Interpreting Discordant Monosomy 3 FISH and Chromosomal Microarray Analysis Results in Uveal Melanoma
Abstract
1. Materials and Methods
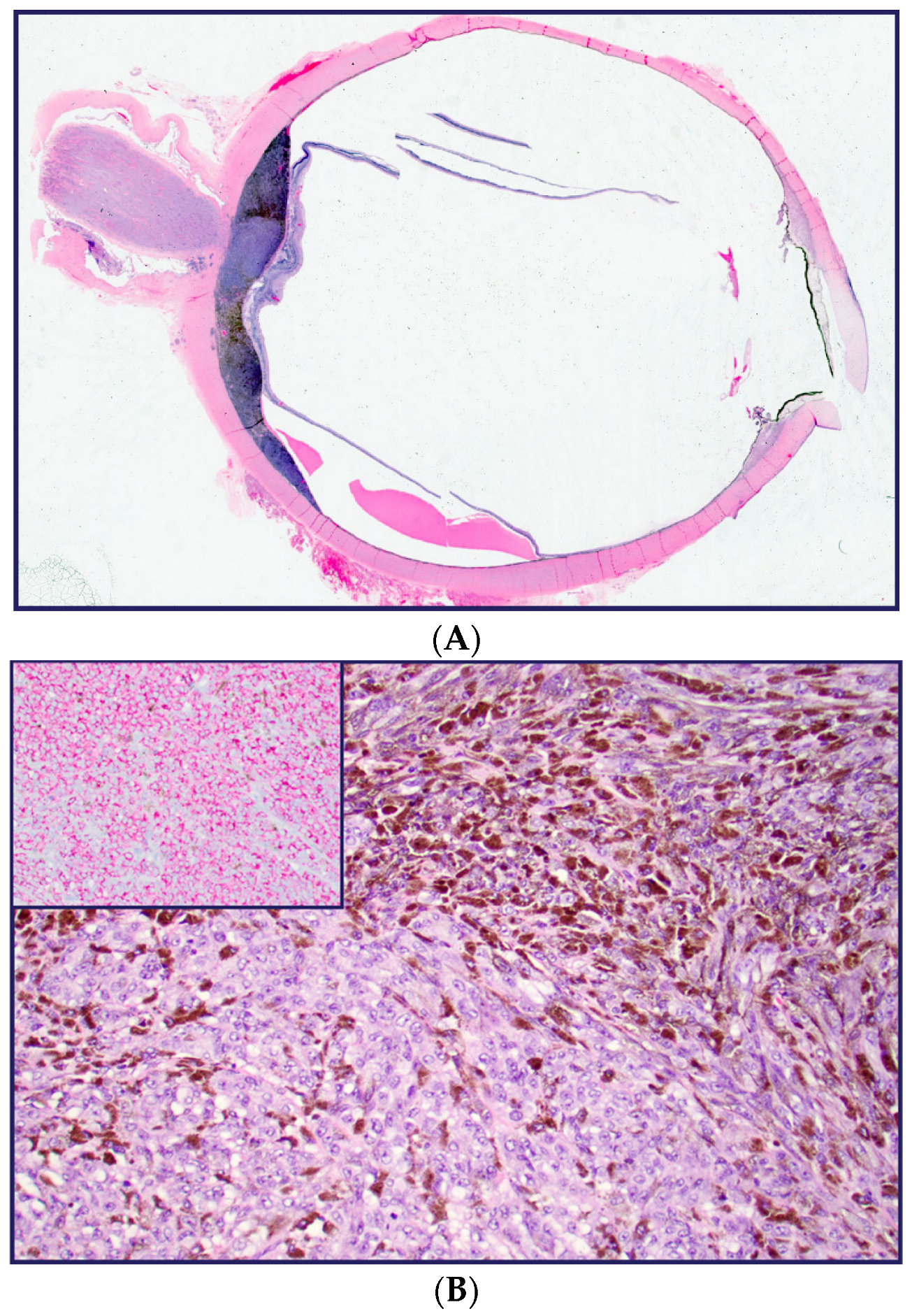
2. Figure and Table Legends
Author Contributions
Funding
Institutional Review Board Statement
Informed Consent Statement
Data Availability Statement
Acknowledgments
Conflicts of Interest
References
- Aronow, M.E.; Topham, A.K.; Singh, A.D. Uveal Melanoma: 5-Year Update on Incidence, Treatment, and Survival (SEER 1973–2013). Ocul. Oncol. Pathol. 2018, 4, 145–151. [Google Scholar] [CrossRef] [PubMed]
- Damato, B.; Duke, C.; Coupland, S.E.; Hiscott, P.; Smith, P.A.; Campbell, I.; Douglas, A.; Howard, P. Cytogenetics of uveal melanoma: A 7-year clinical experience. Ophthalmology 2007, 114, 1925–1931. [Google Scholar] [CrossRef]
- Prescher, G.; Bornfeld, N.; Becher, R. Nonrandom Chromosomal Abnormalities in Primary Uveal Melanoma. JNCI J. Natl. Cancer Inst. 1990, 82, 1765–1969. [Google Scholar] [CrossRef]
- Bornfeld, N.; Prescher, G.; Becher, R.; Hirche, H.; Jöckel, K.H.; Horsthemke, B. Prognostic implications of monosomy 3 in uveal melanoma. Lancet 1996, 347, 1222–1225. [Google Scholar] [CrossRef]
- Scholes, A.G.; Damato, B.E.; Nunn, J.; Hiscott, P.; Grierson, I.; Field, J.K. Monosomy 3 in uveal melanoma: Correlation with clinical and histologic predictors of survival. Investig. Ophthalmol. Vis. Sci. 2003, 44, 1008–1011. [Google Scholar] [CrossRef]
- Theisen, A. Microarray-based comparative genomic hybridization (aCGH). Nat. Educ. 2008, 1, 45. [Google Scholar]
- Sisley, K.; Rennie, I.G.; Parsons, M.A.; Jacques, R.; Hammond, D.W.; Bell, S.M.; Potter, A.M.; Rees, R.C. Abnormalities of chromosomes 3 and 8 in posterior uveal melanoma correlate with prognosis. Genes Chromosomes Cancer 1997, 19, 22–28. [Google Scholar] [CrossRef]



| Patient #1 | Patient #2 | |
|---|---|---|
| Mutations | No clinically significant variance detected. | No clinically significant variance detected. |
| Chromosomal Gains | 2.27 Mb gain in 9q33.1 encompassing 6 genes (ASTN2, SNORA70C, LOC101928797, TLR4, LINC02578, BRINP1). | Gain of chromosomes 7, 8, 18, 19, and 22. |
| Chromosomal Losses | No chromosomal losses detected. | Monosomy 3 at limit of detection with additional losses of chromosomes 4, 12, and 16q. |
| Monosomy 3 FISH Status | Positive, 63.5% of 200 cells counted (28% cutoff). | Negative. |
Disclaimer/Publisher’s Note: The statements, opinions and data contained in all publications are solely those of the individual author(s) and contributor(s) and not of MDPI and/or the editor(s). MDPI and/or the editor(s) disclaim responsibility for any injury to people or property resulting from any ideas, methods, instructions or products referred to in the content. |
© 2023 by the authors. Licensee MDPI, Basel, Switzerland. This article is an open access article distributed under the terms and conditions of the Creative Commons Attribution (CC BY) license (https://creativecommons.org/licenses/by/4.0/).
Share and Cite
Long, C.P.; Coley, N.; Thorson, J.; Lin, J.H. Interpreting Discordant Monosomy 3 FISH and Chromosomal Microarray Analysis Results in Uveal Melanoma. Diagnostics 2023, 13, 946. https://doi.org/10.3390/diagnostics13050946
Long CP, Coley N, Thorson J, Lin JH. Interpreting Discordant Monosomy 3 FISH and Chromosomal Microarray Analysis Results in Uveal Melanoma. Diagnostics. 2023; 13(5):946. https://doi.org/10.3390/diagnostics13050946
Chicago/Turabian StyleLong, Christopher P., Nicholas Coley, John Thorson, and Jonathan H. Lin. 2023. "Interpreting Discordant Monosomy 3 FISH and Chromosomal Microarray Analysis Results in Uveal Melanoma" Diagnostics 13, no. 5: 946. https://doi.org/10.3390/diagnostics13050946
APA StyleLong, C. P., Coley, N., Thorson, J., & Lin, J. H. (2023). Interpreting Discordant Monosomy 3 FISH and Chromosomal Microarray Analysis Results in Uveal Melanoma. Diagnostics, 13(5), 946. https://doi.org/10.3390/diagnostics13050946

