The Diagnosis of Wilkie’s Syndrome Associated with Nutcracker Syndrome: A Case Report and Literature Review
Abstract
1. Introduction
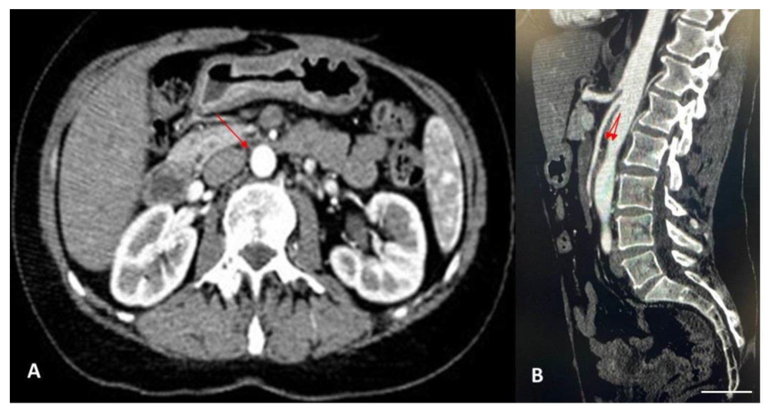
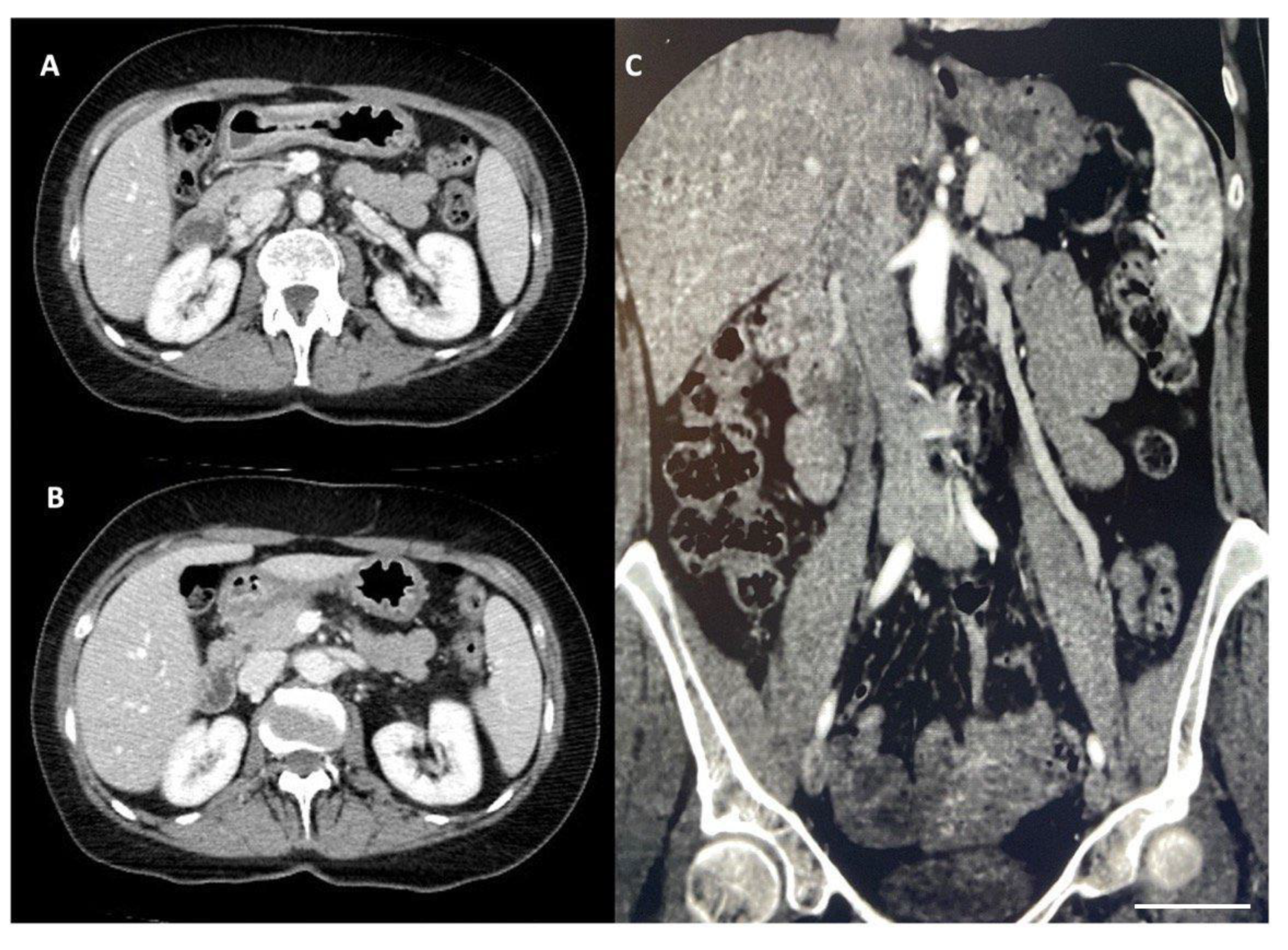
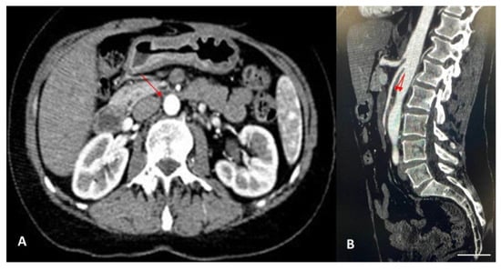
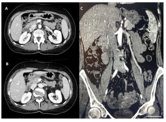
2. Case Report
3. Discussion
4. Conclusions
Author Contributions
Funding
Institutional Review Board Statement
Informed Consent Statement
Data Availability Statement
Acknowledgments
Conflicts of Interest
References
- Claro, M.; Sousa, D.; Abreu da Silva, A.; Grilo, J.; Martins, J.A. Wilkie’s Syndrome: An Unexpected Finding. Cureus 2021, 13, e20413. [Google Scholar] [CrossRef] [PubMed]
- Oka, A.; Awoniyi, M.; Hasegawa, N.; Yoshida, Y.; Tobita, H.; Ishimura, N.; Ishihara, S. Superior mesenteric artery syndrome: Diagnosis and management. World J. Clin. Cases 2023, 11, 3369–3384. [Google Scholar] [CrossRef]
- Unal, B.; Aktaş, A.; Kemal, G.; Bilgili, Y.; Güliter, S.; Daphan, C.; Aydinuraz, K. Superior mesenteric artery syndrome: CT and ultrasonography findings. Diagn. Interv. Radiol. 2005, 11, 90–95. [Google Scholar] [PubMed]
- Kaur, R.; Airey, D. Nutcracker syndrome: A case report and review of the literature. Front. Surg. 2022, 9, 984500. [Google Scholar] [CrossRef]
- Ananthan, K.; Onida, S.; Davies, A.H. Nutcracker Syndrome: An Update on Current Diagnostic Criteria and Management Guidelines. Eur. J. Vasc. Endovasc. Surg. 2017, 53, 886–894. [Google Scholar] [CrossRef]
- Kurklinsky, A.K.; Rooke, T.W. Nutcracker phenomenon and Nutcracker syndrome. Mayo Clin. Proc. 2010, 85, 552–559. [Google Scholar] [CrossRef]
- Gulleroglu, K.; Gulleroglu, B.; Baskin, E. Nutcracker syndrome. World J. Nephrol. 2014, 3, 277–281. [Google Scholar] [CrossRef]
- de Macedo, G.L.; Dos Santos, M.A.; Sarris, A.B.; Gomes, R.Z. Diagnosis and treatment of the Nutcracker syndrome: A review of the last 10 years. J. Vasc. Bras. 2018, 17, 220–228. [Google Scholar] [PubMed]
- Barsoum, M.K.; Shepherd, R.F.; Welch, T.J. Patient with both Wilkie syndrome and Nutcracker syndrome. Vasc. Med. 2008, 13, 247–250. [Google Scholar] [CrossRef]
- Vulliamy, P.; Hariharan, V.; Gutmann, J.; Mukherjee, D. Superior mesenteric artery syndrome and the ‘Nutcracker phenomenon’. BMJ Case Rep. 2013, 2013, bcr2013008734. [Google Scholar] [CrossRef]
- Inal, M.; Unal Daphan, B.; Karadeniz Bilgili, M.Y. Superior mesenteric artery syndrome accompanying with Nutcracker syndrome: A case report. Iran. Red. Crescent Med. J. 2014, 16, e14755. [Google Scholar] [CrossRef] [PubMed]
- Alenezy, A.; Obaid, A.D.; Qattan, A.A.; Hamad, A. Superior mesenteric artery syndrome and Nutcracker phenomenon. Saudi J. Med. Med. Sci. 2014, 2, 223–225. [Google Scholar]
- Nunn, R.; Henry, J.; Slesser, A.A.P.; Fernando, R.; Behar, N. A model example: Coexisting superior mesenteric artery syndrome and the Nutcracker phenomenon. Case Rep. Surg. 2015, 2015, 649469. [Google Scholar] [CrossRef] [PubMed][Green Version]
- Iqbal, S.; Siddique, K.; Saeed, U.; Khan, Z.; Ahmad, S. Nutcracker Phenomenon With Wilkie’s Syndrome in a Patient With Rectal Cancer. J. Med. Cases 2016, 7, 282–285. [Google Scholar] [CrossRef]
- Heidbreder, R. Co-occurring superior mesenteric artery syndrome and Nutcracker syndrome requiring Roux-en-Y duodenojejunostomy and left renal vein transposition: A case report and review of the literature. J. Med. Case Rep. 2018, 12, 214. [Google Scholar] [CrossRef] [PubMed]
- Al-Zoubi, N.A. Nutcracker Syndrome Accompanying With Superior Mesenteric Artery Syndrome: A Case Report. Clin. Med. Insights Case Rep. 2019, 12, 1179547619855383. [Google Scholar] [CrossRef]
- Shi, Y.; Shi, G.; Li, Z.; Chen, Y.; Tang, S.; Huang, W. Superior mesenteric artery syndrome coexists with Nutcracker syndrome in a female: A case report. BMC Gastroenterol. 2019, 19, 15. [Google Scholar] [CrossRef]
- Diab, S.; Hayek, F. Combined Superior Mesenteric Artery Syndrome and Nutcracker Syndrome in a Young Patient: A Case Report and Review of the Literature. Am. J. Case Rep. 2020, 21, e922619. [Google Scholar] [CrossRef]
- Lin, T.H.; Lin, C.C.; Tsai, J.D. Superior mesenteric artery syndrome and Nutcracker syndrome. Pediatr. Neonatol. 2020, 61, 351–352. [Google Scholar] [CrossRef]
- Farina, R.; Iannace, F.A.; Foti, P.V.; Conti, A.; Inì, C.; Libra, F.; Fanzone, L.; Coronella, M.E.; Santonocito, S.; Basile, A. A Case of Nutcracker Syndrome Combined with Wilkie Syndrome with Unusual Clinical Presentation. Am. J. Case Rep. 2020, 21, e922715. [Google Scholar] [CrossRef]
- Wang, C.; Wang, F.; Zhao, B.; Xu, L.; Liu, B.; Guo, Q.; Yang, X.; Wang, R. Coexisting Nutcracker phenomenon and superior mesenteric artery syndrome in a patient with IgA nephropathy: A case report. Medicine 2021, 100, e26611. [Google Scholar] [CrossRef] [PubMed]
- Suárez-Correa, J.; Rivera-Martínez, W.A.; González-Solarte, K.D.; Guzmán-Valencia, C.F.; Zuluaga-Zuluaga, M.V.S.; Juan, C. Nutcracker Syndrome Combined with Wilkie Syndrome: Case Report. Rev. Colomb. Gastroenterol. 2022, 37, 306–310. [Google Scholar]
- Laskowski, T.; Tihonov, N.; Richard, M.; Katz, D.; d’Audiffret, A.; Lim, S. Concurrent Nutcracker syndrome and superior mesenteric artery syndrome requiring duodenojejunal bypass and left renal vein transposition. Ann. Vasc. Surg. Brief Rep. Innov. 2022, 2, 100099. [Google Scholar] [CrossRef]
- Khan, H.; Al-Jabbari, E.; Shroff, N.; Barghash, M.; Shestopalov, A.; Bhargava, P. Coexistence of superior mesenteric artery syndrome and Nutcracker phenomenon. Radiol. Case Rep. 2022, 17, 1927–1930. [Google Scholar] [CrossRef] [PubMed]
- Ober, M.C.; Lazăr, F.L.; Achim, A.; Tirinescu, D.C.; Leibundgut, G.; Homorodean, C.; Olinic, M.; Onea, H.L.; Spînu, M.; Tătaru, D.; et al. Interventional Management of a Rare Combination of Nutcracker and Wilkie Syndromes. J. Pers. Med. 2022, 12, 1461. [Google Scholar] [CrossRef]
- Güngörer, V.; Öztürk, M.; Arslan, Ş. A rare cause of recurrent abdominal pain; the coexistence of Wilkie’s syndrome and Nutcracker syndrome. Arch. Argent. Pediatr. 2023, 121, e202102373. [Google Scholar]
- Castro, B.N.; Ferreira, A.R.; Graça, S.; Oliveira, M. Combined superior mesenteric artery syndrome and nutcraker syndrome presenting as acute pancreatitis: A case report. J. Vasc. Bras. 2023, 22, e20220161. [Google Scholar] [CrossRef]
- Pacheco, T.B.S.; Chacon, A.C.M.; Brite, J.; Sohail, A.H.; Gangwani, M.K.; Malgor, R.D.; Levine, J.; do Amaral Gurgel, G. Nutcracker phenomenon secondary to superior mesenteric artery syndrome. J. Surg. Case Rep. 2023, 2023, rjac622. [Google Scholar] [CrossRef]
- Alonso-Canal, L.; Santos-Rodríguez, A.; Gil-Fournier-Esquerra, N.; García-Centeno, P. Wilkie’s and Nutcracker’s syndromes overlapping a case of functional dyspepsia. Rev. Gastroenterol. Peru. 2023, 43, 74–76. [Google Scholar] [CrossRef]
- Brogna, B.; La Rocca, A.; Giovanetti, V.; Ventola, M.; Bignardi, E.; Musto, L.A. An interesting presentation of a rare association of the Wilkie and Nutcracker syndromes. Radiol. Case Rep. 2023, 18, 2677–2680. [Google Scholar] [CrossRef] [PubMed]
- Forte, A.; Santarpia, L.; Venetucci, P.; Barbato, A. Aorto-mesenteric compass syndrome (Wilkie’s syndrome) in the differential diagnosis of chronic abdominal pain. BMJ Case Rep. 2023, 16, e254157. [Google Scholar] [CrossRef]
- Kim, S.H. Doppler US and CT Diagnosis of Nutcracker Syndrome. Korean J. Radiol. 2019, 20, 1627–1637. [Google Scholar] [CrossRef] [PubMed]
- Makam, R.; Chamany, T.; Potluri, V.K.; Varadaraju, P.J.; Murthy, R. Laparoscopic management of superior mesentric artery syndrome: A case report and review of literature. J. Minimal Access Surg. 2008, 4, 80–82. [Google Scholar] [CrossRef]
- Fromm, S.; Cash, J.M. Superior mesenteric artery syndrome: An approach to the diagnosis and management of upper gastrointestinal obstruction of unclear etiology. S. D. J. Med. 1990, 43, 5–10. [Google Scholar] [PubMed]
- Muheilan, M.; Walsh, A.; O’Brien, F.; Tuite, D. Nutcracker syndrome, conservative approach: A case report. J. Surg. Case Rep. 2022, 2022, rjac423. [Google Scholar]
- Velasquez, C.A.; Saeyeldin, A.; Zafar, M.A.; Brownstein, A.J.; Erben, Y. A systematic review on management of Nutcracker syndrome. J. Vasc. Surg. Venous Lymphat. Disord. 2018, 6, 271–278. [Google Scholar] [CrossRef]
- Ho, A.; Kurdziel, M.D.; Koueiter, D.M.; Wiater, J.M. Three-dimensional computed tomography measurement accuracy of varying Hill-Sachs lesion size. J. Shoulder Elb. Surg. 2018, 27, 350–356. [Google Scholar] [CrossRef] [PubMed]
- Kröner, P.T.; Engels, M.M.; Glicksberg, B.S.; Johnson, K.W.; Mzaik, O.; van Hooft, J.E.; Wallace, M.B.; El-Serag, H.B.; Krittanawong, C. Artificial intelligence in gastroenterology: A state-of-the-art review. World J. Gastroenterol. 2021, 27, 6794–6824. [Google Scholar] [CrossRef]




| Reference | Patient | Clinical Manifestations | Diagnosis | Treatment |
|---|---|---|---|---|
| Barsoum et al., 2008 [9] | 29-year-old female | Early satiety and postprandial epigastric abdominal pain | CT Upper GI gastrografin | Enteral nutrition |
| Vulliamy et al., 2013 [10] | 55-year-old male | Vomiting, epigastric pain, and bloating | CT | N.A. |
| Inal et al., 2014 [11] | 28-year-old male | Cachexia and intermittent abdominal pain | CT | Enteral nutrition |
| Alenezy et al., 2014 [12] | 17-year-old male | Abdominal pain and intermittent vomiting | CT | Fluid and electrolyte replacement and nasogastric tube decompression |
| Nunn et al., 2015 [13] | 19-year-old female | Severe epigastric pain associated with emesis and anorexia | CT | Enteral nutrition |
| Iqbal et al., 2016 [14] | 62-year-old male | Cachexia | CT | Enteral nutrition |
| Heidbreder, 2018 [15] | 20-year-old female | Severe left flank and lower left quadrant pain, abdominal pain, nausea, and vomiting | CT | Roux-en-Y duodenojejunostomy and LRV transposition |
| Al-Zoubi, 2019 [16] | 38-year-old female | Intermittent left-sided loin pain | CT | LRV transposition |
| Shi et al., 2019 [17] | 32-year-old female | Severe bloating, epigastric pain, left flank ache, nausea, and occasional vomiting | CT | Fluid resuscitation with parenteral and enteral nutritional support, plus mosapride citrate dispersible tablets 5 mg thrice a day |
| Diab et al., 2020 [18] | 18-year-old male | Crampy postprandial abdominal pain associated with bilious vomiting, and signs of varicocele | CT | Regular assumption of a liquid diet |
| Lin et al., 2020 [19] | 15-year-old male | Postprandial discomfort, nausea, and vomiting | CT | Enteral and parenteral nutrition |
| Farina et al., 2020 [20] | 27-year-old male | Painful postprandial crises at the sub-acute onset, located at the epigastrium | Doppler US CT | Endovascular stent grafting |
| Wang et al., 2021 [21] | 15-year-old male | Hematuria, fatigue, anorexia, nausea, and recurrent abdominal distension | Doppler US Upper GI gastrografin | Pulse dose of methylprednisolone 500 mg daily for 3 days, followed by 1 mg/kg orally and mycophenolate mofetil 0.75 g twice a day |
| Suarez-Correa et al., 2022 [22] | 25-year-old male | Postprandial abdominal pain and distension, nausea, vomiting, and distension | CT Upper GI gastrografin | Enteral nutrition and surgery |
| Laskowski et al., 2022 [23] | 40-year-old female | Nausea, early satiety, and diffuse abdominal pain | CT | LRV transposition |
| Khan et al., 2022 [24] | 25-year-old female | Abdominal pain associated with nausea, bilious emesis, and diarrhea | CT | Surgery and conservative therapy |
| Ober et al., 2022 [25] | 45-year-old female | Macroscopic hematuria, intermittent pain in the left flank and hypogastric region, postprandial nausea, and cachexia | Doppler US CT | Stent implantation in the LRV |
| Gungorer et al., 2022 [26] | 17-year-old male | Abdominal pain, nausea, and vomiting | Doppler US CT | Surgery |
| Castro et al., 2023 [27] | 18-year-old female | Epigastric pain and emesis | CT | Dietary changes |
| Pacheco et al., 2023 [28] | 26-year-old male | GI obstructive symptoms | CT | Enteral nutrition |
| Alonso-Canal et al., 2023 [29] | 24-year-old male | Functional dyspepsia | CT | Dietary changes |
| Brogna et al., 2023 [30] | 37-year-old female | Abdominal pain with sub-occlusive episodes, nausea, and vomiting | CT | Periodic insertion of a nasogastric tube to decompress the stomach, along with a high-protein diet and parenteral nutritional supplements |
Disclaimer/Publisher’s Note: The statements, opinions and data contained in all publications are solely those of the individual author(s) and contributor(s) and not of MDPI and/or the editor(s). MDPI and/or the editor(s) disclaim responsibility for any injury to people or property resulting from any ideas, methods, instructions or products referred to in the content. |
© 2024 by the authors. Licensee MDPI, Basel, Switzerland. This article is an open access article distributed under the terms and conditions of the Creative Commons Attribution (CC BY) license (https://creativecommons.org/licenses/by/4.0/).
Share and Cite
Abenavoli, L.; Imoletti, F.; Quero, G.; Bottino, V.; Facciolo, V.; Scarlata, G.G.M.; Luzza, F.; Laganà, D. The Diagnosis of Wilkie’s Syndrome Associated with Nutcracker Syndrome: A Case Report and Literature Review. Diagnostics 2024, 14, 1844. https://doi.org/10.3390/diagnostics14171844
Abenavoli L, Imoletti F, Quero G, Bottino V, Facciolo V, Scarlata GGM, Luzza F, Laganà D. The Diagnosis of Wilkie’s Syndrome Associated with Nutcracker Syndrome: A Case Report and Literature Review. Diagnostics. 2024; 14(17):1844. https://doi.org/10.3390/diagnostics14171844
Chicago/Turabian StyleAbenavoli, Ludovico, Felice Imoletti, Giuseppe Quero, Valentina Bottino, Viviana Facciolo, Giuseppe Guido Maria Scarlata, Francesco Luzza, and Domenico Laganà. 2024. "The Diagnosis of Wilkie’s Syndrome Associated with Nutcracker Syndrome: A Case Report and Literature Review" Diagnostics 14, no. 17: 1844. https://doi.org/10.3390/diagnostics14171844
APA StyleAbenavoli, L., Imoletti, F., Quero, G., Bottino, V., Facciolo, V., Scarlata, G. G. M., Luzza, F., & Laganà, D. (2024). The Diagnosis of Wilkie’s Syndrome Associated with Nutcracker Syndrome: A Case Report and Literature Review. Diagnostics, 14(17), 1844. https://doi.org/10.3390/diagnostics14171844

