Secondary Breast Malignancy from Renal Cell Carcinoma: Challenges in Diagnosis and Treatment—Case Report
Abstract
1. Introduction
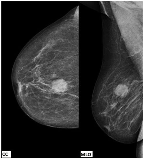
2. Case Presentation
3. Discussion
4. Conclusions
Author Contributions
Funding
Institutional Review Board Statement
Informed Consent Statement
Data Availability Statement
Conflicts of Interest
References
- Peired, A.J.; Campi, R.; Angelotti, M.L.; Antonelli, G.; Conte, C.; Lazzeri, E.; Becherucci, F.; Calistri, L.; Serni, S.; Romagnani, P. Sex and Gender Differences in Kidney Cancer: Clinical and Experimental Evidence. Cancers 2021, 13, 4588. [Google Scholar] [CrossRef] [PubMed]
- Padala, S.A.; Barsouk, A.; Thandra, K.C.; Kalyan, S.; Mohammed, A.; Vakiti, A.; Rawla, P.; Barsouk, A. Epidemiology of renal cell carcinoma. World J. Oncol. 2020, 11, 79–87. [Google Scholar] [CrossRef] [PubMed]
- Christensen, M.; Hannan, R. The Emerging Role of Radiation Therapy in Renal Cell Carcinoma. Cancers 2022, 14, 4693. [Google Scholar] [CrossRef]
- Williamson, S.R.; Gill, A.J.; Argani, P.; Chen, Y.B.; Egevad, L.; Kristiansen, G.; Grignon, D.J.; Hes, O. Report From the International Society of Urological Pathology (ISUP) Consultation Conference on Molecular Pathology of Urogenital Cancers: III: Molecular Pathology of Kidney Cancer. Am. J. Surg. Pathol. 2020, 44, e47–e65. [Google Scholar] [CrossRef] [PubMed]
- Bianchi, M.; Sun, M.; Jeldres, C.; Shariat, S.F.; Trinh, Q.-D.; Briganti, A.; Tian, Z.; Schmitges, J.; Graefen, M.; Perrotte, P.; et al. Distribution of metastatic sites in renal cell carci-noma: A population-based analysis. Ann. Oncol. 2012, 23, 973–980. [Google Scholar] [CrossRef]
- Lázaro, M.; Valderrama, B.P.; Suárez, C.; de-Velasco, G.; Beato, C.; Chirivella, I.; González-Del-Alba, A.; Laínez, N.; Méndez-Vidal, M.J.; Arranz, J.A. SEOM clinical guideline for treatment of kidney cancer. Clin. Transl. Oncol. 2020, 22, 256–269. [Google Scholar] [CrossRef]
- Guida, A.; Le Teuff, G.; Alves, C.; Colomba, E.; Di Nunno, V.; Derosa, L.; Flippot, R.; Escudier, B.; Albiges, L. Identification of international metastatic renal cell carcinoma database consortium (IMDC) intermediate-risk subgroups in patients with metastatic clear-cell renal cell carcinoma. Oncotarget 2020, 11, 4582–4592. [Google Scholar] [CrossRef]
- Sung, H.; Ferlay, J.; Siegel, R.L.; Laversanne, M.; Soerjomataram, I.; Jemal, A.; Bray, F. Global Cancer Statistics 2020: GLOBOCAN Estimates of Incidence and Mortality Worldwide for 36 Cancers in 185 Countries. CA Cancer J. Clin. 2021, 71, 209–249. [Google Scholar] [CrossRef]
- Vassalli, L.; Ferrari, V.D.; Simoncini, E.; Rangoni, G.; Montini, E.; Marpicati, P.; Mambrini, A.; Pagani, M.; Agazzi, C.; Marini, G. Solitary breast metastases from a renal cell carcinoma. Breast Cancer Res. Treat. 2001, 68, 29–31. [Google Scholar] [CrossRef]
- Bitencourt, A.G.V.; Gama, R.R.M.; Graziano, L.; Negrão, E.M.S.; Sabino, S.M.P.S.; Watanabe, A.H.U.; Guatelli, C.S.; Souza, J.A.; Mauad, E.C.; Marques, E.F. Breast metastases from extramammary malignancies: Multimodality imaging aspects. Br. J. Radiol. 2017, 90, 20170197. [Google Scholar] [CrossRef]
- Xu, Y.; Hou, R.; Lu, Q.; Deng, Y.; Hu, B. Renal clear cell carcinoma metastasis to the breast ten years after nephrectomy: A case report and literature review. Diagn. Pathol. 2017, 12, 76. [Google Scholar] [CrossRef] [PubMed]
- Alzaraa, A.; Vodovnik, A.; Montgomery, H.; Saeed, M.; Sharma, N. Breast metastasis from a renal cell cancer. World J. Surg. Oncol. 2007, 5, 25. [Google Scholar] [CrossRef] [PubMed]
- Mun, S.H.; Ko, E.Y.; Han, B.K.; Shin, J.H.; Kim, S.J.; Cho, E.Y. Breast metastases from extramammary malignancies: Typical and atypical ultrasound features. Korean J. Radiol. 2014, 15, 20–28. [Google Scholar] [CrossRef] [PubMed]
- Diaz de Leon, A.; Pirasteh, A.; Costa, D.N.; Kapur, P.; Hammers, H.; Brugarolas, J.; Pedrosa, I. Current Challenges in Diagnosis and Assessment of the Response of Locally Advanced and Metastatic Renal Cell Carcinoma. Radiographics 2019, 39, 998–1016. [Google Scholar] [CrossRef]
- Elouarith, I.; Bouhtouri, Y.; Elmajoudi, S.; Bekarsabein, S.; Ech-Charif, S.; Khmou, M.; Messaoudi, H.; Mahdi, Y.; Hachi, H.; El khannoussi, B. Breast metastasis 18 years after nephrectomy for renal cell carcinoma: A case report. J. Surg. Case Rep. 2022, 4, rjac116. [Google Scholar] [CrossRef]
- Ishigaki, T.; Kinoshita, S.; Shimada, N.; Miyake, R.; Suzuki, M.; Takeyama, H. Breast metastasis nine years after nephrectomy for renal cell carcinoma: A case report. Int. J. Surg. Case Rep. 2017, 39, 145–149. [Google Scholar] [CrossRef]
- Sturesdotter, L.; Sandsveden, M.; Johnson, K.; Larsson, A.M.; Zackrisson, S.; Sartor, H. Mammographic tumour appearance is related to clinicopathological factors and surrogate molecular breast cancer subtype. Sci. Rep. 2020, 10, 20814. [Google Scholar] [CrossRef]
- Lee, A.H. The histological diagnosis of metastases to the breast from extramammary malignancies. J. Clin. Pathol. 2007, 60, 1333–1341. [Google Scholar] [CrossRef]
- Morshid, A.; Duran, E.S.; Choi, W.J.; Duran, C. A Concise Review of the Multimodality Imaging Features of Renal Cell Carcinoma. Cureus 2021, 13, e13231. [Google Scholar] [CrossRef]
- Frew, I.J.; Moch, H. A clearer view of the molecular complexity of clear cell renal cell carcinoma. Annu. Rev. Pathol. 2015, 10, 263–289. [Google Scholar] [CrossRef]
- Truong, L.D.; Shen, S.S. Immunohistochemical diagnosis of renal neoplasms. Arch. Pathol. Lab. Med. 2011, 135, 92–109. [Google Scholar] [CrossRef] [PubMed]
- Kammerer-Jacquet, S.F.; Brunot, A.; Pladys, A.; Bouzille, G.; Dagher, J.; Medane, S.; Peyronnet, B.; Mathieu, R.; Verhoest, G.; Bensalah, K.; et al. Synchronous Metastatic Clear-Cell Renal Cell Carcinoma: A Distinct Morphologic, Immunohistochemical, and Molecular Phenotype. Clin. Genitourin. Cancer 2017, 15, e1–e7. [Google Scholar] [CrossRef] [PubMed]
- Tandon, M.; Panwar, P.; Kirby, R.M.; Narayanan, S.; Soumian, S.; Stephens, M. Isolated metachronous breast metastasis from renal cell carcinoma: A report of two cases. Breast Dis. 2018, 37, 163–167. [Google Scholar] [CrossRef] [PubMed]
- Aruleba, K.; Obaido, G.; Ogbuokiri, B.; Fadaka, A.O.; Klein, A.; Adekiya, T.A.; Aruleba, R.T. Applications of Computational Methods in Biomedical Breast Cancer Imaging Diagnostics: A Review. J. Imaging 2020, 6, 105. [Google Scholar] [CrossRef] [PubMed]
- Dhannoon, S.M.; Alsaad, A.A.; Asmar, A.R.; Shahin, F.H. Renal cell carcinoma with isolated breast metastasis. BMJ Case Rep. 2017, 2017, bcr2016219124. [Google Scholar] [CrossRef]
- Assi, H.I.; Patenaude, F.; Toumishey, E.; Ross, L.; Abdelsalam, M.; Reiman, T. A simple prognostic model for overall survival in metastatic renal cell carcinoma. Can. Urol. Assoc. J. 2016, 10, 113–119. [Google Scholar] [CrossRef]
- Kathuria-Prakash, N.; Drolen, C.; Hannigan, C.A.; Drakaki, A. Immunotherapy and Metastatic Renal Cell Carcinoma: A Review of New Treatment Approaches. Life 2021, 12, 24. [Google Scholar] [CrossRef]
- Zaorsky, N.G.; Lehrer, E.J.; Kothari, G.; Louie, A.V.; Siva, S. Stereotactic ablative radiation therapy for oligometastatic renal cell carcinoma (SABR ORCA): A meta-analysis of 28 studies. Eur. Urol. Oncol. 2019, 2, 515–523. [Google Scholar] [CrossRef]
- Ali, M.; Mooi, J.; Lawrentschuk, N.; McKay, R.R.; Hannan, R.; Lo, S.S.; Hall, W.A.; Siva, S. The Role of Stereotactic Ablative Body Radiotherapy in Renal Cell Carcinoma. Eur. Urol. 2022, 82, 613–622. [Google Scholar] [CrossRef] [PubMed]




Disclaimer/Publisher’s Note: The statements, opinions and data contained in all publications are solely those of the individual author(s) and contributor(s) and not of MDPI and/or the editor(s). MDPI and/or the editor(s) disclaim responsibility for any injury to people or property resulting from any ideas, methods, instructions or products referred to in the content. |
© 2023 by the authors. Licensee MDPI, Basel, Switzerland. This article is an open access article distributed under the terms and conditions of the Creative Commons Attribution (CC BY) license (https://creativecommons.org/licenses/by/4.0/).
Share and Cite
Spasic, M.; Zaric, D.; Mitrovic, M.; Milojevic, S.; Nedovic, N.; Sekulic, M.; Stojanovic, B.; Vulovic, D.; Milosevic, B.; Milutinovic, F.; et al. Secondary Breast Malignancy from Renal Cell Carcinoma: Challenges in Diagnosis and Treatment—Case Report. Diagnostics 2023, 13, 991. https://doi.org/10.3390/diagnostics13050991
Spasic M, Zaric D, Mitrovic M, Milojevic S, Nedovic N, Sekulic M, Stojanovic B, Vulovic D, Milosevic B, Milutinovic F, et al. Secondary Breast Malignancy from Renal Cell Carcinoma: Challenges in Diagnosis and Treatment—Case Report. Diagnostics. 2023; 13(5):991. https://doi.org/10.3390/diagnostics13050991
Chicago/Turabian StyleSpasic, Marko, Dusan Zaric, Minja Mitrovic, Sanja Milojevic, Nikola Nedovic, Marija Sekulic, Bojan Stojanovic, Dejan Vulovic, Bojan Milosevic, Filip Milutinovic, and et al. 2023. "Secondary Breast Malignancy from Renal Cell Carcinoma: Challenges in Diagnosis and Treatment—Case Report" Diagnostics 13, no. 5: 991. https://doi.org/10.3390/diagnostics13050991
APA StyleSpasic, M., Zaric, D., Mitrovic, M., Milojevic, S., Nedovic, N., Sekulic, M., Stojanovic, B., Vulovic, D., Milosevic, B., Milutinovic, F., & Milosavljevic, N. (2023). Secondary Breast Malignancy from Renal Cell Carcinoma: Challenges in Diagnosis and Treatment—Case Report. Diagnostics, 13(5), 991. https://doi.org/10.3390/diagnostics13050991

