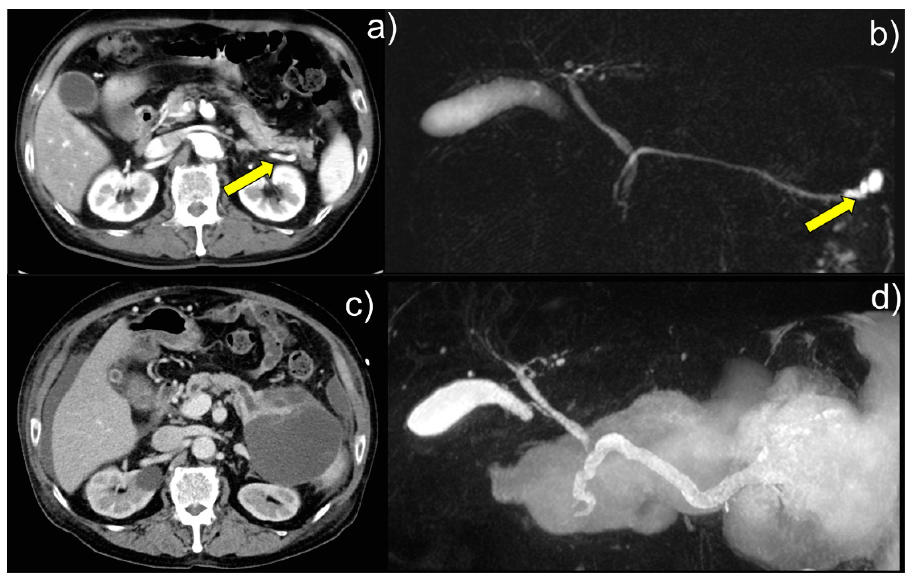
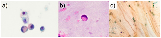
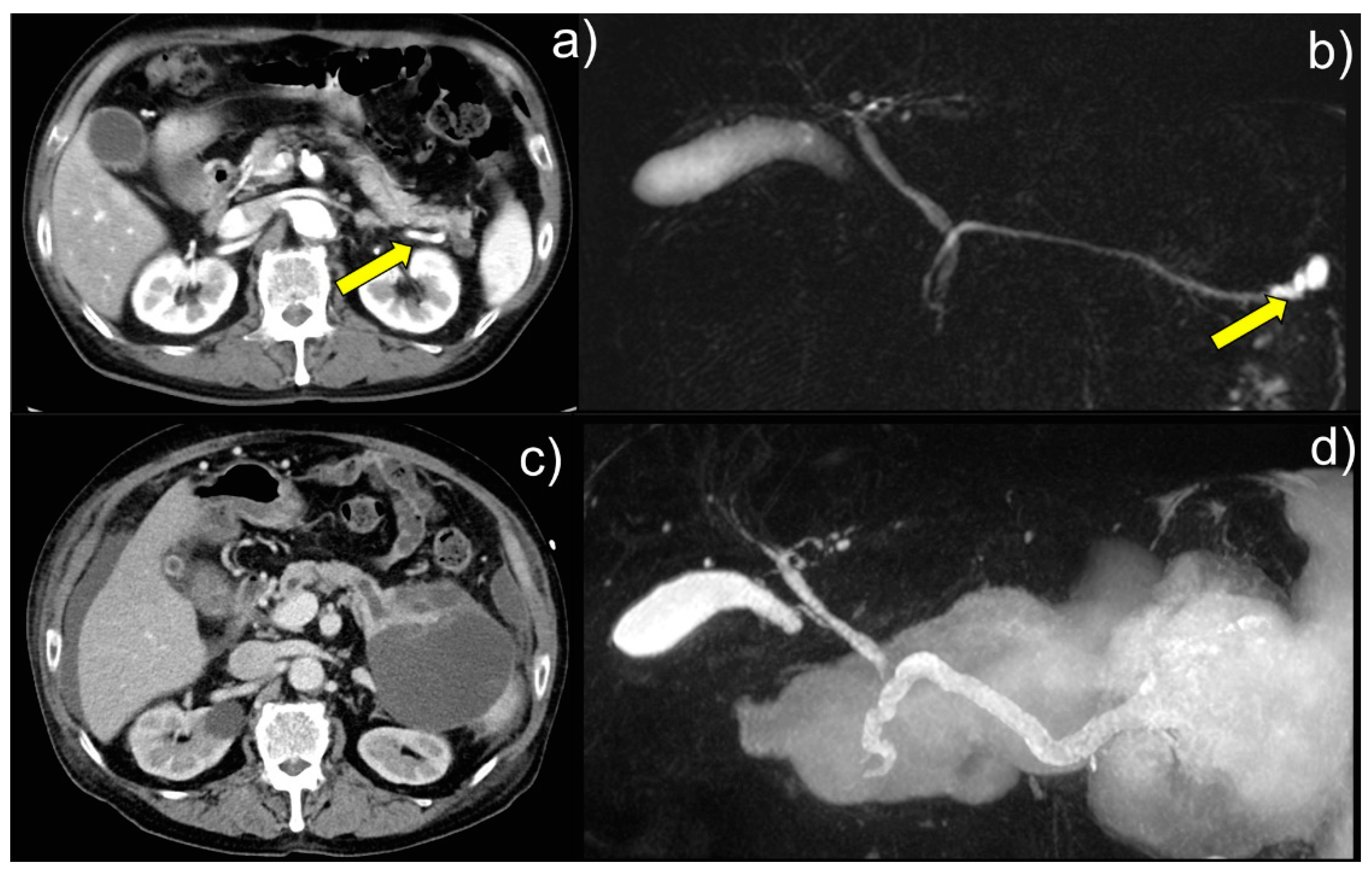
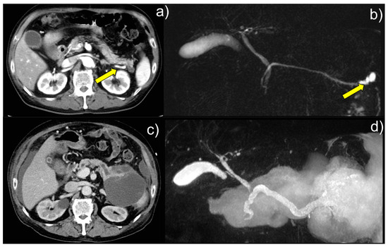
Colloid Carcinoma Arising in an Intestinal-Type Intraductal Papillary Mucinous Neoplasm with High-Grade Dysplasia Appearing as Signet-Ring Cells of the Pancreas by Serial Pancreatic Juice Aspiration Cytology: A Case Report
Abstract
:Author Contributions
Funding
Institutional Review Board Statement
Informed Consent Statement
Data Availability Statement
Acknowledgments
Conflicts of Interest
References
- Tanaka, M.; Fernández-del Castillo, C.; Kamisawa, T.; Jang, J.Y.; Levy, P.; Ohtsuka, T.; Salvia, R.; Shimizu, Y.; Tada, M.; Wolfgang, C.L. Revisions of international consensus Fukuoka guidelines for the management of IPMN of the pancreas. Pancreatology 2017, 17, 738–753. [Google Scholar] [CrossRef] [PubMed]
- Basturk, O.; Esposito, I.; Fukushima, N.; Furukawa, T.; Hong, S.M.; Kloppel, G.; Maitra, A.; Zamboni, G. Pancreatic intraductal papillary mucinous neoplasm. In WHO Classification of Tumours. Digestive System Tumours, 5th ed.; WHO classification of tumours editorial board, Ed.; IARC Press: Lyon, France, 2019; pp. 310–314. [Google Scholar]
- Pitman, M.B.; Centeno, B.A.; Rosenbaum, M.W. Pancreatic intraductal papillary mucinous neoplasm, high-grade. In WHO Reporting System for Pancreaticobiliary Cytopathology, 1st ed.; IAC-IARC-WHO Joint Editorial Board, Ed.; IARC Press: Lyon, France, 2022; pp. 85–86, 101–103, 130–138. [Google Scholar]
- Yamaguchi, H.; Inoue, T.; Eguchi, T.; Miyasaka, Y.; Ohuchida, K.; Mizumoto, K.; Yamada, T.; Yamaguchi, K.; Tanaka, M.; Tsuneyoshi, M. Fascin overexpression in intraductal papillary mucinous neoplasms (adenoma, borderline neoplasms, and carcinomas) of the pancreas, correlated with increased histological grade. Mod. Pathol. 2007, 20, 552–561. [Google Scholar] [CrossRef] [PubMed]
- Chen, C.-H.; Yeh, H.-Z.; Li, H.-N. Colloid carcinoma of the pancreas with a series of radiological and pathological studies for diagnosis: A case report. Diagnostics 2022, 12, 282. [Google Scholar] [CrossRef] [PubMed]
- Iiboshi, T.; Hanada, K.; Fukuda, T.; Yonehara, S.; Sasaki, T.; Chayama, K. Value of cytodiagnosis using endoscopic nasopancreatic drainage for early diagnosis of pancreatic cancer: Establishing a new method for the early detection of pancreatic carcinoma in situ. Pancreas 2012, 41, 523–529. [Google Scholar] [CrossRef] [PubMed]
- Nagayama, D.; Naito, Y.; Tsukamoto, T.; Ito, S.; Nakayama, M.; Kimura, Y.; Nishida, N.; Higaki, K. Cytopathological findings of an intraductal papillary mucinous neoplasm with the appearance of signet ring cell-like cells [in Japanese with English abstract]. J. Jpn. Soc. Clin. Cytol. 2016, 55, 100–106. [Google Scholar] [CrossRef]
- Hussein, S.E.; Knader, S.N. Primary signet ring cell carcinoma of the pancreas: Cytopathology review of a rare entity. Diagn. Cytopathol. 2019, 47, 1314–1320. [Google Scholar] [CrossRef] [PubMed]
- Hussein, S.E.; Khader, S.N. Cytopathology of anaplastic carcinoma of the pancreas: Review of a rare entity and description of a variant with signet ring cell features. Diagn. Cytopathol. 2019, 47, 956–960. [Google Scholar] [CrossRef] [PubMed]
- Sugihara, A.; Nakasho, K.; Yamada, N.; Nakagomi, N.; Tsujimura, T.; Terada, N.; Tsuji, M. Neuroendocrine differentiation of periodic-acid Schiff and Alcian blue-negative signet-ring cell-like cells and tubular adenocarcinoma cells within a gastric cancer. Scand. J. Gastroenterol. 2004, 39, 795–800. [Google Scholar] [CrossRef] [PubMed]
- Morii, S.; Oka, K.; Hakozaki, H.; Nihei, T.; Mori, N. CEA-producing mucin-negative gastric signet-ring cell carcinoma with neuroendocrine markers. A case report. J. Clin. Gastroenterol. 1999, 29, 82–85. [Google Scholar] [CrossRef] [PubMed]
- Furuhata, A.; Minamiguchi, S.; Shirahase, H.; Kodama, Y.; Adachi, S.; Sakurai, T.; Haga, H. Immunohistochemical antibody panel for the differential diagnosis of pancreatic ductal carcinoma from gastrointestinal contamination and benign pancreatic duct epithelium in endoscopic ultrasound-guided fine-needle aspiration. Pancreas 2017, 46, 531–538. [Google Scholar] [CrossRef] [PubMed]
- Li, W.-T.; Jeng, Y.-M.; Yang, C.-Y. Claudin-18 as a marker for identifying the stomach and pancreatobiliary tract as the primary sites of metastatic adenocarcinoma. Am. J. Surg. Pathol. 2020, 44, 1643–1648. [Google Scholar] [CrossRef] [PubMed]
- Sahin, U.; Koslowski, M.; Dhaene, K.; Usener, D.; Brandenburg, G.; Seitz, G.; Huber, C.; Türeci, O. Claudin-18 splice variant 2 is a pan-cancer target suitable for therapeutic antibody development. Clin. Cancer Res. 2008, 14, 7624–7634. [Google Scholar] [CrossRef] [PubMed]
- Kyuno, D.; Takasawa, A.; Takasawa, K.; Ono, Y.; Aoyama, T.; Magara, K.; Nakamori, Y.; Takemasa, I.; Osanai, M. Claudin-18.2 as a therapeutic target in cancers: Cumulative findings from basic research and clinical trials. Tissue Barriers 2022, 10, 1967080. [Google Scholar] [CrossRef] [PubMed]
- Park, W.; O’Reilly, E.M.; Furuse, J.; Kunieda, F.; Jie, F.; Kindler, H.L. Phase II, open-label, randomized study of first-line zolbetuximab plus gemcitabine and nab-paclitaxel (GN) in Claudin 18.2–positive metastatic pancreatic cancer (mPC). J. Clin. Oncol. 2020, 38, TPS4667. [Google Scholar] [CrossRef]



Disclaimer/Publisher’s Note: The statements, opinions and data contained in all publications are solely those of the individual author(s) and contributor(s) and not of MDPI and/or the editor(s). MDPI and/or the editor(s) disclaim responsibility for any injury to people or property resulting from any ideas, methods, instructions or products referred to in the content. |
© 2023 by the authors. Licensee MDPI, Basel, Switzerland. This article is an open access article distributed under the terms and conditions of the Creative Commons Attribution (CC BY) license (https://creativecommons.org/licenses/by/4.0/).
Share and Cite
Tachibana, M.; Hirota, T.; Hamayasu, H.; Takeuchi, Y.; Tsukamoto, K.; Matsushita, M. Colloid Carcinoma Arising in an Intestinal-Type Intraductal Papillary Mucinous Neoplasm with High-Grade Dysplasia Appearing as Signet-Ring Cells of the Pancreas by Serial Pancreatic Juice Aspiration Cytology: A Case Report. Diagnostics 2023, 13, 3123. https://doi.org/10.3390/diagnostics13193123
Tachibana M, Hirota T, Hamayasu H, Takeuchi Y, Tsukamoto K, Matsushita M. Colloid Carcinoma Arising in an Intestinal-Type Intraductal Papillary Mucinous Neoplasm with High-Grade Dysplasia Appearing as Signet-Ring Cells of the Pancreas by Serial Pancreatic Juice Aspiration Cytology: A Case Report. Diagnostics. 2023; 13(19):3123. https://doi.org/10.3390/diagnostics13193123
Chicago/Turabian StyleTachibana, Mitsuhiro, Takayoshi Hirota, Hideki Hamayasu, Yu Takeuchi, Kei Tsukamoto, and Masahiro Matsushita. 2023. "Colloid Carcinoma Arising in an Intestinal-Type Intraductal Papillary Mucinous Neoplasm with High-Grade Dysplasia Appearing as Signet-Ring Cells of the Pancreas by Serial Pancreatic Juice Aspiration Cytology: A Case Report" Diagnostics 13, no. 19: 3123. https://doi.org/10.3390/diagnostics13193123
APA StyleTachibana, M., Hirota, T., Hamayasu, H., Takeuchi, Y., Tsukamoto, K., & Matsushita, M. (2023). Colloid Carcinoma Arising in an Intestinal-Type Intraductal Papillary Mucinous Neoplasm with High-Grade Dysplasia Appearing as Signet-Ring Cells of the Pancreas by Serial Pancreatic Juice Aspiration Cytology: A Case Report. Diagnostics, 13(19), 3123. https://doi.org/10.3390/diagnostics13193123

