Single-Center Experience with Simultaneous Mural Aortic Thrombosis and Peripheral Obstructive Disease in Pre-COVID-19 and COVID-19 Era
Abstract
1. Introduction
2. Materials and Methods
2.1. Study Design and Setting
2.2. Variables
2.3. Follow-Up Protocol
2.4. Statistical Analysis
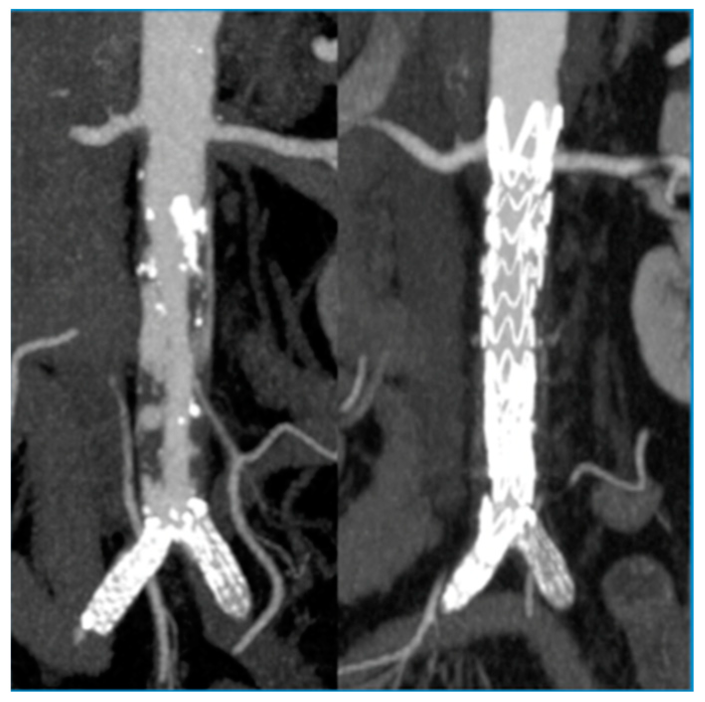
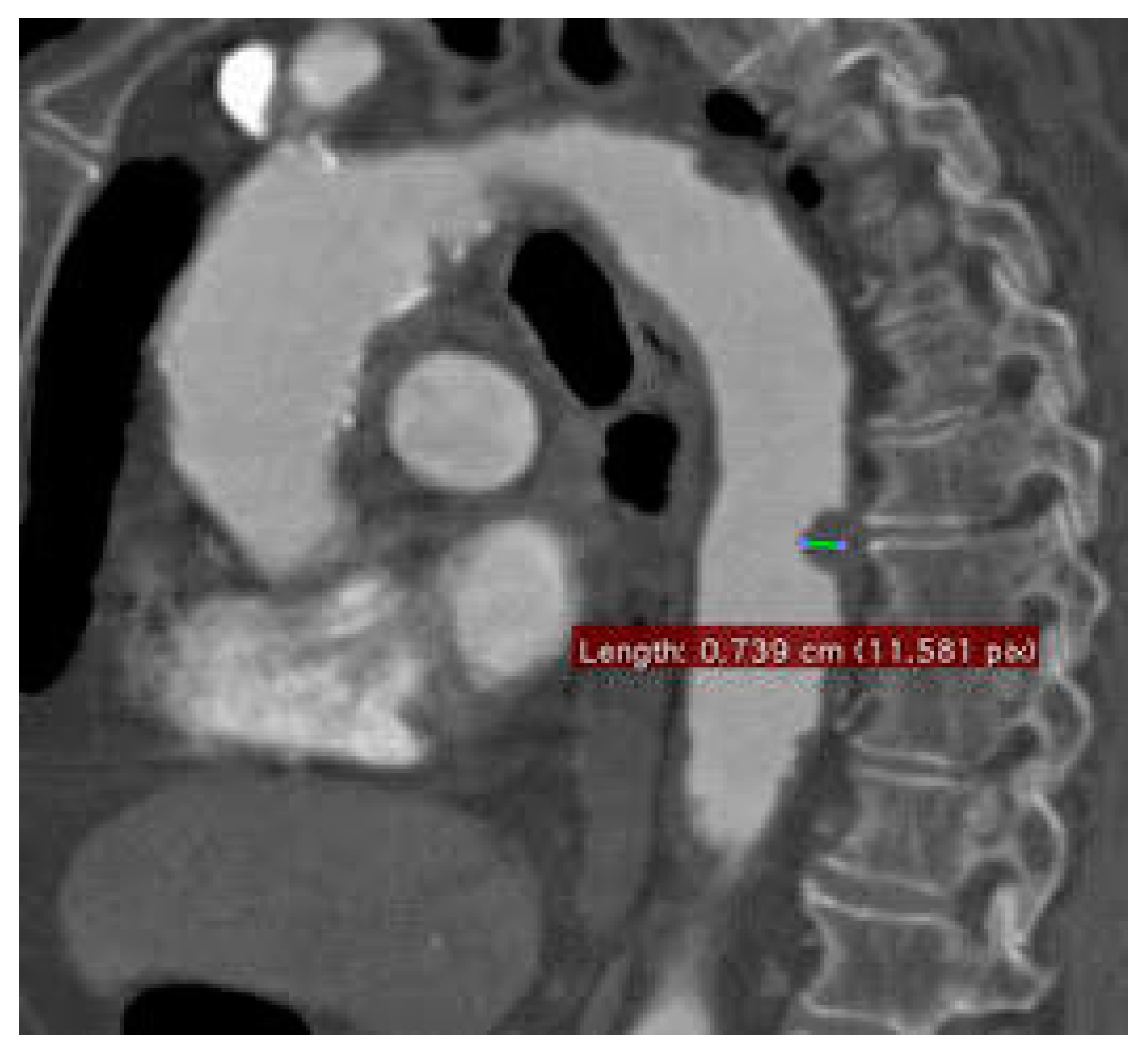
3. Results
4. Discussion
Limitations
5. Conclusions
Author Contributions
Funding
Institutional Review Board Statement
Informed Consent Statement
Data Availability Statement
Conflicts of Interest
References
- Eliason, J.L.; Wainess, R.M.; Proctor, M.C.; Dimick, J.B.; Cowan, J.A., Jr.; Upchurch, G.R., Jr.; Stanley, J.C.; Henke, P.K. A national and single institutional experience in the contemporary treatment of acute lower extremity ischemia. Ann. Surg. 2003, 238, 382–389; discussion 389–390. [Google Scholar] [CrossRef] [PubMed]
- O’Connell, J.B.; Quiñones-Baldrich, W.J. Preoper evaluation and management of acute embolic versus thrombotic limb ischemia. Semin. Vasc. Surg. 2009, 22, 10–16. [Google Scholar] [CrossRef] [PubMed]
- Jongkind, V.; Earnshaw, J.J.; Gonçalves, F.B.; Cochennec, F.; Debus, E.S.; Hinchliffe, R.; Menyhei, G.; Svetlikov, A.V.; Tshomba, Y.; Van Den Berg, J.C.; et al. Editor’s Choice—European Society for Vascular Surgery (ESVS) 2020 Clinical Practice Guidelines on the Management of Acute Limb Ischaemia. Eur. J. Vasc. Endovasc. Surg. 2020, 59, 173–218. [Google Scholar]
- Verma, H.; Meda, N.; Vora, S.; George, R.K.; Tripathi, R.K. Contemporary management of symptomatic primary aortic mural thrombus. J. Vasc. Surg. 2014, 60, 1524–1534. [Google Scholar] [CrossRef]
- Oliver, D.O. Embolism from mural thrombus in the thoracic aorta. Br. Med. J. 1967, 3, 655–656. [Google Scholar] [CrossRef] [PubMed]
- Choukroun, E.M.; Labrousse, L.M.; Madonna, F.P.; Deville, C. Mobile thrombus of the thoracic aorta: Diagnosis and treatment in 9 cases. Ann. Vasc. Surg. 2002, 16, 714–722. [Google Scholar] [CrossRef] [PubMed]
- Tsilimparis, N.; Hanack, U.; Pisimisis, G.; Yousefi, S.; Wintzer, C.; Rückert, R.I. Thrombus in the non-aneurysmal, non-atherosclerotic descending thoracic aorta--an unusual source of arterial embolism. Eur. J. Vasc. Endovasc. Surg. 2011, 41, 450–457. [Google Scholar] [CrossRef] [PubMed]
- Scott, D.J.; White, J.M.; Arthurs, Z.M. Endovascular management of a mobile thoracic aortic thrombus following recurrent distal thromboembolism: A case report and literature review. Vasc. Endovasc. Surg. 2014, 48, 246–250. [Google Scholar] [CrossRef]
- Rutherford, R.B.; Baker, J.D.; Ernst, C.; Johnston, K.W.; Porter, J.M.; Ahn, S.; Jones, D.N. Recommended standards for reports dealing with lower extremity ischemia: Revised version. J. Vasc. Surg. 1997, 26, 517–538. [Google Scholar] [CrossRef]
- Berneder, S.; van Ingen, G.; Eigel, P. Arch thrombus formation in an apparently normal aorta as a source for recurrent peripheral embolization. Thorac. Cardiovasc. Surg. 2006, 54, 548–549. [Google Scholar] [CrossRef]
- Franchin, M.; Grassi, V.; Piffaretti, G.; Bush, R.L.; Tozzi, M.; Lomazzi, C. Thoracic Endovascular Aortic Repair in “Shaggy Thoracic Aortic Aneurysms”. Cardiovasc. Interv. Radiol. 2021, 44, 220–229. [Google Scholar] [CrossRef] [PubMed]
- Mark, H.K.; Ho, N.S.; Tse, C.C.W.; Tang, L.F.; Hwang, S.T. Recurrent lower limb embolism from thoracic aortic mural thrombus: A rare presentation of occult malignancy. Hong Kong Med. J. 2005, 11, 503–506. [Google Scholar]
- Lau, L.S.; Blanchard, D.G.; Hye, R.J. Diagnosis and management of patients with peripheral macroemboli from thoracic aortic pathology. Ann. Vasc. Surg. 1997, 11, 348–353. [Google Scholar] [CrossRef] [PubMed]
- Larrieu, A.J.; Ayella, R.J. The non-aneurysmal atherosclerotic abdominal aorta as a source of emboli: Report of a case. Am. Surg. 1978, 44, 610–613. [Google Scholar]
- Hahn, T.L.; Dalsing, M.C.; Sawchuk, A.P.; Cikrit, D.F.; Lalka, S.G. Primary aortic mural thrombus: Presentation and treatment. Ann. Vasc. Surg. 1999, 13, 52–59. [Google Scholar] [CrossRef] [PubMed]
- Gouëffic, Y.; Chaillou, P.; Pillet, J.C.; Duveau, D.; Patra, P. Surgical treatment of non aneurysmal aortic arch lesions in patients with systemic embolization. J. Vasc. Surg. 2002, 36, 1186–1193. [Google Scholar] [CrossRef] [PubMed]
- Böckler, D.; von Tengg-Kobligk, H.; Schoebinger, M.; Gross, M.L.; Schumacher, H.; Ockert, S.; Allenberg. An unusual cause of peripheral artery embolism: Floating thrombus of the thoracic aorta surgically removed. Vasa 2007, 36, 121–123. [Google Scholar] [CrossRef] [PubMed]
- Adams, C.; Nagpal, A.D.; Forbes, T.L.; Lawlor, D.K.; Chu, M.W.A. Spontaneous aortic arch thrombus presenting as acute critical limb ischemia. Vasc. Endovasc. Surg. 2010, 44, 309–311. [Google Scholar] [CrossRef] [PubMed]
- Belkin, R.N.; Chaudhry, S.; Chung, J.; Kay, R.H.; Pooley, R.A.; Shah, P.; Reed, G.E. Detection of ascending aorta thrombi with transesophageal echocardiography in patients with systemic embolization. Am. Heart. J. 1995, 130, 1294–1295. [Google Scholar] [CrossRef]
- Auer, J.; Aschl, G.; Berent, R.; Zisch, R.; Weber, T.; Eber, B. Systemic embolism from a large descending aortic thrombus. Int. J. Cardiol. 2003, 89, 305–307. [Google Scholar] [CrossRef] [PubMed]
- Jeyabalan, G.; Wallace, J.R.; Chaer, R.A.; Leers, S.A.; Marone, L.K.; Makaroun, M.S. Endovascular strategies for treatment of embolizing thoracoabdominal aortic lesions. J. Vasc. Surg. 2014, 59, 1256–1264. [Google Scholar] [CrossRef]
- Carroccio, A.; Olin, J.W.; Ellozy, S.H.; Lookstein, R.A.; Valenzuela, R.; Minor, M.E.; Sheahan, C.M.; Teodorescu, V.J.; Marin, M.L. The role of aortic stent grafting in the treatment of atheromatous embolization syndrome: Results after a mean of 15 months follow-up. J. Vasc. Surg. 2004, 40, 424–429. [Google Scholar] [CrossRef]
- Shames, M.L.; Rubin, B.G.; Sanchez, L.A.; Thompson, R.W.; Sicard, G.A. Treatment of embolizing arterial lesions with endoluminally placed stent grafts. Ann. Vasc. Surg. 2002, 16, 608–612. [Google Scholar] [CrossRef] [PubMed]
- Voigtlaender, M.; Edler, C.; Gerling, M.; Schädler, J.; Ondruschka, B.; Schröder, A.S.; Sperhake, J.; Ehrhardt, S.; Wang, L.; Haddad, M.; et al. Thromboembolic events in deceased patients with proven SARS-CoV2 infection: Frequency, characteristics and risk factors. Thromb. Res. 2002, 218, 171–176. [Google Scholar] [CrossRef] [PubMed]
- Varga, Z.; Flammer, A.J.; Steiger, P.; Haberecker, M.; Andermatt, R.; Zinkernagel, A.S.; Mehra, M.R.; Schuepbach, R.A.; Ruschitzka, F.; Moch, H. Endothelial cell infection and endothelitis in COVID-19. Lancet 2020, 395, 1417–1418. [Google Scholar] [CrossRef]
- Fan, B.E.; Umapathi, T.; Chua, K.; Chia, Y.W.; Wong, S.W.; Tan, G.W.L.; Chandrasekar, S.; Lum, Y.H.; Vasoo, S.; Dalan, R. Delayed catastrophic thrombotic events in young and asymptomatic post COVID-19 patients. J. Thromb. Thrombolysis 2021, 51, 971–977. [Google Scholar] [CrossRef]
- Korompoki, E.; Gavriatopoulou, M.; Fotiou, I.N.; Dimopoulos, M.A.; Terpos, E. Late-onset hematological complications post COVID-19: An emerging medical problem for the ematologist. Am. J. Hematol. 2022, 97, 119–128. [Google Scholar] [CrossRef] [PubMed]



| Patients: n. (%) | ||
|---|---|---|
| Age | 68.8 ± 10.2 | |
| Male | 41 (79%) | |
| Hypertension | 44 (81.5%) | |
| Diabetes | 22 (40%) | |
| Smoking habit (current) | 30 (55%) | |
| Chronic Obstructive Pulmonary Disease | 22 (40%) | |
| Chronic Kidney Disease | 12 (22%) | |
| Coronary Artery Disease | 17 (31%) | |
| Antiplatelet drugs | 30 (55%) | |
| Antihypertensive drugs | 43 (79%) | |
| Chronic limb-threatening ischemia symptoms and signs | 39 (72%) | |
| Acute limb ischemia symptoms and signs | 24 (54%) |
| Patients: n. (%) | |
|---|---|
| Thoracic aortic source | 19 (35%) |
| Abdominal aortic source | 35 (64%) |
| Hybrid treatment | 30 (55%) |
| 12 (22%) |
| 22 (40%) |
| 8 (14%) |
| 11 (20%) |
| Aortic procedure only | 24 (44%) |
| Patients: n. (%) | |||||
|---|---|---|---|---|---|
| Bolton Relay/Relay NBS+ | Cook Zenith Alpha | Medtronic Valiant Navion/Endurant II | Gore TAG/Excluder | Endologix AFX | |
| Thoracic aortic source | 10 (18%) | 1 (2%) | 4 (9.5%) | 4 (9.5%) | / |
| Abdominal aortic source | / | 8 (14%) | 12 (22%) | 5 (9%) | 8 (14%) |
| Patients: n. 54 (%) | |
|---|---|
| Transient renal failure | 4 (7.4%) |
| Amputations | 13 (24%) |
| Fasciotomy | 5 (9.2%) |
| Reperfusion syndromes | 4 (7.4%) |
| Recurrent embolism | 3 (5.5%) |
| Embolic stroke | 1 (1.8%) |
| Multiple organ failure (MOF) | 1 (0.8%) |
Disclaimer/Publisher’s Note: The statements, opinions and data contained in all publications are solely those of the individual author(s) and contributor(s) and not of MDPI and/or the editor(s). MDPI and/or the editor(s) disclaim responsibility for any injury to people or property resulting from any ideas, methods, instructions or products referred to in the content. |
© 2023 by the authors. Licensee MDPI, Basel, Switzerland. This article is an open access article distributed under the terms and conditions of the Creative Commons Attribution (CC BY) license (https://creativecommons.org/licenses/by/4.0/).
Share and Cite
Benedetto, F.; La Corte, F.; Spinelli, D.; Piffaretti, G.; Trimarchi, S.; De Caridi, G. Single-Center Experience with Simultaneous Mural Aortic Thrombosis and Peripheral Obstructive Disease in Pre-COVID-19 and COVID-19 Era. Diagnostics 2023, 13, 1208. https://doi.org/10.3390/diagnostics13061208
Benedetto F, La Corte F, Spinelli D, Piffaretti G, Trimarchi S, De Caridi G. Single-Center Experience with Simultaneous Mural Aortic Thrombosis and Peripheral Obstructive Disease in Pre-COVID-19 and COVID-19 Era. Diagnostics. 2023; 13(6):1208. https://doi.org/10.3390/diagnostics13061208
Chicago/Turabian StyleBenedetto, Filippo, Francesco La Corte, Domenico Spinelli, Gabriele Piffaretti, Santi Trimarchi, and Giovanni De Caridi. 2023. "Single-Center Experience with Simultaneous Mural Aortic Thrombosis and Peripheral Obstructive Disease in Pre-COVID-19 and COVID-19 Era" Diagnostics 13, no. 6: 1208. https://doi.org/10.3390/diagnostics13061208
APA StyleBenedetto, F., La Corte, F., Spinelli, D., Piffaretti, G., Trimarchi, S., & De Caridi, G. (2023). Single-Center Experience with Simultaneous Mural Aortic Thrombosis and Peripheral Obstructive Disease in Pre-COVID-19 and COVID-19 Era. Diagnostics, 13(6), 1208. https://doi.org/10.3390/diagnostics13061208

