Arteriovenous Fistula: The Case of a Rare Complication after Minimal Percutaneous Nephrostomy and Brief Review
Abstract
1. Introduction
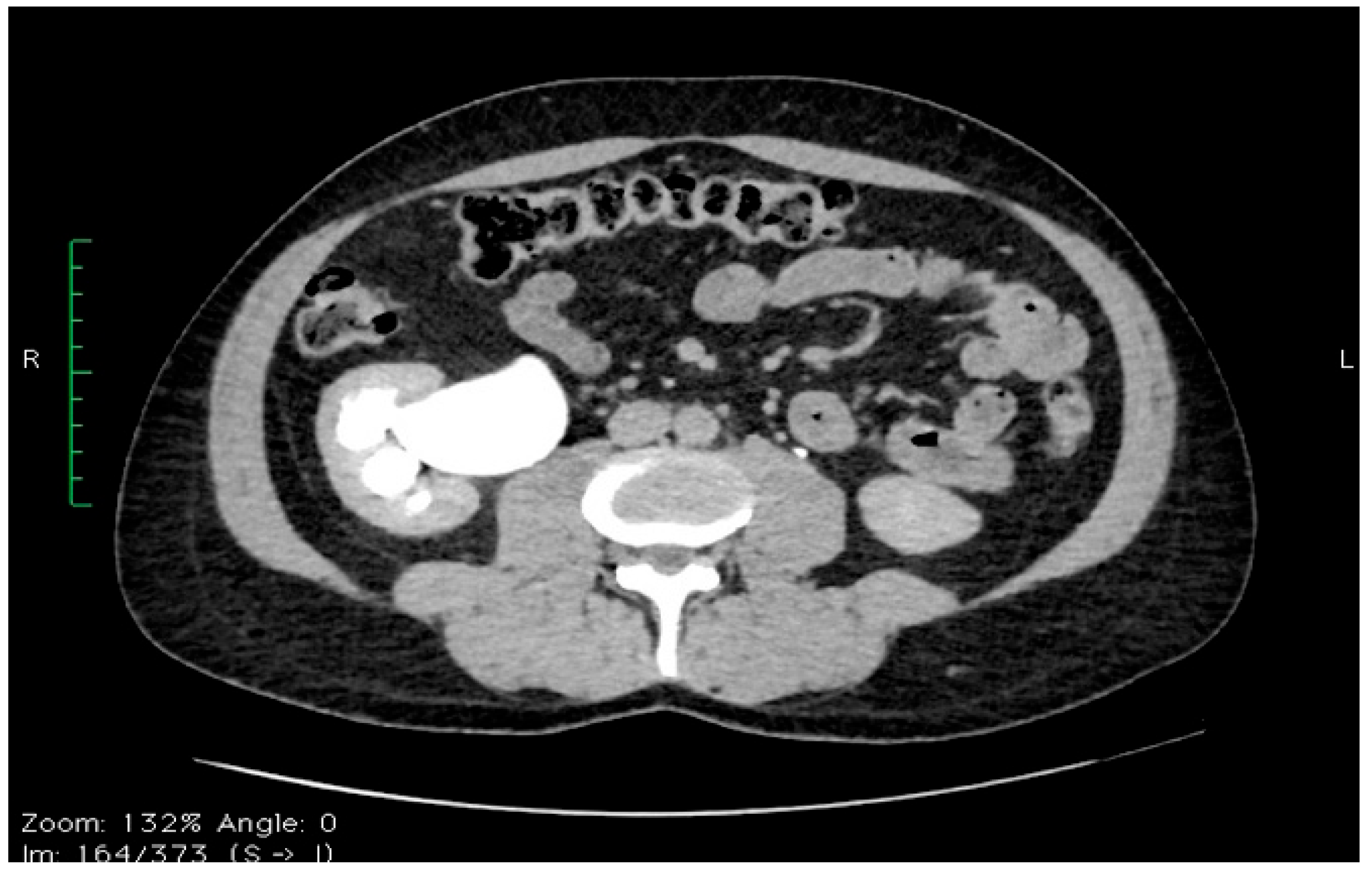
2. Case Report
3. Discussion
4. Conclusions
Author Contributions
Funding
Institutional Review Board Statement
Informed Consent Statement
Data Availability Statement
Conflicts of Interest
References
- Guo, H.; Wang, C.; Yang, M.; Tong, X.; Wang, J.; Guan, H.; Song, L.; Zou, Y. Management of iatrogenic renal arteriovenous fistula and renal arterial pseudoaneurysm by transarterial embolization: A single center analysis and outcomes. Medicine 2017, 96, e8187. [Google Scholar] [CrossRef]
- Skolarikos, A.; Alivizatos, G.; Papatsoris, A.; Constantinides, K.; Zerbas, A.; Deliveliotis, C. Ultrasound-guided percutaneous nephrostomy performed by urologists: 10-year experience. Urology 2006, 68, 495–499. [Google Scholar] [CrossRef]
- Pabon-Ramos, W.M.; Dariushnia, S.R.; Walker, T.G.; d’Othée, B.J.; Ganguli, S.; Midia, M.; Siddiqi, N.; Kalva, S.P.; Nikolic, B.; Society of Interventional Radiology Standards of Practice Committee. Quality improvement guidelines for percutaneous nephrostomy. J. Vasc. Interv. Radiol. 2016, 27, 410–414. [Google Scholar] [CrossRef]
- Rouvière, O.; Badet, L.; Murat, F.J.; Maréchal, J.M.; Colombel, M.; Martin, X.; Lyonnet, D.; Gelet, A. Radiofrequency ablation of renal tumors with an expandable multitined electrode: Results, complications, and pilot evaluation of cooled pyeloperfusion for collecting system protection. Cardiovasc. Intervent. Radiol. 2008, 31, 595–603. [Google Scholar] [CrossRef]
- Degirmenci, T.; Gunlusoy, B.; Kozacioglu, Z.; Arslan, M.; Ceylan, Y.; Ors, B.; Minareci, S. Utilization of a modified Clavien Classification System in reporting complications after ultrasound-guided percutaneous nephrostomy tube placement: Comparison to standard Society of Interventional Radiology practice guidelines. Urology 2013, 81, 1161–1167. [Google Scholar] [CrossRef] [PubMed]
- Popuri, R.; Zuckerman, D.A. Ureteral interventions. Semin. Intervent. Radiol. 2011, 28, 392–395. [Google Scholar] [CrossRef] [PubMed]
- AbdelAziz, H.H.; Gad, M.H. Successful management of an inadvertent placement of a nephrostomy tube into the inferior vena cava following percutaneous nephrolithotomy: A case discussion and literature review of a rare complication. Cureus 2023, 15, e44422. [Google Scholar] [CrossRef] [PubMed]
- Montvilas, P.; Solvig, J.; Johansen, T.E.B. Single-centre review of radiologically guided percutaneous nephrostomy using “mixed” technique: Success and complication rates. Eur. J. Radiol. 2011, 80, 553–558. [Google Scholar] [CrossRef]
- Yoshimoto, H.; Ninchoji, T.; Nagai, S.; Horinouchi, T.; Nozu, K. Spontaneous regression of arterial pseudoaneurysm after kidney biopsy. CEN Case Rep. 2022, 11, 159–160. [Google Scholar] [CrossRef]
- Smith, T.A.; Gage, D.; Quencer, K.B. Narrative review of vascular iatrogenic trauma and endovascular treatment. Ann. Transl. Med. 2021, 9, 1199. [Google Scholar] [CrossRef]
- Gray, R.R.; So, C.B.; McLoughlin, R.F.; Pugash, R.A.; Saliken, J.C.; Macklin, N.I. Outpatient percutaneous nephrostomy. Radiology 1996, 198, 85–88. [Google Scholar] [CrossRef] [PubMed]
- Lee, W.J.; Patel, U.; Patel, S.; Pillari, G.P. Emergency percutaneous nephrostomy: Results and complications. J. Vasc. Interv. Radiol. 1994, 5, 135–139. [Google Scholar] [CrossRef]
- Cochran, S.T.; Barbaric, Z.L.; Lee, J.J.; Kashfian, P. Percutaneous nephrostomy tube placement: An outpatient procedure? Radiology 1991, 179, 843–847. [Google Scholar] [CrossRef] [PubMed]
- Muratsu, A.; Nakao, S.; Yoshimura, J.; Muroya, T.; Shimazaki, J.; Nakagawa, Y.; Ogura, H.; Shimazu, T. Evaluation of urinary extravasation after non-operative management of traumatic renal injury: A multi-center retrospective study. Eur. J. Trauma Emerg. Surg. 2022, 48, 2117–2124. [Google Scholar] [CrossRef]
- Liao, X.; Xu, H.; Liu, F.; Min, X.; Li, Y.; Yang, L.; Ren, Y. Value of angioembolization in the treatment of iatrogenic renal vascular injury assisted by 3-dimensional digital subtraction angiography. Med. Sci. Monit. 2020, 26, e927208. [Google Scholar] [CrossRef] [PubMed]
- Pearle, M.S.; Pierce, H.L.; Miller, G.L.; Summa, J.A.; Mutz, J.M.; Petty, B.A.; Roehrborn, C.G.; Kryger, J.V.; Nakada, S.Y. Optimal method of urgent decompression of the collecting system for obstruction and infection due to ureteral calculi. J. Urol. 1998, 160, 1260–1264. [Google Scholar] [CrossRef] [PubMed]
- Lewis, S.; Patel, U. Major complications after percutaneous nephrostomy-lessons from a department audit. Clin. Radiol. 2004, 59, 171–179. [Google Scholar] [CrossRef] [PubMed]
- Rana, A.M.; Zaidi, Z.; El-Khalid, S. Single-center review of fluoroscopy-guided percutaneous nephrostomy performed by urologic surgeons. J. Endourol. 2007, 21, 688–691. [Google Scholar] [CrossRef] [PubMed]
- Barbaric, Z.L.; Hall, T.; Cochran, S.T.; Heitz, D.R.; Schwartz, R.A.; Krasny, R.M.; Deseran, M.W. Percutaneous nephrostomy: Placement under CT and fluoroscopy guidance. AJR Am. J. Roentgenol. 1997, 169, 151–155. [Google Scholar] [CrossRef]
- Herlambang, M.S.; Noegroho, B.S.; Adi, K.; Mustafa, A. Reno-duodenal fistula as a rare complication of percutaneous nephrostomy: A case report. Urol. Case Rep. 2020, 35, 101547. [Google Scholar] [CrossRef]
- Kelley, M.; Spieler, B.; Rouse, C.; Karl, B.; Marshall, R.; Carbonella, G. Urinothorax: A rare complication of percutaneous nephrostomy. Radiol. Case Rep. 2019, 14, 729–733. [Google Scholar] [CrossRef] [PubMed]
- Farrell, T.A.; Hicks, M.E. A review of radiologically guided percutaneous nephrostomies in 303 patients. J. Vasc. Interv. Radiol. 1997, 8, 769–774. [Google Scholar] [CrossRef]
- Radecka, E.; Magnusson, A. Complications associated with percutaneous nephrostomies. A retrospective study. Acta Radiol. 2004, 45, 184–188. [Google Scholar] [CrossRef] [PubMed]
- Gallucci, M.; Fortunato, P.; Schettini, M.; Vincenzoni, A. Management of hemorrhage after percutaneous renal surgery. J. Endourol. 1998, 12, 509–512. [Google Scholar] [CrossRef] [PubMed]
- Lee, W.J.; Mond, D.J.; Patel, M.; Pillari, G.P. Emergency percutaneous nephrostomy: Technical success based on level of operator experience. J. Vasc. Interv. Radiol. 1994, 5, 327–330. [Google Scholar] [CrossRef]
- Jinga, V.; Dorobat, B.; Youssef, S.; Radavoi, G.D.; Braticevici, B.; Filipoiu, F.; Balgradean, M. Transarterial embolization of renal vascular lesions after percutaneous nephrolithotomy. Chirurgia 2013, 108, 521–529. [Google Scholar] [PubMed]
- Tufano, A.; Asero, V.; Proietti, F.; Flammia, R.S.; Franco, G.; Leonardo, C. Arteriovenous fistula after robotic partial nephrectomy: Case report and narrative review. Radiol. Case Rep. 2022, 17, 2550–2553. [Google Scholar] [CrossRef] [PubMed]
- Liu, W.Z.; Huang, T.; Fang, L.; Cheng, Y. Renal arteriovenous fistula after retrograde ureteroscopic lithotripsy for the lower ureteral stones: A rare case report. BMC Urol. 2020, 20, 123. [Google Scholar]
- Tiplitsky, S.I.; Milhoua, P.M.; Patel, M.B.; Minsky, L.; Hoenig, D.M. Case report: Intrarenal arteriovenous fistula after ureteroscopic stone extraction with holmium laser lithotripsy. J. Endourol. 2007, 21, 530–532. [Google Scholar] [CrossRef]
- Irani, D.; Haghpanah, A.; Rasekhi, A.; Kamran, H.; Rahmanian, M.; Hosseini, M.M.; Dejman, B.; Kiani, S. Predictive factors of delayed bleeding after percutaneous nephrolithotomy requiring angioembolization. BJUI Compass 2023, 5, 76–83. [Google Scholar] [CrossRef]
- Un, S.; Cakir, V.; Kara, C.; Turk, H.; Kose, O.; Balli, O.; Yilmaz, Y. Risk factors for hemorrhage requiring embolization after percutaneous nephrolithotomy. Can. Urol. Assoc. J. 2015, 9, E594–E598. [Google Scholar] [CrossRef] [PubMed]



| Major Complications | Percentage (%) |
|---|---|
| Septic complications | 1–10 |
| Vascular complications requiring transfusions | |
| Simple percutaneous nephrostomy | 1–4 |
| In association with PCNL | 12–14 |
| Vascular injury requiring embolization or nephrectomy | 0.1–1 |
| Intestinal perforation | 0.2–0.5 |
| Pleural perforation | |
| Simple percutaneous nephrostomy | 0.1–0.6 |
| In association with PCNL | 8.7–12 |
| Complications leading to transfer to ICU, emergency surgery, or prolonged hospitalization | 1–7 |
Disclaimer/Publisher’s Note: The statements, opinions and data contained in all publications are solely those of the individual author(s) and contributor(s) and not of MDPI and/or the editor(s). MDPI and/or the editor(s) disclaim responsibility for any injury to people or property resulting from any ideas, methods, instructions or products referred to in the content. |
© 2024 by the authors. Licensee MDPI, Basel, Switzerland. This article is an open access article distributed under the terms and conditions of the Creative Commons Attribution (CC BY) license (https://creativecommons.org/licenses/by/4.0/).
Share and Cite
Dănău, R.A.; Petca, R.-C.; Constantin, T.V.; Petca, A.; Predoiu, G.; Jinga, V. Arteriovenous Fistula: The Case of a Rare Complication after Minimal Percutaneous Nephrostomy and Brief Review. Diagnostics 2024, 14, 1121. https://doi.org/10.3390/diagnostics14111121
Dănău RA, Petca R-C, Constantin TV, Petca A, Predoiu G, Jinga V. Arteriovenous Fistula: The Case of a Rare Complication after Minimal Percutaneous Nephrostomy and Brief Review. Diagnostics. 2024; 14(11):1121. https://doi.org/10.3390/diagnostics14111121
Chicago/Turabian StyleDănău, Răzvan Alexandru, Răzvan-Cosmin Petca, Traian Vasile Constantin, Aida Petca, Gabriel Predoiu, and Viorel Jinga. 2024. "Arteriovenous Fistula: The Case of a Rare Complication after Minimal Percutaneous Nephrostomy and Brief Review" Diagnostics 14, no. 11: 1121. https://doi.org/10.3390/diagnostics14111121
APA StyleDănău, R. A., Petca, R.-C., Constantin, T. V., Petca, A., Predoiu, G., & Jinga, V. (2024). Arteriovenous Fistula: The Case of a Rare Complication after Minimal Percutaneous Nephrostomy and Brief Review. Diagnostics, 14(11), 1121. https://doi.org/10.3390/diagnostics14111121

