Predicting Rheumatoid Arthritis Development Using Hand Ultrasound and Machine Learning—A Two-Year Follow-Up Cohort Study
Abstract
1. Introduction
2. Materials and Methods
2.1. Study Design
2.2. Participants and Clinical Assessment
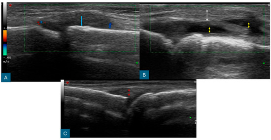
2.3. Ultrasonography Examination
2.4. Follow-Up
2.5. Data Preprocessing and Model Development
2.6. Statistical Analysis
3. Results
3.1. Study Cohort and RA Development
3.2. Baseline Characteristics
3.3. Baseline US Findings
3.4. Predictors of RA Development
3.5. Machine Learning Model Performance
3.6. Feature Importance in Prediction Models
3.7. Impact of Ultrasonographic Features on Model Performance
4. Discussion
Study Strengths and Limitations
5. Conclusions
Supplementary Materials
Author Contributions
Funding
Institutional Review Board Statement
Informed Consent Statement
Data Availability Statement
Acknowledgments
Conflicts of Interest
Declaration of Generative AI in Scientific Writing
References
- Murali, S.; Ding, H.; Adedeji, F.; Qin, C.; Obungoloch, J.; Asllani, I.; Anazodo, U.; Ntusi, N.A.B.; Mammen, R.; Niendorf, T.; et al. Bringing MRI to low- and middle-income countries: Directions, challenges and potential solutions. NMR Biomed. 2023, e4992. [Google Scholar] [CrossRef] [PubMed]
- Che, Q.-C.; Jia, Q.; Zhang, X.-Y.; Sun, S.-N.; Zhang, X.-J.; Shu, Q. A prospective study of the association between serum klotho and mortality among adults with rheumatoid arthritis in the USA. Arthritis Res. Ther. 2023, 25, 149. [Google Scholar] [CrossRef] [PubMed]
- Eberhard, A.; Rydell, E.; Forslind, K.; Bergman, S.; Mandl, T.; Olofsson, T.; Jacobsson, L.T.; Turesson, C. Radiographic damage in early rheumatoid arthritis is associated with increased disability but not with pain—A 5-year follow-up study. Arthritis Res. Ther. 2023, 25, 29. [Google Scholar] [CrossRef] [PubMed]
- Lage-Hansen, P.R.; Lindegaard, H.; Chrysidis, S.; Terslev, L. The role of ultrasound in diagnosing rheumatoid arthritis, what do we know? An updated review. Rheumatol. Int. 2017, 37, 179–187. [Google Scholar] [CrossRef] [PubMed]
- Van der Ven, M.; van der Veer-Meerkerk, M.; Ten Cate, D.F.; Rasappu, N.; Kok, M.R.; Csakvari, D.; Hazes, J.M.W.; Gerards, A.H.; Luime, J.J. Absence of ultrasound inflammation in patients presenting with arthralgia rules out the development of arthritis. Arthritis Res. Ther. 2017, 19, 202. [Google Scholar] [CrossRef] [PubMed]
- Mankia, K.; Siddle, H.; Di Matteo, A.; Alpízar-Rodríguez, D.; Kerry, J.; Kerschbaumer, A.; Aletaha, D.; Emery, P. A core set of risk factors in individuals at risk of rheumatoid arthritis: A systematic literature review informing the EULAR points to consider for conducting clinical trials and observational studies in individuals at risk of rheumatoid arthritis. RMD Open 2021, 7, e001768. [Google Scholar] [CrossRef]
- Mehta, B.; Goodman, S.; DiCarlo, E.; Jannat-Khah, D.; Gibbons, J.A.B.; Otero, M.; Donlin, L.; Pannellini, T.; Robinson, W.H.; Sculco, P.; et al. Machine learning identification of thresholds to discriminate osteoarthritis and rheumatoid arthritis synovial inflammation. Arthritis Res. Ther. 2023, 25, 31. [Google Scholar] [CrossRef] [PubMed]
- Siddle, H.J.; Bradley, S.H.; Anderson, A.M.; Mankia, K.; Emery, P.; Richards, S.H. Opportunities and challenges in early diagnosis of rheumatoid arthritis in general practice. Br. J. Gen. Pract. 2023, 73, 152–154. [Google Scholar] [CrossRef] [PubMed]
- Bessette, L.; Haraoui, B.; Rampakakis, E.; Dembowy, J.; Trepanier, M.O.; Pope, J. Effectiveness of a treat-to-target strategy in patients with moderate to severely active rheumatoid arthritis treated with abatacept. Arthritis Res. Ther. 2023, 25, 183. [Google Scholar] [CrossRef] [PubMed]
- Zabotti, A.; Finzel, S.; Baraliakos, X.; Aouad, K.; Ziade, N.; Iagnocco, A. Imaging in the preclinical phases of rheumatoid arthritis. Clin. Exp. Rheumatol. 2020, 38, 536–542. [Google Scholar] [PubMed]
- Van Beers-Tas, M.H.; Blanken, A.B.; Nielen, M.M.J.; Turkstra, F.; van der Laken, C.J.; Meursinge Reynders, M.; van Schaardenburg, D. The value of joint ultrasonography in predicting arthritis in seropositive patients with arthralgia: A prospective cohort study. Arthritis Res. Ther. 2018, 20, 279. [Google Scholar] [CrossRef] [PubMed]
- Salaffi, F.; Ciapetti, A.; Gasparini, S.; Carotti, M.; Filippucci, E.; Grassi, W. A clinical prediction rule combining routine assessment and power Doppler ultrasonography for predicting progressionto rheumatoid arthritis from early-onset undifferentiated arthritis. Clin. Exp. Rheumatol. 2010, 28, 686–694. [Google Scholar] [PubMed]
- Hanova, P.; Prajzlerová, K.; Petrovská, N.; Gregová, M.; Mann, H.; Pavelka, K.; Vencovský, J.; Šenolt, L.; Filková, M. POS0911 ultrasound-detected synovitis among individuals at risk of rheumatoid arthritis increases the risk of developing clinical arthritis in the future. Ann. Rheum. Dis. 2023, 82, 764. [Google Scholar]
- Bejerano, A.R.; Bote, A.C.; Palomo, J.A.; Cáceres, B.B. POS0932 ultrasound-defined grade i synovitis in patients with inflammatory-suspected arthralgia and its role in diagnosis a year later. Ann. Rheum. Dis. 2023, 82, 777–778. [Google Scholar]
- Van der Helm-van Mil, A.; Landewé, R.B. The earlier, the better or the worse? Towards accurate management of patients with arthralgia at risk for RA. Ann. Rheum. Dis. 2020, 79, 312–315. [Google Scholar] [CrossRef] [PubMed]
- Petrovska, N.; Prajzlerova, K.; Vencovsky, J.; Senolt, L.; Filkova, M. The pre-clinical phase of rheumatoid arthritis: From risk factors to prevention of arthritis. Autoimmun. Rev. 2021, 20, 102797. [Google Scholar] [CrossRef] [PubMed]
- Ahlawat, S.; Debs, P.; Amini, B.; Lecouvet, F.E.; Omoumi, P.; Wessell, D.E. Clinical applications and controversies of whole-body MRI: AJR expert panel narrative review. Am. J. Roentgenol. 2023, 220, 463–475. [Google Scholar] [CrossRef] [PubMed]
- Liu, F.; Xin, Y.; Zhu, J. AB1346 ultrasound assessment of sub-clinical hand joint inflammation: A comparative study between early rheumatoid and psoriatic arthritis. Ann. Rheum. Dis. 2022, 81, 1779. [Google Scholar] [CrossRef]
- Huang, Y.H.; Chen, Y.H.; Yong, S.B.; Ma, K.S. Ultrasound for ankle and foot pathologies in early rheumatoid arthritis. Int. J. Rheum. Dis. 2023, 26, 1388–1390. [Google Scholar] [CrossRef] [PubMed]
- Babulal Vadher, A.; Sinha, A.; Roy Choudhury, S.; Prakash, M.; Maralakunte, M.; Rehman, T.; Sharma, S.; Kumar, Y. Ultrasound and magnetic resonance imaging of hands in systemic sclerosis: A cross-sectional analytical study of prevalence of inflammatory changes in patients with subclinical arthropathy. J. Scleroderma Relat. Disord. 2023, 8, 72–78. [Google Scholar] [CrossRef] [PubMed]
- Bureau, N.J. Point-of-Care Musculoskeletal Ultrasound: Point—The Evolution of Ultrasound Improving Patient Care. Am. J. Roentgenol. 2023. [Google Scholar] [CrossRef]
- Moller, B.; Aletaha, D.; Andor, M.; Atkinson, A.; Aubry-Rozier, B.; Brulhart, L.; Dan, D.; Finckh, A.; Grobety, V.; Mandl, P.; et al. Synovitis in rheumatoid arthritis detected by grey scale ultrasound predicts the development of erosions over the next three years. Rheumatology 2020, 59, 1556–1565. [Google Scholar] [CrossRef] [PubMed]
- Witt, M.; Mueller, F.; Nigg, A.; Reindl, C.; Leipe, J.; Proft, F.; Stein, N.; Hammitzsch, A.; Mayer, S.; Dechant, C.; et al. Relevance of grade 1 gray-scale ultrasound findings in wrists and small joints to the assessment of subclinical synovitis in rheumatoid arthritis. Arthritis Rheum. 2013, 65, 1694–1701. [Google Scholar] [CrossRef] [PubMed]
- Tan, Y.K.; Li, H.; Allen, J.C., Jr.; Thumboo, J. Joint damage in rheumatoid arthritis: Lessons learned from an extended 36-joint ultrasonography and 28-joint Disease Activity Score assessments. Int. J. Rheum. Dis. 2021, 24, 106–111. [Google Scholar] [CrossRef] [PubMed]
- Kay, J.; Upchurch, K.S. ACR/EULAR 2010 rheumatoid arthritis classification criteria. Rheumatology 2012, 51 (Suppl. S6), vi5–vi9. [Google Scholar] [CrossRef] [PubMed]
- Naredo, E.; Möller, I.; Moragues, C.; De Agustín, J.J.; Scheel, A.K.; Grassi, W.; de Miguel, E.; Backhaus, M.; Balint, P.; Bruyn, G.A. Interobserver reliability in musculoskeletal ultrasonography: Results from a “Teach the Teachers” rheumatologist course. Ann. Rheum. Dis. 2006, 65, 14–19. [Google Scholar] [CrossRef] [PubMed]
- Breiman, L. Random forests. Mach. Learn. 2001, 45, 5–32. [Google Scholar] [CrossRef]
- Pereira, S.; Pinto, A.; Oliveira, J.; Mendrik, A.M.; Correia, J.H.; Silva, C.A. Automatic brain tissue segmentation in MR images using Random Forests and Conditional Random Fields. J. Neurosci. Methods 2016, 270, 111–123. [Google Scholar] [CrossRef] [PubMed]
- Mahapatra, D. Automatic cardiac segmentation using semantic information from random forests. J. Digit. Imaging 2014, 27, 794–804. [Google Scholar] [CrossRef]
- Ko, B.C.; Kim, S.H.; Nam, J.Y. X-ray image classification using random forests with local wavelet-based CS-local binary patterns. J. Digit. Imaging 2011, 24, 1141–1151. [Google Scholar] [CrossRef] [PubMed]
- Lagomarsino, D.; Tofani, V.; Segoni, S.; Catani, F.; Casagli, N. A tool for classification and regression using random forest methodology: Applications to landslide susceptibility mapping and soil thickness modeling. Environ. Model. Assess. 2017, 22, 201–214. [Google Scholar] [CrossRef]
- Rakieh, C.; Nam, J.L.; Hunt, L.; Hensor, E.M.; Das, S.; Bissell, L.A.; Villeneuve, E.; McGonagle, D.; Hodgson, R.; Grainger, A.; et al. Predicting the development of clinical arthritis in anti-CCP positive individuals with non-specific musculoskeletal symptoms: A prospective observational cohort study. Ann. Rheum. Dis. 2015, 74, 1659–1666. [Google Scholar] [CrossRef]
- Van de Stadt, L.A.; Bos, W.H.; Meursinge Reynders, M.; Wieringa, H.; Turkstra, F.; van der Laken, C.J.; van Schaardenburg, D. The value of ultrasonography in predicting arthritis in auto-antibody positive arthralgia patients: A prospective cohort study. Arthritis Res. Ther. 2010, 12, R98. [Google Scholar] [CrossRef]
- Nam, J.L.; Hensor, E.M.; Hunt, L.; Conaghan, P.G.; Wakefield, R.J.; Emery, P. Ultrasound findings predict progression to inflammatory arthritis in anti-CCP antibody-positive patients without clinical synovitis. Ann. Rheum. Dis. 2016, 75, 2060–2067. [Google Scholar] [CrossRef]
- Aydin, S.Z.; Pay, S.; Inanc, N.; Kamali, S.; Karadag, O.; Emery, P.; D’Agostino, M.-A. Which joints and why do rheumatologists scan in rheumatoid arthritis by ultrasonography? A real life experience. Clin. Exp. Rheumatol. 2017, 35, 508–511. [Google Scholar] [PubMed]
- Hayashi, D.; Roemer, F.W.; Katur, A.; Felson, D.T.; Yang, S.-O.; Alomran, F.; Guermazi, A. Imaging of synovitis in osteoarthritis: Current status and outlook. Semin. Arthritis Rheum. 2011, 41, 116–130. [Google Scholar] [CrossRef] [PubMed]
- Keen, H.I.; Wakefield, R.J.; Grainger, A.J.; Hensor, E.M.; Emery, P.; Conaghan, P.G. Can ultrasonography improve on radiographic assessment in osteoarthritis of the hands? A comparison between radiographic and ultrasonographic detected pathology. Ann. Rheum. Dis. 2008, 67, 1116–1120. [Google Scholar] [CrossRef] [PubMed]







| Variable | Non-RA Patients (n = 203) | RA Patients (n = 123) | p-Value |
|---|---|---|---|
| Age (year) (mean ± SD) | 43.90 ± 10.38 | 47.10 ± 12.65 | 0.019 |
| Gender, female, n (%) | 174 (85.7) | 97 (78.9) | 0.109 |
| WBC | 6.81 ± 2.17 | 7.45 ± 2.18 | 0.012 |
| ESR | 17.13 ± 15.26 | 23.11 ± 20.12 | 0.003 |
| RF | 7.13 ± 5.68 | 21.63 ± 29.57 | <0.0001 |
| CRP | 5.15 ± 10.76 | 7.32 ± 9.70 | 0.069 |
| Anti-CCP | 3.93 ± 9.14 | 30.95 ± 75.14 | <0.0001 |
| Vitamin D | 33.64 ± 15.72 | 34.93 ± 18.65 | 0.504 |
| Variable | Univariate Model | Multivariate Model | ||
|---|---|---|---|---|
| Odds Ratio (95%CI) | p-Value | Odds Ratio (95%CI) | p-Value | |
| Age (years) | 1.03 (1.01–1.05) | 0.015 | 1.03 (0.99–1.07) | 0.147 |
| WBC | 1.14 (1.03–1.27) | 0.013 | 1.23 (1.02–1.50) | 0.035 |
| ESR | 1.02 (1.006–1.03) | 0.004 | 1 (0.98–1.03) | 0.804 |
| RF | 1.09 (1.05–1.12) | <0.0001 | 1.08 (1.04–1.12) | <0.0001 |
| Anti-CCP | 1.05 (1.02–1.08) | 0.003 | 1.04 (1.02–1.07) | 0.002 |
| Radiocarpal–synovial thickening | 18.19 (10.18–32.50) | <0.0001 | 39.87 (15.86–100.20) | <0.0001 |
| Hypervascularity | 12.19 (1.48–100.31) | 0.02 | 7.99 (0.32–202.95) | 0.208 |
| Wrist effusion | 4.68 (1.63–13.47) | 0.004 | 12.56 (2.22–70.95) | 0.004 |
| MCP synovitis | 51.53 (6.88–385.86) | <0.0001 | 39 (3.34–454.1) | 0.003 |
| PIP synovitis | 28.68 (8.61–95.55) | <0.0001 | 68 (12.62–365.91) | <0.0001 |
| Extensor tenosynovitis | 3.89 (1.54–9.83) | 0.004 | 4.03 (0.60–27.01) | 0.151 |
| Flexor tenosynovitis | 2.77 (1.16–6.61) | 0.022 | 0.74 (0.14–3.96) | 0.724 |
| DIP synovitis | 4.40 (1.35–14.36) | 0.014 | 0.76 (0.10–6.16) | 0.8 |
| US and Laboratory Features | Tree | Linear SVM | Quadradic SVM | Gaussian SVM | KNN K = 10 | AdaBoost | Random Forest | Neural Network |
|---|---|---|---|---|---|---|---|---|
| Accuracy | 83. 7 | 84.97 | 84.66 | 84.97 | 76.07 | 86.2 | 86.5 | 85.28 |
| Sensitivity | 78.05 | 78.86 | 73.98 | 78.05 | 42.28 | 79.67 | 82.11 | 79.67 |
| Specificity | 87.19 | 88.67 | 91.13 | 89.16 | 96.55 | 90.15 | 89.16 | 88.67 |
| Precision | 78.69 | 80.83 | 83.49 | 81.36 | 88.14 | 83.05 | 82.09 | 80.99 |
| FPR | 12.81 | 11.33 | 08.87 | 10.84 | 03.45 | 09.85 | 10.84 | 11.33 |
| F1-Score | 78.37 | 79.84 | 78.45 | 79.67 | 57.14 | 81.33 | 82.10 | 80.33 |
| MCC Matthews | 65.35 | 67.87 | 66.90 | 67.79 | 48.88 | 70.42 | 71.28 | 68.57 |
| Kappa Cohen’s | 65.35 | 67.86 | 66.61 | 67.75 | 43.26 | 70.39 | 71.28 | 68.56 |
| US Features | Tree | Linear SVM | Quadradic SVM | Gaussian SVM | KNN K = 10 | AdaBoost | Random Forest | Neural Network |
|---|---|---|---|---|---|---|---|---|
| Accuracy | 82.52 | 82.52 | 81.90 | 80.98 | 78.83 | 83.44 | 83.74 | 81.60 |
| Sensitivity | 69.92 | 78.05 | 69.92 | 73.98 | 47.15 | 68.29 | 75.61 | 65.04 |
| Specificity | 90.15 | 85.22 | 89.16 | 85.22 | 98.03 | 92.61 | 88.67 | 91.63 |
| Precision | 81.13 | 76.19 | 79.63 | 75.21 | 93.55 | 84.85 | 80.17 | 82.47 |
| FPR | 09.85 | 14.78 | 10.84 | 14.78 | 1.97 | 7.39 | 11.33 | 8.37 |
| F1-Score | 75.11 | 77.11 | 74.46 | 74.59 | 62.7 | 75.68 | 77.82 | 72.73 |
| MCC Matthews | 62.15 | 62.98 | 60.84 | 59.4 | 55.81 | 64.20 | 65.08 | 60.08 |
| Kappa Cohen’s | 61.75 | 62.97 | 60.54 | 59.4 | 50.08 | 63.34 | 65.01 | 59.19 |
| Laboratory Features | Tree | Linear SVM | Quadradic SVM | Gaussian SVM | KNN K = 10 | AdaBoost | Random Forest | Neural Network |
|---|---|---|---|---|---|---|---|---|
| Accuracy | 63.8 | 72.09 | 71.47 | 70.55 | 70.55 | 70.55 | 73.01 | 65.34 |
| Sensitivity | 54.47 | 30.89 | 34.15 | 30.89 | 30.89 | 42.28 | 48.78 | 49.59 |
| Specificity | 69.64 | 97.04 | 94.09 | 94.58 | 94.58 | 87.68 | 87.68 | 74.88 |
| Precision | 51.94 | 86.36 | 77.78 | 77.55 | 77.55 | 67.53 | 70.59 | 54.46 |
| FPR | 30.54 | 02.96 | 05.91 | 05.42 | 05.42 | 12.32 | 12.32 | 25.12 |
| F1-Score | 53.17 | 45.51 | 47.46 | 44.19 | 44.19 | 52 | 57.69 | 51.91 |
| MCC Matthews | 23.72 | 39.63 | 36.81 | 34.55 | 34.55 | 34.19 | 40.26 | 24.98 |
| Kappa Cohen’s | 23.70 | 31.99 | 31.74 | 28.90 | 28.90 | 32.34 | 38.83 | 24.91 |
Disclaimer/Publisher’s Note: The statements, opinions and data contained in all publications are solely those of the individual author(s) and contributor(s) and not of MDPI and/or the editor(s). MDPI and/or the editor(s) disclaim responsibility for any injury to people or property resulting from any ideas, methods, instructions or products referred to in the content. |
© 2024 by the authors. Licensee MDPI, Basel, Switzerland. This article is an open access article distributed under the terms and conditions of the Creative Commons Attribution (CC BY) license (https://creativecommons.org/licenses/by/4.0/).
Share and Cite
Daskareh, M.; Vakilpour, A.; Barzegar-Golmoghani, E.; Esmaeilian, S.; Gilanchi, S.; Ezzati, F.; Alikhani, M.; Rahmanipour, E.; Amini, N.; Ghorbani, M.; et al. Predicting Rheumatoid Arthritis Development Using Hand Ultrasound and Machine Learning—A Two-Year Follow-Up Cohort Study. Diagnostics 2024, 14, 1181. https://doi.org/10.3390/diagnostics14111181
Daskareh M, Vakilpour A, Barzegar-Golmoghani E, Esmaeilian S, Gilanchi S, Ezzati F, Alikhani M, Rahmanipour E, Amini N, Ghorbani M, et al. Predicting Rheumatoid Arthritis Development Using Hand Ultrasound and Machine Learning—A Two-Year Follow-Up Cohort Study. Diagnostics. 2024; 14(11):1181. https://doi.org/10.3390/diagnostics14111181
Chicago/Turabian StyleDaskareh, Mahyar, Azin Vakilpour, Erfan Barzegar-Golmoghani, Saeid Esmaeilian, Samira Gilanchi, Fatemeh Ezzati, Majid Alikhani, Elham Rahmanipour, Niloofar Amini, Mohammad Ghorbani, and et al. 2024. "Predicting Rheumatoid Arthritis Development Using Hand Ultrasound and Machine Learning—A Two-Year Follow-Up Cohort Study" Diagnostics 14, no. 11: 1181. https://doi.org/10.3390/diagnostics14111181
APA StyleDaskareh, M., Vakilpour, A., Barzegar-Golmoghani, E., Esmaeilian, S., Gilanchi, S., Ezzati, F., Alikhani, M., Rahmanipour, E., Amini, N., Ghorbani, M., & Pezeshk, P. (2024). Predicting Rheumatoid Arthritis Development Using Hand Ultrasound and Machine Learning—A Two-Year Follow-Up Cohort Study. Diagnostics, 14(11), 1181. https://doi.org/10.3390/diagnostics14111181

