Myocardial and Vascular Involvement in Patients with Takayasu Arteritis: A Cardiovascular MRI Study
Abstract
:1. Introduction
2. Material and Methods
2.1. Study Population
2.2. Cardiac MRI Imaging
- Severe aortic regurgitation: defined based on the guidelines regarding valvular heart diseases [14];
- Aortic aneurysms and aortic dissection: extracted from the patient’s computed tomography angiography (CTA) reports;
- Main pulmonary artery aneurysms: registered based on the patient’s CTA and CMR findings.
2.3. Major Adverse Cardiac and Cerebrovascular Events at Follow-Up
- Death: based on a telephone follow-up of the patient;
- Myocardial infarction (MI): based on the patient’s telephone follow-up and medical records;
- Aortic dissection: based on the patient’s aortic CTA results;
- Pulmonary thromboembolism: diagnosed based on the patient’s pulmonary CTA results;
- Cerebrovascular accident (CVA) and transient ischemic attack (TIA): diagnosed according to the diagnostic guideline of the American Academy of Neurology [15];
- Coronary artery bypass graft surgery: based on the availability of the patient’s surgical records and files.
2.4. Disease Activity Criteria and Corticosteroid Use
2.5. Statistical Analysis
3. Results
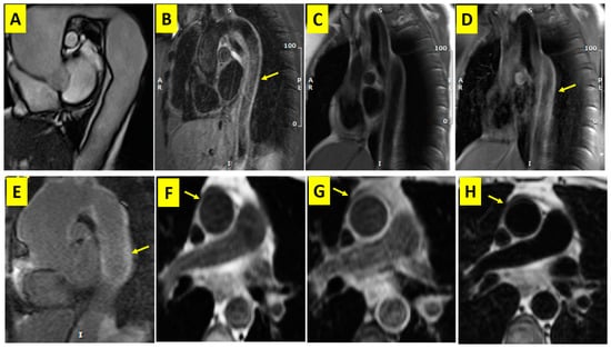
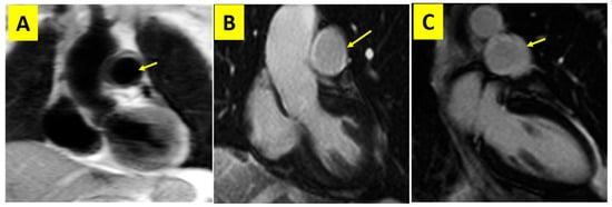
3.1. CMR Findings
3.2. Clinical, Laboratory, and Treatment Data
3.3. Follow-Up Results
4. Discussion
5. Limitations
6. Conclusions
Author Contributions
Funding
Institutional Review Board Statement
Informed Consent Statement
Data Availability Statement
Conflicts of Interest
References
- Sanchez-Alvarez, C.; Crowson, C.S.; Koster, M.J.; Warrington, K.J. Prevalence of Takayasu Arteritis: A Population-based Study. J. Rheumatol. 2021, 48, 952. [Google Scholar] [CrossRef] [PubMed]
- Markousis-Mavrogenis, G.; Pepe, A.; Gargani, L.; Kariki, U.; Bonou, M.; Koutsogeorgopoulou, L.; Manolopoulou, D.; Tektonidou, M.G.; Vartela, V.; Kolovou, G.; et al. Myocardial Involvement in Rheumatic Disorders. Curr. Heart Fail. Rep. 2020, 17, 171–180. [Google Scholar] [CrossRef] [PubMed]
- Markousis-Mavrogenis, G.; Sfikakis, P.P.; Koutsogeorgopoulou, L.; Dimitroulas, T.; Katsifis, G.; Giannakopoulou, A.; Voulgari, P.; Kolovou, G.; Kitas, G.D.; Mavrogeni, S.I. Cardiovascular Magnetic Resonance Reveals Cardiac Pathophysiology in Autoimmune Rheumatic Diseases. Mediterr. J. Rheumatol. 2021, 31, 15. [Google Scholar] [CrossRef] [PubMed]
- Jeung, M.Y.; Germain, P.; Croisille, P.; El Ghannudi, S.; Roy, C.; Gangi, A. Myocardial tagging with MR imaging: Overview of normal and pathologic findings. Radiographics 2012, 32, 1381–1398. [Google Scholar] [CrossRef]
- Nucifora, G.; Muser, D.; Gianfagna, P.; Morocutti, G.; Proclemer, A. Systolic and diastolic myocardial mechanics in hypertrophic cardiomyopathy and their link to the extent of hypertrophy, replacement fibrosis and interstitial fibrosis. Int. J. Cardiovasc. Imaging 2015, 31, 1603–1610. [Google Scholar] [CrossRef] [PubMed]
- Bogarapu, S.; Puchalski, M.D.; Everitt, M.D.; Williams, R.V.; Weng, H.Y.; Menon, S.C. Novel Cardiac Magnetic Resonance Feature Tracking (CMR-FT) Analysis for Detection of Myocardial Fibrosis in Pediatric Hypertrophic Cardiomyopathy. Pediatr. Cardiol. 2016, 37, 663–673. [Google Scholar] [CrossRef] [PubMed]
- Safaei, A.M.; Kamangar, T.M.; Asadian, S.; Rezaeian, N.; Esmati, E.; Kolahdouzan, K.; Hosseini, L.; Lashkari, M.; Jafari, F.; Hashemi, F.A. Detection of the Early Cardiotoxic Effects of Doxorubicin-Containing Chemotherapy Regimens in Patients with Breast Cancer through Novel Cardiac Magnetic Resonance Imaging: A Short-term Follow-up. J. Clin. Imaging Sci. 2021, 11, 33. [Google Scholar] [CrossRef]
- Asadian, S.; Rezaeian, N.; Hosseini, L.; Toloueitabar, Y.; Komasi, M.M.H.; Shayan, L. How does iron deposition modify the myocardium? A feature-tracking cardiac magnetic resonance study. Int. J. Cardiovasc. Imaging 2021, 37, 3269–3277. [Google Scholar] [CrossRef]
- Sharifian, M.; Rezaeian, N.; Asadian, S.; Mohammadzadeh, A.; Nahardani, A.; Kasani, K.; Toloueitabar, Y.; Farahmand, A.M.; Hosseini, L. Efficacy of Novel Noncontrast Cardiac Magnetic Resonance Methods in Indicating Fibrosis in Hypertrophic Cardiomyopathy. Cardiol. Res. Pract. 2021, 2021, 1–7. [Google Scholar] [CrossRef]
- Arend, W.P.; Michel, B.A.; Bloch, D.A.; Hunder, G.G.; Calabrese, L.H.; Edworthy, S.M.; Fauci, A.S.; Leavitt, R.Y.; Lie, J.T.; Lightfoot, R.W., Jr.; et al. The American College of Rheumatology 1990 criteria for the classification of takayasu arteritis. Arthritis Rheum. 1990, 33, 1129–1134. [Google Scholar] [CrossRef]
- Liu, C.Y.; Chen, D.; Bluemke, D.A.; Wu, C.O.; Teixido-Tura, G.; Chugh, A.; Vasu, S.; Lima, J.A.C.; Hundley, W.G. Evolution of aortic wall thickness and stiffness with atherosclerosis: Long-term follow up from the multi-ethnic study of atherosclerosis. Hypertension 2015, 65, 1015–1019. [Google Scholar] [CrossRef] [PubMed]
- Rubis, P. The diagnostic work up of genetic and inflammatory dilated cardiomyopathy. e-J. Cardiol. Pract. 2015, 13, 19. [Google Scholar]
- Bonow, R.O.; Mann, D.L.; Zipes, D.P.; Libby, P. Braunwald’s Heart Disease: A Textbook of Cardiovascular Medicine. BMH Med. J. 2018, 2348, 63. [Google Scholar]
- Otto, C.M.; Nishimura, R.A.; Bonow, R.O.; Carabello, B.A.; Erwin, J.P.; Gentile, F.; Jneid, H.; Krieger, E.V.; Mack, M.; McLeod, C.; et al. 2020 ACC/AHA Guideline for the Management of Patients with Valvular Heart Disease: Executive Summary. J. Am. Coll. Cardiol. 2021, 77, 450–500. [Google Scholar] [CrossRef] [PubMed]
- Jauch, E.C.; Schwamm, L.H.; Panagos, P.D.; Barbazzeni, J.; Dickson, R.; Dunne, R.; Foley, J.; Fraser, J.F.; Lassers, G.; Martin-Gill, C.; et al. Recommendations for Regional Stroke Destination Plans in Rural, Suburban, and Urban Communities from the Prehospital Stroke System of Care Consensus Conference: A Consensus Statement from the American Academy of Neurology, American Heart Association/American Stroke Association, American Society of Neuroradiology, National Association of EMS Physicians, National Association of State EMS Officials, Society of NeuroInterventional Surgery, and Society of Vascular and Interventional Neurology: Endorsed by the Neurocritical Care Society. Stroke 2021, 52, e133–e152. [Google Scholar] [PubMed]
- Kahan, A.; Allanore, Y. Primary myocardial involvement in systemic sclerosis. Rheumatology 2006, 45, iv14–iv17. [Google Scholar] [CrossRef]
- Soriano, A.; Pazzola, G.; Boiardi, L.; Casali, M.; Muratore, F.; Pipitone, N.; Catanoso, M.; Aldigeri, R.; Cimino, L.; Versari, A.; et al. Distribution patterns of 18F-fluorodeoxyglucose in large vessels of Takayasu’s and giant cell arteritis using positron emission tomography. Clin. Exp. Rheumatol. 2018, 36, 99–106. [Google Scholar]
- Park, B.W.; Park, S.J.; Park, H.; Hwang, J.C.; Seo, Y.W.; Cho, H.R. Stenosis or Occlusion of the Right Subclavian and Common Carotid Arteries Is More Common than That of the Innominate Artery in Takayasu Arteritis. Vasc. Spec. Int. 2015, 31, 120–124. [Google Scholar] [CrossRef]
- Hata, A.; Noda, M.; Moriwaki, R.; Numano, F. Angiographic findings of Takayasu arteritis: New classification. Int. J. Cardiol. 1996, 54, S155–S163. [Google Scholar] [CrossRef]
- Tanigawa, K.; Eguchi, K.; Kitamura, Y.; Kawakami, A.; Ida, H.; Yamashita, S.; Matsunaga, N.; Hayashi, K.; Nagataki, S. Magnetic resonance imaging detection of aortic and pulmonary artery wall thickening in the acute stage of takayasu arteritis. Improvement of clinical and radiologic findings after steroid therapy. Arthritis Rheum. 1992, 35, 476–480. [Google Scholar] [CrossRef]
- Andrews, J.; Al-Nahhas, A.; Pennell, D.J.; Hossain, M.S.; Davies, K.A.; Haskard, D.O.; Mason, J.C. Non-invasive imaginq in the diagnosis and management of Takayasu’s arteritis. Ann. Rheum. Dis. 2004, 63, 995–1000. [Google Scholar] [CrossRef] [PubMed]
- Jiang, L.; Li, D.; Yan, F.; Dai, X.; Li, Y.; Ma, L. Evaluation of Takayasu arteritis activity by delayed contrast-enhanced magnetic resonance imaging. Int. J. Cardiol. 2012, 155, 262–267. [Google Scholar] [CrossRef] [PubMed]
- Lee, K.H.; Cho, A.; Choi, Y.J.; Lee, S.W.; Ha, Y.J.; Jung, S.J.; Park, M.C.; Lee, J.D.; Lee, S.K.; Park, Y.B. The role of (18) F-fluorodeoxyglucose-positron emission tomography in the assessment of disease activity in patients with takayasu arteritis. Arthritis Rheum. 2012, 64, 866–875. [Google Scholar] [CrossRef] [PubMed]
- Yamada, I.; Nakagawa, T.; Himeno, Y.; Kobayashi, Y.; Numano, F.; Shibuya, H. Takayasu arteritis: Diagnosis with breath-hold contrast-enhanced three-dimensional MR angiography. J. Magn. Reson. Imaging 2000, 11, 481–487. [Google Scholar] [CrossRef]
- Yang, J.; Peng, M.; Shi, J.; Zheng, W.; Yu, X. Pulmonary artery involvement in Takayasu’s arteritis: Diagnosis before pulmonary hypertension. BMC Pulm. Med. 2019, 19, 225. [Google Scholar] [CrossRef] [PubMed]
- Xi, X.; Du, J.; Liu, J.; Zhu, G.; Qi, G.; Pan, L. Pulmonary artery involvement in Takayasu arteritis: A retrospective study in Chinese population. Clin. Rheumatol. 2021, 40, 635–644. [Google Scholar] [CrossRef] [PubMed]
- Yurdakul, S.; Alibaz Oner, F.; Direskeneli, H.; Aytekin, S. Impaired cardiac and vascular motion in patients with Takayasu’s arteritis: A velocity vector imaging-based study. Eur. J. Rheumatol. 2018, 5, 16–21. [Google Scholar] [CrossRef]
- Keenan, N.G.; Mason, J.C.; Maceira, A.; Assomull, R.; O’Hanlon, R.; Chan, C.; Roughton, M.; Andrews, J.; Gatehouse, P.D.; Firmin, D.N.; et al. Integrated cardiac and vascular assessment in takayasu arteritis by cardiovascular magnetic resonance. Arthritis Rheum. 2009, 60, 3501–3509. [Google Scholar] [CrossRef]
- Comarmond, C.; Biard, L.; Lambert, M.; Mekinian, A.; Ferfar, Y.; Kahn, J.-E.; Benhamou, Y.; Chiche, L.; Koskas, F.; Cluzel, P.; et al. Long-term outcomes and prognostic factors of complications in Takayasu arteritis: A multicenter study of 318 patients. Circulation 2017, 136, 1114–1122. [Google Scholar] [CrossRef]
- Chattopadhyay, A.; Singhal, M.; Debi, U.; Bhal, A.; Sharma, A.; Jain, S. Prevalence and pattern of myocardial involvement on cardiac magnetic resonance imaging in Takayasu arteritis and its relationship with disease activity. Reumatol. Clín. 2023, 19, 6–11. [Google Scholar] [CrossRef]
- Fu, J.; Liu, J.; Li, X.; Wu, S.; Yu, H.; Zhang, C. Role of Echocardiography in the Assessment of Cardiac Involvement in Takayasu Arteritis. Res. Sq. 2022, 1–20. [Google Scholar] [CrossRef]
- Mavrogeni, S.I.; Koutroumpas, A. Cardiovascular Magnetic Resonance Detects Myocardial Inflammation in Giant Cell Arteritis. Mediterr. J. Rheumatol. 2021, 32, 363–366. [Google Scholar] [CrossRef] [PubMed]
- Chandrashekhara, S.H.; Gulati, G.S.; Sharma, S.; Kumar, S.; Chaudhary, S.K.; Jagia, P.; Seth, S.; Gupta, S.K.; Khan, M. Role of Cardiac MRI Including LGE, T1 and T2 Mapping in the Assessment of Cardiac Involvement in Patients of Nonspecific Aorto-arteritis: A Prospective Study. Ind. J. Radiol. Imaging 2022, 32, 441–450. [Google Scholar] [CrossRef] [PubMed]
- Zhang, H.; Zhao, L.; Zhang, C.; Tian, J.; Ding, Y.; Zhao, X.; Ma, X. Quantification of Myocardial Deformation in Patients with Takayasu Arteritis by Cardiovascular Magnetic Resonance Feature Tracking Imaging. J. Magn. Reson. Imaging 2022, 55, 1828–1840. [Google Scholar] [CrossRef] [PubMed]
- Guo, X.; Liu, M.; Gong, J.; Yang, Y.; Liu, M.; Li, W.; Yang, Q. Left ventricular strain in patients with Takayasu arteritis with preserved ejection fraction: An analysis using cardiac magnetic resonance imaging feature tracking. Quant. Imaging Med. Surg. 2023, 13, 171–184. [Google Scholar] [CrossRef] [PubMed]
- Yu, R.Y.; AlSolimani, R.; Khalidi, N.; Pagnoux, C.; Barra, L. Characteristics of takayasu arteritis patients with severe ischemic events. J. Rheumatol. 2020, 47, 1224–1228. [Google Scholar] [CrossRef] [PubMed]
- Ishikawa, K.; Maetani, S. Long-term outcome for 120 Japanese patients with Takayasu’s disease: Clinical and statistical analyses of related prognostic factors. Circulation 1994, 90, 1855–1860. [Google Scholar] [CrossRef]
- Pedrizzetti, G.; Claus, P.; Kilner, P.J.; Nagel, E. Principles of cardiovascular magnetic resonance feature tracking and echocardiographic speckle tracking for informed clinical use. J. Cardiovasc. Magn. Reson. 2016, 18, 51. [Google Scholar] [CrossRef]




| Patient (n = 37) | Control (n = 28) | p-Value | ||
|---|---|---|---|---|
| Male | 12 (32.4) | 14 (50.0) | 0.1 | |
| Female | 25 (67.6) | 14 (50.0) | ||
| Age y mean (SD) | 36 (16) | 31 (4) | 0.4 | |
| Hypertension n (%) | 6 (16.2) | 0 (0) | - | |
| Diabetes n (%) | 1 (2.7) | 0 (0) | - | |
| Smoking | 2 (5.4) | 0 (0) | - | |
| Dyslipidemia | 3 (8) | 0 (0) | - | |
| ESR mean (SD) † | 39 (30) | 3 (1) | <0.001 | |
| LVEF % mean (SD) † | 51 (9) | 58 (1.7) | <0.001 | |
| Strain Parameters mean (SD) | ||||
| LVGLS † | 13.70 (3.27) | 18.08 (1.35) | <0.001 | |
| LVGCS | 17.44 (3.95) | 18.69 (2.18) | 0.1 | |
| LVGRS | 42.54 (15.37) | 39.83 (7.78) | 0.3 | |
| General characteristics of the Takayasu arteritis patients | ||||
| Characteristics | Variable | Number | Variable | Number |
| Signs and Symptoms at Presentation n (%) | Dyspnea | 21 (56.7) | Chest pain | 14 (37.8) |
| Fatigue | 14 (37.8) | Upper-extremity blood pressure difference | 12 (32.4) | |
| Palpitations | 6 (16.2) | Visual field defects | 4 (10.8) | |
| Number of the Affected Major Aortic Branches at Presentation n (%) | No involvement | 13 (35.1) | 1 Affected vessel | 7 (18.9) |
| 2 Affected vessels | 7 (18.9) | ≥3 Affected vessels | 10 (27) | |
| Affected Major Aortic Branches at Presentation (n %) | Left subclavian | 16 (43.2) | Right subclavian | 11 (29.7) |
| Left common carotid | 9 (24.3) | Right common carotid | 6 (16.2) | |
| Superior mesenteric | 6 (16.2) | Left or right renal | 6 (16.2) | |
| Celiac trunk | 5 (13.5) | Brachiocephalic | 2 (5.4) | |
| Presence of Aortic Wall Thickening | Thickened | 37 (100) | Normal | 0 |
| Aortic Mural Edema * at Presentation n (%) | Positive | 34 (92) | Negative | 4 (11) |
| Aortic Hyperenhancement ¥ at Presentation n (%) | Positive | 36 (97.3) | Negative | 1 (2.7) |
| Myocardial Subepicardial and Mid-Wall Fibrosis ¥ at Presentation n (%) | Positive | 6 (16.3) | Negative | 31 (83.7) |
| ACCCMR (%) | DCM | 1 (2.7) | Main PA aneurysm | 1 (2.7) |
| LPA stenosis | 1 (2.7) | Myocarditis | 6 (16.2) | |
| Severe AR | 2 (5.4) | Aortic dissection | 1 (2.7) | |
| Ascending aorta aneurysm | 1 (2.7) | |||
| MACCE at Follow-Up n (%) | CVA | 5 (13.5) | PTE | 1 (2.7) |
| TIA | 1 (2.7) | CABG | 2 (5.4) | |
| ACCCMR (at the Time of CMR) | MACCE (at Follow-Up) | |||||
|---|---|---|---|---|---|---|
| Variable | Mean ± SD with ACCCMR | Mean ± SD without ACCCMR | p | Mean ± SD with MACCE | Mean ± SD without MACCE | p |
| LVEF | 47.72 ± 11.49 | 52.52 ± 7.05 | 0.1 | 49.11 ± 12.22 | 51.39 ± 7.92 | 0.5 |
| LVGLS | 12.08 ± 3.54 | 14.57 ± 2.82 | 0.02 | 11.61 ± 3.81 | 14.37 ± 2.84 | 0.02 |
| LVGCS | 15.47 ± 4.10 | 18.51 ± 3.50 | 0.02 | 15.55 ± 5.79 | 18.05 ± 3.04 | 0.2 |
| LVGRS | 35.9 ± 15.51 | 46.12 ± 14.36 | 0.05 | 37.19 ± 20.58 | 44.26 ± 13.30 | 0.2 |
| Age | 35.85 ± 13.78 | 36.29 ± 17.52 | 0.9 | 42.89 ± 9.35 | 33.97 ± 17.32 | 0.1 |
| ESR | 42.83 ± 34.28 | 27.84 ± 26.69 | 0.1 | 29.25 ± 33.29 | 35.17 ± 29.72 | 0.6 |
Disclaimer/Publisher’s Note: The statements, opinions and data contained in all publications are solely those of the individual author(s) and contributor(s) and not of MDPI and/or the editor(s). MDPI and/or the editor(s) disclaim responsibility for any injury to people or property resulting from any ideas, methods, instructions or products referred to in the content. |
© 2023 by the authors. Licensee MDPI, Basel, Switzerland. This article is an open access article distributed under the terms and conditions of the Creative Commons Attribution (CC BY) license (https://creativecommons.org/licenses/by/4.0/).
Share and Cite
Almasi, S.; Asadian, S.; Hosseini, L.; Rezaeian, N.; Ghasemi asl, S.; Ranjbar, A.; Sadat-Ebrahimi, S.-R.; Mahmoodieh, B.; Salmanipour, A. Myocardial and Vascular Involvement in Patients with Takayasu Arteritis: A Cardiovascular MRI Study. Diagnostics 2023, 13, 3575. https://doi.org/10.3390/diagnostics13233575
Almasi S, Asadian S, Hosseini L, Rezaeian N, Ghasemi asl S, Ranjbar A, Sadat-Ebrahimi S-R, Mahmoodieh B, Salmanipour A. Myocardial and Vascular Involvement in Patients with Takayasu Arteritis: A Cardiovascular MRI Study. Diagnostics. 2023; 13(23):3575. https://doi.org/10.3390/diagnostics13233575
Chicago/Turabian StyleAlmasi, Simin, Sanaz Asadian, Leila Hosseini, Nahid Rezaeian, Shakiba Ghasemi asl, Abdolmohammad Ranjbar, Seyyed-Reza Sadat-Ebrahimi, Behnaz Mahmoodieh, and Alireza Salmanipour. 2023. "Myocardial and Vascular Involvement in Patients with Takayasu Arteritis: A Cardiovascular MRI Study" Diagnostics 13, no. 23: 3575. https://doi.org/10.3390/diagnostics13233575
APA StyleAlmasi, S., Asadian, S., Hosseini, L., Rezaeian, N., Ghasemi asl, S., Ranjbar, A., Sadat-Ebrahimi, S.-R., Mahmoodieh, B., & Salmanipour, A. (2023). Myocardial and Vascular Involvement in Patients with Takayasu Arteritis: A Cardiovascular MRI Study. Diagnostics, 13(23), 3575. https://doi.org/10.3390/diagnostics13233575

