Pediatric Echinococcosis of the Liver in Austria: Clinical and Therapeutical Considerations
Abstract
1. Introduction
2. Echinococcosis
3. Epidemiology
4. Statistical Data from Austria
5. The Parasite Biology
6. Clinical Symptomatology
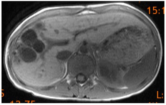
7. Diagnostics
8. Discussion with Therapy Guidelines
8.1. Alveolar Echinococcosis
8.2. Cystic Echinococcosis
9. Conclusions
Author Contributions
Funding
Institutional Review Board Statement
Informed Consent Statement
Data Availability Statement
Acknowledgments
Conflicts of Interest
References
- Albendazole: New indication. Useful adjunct in hydatid disease. Prescrire Int. 2000, 9, 139–142.
- da Silva, A.M. Human echinococcosis: A neglected disease. Gastroenterol. Res. Pract. 2010, 2010, 583297. [Google Scholar] [CrossRef]
- Djuricic, S.M.; Grebeldinger, S.; Kafka, D.I.; Djan, I.; Vukadin, M.; Vasiljevic, Z.V. Cystic echinococcosis in children—The seventeen-year experience of two large medical centers in Serbia. Parasitol. Int. 2010, 59, 257–261. [Google Scholar] [CrossRef] [PubMed]
- Petropoulos, A.S.; Chatzoulis, G.A. Echinococcus Granulosus in Childhood: A Retrospective Study of 187 Cases and Newer Data. Clin. Pediatr. 2019, 58, 864–888. [Google Scholar] [CrossRef]
- Jonaityte, E.; Judickas, M.; Tamuleviciene, E.; Seskute, M. Alveolar Echinococcosis in Children. Case Rep. Pediatr. 2020, 2020, 5101234. [Google Scholar] [CrossRef] [PubMed]
- Tappe, D.; Stich, A.; Frosch, M. Emergence of polycystic neotropical echinococcosis. Emerg. Infect. Dis. 2008, 14, 292–297. [Google Scholar] [CrossRef]
- Xiao, N.; Qiu, J.; Nakao, M.; Li, T.; Yang, W.; Chen, X.; Schantz, P.M.; Craig, P.S.; Ito, A. Echinococcus shiquicus n. sp., a taeniid cestode from Tibetan fox and plateau pika in China. Int. J. Parasitol. 2005, 35, 693–701. [Google Scholar] [CrossRef]
- Gottstein, B. Epidemiology and systematics of cystic and alveolar hydatid disease. Chirurg 2000, 71, 1–8. [Google Scholar]
- Austrian Agency for Health and Food Safety GmbH: Pathogens from A to Z; Actualised at 20 December 2022. Available online: https://www.ages.at/en/ (accessed on 17 January 2023).
- Pakala, T.; Molina, M.; Wu, G.Y. Hepatic Echinococcal Cysts: A Review. J. Clin. Transl. Hepatol. 2016, 4, 39–46. [Google Scholar] [CrossRef]
- Behera, P.K.; Satpathy, S. Hydatidosis of female genital tract: A case report. Indian J. Pathol. Microbiol. 2003, 46, 78–79. [Google Scholar]
- Nunnari, G.; Pinzone, M.R.; Gruttadauria, S.; Celesia, B.M.; Madeddu, G.; Malaguarnera, G.; Pavone, P.; Cappellani, A.; Cacopardo, B. Hepatic echinococcosis: Clinical and therapeutic aspects. World J. Gastroenterol. 2012, 18, 1448–1458. [Google Scholar] [CrossRef]
- Yoshida, T.; Kamiyama, T.; Okada, T.; Nakanishi, K.; Yokoo, H.; Kamachi, H.; Matsushita, M.; Sato, N.; Sasaki, F.; Todo, S. Alveolar echinococcosis of the liver in children. J. Hepatobiliary Pancreat. Sci. 2010, 17, 152–157. [Google Scholar] [CrossRef] [PubMed]
- Eckert, J.; Deplazes, P. Biological, epidemiological, and clinical aspects of echinococcosis, a zoonosis of increasing concern. Clin. Microbiol. Rev. 2004, 17, 107–135. [Google Scholar] [CrossRef] [PubMed]
- Senyuz, O.F.; Celayir, A.C.; Kilic, N.; Celayir, S.; Sarimurat, N.; Erdogan, E.; Yeker, D. Hydatid disease of the liver in childhood. Pediatr. Surg. Int. 1999, 15, 217–220. [Google Scholar] [CrossRef]
- Foroughi, M.; Bahador, A.; Beizavi, Z. Rapid Growth of Hydatid Cyst: A Pediatric Case Report. Iran J. Parasitol. 2021, 16, 164–167. [Google Scholar] [CrossRef] [PubMed]
- Tersigni, C.; Venturini, E.; Montagnani, C.; Bianchi, L.; Chiappini, E.; de Martino, M.; Galli, L. Should Pediatricians Be Aware of Cystic Echinococcosis? A Literature Review. J. Pediatr. Gastroenterol. Nutr. 2019, 68, 161–168. [Google Scholar] [CrossRef] [PubMed]
- Behera, S.; Bawa, M.; Kanojia, R.P. Multiorgan Echinococcosis in a Pediatric Patient. Indian J. Pediatr. 2021, 88, 1147–1148. [Google Scholar] [CrossRef]
- Kratzer, W.; Gruener, B.; Kaltenbach, T.E.; Ansari-Bitzenberger, S.; Kern, P.; Fuchs, M.; Mason, R.A.; Barth, T.F.; Haenle, M.M.; Hillenbrand, A.; et al. Proposal of an ultrasonographic classification for hepatic alveolar echinococcosis: Echinococcosis multilocularis Ulm classification-ultrasound. World J. Gastroenterol. 2015, 21, 12392–12402. [Google Scholar] [CrossRef]
- Stojkovic, M.; Rosenberger, K.; Kauczor, H.U.; Junghanss, T.; Hosch, W. Diagnosing and Staging of Cystic Echinococcosis: How Do CT and MRI Perform in Comparison to Ultrasound? PLoS Negl Trop Dis. 2012, 6, e1880. [Google Scholar] [CrossRef]
- Cevik, M.; Boleken, M.E.; Kurkcuoglu, I.C.; Eser, I.; Dorterler, M.E. Pulmonary hydatid disease is difficult recognized in children. Pediatr. Surg. Int. 2014, 30, 737–741. [Google Scholar] [CrossRef]
- Turgut, A.T.; Akhan, O.; Bhatt, S.; Dogra, V.S. Sonographic spectrum of hydatid disease. Ultrasound Q. 2008, 24, 17–29. [Google Scholar] [CrossRef]
- Calame, P.; Weck, M.; Busse-Cote, A.; Brumpt, E.; Richou, C.; Turco, C.; Doussot, A.; Bresson-Hadni, S.; Delabrousse, E. Role of the radiologist in the diagnosis and management of the two forms of hepatic echinococcosis. Insights Imaging 2022, 13, 68. [Google Scholar] [CrossRef]
- Gharbi, H.A.; Hassine, W.; Brauner, M.W.; Dupuch, K. Ultrasound examination of the hydatic liver. Radiology 1981, 139, 459–463. [Google Scholar] [CrossRef]
- Caoduro, C.; Porot, C.; Vuitton, D.A.; Bresson-Hadni, S.; Grenouillet, F.; Richou, C.; Boulahdour, H.; Blagosklonov, O. The role of delayed 18F-FDG-PET imaging in the follow-up of patients with alveolar echinococcosis. J. Nucl. Med. 2013, 54, 358–363. [Google Scholar] [CrossRef] [PubMed]
- Bulakci, M.; Ilhan, M.; Bademler, S.; Yilmaz, E.; Gulluoglu, M.; Bayraktar, A.; Asik, M.; Guloglu, R. Efficacy of ultrasound-guided core-needle biopsy in the diagnosis of hepatic alveolar echinococcosis: A retrospective analysis. Parasite 2016, 23, 19. [Google Scholar] [CrossRef]
- Sulima, M.; Nahorski, W.; Gorycki, T.; Wolyniec, W.; Waz, P.; Felczak-Korzybska, I.; Szostakowska, B.; Sikorska, K. Ultrasound images in hepatic alveolar echinococcosis and clinical stage of the disease. Adv. Med. Sci. 2019, 64, 324–330. [Google Scholar] [CrossRef]
- Kratzer, W.; Weimer, H.; Schmidberger, J. Echinococcosis: A Challenge for Liver Sonography. Ultraschall Med. 2022, 43, 120–145. [Google Scholar] [CrossRef] [PubMed]
- Graeter, T.; Kratzer, W.; Oeztuerk, S.; Haenle, M.M.; Mason, R.A.; Hillenbrand, A.; Kull, T.; Barth, T.F.; Kern, P.; Gruener, B. Proposal of a computed tomography classification for hepatic alveolar echinococcosis. World J. Gastroenterol. 2016, 22, 3621–3631. [Google Scholar] [CrossRef]
- Tamarozzi, F.; Longoni, S.S.; Vola, A.; Degani, M.; Tais, S.; Rizzi, E.; Prato, M.; Scarso, S.; Silva, R.; Brunetti, E.; et al. Evaluation of Nine Commercial Serological Tests for the Diagnosis of Human Hepatic Cyst Echinococcosis and the Differential Diagnosis with Other Focal Liver Lesions: A Diagnostic Accuracy Study. Diagnostics 2021, 11, 167. [Google Scholar] [CrossRef]
- Schoenfeld, L.; Scheper, T.; Warnecke, J.M.; Gottstein, B. A Newly Developed Membrane-Based Assay for Simultaneous Serologic Screening and Differentiation of Echinococcoses. Euroimmun. Ag. 2022, 11, 518. [Google Scholar]
- Barth, T.F.E.; Casulli, A. Morphological Characteristics of Alveolar and Cystic Echinococcosis Lesions in Human Liver and Bone. Pathogens 2021, 10, 1326. [Google Scholar] [CrossRef]
- Ahmad, Z.; Uddin, N.; Memon, W.; Abdul-Ghafar, J.; Ahmed, A. Intrahepatic biliary cystadenoma mimicking hydatid cyst of liver: A clinicopathologic study of six cases. J. Med. Case Rep. 2017, 11, 317. [Google Scholar] [CrossRef]
- Xu, X.; Qian, X.; Gao, C.; Pang, Y.; Zhou, H.; Zhu, L.; Wang, Z.; Pang, M.; Wu, D.; Yu, W.; et al. Advances in the pharmacological treatment of hepatic alveolar echinococcosis: From laboratory to clinic. Front. Microbiol. 2022, 13, 953846. [Google Scholar] [CrossRef] [PubMed]
- Calame, P.; Doussot, A.; Turco, C.; Colpart, P.; Heyd, B.; Delabrousse, E. Local invasion of hepatic alveolar echinococcosis should not be underestimated: Lessons learned from imaging-pathologic correlation. Diagn. Interv. Imaging 2021, 102, 189–192. [Google Scholar] [CrossRef] [PubMed]
- Wen, H.; Vuitton, L.; Tuxun, T.; Li, J.; Vuitton, D.A.; Zhang, W.; McManus, D.P. Echinococcosis: Advances in the 21st Century. Clin. Microbiol. Rev. 2019, 32, e00075-18. [Google Scholar] [CrossRef] [PubMed]
- Castro, A.R.; Hyppolito, E.B.; Valenca-Junior, J.T.; Coelho, G.R.; Garcia, J.H.P. Preliminary Data on Liver Transplantation in Hydatidosis Disease. Arq. Bras. Cir. Dig. 2022, 35, e1667. [Google Scholar] [CrossRef] [PubMed]
- Brunetti, E.; Kern, P.; Vuitton, D.A. Expert consensus for the diagnosis and treatment of cystic and alveolar echinococcosis in humans. Acta Trop. 2010, 114, 1–16. [Google Scholar] [CrossRef]
- Faraj, W.; Abi Faraj, C.; Kanso, M.; Nassar, H.; Hoteit, L.; Farsakoury, R.; Zaghal, A.; Yaghi, M.; Jaafar, R.F.; Khalife, M. Hydatid Disease of the Liver in the Middle East: A Single Center Experience. Surg. Infect. 2022, 23, 29–34. [Google Scholar] [CrossRef]
- Gupta, N.; Javed, A.; Puri, S.; Jain, S.; Singh, S.; Agarwal, A.K. Hepatic hydatid: PAIR, drain or resect? J. Gastrointest. Surg. 2011, 15, 1829–1836. [Google Scholar] [CrossRef]
- Stojkovic, M.; Weber, T.F.; Junghanss, T. Clinical management of cystic echinococcosis: State of the art and perspectives. Curr. Opin. Infect. Dis. 2018, 31, 383–392. [Google Scholar] [CrossRef]
- Ali, A.; Butler, K.M.; Brenner, C.; Paran, S.; Gallagher, T.; El Delaimi, F.; Chiodini, P.L.; Leahy, T.R. Hepatic Cystic Echinococcosis (Hydatid Cyst) in a Six Year Old. Ir. Med. J. 2020, 113, 61. [Google Scholar]
- Falagas, M.E.; Bliziotis, I.A. Albendazole for the treatment of human echinococcosis: A review of comparative clinical trials. Am. J. Med. Sci. 2007, 334, 171–179. [Google Scholar] [CrossRef] [PubMed]
- Demir, S.; Ilikan, G.B.; Erturk, A.; Oztorun, C.I.; Guney, D.; Azili, M.N.; Senel, E.; Tiryaki, H.T. A serious complication of liver hydatid cysts in children: Cystobiliary fistulas. Pediatr. Surg. Int. 2020, 36, 611–620. [Google Scholar] [CrossRef]
- Junghanss, T.; da Silva, A.M.; Horton, J.; Chiodini, P.L.; Brunetti, E. Clinical management of cystic echinococcosis: State of the art, problems, and perspectives. Am. J. Trop. Med. Hyg. 2008, 79, 301–311. [Google Scholar] [CrossRef] [PubMed]
- Khuroo, M.S. Percutaneous Drainage in Hepatic Hydatidosis-The PAIR Technique: Concept, Technique, and Results. J. Clin. Exp. Hepatol. 2021, 11, 592–602. [Google Scholar] [CrossRef] [PubMed]
- Balen Topic, M.; Skuhala, T.; Desnica, B.; Viskovic, K.; Drinkovic, M. Repeated Percutaneous Treatment of Massive Hepatic Cystic Echinococcosis in a Child. Pediatrics 2018, 142, e20181254. [Google Scholar] [CrossRef]
- Reza Mousavi, S.; Khoshnevis, J.; Kharazm, P. Surgical treatment of hydatid cyst of the liver: Drainage versus omentoplasty. Ann. Hepatol. 2005, 4, 272–274. [Google Scholar] [CrossRef]
- Maazoun, K.; Mekki, M.; Chioukh, F.Z.; Sahnoun, L.; Ksia, A.; Jouini, R.; Jallouli, M.; Krichene, I.; Belghith, M.; Nouri, A. Laparoscopic treatment of hydatid cyst of the liver in children. A report on 34 cases. J. Pediatr. Surg. 2007, 42, 1683–1686. [Google Scholar] [CrossRef] [PubMed]
- Minaev, S.V.; Gerasimenko, I.N.; Kirgizov, I.V.; Shamsiev, A.M.; Bykov, N.I.; Shamsiev, J.A.; Mashchenko, A.N. Laparoscopic Treatment in Children with Hydatid Cyst of the Liver. World J. Surg. 2017, 41, 3218–3223. [Google Scholar] [CrossRef]
- Misra, M.C.; Khan, R.N.; Bansal, V.K.; Jindal, V.; Kumar, S.; Noba, A.L.; Panwar, R.; Kumar, A. Laparoscopic pericystectomy for hydatid cyst of the liver. Surg. Laparosc. Endosc. Percutan Tech. 2010, 20, 24–26. [Google Scholar] [CrossRef]
- Kanojia, R.P. Laparoscopic port-in-cyst technique for retrieval of hepatic hydatid and review of other techniques used in literature. J. Pediatr. Surg. 2012, 47, 1772–1774. [Google Scholar] [CrossRef] [PubMed]
- Panteleev, V.; Nartaylakov, M.; Mustafin, A.; Abdeyev, R.; Salimgareyev, I.; Samorodov, A.; Musharapov, D. Surgical treatment of liver echinococcosis and alveococcosis. Infez. Med. 2019, 27, 422–428. [Google Scholar] [PubMed]
- Duta, C.; Pantea, S.; Lazar, C.; Salim, A.; Barjica, D. Minimally Invasive Treatment of Liver Hydatidosis. JSLS J. Soc. Laparoendosc. Surg. 2016, 20, e2016.00002. [Google Scholar] [CrossRef] [PubMed]
- Eyüboğlu, T.; Gürsoy, T.R.; Aslan, A.T.; Pekcan, S.; Budakoğlu, I. Ten-year follow-up of children with hydatid cysts. Turk. Pediatr. Ars. 2019, 54, 173–178. [Google Scholar] [CrossRef]






Disclaimer/Publisher’s Note: The statements, opinions and data contained in all publications are solely those of the individual author(s) and contributor(s) and not of MDPI and/or the editor(s). MDPI and/or the editor(s) disclaim responsibility for any injury to people or property resulting from any ideas, methods, instructions or products referred to in the content. |
© 2023 by the authors. Licensee MDPI, Basel, Switzerland. This article is an open access article distributed under the terms and conditions of the Creative Commons Attribution (CC BY) license (https://creativecommons.org/licenses/by/4.0/).
Share and Cite
Hager, J.; Sergi, C.M. Pediatric Echinococcosis of the Liver in Austria: Clinical and Therapeutical Considerations. Diagnostics 2023, 13, 1343. https://doi.org/10.3390/diagnostics13071343
Hager J, Sergi CM. Pediatric Echinococcosis of the Liver in Austria: Clinical and Therapeutical Considerations. Diagnostics. 2023; 13(7):1343. https://doi.org/10.3390/diagnostics13071343
Chicago/Turabian StyleHager, Josef, and Consolato M. Sergi. 2023. "Pediatric Echinococcosis of the Liver in Austria: Clinical and Therapeutical Considerations" Diagnostics 13, no. 7: 1343. https://doi.org/10.3390/diagnostics13071343
APA StyleHager, J., & Sergi, C. M. (2023). Pediatric Echinococcosis of the Liver in Austria: Clinical and Therapeutical Considerations. Diagnostics, 13(7), 1343. https://doi.org/10.3390/diagnostics13071343

