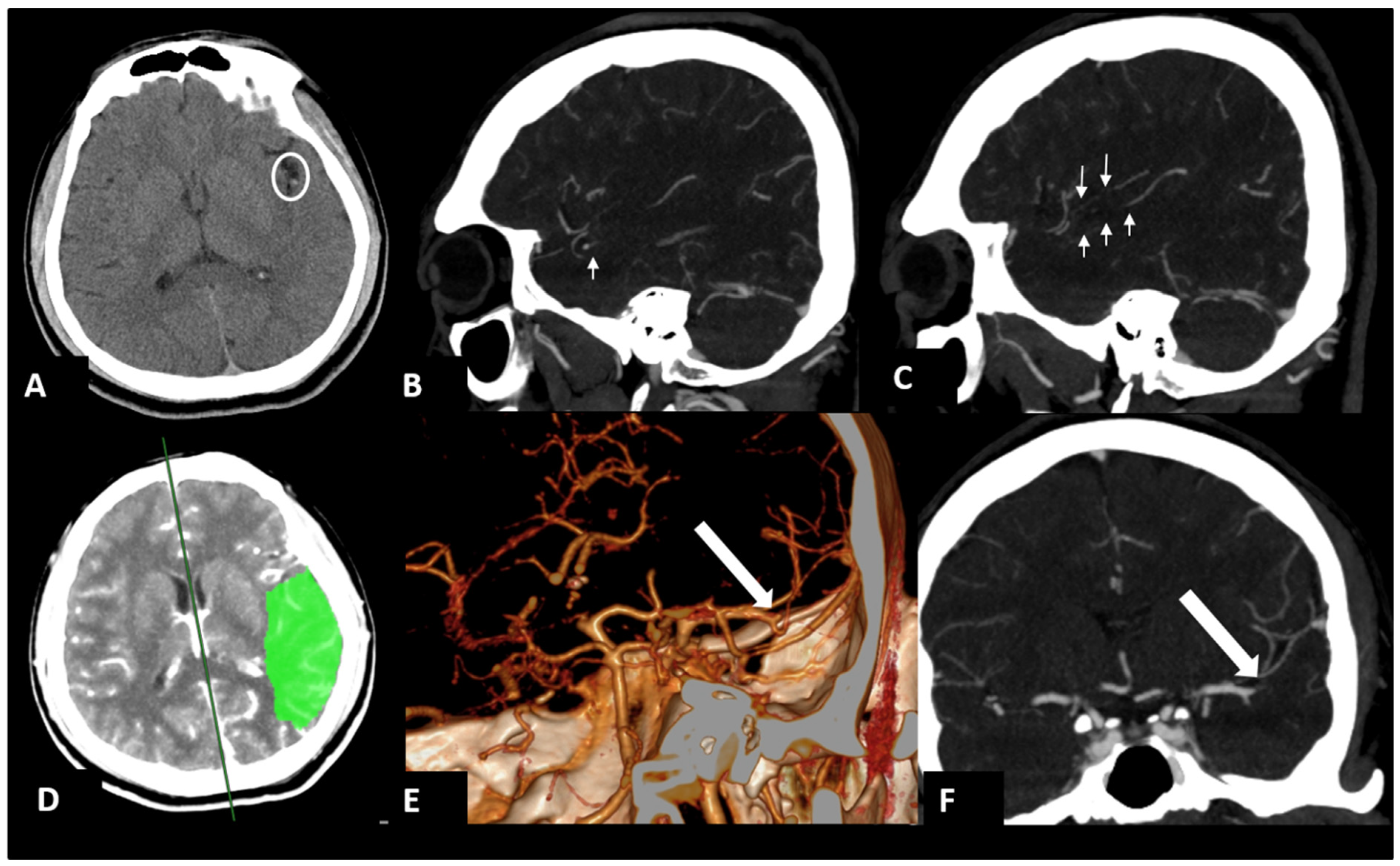
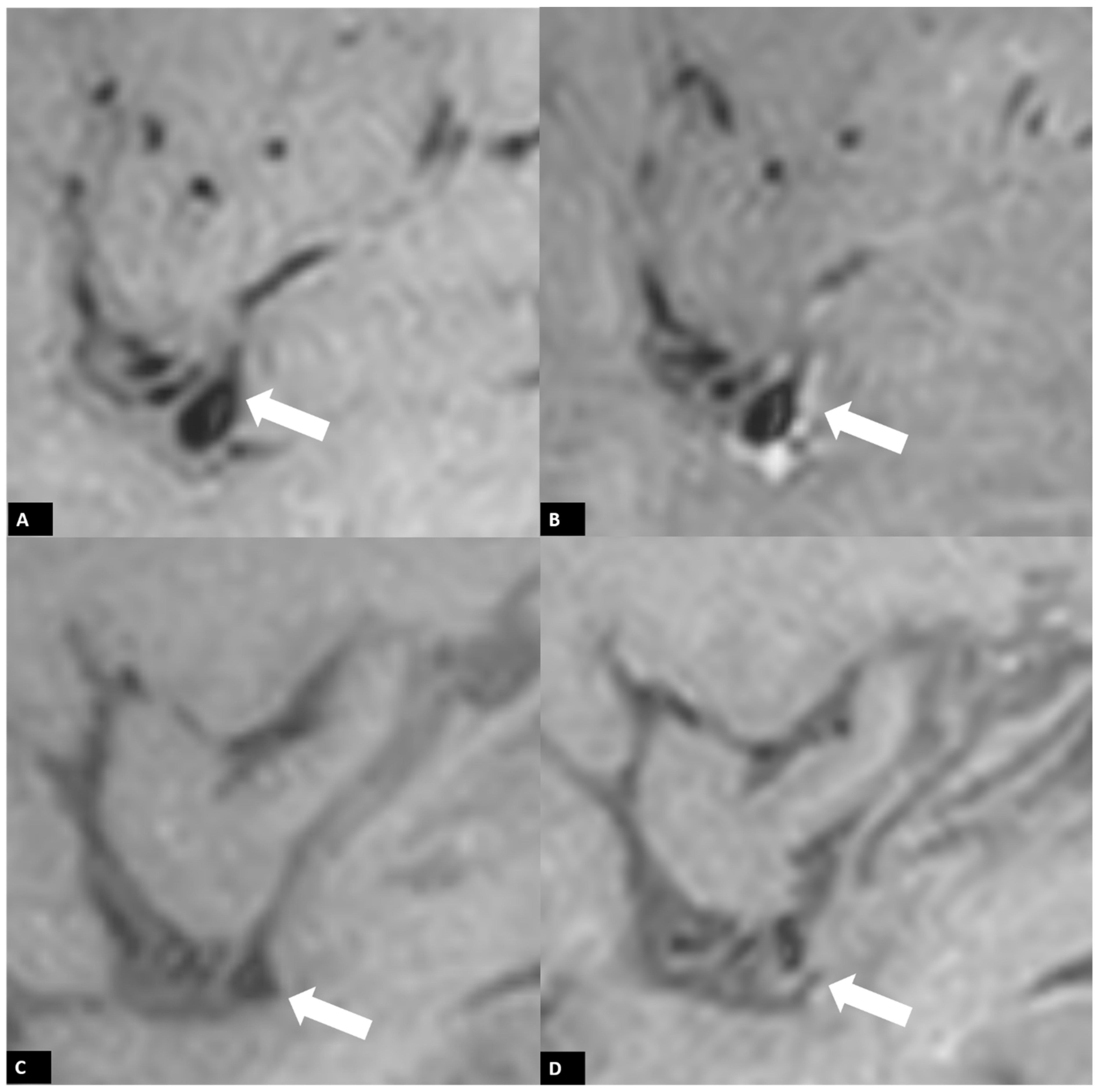
Using High-Resolution Vessel Wall Magnetic Resonance Images in a Patient of Intracranial Artery Dissection Related Acute Infarction
Abstract
Author Contributions
Funding
Institutional Review Board Statement
Informed Consent Statement
Data Availability Statement
Conflicts of Interest
References
- Putaala, J. Ischemic Stroke in Young Adults. Contin. Lifelong Learn. Neurol. 2020, 26, 386–414. [Google Scholar] [CrossRef] [PubMed]
- Debette, S.; Compter, A.; Labeyrie, M.A.; Uyttenboogaart, M.; Metso, T.M.; Majersik, J.J.; Goeggel-Simonetti, B.; Engelter, S.T.; Pezzini, A. Epidemiology, pathophysiology, diagnosis, and management of intracranial artery dissection. Lancet Neurol. 2015, 14, 640–654. [Google Scholar] [CrossRef] [PubMed]
- Levine, S.R. Hypercoagulable States and Stroke: A Selective Review. CNS Spectr. 2005, 10, 567–578. [Google Scholar] [CrossRef] [PubMed]
- Kim, D.Y.; Son, J.P.; Yeon, J.Y.; Kim, G.M.; Kim, J.S.; Hong, S.C.; Bang, O.Y. Infarct Pattern and Collateral Status in Adult Moyamoya Disease: A Multimodal Magnetic Resonance Imaging Study. Stroke 2017, 48, 111–116. [Google Scholar] [CrossRef] [PubMed]
- Boot, E.; Ekker, M.S.; Putaala, J.; Kittner, S.; De Leeuw, F.E.; Tuladhar, A.M. Ischaemic stroke in young adults: A global perspective. J. Neurol. Neurosurg. Psychiatry 2020, 91, 411–417. [Google Scholar] [CrossRef] [PubMed]
- Pampana, E.; Fabiano, S.; De Rubeis, G.; Bertaccini, L.; Stasolla, A.; Pingi, A.; Cozzolino, V.; Mangiardi, M.; Anticoli, S.; Gasperini, C.; et al. Switch Strategy from Direct Aspiration First Pass Technique to Solumbra Improves Technical Outcome in Endovascularly Treated Stroke. Int. J. Environ. Res. Public Health 2021, 18, 2670. [Google Scholar] [CrossRef] [PubMed] [PubMed Central]
- Lv, X.; Yu, J.; Zhang, W.; Zhao, X.; Zhang, H. Acute hemorrhagic cerebral artery dissection: Characteristics and endovascular treatment. Neuroradiol. J. 2020, 33, 112–117. [Google Scholar] [CrossRef] [PubMed]
- Mazzacane, F.; Mazzoleni, V.; Scola, E.; Mancini, S.; Lombardo, I.; Busto, G.; Rognone, E.; Pichiecchio, A.; Padovani, A.; Morotti, A.; et al. Vessel Wall Magnetic Resonance Imaging in Cerebrovascular Diseases. Diagnostics 2022, 12, 258. [Google Scholar] [CrossRef] [PubMed]
- Zhang, H.; Liang, S.; Lv, X. Intra-aneurysmal thrombosis and turbulent flow on MRI of large and giant internal carotid artery aneurysms. Neurosci. Inform. 2021, 1, 100027. [Google Scholar] [CrossRef]
- He, W.W.; Lu, S.S.; Ge, S.; Gu, P.; Shen, Z.Z.; Wu, F.Y.; Shi, H.B. Impact on etiology diagnosis by high-resolution vessel wall imaging in young adults with ischemic stroke or transient ischemic attack. Neuroradiology 2023, 65, 1015–1023. [Google Scholar] [CrossRef] [PubMed]
- Tritanon, O.; Mataeng, S.; Apirakkan, M.; Panyaping, T. Utility of high-resolution magnetic resonance vessel wall imaging in differentiating between atherosclerotic plaques, vasculitis, and arterial dissection. Neuroradiology 2022, 64, 1953–1962. [Google Scholar] [CrossRef] [PubMed]
- Lindenholz, A.; van der Schaaf, I.C.; van der Kolk, A.G.; van der Worp, H.B.; Harteveld, A.A.; Kappelle, L.J.; Hendrikse, J. MRI Vessel Wall Imaging after Intra-Arterial Treatment for Acute Ischemic Stroke. AJNR Am. J. Neuroradiol. 2020, 41, 624–631. [Google Scholar] [CrossRef] [PubMed] [PubMed Central]





Disclaimer/Publisher’s Note: The statements, opinions and data contained in all publications are solely those of the individual author(s) and contributor(s) and not of MDPI and/or the editor(s). MDPI and/or the editor(s) disclaim responsibility for any injury to people or property resulting from any ideas, methods, instructions or products referred to in the content. |
© 2024 by the authors. Licensee MDPI, Basel, Switzerland. This article is an open access article distributed under the terms and conditions of the Creative Commons Attribution (CC BY) license (https://creativecommons.org/licenses/by/4.0/).
Share and Cite
Lin, C.-Y.; Chen, H.-C.; Wu, Y.-H. Using High-Resolution Vessel Wall Magnetic Resonance Images in a Patient of Intracranial Artery Dissection Related Acute Infarction. Diagnostics 2024, 14, 1463. https://doi.org/10.3390/diagnostics14141463
Lin C-Y, Chen H-C, Wu Y-H. Using High-Resolution Vessel Wall Magnetic Resonance Images in a Patient of Intracranial Artery Dissection Related Acute Infarction. Diagnostics. 2024; 14(14):1463. https://doi.org/10.3390/diagnostics14141463
Chicago/Turabian StyleLin, Chia-Yu, Hung-Chieh Chen, and Yu-Hsuan Wu. 2024. "Using High-Resolution Vessel Wall Magnetic Resonance Images in a Patient of Intracranial Artery Dissection Related Acute Infarction" Diagnostics 14, no. 14: 1463. https://doi.org/10.3390/diagnostics14141463
APA StyleLin, C.-Y., Chen, H.-C., & Wu, Y.-H. (2024). Using High-Resolution Vessel Wall Magnetic Resonance Images in a Patient of Intracranial Artery Dissection Related Acute Infarction. Diagnostics, 14(14), 1463. https://doi.org/10.3390/diagnostics14141463

