Delaminated Tears of the Rotator Cuff: MRI Interpretation with Clinical Correlation
Abstract
1. Introduction
2. Clinical Characteristics
3. Pathogenesis
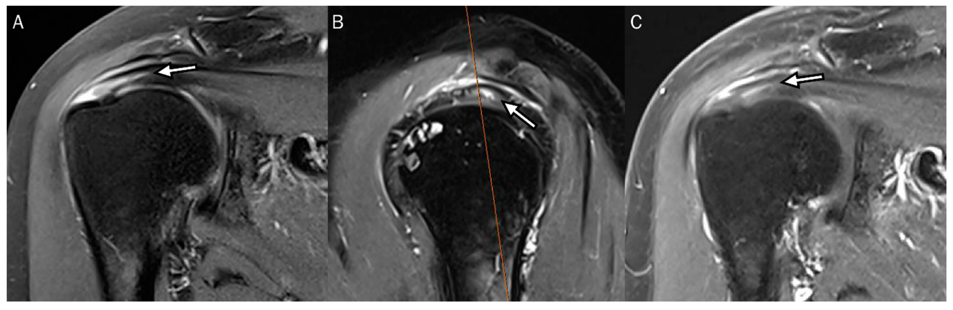
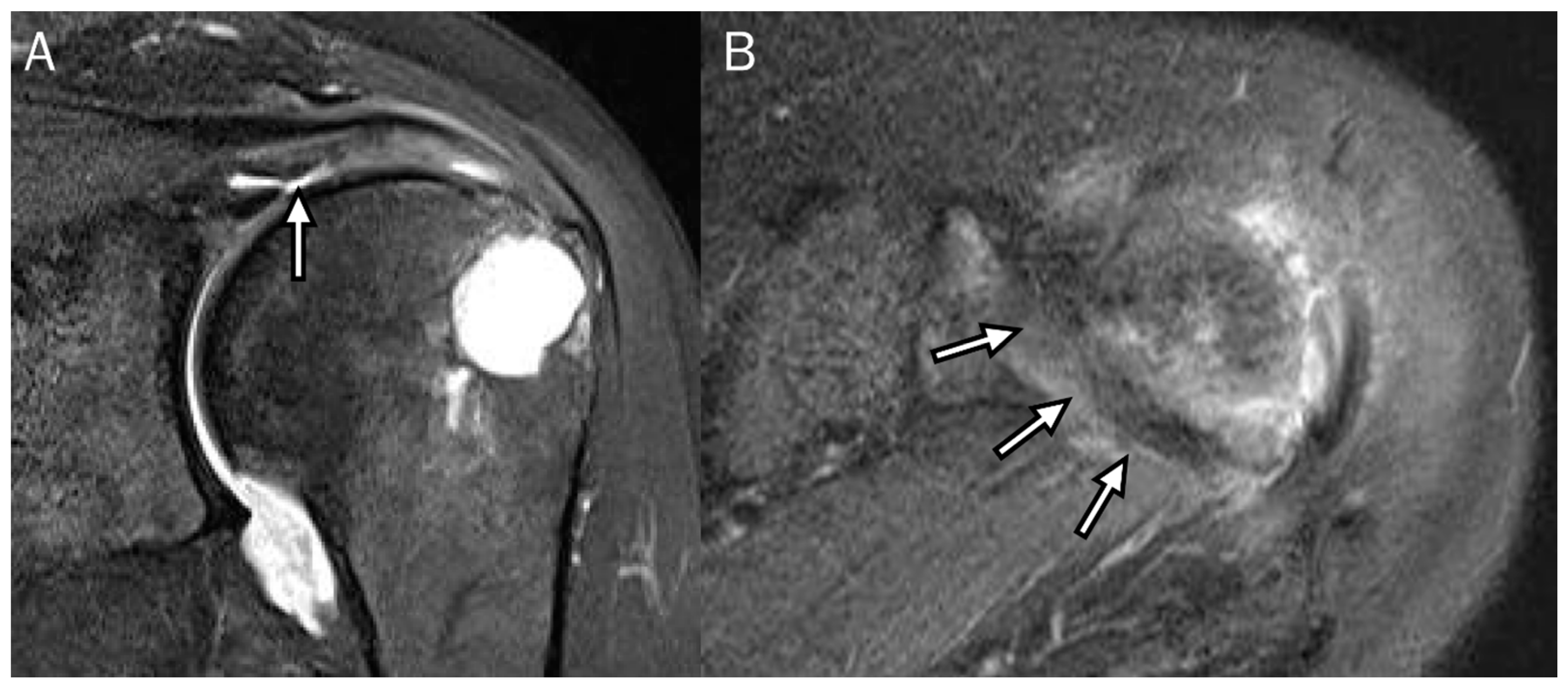
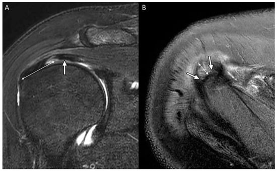
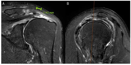
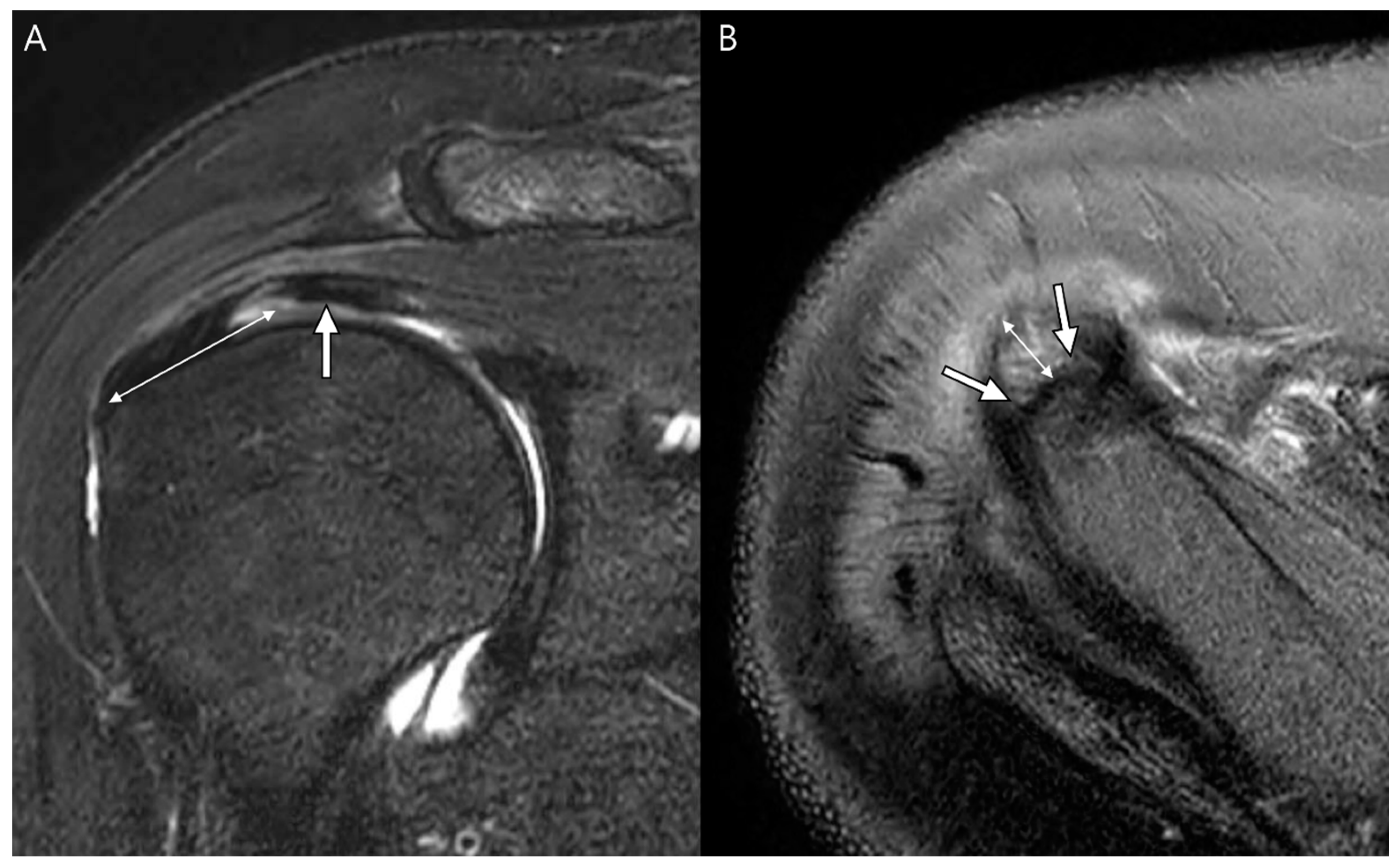
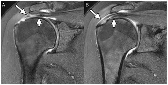
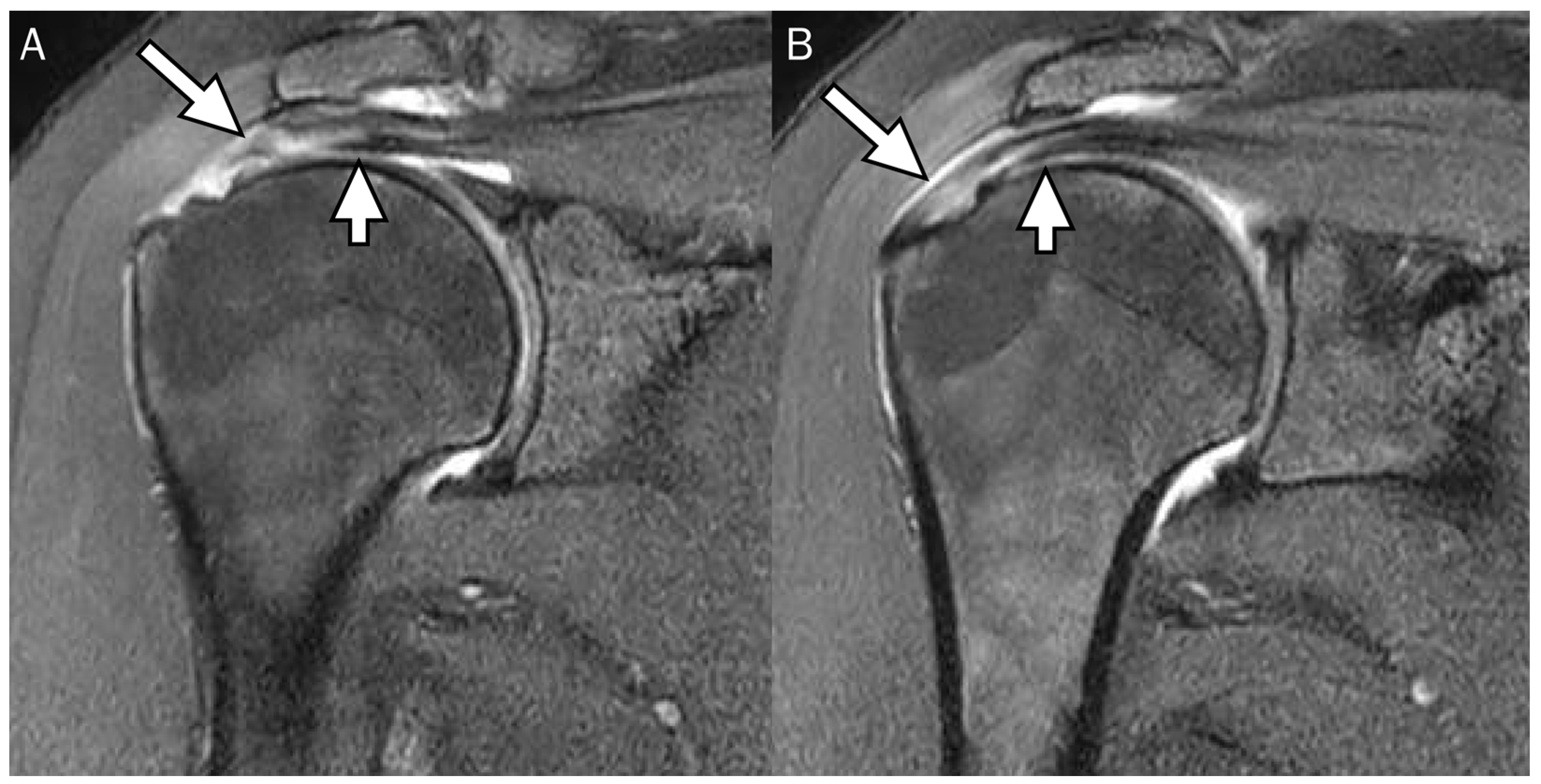
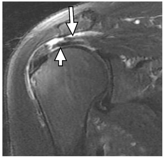
4. Radiologic Definition and Classification Using MRI
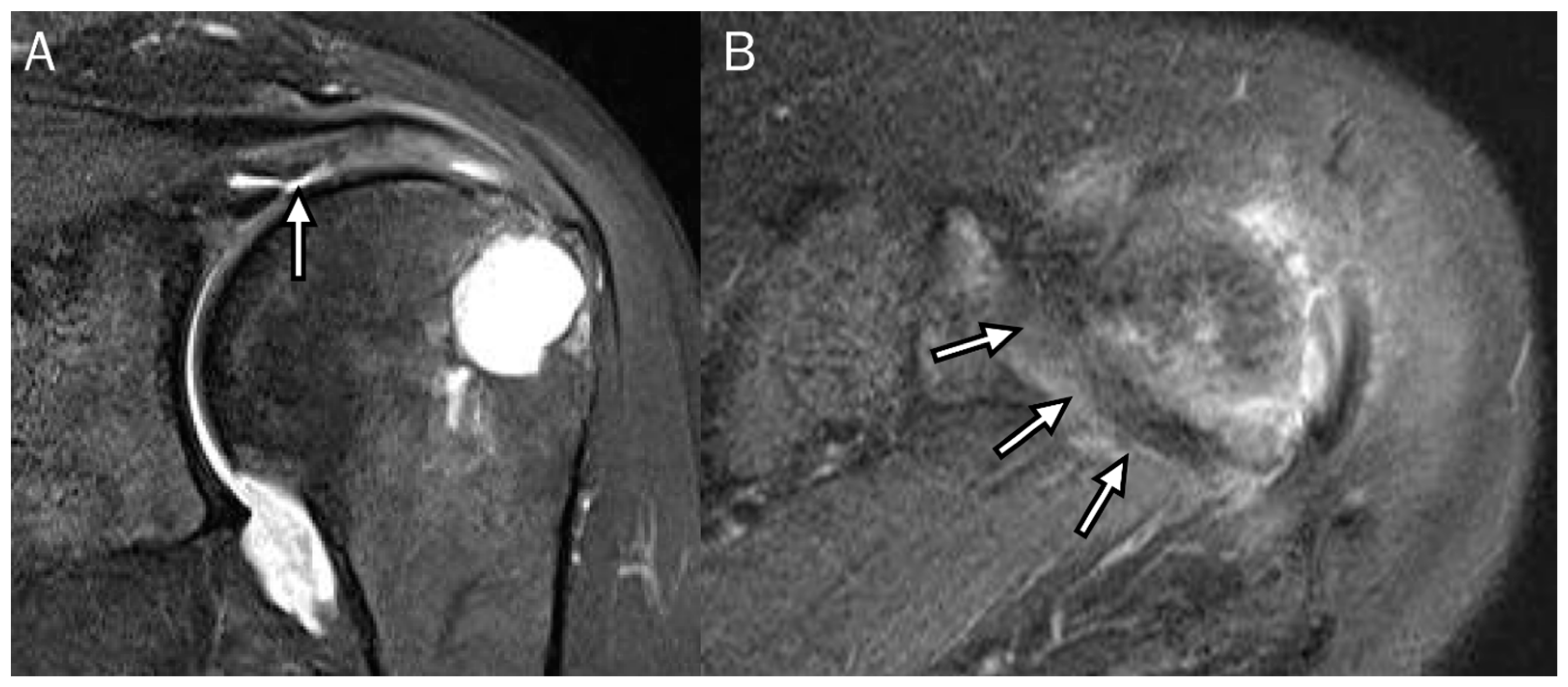
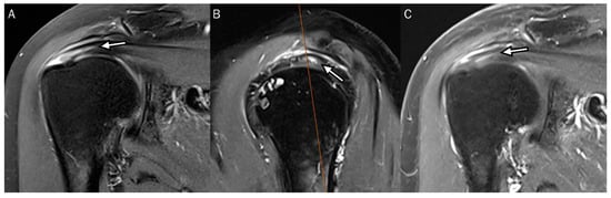
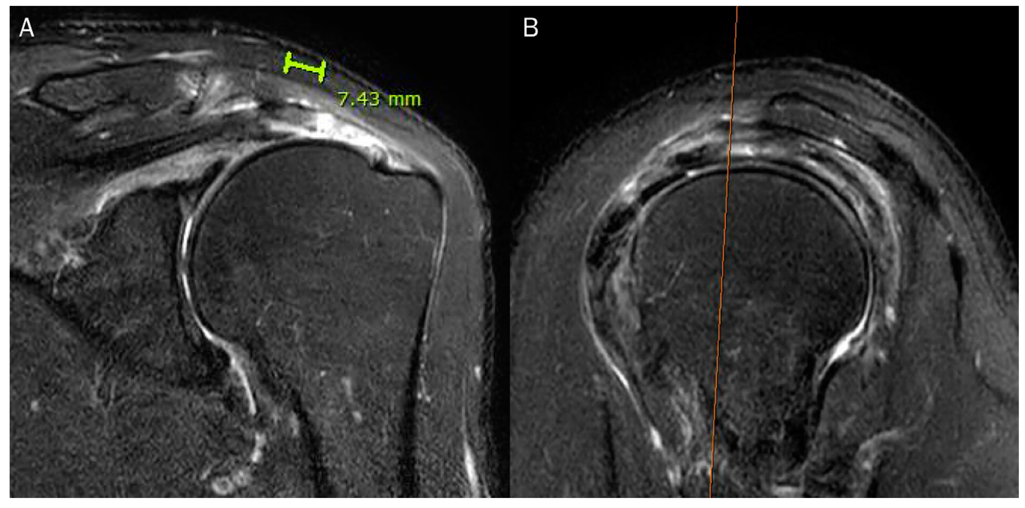
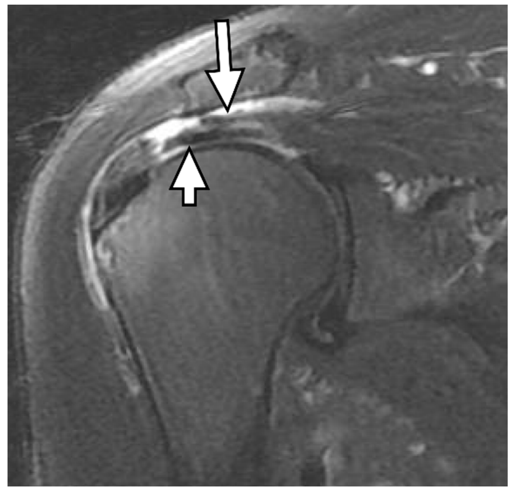
5. Radiologic Diagnosis of Delaminated Tears Using MRI
6. Treatment and Clinical Outcome
7. Conclusions
Author Contributions
Funding
Institutional Review Board Statement
Informed Consent Statement
Data Availability Statement
Conflicts of Interest
References
- Hong, W.S.; Jee, W.-H.; Lee, S.-Y.; Chun, C.-W.; Jung, J.-Y.; Kim, Y.-S. Diagnosis of Rotator Cuff Tears with Non-Arthrographic MR Imaging: 3D Fat-Suppressed Isotropic Intermediate-Weighted Turbo Spin-Echo Sequence versus Conventional 2D Sequences at 3T. Investig. Magn. Reson. Imaging 2018, 22, 229–239. [Google Scholar] [CrossRef]
- Kassarjian, A.; Bencardino, J.T.; Palmer, W.E. MR imaging of the rotator cuff. Magn. Reson. Imaging Clin. N. Am. 2004, 12, 39–60. [Google Scholar] [CrossRef] [PubMed]
- Magee, T.; Williams, D. 3.0-T MRI of the supraspinatus tendon. AJR Am. J. Roentgenol. 2006, 187, 881–886. [Google Scholar] [CrossRef]
- Matava, M.J.; Purcell, D.B.; Rudzki, J.R. Partial-thickness rotator cuff tears. Am. J. Sports Med. 2005, 33, 1405–1417. [Google Scholar] [CrossRef]
- Opsha, O.; Malik, A.; Baltazar, R.; Primakov, D.; Beltran, S.; Miller, T.T.; Beltran, J. MRI of the rotator cuff and internal derangement. Eur. J. Radiol. 2008, 68, 36–56. [Google Scholar] [CrossRef]
- Song, S.; Lee, S.K.; Kim, J.-Y. Partial-Thickness Tear of Supraspinatus and Infraspinatus Tendon Revisited: Based on MR Findings. J. Korean Soc. Radiol. 2021, 82, 1366–1387. [Google Scholar] [CrossRef] [PubMed]
- Walz, D.M.; Miller, T.T.; Chen, S.; Hofman, J. MR imaging of delamination tears of the rotator cuff tendons. Skelet. Radiol. 2007, 36, 411–416. [Google Scholar] [CrossRef]
- Ellman, H. Diagnosis and treatment of incomplete rotator cuff tears. Clin. Orthop. Relat. Res. 1990, 254, 64–74. [Google Scholar] [CrossRef]
- Sonnabend, D.H.; Yu, Y.; Howlett, C.R.; Harper, G.D.; Walsh, W.R. Laminated tears of the human rotator cuff: A histologic and immunochemical study. J. Shoulder Elb. Surg. 2001, 10, 109–115. [Google Scholar] [CrossRef]
- Kim, J.H.; Jung, S.H. Delaminated Rotator Cuff Tear: Concurrent Concept and Treatment. Clin. Shoulder Elb. 2019, 22, 159–170. [Google Scholar] [CrossRef]
- Choo, H.J.; Lee, S.J.; Kim, J.H.; Kim, D.W.; Park, Y.M.; Kim, O.H.; Kim, S.J. Delaminated tears of the rotator cuff: Prevalence, characteristics, and diagnostic accuracy using indirect MR arthrography. AJR Am. J. Roentgenol. 2015, 204, 360–366. [Google Scholar] [CrossRef] [PubMed]
- Fukuda, H.; Hamada, K.; Nakajima, T.; Tomonaga, A. Pathology and pathogenesis of the intratendinous tearing of the rotator cuff viewed from en bloc histologic sections. Clin. Orthop. Relat. Res. 1994, 304, 60–67. [Google Scholar] [CrossRef]
- Lee, S.Y.; Lee, J.K. Horizontal component of partial-thickness tears of rotator cuff: Imaging characteristics and comparison of ABER view with oblique coronal view at MR arthrography initial results. Radiology 2002, 224, 470–476. [Google Scholar] [CrossRef] [PubMed]
- Flurin, P.H.; Landreau, P.; Gregory, T.; Boileau, P.; Lafosse, L.; Guillo, S.; Wolf, E.M. Cuff Integrity After Arthroscopic Rotator Cuff Repair: Correlation with Clinical Results in 576 Cases. Arthroscopy 2007, 23, 340–346. [Google Scholar] [CrossRef]
- Boileau, P.; Brassart, N.; Watkinson, D.J.; Carles, M.; Hatzidakis, A.M.; Krishnan, S.G. Arthroscopic repair of full-thickness tears of the supraspinatus: Does the tendon really heal? J. Bone Jt. Surg. Am. Vol. 2005, 87, 1229–1240. [Google Scholar] [CrossRef]
- Sonnabend, D.H.; Watson, E.M. Structural factors affecting the outcome of rotator cuff repair. J. Shoulder Elb. Surg. 2002, 11, 212–218. [Google Scholar] [CrossRef]
- Han, Y.; Shin, J.H.; Seok, C.W.; Lee, C.H.; Kim, S.H. Is posterior delamination in arthroscopic rotator cuff repair hidden to the posterior viewing portal? Arthroscopy 2013, 29, 1740–1747. [Google Scholar] [CrossRef]
- MacDougal, G.A.; Todhunter, C.R. Delamination tearing of the rotator cuff: Prospective analysis of the influence of delamination tearing on the outcome of arthroscopically assisted mini open rotator cuff repair. J. Shoulder Elb. Surg. 2010, 19, 1063–1069. [Google Scholar] [CrossRef]
- Matsuki, K.; Murate, R.; Ochiai, N.; Ogino, S. Delamination observed in full-thickness rotator cuff tears. Shoulder Jt. 2005, 29, 603–606. [Google Scholar]
- Boileau, P.; Andreani, O.; Schramm, M.; Baba, M.; Barret, H.; Chelli, M. The Effect of Tendon Delamination on Rotator Cuff Healing. Am. J. Sports Med. 2019, 47, 1074–1081. [Google Scholar] [CrossRef]
- Kwon, J.; Lee, Y.H.; Kim, S.H.; Ko, J.H.; Park, B.K.; Oh, J.H. Delamination Does Not Affect Outcomes After Arthroscopic Rotator Cuff Repair as Compared with Nondelaminated Rotator Cuff Tears: A Study of 1043 Consecutive Cases. Am. J. Sports Med. 2019, 47, 674–681. [Google Scholar] [CrossRef]
- Schwarz, G.M.; Nitschke, T.; Hirtler, L. Delamination in rotator cuff tears: Explanation of etiology through anatomical dissection. Clin. Anat. 2022, 35, 194–199. [Google Scholar] [CrossRef]
- Nakajima, T.; Rokuuma, N.; Hamada, K.; Tomatsu, T.; Fukuda, H. Histologic and biomechanical characteristics of the supraspinatus tendon: Reference to rotator cuff tearing. J. Shoulder Elb. Surg. 1994, 3, 79–87. [Google Scholar] [CrossRef] [PubMed]
- Clark, J.M.; Harryman, D.T., 2nd. Tendons, ligaments, and capsule of the rotator cuff. Gross and microscopic anatomy. J. Bone Jt. Surg. Am. Vol. 1992, 74, 713–725. [Google Scholar] [CrossRef]
- Huang, B.K.; Resnick, D. Novel anatomic concepts in magnetic resonance imaging of the rotator cuff tendons and the footprint. Magn. Reson. Imaging Clin. N. Am. 2012, 20, 163–172. [Google Scholar] [CrossRef]
- Mochizuki, T.; Sugaya, H.; Uomizu, M.; Maeda, K.; Matsuki, K.; Sekiya, I.; Akita, K. Humeral insertion of the supraspinatus and infraspinatus. New anatomical findings regarding the footprint of the rotator cuff. J. Bone Jt. Surg. Am. Vol. 2008, 90, 962–969. [Google Scholar] [CrossRef] [PubMed]
- Nimura, A.; Kato, A.; Yamaguchi, K.; Mochizuki, T.; Okawa, A.; Sugaya, H.; Akita, K. The superior capsule of the shoulder joint complements the insertion of the rotator cuff. J. Shoulder Elb. Surg. 2012, 21, 867–872. [Google Scholar] [CrossRef]
- Matsuki, K.; Murata, R.; Ochiai, N.; Ogino, S.; Sugaya, H.; Moriishi, J. Histological assessment of delamination observed in rotator cuff tears. Shoulder Jt. 2006, 30, 461–464. [Google Scholar]
- Tanaka, M.; Nimura, A.; Takahashi, N.; Mochizuki, T.; Kato, R.; Sugaya, H.; Akita, K. Location and thickness of delaminated rotator cuff tears: Cross-sectional analysis with surgery record review. JSES 2018, 2, 84–90. [Google Scholar] [CrossRef]
- Bierry, G.; Palmer, W.E. Patterns of tendon retraction in full-thickness rotator cuff tear: Comparison of delaminated and nondelaminated tendons. Skelet. Radiol. 2019, 48, 109–117. [Google Scholar] [CrossRef]
- Kim, Y.K.; Jung, K.H.; Park, C.K.; Yun, S.B. Morphologic Factors Related to Repair Outcomes for Delaminated Rotator Cuff Tears: A Minimum 2-Year Retrospective Comparison Study. Arthroscopy 2019, 35, 332–340. [Google Scholar] [CrossRef]
- Gwak, H.C.; Kim, C.W.; Kim, J.H.; Choo, H.J.; Sagong, S.Y.; Shin, J. Delaminated rotator cuff tear: Extension of delamination and cuff integrity after arthroscopic rotator cuff repair. J. Shoulder Elb. Surg. 2015, 24, 719–726. [Google Scholar] [CrossRef] [PubMed]
- Liu, F.; Dong, J.; Shen, W.J.; Kang, Q.; Zhou, D.; Xiong, F. Detecting Rotator Cuff Tears: A Network Meta-analysis of 144 Diagnostic Studies. Orthop. J. Sports Med. 2020, 8, 2325967119900356. [Google Scholar] [CrossRef]
- Schanda, J.E.; Eigenschink, M.; Laky, B.; Schwinghammer, A.; Lanz, U.; Pauzenberger, L.; Heuberer, P.R. Rotator Cuff Delamination Is Associated with Increased Tendon Retraction and Higher Fatty Muscle Infiltration: A Comparative Study on Arthroscopy and Magnetic Resonance Imaging. Arthroscopy 2022, 38, 2131–2141.e1. [Google Scholar] [CrossRef]
- Kim, S.J.; Choi, Y.R.; Lee, H.H.; Chun, Y.M. Surgical Results of Delaminated Rotator Cuff Repair Using Suture-Bridge Technique with All-Layers or Bursal Layer-Only Repair. Am. J. Sports Med. 2016, 44, 468–473. [Google Scholar] [CrossRef]
- Yoo, J.S.; Heo, K.; Yang, J.H.; Seo, J.B. Greater tuberosity angle and critical shoulder angle according to the delamination patterns of rotator cuff tear. J. Orthop. 2019, 16, 354–358. [Google Scholar] [CrossRef]
- Heuberer, P.R.; Pauzenberger, L.; Gruber, M.S.; Kriegleder, B.; Ostermann, R.C.; Laky, B.; Anderl, W. The knotless cinch-bridge technique for delaminated rotator cuff tears leads to a high healing rate and a more favorable short-term clinical outcome than suture-bridge repair. Knee Surg. Sports Traumatol. Arthrosc. 2019, 27, 3920–3928. [Google Scholar] [CrossRef]
- Heuberer, P.R.; Pauzenberger, L.; Smolen, D.; Ostermann, R.C.; Anderl, W. An Arthroscopic Knotless Technique for Anatomical Restoration of the Rotator Cuff and Superior Capsule: The Double-Layer Cinch Bridge. Arthrosc. Tech. 2018, 7, e7–e12. [Google Scholar] [CrossRef] [PubMed]
- Heuberer, P.R.; Pauzenberger, L.; Gruber, M.S.; Ostermann, R.C.; Hexel, M.; Laky, B.; Anderl, W. Delaminated Rotator Cuff Tears Showed Lower Short-term Retear Rates After Arthroscopic Double-Layer Repair Versus Bursal Layer-Only Repair: A Randomized Controlled Trial. Am. J. Sports Med. 2020, 48, 689–696. [Google Scholar] [CrossRef]
- Kim, Y.S.; Lee, H.J.; Jin, H.K.; Kim, S.E.; Lee, J.W. Conventional En Masse Repair Versus Separate Double-Layer Double-Row Repair for the Treatment of Delaminated Rotator Cuff Tears. Am. J. Sports Med. 2016, 44, 1146–1152. [Google Scholar] [CrossRef] [PubMed]
- Nakamizo, H.; Horie, R. Comparison of En Masse Versus Dual-Layer Suture Bridge Procedures for Delaminated Rotator Cuff Tears. Arthroscopy 2018, 34, 3150–3156. [Google Scholar] [CrossRef] [PubMed]
- Opsomer, G.J.; Gupta, A.; Haeni, D.L.; Schubert, T.; Lejeune, E.; Petkin, K.; Lafosse, L. Arthroscopic Double-Layer Lasso Loop Technique to Repair Delaminated Rotator Cuff Tears. Arthroscopy 2018, 34, 2943–2951. [Google Scholar] [CrossRef] [PubMed]
- Pauzenberger, L.; Heuberer, P.R.; Dyrna, F.; Obopilwe, E.; Kriegleder, B.; Anderl, W.; Mazzocca, A.D. Double-Layer Rotator Cuff Repair: Anatomic Reconstruction of the Superior Capsule and Rotator Cuff Improves Biomechanical Properties in Repairs of Delaminated Rotator Cuff Tears. Am. J. Sports Med. 2018, 46, 3165–3173. [Google Scholar] [CrossRef] [PubMed]
- Gerber, C.; Fuchs, B.; Hodler, J. The results of repair of massive tears of the rotator cuff. J. Bone Jt. Surg. Am. Vol. 2000, 82, 505–515. [Google Scholar] [CrossRef]
- Park, J.Y.; Lhee, S.H.; Oh, K.S.; Moon, S.G.; Hwang, J.T. Clinical and ultrasonographic outcomes of arthroscopic suture bridge repair for massive rotator cuff tear. Arthroscopy 2013, 29, 280–289. [Google Scholar] [CrossRef]
- Chen, J.; Zheng, Z.Y.; Ren, Y.M. Separate double-layer repair versus en masse repair for delaminated rotator cuff tears: A systematic review and meta-analysis. J. Orthop. Surg. Res. 2020, 15, 171. [Google Scholar] [CrossRef]
- Ren, J.; Xu, C.; Liu, X.; Wang, J.; Li, Z.; Lü, Y. Clinical research of arthroscopic separate double-layer suture bridge technique for delaminated rotator cuff tear. Chin. J. Reparative Reconstr. Surg. 2017, 31, 1168–1172. [Google Scholar] [CrossRef]
- Shim, J.W.; Hong, S.W.; Park, Y.B.; Lee, S.M.; Yoo, J.C. Clinical and radiological outcomes of arthroscopic en bloc repair for delaminated rotator cuff tear versus non-delaminated tear. J. Orthop. Surg. 2019, 27, 2309499018821771. [Google Scholar] [CrossRef]
- Kim, C.-W.; Kim, J.-H.; Gwak, H.-C.; Park, J.-H. The comparison of outcomes between delaminated and nondelaminated rotator cuff tear repair: Is delamination a negative prognostic factor? J. Shoulder Elb. Surg. 2017, 26, 216–224. [Google Scholar] [CrossRef]
- Cha, S.W.; Lee, C.K.; Sugaya, H.; Kim, T.; Lee, S.C. Retraction pattern of delaminated rotator cuff tears: Dual-layer rotator cuff repair. J. Orthop. Surg. Res. 2016, 11, 75. [Google Scholar] [CrossRef]
- Mochizuki, T.; Nimura, A.; Miyamoto, T.; Koga, H.; Akita, K.; Muneta, T. Repair of Rotator Cuff Tear with Delamination: Independent Repairs of the Infraspinatus and Articular Capsule. Arthrosc. Tech. 2016, 5, e1129–e1134. [Google Scholar] [CrossRef] [PubMed]
- Sugaya, H.; Maeda, K.; Matsuki, K.; Moriishi, J. Functional and structural outcome after arthroscopic full-thickness rotator cuff repair: Single-row versus dual-row fixation. Arthroscopy 2005, 21, 1307–1316. [Google Scholar] [CrossRef]
- Kim, Y.K.; Jung, K.H.; Kwon, H.M. Comparison of Structural Integrity and Functional Outcome between Delaminated and Nondelaminated Rotator Cuff Tears After En Masse Arthroscopic Repair: A Retrospective Cohort Study with Propensity Score Matching. Am. J. Sports Med. 2019, 47, 1411–1419. [Google Scholar] [CrossRef]
- Kim, H.M.; Dahiya, N.; Teefey, S.A.; Keener, J.D.; Galatz, L.M.; Yamaguchi, K. Relationship of tear size and location to fatty degeneration of the rotator cuff. J. Bone Jt. Surg. Am. Vol. 2010, 92, 829–839. [Google Scholar] [CrossRef] [PubMed]
- Sugaya, H.; Maeda, K.; Matsuki, K.; Moriishi, J. Repair integrity and functional outcome after arthroscopic double-row rotator cuff repair. A prospective outcome study. J. Bone Jt. Surg. Am. Vol. 2007, 89, 953–960. [Google Scholar] [CrossRef] [PubMed]











| Type A | a horizontal component of a tear with an intact articular surface |
| Type B | a horizontal component with increased signal intensity and irregularity of the articular surface |
| Type C | a horizontal component with a definite flap tear (torn edge) of the articular surface |
| Type 1 | |
| Type 1a | articular-delaminated full-thickness tears |
| Type 1b | bursal-delaminated full-thickness tears |
| Type 1c | intratendinous-delaminated full-thickness tears |
| Type 2 | |
| Type 2a | articular-delaminated partial-thickness tears |
| Type 2b | bursal-delaminated partial-thickness tears |
| Type 2c | intratendinous-delaminated partial-thickness tears |
| 1 | type of delaminated tear |
| 2 | retraction length of the articular and bursal layers |
| length of the intrasubstances cleavage | |
| length of the anteroposterior tear | |
| 3 | fatty muscle infiltration of rotator cuffs |
| Component 1 | Component 2 | Component 3 |
|---|---|---|
| articular-delaminated | partial-thickness | visible cleavage |
| bursal-delaminated | full-thickness | no visible cleavage and thickened torn edge |
Disclaimer/Publisher’s Note: The statements, opinions and data contained in all publications are solely those of the individual author(s) and contributor(s) and not of MDPI and/or the editor(s). MDPI and/or the editor(s) disclaim responsibility for any injury to people or property resulting from any ideas, methods, instructions or products referred to in the content. |
© 2023 by the authors. Licensee MDPI, Basel, Switzerland. This article is an open access article distributed under the terms and conditions of the Creative Commons Attribution (CC BY) license (https://creativecommons.org/licenses/by/4.0/).
Share and Cite
Kim, J.-H.; Lee, S.K. Delaminated Tears of the Rotator Cuff: MRI Interpretation with Clinical Correlation. Diagnostics 2023, 13, 1133. https://doi.org/10.3390/diagnostics13061133
Kim J-H, Lee SK. Delaminated Tears of the Rotator Cuff: MRI Interpretation with Clinical Correlation. Diagnostics. 2023; 13(6):1133. https://doi.org/10.3390/diagnostics13061133
Chicago/Turabian StyleKim, Jun-Ho, and Seul Ki Lee. 2023. "Delaminated Tears of the Rotator Cuff: MRI Interpretation with Clinical Correlation" Diagnostics 13, no. 6: 1133. https://doi.org/10.3390/diagnostics13061133
APA StyleKim, J.-H., & Lee, S. K. (2023). Delaminated Tears of the Rotator Cuff: MRI Interpretation with Clinical Correlation. Diagnostics, 13(6), 1133. https://doi.org/10.3390/diagnostics13061133

