Uterine Tumor Resembling Ovarian Sex-Cord Tumor (UTROSCT): A Rare Polyphenotypic Neoplasm
Abstract
1. Introduction
2. Clinical Data
3. Pathological Features
3.1. Macroscopic Findings
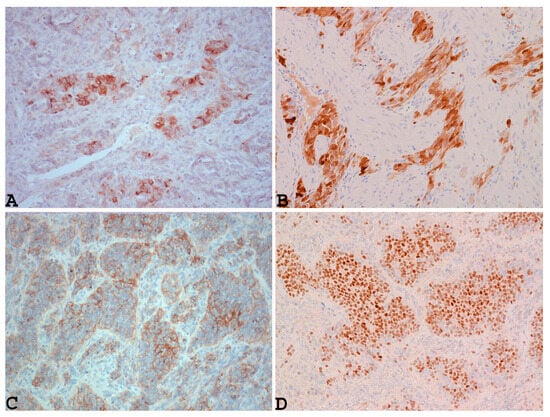
3.2. Microscopic Findings
3.3. Electron Microscopy Findings
4. Impact of Pathological Features on Recurrences or Metastases in UTROSCT
5. Molecular Alterations of UTROSCT and Its Impact on Prognosis
6. Conclusions
Author Contributions
Funding
Institutional Review Board Statement
Informed Consent Statement
Data Availability Statement
Conflicts of Interest
References
- Crum, C.P.; Quick, C.M.; Laury, A.R.; Peters, W.A.; Hirsch, M.S. Uterine tumor resembling sex cord stromal tumor. In Gynecologic and Obstetric Pathology; High Yield Pathology; Elsiever: Philadelphia, PA, USA, 2016; pp. 459–460. [Google Scholar]
- Morehead, R.P.; Bowman, M.C. Heterologous mesenchymal tumors of the uterus: Report of a neoplasm resembling a granulosa cell tumor. Am. J. Pathol. 1945, 21, 53–61. [Google Scholar]
- Clement, P.B.; Scully, R.E. Uterine tumors resembling ovarian sex-cord tumors: A clinicopathologic analysis of fourteen cases. Am. J. Clin. Pathol. 1976, 66, 512–525. [Google Scholar] [CrossRef]
- Staats, P.N.; Irving, J.A.; McCluggage, W.G. Uterine tumour resembling ovarian sex cord tumour. In WHO Classification of Tumours Editorial Board. Female Genital Tumours, 5th ed.; International Agency for Research on Cancer, World Health Organization: Lyon, France, 2020. [Google Scholar]
- Czernobilsky, B. Uterine tumors resembling ovarian sex cord tumors: An update. Int. J. Gynecol. Pathol. 2008, 27, 229–235. [Google Scholar] [CrossRef]
- De Level, L.; Lim, G.S.; Waltregny, D.; Oliva, E. Diverse phenotypic profile of uterine tumors resembling ovarian sex cord tumors: An immunohistochemical study of 12 cases. Am. J. Surg. Pathol. 2010, 34, 1749–1761. [Google Scholar] [CrossRef] [PubMed]
- Staats, P.N.; Garcia, J.J.; Dias-Santagata, D.C.; Kuhlmann, G.; Stubbs, H.; McCluggage, W.G.; De Nictolis, M.; Kommoss, F.; Soslow, R.A.; Iafrate, A.J.; et al. Uterine tumors resembling ovarian sex cord tumors (UTROSCT) lack the JAZF1-JJAZ1 translocation frequently seen in endometrial stromal tumors. Am. J. Surg. Pathol. 2009, 33, 1206–1212. [Google Scholar] [CrossRef] [PubMed]
- Moore, M.; McCluggage, W.G. Uterine tumour resembling ovarian sex cord tumour: First report of a large series with follow-up. Histopathology 2017, 71, 751–759. [Google Scholar] [CrossRef]
- Stolnicu, S.; Balachandran, K.; Aleykutty, M.A.; Loghin, A.; Preda, O.; Goez, E.; Nogales, F.F. Uterine adenosarcomas overgrown by sex-cord-like tumour: Report of two cases. J. Clin. Pathol. 2009, 62, 942–944. [Google Scholar] [CrossRef]
- Carleton, C.; Houghton, O.P.; McCluggage, W.G. Juvenile granulosa cell tumour arising in ovarian adenosarcoma: An unusual form of sarcomatous overgrowth. Hum. Pathol. 2015, 46, 616–619. [Google Scholar] [CrossRef] [PubMed]
- Croce, S.; de Kock, L.; Boshari, T.; Hostein, I.; Velasco, V.; Foulkes, W.D.; McCluggage, W.G. Uterine Tumor Resembling Ovarian Sex Cord Tumor (UTROSCT) Commonly Exhibits Positivity With Sex Cord Markers FOXL2 and SF-1 but Lacks FOXL2 and DICER1 Mutations. Int. J. Gynecol. Pathol. 2016, 35, 301–308. [Google Scholar] [CrossRef]
- Chiang, S.; Staats, P.N.; Senz, J.; Kommoss, F.; De Nictolis, M.; Huntsman, D.G.; Gilks, C.B.; Oliva, E. FOXL2 mutation is absent in uterine tumors resembling ovarian sex cord tumors. Am. J. Surg. Pathol. 2015, 39, 618–623. [Google Scholar] [CrossRef]
- Oztekin, O.; Soylu, F.; Yigit, S.; Sarica, E. Uterine tumor resembling ovarian sex cord tumors in a patient using tamoxifen: Report of a case and review of literature. Int. J. Gynecol. Cancer 2006, 16, 1694–1697. [Google Scholar] [CrossRef]
- Gargiulo, M.N.; Capellino, P.; Bacigaluppi, A.D.; Cassanello, G.; Guagnini, M.C.F.; Danieli, F.P.; Crivelli, R. Tumor endometrial sìmil tumor de cordones sexuales asociado al uso de tamoxifeno. Rev. Del HPC 2008, 11, 22. [Google Scholar]
- Nogales, F.F.; Stolnicu, S.; Harilal, K.R.; Mooney, E.; García-Galvis, O.F. Retiform uterine tumours resembling ovarian sex cord tumours. A comparative immunohistochemical study with retiform structures of the female genital tract. Histopathology 2009, 54, 471–477. [Google Scholar] [CrossRef] [PubMed]
- Giordano, G.; Lombardi, M.; Brigati, F.; Mancini, C.; Silini, E.M. Clinicopathologic features of 2 new cases of uterine tumors resembling ovarian sex cord tumors. Int. J. Gynecol. Pathol. 2010, 29, 459–467. [Google Scholar] [CrossRef] [PubMed]
- Gutierrez-Pecharroman, A.; Tirado-Zambrana, P.; Pascual, A.; Rubio-Marin, D.; García-Cosío, M.; Moratalla-Bartolomé, E.; Palacios, J. Uterine Tumor Resembling Ovarian Sex Cord Tumor Associated With Tamoxifen Treatment: A Case Report and Literature Review. Int. J. Gynecol. Pathol. 2014, 33, 151–155. [Google Scholar] [CrossRef]
- Segala, D.; Gobbo, S.; Pesci, A.; Martignoni, G.; Santoro, A.; Angelico, G.; Arciuolo, D.; Spadola, S.; Valente, M.; Scambia, G.; et al. Tamoxifen related Uterine Tumor Resembling Ovarian Sex Cord Tumor (UTROSCT): A case report and literature review of this possible association. Pathol. Res. Pract. 2019, 215, 1089–1092. [Google Scholar] [CrossRef] [PubMed]
- Bennett, J.A.; Lastra, R.R.; Barroeta, J.E.; Parilla, M.; Galbo, F.; Wanjari, P.; Young, R.H.; Krausz, T.; Oliva, E. Uterine Tumor Resembling Ovarian Sex Cord Stromal Tumor (UTROSCT): A Series of 3 Cases With Extensive Rhabdoid Differentiation, Malignant Behavior, and ESR1-NCOA2 Fusions. Am. J. Surg. Pathol. 2020, 44, 1563–1572. [Google Scholar] [CrossRef]
- Boyraz, B.; Watkins, J.C.; Young, R.H.; Oliva, E. Uterine Tumors Resembling Ovarian Sex Cord Tumors: A Clinicopathologic Study of 75 Cases Emphasizing Features Predicting Adverse Outcome and Differential Diagnosis. Am. J. Surg. Pathol. 2023, 47, 234–247. [Google Scholar] [CrossRef]
- Kabbani, W.; Deavers, M.T.; Malpica, A.; Burke, T.W.; Liu, J.; Ordoñez, N.G.; Jhingran, A.; Silva, E.G. Uterine tumor resembling ovarian sex-cord tumor: Report of a case mimicking cervical adenocarcinoma. Int. J. Gynecol. Pathol. 2003, 22, 297–302. [Google Scholar] [CrossRef]
- Hillard, J.B.; Malpica, A.; Ramirez, P.T. Conservative management of a uterine tumour resembling an ovarian sex cord-stromal tumour. Gynecol. Oncol. 2004, 92, 347–352. [Google Scholar] [CrossRef]
- Anastasakis, E.; Magos, A.L.; Mould, T.; Economides, D.L. Uterine tumor resembling ovarian sex cord tumors treated by hysteroscopy. Int. J. Gynaecol. Obstet. 2008, 101, 194–195. [Google Scholar] [CrossRef] [PubMed]
- Berretta, R.; Patrelli, T.S.; Fadda, G.M.; Merisio, C.; Gramellini, D.; Nardelli, G.B. Uterine tumors resembling ovarian sex cord tumors: A case report of conservative management in young women. Int. J. Gynecol. Cancer 2009, 19, 808–810. [Google Scholar] [CrossRef] [PubMed]
- Garuti, G.; Gonfiantini, C.; Mirra, M.; Galli, C.; Luerti, M. Uterine tumor resembling ovarian sex cord tumors treated by resectoscopic surgery. J. Minim. Invasive Gynecol. 2009, 16, 236–240. [Google Scholar] [CrossRef] [PubMed]
- Bakula-Zalewska, E.; Danska-Bidzinska, A.; Kowalewska, M.; Piascik, A.; Nasierowska-Guttmejer, A.; Bidzinski, M. Uterine tumors resembling ovarian sex cord tumors, a clinicopathologic study of six cases. Ann. Diagn. Pathol. 2014, 18, 329–332. [Google Scholar] [CrossRef] [PubMed]
- Jeong, K.H.; Lee, H.N.; Kim, M.K.; Kim, M.L.; Seong, S.J.; Shin, E. Successful delivery after conservative resectoscopic surgery in a patient with a uterine tumor resembling ovarian sex cord tumor with myometrial invasion. Obstet. Gynecol. Sci. 2015, 58, 418–422. [Google Scholar] [CrossRef] [PubMed][Green Version]
- Watrowski, R.; Jäger, C.; Möckel, J.; Kurz, P.; Schmidt, D.; Freudenberg, N. Hysteroscopic treatment of uterine tumor resembling ovarian sex cord-like tumor (UTROSCT). Gynecol. Endocrinol. 2015, 31, 856–859. [Google Scholar] [PubMed]
- De Franciscis, P.; Grauso, F.; Ambrosio, D.; Torella, M.; Messalli, E.M.; Colacurci, N. Conservative Resectoscopic Surgery, Successful Delivery, and 60 Months of Follow-Up in a Patient with Endometrial Stromal Tumor with Sex-Cord-Like Differentiation. Case Rep. Obstet. Gynecol. 2016, 2016, 5736865. [Google Scholar] [CrossRef] [PubMed]
- Schraag, S.M.; Caduff, R.; Dedes, K.J.; Fink, D.; Schmidt, A.M. Uterine Tumors Resembling Ovarian Sex Cord Tumors—Treatment, recurrence, pregnancy and brief review. Gynecol. Oncol. Rep. 2017, 19, 53–56. [Google Scholar] [CrossRef] [PubMed]
- Dondi, G.; Tesei, M.; De Crescenzo, E.; Boussedra, S.; Giunchi, S.; Perrone, A.M.; De Iaco, P. Uterine tumor resembling ovarian sex-cord tumor: A case report of recurrence after conservative management and review of the literature. Gynecol. Pelvic Med. 2021, 4, 42. [Google Scholar] [CrossRef]
- Carbone, M.V.; Cavaliere, A.F.; Fedele, C.; Vidiri, A.; Aciuolo, D.; Zannoni, G.; Scambia, G. Uterine tumor resembling ovarian sex-cord tumor: Conservative surgery with successful delivery and case series. Eur. J. Obstet. Gynecol. Reprod. Biol. 2021, 256, 326–332. [Google Scholar] [CrossRef]
- Sahraoui, G.; Sassi, F.; Charfi, L.; Ltaief, F.; Doghri, R.; Mrad, K. Unusual presentation of uterine tumors resembling ovarian sex cord tumor: A rare case report of cervical involvement. Int. J. Surg. Case Rep. 2023, 108, 108477. [Google Scholar] [CrossRef] [PubMed]
- Irving, J.A.; Carinelli, S.; Prat, J. Uterine tumors resembling ovarian sex cord tumors are polyphenotypic neoplasms with true sex cord differentiation. Mod. Pathol. 2006, 19, 17–24. [Google Scholar] [CrossRef] [PubMed]
- Cömert, G.K.; Kiliç, Ç.; Çavuşoğlu, D.; Türkmen, O.; Karalok, A.; Turan, T.; Başaran, D.; Boran, N. Recurrence in Uterine Tumors with Ovarian Sex-Cord Tumor Resemblance: A Case Report and Systematic Review. Turk Patoloji Derg. 2018, 34, 225–233. [Google Scholar] [PubMed]
- Dimitriadis, G.K.; Wajman, D.S.; Bidmead, J.; Diaz-Cano, S.J.; Arshad, S.; Bakhit, M.; Lewis, D.; Aylwin, S.J.B. Ectopic hyperprolactinaemia due to a malignant uterine tumor resembling ovarian sex cord tumors (UTROCST). Pituitary 2020, 23, 641–647. [Google Scholar] [CrossRef] [PubMed]
- Suzuki, C.; Matsumoto, T.; Fukunaga, M.; Itoga, T.; Furugen, Y.; Kurosaki, Y.; Suda, K.; Kinoshita, K. Uterine tumors resembling ovarian sex-cord tumors producing parathyroid hormone-related protein of the uterine cervix. Pathol. Int. 2002, 52, 164–168. [Google Scholar] [CrossRef] [PubMed]
- Lu, B.; Xia, Y.; Chen, J.; Tang, J.; Shao, Y.; Yu, W. NCOA1/2/3 rearrangements in uterine tumor resembling ovarian sex cord tumor: A clinicopathological and molecular study of 18 cases. Hum. Pathol. 2023, 135, 65–75. [Google Scholar] [CrossRef] [PubMed]
- Abdullazade, S.; Kosemehmetoglu, K.; Adanir, I.; Kutluay, L.; Usubutun, A. Uterine tumors resembling ovarian sex cord-stromal tumors: Synchronous uterine tumors resembling ovarian sex cord-stromal tumors and ovarian sex cord tumor. Ann. Diagn. Pathol. 2010, 14, 432–437. [Google Scholar] [CrossRef]
- Liu, C.Y.; Shen, Y.; Zhao, J.G.; Qu, P.P. Clinical experience of uterine tumors resembling ovarian sex cord tumors: A clinicopathological analysis of 6 cases. Int. J. Clin. Exp. Pathol. 2015, 8, 4158–4164. [Google Scholar]
- Bi, R.; Yao, Q.; Ji, G.; Bai, Q.; Li, A.; Liu, Z.; Cheng, Y.; Tu, X.; Yu, L.; Chang, B.; et al. Uterine Tumor Resembling Ovarian Sex Cord Tumors: 23 Cases Indicating Molecular Heterogeneity With Variable Biological Behavior. Am. J. Surg. Pathol. 2023, 47, 739–755. [Google Scholar] [CrossRef] [PubMed]
- Kantelip, B.; Cloup, N.; Dechelotte, P. Uterine tumor resembling ovarian sex cord tumors: Report of a case with ultrastructural study. Hum. Pathol. 1986, 17, 91–94. [Google Scholar] [CrossRef]
- Biermann, K.; Heukamp, L.C.; Büttner, R.; Zhou, H. Uterine tumor resembling an ovarian sex cord tumor associated with metastasis. Int. J. Gynecol. Pathol. 2008, 27, 58–60. [Google Scholar] [CrossRef] [PubMed]
- O’Meara, A.C.; Giger, O.T.; Kurrer, M.; Schaer, G. Case report: Recurrence of a uterine tumor resembling ovarian sex-cord tumor. Gynecol. Oncol. 2009, 114, 140–142. [Google Scholar] [CrossRef] [PubMed]
- Mačák, J.; Dundr, P.; Dvořáčková, J.; Klát, J. Uterine tumors resembling ovarian sex cord tumors (UTROSCT). Report of a case with lymph node metastasis. Cesk Patol. 2014, 50, 46–49. [Google Scholar] [PubMed]
- Gomes, J.R.; Carvalho, F.M.; Abrão, M.; Maluf, F.C. Uterine tumors resembling ovarian sex-cord tumor: A case-report and a review of literature. Gynecol. Oncol. Rep. 2015, 15, 22–24. [Google Scholar] [CrossRef] [PubMed]
- Endo, D.; Todo, Y.; Okamoto, K.; Suzuki, H. A case of recurrent group II uterine tumor resembling ovarian sex-cord tumors, against which two hormonal agents were ineffective. Taiwan J. Obstet. Gynecol. 2016, 55, 751–753. [Google Scholar] [CrossRef] [PubMed][Green Version]
- Kuznicki, M.L.; Robertson, S.E.; Hakam, A.; Shahzad, M.M. Metastatic uterine tumor resembling ovarian sex cord tumor: A case report and review of the literature. Gynecol. Oncol. Rep. 2017, 22, 64–68. [Google Scholar] [CrossRef] [PubMed]
- Kondo, Y.; Sakaguchi, S.; Mikubo, M.; Naito, M.; Shiomi, K.; Ohbu, M.; Satoh, Y. Lung metastases of a uterine tumor resembling ovarian sex-cord tumor: Report of a rare case. Diagn. Cytopathol. 2018, 46, 88–91. [Google Scholar] [CrossRef] [PubMed]
- Marrucci, O.; Nicoletti, P.; Mauriello, A.; Facchetti, S.; Patrizi, L.; Ticconi, C.; Sesti, F.; Piccione, E. Uterine Tumor Resembling Ovarian Sex Cord Tumors Type II with Vaginal Vault Recurrence. Case Rep. Obstet. Gynecol. 2019, 2019, 5231219. [Google Scholar] [CrossRef] [PubMed]
- Croce, S.; Lesluyes, T.; Delespaul, L.; Bonhomme, B.; Pérot, G.; Velasco, V.; Mayeur, L.; Rebier, F.; Ben Rejeb, H.; Guyon, F.; et al. GREB1-CTNNB1 fusion transcript detected by RNA-sequencing in a uterine tumor resembling ovarian sex cord tumor (UTROSCT): A novel CTNNB1 rearrangement. Genes Chromosomes Cancer 2019, 58, 155–163. [Google Scholar] [CrossRef]
- Chang, B.; Bai, Q.; Liang, L.; Ge, H.; Yao, Q. Recurrent uterine tumors resembling ovarian sex-cord tumors with the growth regulation by estrogen in breast cancer 1-nuclear receptor coactivator 2 fusion gene: A case report and literature review. Diagn. Pathol. 2020, 15, 110. [Google Scholar] [CrossRef]
- Devereaux, K.A.; Kertowidjojo, E.; Natale, K.; Ewalt, M.D.; Soslow, R.A.; Hodgson, A. GTF2A1-NCOA2-Associated Uterine Tumor Resembling Ovarian Sex Cord Tumor (UTROSCT) Shows Focal Rhabdoid Morphology and Aggressive Behavior. Am. J. Surg. Pathol. 2021, 45, 1725–1728. [Google Scholar] [CrossRef]
- Umeda, S.; Tateno, M.; Miyagi, E.; Sakurai, K.; Tanaka, R.; Tateishi, Y.; Tokinaga, A.; Ohashi, K.; Furuya, M. Uterine tumors resembling ovarian sex cord tumors (UTROSCT) with metastasis: Clinicopathological study of two cases. Int. J. Clin. Exp. Pathol. 2014, 7, 1051–1059. [Google Scholar] [PubMed]
- Viau, M.; Grondin, K.; Grégoire, J.; Renaud, M.C.; Plante, M.; Sebastianelli, A. Clinicopathological features of two cases of uterine tumors resembling ovarian sex-cord tumors (UTROSCTs) and a comprehensive review of literature. Eur. J. Gynaecol. Oncol. 2017, 38, 93–799. [Google Scholar]
- Kaur, K.; Rajeshwari, M.; Gurung, N.; Kumar, H.; Sharma, M.C.; Yadav, R.; Kumar, S.; Manchanda, S.; Singhal, S.; Mathur, S.R. Uterine tumor resembling ovarian sex cord tumor: A series of six cases displaying varied histopathological patterns and clinical profiles. Indian J. Pathol. Microbiol. 2020, 63, S81–S86. [Google Scholar] [PubMed]
- Goebel, E.A.; Hernandez Bonilla, S.; Dong, F.; Dickson, B.C.; Hoang, L.N.; Hardisson, D.; Lacambra, M.D.; Lu, F.I.; Fletcher, C.D.M.; Crum, C.P.; et al. Uterine Tumor Resembling Ovarian Sex Cord Tumor (UTROSCT): A Morphologic and Molecular Study of 26 Cases Confirms Recurrent NCOA1–3 Rearrangement. Am. J. Surg. Pathol. 2020, 44, 30–42. [Google Scholar] [CrossRef] [PubMed]
- Xiong, S.P.; Luo, R.Z.; Wang, F.; Yang, X.; Lai, J.P.; Zhang, C.; Liu, L.L. PD-L1 expression, morphology, and molecular characteristic of a subset of aggressive uterine tumor resembling ovarian sex cord tumor and a literature review. J. Ovarian Res. 2023, 16, 102. [Google Scholar] [CrossRef] [PubMed]
- Nguyen, C.V.; Phung, H.T.; Dao, L.T.; Ta, D.H.H.; Tran, M.N. Uterine Tumor Resembling Ovarian Sex Cord Tumor: Clinicopathological Characteristics of a Rare Case. Case Rep. Oncol. 2020, 13, 807–812. [Google Scholar] [CrossRef] [PubMed]
- Ye, S.; Wu, J.; Yao, L.; He, J. Clinicopathological characteristics and genetic variations of uterine tumours resembling ovarian sex cord tumours. J. Clin. Pathol. 2022, 75, 776–781. [Google Scholar] [CrossRef]
- Hurrell, D.P.; McCluggage, W.G. Uterine tumour resembling ovarian sex cord tumour is an immunohistochemically polyphenotypic neoplasm which exhibits coexpression of epithelial, myoid and sex cord markers. J. Clin. Pathol. 2007, 60, 1148–1154. [Google Scholar] [CrossRef]
- Baker, R.J.; Hildebrandt, R.H.; Rouse, R.V.; Hendrickson, M.R.; Longacre, T.A. Inhibin and CD99 (MIC2) expression in uterine stromal neoplasms with sex-cord-like elements. Hum. Pathol. 1999, 30, 671–679. [Google Scholar] [CrossRef]
- Ise, K.; Tanei, Z.I.; Oda, Y.; Tanikawa, S.; Sugino, H.; Ishida, Y.; Tsuda, M.; Gotoda, Y.; Nishiwaki, K.; Yanai, H.; et al. A Case of Uterine Tumor Resembling Ovarian Sex Cord Tumor With Prominent Myxoid Features. Int. J. Gynecol. Pathol. 2024, 43, 41–46. [Google Scholar] [CrossRef] [PubMed]
- Dubruc, E.; Alvarez Flores, M.T.; Bernier, Y.; Gherasimiuc, L.; Ponti, A.; Mathevet, P.; Bongiovanni, M. Cytological features of uterine tumors resembling ovarian sex-cord tumors in liquid-based cervical cytology: A potential pitfall. Report of a unique and rare case. Diagn. Cytopathol. 2019, 47, 603–607. [Google Scholar] [CrossRef] [PubMed]
- Pradhan, D.; Mohanty, S.K. Uterine tumors resembling ovarian sex cord tumors. Arch. Pathol. Lab. Med. 2013, 137, 1832–1836. [Google Scholar] [CrossRef] [PubMed]
- Krishnamurthy, S.; Jungbluth, A.A.; Busam, K.J.; Rosai, J. Uterine tumors resembling ovarian sex-cord tumors have an immunophenotype consistent with true sex-cord differentiation. Am. J. Surg. Pathol. 1998, 22, 1078–1082. [Google Scholar] [CrossRef] [PubMed]
- Fekete, P.S.; Vellios, F.; Patterson, B.D. Uterine tumor resembling an ovarian sex-cord tumor: Report of a case of an endometrial stromal tumor with foam cells and ultrastructural evidence of epithelial differentiation. Int. J. Gynecol. Pathol. 1985, 4, 378–387. [Google Scholar] [CrossRef] [PubMed]
- .Sadeh, R.; Segev, Y.; Schmidt, M.; Schendler, J.; Baruch, T.; Lavie, O. Uterine Tumors Resembling Ovarian Sex Cord Tumors: Case Report of Rare Pathological and Clinical Entity. Case Rep. Obstet. Gynecol. 2017, 2017, 2736710. [Google Scholar] [PubMed]
- Dickson, B.C.; Childs, T.J.; Colgan, T.J.; Sung, Y.S.; Swanson, D.; Zhang, L.; Antonescu, C.R. Uterine Tumor Resembling Ovarian Sex Cord Tumor: A Distinct Entity Characterized by Recurrent NCOA2/3 Gene Fusions. Am. J. Surg. Pathol. 2019, 43, 178–186. [Google Scholar] [CrossRef] [PubMed]
- Usadi, R.S.; Bentley, R.C. Endometrioid carcinoma of the endometrium with sertoliform differentiation. Int. J. Gynecol. Pathol. 1995, 14, 360–364. [Google Scholar] [CrossRef] [PubMed]
- Eichhorn, J.H.; Young, R.H.; Clement, P.B. Sertoliform endometrial adenocarcinoma: A study of four cases. Int. J. Gynecol. Pathol. 1996, 15, 119–126. [Google Scholar] [CrossRef]
- Liang, S.X.; Patel, K.; Pearl, M.; Liu, J.; Zheng, W.; Tornos, C. Sertoliform endometrioid carcinoma of the endometrium with dual immunophenotypes for epithelial membrane antigen and inhibin alpha: Case report and literature review. Int. J. Gynecol. Pathol. 2007, 26, 291–297. [Google Scholar] [CrossRef]
- Kumar, N.B.; Hart, W.R. Metastases to the uterine corpus from extragenital cancers: A clinicopathologic study of 63 cases. Cancer 1982, 50, 2163–2169. [Google Scholar] [CrossRef] [PubMed]
- Kumar, A.; Schneider, V. Metastases to the uterus from extrapelvic primary tumors. Int. J. Gynecol. Pathol. 1983, 2, 134–140. [Google Scholar] [CrossRef] [PubMed]
- Wang, J.; Blakey, G.L.; Zhang, L.; Bane, B.; Torbenson, M.; Li, S. Uterine tumor resembling ovarian sex cord tumor: Report of a case with t(X;6)(p22.3;q23.1) and t(4;18)(q21.1;q21.3). Diagn. Mol. Pathol. 2003, 12, 174–180. [Google Scholar] [CrossRef] [PubMed]
- Pusiol, T.; Parolari, A.M.; Piscioli, F. Uterine leiomyoma with tubules. Int. Semin. Surg. Oncol. 2008, 5, 15. [Google Scholar] [CrossRef] [PubMed]
- Toledo, G.; Oliva, E. Smooth muscle tumors of the uterus: A practical approach. Arch. Pathol. Lab. Med. 2008, 132, 595–605. [Google Scholar] [CrossRef] [PubMed]
- Simon, R.A.; Sung, C.J.; Lawrence, W.D.; Quddus, M.R. Vascular plexiform leiomyoma mimicking uterine tumor resembling ovarian sex cord tumor. Ann. Diagn. Pathol. 2010, 14, 355–357. [Google Scholar] [CrossRef]
- Abeler, V.M.; Røyne, O.; Thoresen, S.; Danielsen, H.E.; Nesland, J.M.; Kristensen, G.B. Uterine sarcomas in Norway. A histopathological and prognostic survey of a total population from 1970 to 2000 including 419 patients. Histopathology 2009, 54, 355–364. [Google Scholar] [CrossRef]
- Chan, J.K.; Kawar, N.M.; Shin, J.Y.; Osann, K.; Chen, L.M.; Powell, C.B.; Kapp, D.S. Endometrial stromal sarcoma: A population-based analysis. Br. J. Cancer 2008, 99, 1210–1215. [Google Scholar] [CrossRef] [PubMed]
- Beer, T.W.; Buchanan, R.; Buckley, C.H. Uterine stromal sarcoma following tamoxifen treatment. J. Clin. Pathol. 1995, 48, 596. [Google Scholar] [CrossRef]
- Oliva, E. CD10 expression in the female genital tract: Does it have useful diagnostic applications? Adv. Anat. Pathol. 2004, 11, 310–315. [Google Scholar] [CrossRef]
- Gupta, M.; de Level, L.; Selig, M.; Oliva, E.; Nielsen, G.P. Uterine tumors resembling ovarian sex cord tumors: An ultrastructural analysis of 13 cases. Ultrastruct. Pathol. 2010, 34, 16–24. [Google Scholar] [CrossRef] [PubMed]
- Bini, M.; Gantzer, J.; Dufresne, A.; Vanacker, H.; Romeo, C.; Franceschi, T.; Treilleux, I.; Pissaloux, D.; Tirode, F.; Blay, J.Y.; et al. ESR1Rearrangement as a Diagnostic and Predictive Biomarker in Uterine Tumor Resembling Ovarian Sex Cord Tumor: A Report of Four Cases. JCO Precis Oncol. 2023, 7, e2300130. [Google Scholar] [CrossRef] [PubMed]
- Wang, L.; Motoi, T.; Khanin, R.; Olshen, A.; Mertens, F.; Bridge, J.; Dal Cin, P.; Antonescu, C.R.; Singer, S.; Hameed, M.; et al. Identification of a novel, recurrent HEY1-NCOA2 fusion in mesenchymal chondrosarcoma based on a genome-wide screen of exon-level expression data. Genes Chromosomes Cancer 2012, 51, 127–139. [Google Scholar] [CrossRef] [PubMed]
- Mosquera, J.M.; Sboner, A.; Zhang, L.; Kitabayashi, N.; Chen, C.L.; Sung, Y.S.; Wexler, L.H.; LaQuaglia, M.P.; Edelman, M.; Sreekantaiah, C.; et al. Recurrent NCOA2 gene rearrangements in congenital/infantile spindle cell rhabdomyosarcoma. Genes Chromosomes Cancer 2013, 52, 538–550. [Google Scholar] [CrossRef] [PubMed]
- Alaggio, R.; Zhang, L.; Sung, Y.S.; Huang, S.C.; Chen, C.L.; Bisogno, G.; Zin, A.; Agaram, N.P.; LaQuaglia, M.P.; Wexler, L.H.; et al. A Molecular Study of Pediatric Spindle and Sclerosing Rhabdomyosarcoma: Identification of Novel and Recurrent VGLL2-related Fusions in Infantile Cases. Am. J. Surg. Pathol. 2016, 40, 224–235. [Google Scholar] [CrossRef] [PubMed]
- Sumegi, J.; Streblow, R.; Frayer, R.W.; Dal Cin, P.; Rosenberg, A.; Meloni-Ehrig, A.; Bridge, J.A. Recurrent t(2;2) and t(2;8) translocations in rhabdomyosarcoma without the canonical PAX-FOXO1 fuse PAX3 to members of the nuclear receptor transcriptional coactivator family. Genes Chromosomes Cancer 2010, 49, 224–236. [Google Scholar] [CrossRef] [PubMed]
- Svoboda, L.K.; Harris, A.; Bailey, N.J.; Schwentner, R.; Tomazou, E.; von Levetzow, C.; Magnuson, B.; Ljungman, M.; Kovar, H.; Lawlor, E.R. Overexpression of HOX genes is prevalent in Ewing sarcoma and is associated with altered epigenetic regulation of developmental transcription programs. Epigenetics 2014, 9, 1613–1625. [Google Scholar] [CrossRef] [PubMed]
- Moens, C.B.; Selleri, L. Hox cofactors in vertebrate development. Dev. Biol. 2006, 291, 193–206. [Google Scholar] [CrossRef]
- Lee, C.H.; Kao, Y.C.; Lee, W.R.; Hsiao, Y.W.; Lu, T.P.; Chu, C.Y.; Lin, Y.J.; Huang, H.Y.; Hsieh, T.H.; Liu, Y.R.; et al. Clinicopathologic Characterization of GREB1-rearranged Uterine Sarcomas With Variable Sex-Cord Differentiation. Am. J. Surg. Pathol. 2019, 43, 928–942. [Google Scholar] [CrossRef]
- Kao, Y.C.; Lee, J.C. An update of molecular findings in uterine tumor resembling ovarian sex cord tumor and GREB1-rearranged uterine sarcoma with variable sex-cord differentiation. Genes Chromosomes Cancer 2021, 60, 180–189. [Google Scholar] [CrossRef]
- Okada, S.; Uchiyama, F.; Ohaki, Y.; Kamoi, S.; Kawamura, T.; Kumazaki, T. MRI findings of a case of uterine tumor resembling ovarian sex-cord tumors coexisting with endometrial adenoacanthoma. Radiat. Med. 2001, 19, 151–153. [Google Scholar]
- Pang, L.; Dai, Y.; Ren, F.; Peng, X.; Guo, Z. Uterine Tumor Resembling Ovarian Sex Cord Tumors (UTROSCT): Two Case Reports of the Rare Uterine Neoplasm with Literature Review. Curr. Med. Imaging 2022, 18, 125–1131. [Google Scholar]
- Vilos, A.G.; Zhu, C.; Abu-Rafea, B.; Ettler, H.C.; Weir, M.M.; Vilos, G.A. Uterine Tumors Resembling Ovarian Sex Cord Tumors Identified at Resectoscopic Endometrial Ablation: Report of 2 Cases. J. Minim. Invasive Gynecol. 2019, 26, 105–109. [Google Scholar] [CrossRef] [PubMed]
- Hermsen, B.; Bogliatto, F.; Bleeker, M.; Leidi, L.; Trum, H.; Comello, E. Uterine tumour resembling ovarian sex cord tumour (UTROSCT): Experience with a rare disease. Two case reports and overview of the literature. Obstet. Gynecol. Cases Rev. 2015, 2, 049. [Google Scholar] [CrossRef]
- Yin, X.; Wang, M.; He, H.; Ru, G.; Zhao, M. Uterine Tumor Resembling Ovarian Sex Cord Tumor With Aggressive Histologic Features Harboring a GREB1-NCOA2 Fusion: Case Report With a Brief Review. Int. J. Gynecol. Pathol. 2023, 42, 54–62. [Google Scholar] [CrossRef]



| Authors and Year | Age (Years) | Gross Appearance | Tumor Size (cm) | Common Microscopic Appearance | Microscopic Findings of Malignancy | Molecular Findings | Site and Time of Recurrence/ Metastasis |
|---|---|---|---|---|---|---|---|
| Kantelip et al., 1985 [42] | 86 | Multiple myometrial cyst with hemorrhagic and necrotic fluid | 2–10 | Yes | Necrosis | NR | Ovary and epiploon at diagnosis |
| Biermann et al., 2007 [43] | 68 | Grayish-yellow nodule | 4.5 | Yes | Margins focally infiltrative | NR | Mesentery and small bowel (48 months) |
| O’Meara et al., 2009 [44] | 35 | Solid cystic yellow mass | 9.9 | Yes | Serosal infiltration | NR | Bladder, ovaries, abdominal intestinal wall, lymph nodes (36 months) |
| Mačák et al., 2014 [45] | 53 | Polypoid myometrial mass | 1.5 | Yes | Absent | NR | Lymph nodes at diagnosis |
| Jeong et al., 2015 [27] | 32 | Submucosal protruding mass | 3.6 | Yes | Infiltrative margins | NR | Local recurrence (17 months) |
| Gomes et al., 2015 [46] | 53 | Myometrial mass | 12 | Yes | Infiltrative margins, LVI, necrosis | NR | Parametrium, ovary at diagnosis |
| Endo et al., 2016 [47] | 62 | NR | NR | Yes | Myometrial infiltration | NR | Pelvic lymph nodes 23 years |
| Kuznicki et al., 2017 [48] | 49 | Intra-myometrial mass | 6 | Yes | LVI, high KI67 | NR | Death 15 months, liver peritoneum pelvis 4 months |
| Kondo et al., 2018 [49] | 69 | NR | NR | NR | NR | NR | Lung (36 months) |
| Cömert et al., 2018 [35] | 61 | Endometrial–myometrial lesion | 7 | Yes | Infiltrative margins | NR | Pelvis abdominal (60 months) (75 months) |
| Marrucci et al., 2019 [50] | 54 | Grayish-yellow mass | 9 | Yes | NR | NR | Vaginal vault (59 months) |
| Croce et al., 2019 [51] | 70 | Well-circumscribed, yellow mass | 10 | Focal rhabdoid cells | Serosal infiltration | GREB1–CTNNB1 fusion | Pelvis (17 months) Lung and peritoneum (29 months) |
| Chang et al., 2020 [52] | 57 | Well-circumscribed, soft, yellow mass | 10 | Yes | Infiltrative margins | GREB1–NCOA2 fusion | Pelvis (30 months) |
| Dimitriadis et al., 2020 [36] | 46 | Well-circumscribed uterine mass | 11 | Yes | 6 mitosis/10 HPF | NR | Intraabdominal recurrence (24 months) |
| Devereaux et al., 2021 [53] | 42 | Myometrial mass | 8 | Yes | Necrosis | GFT2A1–NCOA2 fusion (in recurrent tumor) | Serosal surface of uterus, ovaries, large bowel, anterior abdominal wall (6 months) |
| Dondi et al., 2021 [31] | 24 | Submucosal mass | 3 | NR | Absent | NR | Local recurrence (20 months) |
| Authors and Year (Malignant Cases/Total of Cases) | Age (Years) | Gross Appearance | Tumor Size (cm) | Common Microscopic Appearance | Microscopic Findings of Malignancy | Molecular Findings | Site and Time of Recurrence/ Metastasis |
|---|---|---|---|---|---|---|---|
| Umeda et al., 2014 (2/2 cases) [54] | 38 | Yellowish-white intramyometrial mass | 4.5 | Yes | Infiltrative margins/necrosis | NR | Lymph node metastasis at diagnosis |
| Liu et al., 2015 (1/4 cases) [40] | 50 | Isthmus mass protruding through cervical os | 4.5 | NR | Absent | NR | Local recurrence (10 months) |
| Schraag et al., 2017 (2/3 cases) [30] | 24 | Submucosal nodule | NR | NR | NR | NR | Local recurrence (9 months) |
| Viau et al., 2017 (1/2 cases) [55] | 43 | Subserosa pedunculated solid mass whitish-yellow with ruptured surface | 13 and 5.5 | Yes | NR | NR | Pelvis (40 months). Sigmoid serosa and peritoneal implants at diagnosis. |
| Kaur et al., 2020 (1/6 cases) [56] | 47 | Mass in the uterine body | 9.3 | Yes | Infiltrative margins | NR | Pelvis, retroperitoneal lymph nodes, lungs (7 months) |
| Bennett et al., 2020 (3/3 cases) [19] | 37 | Yellow white myometrial mass | NA | Extensive rhabdoid component | Infiltrative margins Suspect LVI | ESR1-NCOA2 fusion | Pelvis (7 years) |
| Authors and Year (Malignant Cases/Total of Cases) | Age (Years) | Gross Appearance | Tumor Size (cm) | Common Microscopic Appearance | Microscopic Findings of Malignancy | Molecular Findings | Site and Time of Recurrence/ Metastasis |
|---|---|---|---|---|---|---|---|
| Moore and McCluggage, 2017 (8/34 cases) [8] | 44 | NR | 12.5 | NR | Absent | NR | Para-aortic lymph nodes, peritoneum (11 months) |
| 75 | NR | NA | NR | Absent | NR | Para-aortic lymph nodes, retroperitoneal and sacral metastasis present at diagnosis | |
| 62 | NR | 7 | NR | Necrosis | NR | Peritoneum, lung (33 months) | |
| 43 | NR | 1 | NR | Absent | NR | Pelvis, peritoneum (25 months) | |
| 47 | NR | 6 | NR | Necrosis | NR | Vertebra, ovary (78 months) | |
| 68 | NR | 8 | NR | Absent | NR | Death (12 months) Peritoneum, liver (11 months) | |
| 61 | NR | 12.5 | NR | LVI, necrosis | NR | Death (23 months) Vertebra, clavicle (12 months) | |
| 72 | NR | 7 | NR | Absent | NR | Death (23 months), liver (23 months) | |
| Goebel et al., 2020 (1/26 cases) [57] | 74 | NR | 13 | Yes | Infiltrative margins | GREB1–NCOA2 fusion | Pelvis (66 months) |
| Boyraz et al., 2023 (5/75 cases) [20] | 32 | NA | 11 | Yes | Moderate-to-severe nuclear atypia | NR | Lung metastasis present at diagnosis |
| 47 | NA | 13 | Extensive rhabdoid component | Infiltrative margins, serosal involvement | NR | Peritoneum (60 months) | |
| 58 | NA | 7 | Yes | NR | Peritoneum (144 months) | ||
| 68 | NA | 13 | Yes | Infiltrative margins, serosal involvement | NR | Death (96 months) Peritoneum (60 months) | |
| 73 | NA | 3 | Yes | Infiltrative margins, 9/10 HPF, necrosis | NR | Death (50 months) Brain (30 months) Femur (48 months) | |
| Bi et al., 2023 (7/22 cases, 1 already reported by Chen et al., 2021) [41] | 33 | Intramyometrial mass | 2 | Yes | Infiltrative margins | GREB1–NCOA2 fusion | Death (177 months) Retroperitoneal recurrence with abdominal aorta involvement (167 months) Pelvic lymph nodes involvement presents at diagnosis |
| 48 | Intramyometrial mass | 13 | Yes | Absent | GREB1–NCOA2 fusion | Pelvis and omentum (45 months) | |
| 38 | Intramyometrial mass | NA | Yes | Infiltrative margins | GREB1–NCOA2 fusion | Pelvis and omentum (101 months) | |
| 48 | Intramyometrial mass | 3.5 | Yes | Infiltrative margins | GREB1–NCOA1 fusion | Pelvis (13 months). Peritoneal involvement present at diagnosis. | |
| 65 | Intramyometrial mass | 15 | Yes | Infiltrative margins | GREB1–NCOA1 fusion | Death (44 months) Pelvis (35 months) | |
| 40 | Polypoid mass | 4 | Yes | Absent | ESR1–NCOA2 fusion | Local recurrence (21 and 64 months) | |
| 45 | Intramyometrial mass, with cystic areas | 8 | Yes | Absent | ESR1–NCOA3 fusion | Pelvis (56 months) | |
| Xiong et al., 2023 (6/18 cases) [58] | 41 | NR | 5.5 | Yes | Infiltrative margins | ESR1–NCOA2 fusion | Peritoneum (144.4 months) |
| 46 | NR | 2.5 | Yes | Absent | Negative for NCOA1–3 fusion and JAZF1/SUZ12/PHF1 rearrangement | Death (26.3 months) Pelvis, colon (2.5 months) | |
| 19 | NR | 3 | Yes | Absent | NA | Metastasis (site NA) (69.9 months) | |
| 36 | NR | 1.5 | Yes | Infiltrative margins, necrosis, significant nuclear atypia, 10/10 HPF | Negative for NCOA1–3 fusion and JAZF1/SUZ12/PHF1 rearrangement | Pelvis, lung (56.5 months) | |
| 55 | NR | 13 | Yes | Infiltrative margins, significant nuclear atypia | GREB1–NCOA2 fusion | Pelvis, colon (195.3 months) | |
| 48 | NR | 2.2 | Yes | Infiltrative margins | NA | Lung (21.1 months) |
Disclaimer/Publisher’s Note: The statements, opinions and data contained in all publications are solely those of the individual author(s) and contributor(s) and not of MDPI and/or the editor(s). MDPI and/or the editor(s) disclaim responsibility for any injury to people or property resulting from any ideas, methods, instructions or products referred to in the content. |
© 2024 by the authors. Licensee MDPI, Basel, Switzerland. This article is an open access article distributed under the terms and conditions of the Creative Commons Attribution (CC BY) license (https://creativecommons.org/licenses/by/4.0/).
Share and Cite
Giordano, G.; Guareschi, D.; Thai, E. Uterine Tumor Resembling Ovarian Sex-Cord Tumor (UTROSCT): A Rare Polyphenotypic Neoplasm. Diagnostics 2024, 14, 1271. https://doi.org/10.3390/diagnostics14121271
Giordano G, Guareschi D, Thai E. Uterine Tumor Resembling Ovarian Sex-Cord Tumor (UTROSCT): A Rare Polyphenotypic Neoplasm. Diagnostics. 2024; 14(12):1271. https://doi.org/10.3390/diagnostics14121271
Chicago/Turabian StyleGiordano, Giovanna, Debora Guareschi, and Elena Thai. 2024. "Uterine Tumor Resembling Ovarian Sex-Cord Tumor (UTROSCT): A Rare Polyphenotypic Neoplasm" Diagnostics 14, no. 12: 1271. https://doi.org/10.3390/diagnostics14121271
APA StyleGiordano, G., Guareschi, D., & Thai, E. (2024). Uterine Tumor Resembling Ovarian Sex-Cord Tumor (UTROSCT): A Rare Polyphenotypic Neoplasm. Diagnostics, 14(12), 1271. https://doi.org/10.3390/diagnostics14121271

