Positional Features of the Mandibular Condyle in Patients with Facial Asymmetry
Abstract
1. Introduction
2. Materials and Methods
Statistical Analysis
3. Results
4. Discussion
5. Conclusions
Author Contributions
Funding
Institutional Review Board Statement
Informed Consent Statement
Data Availability Statement
Acknowledgments
Conflicts of Interest
References
- Alomar, X.; Medrano, J.; Cabratosa, J.; Clavero, J.; Lorente, M.; Serra, I.; Monill, J.; Salvador, A. Anatomy of the temporomandibular joint. Semin. Ultrasound CT MRI 2007, 28, 170–183. [Google Scholar] [CrossRef] [PubMed]
- Wang, X.; Yang, C.; Goddard, G.; Qiu, W. Normal and pathological anatomy of the TMJ viewed by computerized panoramic arthroscopic images. Cranio 2003, 21, 196–201. [Google Scholar] [CrossRef] [PubMed]
- Roberts, W.E.; Stocum, D.L. Part II: Temporomandibular Joint (TMJ)-Regeneration, Degeneration, and Adaptation. Curr. Osteoporos. Rep. 2018, 16, 369–379. [Google Scholar] [CrossRef] [PubMed]
- Wolford, L.M.; Movahed, R.; Perez, D.E. A classification system for conditions causing condylar hyperplasia. J. Oral Maxillofac. Surg. 2014, 72, 567–595. [Google Scholar] [CrossRef]
- Kim, J.-Y.; Kim, B.-J.; Park, K.-H.; Huh, J.-K. Comparison of volume and position of the temporomandibular joint structures in patients with mandibular asymmetry. Oral Surg. Oral Med. Oral Pathol. Oral Radiol. 2016, 122, 772–780. [Google Scholar] [CrossRef]
- López Buitrago, D.F.; Ruiz Botero, J. Asymmetry of glenoid fossa as differential diagnosis for hemimandibular elongation. Rev. Mex. Ortod. 2017, 5, e217–e226. [Google Scholar] [CrossRef]
- Minoux, M.; Rijli, F.M. Molecular mechanisms of cranial neural crest cell migration and patterning in craniofacial development. Development 2010, 137, 2605–2621. [Google Scholar] [CrossRef]
- Baek, S.-H.; Cho, I.-S.; Chang, Y.-I.; Kim, M.-J. Skeletodental factors affecting chin point deviation in female patients with class III malocclusion and facial asymmetry: A three-dimensional analysis using computed tomography. Oral Surg. Oral Med. Oral Pathol. Oral Radiol. Endodontol. 2007, 104, 628–639. [Google Scholar] [CrossRef]
- Pirttiniemi, P.M. Associations of mandibular and facial asymmetries—A review. Am. J. Orthod. Dentofac. Orthop. 1994, 106, 191–200. [Google Scholar] [CrossRef]
- Ishizaki, K.; Suzuki, K.; Mito, T.; Tanaka, E.M.; Sato, S. Morphologic, functional, and occlusal characterization of mandibular lateral displacement malocclusion. Am. J. Orthod. Dentofac. Orthop. 2010, 137, 454.e1–454.e9. [Google Scholar] [CrossRef]
- Schmid, W.; Mongini, F.; Felisio, A. A computer-based assessment of structural and displacement asymmetries of the mandible. Am. J. Orthod. Dentofac. Orthop. 1991, 100, 19–34. [Google Scholar] [CrossRef] [PubMed]
- Katzberg, R.W.; Tallents, R.H.; Hayakawa, K.; Miller, T.L.; Goske, M.J.; Wood, B.P. Internal derangements of the temporomandibular joint: Findings in the pediatric age group. Radiology 1985, 154, 125–127. [Google Scholar] [CrossRef] [PubMed]
- Tallents, R.H.; Guay, J.A.; Katzberg, R.W.; Murphy, W.; Proskin, H. Angular and linear comparisons with unilateral mandibular asymmetry. J. Craniomandib. Disord. Facial Oral Pain 1991, 5, 135–142. [Google Scholar]
- Nickerson, J.W.J.; Møystad, A. Observations on individuals with radiographic bilateral condylar remodeling. J. Craniomandib. Pract. 1982, 1, 20–37. [Google Scholar] [CrossRef] [PubMed]
- Ahn, S.-J.; Lee, S.-P.; Nahm, D.-S. Relationship between temporomandibular joint internal derangement and facial asymmetry in women. Am. J. Orthod. Dentofac. Orthop. 2005, 128, 583–591. [Google Scholar] [CrossRef]
- Pereira, L.J.; Gavião, M.B.D. Tomographic evaluation of TMJ in adolescents with temporomandibular disorders. Braz. Oral Res. 2004, 18, 208–214. [Google Scholar] [CrossRef]
- Matos, J.L.; Matos, M.; Ramos-Perez, F.; De Almeida, S.; Bóscolo, F. Avaliação do espaço articular em repouso de pacientes sintomáticos e assintomáticos de desordens temporomandibulares. Braz. Dent. Sci. 2010, 8, 68–76. [Google Scholar] [CrossRef]
- Kinniburgh, R.D.; Major, P.W.; Nebbe, B.; West, K.; Glover, K.E. Osseous morphology and spatial relationships of the temporomandibular joint: Comparisons of normal and anterior disc positions. Angle Orthod. 2000, 70, 70–80. [Google Scholar]
- Rodrigues, A.F.; Fraga, M.R.; Vitral, R.W.F. Computed tomography evaluation of the temporomandibular joint in Class I malocclusion patients: Condylar symmetry and condyle-fossa relationship. Am. J. Orthod. Dentofac. Orthop. 2009, 136, 192–198. [Google Scholar] [CrossRef]
- Ikeda, K.; Kawamura, A.; Ikeda, R. Assessment of Optimal Condylar Position in the Coronal and Axial Planes with Limited Cone-Beam Computed Tomography. J. Prosthodont. 2011, 20, 432–438. [Google Scholar] [CrossRef]
- Pullinger, A.G.; Hollender, L.; Solberg, W.K.; Petersson, A. A tomographic study of mandibular condyle position in an asymptomatic population. J. Prosthet. Dent. 1985, 53, 706–713. [Google Scholar] [CrossRef] [PubMed]
- Pereira, L.J.; Gavião, M.; Bonjardim, L.; Castelo, P.M. Ultrasound and tomographic evaluation of temporomandibular joints in adolescents with and without signs and symptoms of temporomandibular disorders: A pilot study. Dentomaxillofac. Radiol. 2007, 36, 402–408. [Google Scholar] [CrossRef] [PubMed]
- López, D.F.; Botero, J.R.; Muñoz, J.M.; Cárdenas-Perilla, R.; Moreno, M. Are There Mandibular Morphological Differences in the Various Facial Asymmetry Etiologies? A Tomographic Three-Dimensional Reconstruction Study. J. Oral Maxillofac. Surg. 2019, 77, 2324–2338. [Google Scholar] [CrossRef] [PubMed]
- Ikeda, K.; Kawamura, A. Assessment of optimal condylar position with limited cone-beam computed tomography. Am. J. Orthod. Dentofac. Orthop. 2009, 135, 495–501. [Google Scholar] [CrossRef] [PubMed]
- Major, P.W.; Kinniburgh, R.D.; Nebbe, B.; Prasad, N.G.; Glover, K.E. Tomographic assessment of temporomandibular joint osseous articular surface contour and spatial relationships associated with disc displacement and disc length. Am. J. Orthod. Dentofac. Orthop. 2002, 121, 152–161. [Google Scholar] [CrossRef]
- Bag, A.K.; Gaddikeri, S.; Singhal, A.; Hardin, S.; Tran, B.D.; Medina, J.A.; Curé, J.K. Imaging of the temporomandibular joint: An update. World J. Radiol. 2014, 6, 567–582. [Google Scholar] [CrossRef]
- Luder, H.U. Articular degeneration and remodeling in human temporomandibular joints with normal and abnormal disc position. J. Orofac. Pain 1993, 7, 391–402. [Google Scholar]
- Panchbhai, A. Temporomandibular joint space. Indian J. Oral Health Res 2017, 3, 47–56. [Google Scholar] [CrossRef]
- Rammelsberg, P.; Jäger, L.; Duc, J.-M.P. Magnetic resonance imaging-based joint space measurements in temporomandibular joints with disk displacements and in controls. Oral Surg. Oral Med. Oral Pathol. Oral Radiol. Endodontol. 2000, 90, 240–248. [Google Scholar] [CrossRef]
- Al-Rawi, N.H.; Uthman, A.T.; Sodeify, S.M. Spatial analysis of mandibular condyles in patients with temporomandibular disorders and normal controls using cone beam computed tomography. Eur. J. Dent. 2017, 11, 099–105. [Google Scholar] [CrossRef]
- López, D.F.; Botero, J.R.; Muñoz, J.M.; Cardenas-Perilla, R.A. Mandibular and temporomandibular morphologic characteristics of patients with suspected unilateral condylar hyperplasia: A CT study. Dent. Press J. Orthod. 2020, 25, 61–68. [Google Scholar] [CrossRef] [PubMed]
- Raijmakers, P.G.; Karssemakers, L.H.; Tuinzing, D.B. Female Predominance and Effect of Gender on Unilateral Condylar Hyperplasia: A Review and Meta-Analysis. J. Oral Maxillofac. Surg. 2012, 70, e72–e76. [Google Scholar] [CrossRef]
- Lópezb, D.F.; Corrals, C.M. Comparison of planar bone scintigraphy and single photon emission computed tomography for diagnosis of active condylar hyperplasia. J. Cranio-Maxillofac. Surg. 2016, 44, 70–74. [Google Scholar] [CrossRef] [PubMed]
- Chae, J.-M.; Park, J.H.; Tai, K.; Mizutani, K.; Uzuka, S.; Miyashita, W.; Seo, H.Y. Evaluation of condyle-fossa relationships in adolescents with various skeletal patterns using cone-beam computed tomography. Angle Orthod. 2020, 90, 224–232. [Google Scholar] [CrossRef] [PubMed]
- Ganugapanta, V.R.; Ponnada, S.R.; Gaddam, K.P.R.; Perumalla, K.; Khan, I.; Mohammed, N.A. Computed Tomographic Evaluation of Condylar Symmetry and Condyle-Fossa Relationship of the Temporomandibular Joint in Subjects with Normal Occlusion and Malocclusion: A Comparative Study. J. Clin. Diagn. Res. 2017, 11, ZC29–ZC33. [Google Scholar] [CrossRef]
- Paknahad, M.; Shahidi, S.; Iranpour, S.; Mirhadi, S.; Paknahad, M. Cone-Beam Computed Tomographic Assessment of Mandibular Condylar Position in Patients with Temporomandibular Joint Dysfunction and in Healthy Subjects. Int. J. Dent. 2015, 2015, 301796. [Google Scholar] [CrossRef]
- Guerrero Aguilar, A.; Flores Araque, M.E.; Flores Carrera, E.; Velásquez Ron, B. Condylar position and Temporomandibular Joint Space analysis with Cone-beam Tomography. Odontol. Vital 2021, 2, 6–16. [Google Scholar]
- Lelis, E.R.; Guimarães Henriques, J.C.; Tavares, M.; de Mendonça, M.R.; Fernandes Neto, A.J.; Almeida, G.D.A. Cone-beam tomography assessment of the condylar position in asymptomatic and symptomatic young individuals. J. Prosthet. Dent. 2015, 114, 420–425. [Google Scholar] [CrossRef]
- Choi, B.-J.; Kim, B.-S.; Lim, J.-M.; Jung, J.; Lee, J.-W.; Ohe, J.-Y. Positional change in mandibular condyle in facial asymmetric patients after orthognathic surgery: Cone-beam computed tomography study. Maxillofac. Plast. Reconstr. Surg. 2018, 40, 13. [Google Scholar] [CrossRef]
- Chen, Y.; Wang, J.; Li, Y.; Li, L.; Luo, N.; Wu, Y.; Dai, H.; Zhou, J. Age-related variations in position and morphology of the temporomandibular joint in individuals with anterior openbite and crossbite: A multi-cross-sectional comparative study. BMC Oral Health 2022, 22, 200. [Google Scholar] [CrossRef]
- Al-Hadad, S.A.; Alyafrusee, E.S.; Abdulqader, A.A.; Al-Gumaei, W.S.; Al-Mohana, R.A.A.M.; Ren, L. Comprehensive three-dimensional positional and morphological assessment of the temporomandibular joint in skeletal Class II patients with mandibular retrognathism in different vertical skeletal patterns. BMC Oral Health 2022, 22, 149. [Google Scholar] [CrossRef] [PubMed]
- Ponces, M.J.; Tavares, J.P.; Lopes, J.D.; Ferreira, A.P. Comparison of condylar displacement between three biotypological facial groups by using mounted models and a mandibular position indicator. Korean J. Orthod. 2014, 44, 312–319. [Google Scholar] [CrossRef] [PubMed]
- Almaqrami, B.S.; Alhammadi, M.S.; Tang, B.; Alyafrusee, E.S.; Hua, F.; He, H. Three-dimensional morphological and positional analysis of the temporomandibular joint in adults with posterior crossbite: A cross-sectional comparative study. J. Oral Rehabil. 2021, 48, 666–677. [Google Scholar] [CrossRef] [PubMed]
- Westesson, P.L.; Bifano, J.A.; Tallents, R.H.; Hatala, M.P. Increased horizontal angle of the mandibular condyle in abnormal temporomandibular joints. A magnetic resonance imaging study. Oral Surg. Oral Med. Oral Pathol. 1991, 72, 359–363. [Google Scholar] [CrossRef]
- Hegde, S.; Bn, P.; Shetty, S. Morphological and Radiological Variations of Mandibular Condyles in Health and Diseases: A Systematic Review. Dentistry 2013, 3, 1. [Google Scholar]
- Karatas, O.H.; Toy, E. Three-dimensional imaging techniques: A literature review. Eur. J. Dent. 2014, 8, 132–140. [Google Scholar] [CrossRef]
- Osiewicz, M.A.; Lobbezoo, F.; Loster, B.W.; Loster, J.E.; Manfredini, D. Frequency of temporomandibular disorders diagnoses based on RDC/TMD in a Polish patient population. Cranio 2018, 36, 304–310. [Google Scholar] [CrossRef]




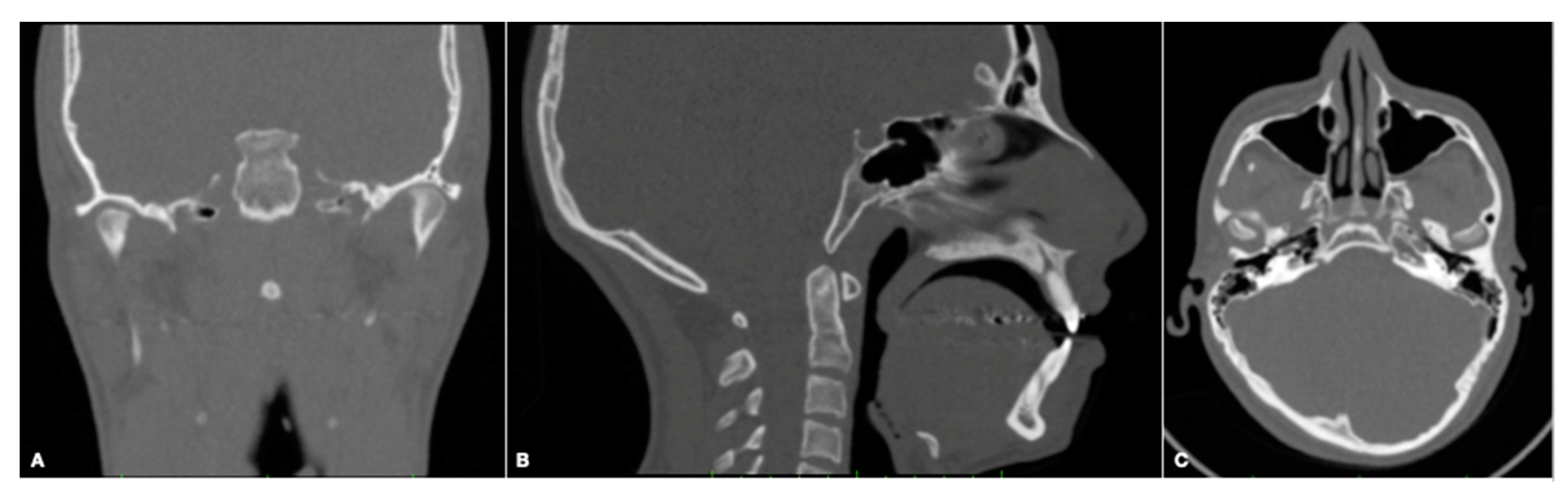
| Variable | Description | |
|---|---|---|
| Articular space | Posterior | Draw a tangent line to the posterior wall of the mandibular condyle. The most posterior-superior point of the condyle on the tangent line is located and from that point a perpendicular is traced to the posterior wall of the articular cavity. Data in mm. Figure 3c. |
| Middle | Draw a line from the uppermost point of the mandibular condyle to the deepest point of the glenoid fossa. Data in mm. Figure 3d. | |
| Anterior | Draw a tangent line from the most anterior part of the mandibular condyle. The most antero-superior point of the condyle on the tangent line is located and from that point a perpendicular is traced to the anterior wall of the articular cavity. Data in mm. Figure 3e. | |
| Condylar Position | Apply the equation: DC = (P − A/P + A) × 100%. DC (condylar displacement). P (posterior articular space). A (Anterior articular space). Method described by Pullinger and Hollender, modified by Pereira et al., 2007 [21,22]. | |
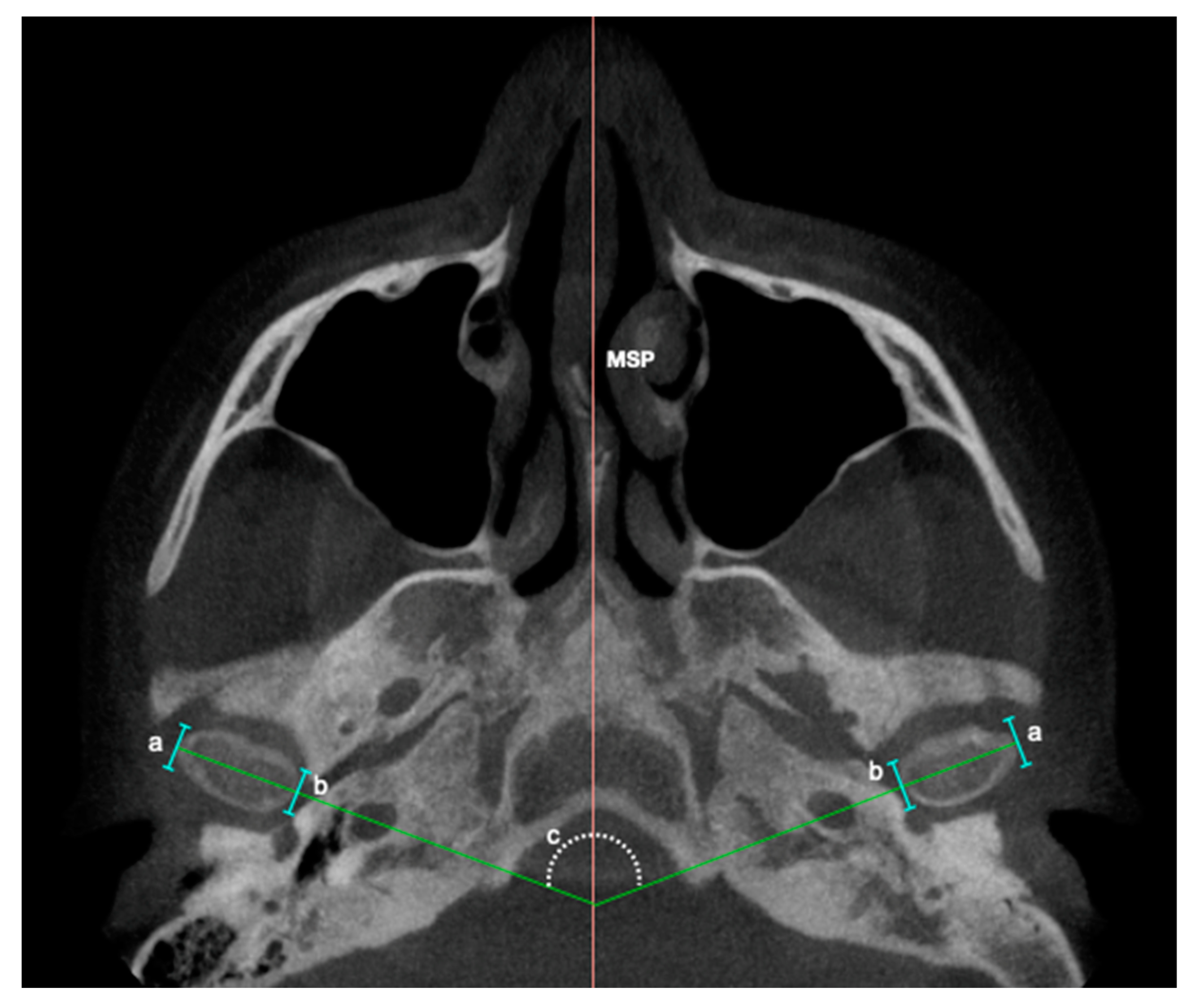
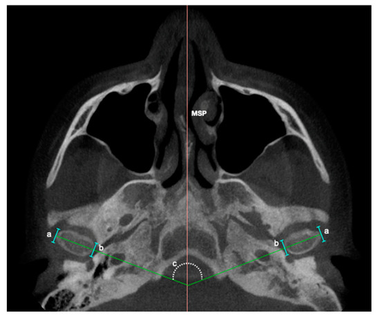
| Condylar axis | Inner angle between sagittal middle plane (SMP) and the line drawn from a projection of the highest middle-lateral length of each mandibular condyle. Figure 4. |
| Variable | Measurement 1 (n = 20) * | Measurement 2 (n = 20) * | CCA ** |
|---|---|---|---|
| Right joint space | |||
| Anterior | 1 (0.7; 1.2) | 1 (0.7; 1.3) | 0.89 |
| Middle | 1.2 (0.9; 1.9) | 1.3 (0.7; 1.7) | 0.93 |
| Posterior | 1.4 (1.3; 1.6) | 1.5 (1.2; 1.7) | 0.96 |
| Left joint space | |||
| Anterior | 1.1 (0.9; 1.5) | 1.3 (0.9; 1.6) | 0.92 |
| Middle | 1.3 (1; 1.8) | 1.2 (0.9; 1.7) | 0.93 |
| Posterior | 1.4 (1.1; 1.8) | 1.6 (1.2; 2) | 0.92 |
| Condylar axis | |||
| Right | 66.4 (60.5; 72.2) | 66.7 (60.5; 72.4) | 1 |
| Left | 65.4 (63.1; 74.1) | 65.7 (63.8; 73.3) | 1 |
| Variable (n = 153) | NA (n = 20) | MAP (n = 25) | GFA (n = 9) | FL (n = 8) | HE (n = 61) | HH (n = 11) | HF (n = 19) |
|---|---|---|---|---|---|---|---|
| Age * | 22 (16; 29) | 17 (13; 19) | 14 (13; 16) | 16 (14; 20) | 17 (15; 24) | 26 (17; 30) | 23 (16; 30) |
| Gender ** | |||||||
| Male | 8 (40) | 12 (48) | 2 (22.2) | 3 (37.5) | 24 (39.3) | 2 (18.2) | 8 (42.1) |
| Female | 12 (60) | 13 (52) | 7 (77.8) | 5 (62.5) | 37 (60.7) | 9 (81.8) | 11 (57.9) |
| Affected side ** | |||||||
| Right | 0 (0) | 15 (60) | 4 (44.4) | 3 (37.5) | 32 (52.5) | 7 (63.6) | 11 (57.9) |
| Left | 0 (0) | 10 (40) | 5 (55.6) | 5 (62.5) | 29 (47.5) | 4 (36.4) | 8 (42.1) |
| Condylar Position (%) (n = 153) | NA (n = 20) | MAP (n = 25) | GFA (n = 9) | FL (n = 8) | HE (n = 61) | HH (n = 11) | HF (n = 19) |
|---|---|---|---|---|---|---|---|
| Right side | |||||||
| Anterior | 7 (35) | 16 (64) | 7 (77.8) | 6 (75) | 27 (44.3) | 10 (90.9) | 12 (63.2) |
| Middle | 11 (55) | 8 (32) | 2 (22.2) | 2 (25) | 19 (31.1) | 0 (0) | 5 (26.3) |
| Posterior | 2 (10) | 1 (4) | 0 (0) | 0 (0) | 15 (24.6) | 1 (9.1) | 2 (10.5) |
| Left side | |||||||
| Anterior | 10 (50) | 13 (52) | 6 (66.7) | 5 (62.5) | 33 (54.1) | 4 (36.4) | 7 (36.8) |
| Middle | 8 (40) | 6 (24) | 3 (33.3) | 1 (12.5) | 18 (29.5) | 5 (45.5) | 7 (36.8) |
| Posterior | 2 (10) | 6 (24) | 0 (0) | 2 (25) | 10 (16.4) | 2 (18.2) | 5 (26.3) |
| Diagnosis and Affected Side (n = 153) | Right Condylar Position (%) | p Value | Left Condylar Position (%) | p Value |
|---|---|---|---|---|
| NA | 7.4 (−3; 17) * | Ref | 11.7 (0.3; 24.1) * | Ref |
| MAP | 15.7 (7; 33.3) * | 0.04 | 12.5 (−4.3; 36.3) * | 0.85 |
| Right | 29.5 (0.6; 35.8) * | 0.16 | - | - |
| Left | - | - | 15 (−13.1; 33.2) * | 1 |
| GFA | 25.5 (22.6; 28.4) * | 0.06 | 24.3 (9.8; 50.4) * | 0.13 |
| Right | 20.1 (-) ** | 0.24 | - | - |
| Left | - | - | 30.8 (24.3; 54.5) * | 0.03 |
| FL | 19.9 (13.2; 29.8) * | 0.08 | 24.3 (−2.6; 33.6) * | 0.57 |
| Right | 22.8 (-) ** | 0.12 | - | - |
| Left | - | - | 27.5 (-) ** | 0.15 |
| HE | 8.7 (−9.9; 23) * | 0.77 | 15.3 (−5.5; 30.5) * | 0.93 |
| Right | 13.7 (0.6; 20.4) * | 0.46 | - | - |
| Left | - | - | 15.3 (1.5; 30.6) * | 0.64 |
| HH | 33.3 (25.3; 42.3) * | <0.01 | 7.1 (−6.8; 30.4) * | 0.64 |
| Right | 33.3 (22.3; 40.4) * | 0.03 | - | - |
| Left | - | - | 27.2 (-) ** | 0.48 |
| HF | 23.9 (2.3; 38.2) * | 0.08 | −1.7 (−12.4; 25.4) * | 0.29 |
| Right | 18.2 (2.3; 36.4) * | 0.23 | - | - |
| Left | - | - | 3.5 (−14.2; 15.6) * | 0.3 |
| Diagnosis and Affected Side (n = 153) | Right Condylar Axis (°) | p Value | Left Condylar Axis (°) | p Value |
|---|---|---|---|---|
| NA | 68.9 (61.3; 73.3) * | Ref | 70.4 (64.7; 75) * | Ref |
| MAP | 69.5 (63.8; 74.5) * | 0.5 | 69.4 (64.9; 72.2) * | 0.78 |
| Right | 70.7 (65.2; 76.3) * | 0.27 | - | - |
| Left | - | - | 69.1 (67.1; 71.3) * | 0.91 |
| GFA | 66 (62.9; 74.7) * | 0.94 | 66.4 (63.5; 73) * | 0.44 |
| Right | 63.7 (-) ** | 0.31 | - | - |
| Left | - | - | 67.7 (-) ** | 0.62 |
| FL | 63.6 (59.2; 72) * | 0.5 | 66.9 (61; 73.7) * | 0.6 |
| Right | 66.4 (-) ** | 0.9 | - | - |
| Left | - | - | 63.1 (-) ** | 0.57 |
| HE | 65.2 (59.5; 72.9) * | 0.41 | 65.4 (61.8; 70.3) * | 0.03 |
| Right | 69.1 (61.4; 75) * | 0.57 | - | - |
| Left | - | - | 65.7 (62.7; 71.7) * | 0.14 |
| HH | 60.6 (51.7; 65.5) * | 0.06 | 56.5 (51.4; 66.1) * | <0.01 |
| Right | 61.3 (60.2; 69.5) * | 0.53 | - | - |
| Left | - | - | 63.6 (-) ** | 0.27 |
| HF | 62 (55.1; 69.9) * | 0.21 | 62.2 (55.6; 74.2) * | 0.11 |
| Right | 65.7 (62; 73.8) * | 0.92 | - | - |
| Left | - | - | 64 (60.2; 77.6) * | 0.64 |
| Diagnosis and Affected Side (n = 153) | Right | Left | ||||||||||
|---|---|---|---|---|---|---|---|---|---|---|---|---|
| Anterior (mm) | p | Middle (mm) | p | Posterior (mm) | p | Anterior (mm) | p | Middle (mm) | p | Posterior (mm) | p | |
| NA | 1.9 (1.6; 2.3) * | Ref | 2 (1.7; 2.3) * | Ref | 2.8 (2.2; 3.6) * | Ref | 2.7 (2.3; 3) * | Ref | 2.1 (1.8; 2.8) * | Ref | 2.6 (2; 3) * | Ref |
| MAP | 0.9 (0.6; 1.3) * | <0.01 | 1.1 (0.8; 1.9) * | <0.01 | 1.5 (1.1; 1.8) * | <0.01 | 1.2 (0.9; 1.4) * | <0.01 | 1.5 (0.9; 1.8) * | <0.01 | 1.5 (1.2; 1.8) * | <0.01 |
| Right | 0.9 (0.6; 1.1) * | <0.01 | 1.1 (0.8; 1.9) * | <0.01 | 1.2 (1; 1.8) * | <0.01 | - | - | - | - | - | - |
| Left | - | - | - | - | - | - | 1.2 (1.1; 1.4) * | 0.01 | 1.7 (1.5; 2) * | <0.01 | 1.6 (1.4; 2) * | <0.01 |
| GFA | 0.9 (0.8; 0.9) * | <0.01 | 1.3 (0.9; 1.5) * | <0.01 | 1.4 (1.3; 1.6) * | <0.01 | 1 (0.8; 1) | <0.01 | 1.6 (1.2; 2.3) | 0.02 | 1.5 (1.4; 1.9) * | 0.03 |
| Right | 1.2 (-) * | 0.06 | 2 (-) ** | 0.13 | 1.8 (-) ** | 0.1 | - | - | - | - | - | - |
| Left | - | - | - | - | - | - | 0.8 (-) ** | <0.01 | 1.5 (-) ** | 0.01 | 2.1 (-) ** | 0.1 |
| FL | 1 (0.7; 1.3) * | <0.01 | 1.3 (1.2; 1.6) * | <0.01 | 1.6 (1.4; 1.7) * | <0.01 | 1.2 (0.9; 1.8) | 0.04 | 1.5 (1.1; 1.8) * | <0.01 | 1.9 (1.2; 2.2) * | 0.02 |
| Right | 0.9 (-) ** | 0.01 | 1.2 (-) ** | 0.01 | 1.5 (-) ** | <0.01 | - | - | - | - | - | - |
| Left | - | - | - | - | - | - | 1 (-) ** | 0.02 | 1.6 (-) ** | 0.01 | 2.1 (-) ** | 0.3 |
| HE | 1.1 (0.9; 1.4) * | <0.01 | 1.4 (0.9; 1.8) * | <0.01 | 1.3 (1.1; 1.7) * | <0.01 | 1.1 (0.9; 1.5) * | <0.01 | 1.4 (0.9; 1.7) * | <0.01 | 1.4 (1.2; 1.8) * | <0.01 |
| Right | 1 (0.9; 1.3) * | <0.01 | 1.2 (0.9; 1.7) * | <0.01 | 1.3 (1.1; 1.5) * | <0.01 | - | - | - | - | - | - |
| Left | - | - | - | - | - | - | 1.1 (0.9; 1.2) * | <0.01 | 1.1 (0.8; 1.5) * | <0.01 | 1.6 (1.2; 1.7) * | <0.01 |
| HH | 0.9 (0.8; 1.0) * | <0.01 | 0.8 (0.7; 2.0) * | <0.01 | 1.9 (1.3; 2.2) * | 0.16 | 1.5 (1.1; 1.8) * | <0.01 | 1.2 (0.8; 1.5) * | <0.01 | 1.7 (1.4; 1.9) * | <0.01 |
| Right | 1 (0.9; 1.1) * | <0.01 | 1.2 (0.7; 2.4) * | 0.01 | 2 (1.6; 2.2) * | 0.26 | - | - | - | - | - | - |
| Left | - | - | - | - | - | - | 1.1 (-) ** | 0.03 | 0.9 (-) ** | <0.01 | 2 (-) ** | 0.08 |
| HF | 1 (0.7; 1.2) * | <0.01 | 1 (0.8; 1.6) * | <0.01 | 1.5 (1.3; 1.7) * | <0.01 | 1.2 (0.9; 1.7) * | <0.01 | 1.3 (0.9; 1.7) * | <0.01 | 1.4 (1.1; 1.6) * | <0.01 |
| Right | 1 (0.8; 1.2) * | <0.01 | 1 (0.9; 1.6) * | <0.01 | 1.4 (1.3; 1.5) * | <0.01 | - | - | - | - | - | - |
| Left | - | - | - | - | - | - | 1.1 (1; 1.5) * | <0.01 | 1.1 (0.7; 1.6) * | <0.01 | 1.2 (1; 1.3) * | <0.01 |
Disclaimer/Publisher’s Note: The statements, opinions and data contained in all publications are solely those of the individual author(s) and contributor(s) and not of MDPI and/or the editor(s). MDPI and/or the editor(s) disclaim responsibility for any injury to people or property resulting from any ideas, methods, instructions or products referred to in the content. |
© 2023 by the authors. Licensee MDPI, Basel, Switzerland. This article is an open access article distributed under the terms and conditions of the Creative Commons Attribution (CC BY) license (https://creativecommons.org/licenses/by/4.0/).
Share and Cite
López, D.F.; Rios Borrás, V.; Cárdenas-Perilla, R. Positional Features of the Mandibular Condyle in Patients with Facial Asymmetry. Diagnostics 2023, 13, 1034. https://doi.org/10.3390/diagnostics13061034
López DF, Rios Borrás V, Cárdenas-Perilla R. Positional Features of the Mandibular Condyle in Patients with Facial Asymmetry. Diagnostics. 2023; 13(6):1034. https://doi.org/10.3390/diagnostics13061034
Chicago/Turabian StyleLópez, Diego Fernando, Valentina Rios Borrás, and Rodrigo Cárdenas-Perilla. 2023. "Positional Features of the Mandibular Condyle in Patients with Facial Asymmetry" Diagnostics 13, no. 6: 1034. https://doi.org/10.3390/diagnostics13061034
APA StyleLópez, D. F., Rios Borrás, V., & Cárdenas-Perilla, R. (2023). Positional Features of the Mandibular Condyle in Patients with Facial Asymmetry. Diagnostics, 13(6), 1034. https://doi.org/10.3390/diagnostics13061034

