageal squamous cell carcinoma with pancreatic metastasis. Clin. Endosc. 2013, 46, 197–200. [Google Scholar] [CrossRef] [PubMed]
- Yoon, E.; Nassar, Y.; Tejada-Almonte, J.; Mansoor, M.S.; Umrau, K.; Hida, S. An Entirely Atypical Presentation of Esophageal Squamous Cell Cancer with Pancreatic and Bone Metastases. Case Rep. Gastroenterol. 2019, 13, 423–429. [Google Scholar] [CrossRef]
- Sawada, T.; Adachi, Y.; Noda, M.; Akino, K.; Kikuchi, T.; Mita, H.; Ishii, Y.; Endo, T. Hepatic portal venous gas in pancreatic solitary metastasis from an esophageal squamous cell carcinoma. Hepatobiliary Pancreat. Dis. Int. 2013, 12, 103–105. [Google Scholar] [CrossRef]
- Ahmadi Somaghian, S.; Mirzaei, S.; Aaliehpour, A.; Baharvand IranNia, Y. Solitary synchronous pancreatic metastasis from esophageal squamous cell carcinoma: A rare case report. Middle East. J. Cancer 2021, 12, 310–314. [Google Scholar] [CrossRef]
- Zhang, L.; Long, X.; Hu, Z.N.; Wu, Y.; Song, J.; Zhang, B.X.; Chen, W.X. An extremely atypical presentation of esophageal squamous cell carcinoma with pancreatic and hepatic metastases: A case report and overview of the literature. Medicine 2021, 100, e25785. [Google Scholar] [CrossRef]
- Koizumi, W.; Kitago, M.; Shinoda, M.; Yagi, H.; Abe, Y.; Oshima, G.; Hori, S.; Inomata, K.; Kawakubo, H.; Kawaida, M.; et al. Successful resection of pancreatic metastasis from oesophageal squamous cell carcinoma: A case report and review of the literature. BMC Cancer 2019, 19, 320. [Google Scholar] [CrossRef] [PubMed]
- Esfehani, M.H.; Mahmoodzadeh, H.; Alibakhshi, A.; Safavi, F. Esophageal squamous cell carcinoma with pancreatic metastasis: A case report. Acta Med. Iran. 2011, 49, 760–762. [Google Scholar]
- Denda, Y.; Matsuo, Y.; Nonoyama, K.; Murase, H.; Kato, T.; Hayashi, Y.; Imafuji, H.; Saito, K.; Morimoto, M.; Kato, H.; et al. Simultaneous presentation and resection of esophageal cancer and metastasis to the pancreas: A case report and literature review. Mol. Clin. Oncol. 2023, 20, 2. [Google Scholar] [CrossRef]
- Akiyama, H.; Miyazono, H.; Tsurumaru, M.; Hashimoto, C.; Kawamura, T. Use of the stomach as an esophageal substitute. Ann. Surg. 1978, 188, 606–610. [Google Scholar] [CrossRef] [PubMed]
- Pan, B.; Lee, Y.; Rodriguez, T.; Lee, J.; Saif, M.W. Secondary tumors of the pancreas: A case series. Anticancer Res. 2012, 32, 1449–1452. [Google Scholar] [PubMed]
- Yoon, W.J.; Ryu, J.K.; Kim, Y.T.; Yoon, Y.B.; Kim, S.W.; Kim, W.H. Clinical Features of Metastatic Tumors of the Pancreas in Korea: A SingleCenter Study. Gut Liver 2011, 5, 61–64. [Google Scholar] [CrossRef] [PubMed]
- Madkhali, A.A.; Shin, S.H.; Song, K.B.; Lee, J.H.; Hwang, D.W.; Park, K.M.; Lee, Y.J.; Kim, S.C. Pancreatectomy for a secondary metastasis to the pancreas: A single-institution experience. Medicine 2018, 97, e12653. [Google Scholar] [CrossRef] [PubMed]
- Dewanwala, A.; Kotowski, A.; Levea, C.M. Secondary tumors of the pancreas: Case report and a single-center experience. J. Gastrointest. Cancer 2012, 43 (Suppl. S1), 17–24. [Google Scholar] [CrossRef] [PubMed]
- Sperti, C.; Pozza, G.; Brazzale, A.R.; Buratin, A.; Moletta, L.; Beltrame, V.; Valmasoni, M. Metastatic tumors to the pancreas: A systematic review and meta-analysis. Minerva Chir. 2016, 71, 337–344. [Google Scholar]
- Geramizadeh, B.; Kashkooe, A.; Nikeghbalian, S.; Malek-Hosseini, S.A. Metastatic Tumors to the Pancreas, a Single Center Study. Arch. Iran. Med. 2019, 22, 50–52. [Google Scholar]
- Waters, L.; Si, Q.; Caraway, N.; Mody, D.; Staerkel, G.; Sneige, N. Secondary tumors of the pancreas diagnosed by endoscopic ultrasound-guided fine-needle aspiration: A 10-year experience. Diagn. Cytopathol. 2014, 42, 738–743. [Google Scholar] [CrossRef] [PubMed]
- Alomari, A.K.; Ustun, B.; Aslanian, H.R.; Ge, X.; Chhieng, D.; Cai, G. Endoscopic ultrasound-guided fine-needle aspiration diagnosis of secondary tumors involving the pancreas: An institution’s experience. Cytojournal 2016, 13, 1. [Google Scholar] [CrossRef]
- Hou, Y.; Shen, R.; Tonkovich, D.; Li, Z. Endoscopic ultrasound-guided fine-needle aspiration diagnosis of secondary tumors involving pancreas: An institution’s experience. J. Am. Soc. Cytopathol. 2018, 7, 261–267. [Google Scholar] [CrossRef]
- Endo, Y.; Noda, H.; Watanabe, F.; Kato, T.; Kakizawa, N.; Ichida, K.; Kasahara, N.; Rikiyama, T. A Retrospective Analysis of Preoperative Evaluation and Surgical Resection for Metastatic Tumors of the Pancreas. Indian. J. Surg. Oncol. 2019, 10, 251–257. [Google Scholar] [CrossRef] [PubMed]
- Sperti, C.; Moletta, L.; Patanè, G. Metastatic tumors to the pancreas: The role of surgery. World J. Gastrointest. Oncol. 2014, 6, 381–392. [Google Scholar] [CrossRef]
- Huang, Q.; Zhou, H.; Liu, C.; Jin, K.; Fan, K.; Cheng, H.; Fan, Z.; Yang, C.; Liu, L.; Long, J.; et al. Surgical Resection for Metastatic Tumors in the Pancreas: A Single-Center Experience and Systematic Review. Ann. Surg. Oncol. 2019, 26, 1649–1656. [Google Scholar] [CrossRef]
- Yagi, T.; Hashimoto, D.; Taki, K.; Yamamura, K.; Chikamoto, A.; Ohmuraya, M.; Beppu, T.; Baba, H. Surgery for metastatic tumors of the pancreas. Surg. Case Rep. 2017, 3, 31. [Google Scholar] [CrossRef] [PubMed]
- Sperti, C.; Merigliano, S.; Moletta, L. Metastatic pancreatic tumors: What is the optimal treatment? Minerva Chir. 2015, 70, 131–139. [Google Scholar] [PubMed]
- Adler, H.; Redmond, C.E.; Heneghan, H.M.; Swan, N.; Maguire, D.; Traynor, O.; Hoti, E.; Geoghegan, J.G.; Conlon, K.C. Pancreatectomy for metastatic disease: A systematic review. Eur. J. Surg. Oncol. 2014, 40, 379–386. [Google Scholar] [CrossRef] [PubMed]
- Redmond, C.E.; Adler, H.; Heneghan, H.M.; Kelly, R.; Swan, N.; Cantwell, C.P.; Maguire, D.; Traynor, O.; Hoti, E.; Geoghegan, J.G.; et al. Pancreatic metastasectomy: Experience of the Irish National Surgical Centre for Pancreatic Cancer. Ir. J. Med. Sci. 2014, 183, 677–680. [Google Scholar] [CrossRef] [PubMed]
- Lee, S.R.; Gemenetzis, G.; Cooper, M.; Javed, A.A.; Cameron, J.L.; Wolfgang, C.L.; Eckhauser, F.E.; He, J.; Weiss, M.J. Long-Term Outcomes of 98 Surgically Resected Metastatic Tumors in the Pancreas. Ann. Surg. Oncol. 2017, 24, 801–807. [Google Scholar] [CrossRef]
- Chikhladze, S.; Lederer, A.K.; Kühlbrey, C.M.; Hipp, J.; Sick, O.; Fichtner-Feigl, S.; Wittel, U.A. Curative-intent pancreas resection for pancreatic metastases: Surgical and oncological results. Clin. Exp. Metastasis 2020, 37, 313–324. [Google Scholar] [CrossRef]
- Pierzankowski, I.; Bednarczyk, M.; Dmitruk, A.; Hevelke, P.; Maj, T.; Saramak, P.; Surowski, P.; Szpakowski, M.; Zając, L.; Zyskowski, Ł.; et al. Metastatic tumors of pancreas—Whether and when surgical intervention is gainful for diseased people. Retrospective analysis of data from three surgery centers. Nowotw. J. Oncol. 2018, 68, 240–244. [Google Scholar] [CrossRef]
- Cheng, S.K.; Chuah, K.L. Metastatic Renal Cell Carcinoma to the Pancreas: A Review. Arch. Pathol. Lab. Med. 2016, 140, 598–602. [Google Scholar] [CrossRef]
- Machairas, N.; Paspala, A.; Schizas, D.; Ntomi, V.; Moris, D.; Tsilimigras, D.I.; Misiakos, E.P.; Machairas, A. Metastatic squamous cell carcinoma to the pancreas: Report of an extremely rare case. Mol. Clin. Oncol. 2019, 10, 144–146. [Google Scholar] [CrossRef]
- Abdul-Ghafar, J.; Ud Din, N.; Saadaat, R.; Ahmad, Z. Metastatic renal cell carcinoma to pancreas and gastrointestinal tract: A clinicopathological study of 3 cases and review of literature. BMC Urol. 2021, 21, 84. [Google Scholar] [CrossRef]
- Liang, X.K.; Li, L.J.; He, Y.M.; Xu, Z.F. Misdiagnosis of pancreatic metastasis from renal cell carcinoma: A case report. World J. Clin. Cases 2022, 10, 9012–9019. [Google Scholar] [CrossRef] [PubMed]
- Karageorgou, M.; Myoteri, D.; Kotsis, T.; Polymeneas, G.; Bournakis, E.; Dellaportas, D. Solitary Colorectal Cancer Metastasis to the Pancreas. Case Rep. Surg. 2019, 2019, 4891512. [Google Scholar] [CrossRef]
- Tani, R.; Hori, T.; Yamada, M.; Yamamoto, H.; Harada, H.; Yamamoto, M.; Yazawa, T.; Tani, M.; Kamada, Y.; Aoyama, R.; et al. Metachronous Pancreatic Metastasis from Rectal Cancer that Masqueraded as a Primary Pancreatic Cancer: A Rare and Difficult-to-Diagnose Metastatic Tumor in the Pancreas. Am. J. Case Rep. 2019, 20, 1781–1787. [Google Scholar] [CrossRef]
- Yoon, J.; Petrosyan, A.; Wang, T.; Ameer, A. Colonic adenocarcinoma with synchronous metastasis to the pancreas: A case report and literature review. JGH Open 2022, 6, 274–276. [Google Scholar] [CrossRef]
- Bartosch, C.; Afonso, M.; Pires-Luís, A.S.; Galaghar, A.; Guimarães, M.; Antunes, L.; Lopes, J.M. Distant Metastases in Uterine Leiomyosarcomas: The Wide Variety of Body Sites and Time Intervals to Metastatic Relapse. Int. J. Gynecol. Pathol. 2017, 36, 31–41. [Google Scholar] [CrossRef]
- Polimera, H.; Moku, P.; Abusharar, S.P.; Vasekar, M.; Chintanaboina, J. Metastasis of Ewing Sarcoma to the Pancreas: Case Report and Literature Review. Case Rep. Oncol. Med. 2020, 2020, 7075048. [Google Scholar] [CrossRef]
- Apodaca-Rueda, M.; Chaim, F.H.M.; Garcia, M.D.S.; Saito, H.P.A.; Gestic, M.A.; Utrini, M.P.; Callejas-Neto, F.; Chaim, E.A.; Cazzo, E. Solitary pancreatic metastasis from breast cancer: Case report and review of literature. Sao Paulo Med. J. 2019, 137, 201–205. [Google Scholar] [CrossRef]
- Jaén-Torrejimeno, I.; López-Guerra, D.; Rojas-Holguín, A.; De-Armas-Conde, N.; Blanco-Fernández, G. Resection of isolated pancreatic metastases from pulmonary neoplasia: A systematic review. Updates Surg. 2022, 74, 1817–1825. [Google Scholar] [CrossRef] [PubMed]
- Sellner, F.; Thalhammer, S.; Klimpfinger, M. Tumour Evolution and Seed and Soil Mechanism in Pancreatic Metastases of Renal Cell Carcinoma. Cancers 2021, 13, 1342. [Google Scholar] [CrossRef] [PubMed]
- Sellner, F.; Thalhammer, S.; Klimpfinger, M. Isolated Pancreatic Metastases of Renal Cell Carcinoma—Clinical Particularities and Seed and Soil Hypothesis. Cancers 2023, 15, 339. [Google Scholar] [CrossRef]
- Hedenström, P.; Demir, A.; Khodakaram, K.; Nilsson, O.; Sadik, R. EUS-guided reverse bevel fine-needle biopsy sampling and open tip fine-needle aspiration in solid pancreatic lesions—A prospective, comparative study. Scand. J. Gastroenterol. 2018, 53, 231–237. [Google Scholar] [CrossRef] [PubMed]
- Qiu, X.; Meng, Y.; Lu, M.; Tian, C.; Wang, M.; Zhang, J. Primary squamous cell carcinoma of the pancreas with a large pseudocyst of the pancreas as the first manifestation: A rare case report and literature review. BMC Gastroenterol. 2021, 21, 208. [Google Scholar] [CrossRef]
- Zhang, G.; Cheng, Z.Z.; Xu, G.H.; Jiang, X.; Wang, X.X.; Wang, Q.F. Primary squamous cell carcinoma of the pancreas with effective comprehensive treatment: A case report and literature review. Medicine 2018, 97, e12253. [Google Scholar] [CrossRef] [PubMed]
- Cancer of the Exocrine Pancreas, Ampulla of Vater and Distal Common Bile Duct Structured Reporting Protocol, 2nd ed.; Incorporating the: International Collaboration on Cancer Reporting (ICCR) Carcinoma of the Exocrine Pancreas Dataset; RCPA: Surry Hills, NSW, Australia, 2020; ISBN 978-1-76081-426-7. Available online: www.ICCR-Cancer.org (accessed on 18 April 2022).
- Singla, N.; Xie, Z.; Zhang, Z.; Gao, M.; Yousuf, Q.; Onabolu, O.; McKenzie, T.; Tcheuyap, V.T.; Ma, Y.; Choi, J.; et al. Pancreatic tropism of metastatic renal cell carcinoma. JCI Insight 2020, 5, e134564. [Google Scholar] [CrossRef] [PubMed]
- Gu, A.; Li, J.; Qiu, S.; Hao, S.; Yue, Z.Y.; Zhai, S.; Li, M.Y.; Liu, Y. Pancreatic cancer environment: From patient-derived models to single-cell omics. Mol. Omics 2024, 20, 220–233. [Google Scholar] [CrossRef] [PubMed]
- Ma, Y.; Yang, J.; Qin, K.; Zhou, Y.; Ying, X.; Yuan, F.; Shi, M.; Jin, J.; Wang, D.; Gu, J.; et al. Resection of pancreatic metastatic renal cell carcinoma: Experience and long-term survival outcome from a large center in China. Int. J. Clin. Oncol. 2019, 24, 686–693. [Google Scholar] [CrossRef]
- Letaief Ksontini, F.; Khrouf, S.; Kacem, S.; Haddad, A.; Magherbi, H.; Chaker, Y.; Ayadi, M.; Ben Safta, Z. Pancreatic Metastasis of Renal Cell Carcinoma. A Surgical Indication for a Disseminated Disease. Case Rep. Med. 2021, 2021, 5579385. [Google Scholar] [CrossRef]
- Boussios, S.; Zerdes, I.; Batsi, O.; Papakostas, V.P.; Seraj, E.; Pentheroudakis, G.; Glantzounis, G.K. Pancreatic resection for renal cell carcinoma metastasis: An exceptionally rare coexistence. Int. J. Surg. Case Rep. 2016, 27, 198–201. [Google Scholar] [CrossRef] [PubMed][Green Version]
- Jaen-Torrejimeno, I.; Rojas-Holguín, A.; López-Guerra, D.; Ramia, J.M.; Blanco-Fernández, G. Pancreatic resection for metastatic renal cell carcinoma. A systematic review. HPB 2020, 22, 479–486. [Google Scholar] [CrossRef] [PubMed]
- Mikhail, M.; Chua, K.J.; Khizir, L.; Tabakin, A.; Singer, E.A. Role of metastasectomy in the management of renal cell carcinoma. Front. Surg. 2022, 9, 943604. [Google Scholar] [CrossRef] [PubMed]
- Anderson, B.; Williams, G.A.; Sanford, D.E.; Liu, J.; Dageforde, L.A.; Hammill, C.W.; Fields, R.C.; Hawkins, W.G.; Strasberg, S.M.; Doyle, M.B.; et al. A 22-year Experience with Pancreatic Resection for Metastatic Renal Cell Carcinoma. HPB 2020, 22, 312–317. [Google Scholar] [CrossRef]






| Nr | Authors (Year of Publication) | Age (Years) | Sex | Therapy of ESCC | Interval between ESCC and Pancreatic Metastasis (Months) | Surgery of Pancreatic Metastasis | Follow-Up (Months) | Localization of Pancreatic Metastasis |
|---|---|---|---|---|---|---|---|---|
| 1 | Esfehani et al. (2011) [9] | 59 | F | S + AT | 48 | DP | 4 | body-tail |
| 2 | Park et al. (2013) [3] | 58 | M | S + AT | Synchronous | DP | 6 | tail |
| 3 | Sawada et al. (2013) [5] | 73 | M | No | Synchronous | No | 3 | body |
| 4 | Okamoto et al. (2014) [2] | 68 | M | NAT + S | 24 | DP | 9 | body |
| 5 | Koizumi et al. (2019) [8] | 81 | F | S | 132 | DP | 24 | tail |
| 6 | Yoon et al. (2019) [4] | 67 | M | AT | Synchronous | No | head | |
| 7 | Ahmadi Somaghian et al. (2021) [6] | 78 | F | AT | Synchronous | No | 9 | body-head |
| 8 | Zang et al. (2021) [7] | 67 | M | AT | Synchronous | No | 1 | body-tail |
| 9 | Denda et al. (2023) [10] | 54 | M | S + AT | Synchronous | DP | 9 | tail |
| 10 | Present case (2024) | 75 | M | S | 67 | No | 7 | body-head |
Disclaimer/Publisher’s Note: The statements, opinions and data contained in all publications are solely those of the individual author(s) and contributor(s) and not of MDPI and/or the editor(s). MDPI and/or the editor(s) disclaim responsibility for any injury to people or property resulting from any ideas, methods, instructions or products referred to in the content. |
© 2024 by the authors. Licensee MDPI, Basel, Switzerland. This article is an open access article distributed under the terms and conditions of the Creative Commons Attribution (CC BY) license (https://creativecommons.org/licenses/by/4.0/).
Share and Cite
Bara, T., Jr.; Scurtu, A.G.; Bara, T.; Fulop, Z.Z.; Moriczi, R.; Simu, P.; Borz, P.; Gurzu, S. Pancreatic Metastases of Esophageal Squamous Cell Carcinoma: A Case Report and Review of the Literature. Diagnostics 2024, 14, 2164. https://doi.org/10.3390/diagnostics14192164
Bara T Jr., Scurtu AG, Bara T, Fulop ZZ, Moriczi R, Simu P, Borz P, Gurzu S. Pancreatic Metastases of Esophageal Squamous Cell Carcinoma: A Case Report and Review of the Literature. Diagnostics. 2024; 14(19):2164. https://doi.org/10.3390/diagnostics14192164
Chicago/Turabian StyleBara, Tivadar, Jr., Alexandra Georgiana Scurtu, Tivadar Bara, Zsolt Zoltan Fulop, Renata Moriczi, Patricia Simu, Paul Borz, and Simona Gurzu. 2024. "Pancreatic Metastases of Esophageal Squamous Cell Carcinoma: A Case Report and Review of the Literature" Diagnostics 14, no. 19: 2164. https://doi.org/10.3390/diagnostics14192164
APA StyleBara, T., Jr., Scurtu, A. G., Bara, T., Fulop, Z. Z., Moriczi, R., Simu, P., Borz, P., & Gurzu, S. (2024). Pancreatic Metastases of Esophageal Squamous Cell Carcinoma: A Case Report and Review of the Literature. Diagnostics, 14(19), 2164. https://doi.org/10.3390/diagnostics14192164

