Evaluation of Dynamic Contrast-Enhanced and Oxygen-Enhanced Functional Lung Magnetic Resonance Imaging in Chronic Obstructive Pulmonary Disease Patients
Abstract
:1. Introduction
2. Materials and Methods
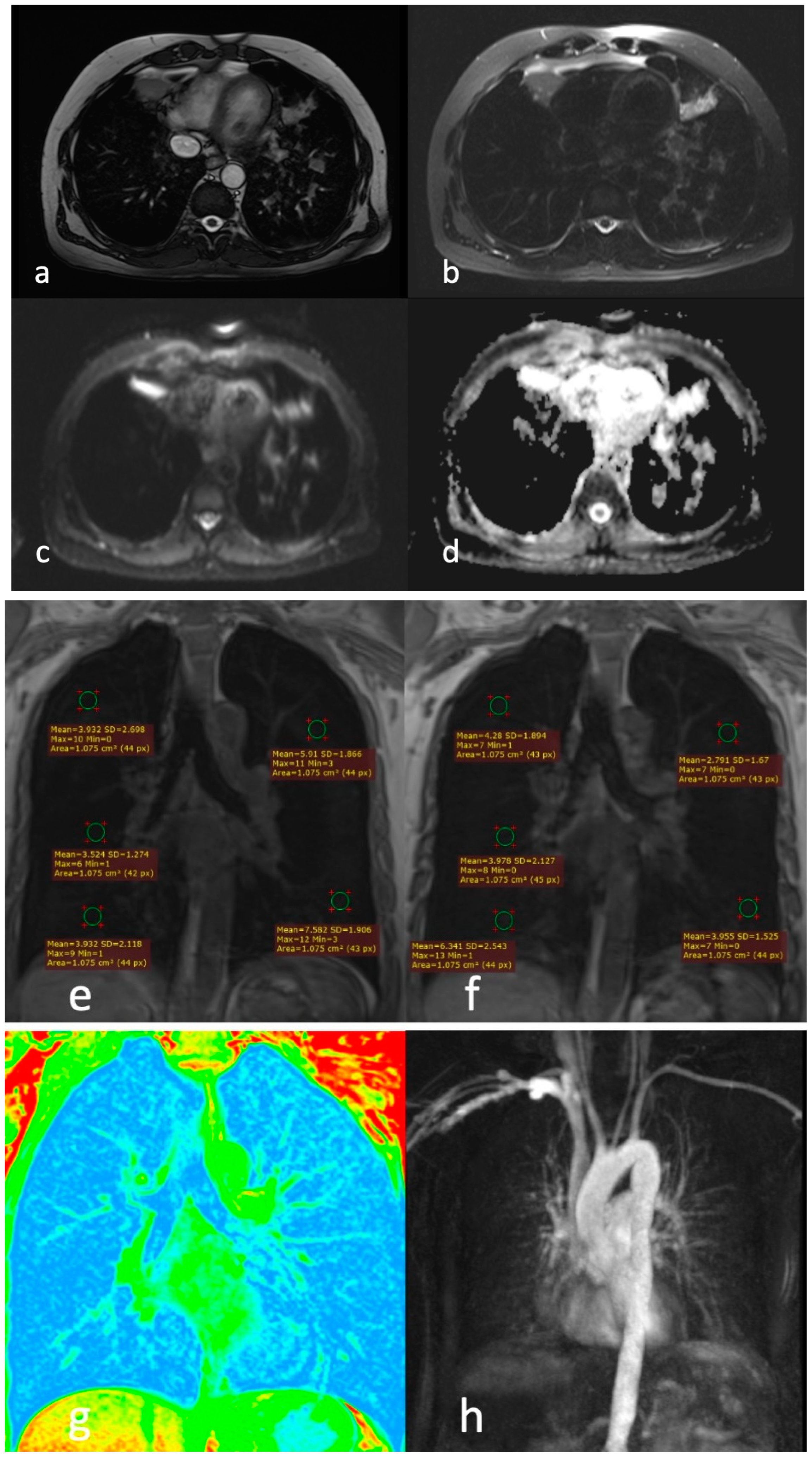
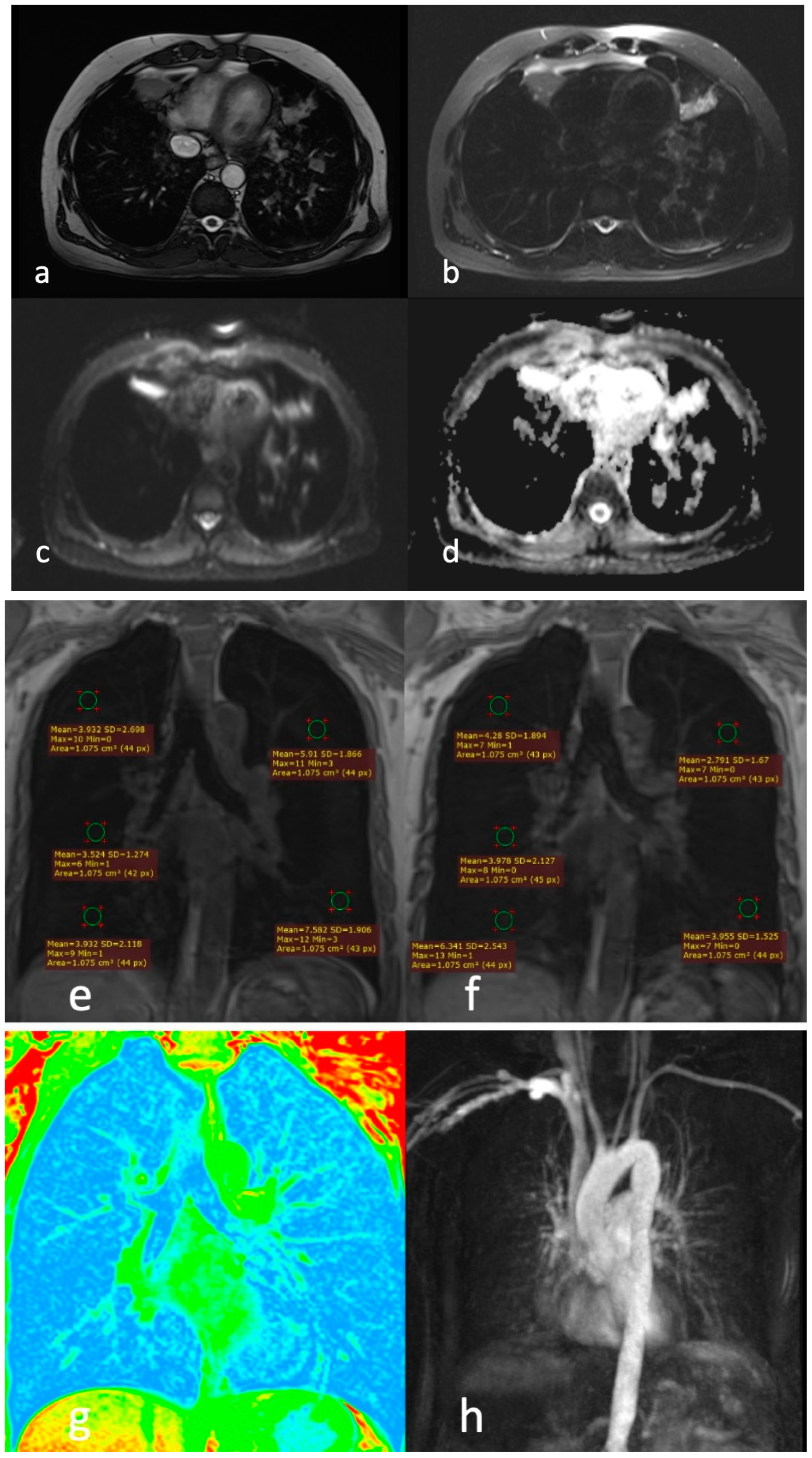
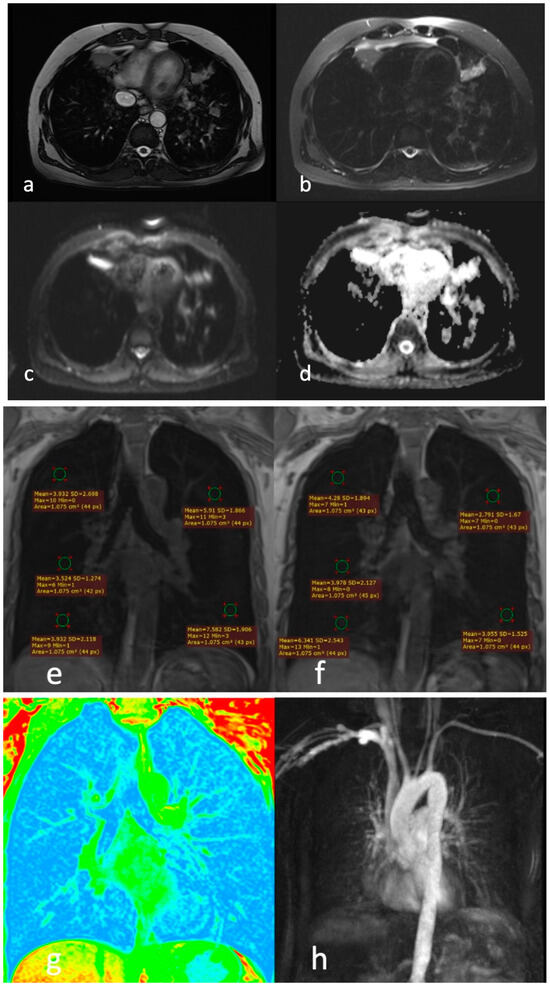
3. Results
4. Discussion
Limitations
5. Conclusions
- Summary Statement:
- Key Results:
Author Contributions
Funding
Institutional Review Board Statement
Informed Consent Statement
Data Availability Statement
Conflicts of Interest
Abbreviations
| BLADE | Proprietary name for periodically rotated overlapping parallel lines with enhanced reconstruction |
| COPD | Chronic obstructive pulmonary disease |
| DCE-MRI | Dynamic contrast-enhanced-MRI |
| DWI | Diffusion-weighted imaging |
| FEV1 | Forced expiratory volume in one second |
| FLASH | Fast low angle shot |
| FVC | Forced vital capacity |
| GGO | Ground-glass opacities |
| GOLD | Global initiative for obstructive lung disease |
| HASTE | Half-Fourier acquisition single-shot turbo spin-echo |
| IR | Inversion recovery |
| LLL | Left lower lobe |
| LUL | Left upper lobe |
| OE-MRI | Oxygen-enhanced-MRI |
| PFT | Pulmonary function test |
| RA | Room air |
| RLL | Right lower lobe |
| RML | Right middle lobe |
| RUL | Right upper lobe |
| SPECT | Single-photon emission computerized tomography |
| TRUFI | True fast imaging with steady-state free precession |
| TWIST | Time-resolved angiography with stochastic trajectories |
| V/Q | Ventilation/perfusion |
References
- Venkatesan, P. Gold COPD Report: 2023 Update. Lancet Respir. Med. 2023, 11, 18. [Google Scholar] [CrossRef] [PubMed]
- Celli, B.; Fabbri, L.; Criner, G.; Martinez, F.J.; Mannino, D.; Vogelmeier, C.; de Oca, M.M.; Papi, A.; Sin, D.D.; Han, M.K.; et al. Definition and Nomenclature of Chronic Obstructive Pulmonary Disease: Time for Its Revision. Am. J. Respir. Crit. Care Med. 2022, 206, 1317–1325. [Google Scholar] [CrossRef] [PubMed]
- Theissen, I.L.; Meissner, A. Hypoxic pulmonary vasoconstriction. Anesthesiology 1996, 45, 643–652. [Google Scholar]
- Ley-Zaporozhan, J.; Ley, S.; Eberhardt, R.; Weinheimer, O.; Fink, C.; Puderbach, M.; Eichinger, M.; Herth, F.; Kauczor, H.-U. Assessment of the relationship between lung parenchymal destruction and impaired pulmonary perfusion on a lobar level in patients with emphysema. Eur. J. Radiol. 2007, 63, 76–83. [Google Scholar] [CrossRef]
- Vogelmeier, C.F.; Criner, G.J.; Martinez, F.J.; Anzueto, A.; Barnes, P.J.; Bourbeau, J.; Celli, B.R.; Chen, R.; Decramer, M.; Fabbri, L.M.; et al. Global Strategy for the Diagnosis, Management and Prevention of Chronic Obstructive Lung Disease 2017 Report: GOLD Executive Summary. Respirology 2017, 22, 575–601. [Google Scholar] [CrossRef]
- Rossi, A.; Butorac-Petanjek, B.; Chilosi, M.; Cosío, B.G.; Flezar, M.; Koulouris, N.; Marin, J.; Miculinic, N.; Polese, G.; Samaržija, M.; et al. Chronic obstructive pulmonary disease with mild airflow limitation: Current knowledge and proposal for future research—A consensus document from six scientific societies. Int. J. Chron. Obstruct. Pulmon. Dis. 2017, 12, 2593–2610. [Google Scholar] [CrossRef]
- Washko, G.R. Diagnostic Imaging in COPD. Semin. Respir. Crit. Care Med. 2010, 31, 276–285. [Google Scholar] [CrossRef]
- Garg, M.; Lamicchane, S.; Maralakunte, M.; Debi, U.; Dhooria, S.; Sehgal, I.; Prabhakar, N.; Sandhu, M.S. Role of MRI in the Evaluation of Pulmonary Sequel Following COVID-19 Acute Respiratory Distress Syndrome (ARDS). Curr. Probl. Diagn. Radiol. 2022, 52, 117–124. [Google Scholar] [CrossRef]
- Sergiacomi, G.; Sodani, G.; Fabiano, S.; Manenti, G.; Spinelli, A.; Konda, D.; Di Roma, M.; Schillaci, O.; Simonetti, G. MRI lung perfusion 2D dynamic breath-hold technique in patients with severe emphysema. Vivo Athens Greece 2003, 17, 319–324. [Google Scholar]
- Stewart, N.J.; Chan, H.-F.; Hughes, P.J.; Horn, F.C.; Norquay, G.; Rao, M.; Yates, D.P.; Ireland, R.H.; Hatton, M.Q.; Tahir, B.A.; et al. Comparison of 3 He and 129 Xe MRI for evaluation of lung microstructure and ventilation at 1.5T. J. Magn. Reson. Imaging 2018, 48, 632–642. [Google Scholar] [CrossRef]
- Pöhler, G.H.; Klimeš, F.; Behrendt, L.; Voskrebenzev, A.; Gonzalez, C.C.; Wacker, F.; Hohlfeld, J.M.; Vogel-Claussen, J. Repeatability of Phase-Resolved Functional Lung (PREFUL)-MRI Ventilation and Perfusion Parameters in Healthy Subjects and COPD Patients. J. Magn. Reson. Imaging 2020, 53, 915–927. [Google Scholar] [CrossRef] [PubMed]
- Jobst, B.J.; Triphan, S.M.F.; Sedlaczek, O.; Anjorin, A.; Kauczor, H.U.; Biederer, J.; Ley-Zaporozhan, J.; Ley, S.; Wielpütz, M.O. Functional Lung MRI in Chronic Obstructive Pulmonary Disease: Comparison of T1 Mapping, Oxygen-Enhanced T1 Mapping and Dynamic Contrast Enhanced Perfusion. PLoS ONE 2015, 10, e0121520. [Google Scholar] [CrossRef] [PubMed]
- Zhang, W.-J.; Niven, R.M.; Young, S.S.; Liu, Y.-Z.; Parker, G.J.; Naish, J.H. Dynamic oxygen-enhanced magnetic resonance imaging of the lung in asthma—Initial experience. Eur. J. Radiol. 2015, 84, 318–326. [Google Scholar] [CrossRef] [PubMed]
- Ley-Zaporozhan, J.; Puderbach, M.; Kauczor, H.-U. MR for the Evaluation of Obstructive Pulmonary Disease. Magn. Reson. Imaging Clin. North. Am. 2008, 16, 291–308. [Google Scholar] [CrossRef]
- Blanco, I.; Diego, I.; Bueno, P.; Casas-Maldonado, F.; Miravitlles, M. Geographic distribution of COPD prevalence in the world displayed by Geographic Information System maps. Eur. Respir. J. 2019, 54, 1900610. [Google Scholar] [CrossRef]
- Kirby, M.; Pike, D.; Coxson, H.O.; McCormack, D.G.; Parraga, G. Hyperpolarized3He Ventilation Defects Used to Predict Pulmonary Exacerbations in Mild to Moderate Chronic Obstructive Pulmonary Disease. Radiology 2014, 273, 887–896. [Google Scholar] [CrossRef]
- Kruger, S.J.; Nagle, S.K.; Couch, M.J.; Ohno, Y.; Albert, M.; Fain, S.B. Functional imaging of the lungs with gas agents: Functional Imaging of Lungs with Gas Agents. J. Magn. Reson. Imaging 2016, 43, 295–315. [Google Scholar] [CrossRef]
- Hatabu, H.; Ohno, Y.; Gefter, W.B.; Parraga, G.; Madore, B.; Lee, K.S.; Altes, T.A.; Lynch, D.A.; Mayo, J.R.; Seo, J.B.; et al. Expanding Applications of Pulmonary MRI in the Clinical Evaluation of Lung Disorders: Fleischner Society Position Paper. Radiology 2020, 297, 286–301. [Google Scholar] [CrossRef]
- Ohno, Y.; Iwasawa, T.; Seo, J.B.; Koyama, H.; Takahashi, H.; Oh, Y.M.; Nishimura, Y.; Sugimura, K. Oxygen-enhanced magnetic resonance imaging versus computed tomography: Multicenter study for clinical stage classification of smoking-related chronic obstructive pulmonary disease. Am. J. Respir. Crit. Care Med. 2008, 177, 1095–1102. [Google Scholar] [CrossRef]
- Hueper, K.; Vogel-Claussen, J.; Parikh, M.A.; Austin, J.H.M.; Bluemke, D.A.; Carr, J.; Choi, J.; Goldstein, T.A.; Gomes, A.S.; Hoffman, E.A.; et al. Pulmonary Microvascular Blood Flow in Mild Chronic Obstructive Pulmonary Disease and Emphysema. The MESA COPD Study. Am. J. Respir. Crit. Care Med. 2015, 192, 570–580. [Google Scholar] [CrossRef]
- Jang, Y.M.; Oh, Y.-M.; Seo, J.B.; Kim, N.; Chae, E.J.; Lee, Y.K.; Lee, S.D. Quantitatively Assessed Dynamic Contrast-Enhanced Magnetic Resonance Imaging in Patients with Chronic Obstructive Pulmonary Disease: Correlation of Perfusion Parameters with Pulmonary Function Test and Quantitative Computed Tomography. Investig. Radiol. 2008, 43, 403–410. [Google Scholar] [CrossRef] [PubMed]
- Lieberman, D.; Lieberman, D.; Ben-Yaakov, M.; Lazarovich, Z.; Hoffman, S.; Ohana, B.; Friedman, M.G.; Dvoskin, B.; Leinonen, M.; Boldur, I. Infectious etiologies in acute exacerbation of COPD. Diagn. Microbiol. Infect. Dis. 2001, 40, 95–102. [Google Scholar] [CrossRef] [PubMed]
- Sarkar, M.; Srinivasa; Madabhavi, I.; Kumar, K. Tuberculosis associated chronic obstructive pulmonary disease. Clin. Respir. J. 2017, 11, 285–295. [Google Scholar] [CrossRef] [PubMed]






| T2W HASTE | T2W TRUFI | T2W BLADE | DIFFUSION | T1 | TWIST ANGIO 3D | |
|---|---|---|---|---|---|---|
| Plane | Axial | Axial | Axial | Axial | Coronal | Coronal |
| TR/TE (ms) | 500/39 | 448/144 | 2500/118 | 5100/56 | 3.57/1.35 | 2.58/0.98 |
| Slice thickness (mm) | 5 | 5 | 5 | 6 | 15 | 5 |
| Slice per station (n) | 30 | 56 | 40 | 30 | 28 | 28 |
| FOV (mm) | 320 | 320 | 320 | 400 | 450 | 450 |
| Acquired voxel size (mm3) | 1.3 × 1.3 × 5 | 0.6 × 0.6 × 5 | 1.3 × 1.3 × 5 | 1.3 × 1.3 × 6 | 1.4 × 1.4 × 15 | 0.9 × 0.9 × 4.5 |
| Bandwidth/ pixel (Hz) | 781 | 1028 | 501 | 2200 | 390 | 740 |
| Flip angle | 146 | 70 | 150 | 8 | 25 | |
| Acquisition time | 30 s | 50 s | 72 s | 150 s | 9 s | 70 s |
| Number of Participants | n = 60 | |
|---|---|---|
| Sex | ||
| Male | 56 | (93.3%) |
| Female | 4 | (6.7%) |
| Age distribution | ||
| <50 years | 6/60 | (10%) |
| 51 to 60 years | 16/60 | (26.7%) |
| 61 to 70 years | 30/60 | (50.0%) |
| >70 years | 8/60 | (13.3%) |
| Symptoms | ||
| Shortness of breath | 58/60 | (96.7%) |
| Cough | 38/60 | (63.3%) |
| Expectoration | 18/60 | (30.0%) |
| Wheeze | 42/60 | (70.0%) |
| GOLD classification distribution | ||
| GOLD I | 4/60 | (6.7%) |
| GOLD II | 20/60 | (33.3%) |
| GOLD III | 32/60 | (53.3%) |
| GOLD IV | 4/60 | (6.7%) |
| FEV (% of predicted) | ||
| >50 | 24/60 | (40%) |
| <50 | 36/60 | (60%) |
| Average of Ventilation and Perfusion Defects | p Value | ||||
|---|---|---|---|---|---|
| Mean | SD | Median | |||
| GOLD Classification score | I | 1.00 | 1.41 | 1 | 0.104 |
| II | 4.40 | 3.06 | 4 | ||
| III | 6.38 | 3.14 | 8 | ||
| IV | 4.50 | 3.54 | 5 | ||
Disclaimer/Publisher’s Note: The statements, opinions and data contained in all publications are solely those of the individual author(s) and contributor(s) and not of MDPI and/or the editor(s). MDPI and/or the editor(s) disclaim responsibility for any injury to people or property resulting from any ideas, methods, instructions or products referred to in the content. |
© 2023 by the authors. Licensee MDPI, Basel, Switzerland. This article is an open access article distributed under the terms and conditions of the Creative Commons Attribution (CC BY) license (https://creativecommons.org/licenses/by/4.0/).
Share and Cite
Srinivas, R.K.; Garg, M.; Debi, U.; Prabhakar, N.; Dhooria, S.; Agarwal, R.; Aggarwal, A.N.; Sandhu, M.S. Evaluation of Dynamic Contrast-Enhanced and Oxygen-Enhanced Functional Lung Magnetic Resonance Imaging in Chronic Obstructive Pulmonary Disease Patients. Diagnostics 2023, 13, 3511. https://doi.org/10.3390/diagnostics13233511
Srinivas RK, Garg M, Debi U, Prabhakar N, Dhooria S, Agarwal R, Aggarwal AN, Sandhu MS. Evaluation of Dynamic Contrast-Enhanced and Oxygen-Enhanced Functional Lung Magnetic Resonance Imaging in Chronic Obstructive Pulmonary Disease Patients. Diagnostics. 2023; 13(23):3511. https://doi.org/10.3390/diagnostics13233511
Chicago/Turabian StyleSrinivas, Rohit K., Mandeep Garg, Uma Debi, Nidhi Prabhakar, Sahajal Dhooria, Ritesh Agarwal, Ashutosh Nath Aggarwal, and Manavjit Singh Sandhu. 2023. "Evaluation of Dynamic Contrast-Enhanced and Oxygen-Enhanced Functional Lung Magnetic Resonance Imaging in Chronic Obstructive Pulmonary Disease Patients" Diagnostics 13, no. 23: 3511. https://doi.org/10.3390/diagnostics13233511
APA StyleSrinivas, R. K., Garg, M., Debi, U., Prabhakar, N., Dhooria, S., Agarwal, R., Aggarwal, A. N., & Sandhu, M. S. (2023). Evaluation of Dynamic Contrast-Enhanced and Oxygen-Enhanced Functional Lung Magnetic Resonance Imaging in Chronic Obstructive Pulmonary Disease Patients. Diagnostics, 13(23), 3511. https://doi.org/10.3390/diagnostics13233511

