[131I]6ß-Iodomethyl-19-norcholesterol SPECT/CT for the Lateralization of Mineralocorticoid Overproduction in Primary Aldosteronism
Abstract
1. Introduction
2. Materials and Methods
2.1. Study Participants
2.2. Patient Preparation
2.3. Acquisition Protocol
2.4. Image Processing
2.5. Outcome Measures
2.6. Statistical Analysis
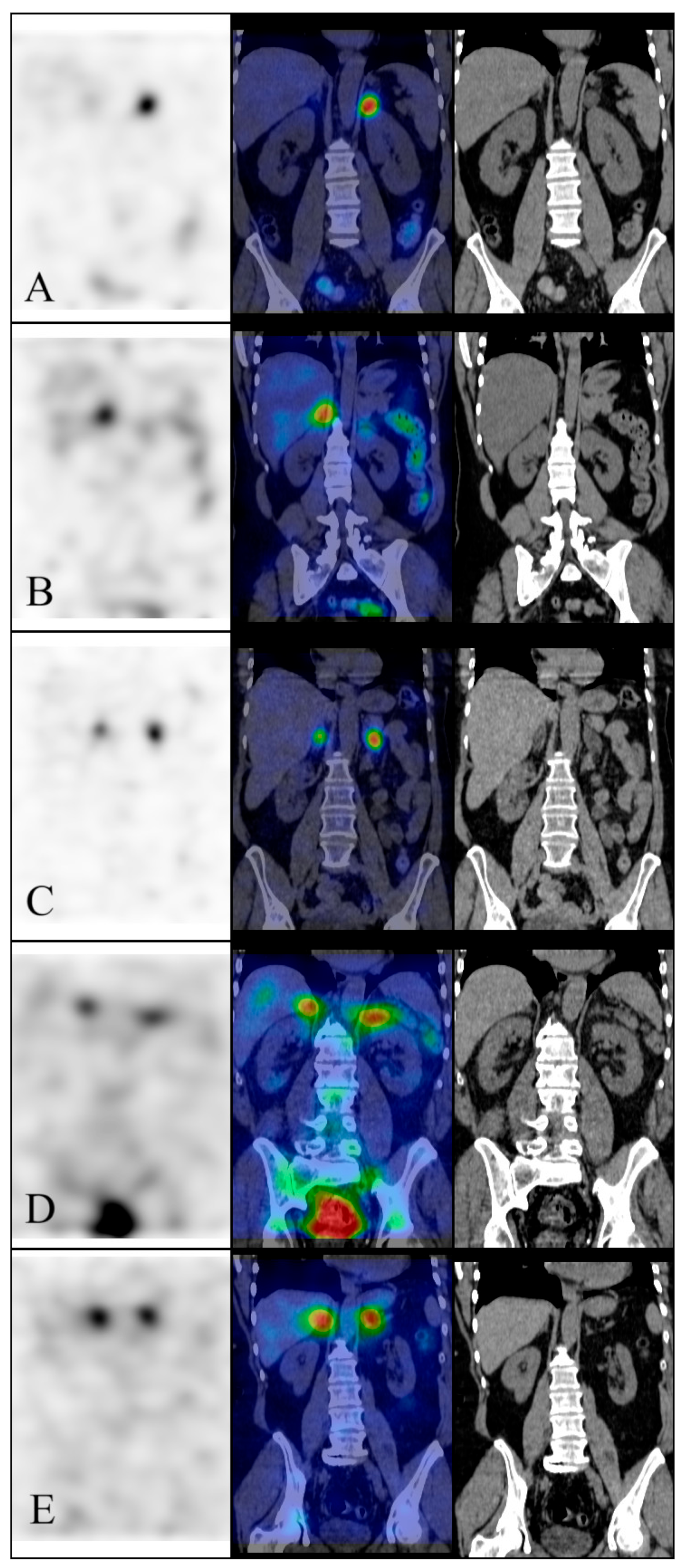
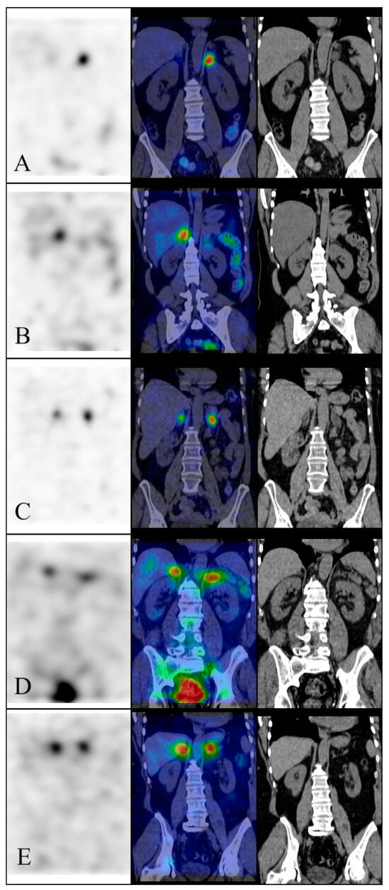
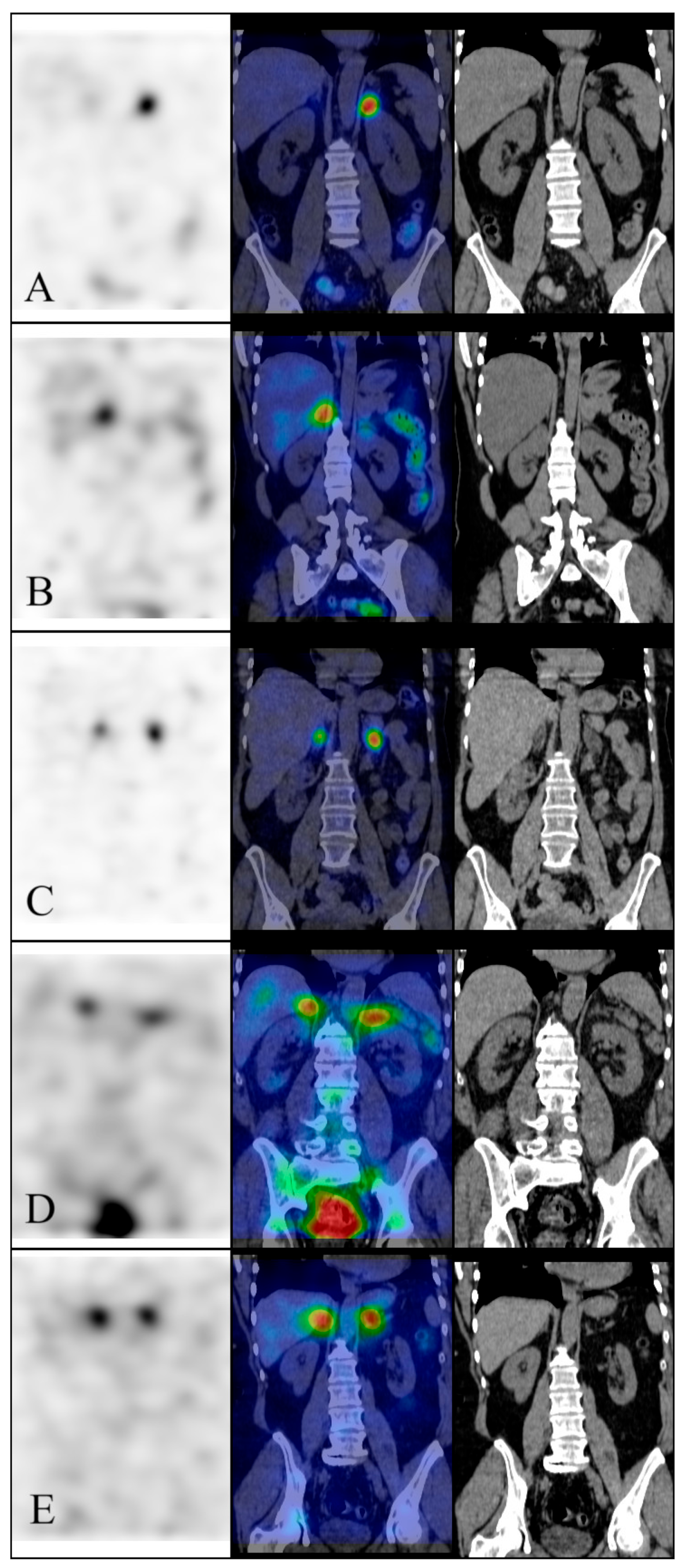
3. Results
4. Discussion
Author Contributions
Funding
Institutional Review Board Statement
Informed Consent Statement
Data Availability Statement
Acknowledgments
Conflicts of Interest
References
- Brown, J.M.; Siddiqui, M.; Calhoun, D.A.; Carey, R.M.; Hopkins, P.N.; Williams, G.H.; Vaidya, A. The Unrecognized Prevalence of Primary Aldosteronism: A Cross-sectional Study. Ann. Intern. Med. 2020, 173, 10–20. [Google Scholar] [CrossRef] [PubMed]
- Milliez, P.; Girerd, X.; Plouin, P.-F.; Blacher, J.; Safar, M.E.; Mourad, J.-J. Evidence for an increased rate of cardiovascular events in patients with primary aldosteronism. J. Am. Coll. Cardiol. 2005, 45, 1243–1248. [Google Scholar] [CrossRef] [PubMed]
- Vaidya, A.; Carey, R.M. Evolution of the Primary Aldosteronism Syndrome: Updating the Approach. J. Clin. Endocrinol. Metab. 2020, 105, 3771–3783. [Google Scholar] [CrossRef] [PubMed]
- Turcu, A.F.; Auchus, R. Approach to the Patient with Primary Aldosteronism: Utility and Limitations of Adrenal Vein Sampling. J. Clin. Endocrinol. Metab. 2021, 106, 1195–1208. [Google Scholar] [CrossRef] [PubMed]
- Young, W.F.; Stanson, A.W.; Thompson, G.B.; Grant, C.S.; Farley, D.R.; van Heerden, J.A. Role for adrenal venous sampling in primary aldosteronism. Surgery 2004, 136, 1227–1235. [Google Scholar] [CrossRef]
- Nwariaku, F.E.; Miller, B.S.; Auchus, R.; Holt, S.; Watumull, L.; Dolmatch, B.; Snyder, W.H.; Livingston, E.; Wians, F.; Victor, R.; et al. Primary hyperaldosteronism: Effect of adrenal vein sampling on surgical outcome. Arch. Surg. 2006, 141, 497–502; discussion 502–503. [Google Scholar] [CrossRef]
- Lim, V.; Guo, Q.; Grant, C.S.; Thompson, G.B.; Richards, M.L.; Farley, D.R.; Young, W.F. Accuracy of adrenal imaging and adrenal venous sampling in predicting surgical cure of primary aldosteronism. J. Clin. Endocrinol. Metab. 2014, 99, 2712–2719. [Google Scholar] [CrossRef]
- Funder, J.W.; Carey, R.M.; Mantero, F.; Murad, M.H.; Reincke, M.; Shibata, H.; Stowasser, M.; Young, W.F. The Management of Primary Aldosteronism: Case Detection, Diagnosis, and Treatment: An Endocrine Society Clinical Practice Guideline. J. Clin. Endocrinol. Metab. 2016, 101, 1889–1916. [Google Scholar] [CrossRef]
- Mulatero, P.; Monticone, S.; Deinum, J.; Amar, L.; Prejbisz, A.; Zennaro, M.-C.; Beuschlein, F.; Rossi, G.P.; Nishikawa, T.; Morganti, A.; et al. Genetics, prevalence, screening and confirmation of primary aldosteronism: A position statement and consensus of the Working Group on Endocrine Hypertension of The European Society of Hypertension. J. Hypertens. 2020, 38, 1919–1928. [Google Scholar] [CrossRef]
- Jakobsson, H.; Farmaki, K.; Sakinis, A.; Ehn, O.; Johannsson, G.; Ragnarsson, O. Adrenal venous sampling: The learning curve of a single interventionalist with 282 consecutive procedures. Diagn. Interv. Radiol. 2018, 24, 89–93. [Google Scholar] [CrossRef]
- Rossi, G.P.; Rossitto, G.; Amar, L.; Azizi, M.; Riester, A.; Reincke, M.; Pessina, A.C.; Kratka, Z.; Wu, V.-C.; Wu, K.D.; et al. Clinical Outcomes of 1625 Patients With Primary Aldosteronism Subtyped With Adrenal Vein Sampling. Hypertension 2019, 74, 800–808. [Google Scholar] [CrossRef] [PubMed]
- Sarkar, S.D.; Beierwaltes, H.; Ice, R.D.; Basmadjian, G.P.; Hetzel, K.R.; Kennedy, W.P.; Mason, M.M. A new and superior adrenal scanning agent, NP-59. J. Nucl. Med. 1975, 16, 1038–1042. [Google Scholar]
- Williams, T.A.; Lenders, J.W.M.; Mulatero, P.; Burrello, J.; Rottenkolber, M.; Adolf, C.; Satoh, F.; Amar, L.; Quinkler, M.; Deinum, J.; et al. Outcomes after adrenalectomy for unilateral primary aldosteronism: An international consensus on outcome measures and analysis of remission rates in an international cohort. Lancet Diabetes Endocrinol. 2017, 5, 689–699. [Google Scholar] [CrossRef] [PubMed]
- Ruhle, B.C.; White, M.G.; Alsafran, S.; Kaplan, E.L.; Angelos, P.; Grogan, R.H. Keeping primary aldosteronism in mind: Deficiencies in screening at-risk hypertensives. Surgery 2019, 165, 221–227. [Google Scholar] [CrossRef] [PubMed]
- Reincke, M.; Bancos, I.; Mulatero, P.; Scholl, U.I.; Stowasser, M.; Williams, T.A. Diagnosis and treatment of primary aldosteronism. Lancet Diabetes Endocrinol. 2021, 9, 876–892. [Google Scholar] [CrossRef]
- Hundemer, G.L.; Vaidya, A. Primary Aldosteronism Diagnosis and Management: A Clinical Approach. Endocrinol. Metab. Clin. N. Am. 2019, 48, 681–700. [Google Scholar] [CrossRef]
- Wong, K.K.; Komissarova, M.; Avram, A.M.; Fig, L.M.; Gross, M.D. Adrenal Cortical Imaging With I-131 NP-59 SPECT-CT. Clin. Nucl. Med. 2010, 35, 865–869. [Google Scholar] [CrossRef]
- Burton, T.J.; Mackenzie, I.S.; Balan, K.; Koo, B.; Bird, N.; Soloviev, D.V.; Azizan, E.A.B.; Aigbirhio, F.; Gurnell, M.; Brown, M.J. Evaluation of the Sensitivity and Specificity of 11 C-Metomidate Positron Emission Tomography (PET)-CT for Lateralizing Aldosterone Secretion by Conn’s Adenomas. J. Clin. Endocrinol. Metab. 2012, 97, 100–109. [Google Scholar] [CrossRef]
- Heinze, B.; Fuss, C.T.; Mulatero, P.; Beuschlein, F.; Reincke, M.; Mustafa, M.; Schirbel, A.; Deutschbein, T.; Williams, T.A.; Rhayem, Y.; et al. Targeting CXCR4 (CXC Chemokine Receptor Type 4) for Molecular Imaging of Aldosterone-Producing Adenoma. Hypertension 2018, 71, 317–325. [Google Scholar] [CrossRef]
- Wu, X.; Senanayake, R.; Goodchild, E.; Bashari, W.A.; Salsbury, J.; Cabrera, C.P.; Argentesi, G.; O’toole, S.M.; Matson, M.; Koo, B.; et al. [11C]metomidate PET-CT versus adrenal vein sampling for diagnosing surgically curable primary aldosteronism: A prospective, within-patient trial. Nat. Med. 2023, 29, 190–202. [Google Scholar] [CrossRef]
- Wu, M.-H.; Liu, F.-H.; Lin, K.-J.; Sun, J.-H.; Chen, S.-T. Diagnostic value of adrenal iodine-131 6-beta-iodomethyl-19-norcholesterol scintigraphy for primary aldosteronism. Nucl. Med. Commun. 2019, 40, 568–575. [Google Scholar] [CrossRef] [PubMed]
- Saiga, A.; Yokota, H.; Nagano, H.; Sawada, K.; Kubota, Y.; Wada, T.; Uno, T.; Tomoaki, T.; Takuro, H. 131I-6β-iodomethyl-19-norcholesterol adrenal scintigraphy as an alternative to adrenal venous sampling n differentiating aldosterone-producing adenoma from bilateral idiopathic hyperaldosteronism. Nucl. Med. Commun. 2020, 41, 1226–1233. [Google Scholar] [CrossRef] [PubMed]
- Nanba, A.T.; Nanba, K.; Byrd, J.B.; Shields, J.J.; Giordano, T.J.; Miller, B.S.; Rainey, W.E.; Auchus, R.J.; Turcu, A.F. Discordance between imaging and immunohistochemistry in unilateral primary aldosteronism. Clin. Endocrinol. 2017, 87, 665–672. [Google Scholar] [CrossRef] [PubMed]
- Yen, R.-F.; Wu, V.-C.; Liu, K.-L.; Cheng, M.F.; Wu, Y.W.; Chueh, S.C.; TAIPAI Study Group; Lu, C.-C.; Tzen, K.-Y.; Wu, K.-D.; et al. 131I-6beta-iodomethyl-19-norcholesterol SPECT/CT for primary aldosteronism patients with inconclusive adrenal venous sampling and CT results. J. Nucl. Med. 2009, 50, 1631–1637. [Google Scholar] [CrossRef]
- Goh, B.K.P.; Tan, Y.-H.; Chang, K.T.E.; Eng, P.H.K.; Yip, S.K.H.; Cheng, C.W.S. Primary Hyperaldosteronism Secondary to Unilateral Adrenal Hyperplasia: An Unusual Cause of Surgically Correctable Hypertension. A review of 30 cases. World J. Surg. 2007, 31, 72–79. [Google Scholar] [CrossRef]
- Rossi, G.P.; Auchus, R.J.; Brown, M.; Lenders, J.W.; Naruse, M.; Plouin, P.F.; Satoh, F.; Young, W.F. An Expert Consensus Statement on Use of Adrenal Vein Sampling for the Subtyping of Primary Aldosteronism. Hypertension 2014, 63, 151–160. [Google Scholar] [CrossRef]
- Young, W.F. Diagnosis and treatment of primary aldosteronism: Practical clinical perspectives. J. Intern. Med. 2019, 285, 126–148. [Google Scholar] [CrossRef]
- Nishimoto, K.; Tomlins, S.A.; Kuick, R.; Cani, A.K.; Giordano, T.J.; Hovelson, D.H.; Liu, C.-J.; Sanjanwala, A.R.; Edwards, M.A.; Gomez-Sanchez, C.E.; et al. Aldosterone-stimulating somatic gene mutations are common in normal adrenal glands. Proc. Natl. Acad. Sci. USA 2015, 112. [Google Scholar] [CrossRef]
- Seabold, J.E.; Cohen, E.L.; Beierwaltes, W.H.; Hinerman, D.L.; Nishiyama, R.H.; Bookstein, J.J.; Ice, R.D.; Balachandran, S. Adrenal Imaging with 131 I-19-Iodocholesterol in the Diagnostic Evaluation of Patients with Aldosteronism. J. Clin. Endocrinol. Metab. 1976, 42, 41–51. [Google Scholar] [CrossRef]
- Arlt, W.; Lang, K.; Sitch, A.J.; Dietz, A.S.; Rhayem, Y.; Bancos, I.; Feuchtinger, A.; Chortis, V.; Gilligan, L.C.; Ludwig, P.; et al. Steroid metabolome analysis reveals prevalent glucocorticoid excess in primary aldosteronism. JCI Insight 2017, 2, e93136. [Google Scholar] [CrossRef]
- Fuss, C.T.; Treitl, M.; Rayes, N.; Podrabsky, P.; Fenske, W.K.; A Heinrich, D.; Reincke, M.; Petersen, T.-O.; Fassnacht, M.; Quinkler, M.; et al. Radiation exposure of adrenal vein sampling: A German Multicenter Study. Eur. J. Endocrinol. 2018, 179, 261–267. [Google Scholar] [CrossRef] [PubMed]


Disclaimer/Publisher’s Note: The statements, opinions and data contained in all publications are solely those of the individual author(s) and contributor(s) and not of MDPI and/or the editor(s). MDPI and/or the editor(s) disclaim responsibility for any injury to people or property resulting from any ideas, methods, instructions or products referred to in the content. |
© 2024 by the authors. Licensee MDPI, Basel, Switzerland. This article is an open access article distributed under the terms and conditions of the Creative Commons Attribution (CC BY) license (https://creativecommons.org/licenses/by/4.0/).
Share and Cite
Barna, S.; Sira, L.; Bhattoa, H.P.; Toth, L.; Czine, Z.; Szoboszlay, L.; Nagy, E.B.; Kepes, Z.; Garai, I.; Bodor, M.; et al. [131I]6ß-Iodomethyl-19-norcholesterol SPECT/CT for the Lateralization of Mineralocorticoid Overproduction in Primary Aldosteronism. Diagnostics 2024, 14, 1997. https://doi.org/10.3390/diagnostics14171997
Barna S, Sira L, Bhattoa HP, Toth L, Czine Z, Szoboszlay L, Nagy EB, Kepes Z, Garai I, Bodor M, et al. [131I]6ß-Iodomethyl-19-norcholesterol SPECT/CT for the Lateralization of Mineralocorticoid Overproduction in Primary Aldosteronism. Diagnostics. 2024; 14(17):1997. https://doi.org/10.3390/diagnostics14171997
Chicago/Turabian StyleBarna, Sandor, Livia Sira, Harjit Pal Bhattoa, Laszlo Toth, Zsigmond Czine, Lilla Szoboszlay, Edit B. Nagy, Zita Kepes, Ildiko Garai, Miklos Bodor, and et al. 2024. "[131I]6ß-Iodomethyl-19-norcholesterol SPECT/CT for the Lateralization of Mineralocorticoid Overproduction in Primary Aldosteronism" Diagnostics 14, no. 17: 1997. https://doi.org/10.3390/diagnostics14171997
APA StyleBarna, S., Sira, L., Bhattoa, H. P., Toth, L., Czine, Z., Szoboszlay, L., Nagy, E. B., Kepes, Z., Garai, I., Bodor, M., Varga, J., & Nagy, E. V. (2024). [131I]6ß-Iodomethyl-19-norcholesterol SPECT/CT for the Lateralization of Mineralocorticoid Overproduction in Primary Aldosteronism. Diagnostics, 14(17), 1997. https://doi.org/10.3390/diagnostics14171997

