Objective Methods to Assess Aorto-Iliac Calcifications: A Systematic Review
Abstract
1. Introduction
2. Materials and Methods
2.1. Eligibility Criteria
2.2. Data Items
3. Results
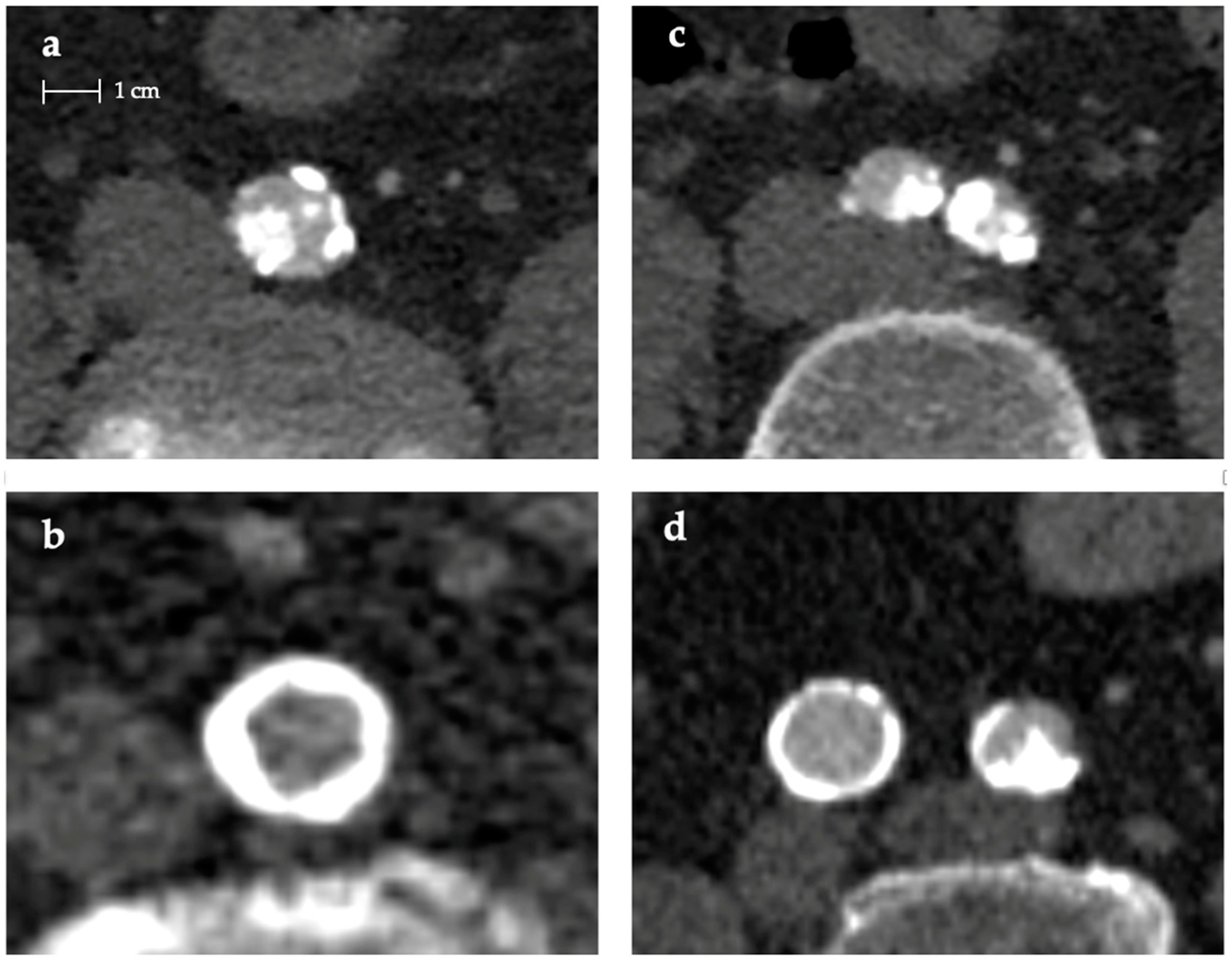
3.1. Calcification Measurement Methods
3.1.1. Manual Measurement Methods
3.1.2. Automated or Semi-Automated Measurement Methods
3.2. Clinical Outcomes
4. Discussion
Limitations
5. Conclusions
Supplementary Materials
Author Contributions
Funding
Institutional Review Board Statement
Informed Consent Statement
Data Availability Statement
Conflicts of Interest
References
- Tankeu, A.T.; Ndip Agbor, V.; Noubiap, J.J. Calcium Supplementation and Cardiovascular Risk: A Rising Concern. J. Clin. Hypertens. 2017, 19, 640–646. [Google Scholar] [CrossRef] [PubMed]
- Demer, L.L.; Tintut, Y. Vascular Calcification: Pathobiology of a Multifaceted Disease. Circulation 2008, 117, 2938–2948. [Google Scholar] [PubMed]
- Sekikawa, A.; Shin, C.; Curb, J.D.; Barinas-Mitchell, E.; Masaki, K.; El-Saed, A.; Seto, T.B.; Mackey, R.H.; Choo, J.; Fujiyoshi, A.; et al. Aortic Stiffness and Calcification in Men in a Population-Based International Study. Atherosclerosis 2012, 222, 473–477. [Google Scholar] [CrossRef]
- Mariani, E.; Bramucci, A.; Suma, S.; Fornasari, A.; Catasta, A.; Gaibazzi, N.; Perini, P.; Freyrie, A. Influence of Stent-Graft Fabrics on Aortic Stiffness after EVAR: Preliminary Results of a Prospective Cohort-Study. Ital. J. Vasc. Endovasc. 2022, 29, 119–123. [Google Scholar] [CrossRef]
- Nordanstig, J.; Behrendt, C.A.; Baumgartner, I.; Belch, J.; Bäck, M.; Fitridge, R.; Hinchliffe, R.; Lejay, A.; Mills, J.L.; Rother, U.; et al. European Society for Vascular Surgery (ESVS) 2024 Clinical Practice Guidelines on the Management of Asymptomatic Lower Limb Peripheral Arterial Disease and Intermittent Claudication. Eur. J. Vasc. Endovasc. Surg. 2023, 67, 9–96. [Google Scholar] [CrossRef]
- Zhu, D.; Mackenzie, N.C.W.; Farquharson, C.; MacRae, V.E. Mechanisms and Clinical Consequences of Vascular Calcification. Front. Endocrinol. 2012, 3, 95. [Google Scholar] [CrossRef] [PubMed]
- Agatston, A.S.; Janowitz, W.R.; Hildner, F.J.; Zusmer, N.R.; Viamonte, M.; Detrano, R.; Beach, M.; Beach, L. Quantification of Coronary Artery Calcium Using Ultrafast Computed Tomography. JACC 1990, 15, 827–832. [Google Scholar] [CrossRef] [PubMed]
- Criqui, M.H.; Kamineni, A.; Allison, M.A.; Carr, J.J.; Cushman, M.; Detrano, R.; Post, W.; Wong, N.D. Risk Factor Differences for Aortic vs. Coronary Calcified Atherosclerosis: The Multi-Ethnic Study of Atherosclerosis. Arterioscler. Thromb. Vasc. Biol. 2010, 30, 2289–2296. [Google Scholar] [CrossRef] [PubMed]
- Page, M.J.; McKenzie, J.E.; Bossuyt, P.M.; Boutron, I.; Hoffmann, T.C.; Mulrow, C.D.; Shamseer, L.; Tetzlaff, J.M.; Akl, E.A.; Brennan, S.E.; et al. The PRISMA 2020 Statement: An Updated Guideline for Reporting Systematic Reviews. Int. J. Surg. 2021, 88, 105906. [Google Scholar] [CrossRef]
- Ohya, M.; Otani, H.; Kimura, K.; Saika, Y.; Fujii, R.; Yukawa, S.; Shigematsu, T. Improved Assessment of Aortic Calcification in Japanese Patients Undergoing Maintenance Hemodialysis. Intern. Med. 2010, 49, 2071–2075. [Google Scholar] [CrossRef]
- Tsai, C.H.; Lin, L.Y.; Lin, Y.H.; Tsai, I.J.; Huang, J.W.; Chen, R. Abdominal Aorta Calcification Predicts Cardiovascular but Not Non-Cardiovascular Outcome in Patients Receiving Peritoneal Dialysis: A Prospective Cohort Study. Medicine 2020, 99, 21730. [Google Scholar] [CrossRef]
- Bagheri Rajeoni, A.; Pederson, B.; Clair, D.G.; Lessner, S.M.; Valafar, H. Automated Measurement of Vascular Calcification in Femoral Endarterectomy Patients Using Deep Learning. Diagnostics 2023, 13, 3363. [Google Scholar] [CrossRef] [PubMed]
- Isgum, I.; Van Ginneken, B.; Olree, M. Automatic Detection of Calcifications in the Aorta CT Scans of the Abdomen: 3D Computer-Aided Diagnosis. Acad. Radiol. 2004, 11, 247–257. [Google Scholar] [CrossRef] [PubMed]
- Konijn, L.C.D.; van Overhagen, H.; Takx, R.A.P.; de Jong, P.A.; Veger, H.T.C.; Mali, W.P.T.M. CT Calcification Patterns of Peripheral Arteries in Patients without Known Peripheral Arterial Disease. Eur. J. Radiol. 2020, 128, 108973. [Google Scholar] [CrossRef] [PubMed]
- NasrAllah, M.M.; Nassef, A.; Elshaboni, T.H.; Morise, F.; Osman, N.A.; Sharaf El Din, U.A. Comparing Different Calcification Scores to Detect Outcomes in Chronic Kidney Disease Patients with Vascular Calcification. Int. J. Cardiol. 2016, 220, 884–889. [Google Scholar] [CrossRef] [PubMed]
- Jayalath, R.W.; Jackson, P.; Golledge, J. Quantification of Abdominal Aortic Calcification on CT. Arterioscler. Thromb. Vasc. Biol. 2006, 26, 429–430. [Google Scholar] [CrossRef] [PubMed]
- Kurugol, S.; Come, C.E.; Diaz, A.A.; Ross, J.C.; Kinney, G.L.; Black-Shinn, J.L.; Hokanson, J.E.; Budoff, M.J.; Washko, G.R.; San Jose Estepar, R. Automated Quantitative 3D Analysis of Aorta Size, Morphology, and Mural Calcification Distributions. Med. Phys. 2015, 42, 5467–5478. [Google Scholar] [CrossRef] [PubMed]
- Adragao, T.; Pires, A.; Lucas, C.; Birne, R.; Magalhaes, L.; Gonçalves, M.; Negrao, A.P. A Simple Vascular Calcification Score Predicts Cardiovascular Risk in Haemodialysis Patients. Nephrol. Dial. Transplant. 2004, 19, 1480–1488. [Google Scholar] [CrossRef] [PubMed]
- Kimura, K.; Saika, Y.; Otani, H.; Fujii, R.; Mune, M.; Yukawa, S. Factors Associated with Calcification of the Abdominal Aorta in Hemodialysis Patients. Kidney Int. 1999, 56, 238–241. [Google Scholar] [CrossRef]
- Guidi, L.; Lareyre, F.; Chaudhuri, A.; Lê, C.D.; Adam, C.; Carrier, M.; Hassen-Khodja, R.; Jean-Baptiste, E.; Rafort, J. Automatic Measurement of Vascular Calcifications in Patients with Aorto-Iliac Occlusive Disease to Predict the Risk of Re-Intervention After Endovascular Repair. Ann. Vasc. Surg. 2022, 83, 10–19. [Google Scholar] [CrossRef]
- Kockelkoren, R.; Vos, A.; Van Hecke, W.; Vink, A.; Bleys, R.L.A.W.; Verdoorn, D.; Mali, W.P.T.M.; Hendrikse, J.; Koek, H.L.; De Jong, P.A.; et al. Computed Tomographic Distinction of Intimal and Medial Calcification in the Intracranial Internal Carotid Artery. PLoS ONE 2017, 12, 168360. [Google Scholar] [CrossRef]
- Lareyre, F.; Adam, C.; Carrier, M.; Raffort, J. Automated Segmentation of the Human Abdominal Vascular System Using a Hybrid Approach Combining Expert System and Supervised Deep Learning. J. Clin. Med. 2021, 10, 3347. [Google Scholar] [CrossRef]
- Lareyre, F.; Adam, C.; Carrier, M.; Dommerc, C.; Mialhe, C.; Raffort, J. A Fully Automated Pipeline for Mining Abdominal Aortic Aneurysm Using Image Segmentation. Sci. Rep. 2019, 9, 13750. [Google Scholar] [CrossRef]
- Lee, S.J.; Lee, I.K.; Jeon, J.H. Vascular Calcification—New Insights into Its Mechanism. Int. J. Mol. Sci. 2020, 21, 2685. [Google Scholar] [CrossRef] [PubMed]
- Greenland, P.; Blaha, M.J.; Budoff, M.J.; Erbel, R.; Watson, K.E. Coronary Calcium Score and Cardiovascular Risk. J. Am. Coll. Cardiol. 2018, 72, 434–447. [Google Scholar] [CrossRef] [PubMed]
- Alexopoulos, D.; Toulgaridis, T.; Davlouros, P.; Christodoulou, J.; Sitafidis, G.; Hahalis, G.; Vagenakis, A.G. Prognostic Significance of Coronary Artery Calcium in Asymptomatic Subjects with Usual Cardiovascular Risk. Am. Heart J. 2003, 145, 542–548. [Google Scholar] [CrossRef]
- Becker, A.; Leber, A.; Becker, C.; Knez, A. Predictive Value of Coronary Calcifications for Future Cardiac Events in Asymptomatic Individuals. Am. Heart J. 2008, 155, 154–160. [Google Scholar] [CrossRef] [PubMed]
- Budoff, M.J.; Nasir, K.; Katz, R.; Takasu, J.; Carr, J.J.; Wong, N.D.; Allison, M.; Lima, J.A.C.; Detrano, R.; Blumenthal, R.S.; et al. Thoracic Aortic Calcification and Coronary Heart Disease Events: The Multi-Ethnic Study of Atherosclerosis (MESA). Atherosclerosis 2011, 215, 196–202. [Google Scholar] [CrossRef]
- Jayalath, R.W.; Mangan, S.H.; Golledge, J. Aortic Calcification. Eur. J. Vasc. Endovasc. Surg. 2005, 30, 476–488. [Google Scholar] [CrossRef]
- Kapoor, K.; Cainzos-Achirica, M.; Nasir, K. The Evolving Role of Coronary Artery Calcium in Preventive Cardiology 30 Years after the Agatston Score. Curr. Opin. Cardiol. 2020, 35, 500–507. [Google Scholar] [CrossRef]
- Buijs, R.V.C.; Leemans, E.L.; Greuter, M.; Tielliu, I.F.J.; Zeebregts, C.J.; Willems, T.P. Quantification of Abdominal Aortic Calcification: Inherent Measurement Errors in Current Computed Tomography Imaging. PLoS ONE 2018, 13, 0193419. [Google Scholar] [CrossRef] [PubMed]
- Beckman, J.A.; Schneider, P.A.; Conte, M.S. Advances in Revascularization for Peripheral Artery Disease: Revascularization in PAD. Circ. Res. 2021, 128, 1885–1912. [Google Scholar] [CrossRef] [PubMed]
- Rocha-Singh, K.J.; Zeller, T.; Jaff, M.R. Peripheral Arterial Calcification: Prevalence, Mechanism, Detection, and Clinical Implications. Catheter. Cardiovasc. Interv. 2014, 83, 212–2020. [Google Scholar] [CrossRef]
- Massoni, C.B.; Gargiulo, M.; Freyrie, A.; Gallitto, E.; De Matteis, M.; Mascoli, C.; Stella, A. Abdominal Aortic Bifurcation Anatomy and Endograft Limb Size Affect the Use of Adjunctive Iliac Stenting after Bifurcated Endograft Deployment for Abdominal Aortic Aneurysm. J. Cardiovasc. Surg. 2018, 59, 237–242. [Google Scholar] [CrossRef]
- Yin, D.; Mintz, G.S.; Song, L.; Chen, Z.; Lee, T.; Kirtane, A.J.; Parikh, M.A.; Moses, J.W.; Fall, K.N.; Jeremias, A.; et al. In-Stent Restenosis Characteristics and Repeat Stenting Underexpansion: Insights from Optical Coherence Tomography. EuroIntervention 2021, 16, 335–343. [Google Scholar] [CrossRef]
- Fischer, U.M.; Shireman, P.K.; Lin, J.C. Current Applications of Artificial Intelligence in Vascular Surgery. Semin. Vasc. Surg. 2021, 34, 268–271. [Google Scholar] [CrossRef]
- Gogin, N.; Viti, M.; Nicodème, L.; Ohana, M.; Talbot, H.; Gencer, U.; Mekukosokeng, M.; Caramella, T.; Diascorn, Y.; Airaud, J.Y.; et al. Automatic Coronary Artery Calcium Scoring from Unenhanced-ECG-Gated CT Using Deep Learning. Diagn. Interv. Imaging. 2021, 102, 683–690. [Google Scholar] [CrossRef]
- Chang, S.; Kim, H.; Suh, Y.J.; Choi, D.M.; Kim, H.; Kim, D.K.; Kim, J.Y.; Yoo, J.Y.; Choi, B.W. Development of a Deep Learning-Based Algorithm for the Automatic Detection and Quantification of Aortic Valve Calcium. Eur. J. Radiol. 2021, 137, 109582. [Google Scholar] [CrossRef] [PubMed]
- Martin, S.S.; van Assen, M.; Rapaka, S.; Hudson, H.T.; Fischer, A.M.; Varga-Szemes, A.; Sahbaee, P.; Schwemmer, C.; Gulsun, M.A.; Cimen, S.; et al. Evaluation of a Deep Learning–Based Automated CT Coronary Artery Calcium Scoring Algorithm. JACC Cardiovasc. Imaging 2020, 13, 524–526. [Google Scholar] [CrossRef]
- Tokuda, T.; Oba, Y.; Koshida, R.; Suzuki, Y.; Murata, A.; Ito, T. The Impact of Femoropopliteal Artery Calcium Score after Endovascular Treatment. Ann. Vasc. Surg. 2020, 66, 543–553. [Google Scholar] [CrossRef]
- Ferraresi, R.; Ucci, A.; Pizzuto, A.; Losurdo, F.; Caminiti, M.; Minnella, D.; Casini, A.; Clerici, G.; Montero-Baker, M.; Mills, J. A Novel Scoring System for Small Artery Disease and Medial Arterial Calcification Is Strongly Associated With Major Adverse Limb Events in Patients With Chronic Limb-Threatening Ischemia. J. Endovasc. Ther. 2021, 28, 194–207. [Google Scholar] [CrossRef] [PubMed]
- Huang, C.L.; Wu, I.H.; Wu, Y.W.; Hwang, J.J.; Wang, S.S.; Chen, W.J.; Lee, W.J.; Yang, W.S. Association of Lower Extremity Arterial Calcification with Amputation and Mortality in Patients with Symptomatic Peripheral Artery Disease. PLoS ONE 2014, 9, 90201. [Google Scholar] [CrossRef] [PubMed]
- Chowdhury, M.M.; Makris, G.C.; Tarkin, J.M.; Joshi, F.R.; Hayes, P.D.; Rudd, J.H.F.; Coughlin, P.A. Lower Limb Arterial Calcification (LLAC) Scores in Patients with Symptomatic Peripheral Arterial Disease Are Associated with Increased Cardiac Mortality and Morbidity. PLoS ONE 2017, 12, 0182952. [Google Scholar] [CrossRef] [PubMed]
- Ferraresi, R.; Mauri, G.; Losurdo, F.; Troisi, N.; Brancaccio, D.; Caravaggi, C.; Neri, L. BAD Transmission and SAD Distribution: A New Scenario for Critical Limb Ischemia. J. Cardiovasc. Surg. 2018, 59, 655–664. [Google Scholar] [CrossRef] [PubMed]
- Lanzer, P.; Boehm, M.; Sorribas, V.; Thiriet, M.; Janzen, J.; Zeller, T.; St Hilaire, C.; Shanahan, C. Medial Vascular Calcification Revisited: Review and Perspectives. Eur. Heart J. 2014, 35, 1515–1525. [Google Scholar] [CrossRef]
- Villa-Bellosta, R. Vascular Calcification: Key Roles of Phosphate and Pyrophosphate. Int. J. Mol. Sci. 2021, 22, 13536. [Google Scholar] [CrossRef]


| Author Journal Year | Study Design | Number of Cases | Imaging Modality | Automated/Manual | ROI | Methodology | Outcomes |
|---|---|---|---|---|---|---|---|
| Ohya et al. [10] Inter Med 2010 | Prospective observational | 137 | CT | Manual | Abdominal aorta | 10 slices at 1 cm intervals from the aortic bifurcation. The calcification area is divided by the cross-sectional area and expressed as a percentage. | Risk factors for abdominal aortic calcification in HD patients include age, systolic blood pressure, and serum calcium. |
| Tsai et al. [11] Medicine 2020 | Prospective observational | 123 | CT | Manual | Abdominal aorta | The percentages of the area of the whole aorta affected by aortic calcification were calculated from the images of 4 consecutive slices just above the iliac bifurcation level. | Aortic calcification ratio (volume of calcific aorta/total aortic volume) has excellent prognostic value of CV mortality but is unable to predict non-CV mortality. |
| Bagheri Rajeoni et al. [12] Diagnostic 2023 | Prospective observational | 27 | CTA | Automated | From descending thoracic aorta to the patella | Trained deep learning model to automatically extract vascular system. Through intensity thresholding, the number of pixels associated with calcifications is measured. A conversion factor is applied to measure calcification volume. | The method achieved 83.4% average Dice accuracy in segmenting arteries from the aorta to the patella, advancing the state of the art by 0.8%. |
| Isgum et al. [13] Acad Radiol 2004 | Prospective observational | 40 | CTA | Automated | From first slice below SMA ostium to the first slice above the iliac arteries bifurcation | Extraction of all objects above 220 HU from the scan. Objects with low probability of being calcifications are discarded. Objects are then classified into calcifications and non-calcifications using a 5-nearest neighbor classifier. Based on the total volume of calcifications, the scan is assigned to one of the four categories: “no,” “small,” “moderate,” or “large” amounts of arterial calcification. | It is possible to identify most arterial calcifications in abdominal CT scans in a completely automatic fashion with few false positive objects, even if the scans contain contrast material. |
| Konijn et al. [14] Eur J Radiol 2020 | Retrospective | 204 | PET-CT | Manual | Abdominal aorta and lower limbs | Scoring characteristics: (1) severity: absent (no calcification), mild (1–3 small calcification), moderate (4–8 small or < 3 large calcifications), severe (>9 small or >3 large calcifications); (2) annularity: absent, dot(s), <90°, 90–270° or 270–360°; (3) thickness: absent, ≥1.5 mm or < 1.5 mm; (4) continuity: indistinguishable, irregular/patchy, or continuous. | Correlation between annular, thin, and continuous calcification characteristics and media calcifications while dot-like, thick, and patchy calcifications correlate to intima calcifications. |
| NasrAllah et al. [15] Int J Cardiol 2016 | Prospective observational | 111 | CT vs. X-Ray | Manual | Thoracic aorta, abdominal aorta, iliac arteries | Application of 6 vascular calcification scores: 2 scores utilized simple X-rays of abdominal aorta and peripheral vessels; 4 scores used CT scans of the thorax, abdomen, and pelvis to calculate the calcification index. | CT-based techniques are more sensitive than plain X-rays at detecting peripheral and aortic vascular calcifications. |
| Jayalath et al. [16] Arterioscler Thromb Vasc Biol 2006 | Prospective observational | 50 | CT vs. CTA | Manual | Abdominal aorta | CT and CTA analyzed using 5 different thresholds to define aortic calcification. CTA analysis for calcification volume measurements using three different protocols: (1) manual threshold setting without image magnification, (2) manual threshold setting with twice image magnification, and (3) automatic threshold setting with twice image magnification. | CTA provides accurate data on calcifications and in predicting subsequent events which, in addition to coronary events, may also include aorticocclusion, aneurysm formation, and outcome of interventional procedures on the aorta. |
| Kurugol et al. [17] Med Phys 2015 | Prospective observational | 2500 | CTA | Automated | Aortic arch | Algorithm: (1) detection of aorta boundary, (2) detection of aortic calcifications with thresholding, (3) extraction of the centerline of the segmented aortas to compute the aorta morphology and calcification measures. Measures include volume and number of calcified plaques and measures of vessel morphology such as average cross-sectional area, tortuosity, and arch width. | Development of an objective tool to assess aorta morphology and aortic calcium plaques on CT scans that may be used to provide information about the presence of cardiovascular disease and its clinical impact. |
| Adragao et al. [18] Nephrol Dial Transplant 2004 | Prospective observational | 123 | X-Ray | Manual | Pelvis and hand | Pelvis X-rays were divided into four sections while hand X-rays were divided into two sections. The presence of linear calcifications in each section was counted as 1 and its absence as 0. The final score was the sum of all the sections, ranging from 0 to 8. | Extensive vascular calcifications may represent one of the factors contributing to the extremely high CV mortality for HD patients when compared with the general population. |
| Kimura et al. [19] Kidney Int Suppl 1999 | Prospective observational | 132 | CTA | Manual | Abdominal aorta | 10 slices of the abdominal aorta at 1 cm intervals from the aortic bifurcation. For each slice, calculation of area of calcification over cross-sectional area. Total calcification area divided by total cross-sectional area to calculate calcification extent as a percentage. | Correlation between higher systolic blood pressure and serum Ca and Pi with severity of abdominal aorta calcification. |
| Guidi et al. [20] Ann Vasc Surg 2022 | Retrospective | 171 | CTA | Automated | Infrarenal abdominal aorta, left and right common, and the external iliac arteries | Three sequential steps: (1) image pre-processing, (2) lumen segmentation using expert system, (3) deep learning algorithms and segmentation of calcifications. Automatic quantification of vascular calcifications in a selected region including number, individual, and total volumes. | Target lesion re-intervention was performed in 55 (32.2%) patients who had higher volume of calcifications in the iliac arteries, compared with patients who did not have a reintervention. The development of fully automatic software would be useful to facilitate the measurement of vascular calcifications and possibly better inform the prognosis of patients. |
Disclaimer/Publisher’s Note: The statements, opinions and data contained in all publications are solely those of the individual author(s) and contributor(s) and not of MDPI and/or the editor(s). MDPI and/or the editor(s) disclaim responsibility for any injury to people or property resulting from any ideas, methods, instructions or products referred to in the content. |
© 2024 by the authors. Licensee MDPI, Basel, Switzerland. This article is an open access article distributed under the terms and conditions of the Creative Commons Attribution (CC BY) license (https://creativecommons.org/licenses/by/4.0/).
Share and Cite
Fornasari, A.; Kuntz, S.; Martini, C.; Perini, P.; Cabrini, E.; Freyrie, A.; Lejay, A.; Chakfé, N. Objective Methods to Assess Aorto-Iliac Calcifications: A Systematic Review. Diagnostics 2024, 14, 1053. https://doi.org/10.3390/diagnostics14101053
Fornasari A, Kuntz S, Martini C, Perini P, Cabrini E, Freyrie A, Lejay A, Chakfé N. Objective Methods to Assess Aorto-Iliac Calcifications: A Systematic Review. Diagnostics. 2024; 14(10):1053. https://doi.org/10.3390/diagnostics14101053
Chicago/Turabian StyleFornasari, Anna, Salomé Kuntz, Chiara Martini, Paolo Perini, Elisa Cabrini, Antonio Freyrie, Anne Lejay, and Nabil Chakfé. 2024. "Objective Methods to Assess Aorto-Iliac Calcifications: A Systematic Review" Diagnostics 14, no. 10: 1053. https://doi.org/10.3390/diagnostics14101053
APA StyleFornasari, A., Kuntz, S., Martini, C., Perini, P., Cabrini, E., Freyrie, A., Lejay, A., & Chakfé, N. (2024). Objective Methods to Assess Aorto-Iliac Calcifications: A Systematic Review. Diagnostics, 14(10), 1053. https://doi.org/10.3390/diagnostics14101053

