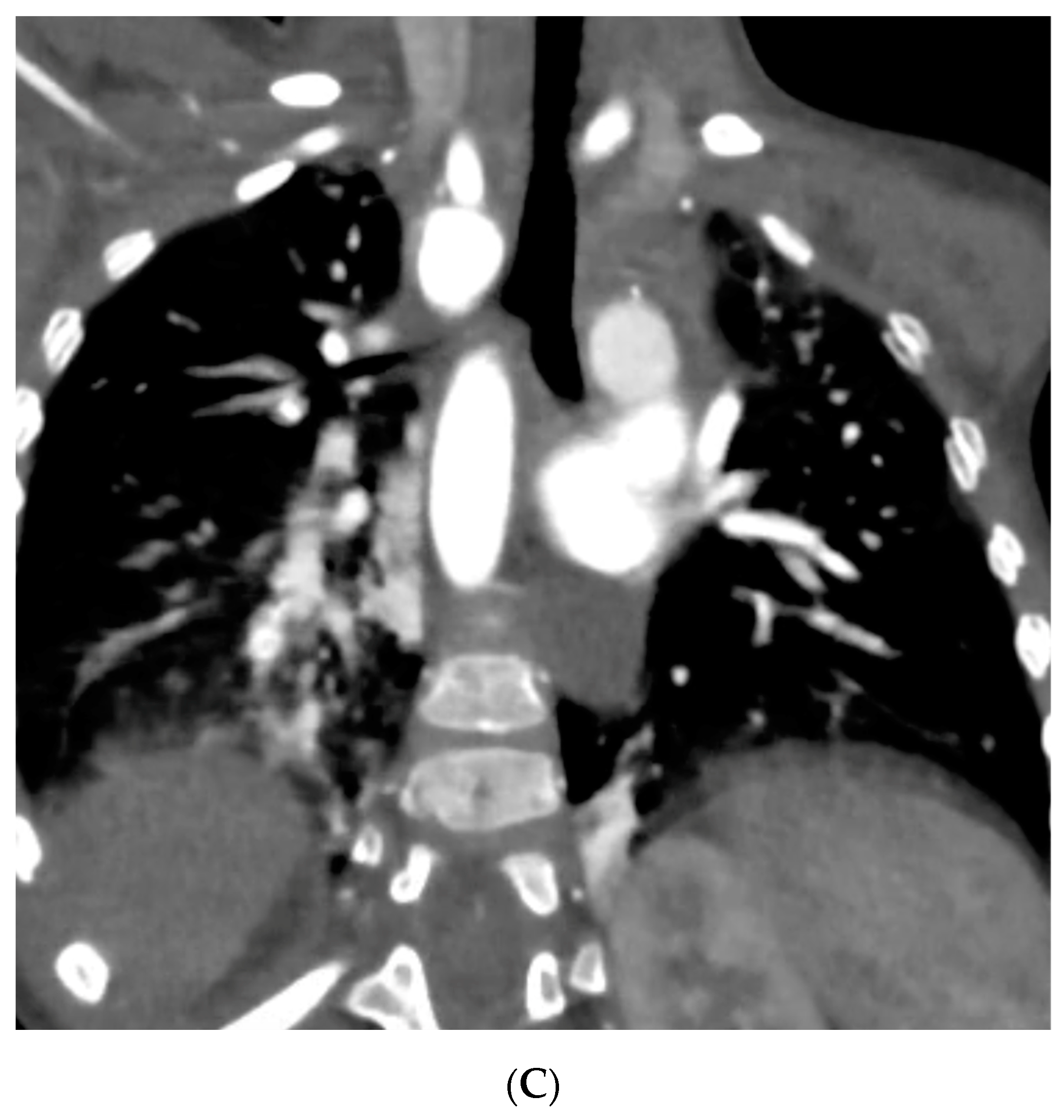
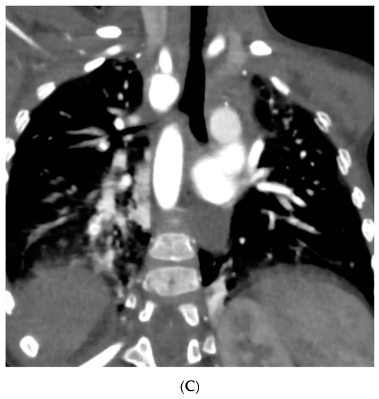
Vascular Ring Surgical Repair: Re-Implantation of the Left Subclavian Artery into the Left Carotid Artery in a Pediatric Patient
Abstract
Supplementary Materials
Author Contributions
Funding
Informed Consent Statement
Data Availability Statement
Conflicts of Interest
References
- Yoshimura, N.; Fukahara, K.; Yamashita, A.; Doi, T.; Yamashita, S.; Homma, T.; Yokoyama, S.; Aoki, M.; Higashida, A.; Shimada, Y.; et al. Congenital vascular ring. Surg. Today 2020, 50, 1151–1158. [Google Scholar] [CrossRef] [PubMed]
- Worhunsky, D.J.; Levy, B.E.; Stephens, E.H.; Backer, C.L. Vascular rings. Semin. Pediatr. Surg. 2021, 30, 151128. [Google Scholar] [CrossRef] [PubMed]
- Schmidt, A.M.S.; Larsen, S.H.; Hjortdal, V.E. Vascular ring: Early and long-term mortality and morbidity after surgical repair. J. Pediatr. Surg. 2018, 53, 1976–1979. [Google Scholar] [CrossRef] [PubMed]
- Fisenne, D.T.; Burns, J.; Dhar, A. Feeding Difficulties Following Vascular Ring Repair: A Contemporary Narrative Review. Cureus 2022, 14, e24623. [Google Scholar] [CrossRef] [PubMed]
- Binsalamah, Z.M.; Ibarra, C.; John, R.; Zea-Vera, R.; Adachi, I.; Imamura, M.; McKenzie, E.D.; Fraser, C.D.; Mery, C.M.; Heinle, J.S. Contemporary Midterm Outcomes in Pediatric Patients Undergoing Vascular Ring Repair. Ann. Thorac. Surg. 2020, 109, 566–572. [Google Scholar] [CrossRef] [PubMed]
- Backer, C.L.; Mavroudis, C. Congenital heart surgery nomenclature and database project: Vascular rings, tracheal stenosis, pectus excavatum. Ann. Thorac. Surg. 2000, 69, S308–S318. [Google Scholar] [CrossRef] [PubMed]
- Biermann, D.; Holst, T.; Hüners, I.; Rickers, C.; Kehl, T.; Rüffer, A.; Sachweh, J.S.; Hazekamp, M.G. Right aortic arch forming a true vascular ring: A clinical review. Eur. J. Cardiothorac. Surg. 2021, 60, 1014–1021. [Google Scholar] [CrossRef] [PubMed]
- Zhou, Y.; Zhou, Y.; Yu, T.; Li, W.; Zhang, J.; Zhang, C. Vascular ring: Prenatal diagnosis and prognostic management based on sequential cross-sectional scanning by ultrasound. BMC Pregnancy Childbirth 2023, 23, 308. [Google Scholar] [CrossRef] [PubMed]
- Backer, C.; Hillman, N.; Mavroudis, C.; Holinger, L. Resection of Kommerell’s diverticulum and left subclavian artery transfer for recurrent symptoms after vascular ring division. Eur. J. Cardiothorac. Surg. 2002, 22, 64–69. [Google Scholar] [CrossRef] [PubMed]
- Yu, D.; Guo, Z.; You, X.; Peng, W.; Qi, J.; Sun, J.; Wu, K.; Li, X.; Mo, X. Long-term outcomes in children undergoing vascular ring division: A multi-institution experience. Eur. J. Cardiothorac. Surg. 2022, 61, 605–613. [Google Scholar] [CrossRef] [PubMed]
- Ng, K.; Mogul, D.; Hollier, J.; Khashab, M.A. Utility of functional lumen imaging probe in esophageal measurements and dilations: A single pediatric center experience. Surg. Endosc. 2020, 34, 1294–1299. [Google Scholar] [CrossRef] [PubMed]
- Charbonneau, P.; Fabre, D.; Le Bret, E.; Mercier, O.; Crutu, A.; Haulon, S.; Fadel, É. A Ten-year Single-center Surgical Experience with Symptomatic Complete Vascular Rings. Ann. Vasc. Surg. 2022, 78, 70–76. [Google Scholar] [CrossRef] [PubMed]
- Cheong, D.; Jhaveri, S.; Smerling, J.; Rajagopal, H.; Misra, N.; Meyer, D.B. Association and Repair of Right Aortic Arch with Aberrant Left Subclavian Artery with Subclavian Stenosis. World J. Pediatr. Congenit. Heart Surg. 2024, 15, 133–136. [Google Scholar] [CrossRef] [PubMed]
- Backer, C.L.; Mavroudis, C.; Rigsby, C.K.; Holinger, L.D. Trends in vascular ring surgery. J. Thorac. Cardiovasc. Surg. 2005, 129, 1339–1347. [Google Scholar] [CrossRef] [PubMed]
- Tanaka, A.; Milner, R.; Ota, T. Kommerell’s diverticulum in the current era: A comprehensive review. Gen. Thorac. Cardiovasc. Surg. 2015, 63, 245–259. [Google Scholar] [CrossRef] [PubMed]





Disclaimer/Publisher’s Note: The statements, opinions and data contained in all publications are solely those of the individual author(s) and contributor(s) and not of MDPI and/or the editor(s). MDPI and/or the editor(s) disclaim responsibility for any injury to people or property resulting from any ideas, methods, instructions or products referred to in the content. |
© 2024 by the authors. Licensee MDPI, Basel, Switzerland. This article is an open access article distributed under the terms and conditions of the Creative Commons Attribution (CC BY) license (https://creativecommons.org/licenses/by/4.0/).
Share and Cite
Rodríguez Brilla, M.A.; Kausen, K.D.; Ali, A.T.; Paudel, G.; Bautista-Hernandez, V. Vascular Ring Surgical Repair: Re-Implantation of the Left Subclavian Artery into the Left Carotid Artery in a Pediatric Patient. Diagnostics 2024, 14, 1736. https://doi.org/10.3390/diagnostics14161736
Rodríguez Brilla MA, Kausen KD, Ali AT, Paudel G, Bautista-Hernandez V. Vascular Ring Surgical Repair: Re-Implantation of the Left Subclavian Artery into the Left Carotid Artery in a Pediatric Patient. Diagnostics. 2024; 14(16):1736. https://doi.org/10.3390/diagnostics14161736
Chicago/Turabian StyleRodríguez Brilla, María Alejandra, Kevin Daniel Kausen, Aboozar T. Ali, Govinda Paudel, and Victor Bautista-Hernandez. 2024. "Vascular Ring Surgical Repair: Re-Implantation of the Left Subclavian Artery into the Left Carotid Artery in a Pediatric Patient" Diagnostics 14, no. 16: 1736. https://doi.org/10.3390/diagnostics14161736
APA StyleRodríguez Brilla, M. A., Kausen, K. D., Ali, A. T., Paudel, G., & Bautista-Hernandez, V. (2024). Vascular Ring Surgical Repair: Re-Implantation of the Left Subclavian Artery into the Left Carotid Artery in a Pediatric Patient. Diagnostics, 14(16), 1736. https://doi.org/10.3390/diagnostics14161736

