Feasibility of Simultaneous Multislice Acceleration Technique in Readout-Segmented Echo-Planar Diffusion-Weighted Imaging for Assessing Rectal Cancer
Abstract
1. Introduction
2. Materials and Methods
2.1. Patients
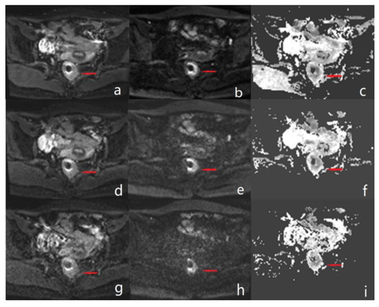
2.2. MRI Imaging
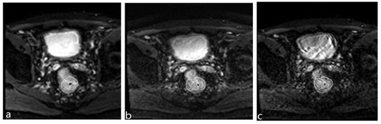
2.3. Image Quality-Qualitative Analysis
2.4. Image Quality-Quantitative Analysis
2.5. Statistical Analysis
3. Results
3.1. Acquisition Time
3.2. Qualitative Analysis
3.3. Quantitative Image Quality Analysis
4. Discussion
5. Conclusions
Author Contributions
Funding
Institutional Review Board Statement
Informed Consent Statement
Data Availability Statement
Conflicts of Interest
References
- Asgeirsson, T.; Zhang, S.; Senagore, A.J. Optimal follow-up to curative colon and rectal cancer surgery: How and for how long? Surg. Oncol. Clin. N. Am. 2010, 19, 861–873. [Google Scholar] [CrossRef] [PubMed]
- Lee, Y.C.; Hsieh, C.C.; Chuang, J.P. Prognostic significance of partial tumor regression after preoperative chemoradiotherapy for rectal cancer: A meta-analysis. Dis. Colon. Rectum 2013, 56, 1093–1101. [Google Scholar] [CrossRef] [PubMed]
- Fernandes, M.C.; Gollub, M.J.; Brown, G. The importance of MRI for rectal cancer evaluation. Surg. Oncol. 2022, 43, 101739. [Google Scholar] [CrossRef]
- Kim, S.H.; Lee, J.M.; Hong, S.H.; Kim, G.H.; Lee, J.Y.; Han, J.K.; Choi, B.I. Locally advanced rectal cancer: Added value of diffusion-weighted MR imaging in the evaluation of tumor response to neoadjuvant chemo- and radiation therapy. Radiology 2009, 253, 116–125. [Google Scholar] [CrossRef] [PubMed]
- Beets-Tan, R.G.H.; Lambregts, D.M.J.; Maas, M.; Bipat, S.; Barbaro, B.; Curvo-Semedo, L.; Fenlon, H.M.; Gollub, M.J.; Gourtsoyianni, S.; Halligan, S.; et al. Magnetic resonance imaging for clinical management of rectal cancer: Updated recommendations from the 2016 European Society of Gastrointestinal and Abdominal Radiology (ESGAR) consensus meeting. Eur. Radiol. 2018, 28, 1465–1475. [Google Scholar] [CrossRef]
- Geng, Z.; Zhang, Y.; Yin, S.; Lian, S.; He, H.; Li, H.; Xie, C.; Dai, Y. Preoperatively Grading Rectal Cancer with the Combination of Intravoxel Incoherent Motions Imaging and Diffusion Kurtosis Imaging. Contrast Media Mol. Imaging 2020, 2020, 2164509. [Google Scholar] [CrossRef] [PubMed]
- Birlik, B.; Obuz, F.; Elibol, F.D.; Celik, A.O.; Sokmen, S.; Terzi, C.; Sagol, O.; Sarioglu, S.; Gorken, I.; Oztop, I. Diffusion-weighted MRI and MR- volumetry--in the evaluation of tumor response after preoperative chemoradiotherapy in patients with locally advanced rectal cancer. Magn. Reson. Imaging 2015, 33, 201–212. [Google Scholar] [CrossRef]
- Porter, D.A.; Heidemann, R.M. High resolution diffusion-weighted imaging using readout-segmented echo-planar imaging, parallel imaging and a two-dimensional navigator-based reacquisition. Magn. Reson. Med. 2009, 62, 468–475. [Google Scholar] [CrossRef]
- Xia, C.C.; Liu, X.; Peng, W.L.; Li, L.; Zhang, J.G.; Meng, W.J.; Deng, X.B.; Zuo, P.L.; Li, Z.L. Readout-segmented echo-planar imaging improves the image quality of diffusion-weighted MR imaging in rectal cancer: Comparison with single-shot echo-planar diffusion-weighted sequences. Eur. J. Radiol. 2016, 85, 1818–1823. [Google Scholar] [CrossRef]
- Moeller, S.; Yacoub, E.; Olman, C.A.; Auerbach, E.; Strupp, J.; Harel, N.; Ugurbil, K. Multiband multislice GE-EPI at 7 tesla, with 16-fold acceleration using partial parallel imaging with application to high spatial and temporal whole-brain fMRI. Magn. Reson. Med. 2010, 63, 1144–1153. [Google Scholar] [CrossRef]
- Park, J.H.; Seo, N.; Lim, J.S.; Hahm, J.; Kim, M.J. Feasibility of Simultaneous Multislice Acceleration Technique in Diffusion-Weighted Magnetic Resonance Imaging of the Rectum. Korean J. Radiol. 2020, 21, 77–87. [Google Scholar] [CrossRef] [PubMed]
- Xu, J.; Moeller, S.; Auerbach, E.J.; Strupp, J.; Smith, S.M.; Feinberg, D.A.; Yacoub, E.; Uğurbil, K. Evaluation of slice accelerations using multiband echo planar imaging at 3 T. NeuroImage 2013, 83, 991–1001. [Google Scholar] [CrossRef] [PubMed]
- Koeter, T.; Jongen, G.; Hanrath-Vos, E.; Smit, E.; Futterer, J.; Maas, M.; Scheenen, T. Reducing Acquisition Time of Diffusion Weighted MR Imaging of the Rectum with Simultaneous Multi-Slice Acquisition: A Reader Study. Acad. Radiol. 2022, 29, 1802–1807. [Google Scholar] [CrossRef] [PubMed]
- Song, S.E.; Woo, O.H.; Cho, K.R.; Seo, B.K.; Son, Y.H.; Grimm, R.; Liu, W.; Moon, W.K. Simultaneous Multislice Readout-Segmented Echo Planar Imaging for Diffusion-Weighted MRI in Patients with Invasive Breast Cancers. J. Magn. Reson. Imaging 2021, 53, 1108–1115. [Google Scholar] [CrossRef]
- Obele, C.C.; Glielmi, C.; Ream, J.; Doshi, A.; Campbell, N.; Zhang, H.C.; Babb, J.; Bhat, H.; Chandarana, H. Simultaneous Multislice Accelerated Free-Breathing Diffusion-Weighted Imaging of the Liver at 3 T. Abdom. Imaging 2015, 40, 2323–2330. [Google Scholar] [CrossRef]
- Lambregts, D.M.J.; van Heeswijk, M.M.; Delli Pizzi, A.; van Elderen, S.G.C.; Andrade, L.; Peters, N.; Kint, P.A.M.; Osinga-de Jong, M.; Bipat, S.; Ooms, R.; et al. Diffusion-weighted MRI to assess response to chemoradiotherapy in rectal cancer: Main interpretation pitfalls and their use for teaching. Eur. Radiol. 2017, 27, 4445–4454. [Google Scholar] [CrossRef]
- Chen, Y.; Jiang, Z.; Guan, X.; Li, H.; Li, C.; Tang, C.; Lei, Y.; Dang, Y.; Song, B.; Long, L. The value of multi-parameter diffusion and perfusion magnetic resonance imaging for evaluating epithelial-mesenchymal transition in rectal cancer. Eur. J. Radiol. 2022, 150, 110245. [Google Scholar] [CrossRef]
- Tu, C.; Shen, H.; Liu, D.; Chen, Q.; Yuan, X.; Li, X.; Wang, X.; Liu, R.; Wang, X.; Li, Q.; et al. Simultaneous multi-slice readout-segmentation of long variable echo-trains for accelerated diffusion-weighted imaging of nasopharyngeal carcinoma: A feasibility and optimization study. Clin. Imaging 2021, 79, 119–124. [Google Scholar] [CrossRef]
- Jiang, J.S.; Zhu, L.N.; Wu, Q.; Sun, Y.; Liu, W.; Xu, X.Q.; Wu, F.Y. Feasibility study of using simultaneous multi-slice RESOLVE diffusion weighted imaging to assess parotid gland tumors: Comparison with conventional RESOLVE diffusion weighted imaging. BMC Med. Imaging 2020, 20, 93. [Google Scholar] [CrossRef] [PubMed]
- Hirata, K.; Nakaura, T.; Okuaki, T.; Kidoh, M.; Oda, S.; Utsunomiya, D.; Namimoto, T.; Kitajima, M.; Nakayama, H.; Yamashita, Y. Comparison of the image quality of turbo spin echo- and echo-planar diffusion-weighted images of the oral cavity. Medicine 2018, 97, e0447. [Google Scholar] [CrossRef]
- Peng, Y.; Li, Z.; Tang, H.; Wang, Y.; Hu, X.; Shen, Y.; Hu, D. Comparison of reduced field-of-view diffusion-weighted imaging (DWI) and conventional DWI techniques in the assessment of rectal carcinoma at 3.0T: Image quality and histological T staging. J. Magn. Reson. Imaging 2018, 47, 967–975. [Google Scholar] [CrossRef] [PubMed]
- Taron, J.; Martirosian, P.; Kuestner, T.; Schwenzer, N.F.; Othman, A.; Weiß, J.; Notohamiprodjo, M.; Nikolaou, K.; Schraml, C. Scan time reduction in diffusion-weighted imaging of the pancreas using a simultaneous multislice technique with different acceleration factors: How fast can we go? Eur. Radiol. 2018, 28, 1504–1511. [Google Scholar] [CrossRef] [PubMed]
- Yang, Y.S.; Qiu, Y.J.; Zheng, G.H.; Gong, H.P.; Ge, Y.Q.; Zhang, Y.F.; Feng, F.; Wang, Y.T. High resolution MRI-based radiomic nomogram in predicting perineural invasion in rectal cancer. Cancer Imaging 2021, 21, 40. [Google Scholar] [CrossRef] [PubMed]
- Yang, Y.S.; Feng, F.; Qiu, Y.J.; Zheng, G.H.; Ge, Y.Q.; Wang, Y.T. High-resolution MRI-based radiomics analysis to predict lymph node metastasis and tumor deposits respectively in rectal cancer. Abdom. Radiol. 2021, 46, 873–884. [Google Scholar] [CrossRef]
- Choi, M.H.; Oh, S.N.; Rha, S.E.; Choi, J.I.; Lee, S.H.; Jang, H.S.; Kim, J.G.; Grimm, R.; Son, Y. Diffusion-weighted imaging: Apparent diffusion coefficient histogram analysis for detecting pathologic complete response to chemoradiotherapy in locally advanced rectal cancer. J. Magn. Reson. Imaging 2016, 44, 212–220. [Google Scholar] [CrossRef] [PubMed]
- Kenkel, D.; Barth, B.K.; Piccirelli, M.; Filli, L.; Finkenstädt, T.; Reiner, C.S.; Boss, A. Simultaneous Multislice Diffusion-Weighted Imaging of the Kidney: A Systematic Analysis of Image Quality. Investig. Radiol. 2017, 52, 163–169. [Google Scholar] [CrossRef]
- Taron, J.; Weiß, J.; Martirosian, P.; Seith, F.; Stemmer, A.; Bamberg, F.; Notohamiprodjo, M. Clinical Robustness of Accelerated and Optimized Abdominal Diffusion-Weighted Imaging. Investig. Radiol. 2017, 52, 590–595. [Google Scholar] [CrossRef]
- Weiss, J.; Martirosian, P.; Taron, J.; Othman, A.E.; Kuestner, T.; Erb, M.; Bedke, J.; Bamberg, F.; Nikolaou, K.; Notohamiprodjo, M. Feasibility of accelerated simultaneous multislice diffusion-weighted MRI of the prostate. J. Magn. Reson. Imaging 2017, 46, 1507–1515. [Google Scholar] [CrossRef] [PubMed]
- Boss, A.; Barth, B.; Filli, L.; Kenkel, D.; Wurnig, M.C.; Piccirelli, M.; Reiner, C.S. Simultaneous multi-slice echo planar diffusion weighted imaging of the liver and the pancreas: Optimization of signal-to-noise ratio and acquisition time and application to intravoxel incoherent motion analysis. Eur. J. Radiol. 2016, 85, 1948–1955. [Google Scholar] [CrossRef]
- Taron, J.; Martirosian, P.; Erb, M.; Kuestner, T.; Schwenzer, N.F.; Schmidt, H.; Honndorf, V.S.; Weiβ, J.; Notohamiprodjo, M.; Nikolaou, K.; et al. Simultaneous multislice diffusion-weighted MRI of the liver: Analysis of different breathing schemes in comparison to standard sequences. J. Magn. Reson. Imaging 2016, 44, 865–879. [Google Scholar] [CrossRef]




| Parameters | rs-EPI | 2 × SMS rs-EPI | 3 × SMS rs-EPI |
|---|---|---|---|
| b value (s/mm2) | 0.1000 | 0.1000 | 0.1000 |
| Number of Readout segments | 5 | 5 | 5 |
| Fat press method | SPAIR | SPAIR | SPAIR |
| TR (ms) | 5000 | 2270 | 1800 |
| TE (ms) | 51 | 52 | 54 |
| Reversal time (s) | 210 | 210 | 210 |
| FOV (mm) | 216 × 216 | 216 × 216 | 216 × 216 |
| Matrix | 128 × 128 | 128 × 128 | 128 × 128 |
| Voxel size (mm3) | 1.7 × 1.7 × 4.5 | 1.7 × 1.7 × 4.5 | 1.7 × 1.7 × 4.5 |
| thickness (mm) | 4.5 | 4.5 | 4.5 |
| Distance Factor (mm) | 0.45 | 0.45 | 0.45 |
| Number of slices | 24 | 24 | 24 |
| iPAT | GRAPPA 2 | GRAPPA 2 | GRAPPA 2 |
| Acceleration factor | 2 | 3 | |
| Acquisition time (s) | 137 | 60 | 51 |
| Clinicopathological Characteristics | n Percentile (%) | |
|---|---|---|
| Gender | Male | 55 (66.27) |
| Female | 28 (33.73) | |
| Age (years) | 58.82 (11.71) | |
| BMI (kg·m−2) | 22.82 (1.91) | |
| Location of tumor | Upper-middle segment | 34 (40.96) |
| Lower segment | 49 (59.04) | |
| differentiation grade | well | 13 (15.7) |
| moderate | 64 (77.1) | |
| poor | 6 (7.2) | |
| CEA | + | 55 (66.27) |
| − | 28 (33.73) | |
| CA19-9 | + | 40 (48.19) |
| − | 43 (51.81) | |
| Nerve invasion | + | 56 (67.5) |
| − | 27 (32.5) | |
| Vascular cancer embolus | + | 61 (73.5) |
| − | 22 (26.5) | |
| Cancer nodules | + | 68 (81.9) |
| − | 15 (18.1) |
| Qualitative Parameters | rs-EPI | 2 × SMS rs-EPI | 3 × SMS rs-EPI | X2 Value | p-Value |
|---|---|---|---|---|---|
| Lesion Conspicuity | |||||
| b = 0 s/mm2 | 3.57 | 3.58 | 3.54 ab | 11.143 | 0.004 |
| b = 1000 s/mm2 | 3.46 | 3.47 | 3.43 ab | 9.579 | 0.008 |
| ADC map (×10−3 mm2/s) | 3.50 | 3.52 | 3.46 ab | 6.909 | 0.032 |
| Overall image quality | |||||
| b = 0 s/mm2 | 3.63 | 3.60 | 3.56 ab | 9.579 | 0.008 |
| b = 1000 s/mm2 | 3.550.36 | 3.510.39 | 3.47 ab | 11.273 | 0.004 |
| ADC map (×10−3 mm2/s) | 3.64 | 3.61 | 3.57 ab | 11.273 | 0.004 |
| Margin sharpness | |||||
| b = 0 s/mm2 | 3.49 | 3. | 3.44 | 18.488 | <0.001 |
| b = 1000 s/mm2 | 3.57 | 3. | 3. ab | 14.392 | 0.001 |
| ADC map (×10−3 mm2/s) | 3.33 | 3.36 | 3. ab | 18.588 | <0.001 |
| Rs-EPI | 2 × SMS rs-EPI | 3 × SMS rs-EPI | X2 Value | p Value | |
|---|---|---|---|---|---|
| SNR | |||||
| b = 0 s/mm2 | 119.52 | 111.88 ab | 36.105 | <0.001 | |
| b = 1000 s/mm2 | 52.79 | 52.42 ab | 13.040 | 0.001 | |
| CNR | |||||
| b = 0 s/mm2 | 4.84 | 4.88 | 4.74 ab | 32.109 | <0.001 |
| b = 1000 s/mm2 | 4.26 | 4.31 | 4.18 ab | 18.588 | <0.001 |
| Geometric distortion | |||||
| b = 0 s/mm2 | 3.49 ± 0.32 | 3.47 ± 0.32 | 3.51 ± 0.33 ab | 13.231 | 0.001 |
| b = 1000 s/mm2 | 3.57 ± 0.38 | 3.52 ± 0.33 | 3.61 ± 0.43 ab | 25.529 | <0.001 |
| rs-EPI | 2 × SMS rs-EPI | 3 × SMS rs-EPI | X2 Value | p Value | |
|---|---|---|---|---|---|
| ADCLesion (10−3 mm2/s) | 1.19 ± 0.21 | 1.18 | 1.10 ab | 40.582 | <0.001 |
| ADCNormalized (10−3 mm2/s) | 1.68 | 1.66 | 1.54 ab | 51.835 | <0.001 |
Disclaimer/Publisher’s Note: The statements, opinions and data contained in all publications are solely those of the individual author(s) and contributor(s) and not of MDPI and/or the editor(s). MDPI and/or the editor(s) disclaim responsibility for any injury to people or property resulting from any ideas, methods, instructions or products referred to in the content. |
© 2023 by the authors. Licensee MDPI, Basel, Switzerland. This article is an open access article distributed under the terms and conditions of the Creative Commons Attribution (CC BY) license (https://creativecommons.org/licenses/by/4.0/).
Share and Cite
Zhou, M.; Pu, H.; Chen, M.-N.; Wang, Y.-T. Feasibility of Simultaneous Multislice Acceleration Technique in Readout-Segmented Echo-Planar Diffusion-Weighted Imaging for Assessing Rectal Cancer. Diagnostics 2023, 13, 474. https://doi.org/10.3390/diagnostics13030474
Zhou M, Pu H, Chen M-N, Wang Y-T. Feasibility of Simultaneous Multislice Acceleration Technique in Readout-Segmented Echo-Planar Diffusion-Weighted Imaging for Assessing Rectal Cancer. Diagnostics. 2023; 13(3):474. https://doi.org/10.3390/diagnostics13030474
Chicago/Turabian StyleZhou, Mi, Hong Pu, Mei-Ning Chen, and Yu-Ting Wang. 2023. "Feasibility of Simultaneous Multislice Acceleration Technique in Readout-Segmented Echo-Planar Diffusion-Weighted Imaging for Assessing Rectal Cancer" Diagnostics 13, no. 3: 474. https://doi.org/10.3390/diagnostics13030474
APA StyleZhou, M., Pu, H., Chen, M.-N., & Wang, Y.-T. (2023). Feasibility of Simultaneous Multislice Acceleration Technique in Readout-Segmented Echo-Planar Diffusion-Weighted Imaging for Assessing Rectal Cancer. Diagnostics, 13(3), 474. https://doi.org/10.3390/diagnostics13030474

