Low MTUS1 Protein Expression Is Associated with Poor Survival in Patients with Colorectal Adenocarcinoma
Abstract
1. Introduction
2. Materials and Methods
2.1. Patients and Tissue Samples
2.2. Tissue Microarray (TMA) Construction
2.3. Immunohistochemical Staining
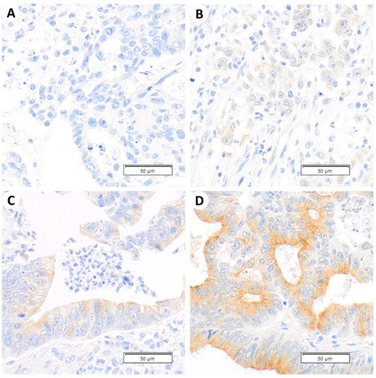
2.4. Interpretation of Immunohistochemical Staining
2.5. Statistical Analysis
3. Results
3.1. Baseline Characteristics of the Patients
3.2. Pattern of MTUS1 Protein Expression
3.3. Correlations between MTUS1 Protein Expression and Clinicopathological Factors
3.4. Correlation between MTUS1 Protein Expression and Patient Survival
4. Discussion
5. Conclusions
Author Contributions
Funding
Institutional Review Board statement
Informed Consent Statement
Data Availability Statement
Conflicts of Interest
References
- Bray, F.; Ferlay, J.; Soerjomataram, I.; Siegel, R.L.; Torre, L.A.; Jemal, A. Global Cancer Statistics 2018: GLOBOCAN Estimates of Incidence and Mortality Worldwide for 36 Cancers in 185 Countries. CA Cancer J. Clin. 2018, 68, 394–424. [Google Scholar] [CrossRef] [PubMed]
- Arnold, M.; Sierra, M.S.; Laversanne, M.; Soerjomataram, I.; Jemal, A.; Bray, F. Global Patterns and Trends in Colorectal Cancer Incidence and Mortality. Gut 2017, 66, 683–691. [Google Scholar] [CrossRef] [PubMed]
- Siegel, R.L.; Fedewa, S.A.; Anderson, W.F.; Miller, K.D.; Ma, J.; Rosenberg, P.S.; Jemal, A. Colorectal Cancer Incidence Patterns in the United States, 1974–2013. J. Natl. Cancer Inst. 2017, 109, djw322. [Google Scholar] [CrossRef] [PubMed]
- Patel, P.; De, P. Trends in Colorectal Cancer Incidence and Related Lifestyle Risk Factors in 15-49-Year-Olds in Canada, 1969–2010. Cancer Epidemiol. 2016, 42, 90–100. [Google Scholar] [CrossRef]
- Young, J.P.; Win, A.K.; Rosty, C.; Flight, I.; Roder, D.; Young, G.P.; Frank, O.; Suthers, G.K.; Hewett, P.J.; Ruszkiewicz, A.; et al. Rising Incidence of Early-Onset Colorectal Cancer in Australia over Two Decades: Report and Review. J. Gastroenterol. Hepatol. 2015, 30, 6–13. [Google Scholar] [CrossRef]
- Jang, S.M.; Wi, Y.C.; Kim, Y.; Bang, S.S.; Sim, J.; Ahn, B.K.; Lee, K.H.; Shin, S.-J.; Jang, K.; Paik, S.S. Loss of Wnt7a Expression Correlates with Tumor Progression and Poor Prognosis in Colorectal Carcinoma. Int. J. Clin. Exp. Pathol. 2018, 11, 4967–4976. [Google Scholar]
- MTUS1 Microtubule Associated Scaffold Protein 1 [Homo Sapiens (Human)]—Gene—NCBI. Available online: https://www.ncbi.nlm.nih.gov/gene/57509 (accessed on 5 December 2022).
- Bozgeyik, I.; Yumrutas, O.; Bozgeyik, E. MTUS1, a Gene Encoding Angiotensin-II Type 2 (AT2) Receptor-Interacting Proteins, in Health and Disease, with Special Emphasis on Its Role in Carcinogenesis. Gene 2017, 626, 54–63. [Google Scholar] [CrossRef]
- Ozcan, O.; Kara, M.; Yumrutas, O.; Bozgeyik, E.; Bozgeyik, I.; Celik, O.I. MTUS1 and Its Targeting MiRNAs in Colorectal Carcinoma: Significant Associations. Tumour Biol. 2016, 37, 6637–6645. [Google Scholar] [CrossRef]
- Cheng, L.-Y.; Huang, M.; Zhong, H.-G.; Ru, H.-M.; Mo, S.-S.; Wei, C.-Y.; Su, Z.-J.; Mo, X.-W.; Yan, L.-H.; Tang, W.-Z. MTUS1 Is a Promising Diagnostic and Prognostic Biomarker for Colorectal Cancer. World J. Surg. Oncol. 2022, 20, 257. [Google Scholar] [CrossRef]
- Jee, S.; Kim, H.; Bang, S.; Kim, Y.; Park, H.Y.; Paik, S.S.; Sim, J.; Jang, K. Low-Level Expression of MTUS1 Is Associated with Poor Survival in Patients with Lung Adenocarcinoma. Diagnostics 2021, 11, 1250. [Google Scholar] [CrossRef]
- Sim, J.; Kim, Y.; Kim, H.; Bang, S.; Jee, S.; Park, S.; Shin, S.-J.; Jang, K. Loss of MTUS1 Expression Is Associated With Poor Prognosis in Patients With Gallbladder Carcinoma. In Vivo 2020, 34, 125–132. [Google Scholar] [CrossRef] [PubMed]
- Sim, J.; Wi, Y.C.; Park, H.Y.; Park, S.Y.; Yoon, Y.E.; Bang, S.; Kim, Y.; Jang, K.; Paik, S.S.; Shin, S.-J. Clinicopathological Significance of MTUS1 Expression in Patients With Renal Cell Carcinoma. Anticancer Res. 2020, 40, 2961–2967. [Google Scholar] [CrossRef]
- Rogler, A.; Hoja, S.; Giedl, J.; Ekici, A.B.; Wach, S.; Taubert, H.; Goebell, P.J.; Wullich, B.; Stöckle, M.; Lehmann, J.; et al. Loss of MTUS1/ATIP Expression Is Associated with Adverse Outcome in Advanced Bladder Carcinomas: Data from a Retrospective Study. BMC Cancer 2014, 14, 214. [Google Scholar] [CrossRef] [PubMed]
- Xiao, J.; Chen, J.-X.; Zhu, Y.-P.; Zhou, L.-Y.; Shu, Q.-A.; Chen, L.-W. Reduced Expression of MTUS1 MRNA Is Correlated with Poor Prognosis in Bladder Cancer. Oncol. Lett. 2012, 4, 113–118. [Google Scholar] [CrossRef] [PubMed]
- Zhao, T.; Ding, X.; Chang, B.; Zhou, X.; Wang, A. MTUS1/ATIP3a down-Regulation Is Associated with Enhanced Migration, Invasion and Poor Prognosis in Salivary Adenoid Cystic Carcinoma. BMC Cancer 2015, 15, 203. [Google Scholar] [CrossRef] [PubMed]
- Ding, X.; Zhang, N.; Cai, Y.; Li, S.; Zheng, C.; Jin, Y.; Yu, T.; Wang, A.; Zhou, X. Down-Regulation of Tumor Suppressor MTUS1/ATIP Is Associated with Enhanced Proliferation, Poor Differentiation and Poor Prognosis in Oral Tongue Squamous Cell Carcinoma. Mol. Oncol. 2012, 6, 73–80. [Google Scholar] [CrossRef]
- Mahjabeen, I.; Kayani, M.A. Loss of Mitochondrial Tumor Suppressor Genes Expression Is Associated with Unfavorable Clinical Outcome in Head and Neck Squamous Cell Carcinoma: Data from Retrospective Study. PLoS ONE 2016, 11, e0146948. [Google Scholar] [CrossRef]
- Luo, H.; Ma, C. Identification of Prognostic Genes in Uveal Melanoma Microenvironment. PLoS ONE 2020, 15, e0242263. [Google Scholar] [CrossRef]
- Rodrigues-Ferreira, S.; Molina, A.; Nahmias, C. Microtubule-Associated Tumor Suppressors as Prognostic Biomarkers in Breast Cancer. Breast Cancer Res. Treat. 2020, 179, 267–273. [Google Scholar] [CrossRef]
- Kara, M.; Kaplan, M.; Bozgeyik, I.; Ozcan, O.; Celik, O.I.; Bozgeyik, E.; Yumrutas, O. MTUS1 Tumor Suppressor and Its MiRNA Regulators in Fibroadenoma and Breast Cancer. Gene 2016, 587, 173–177. [Google Scholar] [CrossRef]
- Di Benedetto, M.; Pineau, P.; Nouet, S.; Berhouet, S.; Seitz, I.; Louis, S.; Dejean, A.; Couraud, P.O.; Strosberg, A.D.; Stoppa-Lyonnet, D.; et al. Mutation Analysis of the 8p22 Candidate Tumor Suppressor Gene ATIP/MTUS1 in Hepatocellular Carcinoma. Mol. Cell. Endocrinol. 2006, 252, 207–215. [Google Scholar] [CrossRef] [PubMed]
- Ye, H.; Pungpravat, N.; Huang, B.-L.; Muzio, L.L.; Mariggiò, M.A.; Chen, Z.; Wong, D.T.; Zhou, X. Genomic Assessments of the Frequent Loss of Heterozygosity Region on 8p21.3∼p22 in Head and Neck Squamous Cell Carcinoma. Cancer Genet. Cytogenet. 2007, 176, 100–106. [Google Scholar] [CrossRef] [PubMed]
- Zuern, C.; Heimrich, J.; Kaufmann, R.; Richter, K.; Settmacher, U.; Wanner, C.; Galle, J.; Seibold, S. Down-Regulation of MTUS1 in Human Colon Tumors. Oncol. Rep. 2009, 23, 183–189. [Google Scholar] [CrossRef] [PubMed]


| Clinicopathological Characteristics | Value (%) |
|---|---|
| Sex | |
| Male | 243 (61.8%) |
| Female | 150 (38.2%) |
| Age (years, mean ± SD) | 63.8 ± 11.1 |
| Size (cm, mean ± SD) | 5.0 ± 2.1 |
| Location | |
| Proximal | 84 (21.4%) |
| Distal | 309 (78.6%) |
| Histological grade | |
| WD | 26 (6.6%) |
| MD | 209 (53.2%) |
| PD | 158 (40.2%) |
| Lymphovascular invasion | |
| Negative | 173 (44.0%) |
| Positive | 220 (56.0%) |
| Perineural invasion | |
| Negative | 208 (53.0%) |
| Positive | 185 (47.0%) |
| pT stage | |
| T1 | 26 (6.6%) |
| T2 | 45 (11.5%) |
| T3 | 245 (62.3%) |
| T4 | 77 (19.6%) |
| pN stage | |
| N0 | 186 (47.3%) |
| N1 | 104 (26.5%) |
| N2 | 103 (26.2%) |
| Distant metastasis | |
| Negative | 363 (92.4%) |
| Positive | 30 (7.6%) |
| MSI status † | |
| Stable | 315 (92.7%) |
| High | 25 (7.3%) |
| Parameter | MTUS1 Expression | p-Value | |
|---|---|---|---|
| High (n = 140) No. (%) | Low (n = 253) No. (%) | ||
| Sex | 0.053 | ||
| Male | 96 (68.6%) | 147 (58.1%) | |
| Female | 44 (31.4%) | 106 (41.9%) | |
| Age (years, mean ± SD) | 63.4 ± 10.5 | 64.1 ± 11.4 | 0.554 † |
| Size (cm, mean ± SD) | 4.8 ± 1.9 | 5.2 ± 2.2 | 0.047 † |
| Location | 1 | ||
| Proximal | 30 (21.4%) | 54 (21.3%) | |
| Distal | 110 (78.6%) | 199 (78.7%) | |
| Histological grade | <0.001 | ||
| WD | 13 (9.3%) | 13 (5.1%) | |
| MD | 93 (66.4%) | 116 (45.8%) | |
| PD | 34 (24.3%) | 124 (49%) | |
| Lymphovascular invasion | <0.001 | ||
| Negative | 86 (61.4%) | 87 (34.4%) | |
| Positive | 54 (38.6%) | 166 (65.6%) | |
| Perineural invasion | 0.047 | ||
| Negative | 84 (60%) | 124 (49%) | |
| Positive | 56 (40%) | 129 (51%) | |
| T stage | 0.356 | ||
| T1 | 13 (9.3%) | 13 (5.1%) | |
| T2 | 18 (12.9%) | 27 (10.7%) | |
| T3 | 84 (60%) | 161 (63.6%) | |
| T4 | 25 (17.9%) | 52 (20.6%) | |
| N stage | <0.001 | ||
| N0 | 90 (64.3%) | 96 (37.9%) | |
| N1 | 33 (23.6%) | 71 (28.1%) | |
| N2 | 17 (12.1%) | 86 (34%) | |
| Distant metastasis | 0.941 | ||
| Negative | 130 (92.9%) | 233 (92.1%) | |
| Positive | 10 (7.1%) | 20 (7.9%) | |
| MSI status ‡ | 0.553 | ||
| Stable | 101 (91%) | 214 (93.4%) | |
| High | 10 (9%) | 15 (6.6%) | |
| Univariate Analysis | Multivariate Analysis | |||||
|---|---|---|---|---|---|---|
| HR | 95% CI | p-Value | HR | 95% CI | p-Value | |
| Male (vs. Female) | 1.455 | 1.049~2.02 | 0.025 | 1.534 | 1.083~2.172 | 0.016 |
| Age (per 1 year) | 1.058 | 1.041~1.075 | <0.001 | 1.063 | 1.045~1.081 | <0.001 |
| Size (per 1 cm) | 1.103 | 1.029~1.182 | 0.006 | 1.013 | 0.93~1.103 | 0.774 |
| Histologic grade WD | 1 | 1 | ||||
| Histological grade MD (vs. WD) | 0.99 | 0.512~1.913 | 0.976 | 0.842 | 0.406~1.746 | 0.644 |
| Histological grade PD (vs. WD) | 1.545 | 0.801~2.981 | 0.195 | 1.027 | 0.494~2.137 | 0.943 |
| Lymphovascular invasion | 1.818 | 1.317~2.509 | <0.001 | 1.517 | 0.537~4.285 | 0.432 |
| Perineural invasion | 2.548 | 1.42~4.575 | 0.002 | 1.478 | 1.004~2.174 | 0.048 |
| T stage T3 & T4 (vs. T1 & T2) | 2.073 | 1.286~3.342 | 0.003 | 1.252 | 0.706~2.22 | 0.441 |
| Lymph node metastasis | 1.863 | 1.357~2.558 | <0.001 | 0.78 | 0.28~2.178 | 0.636 |
| Distant metastasis | 2.026 | 1.268~3.235 | 0.003 | 1.417 | 0.801~2.508 | 0.231 |
| MSI high (vs. Stable) | 0.932 | 0.491~1.769 | 0.828 | 1.447 | 0.72~2.91 | 0.3 |
| MTUS1 low expression | 1.59 | 1.132~2.232 | 0.007 | 1.4 | 0.95~2.062 | 0.089 |
| Univariate Analysis | Multivariate Analysis | |||||
|---|---|---|---|---|---|---|
| HR | 95% CI | p-Value | HR | 95% CI | p-Value | |
| Male (vs. Female) | 1.544 | 0.985~2.422 | 0.058 | 2.051 | 1.254~3.355 | 0.004 |
| Age (per 1 year) | 1.003 | 0.984~1.023 | 0.734 | 1.008 | 0.986~1.029 | 0.494 |
| Size (per 1 cm) | 1.07 | 0.974~1.176 | 0.159 | 0.945 | 0.84~1.063 | 0.346 |
| Histologic grade WD | 1 | 1 | ||||
| Histological grade MD (vs. WD) | 0.936 | 0.367~2.386 | 0.89 | 0.354 | 0.127~0.988 | 0.047 |
| Histological grade PD (vs. WD) | 1.907 | 0.76~4.784 | 0.169 | 0.664 | 0.248~1.777 | 0.415 |
| Lymphovascular invasion | 3.091 | 1.897~5.036 | <0.001 | 2.741 | 0.691~10.875 | 0.151 |
| Perineural invasion | 2.192 | 1.433~3.353 | <0.001 | 1.238 | 0.733~2.092 | 0.424 |
| T stage T3 & T4 (vs. T1 & T2) | 3.166 | 1.464~6.848 | 0.003 | 3.931 | 1.318~11.722 | 0.014 |
| Lymph node metastasis | 3.099 | 1.93~4.974 | <0.001 | 0.789 | 0.211~2.949 | 0.724 |
| Distant metastasis | 3.581 | 2.084~6.152 | <0.001 | 1.421 | 0.723~2.794 | 0.308 |
| MSI high (vs. Stable) | 1.028 | 0.447~2.363 | 0.947 | 1.422 | 0.564~3.587 | 0.456 |
| MTUS1 low expression | 1.75 | 1.091~2.809 | 0.02 | 1.63 | 0.932~2.852 | 0.087 |
Disclaimer/Publisher’s Note: The statements, opinions and data contained in all publications are solely those of the individual author(s) and contributor(s) and not of MDPI and/or the editor(s). MDPI and/or the editor(s) disclaim responsibility for any injury to people or property resulting from any ideas, methods, instructions or products referred to in the content. |
© 2023 by the authors. Licensee MDPI, Basel, Switzerland. This article is an open access article distributed under the terms and conditions of the Creative Commons Attribution (CC BY) license (https://creativecommons.org/licenses/by/4.0/).
Share and Cite
Park, H.; Jee, S.; Son, H.; Cha, H.; Bang, S.; Ahn, B.K.; Myung, J.; Paik, S.; Kim, H. Low MTUS1 Protein Expression Is Associated with Poor Survival in Patients with Colorectal Adenocarcinoma. Diagnostics 2023, 13, 1140. https://doi.org/10.3390/diagnostics13061140
Park H, Jee S, Son H, Cha H, Bang S, Ahn BK, Myung J, Paik S, Kim H. Low MTUS1 Protein Expression Is Associated with Poor Survival in Patients with Colorectal Adenocarcinoma. Diagnostics. 2023; 13(6):1140. https://doi.org/10.3390/diagnostics13061140
Chicago/Turabian StylePark, Hosub, Seungyun Jee, Hwangkyu Son, Hyebin Cha, Seongsik Bang, Byung Kyu Ahn, Jaekyung Myung, Seungsam Paik, and Hyunsung Kim. 2023. "Low MTUS1 Protein Expression Is Associated with Poor Survival in Patients with Colorectal Adenocarcinoma" Diagnostics 13, no. 6: 1140. https://doi.org/10.3390/diagnostics13061140
APA StylePark, H., Jee, S., Son, H., Cha, H., Bang, S., Ahn, B. K., Myung, J., Paik, S., & Kim, H. (2023). Low MTUS1 Protein Expression Is Associated with Poor Survival in Patients with Colorectal Adenocarcinoma. Diagnostics, 13(6), 1140. https://doi.org/10.3390/diagnostics13061140

